Reconstructive surgery for locally advanced malignant tumors periacetabular region
- Authors: Zagorodnii N.V.1, Karpenko V.Y.1, Karasev A.L.1, Zelyanin A.S.2, Lysenko I.S.1, Iluridze G.D.1
-
Affiliations:
- N.N. Priorov National Medical Research Center of Traumatology and Orthopaedics
- I.M. Sechenov First Moscow State Medical University (Sechenov University) of the Ministry of Heathcare of the Russia Federation
- Issue: Vol 27, No 3 (2020)
- Pages: 42-51
- Section: Original study articles
- Submitted: 03.08.2020
- Accepted: 07.10.2020
- Published: 26.12.2020
- URL: https://journals.eco-vector.com/0869-8678/article/view/41957
- DOI: https://doi.org/10.17816/vto202027342-51
- ID: 41957
Cite item
Full Text
Abstract
The article presents the history of development and improvement of various methods of surgical treatment of patients with tumor lesions of the pelvic bones, as well as modern types of operations in this category of patients. Based on the analysis of literature data of domestic and foreign sources are considered possible complications and their causes, summarizes the surgical and oncologic results of the most relevant studies devoted to this subject.
Full Text
Введение
Первичные злокачественные опухоли костей составляют 1–2 % всех впервые выявленных злокачественных новообразований. В России заболеваемость первичными злокачественными опухолями костей регистрируется у 1 больного на 100 тыс. населения, что соответствует данным по заболеваемости в других странах. Первичные злокачественные опухоли костей таза являются редкой онкологической патологией и составляют не более 10 % всех костных сарком, поражающих скелет человека [1].
Отличительной особенностью этой нозологии является экспансивный рост опухоли в полость малого таза и окружающие мягкие ткани, что определяет их бессимптомное течение на ранних стадиях заболевания. Клинические проявления возникают при выраженной местной распространенности и значительных размерах опухолевого очага в виду сдавления опухолью корешков тазового нервного сплетения, органов малого таза и разрушении тазобедренного сустава. Низкий процент выявляемости на начальном этапе опухолевого процесса, соседствующее положение в полости малого таза жизненно важных органов и магистральных сосудисто-нервных структур, а также важная роль тазового кольца в обеспечении походки человека определяют сложность выполнения органосохранных и реконструктивных операций у данной категории больных [2].
Одним из первых хирургическое вмешательство пациенту с опухолевым поражением костей таза в объеме, межподвздошно-брюшной резекцией (МПБР), выполнил T. Kocher в 1884 г. Передним доступом осуществлялась остеотомия лонной и седалищной костей, а сзади было рассечено крестцово-подвздошное сочленение. Опухоль была удалена единым блоком вместе с проксимальным отделом бедренной кости. Через четыре года больной был жив и передвигался при помощи костылей [3]. Наряду с МПБР одной из первых операций при опухолевом поражении костей таза явилось межподвздошно-брюшное вычленение (МПБВ). Первым такую операцию провел Billrot в 1891 г. Сложность ее выполнения заключалась в том, что единым блоком удалялась часть таза, пораженная опухолью, вместе с сопряженной с ней через тазобедренный сустав нижней конечностью. Учитывая слабое развитие анестезиологического пособия и отсутствие возможности проведения гемотрансфузии в то время, результат операции был неудовлетворительным, и пациент умер через несколько часов после ее окончания [4].
В 1899 г. первым отечественным хирургом, выполнившим МПБВ с хорошим хирургическим результатом, стал Э.Г. Салищев [8]. Дальнейшее развитие в России и за рубежом хирургия таза получила в работах J.H. Pringle (1916), А.Т. Бржезовского (1923), С.С. Юдина (1926), P.N. Napalkow (1931), G. Gordon-Taylor (1934) [40–43].
Межподвздошно-брюшное вычленение
Межподвздошно-брюшное вычленение (МПБВ) — расширенное калечащее хирургическое вмешательство, подразумевающее удаление половины костей тазового кольца с прилежащей нижней конечностью, уровень резекции при котором проходит через лонное и крестцово-подвздошное сочленения. Наиболее часто МПБВ выполняется при местнораспространенных злокачественных и доброкачественных опухолях костей таза, проксимального отдела бедренной кости или распространенных саркомах мягких тканей, локализованных в области тазобедренного сустава, значительно реже при хроническом гнойном процессе, остеомиелите костей таза, не поддающимся комбинированному лечению и угрожающим жизни больного или с паллиативной целью [10]. Существуют различные модификации выполнения МПБВ в зависимости от уровня резекции тазового кольца. В случае если необходимо выполнить резекцию на уровне крестца или поясничного отдела позвоночника или с захватом контралатеральной лонной кости, МПБВ называют расширенным. Пластику дефекта после операции выполняют полнослойными лоскутами. Существуют два типа лоскутов для закрытия дефекта после удаления препарата при МПБВ: передний «бедренный» и задний «ягодичный». Бедренный включает в себя четырехглавую и порции приводящих мышц бедра, ножкой которого является бедренный сосудистый пучок, а ягодичный формируется на основе ягодичных мышц. В случае распространения опухоли в область малого таза используют задний лоскут, а при инфильтрации опухолевым процессом ягодичных мышц — передний лоскут.
В Британском ортопедическом госпитале в период с 1980 по 2010 г. было выполнено 157 МПБВ, из них 140 (89 %) — с лечебной целью, а 17 (11 %) — с паллиативной. Средняя продолжительность операции составила 3 ч, средняя кровопотеря — до 2000 мл. За время наблюдения рецидив опухоли был диагностирован у 23 (15 %) больных. После выполнения лечебных операций 5-летняя выживаемость у пациентов с низкозлокачественными опухолями (GI) составила 73 %, с высокозлокачественными (GII-III) — 41 %. После паллиативных операций однолетняя и 2-летняя выживаемость составили 41 и 23 % соответственно. Никто из пациентов после паллиативных операций не пережил 5-летний интервал. Функциональный результат по шкале Международного общества опухолей опорно-двигательного аппарата MSTS в среднем составил 57 % (34–88 баллов) [11].
J.P. Apffelstaedt и соавт. [12] приводят результаты 68 МПБВ, выполненных в период с 1973 по 1994 г. Лечебных операций было 48 (70 %), паллиативных — 20 (30 %). Средняя продолжительность операции составила 7 ч, интраоперационная кровопотеря — до 4200 мл. За время наблюдения рецидив опухоли был диагностирован у 35 % больных. В зависимости от типа проведенной операции 5-летняя выживаемость после лечебных операций составила 21 %, а после паллиативных — лишь 14 %. Наиболее частыми осложнениями были некроз укрывающего лоскута у 50 % больных и инфицирование послеоперационной раны — у 35 %. Схожие результаты при выполнении МПБВ у 53 пациентов с опухолевым поражением костей таза представил T.W. Prewitt и соавт. [13]. Средняя продолжительность операции составила 5 ч, а кровопотеря — до 2000 мл. Наиболее частым осложнением, как и в других клиниках, было инфицирование послеоперационной раны у 28 % прооперированных больных. 5-летняя выживаемость составила 30 %. Стоит отметить, что по данным авторов, ни у одного больного не было выявлено рецидива опухоли, а прогрессирование заболевания проявлялось в виде появления отдаленных метастазов у 70 % пациентов [13].
МПБВ является одной из наиболее масштабных и травматичных операций не только в онкологии, но и в хирургии в целом, наиболее частым показанием к выполнению которой является местнораспространенный опухолевый процесс, локализованный в проекции костей таза и тазобедренного сустава. Ввиду невысокой общей заболеваемости саркомами костей и мягких тканей такой локализации, а также наличия в современной онкологической ортопедии методик органосохранного лечения таких пациентов значимость этой операции сегодня невелика, однако в ряде случаев это вмешательство является единственной возможностью радикального удаления опухоли. Адекватное выполнение МПБВ требует наличия хирургического опыта проведения подобных вмешательств и обеспечения, соответствующего анестезиологического и трансфузиологического пособий.
Межподвздошвно-брюшная резекция
Межподвздошно-брюшная резекция стала не только первой расширенной операцией при опухолевом поражении костей таза, но и первым методом органосохранного лечения пациентов с этой сложной патологией. Реконструкция вертлужной впадины и восстановление связи бедренной кости с тазовым кольцом при межподвздошно-брюшной резекции не производится. Бедренную кость оставляют в области операции, фиксируя к ней резецированные мышцы, после чего иммобилизируют нижнюю конечность со стороны операции сроком до 5 мес. с целью стойкого формирования рубцовых изменений и фиброзной капсулы.
А. Asavamongkolkul и соавт. [14] выполнили МПБР у 13 пациентов с первичными злокачественными опухолями параацетабулярной области. Радикальные операции с индексом R0 были проведены у 9 (70 %) пациентов. Послеоперационные осложнения были у 2 (15 %) прооперированных больных, при этом глубокое инфицирование послеоперационной раны отмечено у 1 (7,5 %) пациента. За время наблюдения рецидив диагностирован у 3 (23 %) и метастазы в легкие у 1 (7,5 %) больного. От прогрессирования болезни умерли 3 (23 %) пациента.
Совершенствование хирургической техники, анестезиологического пособия, внедрение металлоимплантов и микрохирургии способствовало появлению и развитию новых органосохранных реконструктивных методик лечения пациентов с опухолевым поражением тазового кольца, в виду чего МПБР сегодня имеет ограниченное применение. Эта операция проводится в случае, если выполнить реконструкцию технически невозможно из-за выраженной местной распространенности опухолевого процесса, но с условием сохранения основных магистральных сосудисто-нервных структур, которые в состоянии обеспечить адекватную иннервацию и кровоснабжение оперированной конечности. Также возможно проведение межподвздошно-брюшной резекции в клиниках, которые не обладают технической оснащенностью и необходимым опытом выполнения реконструктивных операций [15].
Реконструкция из титановых стержней, костного цемента и эндопротеза
Нарушение непрерывности тазового кольца, после удаления опухоли, требует выполнения реконструкции для восстановления целостности костей таза, что способствует улучшению функционального статуса и качества жизни пациента после операции. Совершенствование хирургической техники, анестезиологического пособия и разработки различных систем эндопротезов и металлоимплантов в конце XX в. позволили разработать новые методики для выполнения органосохранных и реконструктивно-пластических операций пациентам с опухолевым поражением костей таза.
Данные методики, в сравнении с МПБР и МПБВ, позволяют получить хороший косметический эффект, лучший функциональный статус при сравнимых онкологических результатах [16, 17].
Реконструктивная онкологическая хирургия тазового кольца берет свое начало с 70-х годов прошлого века, когда J.T. Johnson выполнил двум пациентам с хондросаркомой параацетабулярной области реконструкцию вертлужной впадины после удаления опухоли путем проведения через оставшиеся лонную и подвздошную кости нескольких стержней и спиц, к которым при помощи костного цемента фиксировал чашку эндопротеза тазобедренного сустава (рис. 1).
Рис. 1. Рентгенограмма костей таза, реконструкция выполнена при помощи комбинации титановых стержней, костного цемента и эндопротеза тазобедренного сустава [39]
Первый пациент был жив через 5 лет после операции без данных о прогрессировании, мог ходить без средств дополнительной опоры. Второй пациент передвигался самостоятельно при помощи трости, однако через год после лечения у него выявлен рецидив опухоли, в связи с чем было рекомендовано выполнить МПБВ, от которого пациент отказался [15, 18].
Реконструкция при помощи артродеза
Альтернативная методика реконструкции вертлужной впадины была предложена M.I. O’Connor и F. Sim в 1989 г. [19]. Опороспособность конечности после удаления опухоли восстанавливалась путем формирования различных типов артродеза проксимального отдела бедренной кости с подвздошной и лонной костями при помощи металло-остеосинтеза (рис. 2).
Рис. 2. Реконструкция вертлужной впадины при помощи артродеза проксимального отдела бедренной кости с подвздошной костью: a — cхема операции; b — рентгенограмма костей таза с подвздошно-бедренным накостным металлоостеосинтезом пластиной и артродезированием [19]
Авторы сообщает о 29 прооперированных больных с саркомами костей параацетабулярной области. Средний период наблюдения составил 66 мес. Прогрессирование заболевания диагностировано у 12 (40 %) прооперированных больных, при этом рецидив опухоли отмечен лишь у 2 (8 %) пациентов. Функциональный результат после операции оценен как хороший у 35 %, удовлетворительный у 25 % и неудовлетворительный у 40 % больных. Общее количество осложнений составило 62 %. Инфицирование послеоперационной раны было у 31 % и формирование ложного сустава области артродеза также у 31 % пациентов [19].
- Nagoya и соавт. в 2000 г. использовали для формирования артродеза васкуляризированную малоберцовую кость на микрососудистых анастомозах у четырех больных. Все операции выполнены с индексом R0. Осложнения в виде глубокого инфицирования раны и несостоятельности аутографта отмечены у двух пациентов [20].
Несмотря на то что, по мнению ряда авторов, эта методика отличается технической простотой выполнения операции, основными и значимыми ее недостатками являются частое развитие осложнений и неудовлетворительные функциональные результаты после операции [19–23].
Реконструкция алло- и аутографтами
Методика была впервые предложена в 1992 г. K.D. Harrington, и впоследствии получила название по его фамилии (рис. 3).
Рис. 3. Рентгенограмма костей таза после реконструкции параацетабулярной области аллографтом с фрагментом вертлужной впадины, костным цементом, стержнями и эндопротезом [17]
Автор выполнил реконструкцию вертлужной впадины при помощи аллографта, автоклавированных аутографтов и эндопротеза тазобедренного сустава. Фиксацию осуществляли стержнями [17].
Автор выполнил 14 операций. У 10 (71 %) пациентов реконструкция выполнена аллографтом, у 4 (29 %) использована автоклавированная аутокость. Период наблюдения составил 84 мес. В радикальном объеме прооперировано 11 (78 %) пациентов. Значимые послеоперационные осложнения отмечены у 3 (21 %) пациентов. В зависимости от типа осложнения это были: нестабильность костного трансплантата — 3 (21 %), глубокое инфицирование раны — 1 (7 %), вывих головки эндопротеза — 1 (7 %), нестабильность чашки металлоимпланта — 1 (7 %). Прогрессирование выявлено у 3 (21 %) пациентов в виде метастазов в легкие — рецидив. Функциональный результат после операции был оценен как отличный у 5 (36 %), хороший — у 7 (50 %), и удовлетворительный — у 1 (7 %) больного. Подобная методика реконструкции с незначительными изменениями нашла продолжение в работах C. Delloye и D.J. Biau [24, 25].
D.J. Biau и соавт. [25] в 2009 г. использовали в качестве аутотрансплантата фрагмент резецированной бедренной кости (рис. 4).
Рис. 4. Рентгенограмма костей таза после хирургического лечения. Фрагмент бедренной кости перемещен в зону резекции совместно с эндопротезом тазобедренного сустава. Фиксация осуществлена за счет металлоостеосинтеза [25]
Авторы сообщают о 13 прооперированных больных. Средний период наблюдения составил 49 мес. Послеоперационные осложнения диагностированы у 5 (38 %) пациентов. Общее количество осложнений составило 69 %. Инфекционные — 15,3 %, вывих головки эндопротеза — 23,1 %, нестабильность трансплантата — 15,3 %, перелом трансплантата — 15,3 %. C. Delloye и соавт. [24] в 2007 г. выполнили реконструкцию параацетабулярной области аллографтами у 24 пациентов. Осложнения диагностированы у 50 % прооперированных больных, при этом наиболее распространенными были инфицирование раны и несостоятельность аллотрансплантата. Функциональный результат по MSTS составил 73 %.
Использование алло- и аутографтов позволяет наиболее точно смоделировать фрагмент резецированной кости и выполнить анатомическую реконструкцию параацетабулярной области с адекватным функциональным результатом у прооперированных больных. Недостатком этой методики является значительное количество послеоперационных осложнений, общая частота развития которых, по данным ряда авторов, может составлять от 40 до 90 %. Наиболее частыми из них являются: инфекционные — 8–60 %, вывих головки металлоимпланта — 15– 26 %, несостоятельность костного трансплантата — 12–17 % [26–29].
Эндопротезирование вертлужной впадины
Широкое использование металлоимплантов для проведения органосохранного хирургического лечения пациентов с опухолевым поражением длинных костей ознаменовало внедрение методики эндопротезирования в тазовую онкохирургию. Первые эндопротезы вертлужной впадины представляли собой достаточно массивную металлоконструкцию. Тазовый компонент металлоимпланта состоял из чашки, имитирующей вертлужную впадину, и системы крепления к тазовым костям. Бедренный — из эндопротеза тазобедренного сустава. В зависимости от производителя, эндопротезы вертлужной впадины различались по строению и методике установки, и все они изготавливались индивидуально для конкретного больного. Использование металлоимплантов позволило расширить показания для выполнения органосохранного хирургического лечения пациентам с местнораспространенными опухолями тазового кольца и улучшить функциональные результаты лечения.
Так, по данным королевского национального ортопедического госпиталя (Великобритания), за период с 1971 по 2005 г. реконструкция вертлужной впадины эндопротезом выполнена 98 пациентам с опухолевым поражением параацетабулярной области [30]. Средний период наблюдения составил 7,5 года. Общая пятилетняя выживаемость больных составила 67 %. Рецидив заболевания диагностирован у 29 (31 %) больных. Общее количество значимых послеоперационных осложнений составило 40 %. Глубокое инфицирование послеоперационной раны было у 17 (18 %), вывих головки металлоимпланта — у 20 (19 %), и перипротезный перелом — у 3 (3 %) прооперированных пациентов. Функциональный результат после операции по шкале MSTS составил 70 %.
Одной из модификаций эндопротезов вертлужной впадины являются так называемые «седловидные» эндопротезы. Свое название они получили благодаря тазовому компоненту импланта, который выполнен в форме выемки, напоминающей седло, в которое фиксируется оставшаяся после резекции часть подвздошной кости. Первоначально эти металлоимпланты применялись у больных с разрушением вертлужной впадины после ортопедической артропластики, но позже их внедрили и в онкологическую практику [31].
F. Aljassir и соавт. [32] сообщают о 27 пациентах, которым выполнена реконструкция вертлужной впадины «седловидным» эндопротезом. Средняя продолжительность наблюдения составила 45 мес. Количество радикально выполненных операций — 12 (44 %). Прогрессирование заболевания диагностировано у 12 (44 %) пациентов, при этом рецидив опухоли — у 6 (22 %). В зависимости от типа осложнения глубокое инфицирование раны было у 10 (37 %), перипротезный перелом подвздошной кости с транспозицией металлоимпланта — у 6 (22 %), и вывих эндопротеза — также у 6 (22 %) больных. Функциональный результат по шкале MSTS составил 51 %.
В настоящее время в ряде клиник используют модифицированные «седловидные» эндопротезы, у которых усовершенствована методика фиксации тазового компонента металлоимпланта к подвздошной кости, обеспечивающая лучшую стабильность конструкции и снижающая частоту вывихов и транспозиции эндопротеза.
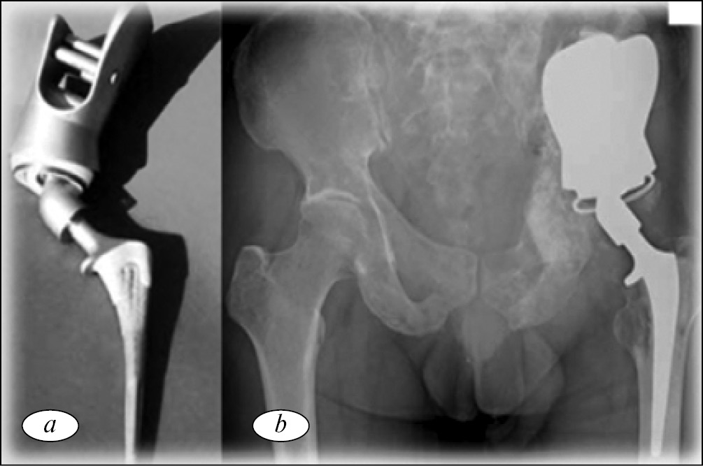
В клинике университета Южной Калифорнии (США) в период с 2000 по 2009 г. 25 пациентам с опухолевым поражением параацетабулярной области имплантированы модифицированные «седловидные» эндопротезы (рис. 5) [33]. Средний период наблюдения составил 29 мес. За время наблюдения прогрессирование заболевания выявлено у 15 (60 %) больных.
Рис. 5. Периацетабулярная реконструкция с применением «седловидного» эндопротеза: а — внешний вид; b — рентгенограмма костей таза, после выполненной операции. Металлоимплант фиксирован к резецированному крылу подвздошной кости [33]
Общее количество значимых осложнений — 11 (44 %). Глубокое инфицирование раны — у 6 (24 %), вывих протеза — у 3 (12 %) и перелом подвздошной кости с транспозицией эндопротеза — у 2 (8 %) пациентов. Среднее значение функционального результата по шкале MSTS составило 67 %.
Модульное эндопротезирование вертлужной впадины
Благодаря совершенствованию хирургии, появлению новых биосовместимых материалов и вариантов трехмерного моделирования в настоящее время одними из наиболее перспективных методик реконструкции вертлужной впадины являются модульные системы на основе конической ножки. Главным преимуществом этих эндопротезов является модульность конструкции, которая облегчает сборку и установку металлоимпланта во время операции, а также позволяет наиболее адекватно подобрать размер эндопротеза и его положение в плоскости.
Основой эндопротеза является коническая ножка, которая имплантируется в оставшуюся после удаления опухоли часть подвздошной кости или боковые массы крестца. К ножке фиксируется чашка импланта, в которую затем погружается головка эндопротеза тазобедренного сустава. Благодаря модульности конструкции возможен подбор модулей эндопротеза, соответствующих по толщине опила подвздошной кости и диаметру чашки. Технология позволяет во время операции производить изменение угла положения чашки в зависимости от необходимой физиологической проекции.
Впервые эндопротез на основе конической ножки первого поколения был использован C. Schoellner и соавт. [34] в 2000 г. для реконструкции вертлужной впадины у больных после ортопедической артропластики с нестабильностью чашки эндопротеза. Средний период наблюдения составил 60 мес. (1–164 мес.). Было выполнено 139 операций. У 51 (36,7 %) пациента в промежуток от 1 года до 5 лет эндопротезы были удалены. Высокое количество ревизионных операций было связано с новизной использованной методики [34].
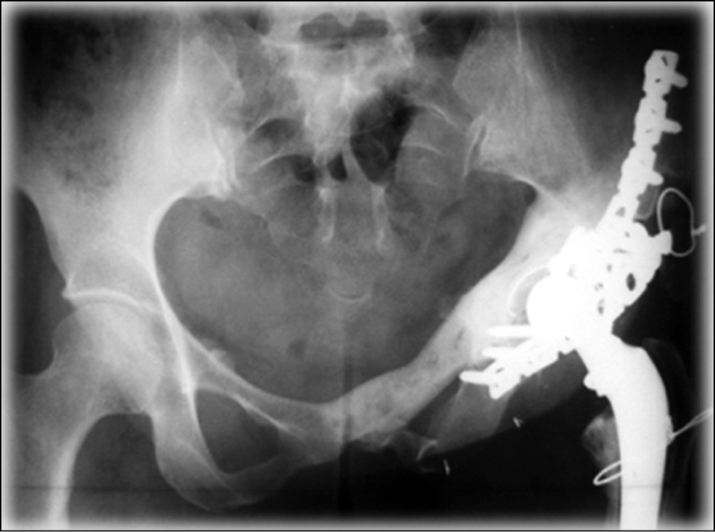
По данным МНИОИ им. П.А. Герцена, в период с 2011 по 2018 г.: параацетабулярные резекции с реконструкцией модульным эндопротезом были выполнены у 30 пациентов. Мужчин было 13 (43 %), женщин 17 (57 %). Средний возраст составил 45 лет (23–63 года). Первичные злокачественные опухоли костей были у 19 (63 %) больных, гигантоклеточная опухоль — у 5 (17 %), местнораспространенная саркома мягких тканей — у 1 (3 %), солитарные метастазы рака почки — у 2 (7 %), и 3 (10 %) пациента с рецидивами сарком после ранее проведенного хирургического лечения. Средняя продолжительность операции составила 310 мин (145–520 мин), объем интраоперационной кровопотери 5520 мл (600–20 000 мл). Положительный край резекции по результатам планового морфологического исследования выявлен у 3 (10 %) пациентов. Средний срок наблюдения составил 36 мес. (4–73 мес.). Прогрессирование болезни в сроки от 6 до 40 мес. выявлено у 10 (33 %) больных. От прогрессирования болезни умерли 8 (27%) человек. Осложнения разного типа диагностированы у 11 (37%) больных, среди которых преобладали инфекционные — 9 (30 %). Среднее значение функционального результата по шкале MSTS составило 59 % (15–82 %) (рис. 6) [35].
Рис. 6. Рентгенограмма костей таза после операции: a — коническая ножка имплантирована в оставшуюся после удаления опухоли часть подвздошной кости; b — коническая ножка имплантирована в крестец после удаления половины таза, пораженной опухолью
Схожие результаты были получены в Англии N.E. Fisher и соавт. [36], которые использовали схожую технику реконструкции.
C. Stihsen и соавт. [37] сообщают о 48 пациентах с опухолевым поражением парацетабулярной области, которым была проведена реконструкция вертлужной впадины модульным эндопротезом, половина из них была с первичными злокачественными опухолями костей. Среднее значение периода наблюдения составило 6,6 года. Прогрессирование заболевания было у 17 (35,4 %) больных. Рецидив опухоли был диагностирован у 8 (17,8 %), осложнения — у 18 (37,5%) пациентов, у 8 (17%) из которых наиболее распространенным было глубокое инфицирование. У 7 (15 %) человек был диагностирован вывих, и у 3 (6 %) — нестабильность эндопротеза. Среднее значение показателя MSTS при окончательном наблюдении составило 71 % (27–93 %) [37].
В 2013 г. M. De Paolis и соавт. [38] опубликовали данные о проведенном хирургическом лечении 45 пациентам с опухолевым поражением параацетабулярной зоны, использовав модульные эндопротезы на основе конической ножки. У 33 (73,3 %) пациентов для замещения дефекта использовали модульный эндопротез в комбинации с аллографтом. Средний период наблюдения составил 60 мес. (1–154 мес.). Прогрессирование заболевания выявлено у 20 (44 %) больных, при этом рецидив был у 15 (33,3%). МПБВ было выполнено 6 (13,3 %) пациентам. Наиболее частым послеоперационным осложнением, как и по данным других авторов, было глубокое инфицирование, у 6 (13 %) больных. Функциональные результаты были хорошими или отличными у 25 (56 %) пациентов. [38].
Проанализированные результаты использования модульных систем эндопротезирования вертлужной впадины свидетельствуют о перспективности этой хирургической методики, которая позволяет достигнуть адекватных и сравнимых с другими техниками реконструкции тазового кольца. К значимым преимуществам также можно отнести невысокое, в сравнении с другими методиками реконструкции, количество послеоперационных осложнений, в том числе инфекционных, относительную простоту технического выполнения операции, экономическую целесообразность.
Транспозиция бедренной кости с формированием неоартроза
В 2010 г. С. Gebert и соавт. предложили проводить транспозицию оставшейся бедренной кости при помощи биосинтетической манжеты, фиксировать ее к краю резекции тазового кольца с формированием неоартроза (рис. 7).
Рис. 7. Транспозиция бедренной кости с формированием неоартроза: a — cхема операции; b — рентгенограмма костей таза после операции. Бедренная кость с эндопротезом тазобедренного сустава при помощи биосинтетической манжеты фиксирована к крестцово-подвздошному сочленению
Количество прооперированных больных, по данным С. Gebert, составило 62 пациента, при этом у большинства из них (98 %) были первичные злокачественные опухоли костей и мягких тканей. Средний срок наблюдения составил 43 мес. Радикальные операции с индексом R0 выполнены у 53 (85,5 %) пациентов. Положительный край резекции R1 был у 5 (8,1 %) и R2 у 4 (6,4 %) больных. Общая пятилетняя выживаемость составила 80,5 %. Значимые послеоперационные осложнения отмечены у 26 (42 %) пациентов. Из них инфекционные составили 20 (32 %) и несостоятельность неоартроза 6 (10 %). Функциональный результат после операции по шкале MSTS — 62 %.
Безусловным преимуществом изложенной методики органосохранного хирургического лечения пациентов с местнораспространенными опухолями тазового кольца является адекватный функциональный результат после выполнения операции. Количество послеоперационных осложнений сопоставимо с другими типами реконструкции вертлужной впадины, однако полученные авторами отдаленные онкологические результаты свидетельствуют о перспективности используемой методики [26].
Заключение
Хирургическое лечение пациентов с опухолевым поражением костей таза и параацетабулярной области, в частности, является одним из самых сложных разделов современной онкологической ортопедии. Ввиду анатомических и функциональных особенностей тазового кольца, операции в этой топографической зоне характеризуются технической сложностью выполнения и высокой частотой развития послеоперационных осложнений.
Основными, порой конкурирующими, задачами тазовой онкохирургии являются необходимость достижения максимального радикализма во время операции, обеспечение адекватного функционально-эстетического результата и качества жизни больного после лечения. Одним из главных направлений, позволяющих достичь поставленных задач, стала разработка и внедрение органосохранных реконструктивных операций с использованием аллографтов, микрохирургии и различных видов металлоимплантов и их комбинаций. Современные методы реконструкции вертлужной впадины позволили расширить показания для проведения органосохранного лечения этой сложной категории больных. Несмотря на их разнообразие, все они характеризуются достаточно высокой частотой развития осложнений и неоднозначными функциональными результатами. По мнению большинства специалистов, занимающихся реконструктивной онкохирургией тазового кольца, универсальной методики реконструкции параацетабулярной области при опухолевом поражении на настоящий момент не существует.
Все вышеизложенное свидетельствует об актуальности обсуждаемой проблемы и перспективности совершенствования имеющихся и разработки новых методик органосохранного лечения этих пациентов. Хирургическое лечение опухолевого поражения костей таза является наименее изученной проблемой в современной онкоортопедии.
About the authors
Nikolaii V. Zagorodnii
N.N. Priorov National Medical Research Center of Traumatology and Orthopaedics
Email: cito@cito-priorov.ru
MD, PhD, Professor, Head of the division of endoprosthetics
Russian Federation, MoscowVadim Y. Karpenko
N.N. Priorov National Medical Research Center of Traumatology and Orthopaedics
Email: doctor-kv@yandex.ru
MD, PhD, Head of the division of bone pathology
Russian Federation, MoscowAnatolii L. Karasev
N.N. Priorov National Medical Research Center of Traumatology and Orthopaedics
Email: karaseva81@mail.ru
oncologist
Russian Federation, MoscowAleksandr S. Zelyanin
I.M. Sechenov First Moscow State Medical University (Sechenov University) of the Ministry of Heathcare of the Russia Federation
Email: microsurgery@inbox.ru
MD, PhD, Professor at the department of plastic surgery
Russian Federation, MoscowIvan S. Lysenko
N.N. Priorov National Medical Research Center of Traumatology and Orthopaedics
Author for correspondence.
Email: ilysenko761@gmail.com
ORCID iD: 0000-0003-1434-6742
resident
Russian Federation, MoscowGeorgii D. Iluridze
N.N. Priorov National Medical Research Center of Traumatology and Orthopaedics
Email: iluridze01@gmail.com
ORCID iD: 0000-0001-7847-4861
oncologist
Russian Federation, MoscowReferences
- Каприн А.Д., Старинский В.В., Петрова Г.В. Злокачественные новообразования в России в 2014 году (заболеваемость и смертность). — М.: МНИОИ им. П.А. Герцена — филиал ФГБУ «ФМИЦ им. П.А. Герцена» Минздрава России. 2016. — С. 10-16. [Kaprin AD, Starinsky VV, Petrova GV. Incidence of malignant neoplasms in the population of Russia (incidence and mortality). Moscow: MNIOI of P.A. Herzen Federal State Budgetary Institution NMIRTs branch of the Russian Ministry of Health, 2016; 250 p. (In Russ.)]
- Карпенко В.Ю. Реконструктивный и реконструктивно-пластический этапы при радикальных операциях в онкологической ортопедии: Авторреф. дис. ... д-ра мед. наук. — М., 2015. [Karpenko VU. Reconstructive and reconstructive-plastic stages in radical operations in oncological orthopedics. [dissertation abstract] Moscow; 2015. (In Russ.)]
- Kocher T. Doctrine of Surgical Treatment. Under Edition of N.V. Sklifasovsky, 1899.
- Savariaud M. Un cas de disarticulation inter-ilio-abdominale. Rev Chir (Paris). 1902;26:345-350.
- Dawson W, Ebbell B. The Papyrus Ebers; the greatest Egyptian medical document. J Egypt Archaeol. 1938:24(2):250. https://doi.org/10.2307/3854804.
- Vesalius A. De Humani Corporis Fabrici. Base; 1543.
- Abernathy J. Surgical observations on tumors. London: Longman and Rees; 1804.
- Салищев Э.Г. Вылущивание всей нижней конечности вместе с ее безымянной костью. Врач. 1899;(26):757-761. [Salishchev EG. Husking the entire lower limb along with its nameless bone. Vrach. 1899;(26):757-761. (In Russ.)]
- Зацепин С.Т. Костная патология взрослых: Руководство для врачей. — М.: Медицина, 2001. [Zatsepin ST. Bone pathology of adults: a guide for physicians. Moscow: Medicine; 2001. (In Russ.)]
- Enneking W, Dunham W, Gebhardt M, et al. A system for the functional evaluation of reconstructive procedures after surgical treatment of tumors of the musculoskeletal system. Clin Orthopaed Rel Res. 1993(286):241-246. https://doi.org/10.1097/00003086-199301000-00035.
- Jaiswal P, Aston W, Grimer R, et al. Peri-acetabular resection and endoprosthetic reconstruction for tumours of the acetabulum. J Bone Joint Surg. 2008;90B(9):1222-1227. https://doi.org/10.1302/0301-620x.90b9.20758.
- Apffelstaedt J, Driscoll D, Spellman J, et al. Complications and outcome of external hemipelvectomy in the management of pelvic tumors. Ann Surg Oncol. 1996;3(3):304-309. https://doi.org/10.1007/bf02306287.
- Prewitt T, Alexander H, Sindelar W. Hemipelvectomy for soft tissue sarcoma: clinical results in fifty-three patients. Surg Oncol. (1995);4(5):261-269. https://doi.org/10.1016/s0960-7404(10)80005-2.
- Asavamongkolkul A, Pimolsanti R, Waikakul S, Kiatsevee P. Periacetabular limb salvage for malignant bone tumours. J Orthopaed Surg. 2005;13(3):273-279. https://doi.org/10.1177/230949900501300310.
- Enneking W. Local resection of malignant lesions of the hip and pelvis. J Bone Joint Surg. 1966;48(5):991-1007. https://doi.org/10.2106/00004623-196648050-00019.
- Wedemeyer C, Kauther M. Hemipelvectomy — only a salvage therapy? Orthoped Rev. 2011;3(1):4. https://doi.org/10.4081/or.2011.e4.
- Harrington K. The use of hemipelvic allografts or autoclaved grafts for reconstruction after wide resections of malignant tumors of the pelvis. J Bone Joint Surg. 1992;74(3):331-341. https://doi.org/10.2106/00004623-199274030-00003.
- Steel H. Partial or complete resection of the hemipelvis. An alternative to hindquarter amputation for periacetabular chondrosarcoma of the pelvis. J Bone Joint Surg. 1978;60(6):719-730. https://doi.org/10.2106/00004623-197860060-00001.
- OʼConnor M, Sim F. Salvage of the limb in the treatment of malignant pelvic tumors. J Bone Joint Surg. 1989;71(4):481-494. https://doi.org/10.2106/00004623-198971040-00002.
- Nagoya S, Usui M, Wada T, et al. Reconstruction and limb salvage using a free vascularised fibular graft for periacetabular malignant bone tumours. J Bone Joint Surg. 2000;82(8):1121-1124. https://doi.org/10.1302/0301-620x.82b8.11004.
- Stephenson R, Kaufer H, Hankin F. Partial pelvic resection as an alternative to hindquarter amputation for skeletal neoplasms. Clin Orthopaed Rel Res. 1989;(242):201-211. https://doi.org/10.1097/00003086-198905000-00021.
- Fuchs B, O’Connor M, Kaufman K, et al. Iliofemoral arthrodesis and pseudarthrosis: a long-term functional outcome evaluation. Clin Orthopaed Rel Res. 2002;397:29-35. https://doi.org/10.1097/00003086-200204000-00005.
- Enneking WF, Menendez LR. Functional evaluation of various reconstructions after periacetahular resection of iliac lesions. In: Zimmer Orthopaedic Symposium. Limb salvage in musculoskeletal oncology. New York: Churchill Livingstone; 1987. P. 117-135.
- Delloye C, Banse X, Brichard B, et al. Pelvic reconstruction with a structural pelvic allograft after resection of a malignant bone tumor. J Bone Joint Surg. 2007;89(3):579-587. https://doi.org/10.2106/00004623-200703000-00015.
- Biau D, Thévenin F, Dumaine V, et al. Ipsilateral femoral autograft reconstruction after resection of a pelvic tumor. J Bone Joint Surg. 2009;91(1):142-151. https://doi.org/10.2106/jbjs.g.01061.
- Gebert C, Wessling M, Hoffmann C., et al. Hip transposition as a limb salvage procedure following the resection of periacetabular tumors. J Surg Oncol. 2010;103(3):269-275. https://doi.org/10.1002/jso.21820.
- Ozaki T, Hillmann A, Bettin D, et al. High complication rates with pelvic allografts: experience of 22 sarcoma resections. Acta Orthopaed Scand. 1996;67(4):333-338. https://doi.org/10.3109/17453679609002326.
- Langlais F, Lambotte J, Thomazeau H. Long-term results of hemipelvis reconstruction with allografts. Clin Orthopaed Rel Res. 2001;388:178-186. https://doi.org/10.1097/00003086-200107000-00025.
- Hornicek F, Gebhardt M, Tomford W, et al. Factors affecting nonunion of the allograft-host junction. Clin Orthopaed Rel Res. 2001;382:87-98. https://doi.org/10.1097/00003086-200101000-00014.
- Jaiswal P, Aston W, Grimer R, et al. Peri-acetabular resection and endoprosthetic reconstruction for tumours of the acetabulum. J Bone Joint Surg. 2008;90-B(9);1222-1227. https://doi.org/10.1302/0301-620x.90b9.20758.
- Nieder E, Elson R, Engelbrecht E, et al. The saddle prosthesis for salvage of the destroyed acetabulum. J Bone Joint Surg. 1990;72-B(6):1014-1022. https://doi.org/10.1302/0301-620x.72b6.2246283.
- Aljassir F, Beadel G, Turcotte R, et al. Outcome after pelvic sarcoma resection reconstructed with saddle prosthesis. Clin Orthopaed Rel Res. 2005;(438):36-41. https://doi.org/10.1097/00003086-200509000-00009.
- Menendez L, Ahlmann E, Falkinstein Y, Allison D. Periacetabular reconstruction with a new endoprosthesis. Clin Orthopaed Rel Res. 2009;467(11):2831-2837. https://doi.org/10.1007/s11999-009-1043-z.
- Schoellner C, Schoellner D. Die Sockelpfannenoperation bei acetabulären Defekten nach Hüftpfannenlockerung. Ein progress report. Zeitschrift Für Orthopädie Und Ihre Grenzgebiete. 2000;138(3);215-221. (In German). https://doi.org/10.1055/s-2000-10139.
- Илуридзе Г.Д., Бухаров А.В., Карпенко В.Ю., Державин В.А. Результаты модульного эндопротезирования параацетабулярной области при опухолевом поражении вертлужной впадины и тазобедренного сустава. Сибирский онкологический журнал. 2019;19(2):90-99. [Iluridze GD, Bukharov AV, Karpenko VYu, Derzhavin VA. The results of modular endoprosthesis of periacetabular region in tumor lesions of the acetabulum and hip joint. Sibirskii onkologicheskii zhurnal. 2019;19(2):90-99. (In Russ.)] https://doi.org/10.21294/1814-4861-2020-19-2-90-99
- Fisher N, Patton J, Grimer R, et al. Ice-cream cone reconstruction of the pelvis: a new type of pelvic replacement. J Bone & Joint Surg. 2011;93-B(5):684-688. https://doi.org/10.1302/0301-620x.93b5.25608.
- Stihsen C, Hipfl C, Kubista B, et al. Review of the outcomes of complex acetabular reconstructions using a stemmed acetabular pedestal component. J Bone & Joint Surg, 2016;98-B(6):772-779. https://doi.org/10.1302/0301-620x.98b6.36469.
- De Paolis M, Biazzo A, Romagnoli C, et al. The use of iliac stem prosthesis for acetabular defects following resections for periacetabular tumors. Scientific World J. 2013;2013:1-8. https://doi.org/10.1155/2013/717031.
- Johnson JT. Reconstruction of the pelvic ring following tumor resection. J Bone Joint Surg Am. 1978;60(6):747-51.
- Gordon-Taylor G, Wiles P. Interinnomino-abdominal (hindquarter) amputation. Br J Surg. 1934;22:671-695.
- Napalkow PN. Late results from extended excision of the ilium. Arch Orthop. 1931;29:203-209.
- Юдин С.С. Показания и оценка больших операций на костном тазу. Новая хирургия. 1926;3(1):33-48. [Yudin SS. Pokazaniya i ocenka bol’shih operacij na kostnom tazu. Novaya hirurgiya. 1926;3(1):33-48. (In Russ.)]
- Pringle JH. The interpelvi-abdominal amputation. Br J Surg. 1916;4:283-296.
Supplementary files















