Ultrasonographic evaluation of the state of the hip joints in newborns
- Authors: Eskin H.A.1, Mikhaylova L.K.1
-
Affiliations:
- Central Research Institute of Traumatology and Orthopedics. N.N. Priorova
- Issue: Vol 10, No 4 (2003)
- Pages: 23-27
- Section: Original study articles
- Submitted: 20.10.2020
- Published: 15.12.2003
- URL: https://journals.eco-vector.com/0869-8678/article/view/48136
- DOI: https://doi.org/10.17816/vto200310423-27
- ID: 48136
Cite item
Full Text
Abstract
Two hundred fifty newborns (110 girls and 140 boys) were examined with ultrasonography. The method of acetabular index measurement was used to assess the hip joint status. High efficacy of sonography in differentiation of true and false-positive Marks-Ortholani symptom was noted. High correlation between sonography data and radiography ones was detected. Absence of irradiation, possibility of examination in real time and repeated examinations make sonography one of the main methods for hip joint screening.
Keywords
Full Text
Ранней диагностике патологии тазобедренных суставов, составляющей до 15% в структуре ортопедической патологии, в последние десятилетия посвящено большое число публикаций [1, 3, 4, 6, 7, 9, 14-16, 22]. Тем не менее эту проблему нельзя считать решенной. Анализ литературы показывает, что используемые для раннего выявления патологии симптом Маркса—Ортолани и другие признаки нестабильности сустава могут быть как ложноположительными, так и ложноотрицательными [4, 10, 16, 22]. Поэтому неинвазивный, доступный, объективный ультразвуковой метод представляется весьма ценным для скринингового обследования новорожденных. Вместе с тем некоторые авторы [2, 5, 8, 13, 20] считают его роль в скрининге патологии тазобедренных суставов у младенцев спорной.
Самый распространенный ультразвуковой метод оценки тазобедренных суставов у новорожденных состоит в измерении углов костной (а) и хрящевой (ß) крыши по методу Graf [11]. Однако, по мнению Niethard и Roesler [17], эта методика ненадежна, так как при измерении углов возможны ошибки в пределах±10°.
С целью исключения ошибки при диагностике патологии тазобедренных суставов нами был применен дополнительный способ измерения параметров сустава и определения ацетабулярного индекса. При оценке эффективности предложенного способа были поставлены следующие вопросы:
- достоверно ли ультразвуковое исследование при истинно- и ложноположительном симптоме Маркса—Ортолани?
- надежен ли новый метод измерения углов для выявления патологии тазобедренных суставов, не определяемой клинически?
- имеется ли и какова корреляция между данными ультразвукового и рентгенологического исследований тазобедренных суставов у новорожденных с явной и предполагаемой патологией тазобедренных суставов?
Материал и методы
Обследовано 250 новорожденных (110 девочек и 140 мальчиков) в двух родильных домах. Из них 181 ребенок обследован нами клинически и ультрасонографически на 3-й день жизни. Остальные 69 детей после клинического осмотра неонатологом и проведения ультрасонографии тазобедренных суставов врачом родильного дома направлены в ЦИТО с подозрением на патологию тазобедренных суставов и обследованы нами в первые 10 дней жизни.
Из 181 новорожденного, обследованного нами в родильном доме, у 3 клинически и ультрасонографически выявлена нестабильность тазобедренных суставов и 2 ребенка отнесены к группе риска. У остальных 176 детей патологии со стороны тазобедренных суставов не обнаружено ни клинически, ни при ультрасонографии.
Таким образом, в дальнейшее исследование вошли 74 ребенка с истинной или предполагаемой патологией тазобедренных суставов. Они были разделены нами на четыре группы:
1-я группа — дети с нестабильностью тазобедренных суставов, выявленной клинически и ультрасонографически;
2-я группа — дети с положительным симптомом Маркса—Ортолани при нормальной ультрасонографической картине;
3-я группа — дети с нормальными клиническими показателями при наличии выявленных в родильном доме ультрасонографических признаков патологии (процент покрытия головки бедра костной крышей ниже 50 и/или выявляемая нестабильность сустава);
4-я группа — дети, относящиеся к группе риска (нестабильность тазобедренного сустава в анамнезе у родителей; дети, родившиеся в ягодичном предлежании).
Клиническое обследование новорожденных включало оценку симптома Маркса—Ортолани [18] и степени абдукции бедра в положении ребенка на спине при сгибании бедра на 90°.
Ультрасонография проводилась с латеральной стороны бедра со сканированием в продольном и поперечном направлении. Обследование выполнялось в условиях статики (конечность находится в нейтральном положении) и динамики (при движениях бедром в разных направлениях). При сканировании в продольном направлении бедро было немного согнуто, в положении нейтральной ротации и аддукции. Датчик располагали параллельно длинной оси бедра — таким образом, центральная часть ультразвукового луча была перпендикулярна этой оси (рис. 1 и 2). Изображение центральной части тазобедренного сустава на мониторе соответствовало переднезадней рентгенографической проекции (рис. 3). Измеряли следующие параметры: расстояние от дна вертлужной впадины до ее костного латерального края (а) и от той же точки до латеральной части суставной капсулы (в). Оба замера производили вдоль вертикальной линии Хильгенрейнера. Отношение (а/в) × 100 принимали за процент покрытия головки бедра костной крышей (ППГКК). При нестабильности головки бедренной кости определить ацетабулярную ямку трудно. В этих случаях мы оценивали расстояние от медиальной касательной к головке бедра до линии Перкинса. При сканировании в поперечном направлении ногу ребенка сгибали в тазобедренном и коленном суставах до 90°. В этой проекции можно было выявить заднюю, латеральную и переднюю нестабильность.
Рис. 1. Правильное положение ребенка на боку при проведении сонографии тазобедренного сустава: плечо и спина параллельны, бедро согнуто под углом 30-60° и фиксируется помощником (родители).
Рис. 2. Позиции ультразвукового датчика: а — обследование без фиксации поясницы ребенка рукой, б — с фиксацией поясницы, плеча и сгибанием бедра под углом 30-60°.
Рис. 3. Продольная ультрасонограмма нормального тазобедренного сустава новорожденного. 1 — подвздошная кость; 2 — костный выступ крыши; 3 — дно впадины; 4 — латеральная капсула сустава; 5 — бедренная кость (остальные обозначения см. в тексте).
Новорожденным 1-й группы проводилось лечение стременами Павлика до 4-месячного возраста. Положительный симптом Маркса—Ортолани, выявленный педиатром в родильном доме, при нормальной ультрасонографической картине считали ложноположительным (2-я группа). Лечение в этих случаях не проводилось. Детям 3-й группы (с нормальной клинической картиной, но предполагаемой на основании ультрасонографического исследования в родильном доме патологией) лечение также не проводили, но продолжали наблюдать их. Дети 4-й группы (группа риска) в случае клинического и ультрасонографического подтверждения патологии суставов лечились стременами Павлика до 3-4 мес.
Все 74 ребенка обследовались клинически и ультрасонографически в 2 мес. В 4-5-месячном возрасте выполнялось комплексное обследование с использованием клинического, ультразвукового и рентгенологического методов. Все дети 1-й и 2-й групп (с положительным или ложноположительным симптомом нестабильности тазобедренного сустава в периоде новорожденности) обследованы также в 12-месячном возрасте. Пациенты 3-й и 4-й групп, если у них в 4-5 мес патологии со стороны тазобедренных суставов не было выявлено, далее не обследовались.
При появлении ядра окостенения головки бедра определяли на ультрасонограмме дополнительный параметр — расстояние k, которое измеряли по перпендикуляру от длинной оси подвздошной кости до ядра оссификации (рис. 4). Это расстояние использовали для оценки положения головки бедра относительно вертлужной впадины. При подвывихе и вывихе бедра оно увеличивалось. Параметр к был положительным, когда центр головки бедра находился латеральнее линии Перкинса, и отрицательным, когда он располагался медиальнее.
Рис. 4. Продольная ультрасонограмма нормального тазобедренного сустава ребенка 4-месячного возраста. Имеется ядро оссификации головки бедра (стрелка). АИ — ацетабулярный индекс; ЛП — линия Перкинса (остальные обозначения см. в тексте).
В 4-5 мес у детей измеряли ультрасонографически угол ос по методике Graf [11] и определяли ацетабулярный индекс (см. рис. 4). Ацетабулярный индекс определяли также по рентгенограммам, сделанным в том же возрасте. Если при этом имелось ядро окостенения головки бедренной кости, измеряли расстояние р, которое соответствовало расстоянию к на ультрасонограмме (рис. 5).
Рис. 5. Схема измерения на рентгенограммах расстояния р и ацетабулярного индекса (АИ). ЛП — линия Перкинса.
Для оценки различий между исследуемыми группами использовали критерий Стьюдента. При р<0,05 различия рассматривали как существенные. При сопоставлении ультрасонографических и рентгенологических параметров вычисляли коэффициент корреляции (r).
Результаты
По данным исследования 500 тазобедренных суставов новорожденных, ППГКК составил в среднем 56,5±5,3. При этом существенного различия между правым и левым тазобедренными суставами не отмечено. Среднее значение ППГКК у девочек равнялось 55,3, у мальчиков — 57,2 (достоверность различия довольно существенна — р<0,005). Самое низкое значение ППГКК при нормальном тазобедренном суставе составляло 44,1, у девочек и 47,2 у мальчиков (средняя ошибка±2).
Из 21 новорожденного, у которых в родильном доме был выявлен положительный симптом Маркса—Ортолани (у 4 — двусторонний, у 6 — сомнительный), ортопедами ЦИТО он подтвержден только у 10 и дополнительно выявленного еще у 2 детей. Таким образом, частота патологии тазобедренных суставов у новорожденных, выявленная ортопедами, составила 2,8%, что соответствует популяционным показателям (2,5—3,3%). Среди детей с положительным симптомом Маркса—Ортолани преобладали девочки. Нестабильность тазобедренного сустава у этих новорожденных подтверждена и ультразвуковым исследованием. Среднее значение ППГКК составило у них 35,9, что меньше минимального допустимого (табл. 1).
Табл. 1. Процент покрытия головки бедра костной крышей у детей выделенных групп (М±σ)
Группа детей | Результаты обследования в родильном доме | Число детей | Ультрасонографическое обследование в ЦИТО | |||
диагноз родильного дома подтвержден (число детей) | процент покрытия головки бедра | |||||
в периоде новорожденности | в возрасте 2 мес | в возрасте 4-5 мес | ||||
1-я | Положительный симптом Маркса—Ортолани, ультрасонографически — нестабильность суставов | 12 | 6 | 35,9±9,2 | 55,0±4,8 | 57,7±6,8 |
2-я | Положительный симптом Маркса—Ортолани, ультрасонографически — норма | 9 | 1* | 56,9±5,3 | 59,9±6,3 | 60,5±6,0 |
3-я | Клинически — норма, ультрасонографически — подозрение на патологию | 29 | 3 | 43,9±3,6 | 52,9±6,6 | 57,1±6,4 |
4-я | Группа риска (дисплазия суставов у родителей, рождение в ягодичном предлежании) | 24 | 8 | 54,7±4,6 | 56,6±8,0 | 61,7±8,5 |
Всего |
| 74 | 18 |
|
|
|
*Выявлена нестабильность сустава.
Обследование детей 1-й группы в динамике показало, что при лечении широким пеленанием или стременами Павлика дисплазия тазобедренного сустава у них уменьшалась (нивелировалась в положении отведения конечности — рис. 6), ППГКК через 2-3 мес увеличивался в среднем до 55, все измеряемые параметры приближались к норме.
Рис. 6. Продольные ультрасонограммы ребенка в возрасте 2 мес с дисплазией тазобедренного сустава (стрелками обозначены контуры головки бедра; остальные обозначения те же, что на рис. 3). а — при нейтральном положении конечности головка бедра подвывихнута в латеральную сторону; б — при отведении конечности головка возвращается в вертлужную впадину.
У новорожденных 2-й группы ППГКК не отличался от средних показателей нормы и в 2,4-5 и 12 мес оставался в пределах нормы.
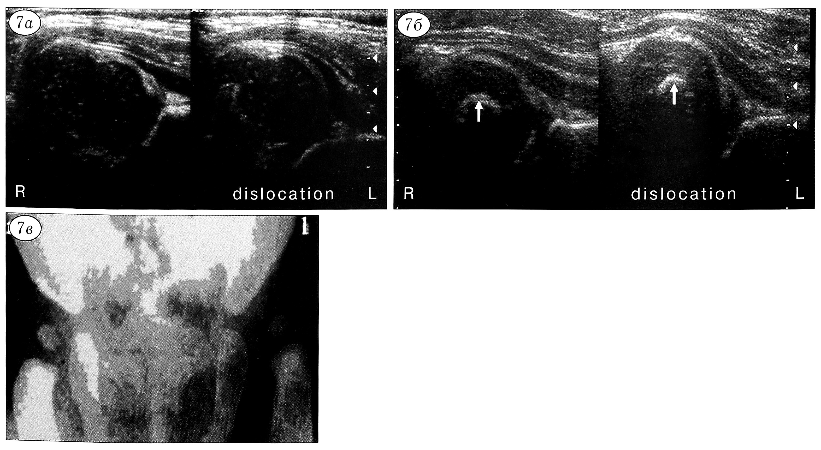
У 29 новорожденных, отнесенных к 3-й группе, ППГКК был ниже, чем в целом для всех обследованных (р<0,001). В возрасте 4-5 мес он повышался до нормального уровня. Исключение составили 4 ребенка. У одного из них ППГКК при рождении равнялся 39, в 2-месячном возрасте — 41, а в 5 мес определить его было невозможно, поскольку теневая дорожка ядра окостенения перекрывала нижний край ацетабулярной крыши. Расстояние k у этого ребенка составляло 7 мм, что превышало нормальную величину и указывало на подвывих головки бедра, который был подтвержден рентгенологически (рис. 7). У 3 других девочек с ультрасонографическими признаками дисплазии тазобедренных суставов рентгенологическая картина была нормальной и при ультразвуковом исследовании в 2 и 4-5 мес констатировано нормальное состояние тазобедренных суставов. Лечение им не проводилось.
Рис. 7. Ультрасонограммы (а, б) и рентгенограмма (в) тазобедренных суставов больной 3-й группы. а — при рождении головка правого бедра не полностью покрыта ацетабулярной крышей; б — к 5 мес головка правого бедра сублюксирована в латеральную сторону (стрелкой показан центр окостенения); в — подвывих подтвержден рентгенологически.
У 2 новорожденных 4-й группы, родители которых имели врожденную патологию тазобедренных суставов, ультрасонографически выявлена нестабильность головки бедра. У других младенцев с высоким риском развития патологии тазобедренного сустава ППГКК значительно не отличался от средних показателей новорожденных, при обследовании в 4—5 мес у них отмечена нормальная ультрасонографическая картина. Исключением была одна девочка, мать которой в раннем возрасте лечилась по поводу врожденного вывиха бедра. ППГКК у этого ребенка при рождении равнялся 44, в 2 мес — 38, в 5 мес — 32. Последнее указывало на подвывих бедра, который и был подтвержден рентгенологически. Родители лечили девочку у массажиста, и только убедившись в отсутствии эффекта, начали лечение у ортопеда. У 2 детей 4-й группы в 4 и 5 мес определялась нормальная ультрасонографическая картина, но на рентгенограммах была отмечена дисплазия крыши. Лечение этим детям проводили стременами Павлика, и при повторном рентгенологическом обследовании в 11 и 14 мес констатирована нормальная картина.
Таким образом, во всех случаях, кроме четырех, результаты ультразвукового исследования не противоречили данным рентгенографии. Заметим, что во всех четырех случаях, явившихся исключением, дети находились под наблюдением, и к 11- 14-му месяцу признаки дисплазии у них нивелировались без проведения лечения.
У детей в возрасте от 4 до 5 мес выявлена очень хорошая корреляция между углом ос и ацетабулярным индексом (r=—0,89). Имелась существенная корреляция (r=—0,49, р<0,01) между величинами ацетабулярного индекса, полученными при рентгенологическом и ультразвуковом исследовании. Примерно в 90% случаев расхождение между ними колебалось от 0 до 10°. Ацетабулярный индекс, измеренный с помощью сонографии, превышал этот показатель, полученный с помощью рентгенографии, в среднем на 4,2° (табл. 2). Достаточно хорошо коррелировали данные ультрасонографии и рентгенографии в определении позиции ядра окостенения головки бедра (r=-0,59, р<0,01) — расхождения в измерениях в 88% случаев были менее 3 мм. Из представленной в табл. 2 оценки параметров к и р следует, что ядро окостенения в значительно большем проценте случаев было выявлено ультразвуковым методом.
Табл. 2. Ультрасонографические и рентгенографические показатели состояния тазобедренного сустава у детей в возрасте от 4 до 5 мес
Метод исследования | ППГКК | Выявление ядра окостенения (% от исследованных суставов) | к, мм | р, мм | Ацетабулярный индекс, град. | Угол α, град. |
Ультрасонография | 59,5±6,3 | 84,4 | 0,5±2,0 | - | 29,7±6,7 | 59,2±7,5 |
Рентгенография | - | 67,2 | - | 0,2±2,0 | 25,5±4,3 | - |
При наблюдении в отдаленные сроки (от 24 до 29 мес) не было выявлено детей с вывихом и только у одного ребенка отмечена незначительная дисплазия тазобедренного сустава. Это была 3-месячная девочка с небольшим ограничением отведения правого бедра. Ультрасонография и рентгенография показали небольшую дисплазию, но в последующем тазобедренный сустав стал нормальным без всякого лечения.
Обсуждение
Ценность определяемого ультрасонографического ППГКК состоит в том, что с его помощью можно дифференцировать нормальные тазобедренные суставы и диспластические, при которых ППГКК снижен. Ультрасонография помогает при сомнительном симптоме Маркса—Ортолани: в большинстве таких случаев ультрасонография показала нормальное состояние тазобедренных суставов, в которых и в последующем при отсутствии какого-либо лечения не было выявлено признаков дисплазии. Это свидетельствует о необходимости проведения ультразвукового исследования детям в первые дни жизни. Среди обследованных новорожденных, родители которых имели в анамнезе нестабильность тазобедренных суставов, патология суставов была выявлена только у 2 детей.
Результаты наших исследований согласуются с данными ряда других авторов. Sanders и соавт. [19] сообщают о хорошей корреляции (r=—0,62) между углом α и рентгенографическим ацетабулярным индексом (Gindl и соавт. [10] такой корреляции не нашли). Morin и соавт. [15] выявили хорошую корреляцию между рентгенографическим и ультразвуковым ацетабулярным индексом, а также между ацетабулярным индексом и углом α — это доказывает, что достаточно измерить один из названных углов, чтобы оценить состояние костной крыши. В работе Kettlitz [12] установлена достоверная корреляция между параметрами к и р.
Результаты проведенного исследования свидетельствуют о высокой надежности метода ультрасонографии в диагностике патологии тазобедренных суставов у новорожденных, относящихся к группам с высоким риском вывиха бедра.
Выводы
- Оценка состояния тазобедренных суставов новорожденных с определением процента покрытия головки костной крышей является наиболее информативной методикой для характеристики развития тазобедренного сустава.
- Ультрасонография высокоэффективна при дифференциации истинного положительного и ложноположительного симптома Маркса—Ортолани.
- Дисплазия тазобедренных суставов может быть выявлена с помощью ультрасонографии у новорожденных с нормальными клиническими показателями.
- Ультрасонография является высокоинформативным методом обследования младенцев с явной или скрытой патологией тазобедренных суставов, в том числе в группах с высоким риском заболевания.
About the authors
H. A. Eskin
Central Research Institute of Traumatology and Orthopedics. N.N. Priorova
Email: info@eco-vector.com
Russian Federation, Moscow
L. K. Mikhaylova
Central Research Institute of Traumatology and Orthopedics. N.N. Priorova
Author for correspondence.
Email: info@eco-vector.com
Russian Federation, Moscow
References
- Barlow T.G. //J. Bone Jt Surg. — 1962. — Vol. 44B. — P. 292-301.
- Benz-Bohm G., Widemann B., Herrmann F., Weidtman V. //ROFO. — 1987. — Bd 146. — S. 188-191.
- Berman L., Klenerman L. //Br. Med. J. — 1986. — N 293.— P. 719-722.
- Bjerkreim I. //Acta Orthop. Scand. — 1974. — Supp. 157.
- Brandstetter F., Walter R., Sorantin E. //Ultraschall. Klin. Prax. — 1987. — Supp. 1. — S. 111-112.
- Bredland T., Terjesesi T. //Acta Orthop. Scand. — 1987.— Vol. 58. — P. 340.
- Clarke N.M.P., Harcke H.T., McHugh P. et al. //J. Bone Jt Surg. — 1985. — Vol. 67B. — P. 406-412.
- Dorn U., Hattwich M. //Ultraschall. Klin. Prax. — 1987. — N 1. — P. 159-164.
- Fredensborg N. //Acta Paediatr Scand — 1976. — Vol. 65. — P. 323-328.
- Gindl K., Walter R., Brandstetter F., Sorantin E., Korn A. //Ultraschall. Klin. Prax. — 1987. — Supp.l. — P. 73.
- Graf R. //Arch. Orthop. Trauma Surg. — 1984. — N 102. — P. 248-255.
- Kettlitz F.R., Dustmann H.O. //Z. Orthop. — 1985. — Bd 123. — S. 620-621.
- MacAuley P., McManus F. //J. Ir. Med. Ass. — 1973. — N 66. — P. 558-562.
- Mitchell G.P. //J. Bone Jt Surg. — 1972. — Vol. 54B. — P. 4-12.
- Morin C., Harcke H.T., MacEwen G.D. //Radiology. — 1985. — N 157. — P. 673-677.
- Morrissy R.T., Cowie G.H. //Clin. Orthop. — 1987. — N 222. — P. 79-84.
- Niethard F.U., Roesler H. //Z. Orthop. — 1987. — Bd 125. — S. 170-176.
- Ortolani M. //Clin. Orthop. — 1976.— N 119. — P. 6-10.
- Sanders F.B.M., Bozon L.A.M., Lohman A.H.M. et al. //Ultraschall. Klin. Prax. — 1987. — Supp. 1. — S. 112.
- Schuler P., Rossak K. //Z. Orthop. — 1984. — Bd 122. — S. 136-141.
- Zieger M., Wiese H., Schulz R.D. //Radiologe. — 1986. — Bd 26. — S. 253-256.
- Zieger M., Schulz R.D., Wiese H. //ROFO. — 1986. — Bd 145. — S. 57-60.
Supplementary files









