Aspects of surgical treatment in a petient with Isaac’s syndrome
- Authors: Koryshkov N.A.1, Mikhailova L.K.2, Khodzhiev A.S.3, Litvinov I.I.1
-
Affiliations:
- Yaroslavl State Medical University
- N.N. Priorov National Medical Research Center of Traumatology and Orthopedics
- STAR MED CENTER Clinic
- Issue: Vol 28, No 1 (2021)
- Pages: 29-34
- Section: Articles
- Submitted: 09.12.2020
- Accepted: 26.01.2021
- Published: 15.03.2021
- URL: https://journals.eco-vector.com/0869-8678/article/view/54470
- DOI: https://doi.org/10.17816/vto54470
- ID: 54470
Cite item
Full Text
Abstract
This article presents a clinical case demonstrating the correction treatment of the lower extremities in a patient with Issac’s syndrome, as well as the results of ankle surgery and successful post-surgery rehabilitation. The high efficiency of surgery as a treatment method was confirmed.
Full Text
Синдром Исаака (или синдром броненосца) описан в 1961 г. английским неврологом Hyam Issaaek. Это редкое заболевание развивается обычно в возрасте 20–30 лет [1]. Клинически патология проявляет себя постоянной распространенной миокимией — сокращениями отдельных групп мышц конечностей, туловища, лица, нижней челюсти с постоянным мышечным напряжением. Патологические изменения затрагивают, в основном, периферическую нервную систему, что вызывает формирование порочной эквиноварусной деформации стоп [2, 3]. Передвижение человека становится затрудненным, опора возможна исключительно на передний отдел стоп [4, 5].
История нашего пациента складывалась типично: родился в 1989 г., был обычным школьником и студентом, занимался на уроках физкультуры, окончил школу, учился в гидрометеорологическом техникуме. Почти до 20 лет не было признаков заболевания. По поводу развившегося недуга наблюдался и получал лечение в клинике кафедры нервных болезней Первого МГМУ им. И.М. Сеченова с 2009 г. С этого периода ему были назначены следующие препараты: Дефинин в дозе 117 мг (4 раза в день) по апрель 2015 г., с января 2010 г. Диакарб (250 мг в день с постепенным уменьшением дозы), с 2009 по 2019 г. Баклофен (с 10 до 5 мг в день), с сентября 2015 г. Финлепсин (с сентября 2015 г. с 600 до 1600 мг в день, с постепенным уменьшением с 2018 г. до 600 мг), с 2018 г. Медрол (с 24 мг с постепенным уменьшением до 8 мг), ОМЕЗ и Кальций-Д3 Никомед.
Кроме этого, в сентябре 2015 г. была выполнена игольчатая электромиография, по результатам которой установлено:
- M. Deltoideus dext: средняя длительность потенциалов двигательных единиц (ПДЕ) составляет 10,8 мс (при норме 10,5 мс), отклонение от нормы +3 % (норма ±12 %). Средняя и максмальная амплидуды в пределах нормы [средняя амплитуда — 718 мкВ (норма 600–800 мкВ), максимальная амплитуда — 1123 мкВ (норма 1000–1500 мкВ)]. Увеличено число полифазных и псевдополифазных ПДЕ 22 % (5 из 23) (в норме до 10 %). В расслабленной мышце спонтанная денервационная активность мышечного волокна [потенциал фибрилляции (ПФ), позитивная острая волна (ПОВ)] не регистрировалась (в норме не выявляется). Регистрируется постоянная активность ДЕ в виде дуплетов, триплетов и разрядов высокой частоты.
- M. Tibialis anterior dext: средняя длительность потенциалов двигательных единиц составляет 11,7 мс (при норме 10,9 мс), отклонение от нормы +10 % (норма ±12 %). Средняя и максмальная амплидуды в пределах нормы [средняя амплитуда — 867 мкВ (норма 600–800 мкВ), максимальная амплитуда — 1359 мкВ (норма 1000–1500 мкВ)]. Увеличено число полифазных и псевдополифазных ПДЕ 35 % (9 из 26) (в норме до 10 %). В расслабленной мышце спонтанная денервационная активность мышечного волокна (ПФ, ПОВ) не регистрировалась (в норме не выявляется). Регистрируются постоянная активность ДЕ в виде дуплетов, триплетов и разрядов высокой частоты.
Заключение: Во всех обследованных мышцах регистрируются параметры ПДЕ (амплитуда и длительность) в пределах нормы. В покое в мышцах регистрируется постоянная активность ДЕ, комплексы потенциалов в виде дуплетов, триплетов и разрядов высокой частоты.
Проведена электронейромиография (ЭНМГ). При исследовании двигательных волокон срединного нерва справа, малоберцового нерва справа выявлено:
- правый срединный нерв:
двигательные волокна — в дистальном отделе М-ответ не получен;
- правый малоберцовый нерв:
двигательные волокна — в дистальном отделе М-ответ не получен;
- правый поверхностный малоберцовый нерв:
чувствительные волокна — S-ответ не получен.
Заключение: Моторные и сенсорные ответы при стимуляции исследованных нервов не получены, что не позволяет исключить их грубого аксонального поражения. К этому возрасту сформировались стойкие контрактуры кистей и стоп. Стало затруднено самообслуживание, передвигался в инвалидной коляске с посторонней помощью. Отмечал длительный период депрессии, около полутора лет.
В возрасте 27 лет обратился на консультацию в группу стопы и голеностопного сустава ЦИТО им. Н.Н. Приорова.
При первом контакте с пациентом были обозначены следующие основные жалобы: трудности передвижения, самообслуживания, боли в стопах, нарушения иннервации и, конечно же, визуальная деформация конечностей.
Опираясь на жалобы пациента, данные анамнеза, а также сведения дополнительных методов исследования, таких как рентгенография, компьютерная томография, был установлен диагноз: «Кава-эквиноварусная деформация обеих стоп, больше справа, синдром Исаака».
При клиническом осмотре было отмечено длительное перераспределение мышечного тонуса с формированием контрактур стоп в подошвенном сгибании, и кистей — в ладонном (продолжительностью 7–8 лет) (рис. 1). Стоять пациент мог исключительно «на носках», длительно переносить такое положение было затруднительно, кроме того, отмечалась фиксированная эквинусная установка стоп в голеностопных суставах (рис. 2, 3), поэтому на первую консультацию молодой человек был доставлен родителями в инвалидном кресле.
Просьба семьи была о помощи в реализации возможности самостоятельного перемещения пациента в переделах квартиры. По договоренности с пациентом ему было предложено за год научиться ходить, чтобы после операции он мог сразу встать на ноги. Юноша, не найдя ортезов в ортопедических салонах, создал их сам, опираясь на задачи, сформулированные лечащим хирургом-ортопедом (рис. 4).
Рис. 1. Внешний вид стоп перед операцией, пациент может опираться исключительно на передние отделы стоп. Имелось постоянное истощающее напряжение мышц голеней и стоп
Fig. 1. Feet before surgery, the patient can only rely on the forefoot. A constant exhausting tension in the muscles of legs and feet was observed
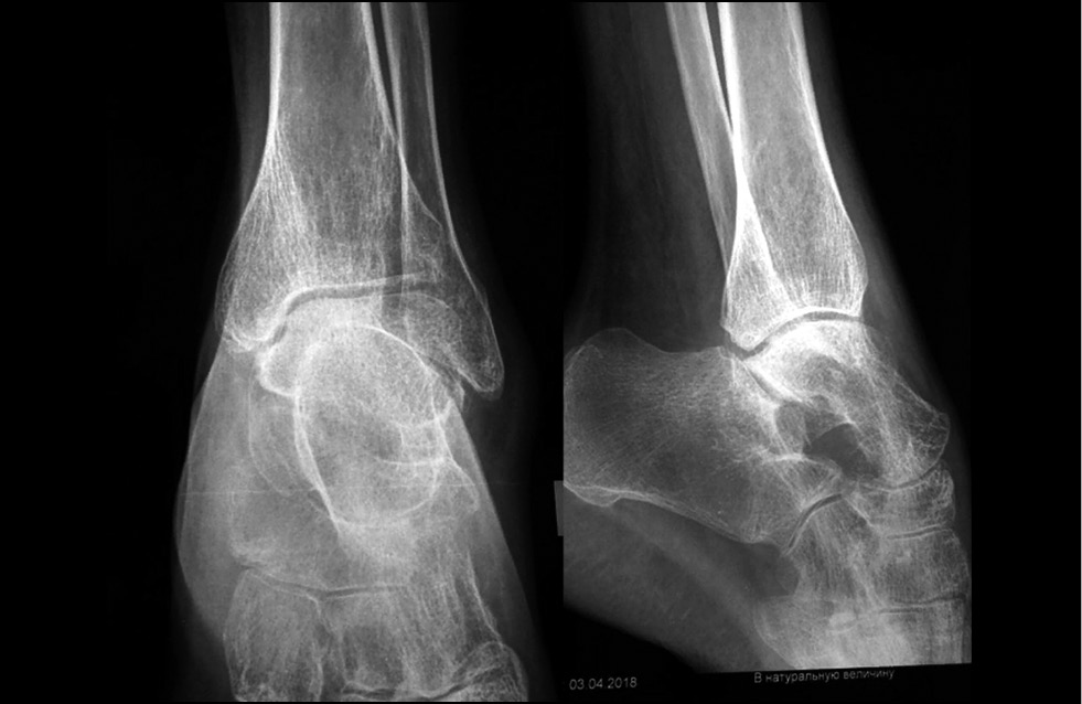
Рис. 2. Рентгенограммы, фиксирующие порочное положение стоп и голеностопных суставов, остеопороз, подвывихи в таранно-ладьевидных суставах
Fig. 2. Radiographs presenting the vicious position of feet and ankle joints, osteoporosis, talonavicular joints subluxation
Рис. 3. Компьютерная томограмма, демонстрирующая порочную установку стоп и голеностопных суставов
Fig. 3. Computed tomogram scan demonstrating defective positioning of feet and ankle joints
Рис. 4. Самодельный ортез пациента для тренировки ходьбы в предоперационный период, которыми он пользовался около 8 месяцев
Fig. 4. Patient’s handmade orthosis for training gait in the preoperative period used for about 8 months
РЕЗУЛЬТАТЫ
Приняв во внимание, что синдром Исаака — воспалительное заболевание, характеризующееся аномальными нервными импульсами со стороны периферических нервов, которые приводят к непрерывной активности мышечных волокон, и, видя по поступкам энергичную мотивацию пациента и его родителей, мы решились на калечащую, по ортопедическим канонам, операцию — корригирующую резекцию и артродез правого голеностопного сустава с удлиняющими ахиллотомией и подошвенной апоневротомией. Эти операции были выполнены в одну операционную сессию с имплантацией погружного динамизированного устройства PN (Panta Nail). Артродезирующая обработка подтаранного сустава не производилась. Стопа по отношению к оси голени была выведена под углом 90°, конечность стала опорной (рис. 5). Через 1,5 мес. после операции пациент добился полной нагрузки на оперированную ногу.
Рис. 5. Послеоперационная рентгенограмма правой стопы и голеностопного сустава, стопа стала нагружаемой в правильном положении с распределением нагрузки на всю подошвенную поверхность
Fig. 5. Postoperative X-ray of the right foot and ankle, the foot became loaded in the correct position with the load distributed over the entire plantar surface
Другая нога была оперирована через 1 год (рис. 6), более года пациент передвигается самостоятельно с опорой на обе ноги (рис. 7). Кроме того, он выполнял подобранный комплекс физических упражнений, который на фоне медикаментозной терапии позволил почти избавиться от судорожного синдрома, что существенно улучшило его самообслуживание и социализацию.1,2 Благодаря успешно проведенным операциям и правильно подобранному медикаментозному лечению и лечебной физкультуре, были значительно расширены возможности самообслуживания и социализации пациента. При повторном освидетельствовании пациент был переведен с I группы инвалидности на III группу, а также с момента начала лечения и по сегодняшний день отсутствует отрицательная динамика заболевания, чему свидетельствует шкала оценки интенсивности боли. При поступлении под наше наблюдение и лечение оценка по шкале была 7–8 баллов, в процессе лечения она снизилась до 0 баллов, вдвое улучшился показатель ЭНМГ, придя практически к норме.
Рис. 6. Послеоперационная рентгенограмма левой стопы и голеностопного сустава. Результат аналогичен предыдущему вмешательству
Fig. 6. Postoperative radiography of the left foot and ankle. The result is similar to the previous intervention
Рис. 7. Отдаленный результат спустя 5 лет после операции
Fig. 7. Long-term result, 5 years after surgery.
Синдром Исаака — генетическое заболевание нервной системы со своеобразным течением и поражением периферических нервных стволов с последующим формированием стойких контрактур в функционально невыгодном положении верхних и нижних конечностей. Устранение этих контрактур методами лекарственного воздействия и физиотерапии не дало необходимых результатов. Ортопедическая коррекция, создавшая новые условия для более полноценной нагрузки нижних конечностей и изменений двигательного стереотипа пациента, позволила улучшить качество его жизни в физическом и социальном плане.
Таким образом, можно заключить, что целесообразно изыскивать возможности оперативной ортопедии стопы в лечении пациентов со сложными неврологическими заболеваниями для существенного улучшения качества их жизни.
ДОПОЛНИТЕЛЬНАЯ ИНФОРМАЦИЯ
Конфликт интересов. Авторы декларируют отсутствие явных и потенциальных конфликтов интересов, связанных с публикацией настоящей статьи.
Источник финансирования. Не указан.
1 Клиническое наблюдение демонтировано на Заседании Московского общества неврологов в 2015 г.
2 501-е заседание Ярославского, Костромского, Вологодского научного общества травматологов-ортопедов 26.12.2019.
About the authors
Nikolay A. Koryshkov
Yaroslavl State Medical University
Author for correspondence.
Email: nik-koryshkov@yandex.ru
ORCID iD: 0000-0003-4465-2660
SPIN-code: 9258-6260
PhD, associate professor
Russian Federation, 5 Revolutionnaya, Yaroslavl, 150000Lyudmila K. Mikhailova
N.N. Priorov National Medical Research Center of Traumatology and Orthopedics
Email: uchsovet1@cito-priorov.ru
SPIN-code: 8866-0410
PhD, professor, traumatologist-orthopedist
Russian Federation, MoscowArtur S. Khodzhiev
STAR MED CENTER Clinic
Email: hoji6600i@yahoo.com
SPIN-code: 9960-8290
Cand. Sci. (Med.), traumatologist-orthopedist
Uzbekistan, TashkentIgor I. Litvinov
Yaroslavl State Medical University
Email: litorthorus@mail.ru
ORCID iD: 0000-0003-1135-4376
SPIN-code: 2730-1365
PhD, associate professor
Russian Federation, 5 Revolutionnaya, Yaroslavl, 150000References
- Ponomarev VV. Redkie nevrologicheskie sindromy i bolezni: nablyudeniya iz praktiki. Saint Petersburg: Foliant; 2005. P. 41–48. (In Russ.)
- Yakhno NN, editor. Bolezni nervnoi sistemy. Vol. 1. Moscow: Meditsina; 2005. P. 637–638. (In Russ.)
- Dhand UK. Isaacs’s syndrome: clinical and electrophysiological response to gabapentin. Muscle Nerve. 2006;34(5):646–650. doi: 10.1002/mus.20591
- Luk’yanov MV, Khvorostina AV, Isaeva NA. Diagnosis and treatment of Isaac’s syndrome. Nevrologicheskii zhurnal. 2003;8(6):21–26. (In Russ.)
- Ponomarev VV. Autoimmunnye zabolevaniya v nevrologii. Minsk: Belaruskaya navuka; 2010. P. 104–109. (In Russ.)
- Meinck HM. Stiff-Man syndrome. In: Lang F, editor. Encyclopedia of molecular mechanisms of disease. Berlin: Springer; 2009. P. 540–542.
- Dumitru D, editor. Electrodiagnostic medicine. St. Louis: Mosby; 1995. P. 501–503.
- Falace A, Striano P, Manganelli F, et al. Inherited neuromyotonia: a clinical and genetic study of a family. Neuromuscul Disord. 2007;17(1):23–27. doi: 10.1016/j.nmd.2006.09.014
- Maddison P. Neuromyotonia. Clin Neurophysiol. 2006;117(10):2118–2127. doi: 10.1016/j.clinph.2006.03.008
- Panagariya A, Kumar H, Mathew V, Sharma B. Neuromyotonia: clinical profile of twenty cases from northwest India. Neurol India. 2006;54(4):382–386. doi: 10.4103/0028-3886.28110
Supplementary files









