Fibrodysplasia ossificans progressiva (clinical observation with a brief review of the literature)
- Authors: Kolondaev A.F.1, Rodionova S.S.1
-
Affiliations:
- N.N. Priorov Central Institute of Traumatology and Orthopedic
- Issue: Vol 31, No 2 (2024)
- Pages: 203-216
- Section: Clinical case reports
- Submitted: 21.11.2023
- Accepted: 16.01.2024
- Published: 04.07.2024
- URL: https://journals.eco-vector.com/0869-8678/article/view/623695
- DOI: https://doi.org/10.17816/vto623695
- ID: 623695
Cite item
Abstract
BACKGROUND: Fibrodysplasia ossificans progressiva is a rare genetically determined disease of the musculoskeletal system and characterized by heterotopic ossifications in the muscles, fascia, and tendons and congenital and skeletal deformities that form during life. Owing to the lack of awareness of doctors, unresolved challenges in monitoring the disease and predicting the course and development of its complications, and the lack of generally accepted effective treatment, fibrodysplasia ossificans progressiva leads to severe disability and social disadaptation, limiting the life expectancy of patients.
CLINICAL CASE DESCRIPTION: The characteristic anamnestic data of a patient with fibrodysplasia ossificans progressiva are presented. The course of the disease from the moment of detection at age 1 year and 3 months to 29 years was determined. Notably, the care and symptomatic treatment performed during this period could not prevent the regular appearance of new heterotopic ossifications, which led to severe functional disorders and loss of the patient’s ability to self-care. In a brief review, the current possibilities of pathogenetic therapy for this disease and prevention of progression and complications were considered. The risks of unjustified surgical interventions leading to increased severity of the course and functional disorders are emphasized.
CONCLUSION: The scientific studies conducted in recent years to examine the etiopathogenesis of fibrodysplasia ossificans progressiva enabled the development of effective pharmacotherapy, which provides hope for the possibility of preventing the progression of the disease and improving the quality of life and social adaptation of patients with fibrodysplasia ossificans progressiva.
Full Text
INTRODUCTION
Fibrodysplasia ossificans progressiva (FOP) is a rare genetic musculoskeletal disorder with an extremely low prevalence. It is characterized by the progressive development of heterotopic ossifications in muscles, fascia, and tendons and congenital and lifelong skeletal deformities. These factors contribute to severe disability and a shortened life expectancy.
FOP has a frequency of less than one per one million populations, with no apparent sex or racial bias. It is characterized by sporadic occurrence and autosomal dominant inheritance [1, 2]. FOP is based on mutations in the activin A receptor type 1 (ACVR1) gene. The earliest documented cases were first described in the medical literature in 1692 by J. Patin and 1740 by J. Freke [1, 3]. The modern designation was established by Bauer and Bode in 1940 and McKusick in 1960 [1].
In the neonatal period, most cases present with deformities of the first toes, which are typically characterized by clinodactyly and shortening. Lesions of the first metatarsophalangeal joints are also observed, which are highly pathognomonic [4].
The occurrence of inflammatory infiltrates in soft tissues from an early age, manifested by pain and swelling, is the second highly pathognomonic clinical sign of FOP. The frequency of these episodes varies considerably among patients and in the same individual. The provoking factors include strain or overstretching of muscles and tendons, trauma, intramuscular injections, viral infections, and live vaccines. Nevertheless, in some cases, the provoking factor cannot be identified [5, 6].
Within a few months, heterotopic ossifications form at the infiltrate site along the course of the muscles, eventually leading to contractures and skeletal deformities. Ossificates do not affect the diaphragm, tongue, eyeball, cardiac, and smooth muscles. At disease onset, lesions of the axial skeleton predominate, and ossifications later develop in the extremities. The involvement of the paravertebral zone is associated with deformations of the spine, restriction of movements in it, and balance disorders. The ossification of the chest muscles is accompanied by the development of thoracic insufficiency syndrome, whereas ossification of the neck and submandibular muscles is associated with restricted mandibular movements, which eventually leads to the development of life-threatening conditions. Multiple contractures have been demonstrated to significantly restrict the functional capabilities of patients, leading to their confinement to wheelchairs and the inability to perform self-care activities [6–8].
In addition, FOP is accompanied by several other clinical manifestations of varying levels of severity. In the neonatal period, dense infiltrates of the cranial vault may develop, which subsequently regress. As individuals age, they may exhibit changes in the configuration of cervical vertebral bodies and thickening of their posterior elements. In addition, ankylosis of intervertebral and rib–vertebral joints in the cervical and thoracic regions, malformation of temporomandibular joints, proximal tibial osteochondromas, structural disorders of the metaphyses of the knee joint, hip joint and femoral neck deformities, and synostoses of different skeletal regions may be observed. Furthermore, synovial chondromatosis, sparse hair and eyebrows, alopecia, conductive hearing impairment, glaucoma, and increased risk of nephrolithiasis are observed. Magnetic resonance imaging (MRI) of the brain reveals pons deformation and foci of demyelination. Skeletal deformities lead to the early development of degenerative and dystrophic changes in joints [9–12].
The current conventional drug therapy for patients with FOP is limited to the symptomatic administration of nonsteroidal anti-inflammatory drugs and short courses of high-dose glucocorticoids in the event of trauma or acute development of infiltrates. Attempts to surgically remove the heterotopic ossificates have negative effects, resulting in the development of new, even more massive ossificates in their place [6].
The median life expectancy ranges from 40 to 56 years. Death is most frequently attributed to complications associated with thoracic insufficiency syndrome (respiratory dysfunction and cardiovascular disorders), often as a consequence of the inability to eat [13–15].
CLINICAL CASE
A 29-year-old patient with FOP presented with multiple skeletal deformities, severe limitations of movements in the spine and large joints, impaired gait, self-care loss, and the need for constant assistance.
Medical records revealed that at the age of 1 year and 3 months, a lump was first noticed in the right scapular area, accompanied by inflammatory manifestations, including swelling and increased local and general body temperature. Subsequently, similar infiltrates periodically appeared in the whole back area, which transformed into bone density masses. Later, ossifications in the trunk area progressed, and cervical spine movements became restricted. By the age of 6–8 years, skeletal deformities worsened, bone overgrowths appeared in the elbow joints and shoulders, and contractures increased.
Upon examination at the age of 11, radiographs and tomograms revealed several abnormalities, including synostosis of the 2nd–5th cervical vertebrae and deformities of their vertebral bodies; scoliosis; multiple heterotopic ossifications in the spine, elbow, and shoulder joints; and marked restriction of movements in the spine and large joints of the hands. Radiographically, the primary phalanges of the first toes were synostosized with the first metatarsal bones. In addition, the first toes were shortened with a valgus type of deformity. Radiographs of the hands revealed shortening and enlargement of the first metacarpal bones. Heterotopic ossificates were identified on the radiographs of pelvic bones. The vital and full capacities of the lungs were 56% and 75%, respectively. The results of clinical and radiological investigations indicated FOP. A genetic examination was conducted, which confirmed the diagnosis. The ACVR1 c.617G>A;p.R206H mutation was identified.
Upon examination, the patient exhibited significant difficulty in ambulation, with a markedly stiff gait. A rigid multiplanar spinal deformity was identified, accompanied by a notable impairment of the sagittal and frontal balance and remarkable movement limitation. Multiple formations of the trunk and upper and lower extremities were recognized. In addition, the lower jaw exhibited limited mobility, with an opening of up to 12 mm. The patient exhibits pronounced flexion contractures of the elbow joints, shoulders, wrists, hips, and knee joints.
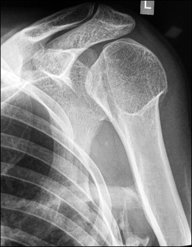
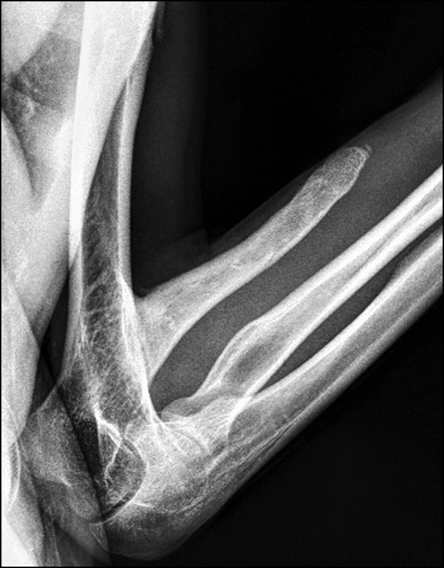
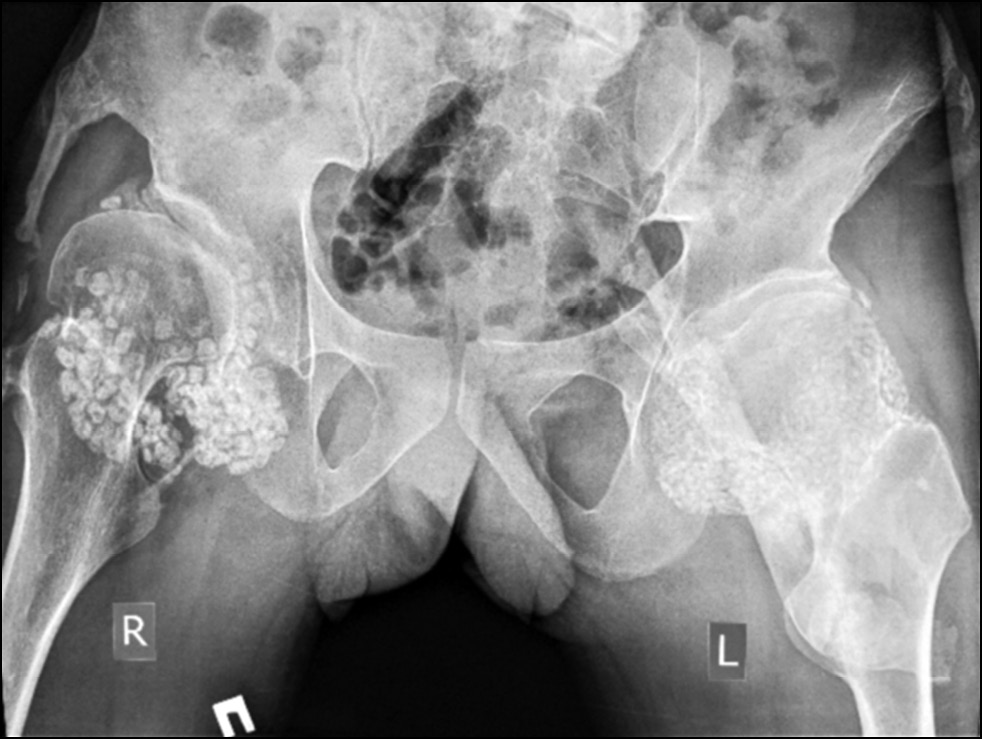
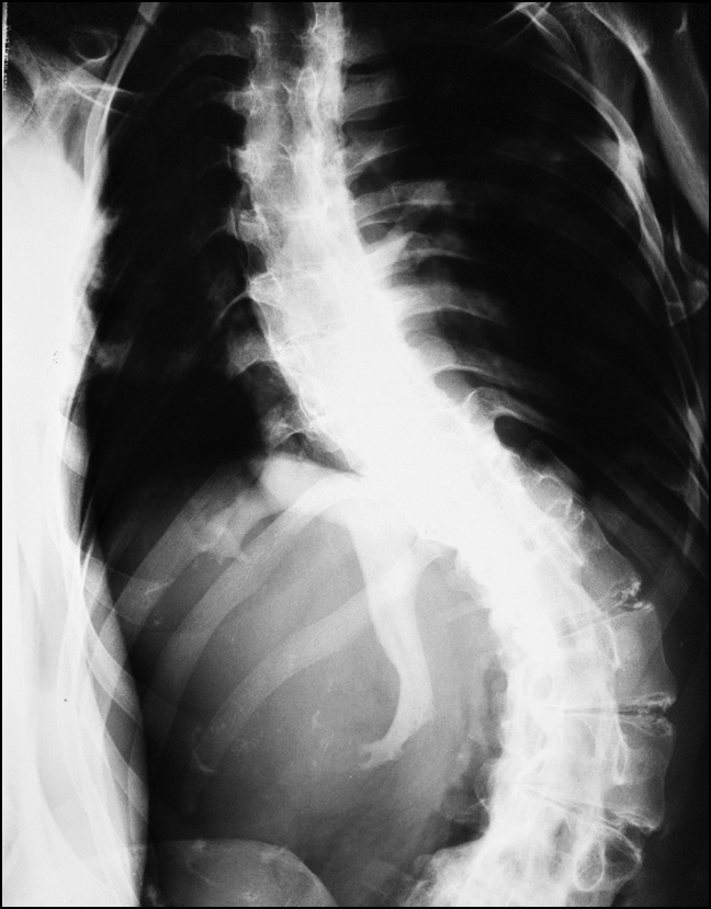
Control radiographs revealed multiple heterotopic ossifications of the axial and peripheral skeleton and submandibular region and multiplanar spinal deformity (Figs. 1–3). Computed tomography revealed synostosis of the 2nd–5th cervical vertebrae, which exhibited fusion of not only their posterior elements but also their bodies (Figs. 4 and 5). Synovial chondromatosis, one of the most common manifestations of FOP, was identified during a hip joint examination (Fig. 6). In addition to intra-articular chondromal bodies, heterotopic ossifications in the hip joints completely inhibit the movements in this skeletal region and significantly impeded walking (Figs. 7 and 8).
Fig. 1. Radiograph of the elbow joint: massive heterotopic ossification of the shoulder and forearm causing contracture of the elbow joint.
Fig. 2. Radiograph of the shoulder joint: heterotopic ossificatum emanating from the humerus and restricting movement in the shoulder joint.
Fig. 3. Chest radiograph: multiplanar fixed deformity of the spine, multiple heterotopic ossifications of the chest and paravertebral region, thoracic deformity.
Fig. 4. CT scan of the cervical spine, sagittal view: synostosis of the bodies and posterior elements of the C2-C5 vertebrae, heterotopic ossifications of the neck muscles.
Fig. 5. Three-dimensional CT reconstruction of the cervical spine, anterior view: synostosis of the C2-C5 vertebrae.
Fig. 6. Radiography of hip joints: marked synovial chondromatosis of both hip joints, heterotopic ossificates in the pelvis and hip joints.
Fig. 7. Three-dimensional CT reconstruction of the hip joints, anterior view: marked synovial chondromatosis.
Fig. 8. Three-dimensional CT reconstruction of the hip joints, posterior view: ossificatum is identified causing synostosis between the sacrum and the proximal femur.
Biochemical analyses revealed moderately high levels of osteoclast activity and bone formation markers. These included β-crosslaps and P1NP in the blood and deoxypyridinoline in the urine, which indicated active heterotopic ossification.
Furthermore, pathogenetically justified pharmacotherapy was not attempted throughout the patient’s life. Consequently, the patient’s care and prevention of complications could not prevent the progressive development of new ossifications and deterioration of functional status and self-care. Unfortunately, we could not obtain information about the subsequent course of the disease and treatment methods in this patient.
DISCUSSION
Etiopathogenesis
The multifunctional cytokine glycoprotein activin A, which belongs to the transforming growth factor beta superfamily, plays an important role in the development and maintenance of tissue and organ homeostasis, inflammatory response, and cell proliferation and apoptosis. The ACVR1 receptor is involved in the signaling of bone morphogenetic proteins and therefore is pathogenetically involved in ectopic chondrogenesis and endochondral ossification. A typical form of FOP is characterized by a point heterozygous mutation Arg206His (guanine to adenine substitution in the 617th position) in exon 6 of the gene. This leads to a change in arginine encoded by the conserved 206th codon to histidine. In recent years, other mutations of this gene, detected in approximately 3% of patients, have been characterized by atypical clinical manifestations, including the more mild or more sharply expressed symptoms than the normal course [1, 16].
The mutation of the ACVR1 receptor gene in FOP results in the inability to respond to the blocking effect of activin A, even the promotion of basal activity in the absence of stimulatory effects, and an enhanced positive response to factors in cases of inflammation, immune responses, and tissue hypoxia in skeletal soft tissues [17, 18].
Furthermore, ACVR1 defects result in the increased secretion of proinflammatory cytokines by monocytes and macrophages, including those detected in the blood serum. This contributes to the development of a hypertrophic inflammatory reaction, which is further aggravated by tissue hypoxia in response to traumatic and immune events. Morphological studies of inflammatory infiltrates in patients with FOP have revealed an abundance of macrophages, lymphocytes, and mast cells in perivascular spaces [19–22].
The catabolic phase, which occurs at the early stage of infiltrate development, is characterized by the death of tissue structures in the pathological focus. The subsequent anabolic phase, which is initiated by angiogenesis, involves the proliferation of fibroadipogenic progenitor cells in muscles and connective tissues and their subsequent development along the path of endochondral ossification [23]. In patients presenting with inflammatory infiltrate and heterotopic ossificatum formation, blood tests conducted between 3 weeks and 3 months post-onset demonstrate high levels of cartilage-derived retinoic acid-sensitive protein (CD-RAP), a chondrogenesis marker, and its levels decline by 6 months [24].
Experiments on cell cultures with a mutation characteristic of FOP revealed a sharp activation of metabolic mechanotransduction pathways, which also stimulate the development of progenitor cells along the osteogenic pathway and limit the inhibitory effect of the soft tissue microenvironment on heterotopic growth [25].
Over several months, the cartilaginous matrix of the ossificatum gradually assumes the structure of normal bone, replacing the affected muscle sections.
Diagnosis of FOP
The appearance of infiltrates in such a rare disease typically leads doctors to assume an inflammatory or tumoral process. However, the presence of characteristic foot deformity and multiple heterotopic ossificates at later stages helps avoid diagnostic errors. A biopsy should only be performed after a comprehensive noninvasive examination, as this is the only way to rule out the possibility of a tumor. Importantly, heterotopic ossificates in FOP may grow in size, which can result in trauma to the infiltrate [6, 26].
If an infiltrate is formed, accessible methods such as ultrasonography can be employed for objective visualization and differential diagnosis. However, given its limitations in the study of bony structures and deep tissues, MRI is a more sensitive and accurate method.
In addition to its diagnostic value, MRI can assess the severity and boundaries of tissue edema in the initial period of infiltrate formation. However, the subsequent formation of heterotopic ossification in FOP cannot be reliably predicted using this technique alone [26, 27].
Low-dose CT enables the localization of heterotopic ossifications, determination of their volume, and assessment of their development over time [26, 28].
Nevertheless, [18F-NaF] positron emission tomography–CT (PET-CT) is the most sensitive and accurate method for both the early detection of heterotopic ossifications in FOP and the determination of its progression. This method allows the visualization of ossifications forming at the earliest stage owing to the high tropicity of the F ion to hydroxyapatite [29, 30].
Clinical classification of FOP
A comprehensive clinical classification of FOP has been developed to objectively assess the severity of functional impairment in patients. It considers the localization and prevalence of ossifications, chest involvement, self-care ability and mobility, presence of complications, and the CAJIS cumulative joint impairment scale developed for FOP is used, which comprises five stages [31, 32].
Treatment of patients with FOP
Surgical interventions
Surgical interventions have a pronounced traumatic effect that triggers a pathological chain of events leading to heterotopic ossification formation in FOP. Surgical attempts in patients with this disease are associated with the formation of new, often even more massive heterotopic ossifications, which in the absolute majority of cases aggravate clinical manifestations [6, 33].
The indications for planned surgical interventions in these patients are significantly restricted, whereas those performed urgently or for vital indications should be performed using minimally traumatic methods. Anesthesia due to pronounced mobility restrictions of the mandible and cervical spine presents significant challenges, and catheterization of deep veins and arteries may be associated with subsequent heterotopic ossification. In light of these considerations, surgical interventions for FOP should be performed only with the involvement of an anesthesiologist with experience in the care of this patient population [6].
Pharmacotherapy
Currently, no etiopathogenetically based therapy has been accepted for patients with FOP. According to the available international clinical guidelines, symptomatic administration of nonsteroidal anti-inflammatory drugs (selective cyclooxygenase type 2 inhibitors are preferred) and myorelaxants is recommended for pain relief in cases of inflammatory infiltrates, secondary degenerative and dystrophic joint damage, and skeletal deformities [6].
Given the pivotal role of inflammatory processes in ossificate formation at the earliest stages of development and significant traumatic effects (including surgical interventions), short 3–4-day courses of high-dose glucocorticoids are recommended. The clinical effect is a reduction in the severity of infiltrative changes and pain syndrome. However, frequent or prolonged use of glucocorticoids is associated with serious side effects [6].
Rehabilitation and care
In patients with skeletal deformities, joint contractures, and body balance disorders, regular monitoring and assistance from a rehabilitation therapist is crucial. Gentle physical and occupational therapies can enhance the functional status of patients. Breathing exercises are employed to compensate for the limited lung vital capacity and diaphragm involvement in respiratory function. The use of a stimulating spirometer and regular singing are recommended [6].
Mandibular mobility restrictions result in challenges in performing hygienic procedures and dental care. Therefore, dental care be performed by a specialist with expertise in FOP [6].
Superficial ossifications have been associated with the development of pressure sores and subsequent severe purulent complications [33]. Preventive measures include the use of anti-decubitus mattresses and assistance from nursing staff for regular and timely turning of the patient [6].
Treatment prospects of patients with FOP
The statistical assessment of the efficacy of certain drugs in previous years was challenging because of the limited sample size and disease rarity. Few studies have reported the use of bisphosphonates, bone marrow transplantation, chemotherapy, and radiotherapy; however, the benefits of these modalities could not be reliably assessed, and the potential for serious side effects often precluded their use in FOP [6].
However, a recent studies of the etiopathogenesis of FOP recommend the consideration of the effects of certain potential targets on key processes leading to heterotopic ossification formation. First and foremost, this concerns the use of targeted drugs in the treatment of patients with FOP, which can target critical initial points of the pathogenesis, thereby increasing treatment effectiveness.
As evidenced by numerous studies, the inhibition of Janus kinases disrupts the metabolic signal transduction by interleukins and interferons, thereby conferring a pronounced anti-inflammatory effect on rheumatoid arthritis [34]. Consequently, in a retrospective observational study, I.P. Nikishina et al. evaluated the potential of target therapy with a highly selective Janus kinase inhibitor, tofacitinib, an immunosuppressant, in FOP. The drug was administered to 13 patients with FOP, aged 2.2–19.6 years. After 24 months of treatment, a significant and pronounced reduction in the median number of inflammatory infiltrates was observed, from 10 (range, 2–14) to 0 (range, 0–4) on average per year. This reduction was attributed to this drug. In four out of five cases studied, serum IL1RA levels decreased during therapy. The joint function, as assessed using the CAJIS scale, slightly deteriorated in only one patient during follow-up. Four patients (31%) demonstrated an increased range of motion. No significant adverse effects of the drug were observed. Furthermore, tofacitinib permitted the complete avoidance of glucocorticoids and significant reduction in the intake of nonsteroidal anti-inflammatory drugs [35].
In a single case report, R. Haviv et al. demonstrated that the administration of interleukin-1 antagonists canakinumab and anakinra resulted in a significant reduction in disease activity in a pediatric patient. They also observed that the inflammatory infiltrate formation was accompanied by a significant increase in the plasma levels of interleukin 1-β, which normalized during therapy. This finding suggests the potential of interleukin 1-β as a disease activity marker [36].
Imatinib, a tyrosine kinase inhibitor that has been used in the treatment of several diseases for an extended period, demonstrated anti-inflammatory, immunomodulatory, and antiproliferative activities in a study of seven pediatric patients with active FOP resistant to high doses of glucocorticoids. The results indicate that administration of imatinib in standard dosage for up to 32 months resulted in a significant decrease in the severity and frequency of inflammatory infiltrates [37].
In experiments, the well-known immunosuppressor rapamycin restricts the growth of heterotopic ossificates of various geneses. In a study of cartilage-forming cell lines with ACVR1 mutation characteristic of FOP, low-molecular-weight inhibitors of the mammalian target of rapamycin (mTOR) that suppress the formation of heterotopic ossificates were selected [38].
F.S. Kaplan et al. evaluated the effect of rapamycin on the course of FOP in clinical conditions in two pediatric patients and yielded inconclusive results. Further clinical trials are necessary to select the optimal dosage and regimens of the drug and evaluate its efficacy [39].
Immunosuppressive therapy can eliminate or mitigate the clinical manifestations of inflammatory infiltrates in patients with FOP on the earliest stage of heterotopic ossification. However, further studies are required to provide a reliable quantitative assessment of the effect of this group of drugs on the ossification volume, improvement of the quality of life, and life expectancy of patients.
The potential effect of pathogens on the subsequent stages of chondrogenesis in heterotopic ossification development is also being investigated.
The activation of retinoic acid gamma receptors (RAR-γ) results in the inhibition of both the early and late stages of chondrogenesis, thereby preventing heterotopic ossification formation [40, 41]. In this context, the selective agonist palovarotene was investigated in a mouse model of FOP. It demonstrated a significant inhibitory effect on the development of heterotopic ossifications with inflammatory muscle infiltration, and when administered in the neonatal period, it also reduced the development of skeletal deformities [41, 42].
Ongoing clinical trials of the drug in patients with FOP have demonstrated its efficacy and good tolerability, as evidenced by its effect on soft tissue edema and ossification development according to CT and MRI data [43]. Furthermore, the combination of palovarotene with glucocorticoids has indicated the prospect of combination therapy in FOP, as evidenced by the observed synergistic effect [44]. Currently, palovarotene has received official authorization for use in FOP in several countries [45].
F.S. Kaplan et al. analyzed a number of new therapeutic applications, both pathogenetically and etiologically justified. These include the blocking of mutant gene activity through signal transduction inhibitors, blocking of allele-specific ribonucleic acid, and blocking of monoclonal antibodies. They also discussed the potential therapeutic applications of antibodies to the mutant receptor, blocking of mutant receptor ligands, blocking of monoclonal antibodies to activin A, suppression of mastocyte and macrophage activity, suppression of ossificate-forming progenitor cells, and targeting of suppression of hypoxia-induced factor-1α activity [46].
The discovery of ACVR1 mutation permitted the creation of mutant animal lines, which expanded the opportunities for study of FOP pathogenesis and the search for effective methods of diagnosis and treatment [47–49].
In the 2010s, research on the use of viral vectors in monogenic diseases and tumors intensified [50]. The results allowed for a more optimistic outlook on the clinical use of this method in the future, particularly in FOP [51]. Consequently, in a mouse model of FOP, the parenteral administration of adeno-associated viral vectors tropic to muscle and bone tissue with a healthy recombinant gene prevented the development of heterotopic ossifications caused by traumatic impact [48].
In an experimental setting, monoclonal antibodies to activin A impeded heterotopic ossification formation in a murine model of FOP. This suggests the promising development of this therapeutic option. In clinical settings, the administration of monoclonal antibodies to activin A (garetosmab) reduced the severity and number of cases of inflammatory infiltration in patients with FOP. Furthermore, 18F-NaF PET-CT confirmed the inhibition of heterotopic ossification during treatment [53].
In an FOP model, the low-molecular-weight protein kinase inhibitor saracatinib at therapeutic doses blocked ACVR1 mutatation induced by activin A exposure and halted the formation of heterotopic ossificates caused by muscle damage. In addition, the drug exhibited no adverse effects on the growth of experimental animals or their weight gain. Saracatinib is currently being considered a promising drug for the treatment of patients with FOP, which will require clinical trials [54, 55].
In recent years, several drugs with a pathogenetically based mechanism of action are undergoing phase 1–3 clinical trials, indicating a rapid expansion of the therapeutic arsenal of physicians treating patients with FOP.
Emergency orthopedic surgical interventions in combination with pathogenetic drug therapy with palovarotene and glucocorticoids have been tested in clinical conditions. Despite the proven efficacy of palovarotene in reducing heterotopic bone formation, the pharmacological effect did not completely prevent the formation of heterotopic ossificates in the area of surgery. This still limits the indications for surgical treatment and indicates the need to choose the most sparing techniques in patients with FOP [56].
CONCLUSIONS
FOP is a rare genetic disorder that affects the musculoskeletal system. It is characterized by progressive bone tissue formation in soft tissues, leading to severe functional impairment, profound disability, and a significantly reduced life expectancy. Despite the onset of clinical manifestations in childhood, early diagnosis is challenging, and incorrect therapeutic measures often result in disease progression and complications.
The identification of ACVR1 mutation and the study of FOP pathogenesis have provided the foundation for the current development of several potentially effective drugs that can slow disease progression and improve the quality of life of patients.
A significant factor contributing to success is the transition from single case studies to multicenter trials, which can involve hundreds of patients and leverage the power of evidence-based medicine. The establishment of international communities of physicians and patients with rare diseases, such as FOP, also directs scientific efforts and raises awareness among medical professionals and patients, improving treatment outcomes and facilitating greater social adaptation.
Furthermore, the knowledge gained from studying rare genetic diseases is not an end in itself. Elucidating the etiology and pathogenesis of these diseases can provide insight into the mechanisms underlying the development of more common diseases. This, in turn, enables the creation of more sophisticated research technologies, development of novel therapeutic approaches based on an etiopathogenetic understanding of diseases, and a significant multiplicative effect on the medical and social spheres of society.
ADDITIONAL INFO
Autor contribution. All authors confirm that their authorship meets the international ICMJE criteria (all authors have made a significant contribution to the development of the concept, research and preparation of the article, read and approved the final version before publication).
Funding source. The authors state that there is no external funding when conducting the research and preparing the publication.
Competing interests. The authors declare that they have no competing interests.
Consent for publication. The patient gave his written consent for publication of his medical data.
About the authors
Aleksandr F. Kolondaev
N.N. Priorov Central Institute of Traumatology and Orthopedic
Email: osteopathology6@mail.ru
ORCID iD: 0000-0002-4216-8800
SPIN-code: 5388-2606
MD, Cand. Sci. (Med.)
Russian Federation, 10 Priorova str., Moscow, 115172Svetlana S. Rodionova
N.N. Priorov Central Institute of Traumatology and Orthopedic
Author for correspondence.
Email: rod06@inbox.ru
ORCID iD: 0000-0002-2726-8758
SPIN-code: 3529-8052
MD, Dr. Sci. (Med.), professor
Russian Federation, 10 Priorova str., Moscow, 115172References
- De Brasi D, Orlando F, Gaeta V, et al. Fibrodysplasia Ossificans Progressiva: A Challenging Diagnosis. Genes (Basel). 2021;12(8):1187. doi: 10.3390/genes12081187
- Pignolo RJ, Hsiao EC, Baujat G, et al. Prevalence of fibrodysplasia ossificans progressiva (FOP) in the United States: estimate from three treatment centers and a patient organization. Orphanet J Rare Dis. 2021;16(1):350–7. doi: 10.1186/s13023-021-01983-2
- Zatsepin ST. Bone pathology in adults. Moscow: Meditsina; 2001. Р. 128–131. (In Russ).
- Kovalenko-Klychkova NA, Klychkova IYu, Kenis VM, Melchenko EV. Fibrodysplasia ossificans progressiva in children (review and clinical analysis of 5 case reports). Travmatologiya i ortopediya Rossii. 2014;1(71):102–109. EDN: SANLYX
- Pignolo RJ, Bedford-Gay C, Liljesthröm M, et al. The Natural History of Flare-Ups in Fibrodysplasia Ossificans Progressiva (FOP): A Comprehensive Global Assessment. J Bone Miner Res. 2016;31(3):650–6. doi: 10.1002/jbmr.2728
- Kaplan FS, Mukaddam MA, Baujat G, et al. The medical management of fibrodysplasia ossificans progressiva: current treatment considerations. Proc Intl Clin Council FOP. 2021;2:1–128. Available from: https://www.iccfop.org/dvlp/wp-content/uploads/2022/01/GUIDELINES-v4-updated-Jan-2022.pdf
- Al Kaissi A, Kenis V, Ben Ghachem M, et al. The Diversity of the Clinical Phenotypes in Patients With Fibrodysplasia Ossificans Progressiva. J Clin Med Res. 2016;8(3):246–53. doi: 10.14740/jocmr2465w
- Pignolo RJ, Cheung K, Kile S, et al. Self-reported baseline phenotypes from the International Fibrodysplasia Ossificans Progressiva (FOP) Association Global Registry. Bone. 2020;134:115274. doi: 10.1016/j.bone.2020.115274
- Kaplan FS, Al Mukaddam M, Stanley A, Towler OW, Shore EM. Fibrodysplasia ossificans progressiva (FOP): A disorder of osteochondrogenesis. Bone. 2020;140:115539. doi: 10.1016/j.bone.2020.115539
- Bauer AH, Bonham J, Gutierrez L, Hsiao EC, Motamedi D. Fibrodysplasia ossificans progressiva: a current review of imaging findings. Skeletal Radiol. 2018;47(8):1043–1050. doi: 10.1007/s00256-018-2889-5
- Towler OW, Shore EM, Kaplan FS. Skeletal malformations and developmental arthropathy in individuals who have fibrodysplasia ossificans progressiva. Bone. 2020;130:115116. doi: 10.1016/j.bone.2019.115116
- Pignolo RJ, Shore EM, Kaplan FS. Fibrodysplasia ossificans progressiva: clinical and genetic aspects. Orphanet J Rare Dis. 2011;6:80. doi: 10.1186/1750-1172-6-80
- Smilde BJ, Botman E, de Ruiter RD, et al. Monitoring and Management of Fibrodysplasia Ossificans Progressiva: Current Perspectives. Orthop Res Rev. 2022;14:113–120. doi: 10.2147/ORR.S337491
- Botman E, Smilde BJ, Hoebink M, et al. Deterioration of pulmonary function: An early complication in Fibrodysplasia Ossificans Progressiva. Bone Rep. 2021;14:100758. doi: 10.1016/j.bonr.2021.100758
- Kaplan FS, Zasloff MA, Kitterman JA, et al. Early mortality and cardiorespiratory failure in patients with fibrodysplasia ossificans progressiva. J Bone Joint Surg Am. 2010;92(3):686–91. doi: 10.2106/JBJS.I.00705
- Hasegawa K, Tanaka H, Futagawa N, Miyahara H, Tsukahara H. Rapid Progression of Heterotopic Ossification in Severe Variant of Fibrodysplasia Ossificans Progressiva with p.Arg258Gly in ACVR1: A Case Report and Review of Clinical Phenotypes. Case Rep Genet. 2022;2022:5021758. doi: 10.1155/2022/5021758
- Lin H, Shi F, Gao J, Hua P. The role of Activin A in fibrodysplasia ossificans progressiva: a prominent mediator. Biosci Rep. 2019;39(8):BSR20190377. doi: 10.1042/BSR20190377
- Kaplan FS, Pignolo RJ, Shore EM. Granting immunity to FOP and catching heterotopic ossification in the Act. Semin Cell Dev Biol. 2016;49:30–6. doi: 10.1016/j.semcdb.2015.12.013
- Huang Y, Wang X, Zhou D, et al. Macrophages in heterotopic ossification: from mechanisms to therapy. NPJ Regen Med. 2021;6(1):70. doi: 10.1038/s41536-021-00178-4
- Grgurević L, Novak R, Trkulja V, et al. Elevated plasma RANTES in fibrodysplasia ossificans progressiva — A novel therapeutic target? Med Hypotheses. 2019;131:109313. doi: 10.1016/j.mehy.2019.109313
- Barruet E, Morales BM, Cain CJ, et al. NF-κB/MAPK activation underlies ACVR1-mediated inflammation in human heterotopic ossification. JCI Insight. 2018;3(22):e122958. doi: 10.1172/jci.insight.122958
- Pignolo RJ, McCarrick-Walmsley R, Wang H, et al. Plasma-Soluble Biomarkers for Fibrodysplasia Ossificans Progressiva (FOP) Reflect Acute and Chronic Inflammatory States. J Bone Miner Res. 2022;37(3):475–483. doi: 10.1002/jbmr.4492
- de Ruiter RD, Smilde BJ, Pals G, et al. Fibrodysplasia Ossificans Progressiva: What Have We Achieved and Where Are We Now? Follow-up to the 2015 Lorentz Workshop. Front Endocrinol (Lausanne). 2021;12:732728. doi: 10.3389/fendo.2021.732728
- Lindborg CM, Brennan TA, Wang H, Kaplan FS, Pignolo RJ. Cartilage-derived retinoic acid-sensitive protein (CD-RAP): A stage-specific biomarker of heterotopic endochondral ossification (HEO) in fibrodysplasia ossificans progressiva (FOP). Bone. 2018;109:153–157. doi: 10.1016/j.bone.2017.09.016
- Stanley A, Heo SJ, Mauck RL, Mourkioti F, Shore EM. Elevated BMP and Mechanical Signaling Through YAP1/RhoA Poises FOP Mesenchymal Progenitors for Osteogenesis. J Bone Miner Res. 2019;34(10):1894–1909. doi: 10.1002/jbmr.3760
- Al Mukaddam M, Rajapakse CS, Pignolo RJ, Kaplan FS, Smith SE. Imaging assessment of fibrodysplasia ossificans progressiva: Qualitative, quantitative and questionable. Bone. 2018;109:147–152. doi: 10.1016/j.bone.2017.08.011
- Botman E, Teunissen BP, Raijmakers P, et al. Diagnostic Value of Magnetic Resonance Imaging in Fibrodysplasia Ossificans Progressiva. JBMR Plus. 2020;4(6):e10363. doi: 10.1002/jbm4.10363
- Warner SE, Kaplan FS, Pignolo RJ, et al. Whole-body Computed Tomography Versus Dual Energy X-ray Absorptiometry for Assessing Heterotopic Ossification in Fibrodysplasia Ossificans Progressiva. Calcif Tissue Int. 2021;109(6):615–625. doi: 10.1007/s00223-021-00877-6
- Eekhoff EMW, Botman E, Coen Netelenbos J, et al. [18F]NaF PET/CT scan as an early marker of heterotopic ossification in fibrodysplasia ossificans progressiva. Bone. 2018;109:143–146. doi: 10.1016/j.bone.2017.08.012
- Botman E, Raijmakers PGHM, Yaqub M, et al. Evolution of heterotopic bone in fibrodysplasia ossificans progressiva: An [18F]NaF PET/CT study. Bone. 2019;124:1–6. doi: 10.1016/j.bone.2019.03.009
- Pignolo RJ, Kaplan FS. Clinical staging of Fibrodysplasia Ossificans Progressiva (FOP). Bone. 2018;109:111–114. doi: 10.1016/j.bone.2017.09.014
- Kaplan FS, Al Mukaddam M, Pignolo RJ. A cumulative analogue joint involvement scale (CAJIS) for fibrodysplasia ossificans progressiva (FOP). Bone. 2017;101:123–128. doi: 10.1016/j.bone.2017.04.015
- Botman E, Treurniet S, Lubbers WD, et al. When Limb Surgery Has Become the Only Life-Saving Therapy in FOP: A Case Report and Systematic Review of the Literature. Front Endocrinol (Lausanne). 2020;11:570. doi: 10.3389/fendo.2020.00570
- Hodge JA, Kawabata TT, Krishnaswami S, et al. The mechanism of action of tofacitinib — an oral Janus kinase inhibitor for the treatment of rheumatoid arthritis. Clin Exp Rheumatol. 2016;34(2):318–28.
- Nikishina IP, Arsenyeva SV, Matkava VG, et al. Successful experience of tofacitinib treatment in patients with Fibrodysplasia Ossificans Progressiva. Pediatr Rheumatol Online J. 2023;21(1):92. doi: 10.1186/s12969-023-00856-1
- Haviv R, Moshe V, De Benedetti F, et al. Is fibrodysplasia ossificans progressiva an interleukin-1 driven auto-inflammatory syndrome? Pediatr Rheumatol Online J. 2019;17(1):84. doi: 10.1186/s12969-019-0386-6
- Kaplan FS, Andolina JR, Adamson PC, et al. Early clinical observations on the use of imatinib mesylate in FOP: A report of seven cases. Bone. 2018;109:276–280. doi: 10.1016/j.bone.2017.07.019
- Hino K, Zhao C, Horigome K, et al. An mTOR Signaling Modulator Suppressed Heterotopic Ossification of Fibrodysplasia Ossificans Progressiva. Stem Cell Reports. 2018;11(5):1106–1119. doi: 10.1016/j.stemcr.2018.10.007
- Kaplan FS, Zeitlin L, Dunn SP, et al. Acute and chronic rapamycin use in patients with Fibrodysplasia Ossificans Progressiva: A report of two cases. Bone. 2018;109:281–284. doi: 10.1016/j.bone.2017.12.011
- Pacifici M. Retinoid roles and action in skeletal development and growth provide the rationale for an ongoing heterotopic ossification prevention trial. Bone. 2018;109:267–275. doi: 10.1016/j.bone.2017.08.010
- Huang J, Lin J, Li C, Tang B, Xiao H. Palovarotene Can Attenuate Heterotopic Ossification Induced by Tendon Stem Cells by Downregulating the Synergistic Effects of Smad and NF-κB Signaling Pathway following Stimulation of the Inflammatory Microenvironment. Stem Cells Int. 2022;2022:1560943. doi: 10.1155/2022/1560943
- Chakkalakal SA, Uchibe K, Convente MR, et al. Palovarotene Inhibits Heterotopic Ossification and Maintains Limb Mobility and Growth in Mice With the Human ACVR1(R206H) Fibrodysplasia Ossificans Progressiva (FOP) Mutation. J Bone Miner Res. 2016;31(9):1666–75. doi: 10.1002/jbmr.2820
- Pignolo RJ, Baujat G, Hsiao EC, et al. Palovarotene for Fibrodysplasia Ossificans Progressiva (FOP): Results of a Randomized, Placebo-Controlled, Double-Blind Phase 2 Trial. J Bone Miner Res. 2022;37(10):1891–1902. doi: 10.1002/jbmr.4655
- Sinha S, Uchibe K, Usami Y, Pacifici M, Iwamoto M. Effectiveness and mode of action of a combination therapy for heterotopic ossification with a retinoid agonist and an anti-inflammatory agent. Bone. 2016;90:59–68. doi: 10.1016/j.bone.2016.02.008
- Hoy SM. Palovarotene: First Approval. Drugs. 2022;82(6):711–716. doi: 10.1007/s40265-022-01709-z
- Kaplan FS, Pignolo RJ, Al Mukaddam MM, Shore EM. Hard targets for a second skeleton: therapeutic horizons for fibrodysplasia ossificans progressiva (FOP). Expert Opin Orphan Drugs. 2017;5(4):291–294. doi: 10.1080/21678707.2017.1304211
- Chakkalakal SA, Shore EM. Heterotopic Ossification in Mouse Models of Fibrodysplasia Ossificans Progressiva. Methods Mol Biol. 2019;1891:247–255. doi: 10.1007/978-1-4939-8904-1_18
- Yang YS, Kim JM, Xie J, et al. Suppression of heterotopic ossification in fibrodysplasia ossificans progressiva using AAV gene delivery. Nat Commun. 2022;13(1):6175. doi: 10.1038/s41467-022-33956-9
- Convente MR, Chakkalakal SA, Yang E, et al. Depletion of Mast Cells and Macrophages Impairs Heterotopic Ossification in an Acvr1R206H Mouse Model of Fibrodysplasia Ossificans Progressiva. J Bone Miner Res. 2018;33(2):269–282. doi: 10.1002/jbmr.3304
- Bulcha JT, Wang Y, Ma H, Tai PWL, Gao G. Viral vector platforms within the gene therapy landscape. Signal Transduct Target Ther. 2021;6(1):53. doi: 10.1038/s41392-021-00487-6
- Eekhoff EMW, de Ruiter RD, Smilde BJ, et al. Gene Therapy for Fibrodysplasia Ossificans Progressiva: Feasibility and Obstacles. Hum Gene Ther. 2022;33(15–16):782–788. doi: 10.1089/hum.2022.023
- Wentworth KL, Masharani U, Hsiao EC. Therapeutic advances for blocking heterotopic ossification in fibrodysplasia ossificans progressiva. Br J Clin Pharmacol. 2019;85(6):1180–1187. doi: 10.1111/bcp.13823
- Rocco MD, Forleo-Neto E, Pignolo R, et al. Garetosmab, an inhibitor of activin A, reduces heterotopic ossification and flare-ups in adults with fibrodysplasia ossificans progressiva: a randomized, double-blind, placebo controlled phase 2 trial. Available from: https://www.medrxiv.org/content/10.1101/2023.01.11.23284254v2. doi: 10.1101/2023.01.11.23284254
- Williams E, Bagarova J, Kerr G, et al. Saracatinib is an efficacious clinical candidate for fibrodysplasia ossificans progressiva. JCI Insight. 2021;6(8):e95042. doi: 10.1172/jci.insight.95042
- Smilde BJ, Stockklausner C, Keen R, et al. Protocol paper: a multi-center, double-blinded, randomized, 6-month, placebo-controlled study followed by 12-month open label extension to evaluate the safety and efficacy of Saracatinib in Fibrodysplasia Ossificans Progressiva (STOPFOP). BMC Musculoskelet Disord. 2022;23(1):519. doi: 10.1186/s12891-022-05471-x
- Singh S, Kidane J, Wentworth KL, et al. Surgical management of bilateral hip fractures in a patient with fibrodysplasia ossificans progressiva treated with the RAR-γ agonist palovarotene: a case report. BMC Musculoskelet Disord. 2020;21(1):204. doi: 10.1186/s12891-020-03240-2
Supplementary files










