Хондропластика первого плюснефалангового сустава по технике аутологичного индуцированного матрицей хондрогенеза в лечении пациентов с hallux rigidus. Анализ ближайших и среднесрочных результатов
- Авторы: Нурмухаметов М.Р.1, Макаров М.А.2, Бялик Е.И.2, Макаров С.А.1, Хренников Я.Б.3
-
Учреждения:
- Федеральное государственное бюджетное научное учреждение «Научно-исследовательский институт ревматологии имени В.А. Насоновой»
- Федеральное государственное бюджетное научное учреждение «Научно-исследовательский институт ревматологии имени В.А. Насоновой
- Федеральное государственное бюджетное учреждение «Федеральный научно-клинический центр специализированных видов медицинской помощи и медицинских технологий ФМБА России»
- Выпуск: Том 27, № 3 (2020)
- Страницы: 32-41
- Раздел: Оригинальные исследования
- Статья получена: 07.08.2020
- Статья одобрена: 15.09.2020
- Статья опубликована: 26.12.2020
- URL: https://journals.eco-vector.com/0869-8678/article/view/42285
- DOI: https://doi.org/10.17816/vto202027332-41
- ID: 42285
Цитировать
Полный текст
Аннотация
Введение. В настоящее время единого подхода к выбору тактики оперативного лечения hallux rigidus (HR) не существует. С другой стороны, известно, что при наличии дефектов хряща в голеностопном, коленном и тазобедренном суставах успешно используется техника аутологичного индуцированного матрицей хондрогенеза. В связи с этим нами предложено применение данной техники в лечении пациентов с HR.
Цель исследования — дать оценку клинической эффективности хондропластики I плюснефалангового сустава (ПФС) по технике аутологичного индуцированного матрицей хондрогенеза у пациентов с HR, проанализировать ближайшие и среднесрочные результаты проведенных операций с точки зрения боли и функции.
Материалы и методы. К настоящему времени хондропластика I ПФС выполнена 21 пациентам с HR. При обследовании определялся объем движений в I ПФС; состояние оценивалось по таким шкалам, как ВАШ боли, AOFAS, VAS FA. Хондропластика I ПФС осуществлялась по технике индуцированного хондрогенеза с использованием коллагеновой матрицы. Результаты проведенного хирургического лечения оценивались через 3, 6 и 12 мес. после операции.
Результаты. Уже через 3 мес. после операции отмечено выраженное значимое уменьшение боли в I ПФС, увеличение объема движения в нем и улучшение функции оперированной стопы. В дальнейшем наблюдалась умеренная положительная динамика.
Заключение. Результаты проведенных операций показали, что хондропластика I ПФС может являться эффективным методом хирургического лечения, позволяющим купировать боль и существенно улучшать качество жизни пациентов с HR как молодого, так и пожилого возраста. Также данную методику можно использовать в лечении пациентов с воспалительными ревматическими заболеваниями при условии низкой активности или ремиссии.
Ключевые слова
Полный текст
Введение
Hallux rigidus (HR) — патологическое состояние, развивающееся при остеоартрите I плюснефалангового сустава (I ПФС) и характеризующееся его скованностью, снижением объема движений и болью, усиливающейся при ходьбе. HR встречается у 2,5–10 % взрослого населения, согласно данным разных авторов, и является вторым по частоте встречаемости патологическим состоянием стопы после вальгусной деформации первого пальца [1, 2]. HR также можно наблюдать у пациентов, страдающих воспалительными ревматическими заболеваниями (РЗ) [3].
На сегодняшний день разработано множество различных методов хирургического лечения HR, таких как артродез I ПФС, остеотомии первой плюсневой кости (I ПК), хейлэктомия, гемиартропластика и тотальное эндопротезирование I ПФС. Все перечисленные способы имеют как достоинства, так и недостатки [4–8].
Хейлэктомия является рекомендованным способом хирургического лечения для пациентов на ранних стадиях HR с умеренной или периодически возникающей болью и скованностью в I ПФС [9]. Тем не менее за счет хейлэктомии не происходит восстановления поврежденных участков суставного хряща, в связи с чем болевой синдром может рецидивировать. В своем исследовании K. Canseco и соавт. [10] также отмечали отсутствие увеличения объема активных движений в I ПФС после выполненной хейлэктомии и указывали на необходимость разработки комплекса реабилитационных мероприятий после проведенной операции. В свою очередь, согласно исследованию N.R. Seibert и соавт. [11], хейлэктомия противопоказана на поздних стадиях заболевания, когда интактной остается менее 50 % суставной поверхности I ПФС.
При избыточной относительной длине I ПК эффективным методом являются укорачивающие отеотомии, а при избыточной элевации I ПК — дистальная косая остеотомия [12–14]. Однако вопрос целесообразности использования данных остеотомий при нормальных анатомических размерах и ориентации I ПК остается открытым. Более того, ряд авторов, в частности Д.С. Бобров и соавт. [15], после выполненной укорачивающей остеотомии I ПК довольно часто наблюдали развитие перегрузочной метатарзалгии.
Артропластика по Келлеру – Брандесу, обеспечивающая быстрое купирование болевого синдрома у пожилых пациентов, заключается в резекции основания проксимальной фаланги первого пальца (ПФПП). Подобная резекция зачастую бывает довольно объемной, что приводит к развитию нестабильности в I ПФС и значительному укорочению первого пальца [16, 17].
Артродез I ПФС считается золотым стандартом хирургического лечения HR на поздних стадиях [18–22]. Однако, так как при артродезе I ПФС замыкается, данная операция не позволяет полностью возвратить нормальную биомеханику ходьбы [23].
Тотальное эндопротезирование I ПФС и гемиартропластика применяют на практике уже более 60 лет [6]. C 1967 г. начали использовать силиконовые протезы, однако в дальнейшем от их применения отказались, так как с точки зрения динамики боли и функции послеоперационные результаты были неудовлетворительными [24, 25]. В дальнейшем результаты хирургического лечения улучшались по мере изменения технологии изготовления протезов. Тем не менее из-за часто встречающегося развития асептической нестабильности компонентов результаты эндопротезирования I ПФС зачастую остаются неудовлетворительными, следовательно, данный способ оперативного лечения не может быть рекомендован как метод выбора [25–30].
Таким образом, в настоящее время общего подхода к выбору тактики оперативного лечения HR не существует. С другой стороны, известно, что при наличии дефектов хряща в голеностопном, коленном и тазобедренном суставах успешно используется техника аутологичного индуцированного матрицей хондрогенеза [31–34]. В коленном суставе операция может осуществляться как с применением минимально инвазивного открытого доступа, так и артроскопически, при этом стоит отметить, что в ряде исследований описаны положительные результаты данной операции [31, 32]. В тазобедренном суставе операция по технике аутологичного индуцированного матрицей хондрогенеза выполняется артроскопически. В частности, A. Fontana и соавт. сообщали о высокой эффективности данной операции при лечении хрящевых дефектов вертлужной впадины [33]. В голеностопном суставе на первом этапе для определения локализации и размеров костно-хрящевых дефектов и выявления возможной нестабильности связочного аппарата используется артроскопия. На втором этапе в зависимости от расположения зоны дефекта выполняется артротомия с применением переднелатерального или переднемедиального доступа. При этом F.G. Usuelli и соавт. отмечали положительные ближайшие послеоперационные результаты [34].
В связи с этим мы предложили использование данной техники в лечении пациентов с HR, в том числе и на поздних стадиях заболевания, а также у пациентов, страдающих системными ревматическими заболеваниями низкой активности или в стадии ремиссии. Данное исследование одобрено этическим комитетом ФГБНУ НИИР им. В.А. Насоновой в 2018 г.
Цель исследования — дать оценку клинической эффективности хондропластики I ПФС по технике аутологичного индуцированного матрицей хондрогенеза у пациентов с HR, проанализировать ближайшие и среднесрочные результаты проведенных операций с точки зрения боли и функции.
Материалы и методы
В исследовании участвовали пациенты с HR. Набор пациентов в исследование осуществляли с учетом следующих критериев исключения: пациенты моложе 18 и старше 74 лет, индекс массы тела >40, наличие воспалительных ревматических заболеваний средней и высокой активности, наличие инфекционных заболеваний.
До операции определяли объем движений в I ПФС, а также использовали следующие анкеты для оценки боли и функции:
- Визуальная аналоговая шкала (ВАШ) боли — от 0 до 100 мм, где 0 — отсутствие боли, 100 мм — максимальная интенсивность.
- Шкала Американской ассоциации ортопедов стопы и голеностопного сустава (American Orthopedic Foot & Ankle Society — AOFAS) — от 0 до 100 баллов, где 0 — наихудшее состояние стопы, 100 — наилучшее [35].
- Визуальная аналоговая шкала оценки функционального состояния стопы и голеностопного сустава (Visual Analogue Scale of Foot & Ankle — VAS FA) — от 0 до 10 баллов, где 0 — наихудший показатель, 10 — наилучший [36, 37].
В связи с небольшим объемом выборки, для каждого из оцениваемых параметров вместо среднего значения определялась медиана, а также в качестве статистического теста использовался критерий Уилкоксона (W), суть которого заключается в том, что сопоставляются абсолютные величины выраженности сдвигов в том или ином направлении [39, 40]. Следовательно, чем больше величина выраженности сдвига, тем меньше вероятность случайных сдвигов. Если сдвиг происходит в сторону уменьшения, критерий W приобретает положительное значение (+); если сдвиг происходит в сторону увеличения, критерий W приобретает отрицательное значение (–). Статистические расчеты критерия W, а также достоверности по p-критерию проводились с помощью программы BioStat®.
К настоящему времени в ФГБНУ НИИР им. В.А. Насоновой хондропластика I ПФС по технике аутологичного индуцированного матрицей хондрогенеза выполнена 21 пациенту с HR, из которых 16 — женщины, 5 — мужчины. Медиана возраста прооперированных пациентов составила 52 года (минимальный возраст — 20 лет, максимальный — 71 год).
Все пациенты до операции испытывали значительное ограничение движений и выраженную боль в I ПФС, отмечали нарушение функции стопы. Медиана объема движений в I ПФС составила 20° (минимальное значение — 0°, максимальное — 50°), боли по ВАШ — 70 мм (минимальное значение — 20 мм, максимальное — 90 мм), AOFAS — 52 балла (минимальный балл — 32, максимальный — 62), VAS FA — 4,5 (минимальный показатель — 2,5, максимальный — 7,8).
Стоит отметить, что в исследовании также были пациенты с воспалительными ревматическими заболеваниями (РЗ) низкой активности или в стадии ремиссии. Из 21 прооперированных пациентов 7 страдали РЗ (у 4 пациентов — ревматоидный артрит (РА), у 2 — анкилозирующий спондилит (АС), у 1 — псориатический артрит (ПсА)).
Для оценки клинико-рентгенологической картины до операции была использована классификация Coughlin – Shurnas (см. таблицу) [38].
Классификация Coughlin – Shurnas
Coughlin – Shurnas classification
Стадия | Тыльное сгибание | Рентгенологическая картина | Клиническая картина |
0 | От 40 до 60о и/или от 10 до 20 % потери объема по сравнению со здоровой стопой | Норма | Боли нет; при осмотре определяется незначительное ограничение движений |
1 | От 30 до 40о и/или от 20 до 50 % потери объема по сравнению со здоровой стопой | Наличие тыльного остеофита на головке I ПК, минимальное сужение суставной щели, минимальный периартикулярный склероз, минимальное уплощение головки I ПК | Незначительный или случайный болевой синдром, при осмотре боль возникает в крайней точке тыльного и/или подошвенного сгибания |
2 | От 10 до 30о и/или от 50 до 75 % потери объема по сравнению со здоровой стопой | Наличие тыльного, латерального и, возможно, медиального остеофитов, создающих картину уплощения головки I ПК; в боковой проекции — вовлечение в патологический процесс не более ¼ суставной щели с тыльной стороны; сужение суставной щели, склероз суставных поверхностей — от легкой до умеренной степени; сесамовидные кости, как правило, не вовлечены в патологический процесс | Болевой синдром от умеренного до выраженного и скованность, которые могут носить постоянный характер; при осмотре боль возникает до максимальных точек тыльного и подошвенного сгибания |
3 | ≤10о и/или от 75 до 100 % потери объема по сравнению со здоровой стопой. Также имеется значительное ограничение подошвенного сгибания (как правило, ≤10о) | Выраженное сужение суставной щели, возможно наличие периартикулярных кистовидных просветлений, вовлечение в патологический процесс более ¼ суставной щели с тыльной стороны, а также сесамовидных костей | Практически постоянный болевой синдром и выраженная скованность в крайних точках объема движения, но не на среднем уровне |
4 | То же, как и при 3-й стадии | Та же, как и при 3-й стадии | Та же, как и при 3-й стадии, но имеется болевой синдром в среднем диапазоне движений |
В соответствии с данной классификацией, у 1 пациента была 1-я стадия HR, у 3 — 2-я, у 11 — 3-я стадия и у 6 пациентов — 4 стадия заболевания (рис. 1).
Рис. 1. Распределение пациентов в соответствии с классификацией Coughlin – Shurnas
Наличие и размер дефекта хрящевого покрытия головки I ПК определяли интраоперационно. Пластике подвергались единичные дефекты хряща диаметром более 3 мм, а также множественные дефекты вне зависимости от размера. В большинстве случаев (18 операций) обнаруживались множественные дефекты хряща в сочетании с наличием остеофитов, при этом выполнялась тотальная хейлэктомия с покрытием всей площади головки I ПК коллагеновой матрицей.
Хондропластику I ПФС осуществляли по технике индуцированного хондрогенеза с использованием коллагеновых матриц Chondro-Gide и Aesculap Novocart Basic (данные матрицы лицензированы в РФ, у производителя есть указание на возможность применения их на коленном, тазобедренном и голеностопном суставах). Матрица имеет дву-слойное строение с плотной и пористой сторонами и состоит из коллагена I и III типов. Пористый слой матрицы состоит из рыхлых коллагеновых волокон и способствует адсорбции мезенхимальных клеток. Плотный слой образует гладкую поверхность, которая препятствует попаданию мезенхимальных стволовых клеток в полость сустава. Матрица изготавливается из бычьего (Aesculap Novocart Basic) и свиного (Chondro-Gide) коллагена, который через некоторое время после проведенной операции резорбируется под действием ферментов до свободных аминокислот. В процессе изготовления из коллагена удаляются телопептиды — главные детерминанты антигенности. Поэтому коллагеновая матрица обладает минимальным иммуногенным потенциалом [31, 32].
Нами разработана следующая техника операции: выполняли прямой медиальный кожный разрез в проекции I ПФС длиной 4 см с последующей мобилизацией кожи с подкожно-жировой клетчаткой, обнажением капсулы сустава и артротомией (рис. 2).
Рис. 2. Остеофиты в области головки плюсневой кости и основания проксимальной фаланги 1-го пальца
Далее выполняли хейлэктомию: осуществляли удаление остеофитов с головки I ПК и основания ПФПП; затем обрабатывали зону дефекта хряща на головке ПК до субхондральной кости (рис. 3), с помощью шила или тонкой спицы выполняли микрофрактурирование данного участка, при этом расстояние между микроперфорациями — 2–3 мм (рис. 4), и укрывали дефект предварительно подготовленной коллагеновой матрицей, которую фиксировали по краям к неповрежденному хрящу и/или надкостнице с помощью тонких рассасывающихся нитей — PDS, Vicryl или Monosyn 6-0 (рис. 5). При этом матрицу накладывали на дефект пористым слоем к поверхности кости.
Рис. 3. Хейлэктомия, удаление остатков поврежденного хряща
Рис. 4. Микрофрактурирование зоны дефекта
Рис. 5. Укладка и фиксация коллагеновой матрицы
Перед укладкой коллагеновую матрицу выдерживали в течение 7 мин в 0,9 % растворе NaCl, после чего следовала ее обрезка по краю дефекта.
На рис. 6 продемонстрирован объем движений в I ПФС после фиксации коллагеновой матрицы и ушивании раны.
Рис. 6. Объем движений в I плюснефаланговом суставе после ушивания раны
Пациентам разрешали ходьбу на следующие сутки после операции. По технике индуцированного хондрогенеза, следует исключить осевую нагрузку на оперированный сустав в течение месяца после операции [31, 34], следовательно, обязательным условием послеоперационной реабилитации для пациентов было ношение обуви Барука для разгрузки переднего отдела стопы в течение 6 недель. Что касается разработки движений, то после хейлэктомии ряд авторов, в частности N.R. Seibert и A.R. Kadakia, указывают на необходимость ранней агрессивной разработки движений в I ПФС [11]. Учитывая наличие болевого синдрома в раннем послеоперационном периоде, пациентам было рекомендовано приступить к постепенной разработке пассивных движений в безболевом диапазоне через неделю после операции. Через 3 недели после операции — начать разработку активных движений, а после перехода к ношению обычной обуви — использование индивидуальных стелек.
Результаты проведенного хирургического лечения оценивали через 3, 6 и 12 мес. после операции.
Результаты
Уже через 3 мес. после операции отмечено выраженное значимое уменьшение боли в I ПФС, увеличение объема движения в нем и улучшение функции оперированной стопы.
Динамика уровня боли по ВАШ представлена на графике (рис. 7).
Рис. 7. Динамика уровня боли по визуальной аналоговой шкале боли, мм
Как видно из графика, уже к 3-му месяцу отмечено выраженное достоверное снижение болевого синдрома с 70 до 25 мм (минимальное значение — 10 мм, максимальное — 50 мм; p < 0,024, W = 36,0). Положительная динамика наблюдалась и через 6 мес. — уровень боли по ВАШ составил 10 мм (минимальное значение — 0 мм, максимальное — 40 мм; p < 0,024, W = 36,0). К концу первого года наблюдения медиана боли по ВАШ снизилась до 5 мм (минимальное значение — 0 мм, максимальное — 30 мм; p < 0,024, W = 36,0).
На рис. 8 представлена динамика показателей по шкале AOFAS.
Рис. 8. Динамика показателей по шкале Американской ассоциации ортопедов стопы и голеностопного сустава, балл
Как видно, к 3-му месяцу после операции медиана AOFAS увеличилась с 52 до 77 баллов (минимальный балл — 50, максимальный — 85; p < 0,024, W = –36,0). Через 6 мес. продолжала наблюдаться положительная динамика — медиана AOFAS увеличилась до 85 баллов (минимальный — 65, максимальный — 92; p < 0,024, W = –36,0), а через 12 мес. составила 87,5 балла (минимальный — 80, максимальный — 95; p < 0,024, W = –36,0).
Динамика показателей по шкале VAS FA представлена на рис. 9.
Рис. 9. Динамика показателей по шкале визуальной аналоговой шкале оценки функционального состояния стопы и голеностопного сустава, балл
Через 3 мес. после выполненной хондропластики медиана VAS FA увеличилась с 4,5 до 8,2 (минимальный показатель — 6,1, максимальный — 9,2; p < 0,024, W = –36,0). Через 6 мес. продолжило наблюдаться увеличение медианы VAS FA до 9,3 (минимальный показатель — 6,6, максимальный — 9,9; p < 0,024, W = –36,0), а через 12 мес. показатель медианы VAS FA составил 9,5 (минимальный показатель – 7,9, максимальный – 10; p < 0,024, W = 36,0).
Что касается объема движений в I ПФС (рис. 10), то через 3 мес. после операции также наблюдалось значительное его увеличение — медиана ROM с 20° возросла до 60° (минимальное значение — 25°, максимальное — 85°, p < 0,024, W = –36,0). Через 6 мес. положительная динамика сохранялась — медиана ROM составила 65° (минимальное значение — 30°, максимальное — 90°, p < 0,024, W = –36,0), а через год наблюдения — увеличилась уже до 71,5° (минимальное значение — 50°, максимальное — 90°, p < 0,024, W = –36,0).
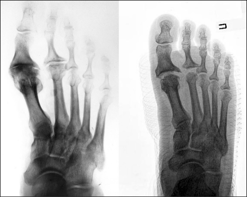
Рентгенография стоп после операции демонстрировала значительное увеличение суставной щели I ПФС (рис. 11). Однако при контрольном осмотре через 3 мес. и далее наблюдали незначительное сужение суставной щели. Тем не менее клинически данное явление не проявлялось снижением ROM. Напротив, пациенты с 3 по 12-й месяц после операции в целом отмечали увеличение ROM (рис. 10, 12).
Рис. 10. Динамика объема движений в I плюснефаланговом суставе
Рис. 11. Рентгенограмма стопы до и в первые сутки после хондропластики I и II плюснефаланговых суставов
Рис. 12. Объем движений в I плюснефаланговом суставе через 12 мес. после операции (пациентка Е., 70 лет)
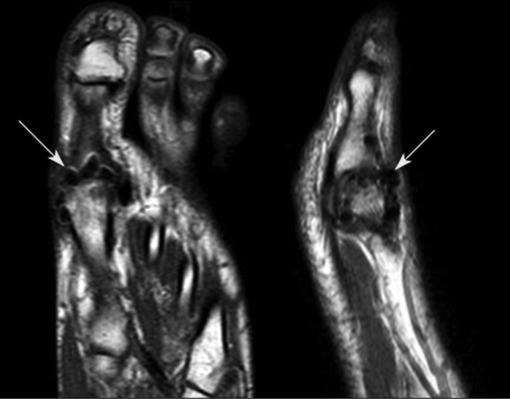
Особый интерес представляет собой картина магнитно-резонансной томографии стопы после операции. В области оперированной головки I ПК определяются гроздевидные образования — «артефакты», трактовка природы которых затруднена (рис. 13).
Рис. 13. Магнитно-резонансная томография стопы через 12 мес. после операции (пациентка Д., 40 лет)
Обсуждение
Проблемой хирургического лечения HR в мире занимаются не один десяток лет. Разработаны классификации заболевания, описано множество оперативных методов лечения. Такие методики, как укорачивающая остеотомия I ПК в сочетании с хейлэктомией или, при запущенных стадиях, артродез I ПФС применяются чаще всего и зарекомендовали себя в целом с положительной стороны [1–9]. Тем не менее эти методы не лишены определенных недостатков, и данный факт является стимулом к поиску новых решений и усовершенствованию хирургической техники.
С другой стороны, операция по технике индуцированного матрицей хондрогенеза является довольно перспективным методом лечения пациентов с костно-хрящевыми дефектами в коленном [31, 32], тазобедренном [33] и голеностопном [34] суставах. Клинические случаи, проанализированные J. Gille и соавт. [32], продемонстрировали постепенное и значительное клиническое улучшение состояния пациентов через 1 и 2 года после операции. Это свидетельствует, что индуцированный хондрогенез является эффективным и безопасным методом лечения костно-хрящевых дефектов коленного сустава. A. Fontana и соавт. [33] показали, что у пациентов с поражением суставного хряща вертлужной впадины III и IV степеней после операции наблюдалось значительное улучшение, которое сохранялось в среднем в течение 5 лет. F.G. Usuelli и соавт. [34] в своем исследовали продемонстрировали, что индуцированный хондрогенез является безопасным и эффективным методом лечения остеохондральных повреждений голеностопного сустава, что проявляется снижением уровня боли, улучшением функции сустава, а также МР-признаками заживления пораженного участка.
В мировой литературе описано только одно исследование, проведенное в 2016 г., в котором автор предлагает метод хирургического лечения HR, схожий с тем, который использовался в нашем исследовании — модифицированный вариант индуцированного матрицей хондрогенеза — MAST (matrix-associated stem cell transplantation) [41]. M. Richter проводил наблюдение за пациентами (n = 20) в течение 2 лет после выполненной хондропластики I ПФС, при этом отмечал значительное улучшение клинических показателей как в раннем послеоперационном периоде, так и через вышеуказанный промежуток времени: медиана показателя VAS FA увеличилась с 5,1 до 9,2, медиана объема движений в I ПФС — с 29,1 до 60°. В нашем исследовании к 12- му месяцу медиана VAS FA увеличилась с 4,5 до 9,5, медиана объема движений в I ПФС — с 20 до 71,5°.
У пациентов после выполненной хондропластики I ПФС по технике индуцированного хондрогенеза на протяжении всего периода наблюдения прослеживается положительная динамика. Особенно значительная разница показателей до и после операции отмечается в раннем периоде — к 3-му месяцу наблюдения.
Тем не менее у одной пациентки 70 лет к 6-му месяцу после операции наблюдалось некоторое ухудшение состояния. Вероятно, это связано с замедлением регенераторных процессов у пожилых людей, а также с тем, что пациенты, как правило, увеличивают нагрузку на оперированную стопу к 6-му месяцу. Стоит отметить, что к 12-му месяцу состояние данной пациентки значительно улучшилось, даже по сравнению с 3 месяцами после операции.
К 6-му месяцу после операции на контрольных рентгенограммах наблюдалось некоторое сужение суставной щели I ПФС, что, однако, не коррелировало с оценкой по шкалам и не оказывало влияния на объем движений в I ПФС. Скорее всего, это происходит из-за того, что к 3-му месяцу после операции процесс заживления и регенерации до конца не завершен. Таким образом, при бóльших размерах суставной щели, в этот период наблюдения объем движений в I ПФС меньше, чем к 6-му месяцу после операции.
Также стоит отметить, что артефакты в I ПФС, обнаруженные на магнитно-резонансной томографии, ранее не были описаны в литературе, поэтому невозможно дать их точную интерпретацию.
Заключение
Анализ ближайших и среднесрочных результатов выполненных операций продемонстрировал высокую эффективность хондропластики I ПФС в качестве метода хирургического лечения пациентов с HR. Более того, применение данной техники позволяет купировать болевой синдром и улучшать качество жизни пациентов, страдающих воспалительными РЗ, при условии низкой активности или ремиссии заболевания.
Уже через 3 мес. после операции у пациентов наблюдается значительная положительная динамика, и в течение года состояние стабилизируется на хорошем уровне. Также индуцированный матрицей хондрогенез, в отличие от хейлэктомии, можно использовать на любой стадии HR.
Однако, несмотря на хорошие результаты выполненных операций, данную технику не рекомендуется использовать у пациентов с РЗ высокой и средней активности без адекватно подобранной базисной терапии. Дать более полную оценку эффективности хондропластики I ПФС по технике индуцированного матрицей хондрогенеза позволит изучение отдаленных результатов операций.
Об авторах
Максим Ринатович Нурмухаметов
Федеральное государственное бюджетное научное учреждение «Научно-исследовательский институт ревматологии имени В.А. Насоновой»
Автор, ответственный за переписку.
Email: nurmi91@mail.ru
ORCID iD: 0000-0001-6847-6396
врач травматолог-ортопед
Россия, МоскваМаксим Анатольевич Макаров
Федеральное государственное бюджетное научное учреждение «Научно-исследовательский институт ревматологии имени В.А. Насоновой
Email: ortopedniir@mail.ru
канд. мед. наук, заведующий лабораторией ревмоортопедии и реабилитации
Россия, МоскваЕвгений Иосифович Бялик
Федеральное государственное бюджетное научное учреждение «Научно-исследовательский институт ревматологии имени В.А. Насоновой
Email: sklifbialik@yandex.ru
д-р мед. наук, профессор, ведущий научный сотрудник лаборатории ревмоортопедии и реабилитации
Россия, МоскваСергей Анатольевич Макаров
Федеральное государственное бюджетное научное учреждение «Научно-исследовательский институт ревматологии имени В.А. Насоновой»
Email: smakarov59@rambler.ru
канд. мед. наук, заведующий отделением травматологии и ортопедии
Россия, МоскваЯрослав Борисович Хренников
Федеральное государственное бюджетное учреждение «Федеральный научно-клинический центр специализированных видов медицинской помощи и медицинских технологий ФМБА России»
Email: yaroslav79@yandex.ru
канд. мед. наук, врач – травматолог-ортопед
Россия, МоскваСписок литературы
- Бережной С.Ю. Артроз первого плюснефалангового сустава: чрескожное оперативное лечение, выбор хирургической методики, клинико-рентгенологическая классификация. Травматология и ортопедия России. 2017;23(1):8-22. [Berezhnoy SYu. First metatarsophalangeal joint osteoarthritis: percutaneous surgery, choice of a surgical procedure, clinical and radiographic classification. Traumatology and Orthopedics of Russia. 2017;23(1):8-22. (In Russ.).] https://doi.org/10.21823/2311-2905-2017-23-1-8-22.
- McNeil DS, Baumhauer JF, Glazebrook MA. Evidence-based analysis of the efficacy for operative treatment of hallux rigidus. Foot Ankle Int. 2013;34:15. https://doi.org/10.1177/1071100712460220.
- Kirkup JR, Vidigal E, Jacoby RK. The hallux and rheumatoid arthritis. Acta Orthopaedica Scandinavica. 1977;48(5):527-544. https://doi.org/10.3109/17453677708989743.
- Sorbie C, Saunders GA. Hemiarthroplasty in the treatment of hallux rigidus. Foot Ankle Int. 2008;29:273-81. https://doi.org/10.3113/FAI.2008.0273.
- Mackey RB, Thomson AB, Kwon O, et al. The modified oblique Keller capsular interpositional arthroplasty for hallux rigidus. J Bone Joint Surg Am. 2010;92:1938-2046. https://doi.org/10.2106/JBJS.I.00412.
- Erdil M, Elmadag NM, Polat G, et al. Comparison of arthrodesis, resurfacing hemiarthroplasty, and total joint replacement in the treatment of advanced hallux rigidus. J Foot Ankle Surg. 2013;52:588-593. https://doi.org/10.1053/j.jfas.2013.03.014.
- Calvo A, Viladot R, Gine J, Alvarez F. The importance of the length of the first metatarsal and the proximal phalanx of hallux in the etiopathogeny of the hallux rigidus. Foot Ankle Surg. 2009;15(2):69-74. https://doi.org/10.1016/j.fas.2008.08.001.
- Keiserman L, Sammarco J, Sammarco GJ. Surgical treatment of the hallux rigidus. Foot Ankle Clin N Am. 2005;10:75-96. https://doi.org/10.1016/j.fcl.2004.09.005.
- Waizy H, Czardybon MA, Stukenborg-Colsman C. Midand long-term results of the joint preserving therapy of hallux rigidus. Arch Orthop Trauma Surg. 2010;130:165-170. https://doi.org/10.1007/s00402-009-0857-1.
- Canseco K, Long J, Marks R, et al. Quantitative motion analysis in patients with hallux rigidus before and after cheilectomy. J Orthop Res. 2009;27(1):128-134. https://doi.org/10.1002/jor.20711.
- Seibert NR, Kadakia AR. Surgical management of hallux rigidus: cheilectomy and osteotomy (phalanx and metatarsal). Foot Ankle Clin. 2009;14(1):9-22. https://doi.org/10.1016/j.fcl.2008.11.002.
- Derner R, Goss K, Postowski HN, Parsley N. A plantar-flexor-shortening osteotomy for hallux rigidus: a retrospective analysis. J Foot Ankle Surg. 2005;44(5):377-389. https://doi.org/10.1053/j.jfas.2005.07.010.
- Freeman BL, Hardy MA. Multiplanar phalangeal and metatarsal osteotomies for hallux rigidus. Clin Podiatr Med Surg. 2011;28(2):329-344. https://doi.org/10.1016/j.cpm.2011.03.002.
- Malerba F, Milani R, Sartorelli E, Haddo O. Distal oblique first metatarsal osteotomy in grade 3 hallux rigidus: a longterm followup. Foot Ankle Int. 2008;29(7):677-682. https://doi.org/10.3113/FAI.2008.0677.
- Бобров Д.С., Слиняков Л.Ю., Сухарева А.Г. Хирургическое лечение перегрузочной метатарзалгии. Московский хирургический журнал. 2014;3(37);16-18. [Bоbrоv DS, Slinyakоv LYu, Sukhаrеvа AG, et al. Surgical treatment of overload metatarsalgia. Moscow Sugrical Journal. 2014;3(37);16-18. (In Russ.).]
- Yee G, Lau J. Current concepts review: hallux rigidus. Foot Ankle Int. 2008;29(6):637-46. https://doi.org/10.3113/FAI.2008.0637.
- Lau JT, Daniels TR. Outcomes following cheilectomy and interpositional arthroplasty in hallux rigidus. Foot Ankle Int. 2001;22(6):462-470. https://doi.org/10.1177/107110070102200602.
- Goucher NR, Coughlin MJ. Hallux metatarsophalangeal joint arthrodesis using dome shaped reamers and dorsal plate fixation: a prospective study. Foot Ankle Int. 2006;27(11):869-876. https://doi.org/10.1177/107110070602701101.
- Ettl V, Radke S, Gaertner M, Walther M. Arthrodesis in the treatment of hallux rigidus. Int Orthop. 2003;27(6):382-385. https://doi.org/10.1007/s00264-003-0492-3.
- Brodsky JW, Baum BS, Pollo FE, Mehta H. Prospective gait analysis in patients with first metatarsophalangeal joint arthrodesis for hallux rigidus. Foot Ankle Int. 2007;28(2):162-165. https://doi.org/10.3113/FAI.2007.0162.
- Fanous RN, Ridgers S, Sott AH. Minimally invasive arthrodesis of the first metatarsophalangeal joint for hallux rigidus. Foot Ankle Surg. 2014;20(3):170-173. https://doi.org/10.1016/j.fas.2014.03.004.
- Bauer T, Lortat-Jacob A, Hardy P. First metatarsophalangeal joint percutaneous arthrodesis. Orthop Traumatol Surg Res. 2010;96(5):567-573. https://doi.org/10.1016/j.otsr.2010.01.011.
- DeFrino PF, Brodsky JW, Pollo FE. First metatarsophalangeal arthrodesis: a clinical, pedobarographic and gait analysis study. Foot Ankle Int. 2002;23(6):496-502. https://doi.org/10.1177/107110070202300605.
- Konkel KF, Menger AG, Retzlaff SA. Results of metallic hemi-great toe implant for grade III and early grade IV hallux rigidus. Foot Ankle Int. 2009;30(7):653-660. https://doi.org/10.3113/FAI.2009.0653.
- Gupta S, Mallya N. TOEFIT-PLUS™ replacement of the first metatarsophalangeal joint of the first toe: a short-term follow-up study. Foot. 2008;18(1):20-24. https://doi.org/10.1016/j.foot.2007.07.001.
- Knessl J, Frank SE, Kundert HP. Ground reaction forces under the great toe after implantation of the TOEFIT-PLUS™ prosthesis. Foot Ankle Surg. 2005;11(3):131-134. https://doi.org/10.1016/j.fas.2005.03.001.
- Nixon NF, Taylor GJ. Early failure of the Moje implant when used to treat hallux rigidus: the need for regular surveillance. Foot. 2008;18(1):1-6. https://doi.org/10.1016/j.foot.2007.05.002.
- Sullivan MR. Hallux rigidus: MTP implant arthroplasty. Foot Ankle Clin. 2009;14(1):33-42. https://doi.org/10.1016/j.fcl.2008.11.009.
- Deheer PA. The case against first metatarsal phalangeal joint implant arthroplasty. Clin Podiatr Med Surg. 2006;23(4):709-723. https://doi.org/10.1016/j.cpm.2006.08.001.
- Sinha S, McNamara P, Bhatia M. Survivorship of the bio-action metatarsophalangeal joint arthroplasty for hallux rigidus: 5-year follow-up. Foot Ankle Surg. 2010;16(1):25-27. https://doi.org/10.1016/j.fas.2009.04.002.
- Benthien JP, Behrens P. Autologous matrix-induced chondrogenesis (AMIC): combining microfracturing and a collagen I/III matrix for articular cartilage resurfacing. Cartilage. 2010;(1):65-68.
- Gille J, Behrens P, de Girolamo L. Outcome of autologous matrix induced chondrogenesis (AMIC) in cartilage knee surgery: data of the AMIC Registry. Arch Orthop Trauma Surg. 2013;133(1):87-93. https://doi.org/10.1007/s00402-012-1621-5.
- Fontana A, de Girolamo L Sustained five-year benefit of autologous matrix-induced chondrogenesis for femoral acetabular impingement-induced chondral lesions compared with microfracture treatment. Bone Joint J. 2015;97-B(5):628-635. https://doi.org/10.1302/0301-620x.97b5.35076.
- Usuelli FG, D’Ambrosi R, Maccario C. All-arthroscopic AMIC® (AT-AMIC®) technique with autologous bone graft for talar osteochondral defects: clinical and radiological results. Knee Surg Sports Traumatol Arthrosc. 2016;26(3):875-881. https://doi.org/10.1007/s00167-016-4318-4.
- Kitaoka HB, Alexander IJ, Adelaar RS. Clinical rating systems for the ankle, hindfoot, midfoot, hallux and lesser toes. Foot Ankle Int. 1994;15(7):349-353. https://doi.org/10.1177/107110079401500701.
- Richter M, Zech S, Geerling J. A new foot and ankle outcome score: Questionnaire based, subjective, Visual-Analogue-Scale, validated and computerized. Foot Ankle Surg. 2006;12(4):191-199. https://doi.org/10.1016/j.fas.2006.04.001.
- Цзяньлиюань Мо, Ригин Н.В., Бобров Д.С., Слиняков Л.Ю. Анкеты и шкалы для оценки состояния стопы и голеностопного сустава. Кафедра травматологии и ортопедии. 2016;4(20):5-11. [Tszyan’liyuan’ Mo, Rigin NV, Bobrov DS, Slinyakov LYu. Questionnaires and scales for assessing the condition of the foot and ankle. Kafedra travmatologii i ortopedii. 2016;4(20):5-11. (In Russ.).]
- Coughlin MJ, Shurnas PS. Hallux rigidus: grading and long-term results of operative treatment. J Bone Joint Surg Am. 2003;85(11):2072-2088. https://doi.org/10.2106/00004623-200311000-00003.
- Pratt JW. Remarks on zeros and ties in the wilcoxon signed rank procedures. J Am Stat Ass. 1959;54(287):655-667. https://doi.org/10.1080/01621459.1959.10501526.
- Сидоренко Е.В. Методы математической обработки в психологии. — СПб.: Речь, 2010. — 350 c. [Sidorenko EV. Methods of mathematical processing in psychology. Saint Petersburg: Rech’; 2010. 350 p. (In Russ.).]
- Richter M, Zech S, Meissner AS. Matrix-associated stem cell transplantation (MAST) in chondral defects of the 1st metatarsophalangeal joint is safe and effective — 2-year-follow-up in 20 patients. Foot Ankle Surg. 2016;23(3):195-200. https://doi.org/10.1016/j.fas.2016.05.318.
Дополнительные файлы




























