Screw fixation failure after 360° fusion at the lumbar level
- Authors: Leonova O.N.1, Baykov E.S.1, Krutko A.V.2
-
Affiliations:
- Tsivyan Novosibirsk Research Institute of Traumatology and Orthopaedics
- N.N. Priorov National Medical Research Center for Traumatology and Orthopedics
- Issue: Vol 27, No 4 (2020)
- Pages: 11-18
- Section: Original study articles
- Submitted: 21.01.2021
- Accepted: 28.01.2021
- Published: 26.12.2020
- URL: https://journals.eco-vector.com/0869-8678/article/view/58512
- DOI: https://doi.org/10.17816/vto58512
- ID: 58512
Cite item
Full Text
Abstract
Aim: to identify possible predictors of screw loosening (SL) in patients after decompression and fusion at the lumbar level for degenerative spinal diseases.
Methods. The data of patients with degenerative lumbar diseases who underwent primary decompression and fusion and who were re-hospitalized were analyzed. Clinical data (demography, characteristics of primary surgical procedures and characteristics of the perioperative period), results of radiological methods (presence and characteristics of resorption around screws, bone density (BMD) by densitometry and CT, intervertebral fusion grade and implant subsidence) were evaluated.
Results. The study included 19 patients with SL and 37 patients without resorption, median age 59.1 [51.4; 63.1] years, men 20 (35.7%). When comparing patients with and without SL, there was no significant difference in gender, age, method of surgery, length of the fixation (p > 0.05). According to CT scans, the bone density of the vertebrae between the groups did not differ significantly (p > 0.05). In the group with SL, fusion failure was more common than in the group without SL (22.6% versus 20.7%), but the differences are not significant (p > 0.05). In the intergroup comparison, it was determined that, in general, there were more complications in the group with SL than in the group without SL (p = 0.00015) due to the greater number of infectious complications (p = 0.00044). Also, patients with SL had a significantly longer duration of primary hospital stay (p = 0.000021).
Conclusion. Patients with SL after primary surgery have a significantly longer hospital stay duration, mainly (45.8%) due to infectious complications. Patients with SL have comparable bone density in both the vertebral bodies and pedicles compared to patients without SL.
Full Text
ВВЕДЕНИЕ
Стабилизирующие операции широко распространены при лечении дегенеративных заболеваний поясничного отдела позвоночника. При этом проведение такого вида хирургического лечения значительно улучшает качество жизни пациентов [1]. Однако до 19,3 % случаев первичного декомпрессивно-стабилизирующего вмешательства требуют проведения реоперации [2]. Резорбция костной ткани вокруг транспедикулярных винтов и несостоятельность винтовой фиксации (SL — screw loosening) — частая причина повторных операций и длительного стационарного наблюдения пациентов. SL чаще определяется на сроке до 12 мес. от первичной операции, но также и может быть находкой в отдаленном послеоперационном периоде [3, 4]. Возможными причинами несостоятельности винтовой фиксации могут быть: сниженная плотность костной ткани, инфекция области хирургического вмешательства, мальпозиция винтов, наличие протяженной фиксации и др. [5]. Тем не менее наличие резорбции вокруг винтов не имеет связи с клинической удовлетворенностью пациентов хирургическим лечением [6]. Несмотря на, казалось бы, известные и частично модифицируемые факторы риска, до 30 % всех реопераций проводится по поводу SL [7].
Для уточнения факторов риска резорбции костной ткани вокруг транспедикулярных винтов было проведено исследование случай–контроль.
Цель исследования: выявить возможные предикторы SL у пациентов после декомпрессивно-стабилизирующих операций на поясничном уровне по поводу дегенеративных заболеваний позвоночника.
МАТЕРИАЛЫ И МЕТОДЫ
Популяция пациентов
В исследование вошли пациенты с дегенеративными заболеваниями поясничного отдела позвоночника, которым было проведено первичное декомпрессивно-стабилизирующее вмешательство и которые были повторно госпитализированы в нейрохирургическое отделение.
Пациенты были разделены на две группы: 1-я группа — пациенты с резорбцией костной ткани вокруг винтов, 2-я группа — пациенты без признаков резорбции вокруг транспедикулярных винтов.
Клинические данные
Оценивали демографические данные, длительность и количество госпитализаций. Выполняли анализ карт первичной госпитализации на предмет интра- и периоперационных особенностей, метода хирургического вмешательства.
Данные лучевых методов исследования
Всем пациентам при первой госпитализации проводили компьютерную томомграфию (КТ) поясничного отдела позвоночника, денситометрию (dual energy X-ray absorbtiometry — DEXA). По данным КТ поясничного отдела позвоночника определяли минеральную плотность костной ткани (МПК) каждого L1–S1 позвонка, измерения проводили по отдельности в теле позвонка и в ножках дуги позвонка. По денситометрии определяли МПК, автоматически выполнялся расчет Т-критерия. Значение Т-критерия >–1 считали нормой, от –2,5 до –1 — остеопенией, >–2,5 — остеопорозом.
При повторной госпитализации также выполняли КТ поясничного отдела позвоночника и оценивали наличие SL: наличие зоны резорбции костной ткани более 1 мм и зоны «двойного хало» вокруг винтов [8].
Степень формирования костно-металлического блока оценивали согласно классификации G.H. Tan и соавт. [9], где Степень I — полное сращение, Степень IV — биполярный псевдоартроз. Проседание межтелового импланта оценивали по КТ поясничного отдела позвоночника как вдавление межтелового импланта в тело позвонка более чем на 2 мм, и деформацию прилежащей замыкательной пластинки [10]. Оценивали корректное положение винтов и межтеловых кейджей.
Статистический анализ
Описание непрерывных данных представлено в виде медианы (Me) [интерквартильный интервал]; бинарных данных — количество, % [95 % доверительный интервал]; категориальных данных — количество в категории, %. В связи с небольшим размером групп межгрупповое сравнение проводилось непараметрическим U-критерием Манна–Уитни с вычислением значения и 95 % ДИ для псевдомедианы попарных разностей данных в качестве оценки средней разности данных. Межгрупповое сравнение бинарных данных выполняли точным двусторонним критерием Фишера с оценкой ОШ и 95 % ДИ для ОШ. Межгрупповое общее и сравнение отдельных категорий в категориальных данных проводили точным двусторонним критерием Фишера. Все расчеты были сделаны в SPSS 15.0.
РЕЗУЛЬТАТЫ
Всего в исследование вошли 19 пациентов с резорбцией вокруг винтов и 37 пациентов без признаков резорбции по данным контрольной КТ поясничного отдела позвоночника. Средний возраст пациентов составил 59,1 [51, 4; 63, 1] лет, мужчин 20 (35,7 %), женщин 36 (64,3 %).
Первичные оперативные вмешательства включали декомпрессию, трансфораминальный межтеловой спондилодез и винтовую фиксацию; выполнялись открытым и минимально-инвазивным способом. Максимальная протяженность конструкции достигала 3 уровней, но доля таких операций всего 3,6 %. Цементную аугментацию не применяли ни в одном случае. Общая характеристика пациентов представлена в табл. 1.
Таблица 1 / Table 1
Общая характеристика пациентов и оперативных вмешательств
General information on patients and surgical procedures
Характеристика | 1-я группа, n = 19 | 2-я группа, n = 37 | p-значение |
Возраст, лет | >0,05 | ||
Пол • женщины • мужчины | 12 (63,2 %) 7 (36,8 %) | 24 (64,9 %) 13 (35,1 %) | >0,05 |
Методики • открытая • минимально-инвазивная | 16 (84,2 %) 3 (15,7 %) | 26 (70,3 %) 11 (29,7 %) | >0,05 |
Протяженность конструкции • 1-уровневая • 2-уровневая • 3-уровневая | 7 (36,8 %) 12 (63,2 %) – | 18 (48,6 %) 17 (45,9 %) 2 (5,5 %) | >0,05 |
При межгрупповом сравнении значимой разницы по полу, возрасту, методике выполнения декомпрессии и стабилизации, протяженности конструкции не выявлено (p > 0,05).
Несостоятельность винтовой фиксации
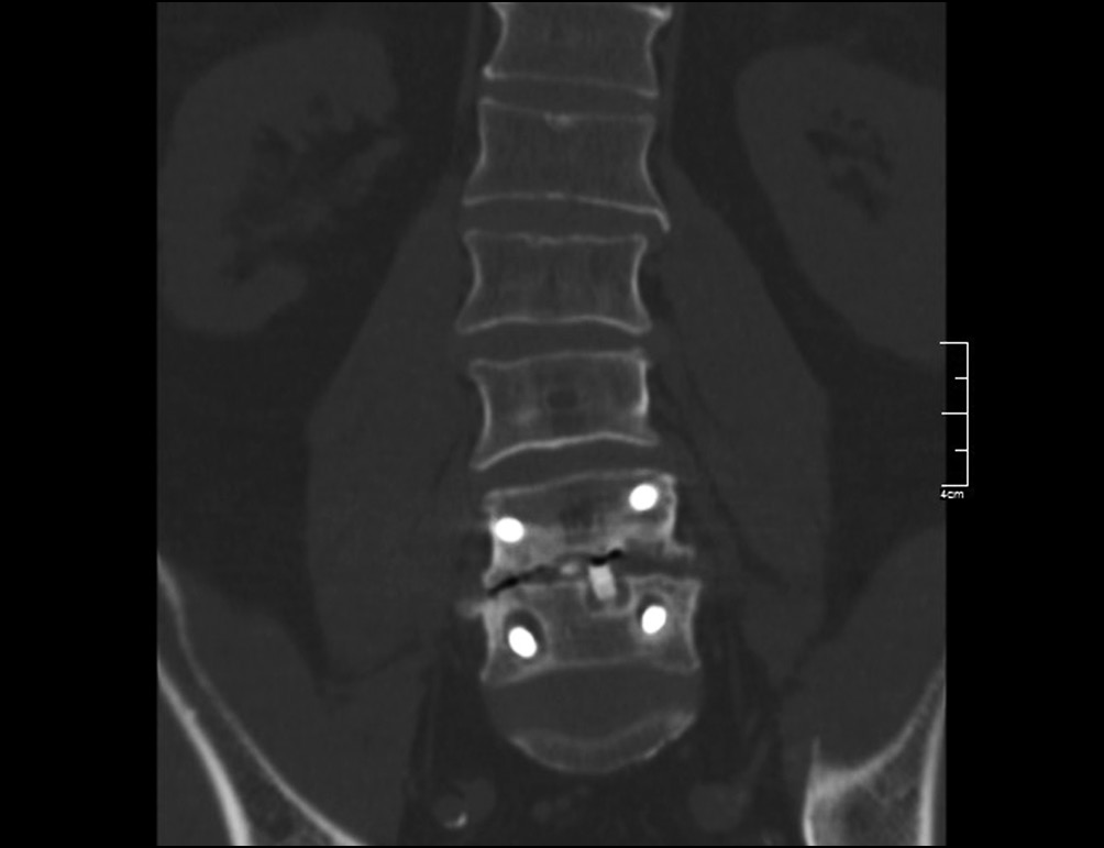
Средние сроки диагностирования резорбции костной ткани вокруг винтов по данным КТ поясничного отдела позвоночника составили 10,1 мес. [4, 2; 20, 6] (от 18 дней до 4 лет) (рис. 1).
Рис. 1. Резорбция вокруг винтов в теле позвонка и в ножках дужки на сроке 11 мес. после первичного хирургического вмешательства
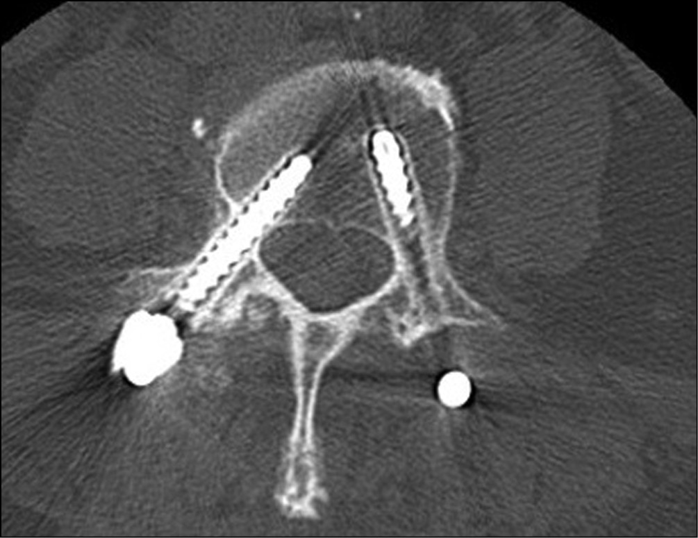
По данным КТ большая зона резорбции вокруг винтов определялась в ножках дуги позвонка, а в некоторых случаях отмечалась только в этой локализации, исключая резорбцию вокруг винта в теле позвонка (рис. 2).
Рис. 2. Резорбция костной ткани вокруг винтов в ножках дуги позвонка
Самый ранний срок появления резорбции по данным КТ — 18-й день после первичного хирургического вмешательства — диагностирован при ранней глубокой инфекции операционной раны.
По данным денситометрии диагностирована остеопения у 15 пациентов, остеопороз у 5 пациентов; у остальных пациентов (n = 36) минеральная плотность костной ткани была в рамках нормальных показателей. По данным КТ плотность костной ткани в ножках дуги выше, чем в теле позвонка у пациентов обеих групп (p = 0,00985) (табл. 2).
Таблица 2 / Table 2
Плотность костной ткани, определенная с L1 по S1 позвонок, по данным компьютерной томографии поясничного отдела позвоночника
Bone density of the lumbar spine, measured from L1 to S1 vertebra, according to CT scan
Характеристика | 1-я группа, n = 19 | 2-я группа, n = 37 | p-значение |
Минеральная плотность костной ткани в телах, HU | 0,079422 | ||
Минеральная плотность костной ткани в ножках дуги, HU | 0,248642 | ||
Доля пациентов с нормальными показателями минеральной плотности костной ткани по данным DEXA | 52,6 % | 70,3 % | >0,05 |
Несмотря на то что группы были сформированы исключительно по наличию или отсутствию резорбции, плотность костной ткани у пациентов по структурам позвонка не имела значимых различий при межгрупповом сравнении (p > 0,05).
В 78,7 % случаев всех пациентов определен сформированный костный блок (1–2-я степень по G.H. Tan). В 19 случаях (21,3 %) был выявлен псевдоартроз, из которых в 12 случаях (63,2 %) выявлено проседание межтелового импланта.
В 1-й группе несформированный костный блок встречается чаще, чем во 2-й группе (22,6 % против 20,7 % соответственно), хотя различия и не значимы (p > 0,05) (табл. 3). У 6 пациентов 1-й группы определена резорбция не только вокруг винтов, но и вокруг межтелового импланта (рис. 3). При этом во всех случаях также определялось проседание кейджа.
Таблица 3 / Table 3
Степень формирования межтелового блока по G.H. Tan в исследуемых группах соответственно количеству уровней выполнения спондилодеза
The intervertebral fusion grade by Tan in the groups according to the number of fusion levels
Степень | Количество уровней | p-значение | |
в 1-й группе (всего 31 уровень) | во 2-й группе (всего 58 уровней) | ||
Степень 1 | 17 | 32 | >0,05 |
Степень 2 | 7 | 14 | >0,05 |
Степень 3 | 3 | 5 | >0,05 |
Степень 4 | 4 | 7 | >0,05 |
Рис. 3. Резорбция вокруг винтов и межтелового импланта, проседание межтелового импланта через 7 мес. после первичного хирургического вмешательства
Длительность госпитализации и осложнения
В течение первой госпитализации у 15 пациентов (78,9 %) были отмечены послеоперационные осложнения, у остальных пациентов послеоперационный период протекал гладко (табл. 4). Наличие послеоперационных осложнений требовало большей длительности пребывания пациента в клинике.
Таблица 4 / Table 4
Виды осложнений, возникших после декомпрессивно-стабилизирующего вмешательства в течение первой госпитализации
Types of complications after decompression and fusion related to the first hospital stay
Вид осложнения | 1-я группа, n = 19 | 2-я группа, n = 37 | p-значение |
Анемия | 3 | 2 | 0,32365 |
Инфекция области оперативного вмешательства | 9 | 2 | 0,00044* |
Ликворный затек | – | 2 | 0,54351 |
Механические | 3 | 3 | 0,39708 |
Неврологические | – | 1 | >0,05 |
С осложнениями | 15 (78,9 %) | 9 (24,3 %) | 0,00015 |
Длительность первой госпитализации, количество койко-дней | 15 [13; 56] | 11 [7; 13] | 0,000021 |
Общее количество госпитализаций | 2 [2; 2] | 2 [2; 3] | 0,884076 |
Послеоперационная анемия была обусловлена изначально невысоким уровнем гемоглобина (ближе к нижней границе нормы) в сочетании с интра-операционной кровопотерей.
Инфекционные осложнения были зарегистрированы у 11 пациентов (из общего числа пациентов — 19,6 %, из общего числа осложнений — 45,8 %), 9 из них возникли в раннем послеоперационном периоде (до 30 дней), чем и было обусловлено более длительное пребывание пациента в стационаре. 5 пациентам c инфекцией в области хирургического вмешательства потребовалось ревизионное вмешательство во время первой госпитализации на сроке 45,5 дней [21; 80]. В двух случаях инфекционный агент выявить не удалось, однако все клинические и параклинические признаки этому соответствовали.
Ликворный затек был следствием интраоперационного повреждения твердой мозговой оболочки, разрешение произошло при консервативном лечении.
Механические осложнения были отмечены в раннем послеоперационном периоде, а также были находкой при контрольном обследовании. Механические осложнения включали в себя перелом винта(-ов), перелом дужки, неустраненный субстрат компрессии, миграцию межтелового импланта. 4 пациентам было проведено повторное хирургическое вмешательство во время первой госпитализации. Следует отметить, что перелом винтов был характерен только для пациентов с нормальной плотностью костной ткани, тогда как у пациентов с остеопенией и остеопорозом встречались только переломы костных структур.
Неврологическое осложнение установлено в одном случае после хирургического лечения: произошло усиление болевого синдрома при устраненном морфологическом субстрате, это было расценено как нейропатический болевой синдром. Купировано консервативно.
Несмотря на наличие послеоперационных осложнений, все пациенты были выписаны на амбулаторное лечение с улучшением состояния. При межгрупповом сравнении было определено, что в целом в 1-й группе осложнений было больше, чем во второй (p = 0,00015) за счет большего количества инфекционных осложнений (p = 0,00044). Повреждения твердой мозговой оболочки и механические осложнения в обеих группах встречались с равной частотой (p > 0,05). Также у пациентов 1-й группы отмечена значимо бóльшая длительность первичной госпитализации (p = 0,000021).
Причинами повторной госпитализации были: рецидив болевого синдрома в спине (10 пациентов), нейропатический болевой синдром (22 пациента), несформированный костный блок, вызвавший нестабильность оперированного позвоночно-двигательного сегмента (9 пациентов), патология смежного уровня (14 пациентов), миграция стержня, без переломов винтов (1 пациент). 18 пациентов (94,7 %) 1-й группы и 32 пациента (86,5 %) 2-й группы были повторно оперированы.
ОБСУЖДЕНИЕ
Резорбция костной ткани вокруг имплантов — хорошо известное нежелательное явление при выполнении декомпрессивно-стабилизирующих оперативных вмешательств. Резорбция костной ткани обусловливает нестабильность конструкции и, как следствие, может нарушать сегментарную стабильность позвоночника, быть причиной рецидива болевого синдрома.
В большинстве случаев SL происходит относительно рано после операции: у 13,6 % пациентов появление резорбции происходит в течение 6 мес. А в сроки от 6 до 12 мес. частота возникновения резорбции составляет всего 2,0 % [6]. Однако в 50 % случаев и более диагностирования резорбции, возникшей в первые 6 мес. после операции, эти признаки исчезают в течение 2 лет [11]. Средние сроки обращения пациентов за помощью составили 10,1 [4, 2; 20, 6] месяца. Такой большой диапазон сроков обусловлен появлением клинических проявлений — на повторную госпитализацию к нам обратились пациенты имеющие жалобы, в то время как резорбция костной ткани зачастую протекает бессимптомно, оказываясь находкой при контрольных обследованиях [6].
Реоперация потребовалась 94,7 % пациентам с резорбцией вокруг винтов. Данные в литературе о частоте проведения оперативного вмешательства широко варьируют: D. Zou и соавт. [12] сообщил об одном пациенте из 77 (1,3 %), которому проведено ревизионное вмешательство, J. Bredow и соавт. [13] привели данные о 23 пациентах из 55 (41,8 %). Причина таких результатов состоит в разных исследуемых когортах пациентов: это могут быть пациенты с клиническими проявлениями, или это сплошное когортное исследование пациентов после проведенного декомпрессивно-стабилизирующего вмешательства, и прочие варианты.
Влияние методики хирургического вмешательства на резорбцию костной ткани зависит от траектории проведения винтов — проведение через кортикальную кость уменьшает число возникновения резорбции [14, 15], независимо от того, как эти винты были установлены — открытым или минимально-инвазивным способом. Однако даже при кортикальной фиксации сегмента с S1-каудальным захватом частота возникновения резорбции вокруг винтов все равно увеличивается [16]. Позвонок S1 имеет меньшую МПК, чем вышележащий L5, и вместе с тем подвергается большей нагрузке при стабилизации сегмента [3, 8].
Протяженность конструкции — независимый фактор риска возникновения резорбции вокруг винтов, частота резорбции может достигать 40 % при многоуровневой фиксации, в то время как при одноуровневой фиксации только 7,4 % [4]. Порочное распределение нагрузки по протяженной конструкции, нарушение биомеханики влечет за собой перенагрузку в большей степени на краниальные и каудальные винты, частота возникновения резорбции вокруг винтов в середине конструкции встречается значительно реже [17]. Для снижения частоты возникновения резорбции винтов при выполнении задней фиксации необходимо уменьшить протяженность фиксации и уделить особое внимание выравниванию сагиттального баланса [18, 19]. В нашем исследовании протяженных конструкций было достаточно мало, в большей степени одно- и двух уровневые фиксации в обеих группах, без значимых различий при межгрупповом сравнении (p > 0,05).
Снижение МПК считается одним из главных предикторов дальнейшего SL. Причем определение плотности кости по КТ поясничного отдела позвоночника, а не по данным денситометрии, является более значимым и чувствительным методом [12]. В обеих группах присутствовали пациенты со сниженной МПК, но пациенты с нормальной плотностью кости преобладали. При межгрупповом сравнении МПК значимо не различалась (p > 0,05). У пациентов обеих групп МПК в дужке позвонка выше, чем в теле позвонка (p < 0,05), даже несмотря на то, что у ряда пациентов резорбция возникала исключительно в дужке вокруг винта.
Такие факторы риска, как возраст и пол, связаны с плотностью костной ткани: с возрастом и в менопаузе у женщин происходит закономерное ремоделирование кости и, как следствие, снижение МПК [20, 21]. Однако такие факторы, как возраст, пол, МПК, протяженность металлофиксации и курение, не однозначно предсказывают появление резорбции вокруг винтов [22]. В нашем исследовании разницы между половозрастными характеристиками между группами не выявлено (p > 0,05).
Степень формирования межтелового блока не всегда коррелирует с возникновением резорбции вокруг винтов или проседанием импланта [23]. Недостаточная передняя опора увеличивает нагрузку на среднюю и заднюю опорную колонну, что в конечном итоге приводит к SL [8, 24], сформированный межтеловой блок значительно уменьшает вероятность возникновения резорбции вокруг винтов [6].
Независимо от используемой методики, проседание может быть потенциальным осложнением; оно уменьшает цели выполнения межтелового спондилодеза, а именно восстановление межтелового и фораминального пространства, осуществление непрямой декомпрессии и выравнивание сегментарного угла [25]. Однако, несмотря на частоту проседания межтелового импланта на контрольных снимках в послеоперационном периоде, корреляция клинических симптомов и проседания наблюдаются редко [26].
Возникновение любого рода послеоперационного осложнения увеличивает длительность пребывания пациента в стационаре, особенно инфекция области оперативного вмешательства. Вопрос о роли инфекции в возникновении резорбции вокруг имплантов в спинальной хирургии остается малоизученным, хотя при артропластике резорбция вокруг компонентов эндопротеза зачастую связана с септическим воспалением. Проводились многочисленные исследования по поводу наличия/появления инфекционного агента в межпозвонковом диске [27], формирования биопленки на поверхности имплантов [28, 29], однако этот вопрос по-прежнему остается спорным [30]. В 29,1 % случаев ревизионных вмешательств спинальной хирургии выявлен инфекционный агент [29]. По нашим данным, у пациентов с резорбцией вокруг винтов в 47,4 % случаев встречаются инфекционные осложнения области хирургического вмешательства.
Таким образом, предполагаемые различия в плотности костной ткани у пациентов с резорбцией вокруг винтов и без нее оказались не значимыми, так же как демографические данные и параметры оперативных вмешательств. Однако наличие у пациента послеоперационного инфекционного осложнения может быть потенциальной причиной возникновения SL и поэтому они требуют более пристального внимания.
ЗАКЛЮЧЕНИЕ
Пациенты с SL после первичной операции имеют значимо больший период госпитализации в основном (45,8 %) за счет инфекционных осложнений. Пациенты с SL имеют сопоставимую плотность костной ткани как в телах позвонков, так и в ножках дуги позвонка по сравнению с пациентами без SL.
About the authors
Olga N. Leonova
Tsivyan Novosibirsk Research Institute of Traumatology and Orthopaedics
Author for correspondence.
Email: onleonova@gmail.com
ORCID iD: 0000-0002-9916-3947
MD, PhD, Cand. Sci. (Med.), Research scientist
Russian Federation, NovosibirskEvgenii S. Baykov
Tsivyan Novosibirsk Research Institute of Traumatology and Orthopaedics
Email: Evgen-bajk@mail.ru
ORCID iD: 0000-0002-4430-700X
SPIN-code: 5367-5438
Scopus Author ID: 57189456380
MD, PhD, Cand. Sci. (Med.), Head of the Department of Neurosurgery No. 2
Russian Federation, NovosibirskAleksandr V. Krutko
N.N. Priorov National Medical Research Center for Traumatology and Orthopedics
Email: ortho-ped@mail.ru
ORCID iD: 0000-0002-2570-3066
Scopus Author ID: 54795500200
Dr. Sci. (Med.), Senior Researcher
Russian Federation, MoscowReferences
- Yavin D, Casha S, Wiebe S, et al. Lumbar fusion for degenerative disease: a systematic review and meta-analysis. Clin Neurosurg. 2017;80(5):701–715. doi: 10.1093/neuros/nyw162.
- Irmola TM, Häkkinen A, Järvenpää S, et al. Reoperation rates following instrumented lumbar spine fusion. Spine (Phila Pa 1976). 2018;43(4):295–301. doi: 10.1097/BRS.0000000000002291.
- Kim JB, Park SW, Lee YS, et al. The effects of spinopelvic parameters and paraspinal muscle degeneration on S1 screw loosening. J Korean Neurosurg Soc. 2015;58(4):357–362. doi: 10.3340/jkns.2015.58.4.357.
- Zou D, Muheremu A, Sun Z, et al. Computed tomography Hounsfield unit–based prediction of pedicle screw loosening after surgery for degenerative lumbar spine disease. J Neurosurg Spine. 2020;32(5):716–721. doi: 10.3171/2019.11.SPINE19868.
- Guo HZ, Tang YC, Guo DQ, et al. Pedicle screw fixation in single-level, double-level, or multilevel posterior lumbar fusion for osteoporotic spine: a retrospective study with a minimum 2-year follow-up. World Neurosurg. 2020;140:e121–e128. doi: 10.1016/j.wneu.2020.04.198.
- Kim DH, Hwang RW, Lee GH, et al. Comparing rates of early pedicle screw loosening in posterolateral lumbar fusion with and without transforaminal lumbar interbody fusion. Spine J. 2020;20(9):1438–1445. doi: 10.1016/j.spinee.2020.04.021.
- Афаунов А.А., Басанкин И.В., Кузьменко А.В., Шаповалов В.К. Осложнения хирургического лечения поясничных стенозов дегенеративной этиологии. Хирургия позвоночника. 2016;13(4):66–72. [Afaunov AA, Basankin IV, Kuz’menko AV, Shapovalov VK. Complications of surgical treatment of degenerative lumbar stenosis. Khirurgiya pozvonochnika. 2016;13(4):66–72. (In Russ).] doi: 10.14531/ss2016.4.66-72.
- Galbusera F, Volkheimer D, Reitmaier S, et al. Pedicle screw loosening: a clinically relevant complication? Eur Spine J. 2015;24(5):1005–1016. doi: 10.1007/s00586-015-3768-6.
- Tan GH, Goss BG, Thorpe PJ, Williams RP. CT-based classification of long spinal allograft fusion. Eur Spine J. 2007;16(11):1875–1881. doi: 10.1007/s00586-007-0376-0.
- Zhou QS, Chen X, Xu L, et al. Does vertebral end plate morphology affect cage subsidence after transforaminal lumbar interbody fusion? World Neurosurg. 2019;130:e694–701. doi: 10.1016/j.wneu.2019.06.195.
- Tokuhashi Y, Matsuzaki H, Oda H, Uei H. Clinical course and significance of the clear zone around the pedicle screws in the lumbar degenerative disease. Spine (Phila Pa 1976). 2008;33(8):903–908. doi: 10.1097/BRS.0b013e31816b1eff.
- Zou D, Sun Z, Zhou S, et al. Hounsfield units’ value is a better predictor of pedicle screw loosening than the T-score of DXA in patients with lumbar degenerative diseases. Eur Spine J. 2020;29(5):1105–1111. doi: 10.1007/s00586-020-06386-8.
- Bredow J, Boese CK, Werner CM, et al. Predictive validity of preoperative CT scans and the risk of pedicle screw loosening in spinal surgery. Arch Orthop Trauma Surg. 2016;136(8):1063–1067. doi: 10.1007/s00402-016-2487-8.
- Sakai Y, Takenaka S, Matsuo Y, et al. Hounsfield unit of screw trajectory as a predictor of pedicle screw loosening after single level lumbar interbody fusion. J Orthop Sci. 2018;23(5):734–738. doi: 10.1016/j.jos.2018.04.006.
- Matsukawa K, Abe Y, Yanai Y, Yato Y. Regional Hounsfield unit measurement of screw trajectory for predicting pedicle screw fixation using cortical bone trajectory: a retrospective cohort study. Acta Neurochir (Wien). 2018;160(2):405–11. doi: 10.1007/s00701-017-3424-5.
- Chen CH, Chen DC, Huang HM, et al. Level-based analysis of screw loosening with cortical bone trajectory screws in patients with lumbar degenerative disease. Medicine (Baltimore). 2020;99(40):e22186. doi: 10.1097/MD.0000000000022186.
- Pearson HB, Dobbs CJ, Grantham E, et al. Intraoperative biomechanics of lumbar pedicle screw loosening following successful arthrodesis. J Orthop Res. 2017;35(12):2673–2681. doi: 10.1002/jor.23575.
- Афаунов А.А., Басанкин И.В., Кузьменко А.В., Шаповалов В.К. Анализ причин ревизионных операций при хирургическом лечении больных с поясничными стенозами дегенеративной этиологии. Хирургия позвоночника. 2014;(1):86–93. [Afaunov AA, Basankin IV, Kuz’menko AV, Shapovalov VK. Analiz prichin revizionnykh operatsii pri khirurgicheskom lechenii bol’nykh s poyasnichnymi stenozami degenerativnoi etiologii. Khirurgiya pozvonochnika. 2014;(1):86–93. (In Russ).]
- Marie-Hardy L, Pascal-Moussellard H, Barnaba A, et al. Screw loosening in posterior spine fusion: prevalence and risk factors. Glob Spine J. 2020;10(5):598–602. doi: 10.1177/2192568219864341.
- Chen P, Li Z, Hu Y. Prevalence of osteoporosis in China: a meta-analysis and systematic review. BMC Public Health. 2016;16(1):1039. doi: 10.1186/s12889-016-3712-7.
- Abul-Kasim K, Ohlin A. Evaluation of implant loosening following segmental pedicle screw fixation in adolescent idiopathic scoliosis: a 2 year follow-up with low-dose CT. Scoliosis. 2014;9:13. doi: 10.1186/1748-7161-9-13.
- Ohba T, Ebata S, Oba H, et al. Risk factors for clinically relevant loosening of percutaneous pedicle screws. Spine Surg Relat Res. 2019;3(1):79–85. doi: 10.22603/ssrr.2018-0018.
- Razak HR, Dhoke P, Tay KS, et al. Single-level minimally invasive transforaminal lumbar interbody fusion provides sustained improvements in clinical and radiological outcomes up to 5 years postoperatively in patients with neurogenic symptoms secondary to spondylolisthesis. Asian Spine J. 2017;11(2):204–212. doi: 10.4184/asj.2017.11.2.204.
- Васильев А.И. Хирургическое лечение пациентов с дегенеративными деформациями поясничного отдела позвоночника: Дис. … канд. мед. наук. Новосибирск; 2018. [Vasil’ev AI. Khirurgicheskoe lechenie patsientov s degenerativnymi deformatsiyami poyasnichnogo otdela pozvonochnika. [dissertation] Novosibirsk; 2018. (In Russ).]
- Malham GM, Parker RM, Blecher CM, Seex KA. Assessment and classification of subsidence after lateral interbody fusion using serial computed tomography. J Neurosurg Spine. 2015;23(5):589–597. doi: 10.3171/2015.1.SPINE14566.
- Le TV, Baaj AA, Dakwar E, et al. Subsidence of polyetheretherketone intervertebral cages in minimally invasive lateral retroperitoneal transpsoas lumbar interbody fusion. Spine (Phila Pa 1976). 2012;37(14):1268–1273. doi: 10.1097/BRS.0b013e3182458b2f.
- Bratschitsch G, Puchwein P, Zollner-Schwetz I, et al. Spinal surgery site infection leading to implant loosening is influenced by the number of prior operations. Glob Spine J. 2020;1–6. doi: 10.1177/2192568220957268.
- Prinz V, Bayerl S, Renz N, et al. High frequency of low-virulent microorganisms detected by sonication of pedicle screws: a potential cause for implant failure. J Neurosurg Spine. 2019;31(3):424–429. doi: 10.3171/2019.1.SPINE181025.
- Leitner L, Malaj I, Sadoghi P, et al. Pedicle screw loosening is correlated to chronic subclinical deep implant infection: a retrospective database analysis. Eur Spine J. 2018;27(10):2529–2535. doi: 10.1007/s00586-018-5592-2.
- Rao PJ, Maharaj M, Chau C, et al. Degenerate-disc infection study with contaminant control (DISC): a multicenter prospective case-control trial. Spine J. 2020;20(10):1544–1553. doi: 10.1016/j.spinee.2020.03.013.
Supplementary files





