Express diagnostic of acetabular fractures. Part I. X-ray associated anatomy, simple fractures diagnostic algorithm (part I)
- 作者: Stoyukhin S.S.1, Lazarev A.F.2, Gudushauri Y.G.2, Solod S.E.2
- 
							隶属关系: 
							- “City clinical hospital No. 15. O. M. Filatov” Department of health of Moscow
- National medical researchcenter for traumatology and orthopedics N.N. Priorova Ministry of Health of Russia
 
- 期: 卷 26, 编号 3 (2019)
- 页面: 37-48
- 栏目: SCIENTIFIC REVIEWS
- ##submission.dateSubmitted##: 19.10.2020
- ##submission.datePublished##: 15.09.2019
- URL: https://journals.eco-vector.com/0869-8678/article/view/47191
- DOI: https://doi.org/10.17116/vto201903137
- ID: 47191
如何引用文章
全文:
详细
This article describes main radiologic signs of bony structures that form acetabulum. The methods of poly projection x-rays study and evaluation of it are described. Also, authors show rational algorithm of choosing fracture type according to Judet—Letournel classification. Case presentation is based on simple fracture types.
全文:
Лучевые методы исследования занимают особое место в диагностике переломов вертлужной впадины. В последнее время важную роль стала занимать комютерная томография (КТ). Однако выполнение КТ не всегда возможно при первичном обследовании пациента, особенно в остром периоде сочетанной травмы. Это объясняется либо отсутствием необходимого оборудования, либо невозможностью транспортировки пациента, обусловленное тяжестью общего состояния. Поэтому своевременное полноценное рентгенографическое обследование по-прежнему остается наиболее оптимальным и информативным методом исследования. Однако важным моментом является не только и не столько рентгенография таза в разных проекциях даже при хорошем качестве снимков, но правильная интерпретация полученных рентгенограмм [1—3].
Определить тип перелома вертлужной впадины в большинстве случаев возможно уже после выполнения обзорной прямой рентгенограммы таза в переднезадней проекции. Осуществление рентгенограмм в специальных укладках (косая запирательная и косая подвздошная по Judet) могут значительно ухудшить состояние пациента и спровоцировать продолжение кровотечений из травматических очагов, поскольку пациенты с подозрениями на перелом вертлужной впадины нередко поступают в лечебное учреждение в общем тяжелом состоянии. Повторные перекладывания пациента и специальные укладки категорически противопоказаны в остром периоде травмы.
Рентгенологическую диагностику следует проводить максимально бережно для пациента и без изменения положения таза. Для этого в НМИЦ ТО разработана и внедрена в клиническую практику методика, предложенная А.Ф. Лазаревым Специальные проекции: косая запирательная и косая подвздошная получают за счет отклонения центрального пучка рентгеновских лучей без изменения положения таза и тела пациента.
При первичном обследовании очень важно правильно оценить данные, полученные при обзорных рентгенограммах в прямой переднезадней проекции, каудальной и краниальной проекциях. Выполнение рентгенограмм в этих проекциях не требует изменения положения таза, проводится вертикальным или отклоненным центральным пучком рентгеновских лучей. Таким образом, уже при поступлении можно получить серию рентгенограмм во взаимно перпендикулярных проекциях, что позволяет провести качественную экспресс-диагностику перелома вертлужной впадины. Следует помнить, что неправильная трактовка рентгенограммы может стать причиной ошибки в диагностике [3].
Знание нормальной рентгенанатомии и рентгенологических признаков переломов вертлужной впадины позволяет в большинстве случаев определить особенности повреждения вертлужной впадины.
Рентгенанатомия вертлужной впадины (6 референтных линий +)
На стандартной рентгенограмме в переднезадней проекции можно выделить определенные линии, которые соответствуют основным структурам, составляющим вертлужную впадину. Следует отметить, что большинство этих линий образованы не контуром кости, а наложением теней различных анатомических структур.
- Подвздошно-гребешковая линия (соответствует терминальной линии тазового кольца) в передних отделах соответствует передней колонне вертлужной впадины, в задних отделах она отражает тело подвздошной кости на протяжении до крестца — в норме она непрерывна (рис. 1). С клинической точки зрения целостность тазового кольца определяет непрерывность подвздошно-гребешковой линии.
- Подвздошно-седалищная линия образована наложением внутреннего и наружного кортикального слоя четырехсторонней пластины. Рентгенологическая тень соответствует анатомическим контурам внутренней поверхности четырехсторонней пластинки и медиальной поверхности нисходящей ветви седалищной кости, в верхних отделах она соответствует контурам большой седалищной вырезки, представляет внутритазовую поверхность задней колонны и дна вертлужной впадины (рис. 2).
- Крыша вертлужной впадины ренгенологически соответствует краниальным отделам наиболее нагружаемой части вертлужной впадины — образована наложением плотных субхондральных структур (сур- сил) верхней полусферы вертлужной впадины (рис 3).
- Фигура слезы представляет собой передненижнюю часть суставной поверхности вертлужной впадины, имеющей подковообразную форму, соответвует медиальному отделу нижнего края суставной поверхности впадины. Является ориентиром для определения истинного положения дна вертлужной впадины (рис. 4).
- Контур задней стенки вертлужной впадины (задний край впадины) соответствует переходу самой стенки в хрящевую губу (рис. 5).
- Контур передней стенки вертлужной впадины (передний край впадины) соответствует переходу самой стенки в хрящевую губу (рис. 6).
Высокую информативность в диагностическом плане дает определение непрерывности контуров вышеуказанных линий. Рентгенологическим признаком перелома является нарушение непрерывности конт - ров, даже при отсутствии видимого смещения и деформации линии. Локализация прерывания контуров фигуры слезы играет важное значение для определения характера и типа перелома.
- Контуры запирательного отверстия. Нарушение непрерывности контура запирательного отверстия является признаком перелома, плоскость которого проходит через запирательное отверстие (рис. 7). Может служить диагностическим признаком повреждения одной из колонн вертлужной впадины.
Рис. 1. Подвздошно-гребешковая линия на рентгенограмме и на схематическом изображении таза.
Fig. 1. Ileopectineal line on AP pelvic X-ray and on schematic pelvis.
Рис. 2. Подвздошно-седалищная линия на рентгенограмме и на схематическом изображении таза.
Fig. 2. Ileoischial line on AP pelvic X-ray and on schematic pelvis.
Рис. 3. Крыша вертлужной впадины на рентгенограмме и на схематическом изображении таза.
Fig. 3. Acetabular roof on AP pelvic X-ray and on schematic pelvis.
Рис. 4. «Фигура слезы» на рентгенограмме и на схематическом изображении таза.
Fig. 4. Teardrop line on AP pelvic X-ray and on schematic pelvis.
Рис. 5. Контуры задней стенки на рентгенограмме и на схематическом изображении таза.
Fig. 5. Posterior wall brim on AP pelvic X-ray and on schematic pelvis.
Рис. 6. Контуры передней стенки на рентгенограмме и на схематическом изображении таза.
Fig. 6. Anterior wall brim on AP pelvic X-ray and on schematic pelvis.
Рис. 7. Непрерывный контур запирательного отверстия на рентгенограмме и на схематическом изображении таза.
Fig. 7. Intact obturatot foramen on AP pelvic X-ray and on schematic pelvis.
Прямая обзорная рентгенограмма в переднезадней проекции позволяет определить соотношения головки бедра и вертлужной впадины по соответствию стояния головки бедренной кости противоположной стороны (при односторонних переломах), по симметричности линий Шентона. Изменение линии Шентона с большой долей вероятности может свидетельствовать о центральном или краниальном смещении головки бедренной кости, а также о сопутствующем повреждении проксимального отдела бедренной кости. Учитывая индивидуальные особенности тазобедренного сустава сравнение всегда надо проводить с интактным суставом (рис. 8).
Рис. 8. Линия Шентона на обзорной рентгенограмме и на схематическом изображении таза.
Fig. 8. Shenton line on AP pelvic X-ray and on schematic pelvis.
Каудальная обзорная рентгенограмма (Inlet) позволяет выделить зоны, которые соответствуют анатомическим структурам вертлужной впадины: передняя стенка и передняя колонна (рис. 9), задняя колонна (рис. 10).
На уровне головки бедра эта часть линии соответствует передней стенке.
Рис. 9. Контуры передней колонны на рентгенограмме в каудальной проекции и на схеме.
Fig. 9. Anterior column brim on inlet pelvic X-ray and on schematic pelvis.
Рис. 10. Контуры задней колонны на рентгенограмме в каудальной проекции и на схеме, также определяются контуры большой и малой седалищной вырезок.
Fig. 10. Posterior column brim on inlet pelvic X-ray and on schematic pelvis.
Также на рентгенограмме в каудальной проекции визуализируются такие структуры, как крыло подвздошной кости, седалищная ость, положение головки бедра относительно впадины.
Детализацию характера переломов вертлужной впадины обычно проводят по общепринятой классификации Judet—Letournel [5, 6] с использованием разработанных авторами проекций. Однако данные рентгенограммы требуют специальной укладки с поворотом таза, что не может быть оправданным в остром периоде при поступлении.
В НМИЦ ТО разработана методика диагностики переломов вертлужной впадины, исключающая дополнительные перемещения пациента и повороты таза с использованием техники отклонения центрального рентгеновского луча [4, 5]. Эта методика позволяет получить те же необходимые проекции. Визуализировать такие же структуры, что и при классической методике, можно без поворота пациента на 45°, а путем изменения угла рентгеновского луча на такую же величину (рис. 11) [6, 7].
Рис. 11. Схема выполнения рентгенографии с помощью методики отклонения рентгеновского луча. Запирательная и подвздошная проекция.
Fig. 11. Schematic view of obturetor oblique and iliac oblique X-ray made with beam deviation.
На рис. 12 представлена обзорная рентгенограмма таза. По данному снимку возможно заподозрить перелом левой вертлужной впадины, поскольку определяется незначительная деформация подвздошногребешковой линии с нарушением ее непрерывности.
Рис. 12. Обзорная рентгенография таза пациента с подозрением на перелом вертлужной впадины.
Fig. 12. АР Pelvic X-ray of patient with suspected acetabular fracture.
После выполнения прицельной рентгенографии в косой подвздошной проекции по методике НМИЦ TO, выявлена линия перелома, проходящая через крыло подвздошной кости, сурсил и нижние отделы передней колонны. Также на прицельной рентгенограмме отчетливо видна интактность задних отделов вертлужной впадины (рис. 13).
Рис. 13. Рентгенография левого тазобедренного сустава в косой-подвздошной проекции, выполнена по методике НМИЦ ТО. Стрелками показана линия перелома в местах прохождения через визуализируемые структуры вертлужной впадины.
Fig. 13. Iliac oblique view made CITO method. Arrows shows fracture lines crossing acetabulum.
На обзорной рентгенограмме, представленной на рис. 14 достоверно определяется нарушение непрерывности подвздошно-гребешковой и подвздошно-седалищной линии.
Рис. 14. Обзорная рентгенография таза пациента с переломом вертлужной впадины.
Fig. 14. АР pelvic X-ray of patient with acetabular fracture.
С помощью рентгенограммы в косой запирательной проекции, выполненной по методике НМИЦ ТО, диагностирован перелом задней стенки со смещением отдельного фрагмента. Также с помощью прицельного снимка определена целостность контуров запирательного отверстия (рис. 15).
Рис. 15. Рентгенография правого тазобедренного сустава в косой-запирательной проекции, выполнена по методике НМИЦ ТО. Стрелками показан перелом и отдельный фрагмент задней стенки.
Fig. 15. Obturator oblique view made with CITO method. Arrows shows separated posterior wall fragment.
Рентгенодиагностика переломов вертлужной впадины
Классификация переломов вертлужной впадины Judet—Letournel [4] общепризнанно является наиболее корректной в диагностическом и практическом плане. Согласно данной классификации, выделяют 10 типичных переломов вертлужной впадины, которые разделены на 2 группы.
Критерием деления является количество плоскостей переломов. При наличии одной плоскости перелом относят к 1 -й группе — «простых» переломов, при наличии нескольких плоскостей, т.е. нескольких травматических очагов — относят ко 2-й группе «ассоциированных» или «сложных» переломов.
В 1-ю группу входят: переломы передней стенки, задней стенки, передней колонны, задней колонны, поперечные переломы. Все данные переломы имеют одну плоскость излома, проходящую через суставную поверхность вертлужной впадины (рис. 16).
Рис. 16. Простые переломы вертлужной впадины по классификации R. Judet и Е. Letournel.
Fig. 16. Simple acetabuar fractures according to R. Judet and E. Letournel aclassification.
К «ассоциированным» переломам 2-й группы относят: перелом задней колонны и задней стенки, Т-образные переломы, поперечные переломы с переломом задней стенки, передней колонны и задние полупоперечные, двухколонные переломы (рис. 17).
Рис. 17. Ассоциированные переломы вертлужной впадины по классификации R. Judet и Е. Letournel.
Fig. 17. Complex acetabuar fractures according to R. Judet and E. Letournel aclassification.
Для каждого типа переломов характерно нарушение непрерывности референтных линий. Определение типов перелома возможно методом исключения структур вертлужной впадины, референтные линии которых рентгенологически не изменены. В подавляющем большинстве случаев, определить тип перелома можно, проанализировав рентгенограмму таза в переднезадней проекции [8].
Определение типа перелома выполняют последовательным ответом на вопрос: имеется повреждение определенной линии или нет. Анализ контуров каждой референтной линии позволяет исключить определенные типы переломов. Основными линиями, позволяющими последовательно определить тип перелома, являются: подвздошно-гребешковая линия, подвздошно-седалищная линия, контуры запирательного отверстия, линия задней стенки, крыло подвздошной кости. Каждая из референтных линий на рентгенограммах отмечена определенным цветом (рис. 18).
Рис. 18. Цвета референтных линий на рентгенограммах.
Fig. 18. Reference lines colours on X-rays.
При сохранении непрерывности и целостности подвздошно-гребешковой линии на переднезадней обзорной рентгенограмме (рис. 19) можно исключить следующие переломы: передней стенки, передней колонны, поперечный, поперечный ассоциированный с переломом задней стенки, Т-образный, передней колонны ассоциированный с задним полупоперечным переломом, двухколонный перелом.
Рис. 19. Первый этап определения перелома задней стенки.
Fig. 19. First step of posterior wall fracture diagnostic.
С клинической точки зрения непрерывная подвздошно-гребешковая линия обозначает сохранение целостности (отсутствие перелома) передней колонны вертлужной впадины.
Целостность и непрерывность подвздошно-седалищной линии на рентгенограмме в прямой проекции (рис. 20) дает возможность исключить: перелом задней колонны, задней колонны ассоциированный с задней стенкой.
Рис. 20. Второй этап определения перелома задней стенки.
Fig. 20. Second step of posterior wall fracture diagnostic.
Непрерывность референтных линий является рентгенологическим подтверждением целостности соответствующих структур вертлужной впадины.
Таким образом, методом исключения неповрежденных структур определен перелом задней стенки вертлужной впадины справа (см. рис. 20).
Рентгенограмма в косой запирательной проекции (наличие смещенного фрагмента задней стенки) подтверждает установленный диагноз (рис. 21). Достоверность диагноза подтверждается наличием рентгенологических признаков перелома на рентгенограммах как минимум в 2-х проекциях во взаимно перпендикулярных или близких к этому плоскостях.
Рис. 21. Верификация перелома задней стенки по данным косой запирательной проекции.
Fig. 21. Posterior wall fracture verification on obturetor oblique view.
На прямой обзорной рентгенограмме, представленной на рис. 22, целостность подвздошно-седалищной линии сохранена. Данный признак позволяет исключить повреждение структур задней колонны. По классификации Judet—Letournel мы можем исключить следующие переломы: поперечный перелом вертлужной впадины, поперечный ассоциированный с переломом задней стенки, Т-образный, передней колонны, ассоциированный с задним полупоперечным, двухколонный перелом (при которых заинтересованы обе колонны.
Непрерывность подвздошно-седалищной линии позволяет, кроме того, исключить: перелом задней колонны, перелом задней колонны, ассоциированный с переломом задней стенки (см. рис. 22).
Рис. 22. Первый этап определения перелома передней стенки.
Fig. 22. First step of anterior wall fracture diagnostic.
Важно отметить, что сохранение непрерывности контура запирательного отверстия позволяет исключить перелом передней колонны (рис. 23).
Рис. 23. Второй этап определения перелома передней стенки.
Fig. 23. Second step of anterior wall fracture diagnostic.
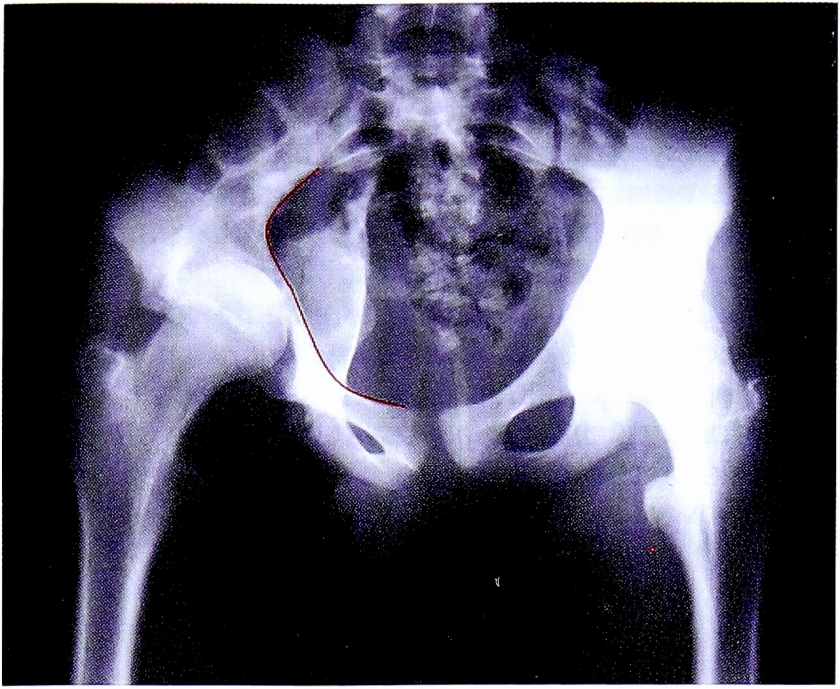
Непрерывность контура заднего края вертлужной впадины позволяет исключить перелом задней стенки (рис. 24, а).
Нарушение непрерывности только подвздошногребешковой линии позволяет заподозрить перелом передней стенки (см. рис. 24, б).
Рис. 24. a — интактные референтные линии; б — комбинация референтных линий.
Fig. 24. а — intact reference lines; b — combination of reference lines.
Таким образом, методом исключения диагностирован перелом передней стенки.
Рентгенограмма в косой подвздошной проекции подтверждает перелом передней стенки вертлужной впадины (рис. 25).
Рис. 25. Окончательное определение и верификация перелома передней стенки.
Fig. 25. Final diagnostic and verification of anterior wall fracture.
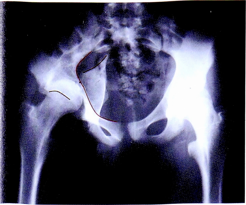
Как уже было отмечено в первом клиническом примере, при сохранении непрерывности подвздошно-гребешковой линии на обзорной рентгенограмме, можно исключить переломы передней колонны, как простые, так и ассоциированные с переломами других отделов (рис. 26).
Рис. 26. Первый этап определения перелома задней колонны.
Fig. 26. First step of posterior column fracture diagnostic.
Следует отметить, что в данном примере (рис. 27) имеется повреждение линии заднего края, что соответствует повреждению задних отделов впадины. Однако повреждение этой линии в одном месте и, соответственно, отсутствие отдельного фрагмента задней стенки позволяет с большой долей вероятности исключить те типы переломов, при которых он наблюдается, а именно: перелом задней стенки и перелом задней колонны, ассоциированный с переломом задней стенки.
Рис. 27. Второй этап определения перелома задней колонны.
Fig. 27. Second step of posterior column fracture diagnostic.
Таким образом, методом исключения неповрежденных структур вертлужной впадины, диагностирован перелом задней колонны вертлужной впадины. Повреждение подвздошно-седалищной линии и деформация контуров запирательного отверстия подтверждает этот диагноз (рис. 28). На рентгенограмме в косой запирательной проекции определяется задний вывих головки бедренной кости и отсутствие отдельного фрагмента задней стенки (рис. 29).
Рис. 28. Верификация перелома задней колонны.
Fig. 28. Verification of posterior column fracture.
Рис. 29. Рентгенограмма в косой запирательной проекции.
Fig. 29. Obturetor oblique view.
На прямой обзорной рентгенограмме (рис. 30) сохранена непрерывность подвздошно-седалищной линии. Исходя из этого, можно исключить все типы переломов, при которых имеется повреждение задней колонны, а также обеих колонн вертлужной впадины. С клинической точки зрения на этом этапе экспресс-диагностики из возможных 10 вариантов переломов вертлужной впадины остается 3 вероятных повреждения.
Рис. 30. Первый этап определения перелома передней колонны.
Fig. 30. First step of anterior column fracture diagnostic.
Целостность контуров заднего края позволяет исключить перелом задней стенки (рис. 31) — остается 2 возможных варианта.
Рис. 31. Третий этап определения перелома передней колонны.
Fig. 31. Third step of anterior column fracture diagnostic.
Сочетание повреждений подвздошно-гребешковой линии и контуров запирательного отверстия позволяет уточнить окончательный диагноз: перелом передней колонны вертлужной впадины (см. рис. 31).
На обзорной рентгенограмме таза у следующего пациента (рис. 32), из основных референтных линий сохранена целостность только контуров запирательного отверстия. На первом этапе это позволяет исключить типы вертикальных переломов, включающих переднюю колонну, заднюю колонну и их сочетания.
Рис. 32. Первый этап определения поперечного перелома.
Fig. 32. First step of transverse fracture diagnostic.
При анализе контуров задней стенки определяется ее линейное или точнее одноплоскостное повреждение, что позволяет сделать вывод об отсутствии перелома задней стенки. Так же может быть исключен перелом передней стенки (рис. 33).
Рис. 33. Второй этап определения поперечного перелома.
Fig. 33. Second step of transverse fracture diagnostic.
Таким образом, методом исключения диагностирован поперечный перелом вертлужной впадины.
Отличительной особенностью этого типа перелома является нарушение контуров и непрерывности 4 референтных линий (подвздошно-гребешковая, подвздошно-седалищная, передней и задней стенки) на обзорной переднезадней рентгенограмме, причем линия перелома определяется в одной плоскости (рис. 34).
Рис. 34. Верификация поперечного перелома.
Fig. 34. Verification of transverse fracture.
Заключение. Отличительной особенностью «простых» форм переломов вертлужной впадины является наличие одной плоскости перелома, проходящей через суставную артикулирующую поверхность. В подавляющем большинстве случаев данные прямой обзорной рентгенографии позволяют установить предварительный диагноз, выполнив только одну рентгенограмму.
Следует отметить, что наличие одной плоскости перелома проявляется нарушением только одной из референтных линий при изолированных переломах передней или задней стенки. Нарушение только одной линии при данных переломах определяется минимум в двух местах соответственно контурам отломка.
Характерной особенностью перелома одной из колонн является сочетание нарушения непрерывности подвздошно-гребешковой линии (передняя колонна) или подвздошно-седалищной линии (задняя колонна) с нарушением непрерывности контуров запирательного отверстия.
Для поперечного перелома характерно повреждение подвздошно-гребешковой, подвздошно-седалищной линии и линии переднего и заднего края вертлужной впадины в одной проекции. В то же время контуры запирательного отверстия остаются интактными.
Однако для адекватного лечения, особенно для предоперационного планирования, требуется детализация: величина отломков, характер смещения. Для уточнения необходима прицельная поли- проекционная рентгенография в косых проекциях, и при возможности КТ таза.
Диагностика ассоциированных переломов вертлужной впадины требует тщательного понимания плоскостей всех переломов, которое может потребовать выполнения дополнительных рентгенограмм.
作者简介
S. Stoyukhin
“City clinical hospital No. 15. O. M. Filatov” Department of health of Moscow
							编辑信件的主要联系方式.
							Email: sergey.stoyukhin@gmail.com
				                					                																			                								
PHd, MD, traumatologist-orthopedist
俄罗斯联邦, MoscowA. Lazarev
National medical researchcenter for traumatology and orthopedics N.N. Priorova Ministry of Health of Russia
														Email: sergey.stoyukhin@gmail.com
				                					                																			                								
doctor of medical Sciences, Professor
俄罗斯联邦, MoscowYa. Gudushauri
National medical researchcenter for traumatology and orthopedics N.N. Priorova Ministry of Health of Russia
														Email: sergey.stoyukhin@gmail.com
				                					                																			                								
doctor of medical Sciences, Md
俄罗斯联邦, MoscowS. Solod
National medical researchcenter for traumatology and orthopedics N.N. Priorova Ministry of Health of Russia
														Email: sergey.stoyukhin@gmail.com
				                					                																			                								
doctor of medical Sciences
俄罗斯联邦, Moscow参考
- Moliere S., Dosch J.C., Bierry G. Pelvic, acetabular and hip fractures: What the surgeon should expect from the radiologist. Diagn Interv Imaging. 2016 Jul-Aug; 97(7-8):709-23.
- Mauffrey C., Stacey S., York P.J., Ziran B.H., Archdeacon M. T. Radiographic Evaluation of Acetabular Fractures: Review and Update on Methodology. J Am Acad Orthop Surg. 2018 Feb 1; 26(3):83-93.
- Анкин A.H., Анкин H.A. Повреждения таза и переломы вертлужной впадины. Киев: Издательство «книга плюс»,2007. [Ankin A.N., Ankin N.A. Povrezhdeniya taza i perelomy vertluzhnoj vpadiny. Kiev: Izdatel’stvo «kniga plyus»; 2007. (In Russ.)].
- Judet R., Judet J., Letournel E. Fractures of the acetabulum: Classification and surgical approaches for open reduction. J. Bone Joint Surg. Am. 1964;8(46-A): 1615-75.
- Lawrence D.A., Menn K., Baumgaertner M., et al. Acetabular fractures: anatomic and clinical considerations. AJR Am J Roentgenol. 2013 Sep; 201(3):425-36.
- Черкес-Заде Д.И. Лечение повреждений таза и их последствий. М.: Медицина,2006. [Cherkes-Zade D.I. Lechenie povrezhdenij taza i ih posledstvij. M.: Medicina,2006. (In Russ.)].
- Лазарев А.Ф. Оперативное лечение повреждений таза: Дис.... д-ра мед. наук. М.,1992. [Lazarev А.F. Operativnoe lechenie povrezhdenij taza: Dis.... d-ra med. nauk. M.,1992. (In Russ.)].
- Scheinfeld M.H., Dym A.A., Spektor M., et al. Acetabular fractures: what radiologists should know and how 3D CT can aid classification. Radiographics. 2015 Mar-Apr; 35(2):555-77.
补充文件
 
				
			 
						 
						 
					
 
  
  
  电邮这篇文章
			电邮这篇文章 



































 СМИ зарегистрировано Федеральной службой по надзору в сфере связи, информационных технологий и массовых коммуникаций (Роскомнадзор).
 СМИ зарегистрировано Федеральной службой по надзору в сфере связи, информационных технологий и массовых коммуникаций (Роскомнадзор).