Вone marrow edema in the differential diagnosis of deases of the knee
- 作者: Torgashin A.N.1, Morozov A.K.1, Torgashina A.V.2, Magomedgadgiev R.M.1, Fedotov I.A.3, Rodionova S.S.1
 - 
							隶属关系: 
							
- Priorov National Medical Research Center of Traumatology and Orthopedics
 - Nasonova Research Institute of Rheumatology
 - Therapeutic and diagnostic center “Kutuzovsky”
 
 - 期: 卷 31, 编号 4 (2024)
 - 页面: 647-663
 - 栏目: Clinical case reports
 - ##submission.dateSubmitted##: 24.04.2024
 - ##submission.dateAccepted##: 24.05.2024
 - ##submission.datePublished##: 25.12.2024
 - URL: https://journals.eco-vector.com/0869-8678/article/view/630870
 - DOI: https://doi.org/10.17816/vto630870
 - ID: 630870
 
如何引用文章
详细
INTRODUCTION: Bone marrow edema (a radiological term used in MR diagnosis) is characterized by low-intensity infiltration on T1-weighted sequences and high-intensity signal on T2-weighted short-tau inversion recovery (T2w-STIR) images.
CLINICAL CASE DESCRIPTION: The paper presents a case series in patients with knee pain, with subchondral bone lesions on MRI, characterized by bone marrow edema with no previous injury. The following diagnoses were made based on the type of bone edema and medical history: aseptic necrosis of the condyle, subchondral fracture, osteochondritis, secondary osteonecrosis, osteoarthritis, septic arthritis, and others. The paper describes the approach to differential diagnosis based on MRI findings.
CONCLUSION: An assessment of bone marrow edema found on MRI in patients with knee pain allows for timely diagnosis clarification and treatment initiation in some cases.
全文:
ВВЕДЕНИЕ
Боль в коленном суставе — одна из наиболее распространённых жалоб пациентов при обращении к травматологу-ортопеду. Повсеместно используемая для уточнения диагноза рентгенография в случаях, когда боль не связана с травмой, не всегда информативна [1], так как не позволяет выявить повреждения мягкотканных структур, а также начальные изменения в субхондральной кости. В последнее время для выявления этих изменений широко используется магнитно-резонансная томография (МРТ) [2], которая с учётом известных особенностей формирования изображения [3] позволяет провести дифференциальную диагностику заболеваний.
В основе метода МРТ лежит фиксация количества и состояния атомов водорода Н+ в составе молекулы воды (Н2О), изменяющихся под воздействием магнитного поля. Симптом отёка костного мозга представляет собой локальное накопление жидкости внутри кости, связанное с травмой сосуда или увеличением проницаемости его стенки, например на фоне воспаления. Однако усиление интенсивности сигнала на МРТ формируется не только за счёт локального увеличения количества жидкости, но и за счёт накопления грануляционной ткани с большим количеством клеточных элементов. В связи с этим в последнее время всё чаще употребляется более широкое понятие — «отёкоподобное усиление сигнала костного мозга» (Edema-like marrow signal intensity, ELMSI), которое точнее отражает данные изменения в субхондральной кости [4]. Учёт объёма отёка, локализации и времени выявления изменений позволяет проводить дифференциальную диагностику патологий, как связанных [5], так и не связанных с травмой коленного сустава.
В данной публикации на примере коленного сустава, как наиболее часто встречающейся области использования МРТ для дифференциальной диагностики, представлена серия клинических случаев с вовлечением субхондральной кости в виде отёка костного мозга, возникшего без предшествующей травмы.
Все МР-исследования выполнялись на МРТ-сканере с индукцией магнитного поля 1,5 Т. Использованы режимы визуализации: PD FS, протонная плотность с радиочастотным подавлением сигнала от жировой ткани (Fat Saturation, FS) — метод, основанный на разности резонансных частот протонов жира и воды (для воды частота выше); Т2-STIR — Т2-взвешенные изображения с подавлением сигнала от жира методом Short Time Inversion Recovery (STIR). В данном методе жироподавления используется другая особенность жира — короткое Т1-время релаксации. Также применялись Т1- и Т2-взвешенные изображения.
У пациентов получено информированное согласие на публикацию их клинических случаев, предприняты меры, позволяющие сохранить анонимность МРТ-изображений [6, 7].
ОПИСАНИЕ КЛИНИЧЕСКИХ СЛУЧАЕВ
Клинический случай 1. Асептический некроз мыщелка бедренной кости (остеонекроз, идиопатический асептический некроз, спонтанный остеонекроз коленного сустава (Osteonecrosis, Avascular necrosis, Spontaneous osteonecrosis of the knee, SONK/SPONK))
Пациент И., 52 года, обратился с жалобами на боль в левом коленном суставе, которая беспокоит в течение одного месяца. Боль возникла резко, без видимой причины.
На выполненных рентгенограммах патологии не выявлено. Пациент наблюдался в клинике по месту жительства с диагнозом «остеоартрит коленного сустава». В связи с неэффективностью применения нестероидных противовоспалительных препаратов выполнил МРТ-исследование, на котором выявлен отёк костной ткани в области наружного мыщелка бедренной кости (рис. 1), плавно переходящий на внутренний мыщелок.
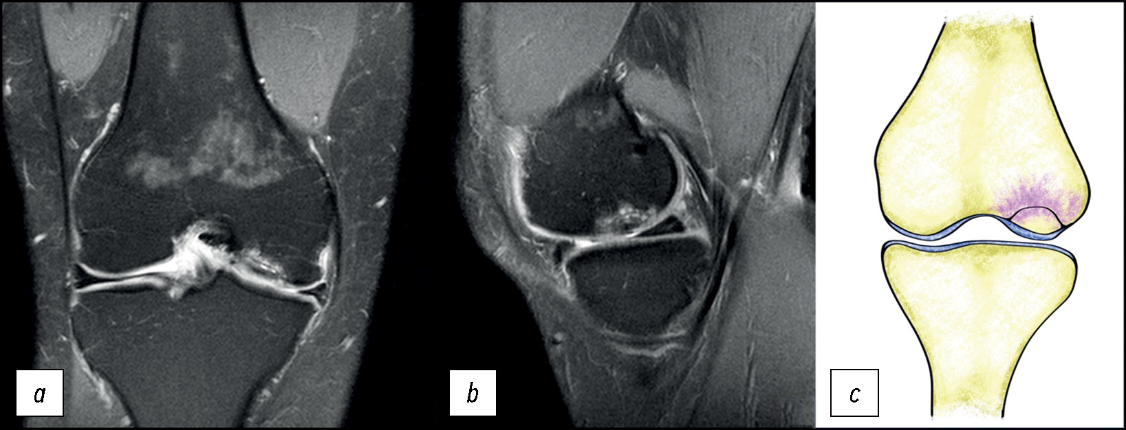
Рис. 1. МР-томограммы коленного сустава: а, b — изображение в T2w-STIR режиме, с — изображение в режиме Т1 в корональной проекции, и графическое изображение остеонекроза мыщелка в сагиттальной проекции (d).
Fig. 1. MR images of the knee: а, b — T2-weighted short-tau inversion recovery (T2w-STIR), с — T1-weighted sequences in the coronal projection and a graphic image of an osteonecrosis (d).
Состояние расценено как идиопатический асептический некроз наружного мыщелка бедренной кости I стадии по классификации ARCO (остеонекроз) (M87.0) [8].
Особенности отёка костной ткани: достаточно равномерный, без каких-либо линий и включений, распространяется на большую часть мыщелка. Гиалиновый хрящ не вовлечён в патологический процесс, имеет ровную поверхность без деформации, что характерно для начальной стадии асептического некроза [9].
Клинический случай 2. Субхондральный (трабекулярный) перелом внутреннего мыщелка большеберцовой кости (Subchondral insufficiency fracture of the knee, SIF/SIFK)
Пациент К., 72 года, обратился с жалобами на боль в области коленного сустава, которая появилась через сутки после длительной прогулки. На выполненных рентгенограммах патологии не выявлено. При МРТ-исследовании отмечен отёк области внутреннего мыщелка большеберцовой кости.
Особенности отёка костной ткани: в субхондральной зоне прослеживается искривлённая линия, которая является гипоинтенсивной на T1-взвешенных изображениях и в режиме PD с подавлением сигнала от жировой ткани и проходит параллельно суставной поверхности (рис. 2), что требует проведения дифференциальной диагностики с переломом в результате травмы [4].
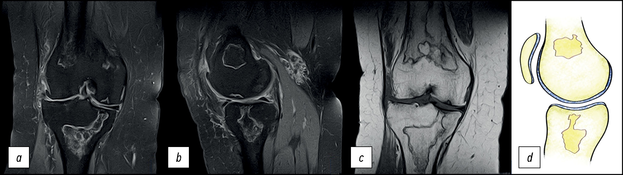
Рис. 2. МР-томограммы коленного сустава: а, b — корональная и сагиттальная проекции в режиме PD FS с подавлением сигнала от жировой ткани, с — сагиттальная проекция в режиме T1, и графическое изображение (d) при субхондральном переломе внутреннего мыщелка большеберцовой кости. Стрелками отмечена линия перелома.
Fig. 2. MRI images of the knee. a — coronal view in PD FS mode with signal suppression from adipose tissue, b — sagittal view in S mode with signal suppression from adipose tissue, c — sagittal view in T1-weighted sequences and a graphic image (d) with a subchondral fracture of the medial condyle of the tibia. The arrows mark the fracture line.
Учитывая отсутствие в анамнезе травмы, данная патология была расценена [10] как субхондральный перелом на фоне недостаточной прочности (ослабления) кости. Возникает субхондральный перелом, как правило, у пациентов с остеопорозом на фоне выраженного снижения минеральной плотности костной ткани и после длительного пребывания на ногах. В зарубежной литературе обозначается аббревиатурой SIF/SIFK (Subchondral insufficiency fracture of the knee) [11].
Наличие линии в области отёка костной ткани позволяет провести дифференциальную диагностику между субхондральным переломом и начальной стадией асептического некроза, где подобной линии не прослеживается.
Клинический случай 3. Стрессовый (усталостный) перелом (Stress (fatigue) fracture)
Пациентка Б., 35 лет, обратилась с жалобами на боль в правом коленном суставе, которая возникла после 4 дней регулярных пробежек по 5 км. На рентгенограммах коленного сустава патологии не выявлено. При МРТ-исследовании выявлен отёк в области внутреннего мыщелка большеберцовой кости, сочетающийся с зоной перелома между эпифизом и диафизом большеберцовой кости. Поставлен диагноз: стрессовый перелом проксимального отдела правой большеберцовой кости.
Особенностью отёка костной ткани при стрессовых переломах является наличие, как и при субхондральных переломах, искривлённой линии, которая является гипоинтенсивной на T1-взвешенных и PD-режимах с подавлением сигнала от жировой ткани, но локализуется линия перелома ближе к диафизарной зоне (рис. 3).
Рис. 3. МР-томограммы коленного сустава: а, b — корональная и сагиттальная проекции в режиме PD с подавлением сигнала от жировой ткани, c, d — корональная и сагиттальная проекции в режиме T1 при стрессовом переломе внутреннего мыщелка большеберцовой кости справа. Стрелкой отмечена линия перелома.
Fig. 3. MRI scans of the knee: а, b — coronal and sagittal views in to suppress the signal from adipose tissue, c, d — coronal and sagittal views in T1-weighted sequences with a stress fracture of the medial condyle of the tibia. The arrows mark the fracture line.
Данный вид перелома так же, как и в клиническом случае 2, возникает без предшествующей травмы, локализуется в области мыщелков бедренной или большеберцовой кости. В отличие от субхондрального перелома, стрессовый перелом возникает при нормальной плотности костной ткани на фоне регулярных повышенных нагрузок (например, регулярный бег или марш). В зарубежной литературе описан как усталостный, или стрессовый, перелом — fatigue (stress) fracture [12].
Клинический случай 4. Транзиторный (временный) отёк костной ткани (Transient bone marrow edema, TBME)
Пациентка К., 68 лет, обратилась с жалобами на резкую боль в области правого коленного сустава. Боль возникла без видимой причины. В анамнезе есть указание, что 6 месяцев назад больная наблюдалась с диагнозом «транзиторный отёк головки левой бедренной кости». На фоне консервативной терапии, со слов пациентки, процесс был купирован. После выполнения МРТ-исследования коленного сустава (рис. 4) выявлены изменения в области внутреннего мыщелка бедренной кости, которые стали основанием для диагноза «транзиторный отёк внутреннего мыщелка правой бедренной кости».
Рис. 4. МР-томограммы коленного сустава: а, b — корональная и сагиттальная проекции в режиме PD с подавлением сигнала от жировой ткани при транзиторном отёке внутреннего мыщелка правой бедренной кости, c, d — корональная и сагиттальная проекции в режиме PD с подавлением сигнала от жировой ткани через 3 месяца после начала лечения (полное восстановление костной ткани внутреннего мыщелка бедренной кости); е — графическое изображение.
Fig. 4. MRI scans of the knee: а, b — coronal and sagittal views in to suppress the signal from adipose tissue with a transient bone marrow edema (TBME) medial condyle of the femur, c, d — coronal and sagittal views in to suppress the signal from adipose tissue after 3 months after start of treatment — bone restoration. Graphic image of a transient bone marrow edema (TBME) (е).
Особенностью транзиторного отёка костной ткани является его равномерное распределение на большей площади мыщелка, без дополнительных включений и линий. Визуально не отличается от начальных стадий идиопатического асептического некроза, поэтому диагноз «транзиторный отёк» может быть установлен только после разрешения отёка и полного выздоровления пациента.
Клинический случай 5. Рассекающий остеохондрит (Osteochondritis dissecans, OCD)
Пациент Б., 29 лет, обратился с жалобами на боль в области правого коленного сустава. Из анамнеза известно, что пациент периодически играет в футбол. Боль беспокоит в течение 6 месяцев, пациент отмечает обострение боли после нагрузок.
Из особенностей МРТ-картины отмечается невыраженный отёк в субхондральной зоне внутреннего мыщелка бедренной кости с наличием гипоинтенсивной линии, отделяющей фрагмент гиалинового хряща и костной ткани (рис. 5).
Рис. 5. МР-томограммы коленного сустава: a, b — корональная и сагиттальная проекции в режиме PD с подавлением сигнала от жировой ткани при рассекающем остеохондрите внутреннего мыщелка правой бедренной кости; с — графическое изображение.
Fig. 5. MRI scans of the knee: a, b — coronal and sagittal views in to suppress the signal from adipose tissue with an osteochondritis dissecans (OCD) medial condyle of the femur. Graphic image (с).
Выявленные изменения стали основанием для диагноза «рассекающий остеохондрит внутреннего мыщелка бедренной кости справа».
Интенсивность отёка в данном случае зависит от активности и срока возникновения повреждения. При длительном вялотекущем процессе интенсивность отёка, как правило, снижается.
Данные изменения можно выявить на рентгенограммах в виде овального поражения субхондральной кости с различной степенью прозрачности в центре и окружающим склерозом. Данное заболевание характерно для пациентов подросткового или молодого возраста, активно занимающихся спортом.
Клинический случай 6. Вторичный остеонекроз мыщелков бедренной и большеберцовой кости (Secondary osteonecrosis of the knee, SOK)
Пациентка Б., 44 года, обратилась с жалобами на боль в правом коленном суставе. Боль беспокоит в течение 6 месяцев. Из анамнеза известно, что в течение 15 лет пациентка больна системной красной волчанкой и постоянно получает глюкокортикоиды. После выполнения МРТ (рис. 6) поставлен диагноз: вторичный лекарственный остеонекроз костей (M87.1).
Рис. 6. МР-томограммы коленного сустава: a, b — корональная и сагиттальная проекции в режиме PD с подавлением сигнала от жировой ткани при вторичном лекарственном остеонекрозе, с — корональная проекция в режиме Т1; d — графическое изображение.
Fig. 6. MRI scans of the knee: a, b — coronal and sagittal views in to suppress the signal from adipose tissue with a secondary osteonecrosis of the knee (SOK), с — coronal views in T1-weighted sequences, d — graphic image.
Особенностью отёка костного мозга при вторичном остеонекрозе на фоне приёма глюкокортикоидов, лучевой или химиотерапии является наличие характерного географического рисунка, который развивается в результате нарушения кровоснабжения, приводящего к гибели клеток трабекулярной кости. Подобная змеевидная полоса с двойным контуром идентифицируется у 65–85% пациентов [13].
Внутренняя гиперинтенсивная полоса (T2-режим) обусловлена репаративной грануляционной тканью, а внешняя гипоинтенсивная полоса — склерозом, отделяющим зону поражения от здоровой кости и являющимся патогномоничным признаком вторичного остеонекроза [14].
При расположении очагов только в диафизарной части кости возможно использовать термин «вторичный медуллярный остеонекроз».
Клинический случай 7. Остеоартрит коленного сустава (Osteoarthritis knee)
Пациентка В., 60 лет, обратилась с болью в левом коленном суставе, которая беспокоит её в течение нескольких лет. На МР-томограммах (рис. 7) выявлен равномерный отёк костного мозга в области внутреннего мыщелка большеберцовой кости.
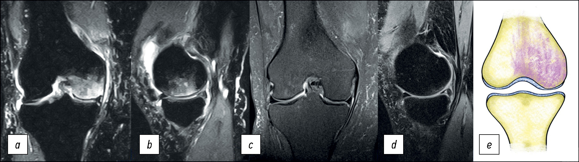
Рис. 7. МР-томограммы коленного сустава: a, b — корональная и сагиттальная проекции в режиме PD с подавлением сигнала от жировой ткани при III стадии остеоартрита, c — сагиттальная проекция в режиме Т1; d — графическое изображение. Отёкоподобное усиление сигнала костного мозга внутреннего мыщелка левой большеберцовой кости, сочетающееся с истончением или отсутствием хряща, обозначается как остеит.
Fig. 7. MRI scans of the knee: a, b — coronal and sagittal views in to suppress the signal from adipose tissue with an osteoarthritis knee, c — sagittal views in to T1. Graphic image of an osteoarthritis knee (d). Edema-like marrow signal intensity (ELMSI).
Характерными особенностями отёка кости при остеоартрите являются его равномерность, отсутствие горизонтальных линий в субхондральной области и самое важное — значительное истончение или отсутствие гиалинового хряща в области мыщелка, что отличает его от начальных стадий асептического некроза, где гиалиновый хрящ полностью сохранён.
Отёкоподобное усиление сигнала костного мозга в таких случаях обозначается термином «остеит».
Клинический случай 8. Ревматоидный артрит (Rheumatoid arthritis, RA)
Пациент А., 63 года, обратился с жалобами на периодическую боль и отёк в правом коленном суставе в течение нескольких лет. Около 10 лет назад поставлен диагноз «ревматоидный артрит», по поводу чего получает лечение, включая нестероидные противовоспалительные препараты, метотрексат и внутрисуставные инъекции глюкокортикостероидов.
Особенностью отёка костной ткани, выявленного на МР-томограммах (рис. 8), является его локализация. Очаги встречаются как в нагружаемых (мыщелки бедренной и большеберцовой кости), так и в ненагружаемых областях (межмыщелковое возвышение). Нет чёткого отграничения здоровой кости от поражённых участков, что является отличием от вторичного остеонекроза костей, развивающегося, например, на фоне приёма глюкокортикостероидов. В то же время локализация в разных участках бедренной и большеберцовой кости подчёркивает вторичный характер поражения. Структура гиалинового хряща истончена равномерно, и его изменения не зависят от локализации отёка в костной ткани, что отличает отёк при ревматоидном артрите от остеита при деформирующем остеоартрите коленного сустава.
Рис. 8. МР-томограммы коленного сустава: a, b — корональная и сагиттальная проекции в режиме PD FS с подавлением сигнала от жировой ткани при ревматоидном артрите.
Fig. 8. MRI scans of the knee: a, b — coronal and sagittal views in to suppress the signal from adipose tissue with a rheumatoid arthritis.
Клинический случай 9. Метаболические артропатии (Metabolic arthropathies). Болезнь депонирования кристаллов пирофосфата кальция (Pyrophosphate arthropathy)
Пациент К., 21 год, в течение нескольких месяцев отмечает боль в области коленного сустава, периодически — блокады правого коленного сустава с ограничением сгибания и разгибания. Проводился дифференциальный диагноз между рассекающим остеохондритом коленного сустава, травматическим повреждением с развитием свободного внутрисуставного тела и метаболической артропатией.
Отёк костного мозга, выявленный на МРТ (рис. 9), распространялся на весь внутренний мыщелок бедренной кости, сочетался с развитием костно-хрящевого дефекта и наличием свободного внутрисуставного тела.
Рис. 9. МР-томограммы коленного сустава при болезни депонирования кристаллов пирофосфата кальция: a, b — корональная и сагиттальная проекции в режиме PD FS с подавлением сигнала от жировой ткани, c — корональная проекция в режиме Т1 (белая стрелка — энхондрома бедренной кости, чёрная стрелка — область остеохондрального дефекта), d, e, f — артроскопическая картина (чёрные стрелки — области отложения кристаллов пирофосфата кальция на гиалиновом хряще мыщелка бедренной кости и на поверхности мениска) при пирофосфатной артропатии коленного сустава.
Fig. 9. MRI scans of the knee: a, b — coronal and sagittal views in to suppress the signal from adipose tissue with a pyrophosphate arthropathy, c — coronal views in to T1 (white arrow — enchondroma of the femur, black arrow — area of osteochondral defect), d, e, f — arthroscopic views (black arrows — areas of deposition of calcium pyrophosphate crystals on the hyaline cartilage of the femoral condyle and on the surface of the meniscus) with pyrophosphate arthropathy of the knee joint.
Во время артроскопии коленного сустава на поверхности гиалинового хряща отмечено отложение кристаллов, что подтверждало болезнь депонирования кристаллов пирофосфата кальция.
Клинический случай 10. Инфекционный артрит (Septic arthritis), или остеомиелит (Osteomyelitis)
Пациент Д., 49 лет. Обратился с жалобами на боль в области коленного сустава, отёк мягких тканей, ограничение движения. Боль в коленном суставе беспокоила в течение нескольких лет, пациент проходил лечение по поводу деформирующего остеоартрита коленного сустава, включая внутрисуставную терапию. Последний раз внутрисуставное введение препаратов было выполнено за 2 месяца до обращения.
На МР-томограммах (рис. 10) выявлен равномерный, без каких-либо включений, отёк костного мозга в области внутреннего мыщелка большеберцовой кости, который сопровождался выраженным выпотом в полость коленного сустава и развитием воспаления окружающих мягких тканей.
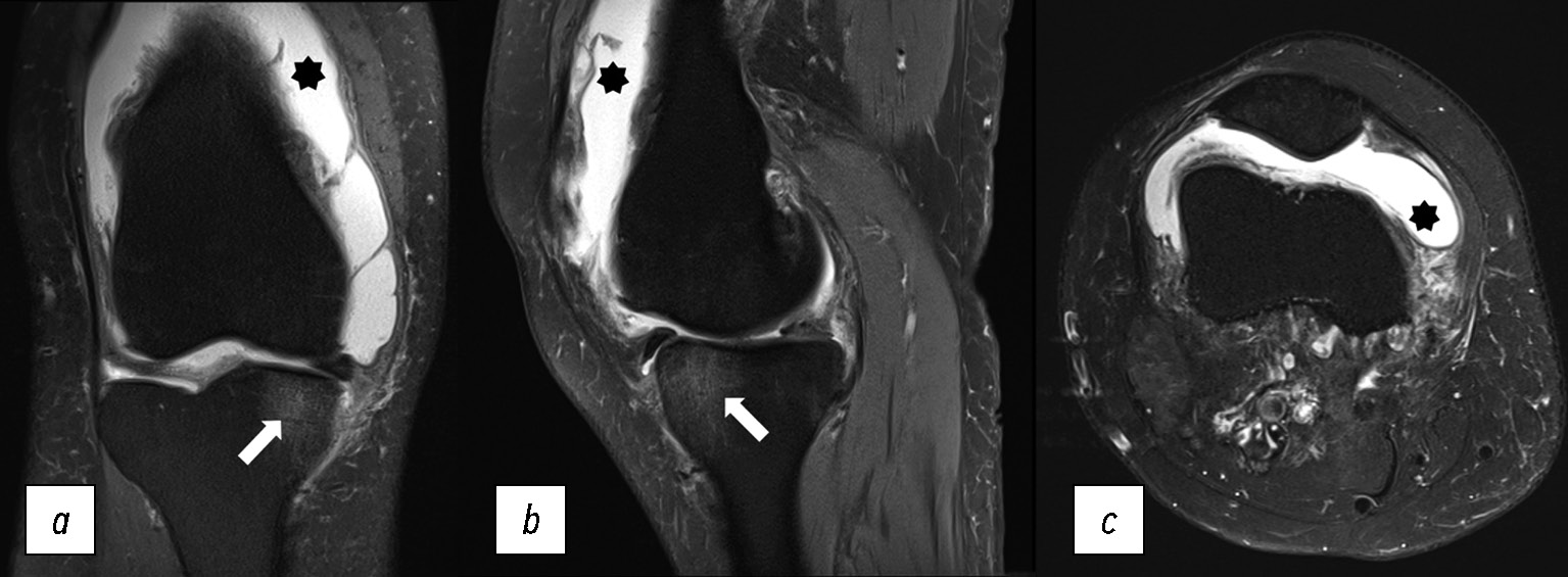
Рис. 10. МР-томограммы коленного сустава: a, b, c — корональная, сагиттальная и аксиальная проекции в режиме PD FS с подавлением сигнала от жировой ткани при септическом артрите правого коленного сустава. Звёздочка — избыточное количество синовиальной жидкости в полости коленного сустава (синовит), стрелка — отёкоподобное усиление сигнала костного мозга внутреннего мыщелка правой большеберцовой кости.
Fig. 10. MRI scans of the knee: a, b, c — coronal, sagittal and axial views in to suppress the signal from adipose tissue with a septic arthritis right knee. Marks — excessive amount of synovial fluid in the volvulus of the knee joint (synovitis), arrow — edema-like marrow signal intensity (ELMSI) of the internal condyle of the right tibia.
Септический характер поражения подтверждается микробиологическим обследованием синовиальной жидкости и лабораторными показателями крови.
В ряде случаев при септическом артрите отёк костной ткани может быть с тотальным поражением бедренной и большеберцовой кости, как представлено на рис. 11, полученном у пациента с вторичной инфекцией после перенесённого COVID-19.
Рис. 11. МР-томограммы коленного сустава: a, b — корональная и сагиттальная проекции в режиме PD FS с подавлением сигнала от жировой ткани при септическом артрите коленного сустава после перенесённого COVID-19.
Fig. 11. MRI scans of the knee: a, b — coronal and sagittal views in to suppress the signal from adipose tissue with a septic arthritis of the knee joint after COVID-19.
Клинический случай 11. Неопластический процесс, хондробластома (Neoplastic disease, chondroblastoma)
Пациентка Б., 21 год. Обратилась с жалобами на боль в области левого коленного сустава, которая беспокоит в течение нескольких месяцев.
На МР-томограммах (рис. 12) выявлен неравномерный отёк костного мозга в области дистального отдела бедренной кости. В межмыщелковой зоне имеется очаг деструкции с чёткой границей, отделяющей его от здоровой ткани. Непосредственно в зоне очага деструкции отмечается сглаженность костного рисунка. При опухолевом поражении отёк костной ткани более выражен по периферии очага деструкции [15].
Рис. 12. МР-томограммы коленного сустава: a, b — корональная и сагиттальная проекции в режиме PD с подавлением сигнала от жировой ткани, c, d — корональная и сагиттальная проекции в режиме T1 при хондробластоме дистального отдела левой бедренной кости. Стрелкой отмечена граница опухоли. Диагноз верифицирован после трепан-биопсии.
Fig. 12. MRI scans of the knee: a, b — coronal and sagittal views in to suppress the signal from adipose tissue, c, d — coronal and sagittal views in T1-weighted sequences with chondroblastoma of the distal left femur. The arrow marks the tumor border.
Клинический случай 12. Неопластический процесс, остеоид-остеома (Neoplastic disease, osteoid osteoma)
Пациент А., 19 лет. Обратился с жалобами на выраженную боль в области левого коленного сустава, которая беспокоит в течение года. Пациент отмечал усиление болевого синдрома в покое и в ночное время суток. Приём нестероидных противовоспалительных препаратов не приносил длительного облегчения, что заставляло пациента принимать препараты до 4 раз в день.
На МР-томограммах (рис. 13) выявлен выраженный отёк костного мозга в области проксимального отдела большеберцовой кости, где на некоторых срезах в области медиального кортикала большеберцовой кости выявлен небольшой очаг — гнездо опухоли. МРТ-картина соответствовала остеоид-остеоме, наличие которой подтвердилось при КТ-исследовании. Особенностью отёка костной ткани при остеоид-остеоме является его значительная интенсивность, которая возрастает ближе к опухоли. Отёк не связан с изменениями суставной поверхности. Часто при МРТ-диагностике не удаётся выявить гнездо остеоид-остеомы, в связи с чем наличие отёка с подозрением на опухоль, особенно при выраженном болевом синдроме в ночное время, является показанием к выполнению КТ-исследования для выявления очага опухоли.
Рис. 13. a, b — МР-томограммы коленного сустава (корональная и сагиттальная проекции в режиме PD с подавлением сигнала от жировой ткани), с — КТ-исследование при остеоид-остеоме проксимального отдела большеберцовой кости слева.
Fig. 13. a, b — MRI scans of the knee (coronal and sagittal views in to suppress the signal from adipose tissue), с — CT examination for osteoid osteoma of the proximal tibia.
Клинический случай 13. Постартроскопический отёк / остеонекроз мыщелков бедренной и большеберцовой кости (Post-arthroscopic osteonecrosis of the knee)
Пациентка К., 75 лет. Обратилась с жалобами на боль в области правого коленного сустава, которая возникла через 2 месяца после артроскопической менискэктомии внутреннего мениска правого коленного сустава.
На МР-томограммах (рис. 14) выявлен отёк костного мозга в области внутреннего мыщелка бедренной и большеберцовой кости. Отёк в субхондральных зонах с вовлечением нагружаемых отделов мыщелков на стороне вмешательства на мениске требовал исключения развития у пациентки редкого осложнения в виде постартроскопического остеонекроза мыщелков бедренной и большеберцовой кости. Для постановки диагноза важным критерием являлось отсутствие отёка по МРТ в предоперационном периоде.
Рис. 14. МР-томограммы коленного сустава: a, b — корональная и сагиттальная проекции в режиме PD с подавлением сигнала от жировой ткани, с — корональная проекция в режиме T1 до артроскопии коленного сустава, d, е — корональная и сагиттальная проекции в режиме PD с подавлением сигнала от жировой ткани, f — корональная проекция в режиме T1 через 2 месяца после артроскопии коленного сустава.
Fig. 14. MRI scans of the knee: a, b — coronal and sagittal views in to suppress the signal from adipose tissue, с — coronal views in T1-weighted sequences before arthroscopy, d, е — coronal and sagittal views in to suppress the signal from adipose tissue, f —coronal views in T1-weighted sequences 2 months after knee arthroscopy.
ОБСУЖДЕНИЕ
Как видно из представленных примеров, оценка характера отёка костного мозга, выявленного при МРТ-исследовании, имеет значение для уточнения диагноза. Однако данные, полученные инструментальным методом, необходимо сопоставлять с анамнезом, так как характер боли, срок её возникновения, длительности заболевания, наличие предшествующей нагрузки на сустав, эффективность используемых обезболивающих препаратов, возраст пациента и наличие сопутствующего снижения минеральной плотности костной ткани сочетаются с теми или иными изменениями на МРТ. Совокупность перечисленных данных лежит в основе дифференциальной диагностики. Своевременная диагностика важна, поскольку перечисленные выше заболевания имеют не только разную МРТ-картину, но и патогенез и, соответственно, разный исход.
Заболеванием, имеющим наиболее неблагоприятный прогноз, является асептический некроз мыщелков бедренной и большеберцовой кости (спонтанный остеонекроз коленного сустава (Spontaneous osteonecrosis of the knee, SONK/SPONK)). Своевременная диагностика данной патологии крайне важна [9], так как правильная постановка диагноза на ранних стадиях и своевременно начатое лечение позволяют сохранить сустав и избежать его тотального эндопротезирования.
По некоторым данным, в основе патогенеза спонтанного остеонекроза лежит накопление микропереломов костных трабекул [16], что позволяет предположить, что спонтанный (идиопатический) остеонекроз — это продвинутая стадия субхондрального перелома кости [17].
Субхондральные переломы в иностранной литературе обозначают аббревиатурой SIF/SIFK (Subchondral insufficiency fracture of the knee).
Как правило, развитие субхондрального перелома происходит резко и связано с нагрузкой на коленный сустав (длительная прогулка, туристический поход, длительные экскурсии).
Прогрессия субхондрального перелома в остеонекроз мыщелка при сохранении неблагоприятных условий (например, постоянной физической нагрузки) обусловлена нарушением оттока крови [18], усилением отёка костной ткани, развитием внутрикостной гипертензии с последующей ишемией и гибелью костных клеток [17].
Наличие по МРТ отёка кости с характерной линией перелома, проходящей параллельно суставной поверхности, которая не выявляется при спонтанном остеонекрозе, служит индикатором для проведения дифференциальной диагностики между этими двумя заболеваниями [19].
Субхондральный перелом (SIFK), как и спонтанный остеонекроз (SONK/SPONK), является односторонним процессом с поражением одного из мыщелков бедренной или большеберцовой кости [16], чаще отмечающимся у женщин в возрасте 60 лет и старше [20].
Однако несмотря на всю похожесть двух состояний (SIFK и SPONK), их стоит уметь различать, так как при остеонекрозе даже на ранних стадиях отмечается снижение перфузии крови в субхондральной кости, что делает прогноз течения заболевания менее благоприятным в сравнении с субхондральным переломом, при котором значительного снижения кровотока не наблюдается [21].
Стрессовый перелом, в отличие от субхондрального, чаще встречается у более молодых пациентов, также происходит на фоне повышенных нагрузок (регулярный бег, марш, длительный туристический поход), однако общая потеря костной массы с нарушением прочностных характеристик кости наблюдается редко. Локализация отёка при стрессовом переломе ближе к диафизарной части кости — линия перелома прослеживается чётко. Боль при этом имеет острый характер.
Не до конца изученной формой, проявляющейся равномерно выраженным отёком костной ткани, является транзиторный (временный) отёк костной ткани (Transient bone marrow edema (TBME), transient osteoporosis), способный к самоизлечению и полному восстановлению костной ткани.
В основе развития и транзиторного отёка, как и субхондрального перелома, лежат остеопороз и дефицит витамина D [22].
Клинически транзиторный отёк проявляется выраженным болевым синдромом, хромотой, но без значительного ограничения объёма пассивных движений в суставе [23].
Наиболее частыми локализациями транзиторного отёка являются головка бедренной кости [24], а также мыщелки бедренной и большеберцовой кости, таранная кость [25].
На фоне консервативной терапии с разгрузкой сустава восстановление костной ткани при транзиторном отёке проходит в течение нескольких месяцев [26]. Считается, что транзиторный отёк может разрешаться без лечения, самостоятельно, однако в случае обнаружения у пациента равномерного отёка костной ткани невозможно заранее спрогнозировать течение заболевания. К тому же всегда есть риск вследствие идентичности МРТ-картинки пропустить спонтанный остеонекроз, прогноз у которого менее благоприятный.
Рассекающий остеохондрит с развитием отёка костной ткани (Osteochondritis dissecans, OCD) является несложной для диагностики патологией, которая возникает как в результате травмы, так и без сопутствующей травмы, но при длительной нагрузке на сустав. Интенсивность отёка кости зависит от длительности заболевания: так, чем более острым является процесс, тем более выражен отёк субхондральной кости. При рассекающем остеохондрите процесс развивается на границе субхондральной кости и гиалинового хряща, отслоение последнего может приводить к развитию преждевременного остеоартрита коленного сустава [27]. При отсутствии смещения фрагмента в зоне поражения рассекающий остеохондрит трудно отличить по МР-изображениям от остеохондрального перелома [4]. Наиболее распространённая причина возникновения рассекающего остеохондрита — повторяющиеся регулярные нагрузки на коленный сустав у молодых пациентов, занимающихся лёгкой атлетикой, футболом, баскетболом [28], что приводит к усилению эндохондральной оссификации [29], особенно у детей с повышенным индексом массы тела [30].
Дифференцировать рассекающий остеохондрит от вариантов нормальной оссификации непросто. Наличие неповреждённого гиалинового хряща и невыраженного отёка костного мозга в большей мере характерно для нормального варианта окостенения, нежели для рассекающего остеохондрита [31].
Рассекающий остеохондрит следует отличать от остео-некроза в субхондральной области. При рассекающем остеохондрите изменения первично вовлекают зону кальцифицированного (частично минерализованного) хряща, при этом субхондральная кость повреждается вторично.
При остеонекрозе первичные изменения происходят непосредственно в костной ткани [32].
Достаточно частой патологией в последнее время является вторичный остеонекроз костей (Secondary osteonecrosis of the knee, SOK), основными причинами которого являются системная патология (серповидноклеточная анемия, системная красная волчанка), приём глюкокортикостероидов (в том числе для лечения COVID-19) [33], лучевая или химиотерапия в анамнезе [13].
Для вторичного остеонекроза характерно наличие нескольких очагов поражения, даже в пределах одной анатомической области [9].
При вторичном остеонекрозе по данным МРТ наблюдается наличие очагов, отграниченных двойной линией. По выраженности отёка вокруг этих очагов можно сделать вывод об активности процесса.
В начальной стадии интенсивность может быть слабо выражена, а участок остеонекроза представляет собой часть кости, которая незначительно отличается от здоровой. Однако при прогрессировании заболевания интенсивность отёка окружающей кости нарастает, что косвенно свидетельствует об активности процесса. Нарастание отёка происходит за счёт микропереломов костных трабекул и коллапса суставных поверхностей, что может сопровождаться усилением болевого синдрома.
Это важное отличие от спонтанного остеонекроза (SPONK) или субхондрального перелома (SIFК) [5], где наиболее интенсивный отёк костной ткани отмечается в начальной стадии.
Кроме того, до коллапса суставной поверхности вторичный остеонекроз может протекать бессимптомно и выявляться лишь как случайная находка при МРТ-исследовании [34].
Исторически вторичный остеонекроз в метафизарной области называли инфарктом костного мозга, в эпифизе — аваскулярным некрозом. Однако в настоящее время эти термины не используются.
Достаточно часто отёк субхондральной кости наблюдается у пациентов с остеоартритом коленного сустава (osteoarthritis knee). Пациенты, как правило, наблюдаются у врача в течение нескольких лет, имеют хронический волнообразный характер боли. Интенсивность болевого синдрома при остеоартрите зависит от выраженности отёка субхондральной кости, наличия синовита или воспаления прилежащих мягких тканей [35]. По МРТ отмечается равномерный отёк субхондральной кости, основным отличием которого служит отсутствие или значительное истончение гиалинового хряща над областью отёка костной ткани, а также длительный анамнез болезни.
В отличие от ранних стадий спонтанного остеонекроза, при остеоартрите в субхондральной кости усиление сигнала костного мозга происходит за счёт клеточного, а не жидкостного компонента [35].
Наличие пенистых клеток, набухшие жировые клетки с потерей ядер и увеличенное количество фиброзной соединительной ткани [36], а не жидкости, затрудняют и делают практически невозможным полное восстановление костной ткани при консервативном лечении.
Отёкоподобное усиление сигнала костного мозга (ELMSI) при остеоартрите [37] в нашей стране часто называют остеитом, подчёркивая воспалительный компонент заболевания [38].
Именно отсутствие гиалинового хряща над зоной отёка позволяет отличить остеит при остеоартрите от спонтанного остеонекроза.
Ревматоидный артрит необходимо исключать при наличии сопутствующего болевого синдрома в мелких суставах кисти, утренней скованности и повышении острофазовых показателей.
Субхондральный отёк костной ткани при ревматоидном артрите представляет собой остеит, имеет воспалительный характер и характеризуется увеличением проницаемости сосудов, выходом жидкости в межклеточное пространство, инфильтрацией лимфоцитами, плазматическими клетками и макрофагами, активацией остеокластов, резорбирующих костную ткань с замещением её жировой тканью. В суставах, где произошло развитие остеита, быстрее прогрессирует деструкция [39]. Согласно одной из теорий развития ревматоидного артрита, остеит изначально формируется в областях кости, которые не покрыты хрящом. В этих местах паннус, представляющий собой гиперпластическую синовиальную оболочку, воздействует на подлежащую костную ткань [40].
Отёк костной ткани при ревматоидном артрите отмечается через несколько недель после появления симптомов и коррелирует с повышенными маркерами острой воспалительной фазы. Это обратимое явление, которое может ослабевать в результате терапии [41].
До активного применения генно-инженерных биологических препаратов в терапии ревматоидного артрита отёк кости выявляется у 40% пациентов, страдающих ревматоидным артритом не более 3 лет, и у 70% пациентов, болеющих более 3 лет [42].
К другим воспалительным процессам, приводящим к развитию отёкоподобных изменений субхондральной кости, относится болезнь депонирования кристаллов пирофосфата кальция — воспалительное заболевание суставов, связанное с патологическим отложением неорганического пирофосфата [43].
Данная патология может быть заподозрена после обнаружения кальцификации менисков и гиалинового хряща на стандартной рентгенограмме коленного сустава [44].
Также отёк субхондральной кости может быть вызван наличием внутрикостных тофусов у пациентов с подагрическим артритом [45]. Нередко можно увидеть отёкоподобное изменение кости в местах прикрепления патологически изменённых, воспалённых сухожилий (головка плечевой кости при оссифицирующем тендините сухожилия надостной мышцы, бугристость большеберцовой кости в области прикрепления собственной связки надколенника) [39].
При наличии синовита не стоит забывать и о возможном инфекционном характере отёка костной ткани. Можно выделить две формы септического процесса в костной ткани: экссудативный и некротический. В первом случае отёк костной ткани индуцируется застоем кровотока и повышением проницаемости сосудов с выходом жидкости в интерстиций, в то время как при некротической форме он вызван ишемическим процессом.
Независимо от степени выраженности септического артрита на фоне лечения клиническая картина улучшается быстрее, чем восстанавливаются изменения на МРТ. В связи с этим именно выявленные на МРТ признаки отёка костной ткани должны служить индикатором для решения вопроса о прекращении лечения [45].
Не стоит забывать, что одной из причин болевого синдрома в сочетании с отёком костного мозга могут быть доброкачественные или злокачественные образования. Выраженным отёком костной ткани сопровождаются такие доброкачественные опухоли, как остеоид-остеома, остеобластома или хондробластома. Выраженный отёк кости на фоне остеоид-остеомы связывают с медиаторами воспаления, индуцированными опухолью (включая простагландин E2), тогда как при других опухолях — с деструкцией костных трабекул [45].
Отмечено, что злокачественные новообразования кости, такие как остеосаркома, саркома Юинга и хондросаркома, а также метастазы кости, сопровождаются незначительным отёком кости [39].
В случаях дифференциальной диагностики отёка костной ткани с опухолевым поражением необходимо использовать дополнительные методы исследования: компьютерную томографию, сцинтиграфию или диффузионно-взвешенную МР-томографию [45].
К патологиям коленного сустава с развитием отёка субхондральной кости без предшествующей травмы можно отнести редкое осложнение артроскопического вмешательства в виде постартроскопического остеонекроза мыщелков бедренной и большеберцовой кости [46].
Постановка данного диагноза не представляет сложности из-за предшествующей в анамнезе пациента артроскопии. По данным разных авторов, встречаемость осложнения была достаточно низкой. V. Pruès-Latour и соавт. сообщили лишь о 9 (1,5%) случаях после 585 артроскопических менискэктомий у пациентов старше 50 лет [47].
Практически всегда асептический некроз развивается непосредственно в том отделе сустава, в котором проводилось оперативное вмешательство, в связи с чем некоторые авторы связывают его развитие с агрессивной техникой операции и непреднамеренным контактом артроскопического инструмента с поверхностью хряща и субхондральной костью [48]. Кроме того, после артроскопии изменяется биомеханика сустава [49]. Из-за резекции мениска повышается нагрузка на гиалиновый хрящ и субхондральную кость в раннем послеоперационном периоде. Это приводит к развитию травматизации хряща, микропереломам костных трабекул, проникновению синовиальной жидкости в субхондральную зону с дальнейшим усилением отёка костного мозга, а при сохранении нагрузки и отсутствии терапии — к возможному развитию остеонекроза.
ЗАКЛЮЧЕНИЕ
Болевой синдром в коленном суставе в сочетании с отёком субхондральной кости является проявлением заболеваний, различающихся не только по своему патогенезу, но и по тактике лечения. Недостаточная осведомлённость врачей о возможности дифференциальной диагностики этих состояний приводит к диагностическим ошибкам, задержке показанного в данном случае лечения, что снижает качество оказания медицинской помощи. Изложенный выше материал предназначен для врачей травматологов-ортопедов, рентгенологов и ревматологов, наиболее часто сталкивающихся в реальной практике с отёком костного мозга.
ДОПОЛНИТЕЛЬНО
Вклад авторов. А.Н. Торгашин — написание, корректура статьи, изготовление графических рисунков; А.К. Морозов — редакция статьи; А.В. Торгашина — оценка клинических случаев и проведение дифференциальной диагностики; Р.М. Магомедгаджиев — набор клинических случаев, оценка МРТ-исследований; И.А. Федотов — набор клинических случаев, описание МРТ-сканов, корректура статьи; С.С. Родионова — редакция текста статьи. Все авторы подтверждают соответствие своего авторства международным критериям ICMJE (все авторы внесли существенный вклад в разработку концепции, проведение исследования и подготовку статьи, прочли и одобрили финальную версию перед публикацией).
Источник финансирования. Авторы заявляют об отсутствии внешнего финансирования при проведении исследования и подготовке публикации.
Конфликт интересов. Авторы декларируют отсутствие явных и потенциальных конфликтов интересов, связанных с проведённым исследованием и публикацией настоящей статьи.
Информированное согласие. Авторы получили письменное согласие пациентов на публикацию их медицинских данных (16.09.2024 г.).
ADDITIONAL INFO
Author contribution. A.N. Torgashin — writing and correcting the article, graphic production; A.K. Morozov — editing the text of the article; A.V. Torgashina — a set of clinical cases and differential diagnosis; R.M. Magomedgadzhiev — set of clinical cases, evaluation of MRI studies; I.A. Fedotov — a set of clinical cases, description of MRI scans, correction of the article; S.S. Rodionova — editing the text of the article. All authors confirm that their authorship meets the international ICMJE criteria (all authors have made a significant contribution to the development of the concept, research and preparation of the article, read and approved the final version before publication).
Funding source. The authors state that there is no external funding when conducting the research and preparing the publication.
Competing interests. The authors declare that they have no competing interests.
Consent for publication. The patients gave their written consent for publication of their medical data (Sep 16 2024).
作者简介
Alexander Torgashin
Priorov National Medical Research Center of Traumatology and Orthopedics
							编辑信件的主要联系方式.
							Email: alexander.torgashin@gmail.com
				                	ORCID iD: 0000-0002-2789-6172
				                	SPIN 代码: 8749-3890
																		                								
MD, Cand. Sci. (Medicine)
俄罗斯联邦, 10 Priorova str., 127229 MoscowAlexander Morozov
Priorov National Medical Research Center of Traumatology and Orthopedics
														Email: morozovak@cito-priorov.ru
				                	ORCID iD: 0000-0002-9198-7917
				                	SPIN 代码: 4447-8306
																		                								
MD, Dr. Sci. (Medicine);
俄罗斯联邦, 10 Priorova str., 127229 MoscowAnna Torgashina
Nasonova Research Institute of Rheumatology
														Email: anna.torgashina@gmail.com
				                	ORCID iD: 0000-0001-8099-2107
				                	SPIN 代码: 8777-2790
																		                								
MD, Cand. Sci. (Medicine)
俄罗斯联邦, MoscowRuslan Magomedgadgiev
Priorov National Medical Research Center of Traumatology and Orthopedics
														Email: arthro@list.ru
				                	ORCID iD: 0009-0004-6068-3592
				                																			                								
MD
俄罗斯联邦, 10 Priorova str., 127229 MoscowIvan Fedotov
Therapeutic and diagnostic center “Kutuzovsky”
														Email: fedotovmed@gmail.com
				                	ORCID iD: 0000-0002-5796-1238
				                																			                												                	俄罗斯联邦, 							Moscow						
Svetlana Rodionova
Priorov National Medical Research Center of Traumatology and Orthopedics
														Email: rod06@inbox.ru
				                	ORCID iD: 0000-0002-2726-8758
				                	SPIN 代码: 3529-8052
																		                								
MD, Dr. Sci. (Medicine), professor
俄罗斯联邦, 10 Priorova str., 127229 Moscow参考
- Azad H, Ahmed A, Zafar I, et al. X-ray and MRI Correlation of Bone Tumors Using Histopathology As Gold Standard. Cureus. 2022;14(7):e27262. doi: 10.7759/cureus.27262
 - Hodgson RJ, O’Connor PJ, Grainger AJ. Tendon and ligament imaging. Br J Radiol. 2012;85(1016):1157–1172. doi: 10.1259/bjr/34786470
 - Berger A. Magnetic resonance imaging. BMJ. 2002;324(7328):35. doi: 10.1136/bmj.324.7328.35
 - Maraghelli D, Brandi ML, Cerinic MM, et al. Edema-like marrow signal intensity: a narrative review with a pictorial essay. Skeletal Radiol. 2021;50(4):645–663. doi: 10.1007/s00256-020-03632-4
 - Torgashin AN, Rodionova SS, Morozov AK, et al. Bone marrow edema in the differential diagnosis of traumatic injuries of the knee joint. The Siberian Journal of Clinical and Experimental Medicine. 2023;38(3):223–230. (In Russ.).
 - Smith R. Publishing information about patients. BMJ. 1995;311(7015):1240–1. doi: 10.1136/bmj.311.7015.1240
 - Vollmann J, Helmchen H. Publishing information about patients. Obtaining consent to publication may be unethical in some cases. BMJ. 1996;312(7030):578. doi: 10.1136/bmj.312.7030.578b
 - Mont MA, Marker DR, Zywiel MG, et al. Osteonecrosis of the knee and related conditions. J Am Acad Orthop Surg. 2011;19(8):482–494. doi: 10.5435/00124635-201108000-00004
 - Grieser T. Die atraumatische und aseptische Osteonekrose großer Gelenke. Radiologe. 2019;59(7):647–662. doi: 10.1007/s00117-019-0560-3
 - Viana SL, Machado BB, Mendlovitz PS. MRI of subchondral fractures: a review. Skeletal Radiol. 2014;43(11):1515–1527. doi: 10.1007/s00256-014-1946-y
 - Ochi J, Nozaki T, Nimura A, et al. Subchondral insufficiency fracture of the knee: review of current concepts and radiological differential diagnoses. Japanese Journal of Radiology. 2022;40(5):443–457. doi: 10.1007/s11604-021-01224-3
 - Gourlay ML, Renner JB, Spang JT, et al. Subchondral insufficiency fracture of the knee: a non-traumatic injury with prolonged recovery time. BMJ Case Rep. 2015;2015:209399. doi: 10.1136/bcr-2015-209399
 - Murphey MD, Foreman KL, Klassen-Fischer MK, et al. From the radiologic pathology archives imaging of osteonecrosis: radiologic-pathologic correlation. RadioGraphics. 2014;34(4):1003–1028. doi: 10.1148/rg.344140019
 - Zurlo JV. The double-line sign. Radiology. 1999;212(2):541–542 doi: 10.1148/radiology.212.2.r99au13541
 - Oxtoby JW, Davies AM. MRI characteristic of chondroblastoma. Clin Radiol. 1996;51(1):22–6. doi: 10.1016/s0009-9260(96)80213-3
 - Yamamoto T, Bullough PG. Spontaneous osteonecrosis of the knee: the result of subchondral insufficiency fracture. J Bone Joint Surg Am. 2000;82(6):858–866. doi: 10.2106/00004623-200006000-00013
 - Kattapuram TM, Kattapuram SV. Spontaneous osteonecrosis of the knee. Eur J Radiol. 2008;67:42–48.
 - Holland JC, Brennan OD, Kennedy S, et al. Subchondral osteopenia and accelerated bone remodelling post-ovariectomy — a possible mechanism for subchondral microfractures in the aetiology of spontaneous osteonecrosis of the knee? J Anat. 2013;222(2):231–238. doi: 10.1111/joa.12007
 - Gorbachova T, Melenevsky Y, Cohen M, et al. Osteochondral lesions of the knee: differentiating the most common entities at MRI. RadioGraphics. 2018;38(5):1478–1495. doi: 10.1148/rg.2018180044
 - Mears SC, McCarthy EF, Jones LC, Hungerford DS, Mont MA. Characterization and pathological characteristics of spontaneous osteonecrosis of the knee. Iowa Orthop J. 2009;29:38–42.
 - Geith T, Stellwag A-C, Muller PE, et al. Is bone marrow edema syndrome a precursor of hip or knee osteonecrosis? Results of 49 patients and review of the literature. Diagnostic and Interventional Radiology. 2020;26(4):355–362. doi: 10.5152/dir.2020.19188
 - Horas K, Fraissler L, Maier G, et al. High prevalence of vitamin D deficiency in patients with bone marrow edema syndrome of the foot and ankle. Foot & Ankle International. 2017;38(7):760–766. doi: 10.1177/1071100717697427
 - Arjonilla A, Calvo E, Alvarez L, et al. Transient bone marrow oedema of the kneе. Knee. 2005;12(4):267–9. doi: 10.1016/j.knee.2004.05.009
 - Klontzas ME, Vassalou EE, Zibis AH, Bintoudi AS, Karantanas AH. MR imaging of transient osteoporosis of the hip: an update on 155 hip joints. European Journal of Radiology. 2015;84(3):431–436. doi: 10.1016/j.ejrad.2014.11.022
 - Sprinchorn E, O’Sullivan R, Beischer AD. Transient bone marrow edema of the foot and ankle and its association with reduced systemic bone mineral density. Foot & Ankle International. 2011;32(5):508–512. doi: 10.3113/FAI.2011.0508
 - Agarwala S, Vijayvargiya M. Single Dose Therapy of Zoledronic Acid for the Treatment of Transient Osteoporosis of Hip. Ann Rehabil Med. 2019;43(3):314–320. doi: 10.5535/arm.2019.43.3.314
 - Edmonds EW, Shea KG. Osteochondritis dissecans: editorial comment. Clin Orthop Relat Res. 2013;471(4):1105–1106. doi: 10.1007/s11999-013-2837-6
 - Kessler JI, Nikizad H, Shea KG, et al. The demographics and epidemiology of osteochondritis dissecans of the knee in children and adolescents. Am J Sports Med. 2014;42(2):320–326. doi: 10.1177/0363546513510390
 - Laor T, Zbojniewicz AM, Eismann EA, et al. Juvenile osteochondritis dissecans: is it a growth disturbance of the secondary physis of the epiphysis? AJR. 2012;199(5):1121–1128. doi: 10.2214/AJR.11.8085
 - Kessler JI, Jacobs JC Jr, Cannamela PC, et al. Childhood obesity is associated with osteochondritis dissecans of the knee, ankle, and elbow in children and adolescents. J Pediatr Orthop. 2018;38(5):e296–e299. doi: 10.1097/BPO.0000000000001158
 - Sanchez TR, Jadhav SP, Swischuk LE. MR imaging of pediatric trauma. Magn Reson Imaging Clin N Am. 2009;17(3):439–450. doi: 10.1016/j.mric.2009.03.007
 - Krause M, Lehmann D, Amling M, et al. Intact bone vitality and increased accumulation of nonmineralized bone matrix in biopsy specimens of juvenile osteochondritis dissecans: a histological analysis. Am J Sports Med. 2015;43(6):1337–47. doi: 10.1177/0363546515572579
 - Torgashin AN, Rodionova SS. Osteonecrosis in patients who have undergone COVID-19: mechanisms of development, diagnosis, treatment at early stages (literature review). Travmatologiya i ortopediya Rossii. 2022;28(1):128–137. (In Russ.). doi: 10.17816/2311-2905-1707
 - Narvaez J, Narvaez JA, Rodriguez-Moreno J, Roig-Escofet D. Osteonecrosis of the knee: differences among idiopathic and secondary types. Rheumatology. 2000;39(9):982–989. doi: 10.1093/rheumatology/39.9.982
 - D’Anjou MA, Troncy E, Moreau M, et al. Temporal assessment of bone marrow lesions on magnetic resonance imaging in a canine model of knee osteoarthritis: impact of sequence selection. Osteoarthr Cartil. 2008;16(11):1307–11. doi: 10.1016/j.joca.2008.03.022
 - Zanetti M, Bruder E, Romero J, Hodler J. Bone Marrow Edema Pattern in Osteoarthritic Knees: Correlation between MR Imaging and Histologic Findings. Radiology. 2000;215(3):835–840. doi: 10.1148/radiology.215.3.r00jn05835
 - Attur MG, Dave M, Akamatsu M, et al. Osteoarthritis or osteoarthrosis: the definition of inflammation becomes a semantic issue in the genomic era of molecular medicine. Osteoarthritis Cartilage. 2002;10(1):1–4. doi: 10.1053/joca.2001.0488
 - Karateev AE, Lila AM. Osteoarthritis: modern clinical concept and some promising therapeutic approaches. Nauchno-prakticheskaya revmatologiya. 2018;56(1):70–81. (In Russ.). doi: 10.14412/1995-4484-2018-70-81
 - Maraghelli D, Brandi ML, Cerinic MM, et al. Edema-like marrow signal intensity: a narrative review with a pictorial essay. Skeletal Radiology. 2021;50(4):645–663. doi: 10.1007/s00256-020-03632-4
 - Meng X, Wang Z, Zhang X, et al. Rheumatoid Arthritis of Knee Joints: MRI-Pathological Correlation. Orthop Surg. 2018;10(3):247–254. doi: 10.1111/os.12389
 - Sudoł-Szopińska I, Kontny E, Maśliński W, et al. Significance of bone marrow edema in pathogenesis of rheumatoid arthritis. Pol J Radiol. 2013;78(1):57–63. doi: 10.12659/PJR.883768
 - Narvaez JA, Narváez J, De Lama E, et al. MR imaging of early rheumatoid arthritis. RadioGraphics. 2010;30(1):143–63. doi: 10.1148/rg.301095089
 - Moses V, Parmar HA, Sawalha AH. Magnetic resonance imaging and computed tomography in the evaluation of crowned dens syndrome secondary to calcium pyrophosphate dihydrate. J Clin Rheumatol. 2015;21(7):368–9. doi: 10.1097/RHU.0000000000000315
 - Kudaeva FM, Barskova VG, Smirnov AV, et al. Comparison of three methods of radiation diagnosis of pyrophosphate arthropathy. Nauchno-prakticheskaya revmatologiya. 2012;50(3):55–59. (In Russ.). doi: 10.14412/1995-4484-2012-710
 - Starr AM, Wessely MA, Albastaki U, et al. Bone marrow edema: pathophysiology, differential diagnosis and imaging. Acta Radiol. 2008;49(7):771–86. doi: 10.1080/02841850802161023
 - Torgashin A N, Rodionova SS. Postarthroscopic osteonecrosis of the condyles of the femur and tibia. N.N. Priorov Journal of Traumatology and Orthopedics. 2018;(3–4):113–118. (In Russ.). doi: 10.17116/vto201803-041113
 - Pruès-Latour V, Bonvin JC, Fritschy D. Nine cases of osteonecrosis in elderly patients following arthroscopic meniscectomy. Knee Surg Sports Traumatol Arthrosc. 1998;6(3):142–7. doi: 10.1007/s001670050090
 - Strauss EJ, Kang R, Bush-Joseph C, et al. The diagnosis and management of spontaneous and post-arthroscopy osteonecrosis of the knee. Bull NYU Hosp Jt Dis. 2011;69(4):320–30.
 - Yao L, Stanczak J, Boutin RD. Presumptive subarticular stress reactions of the knee: MRI detection and association with meniscal tear patterns. Skeletal Radiol. 2004;33(5):260–264. doi: 10.1007/s00256-004-0751-4
 
补充文件
				
			
						
						
					
















