Хирургическое лечение деформаций позвоночника, ассоциированных с неврологическим дефицитом, с применением технологий 3D-моделирования
- Авторы: Кулешов А.А.1, Назаренко А.Г.1, Ветрилэ М.С.1, Макаров С.Н.1, Милица И.М.1, Лисянский И.Н.1
-
Учреждения:
- Национальный медицинский исследовательский центр травматологии и ортопедии им. Н.Н. Приорова
- Выпуск: Том 32, № 1 (2025)
- Страницы: 161-172
- Раздел: Клинические случаи
- Статья получена: 24.06.2024
- Статья одобрена: 02.09.2024
- Статья опубликована: 08.04.2025
- URL: https://journals.eco-vector.com/0869-8678/article/view/633743
- DOI: https://doi.org/10.17816/vto633743
- ID: 633743
Цитировать
Полный текст
Аннотация
Обоснование. Прогрессирование компрессии спинного мозга при деформациях позвоночника приводит к неврологическому дефициту, создавая высокий риск инвалидизации пациентов. Современные технологии 3D-моделирования позволяют изготавливать индивидуальные имплантаты и создавать полноразмерные модели позвоночника и спинного мозга, что радикально улучшает подход к лечению пациентов с тяжёлыми деформациями позвоночника. Эти технологии особенно эффективны при врождённых аномалиях, опухолях и посттравматических дефектах, обеспечивая лучшее пространственное представление патологии и возможность персонализированного хирургического лечения неврологически осложнённых деформаций позвоночника.
Описание клинических случаев. Представлены результаты хирургического лечения двоих пациентов с кифосколиотическими деформациями позвоночника в сочетании с компрессией спинного мозга с применением индивидуальных металлоконструкций и возможностей 3D-моделирования. На клинических примерах показан выбор хирургической тактики при лечении прогрессирующих кифосколиотических деформаций, которые привели к компрессии спинного мозга. Представлены методы декомпрессии спинного мозга и планирования хода операции с использованием индивидуальных полноразмерных 3D-моделей позвоночника и спинного мозга, а также возможность и эффективность применения индивидуальных пластин для фиксации деформации позвоночника.
Заключение. В результате хирургического лечения достигнуты стабильная фиксация деформации и регресс неврологического дефицита, что способствовало предотвращению инвалидизации пациентов и восстановлению их функциональной активности.
Ключевые слова
Полный текст
ОБОСНОВАНИЕ
Прогрессирование компрессии спинного мозга на фоне деформаций позвоночника различной этиологии зачастую приводит к развитию неврологического дефицита. Пациенты с кифосколиотическими деформациями, ассоциированными с компрессией спинного мозга, находятся в зоне высокого риска инвалидизации и потери трудоспособности, что обусловливает социальную значимость этой проблемы [1, 2].
Современные технологии компьютерного пространственного моделирования и создание индивидуальных конструкций путём 3D-печати позволяют по-новому подойти к выбору способов и хирургических технологий лечения пациентов с тяжёлыми деформациями позвоночника. Применение данных технологий должно не только быть обосновано с позиции исследования эффективности и безопасности доклинических испытаний, но также подтверждаться клиническими результатами [3].
Одним из самых перспективных направлений развития аддитивных технологий в вертебрологии является возможность изготовления индивидуальных имплантатов, позволяющих разрешить крайне тяжёлые ситуации у пациентов с деформациями позвоночника, прежде всего на фоне врождённых аномалий, опухолей позвоночника и посттравматических дефектов. Полноразмерные объёмные модели позвоночника позволяют более полно оценить характер деформации, получить дополнительное пространственное представление и ориентацию [4].
Применение индивидуальных металлоконструкций и полноразмерных 3D-моделей может улучшить результаты, а зачастую и просто сделать возможным лечение пациентов с деформациями переходных зон позвоночника [3]. На клинических примерах представляем результаты лечения пациентов с неврологически осложнёнными деформациями позвоночника, а также возможности применения 3D-моделирования в хирургии позвоночника.
ОПИСАНИЕ КЛИНИЧЕСКИХ СЛУЧАЕВ
Клинический пример 1
Пациент П., в возрасте 15 лет поступил в отделение вертебрологии НМИЦ ТО им. Н.Н. Приорова с жалобами на невозможность самостоятельной ходьбы и прогрессирующую слабость в нижних конечностях, преимущественно справа. Из анамнеза известно, что больной наблюдается у ортопеда с рождения по поводу врождённой аномалии развития шейно-грудного отдела позвоночника. Впервые жалобы появились за 4 месяца до обращения в отделение. Через месяц пациент отметил появление и прогрессирующее развитие слабости в нижних конечностях, в связи с чем перестал самостоятельно ходить.
Из особенностей нейроортопедического статуса на момент поступления в отделение: пациент не может встать с кровати, не стоит, не ходит, положение сидя удерживает с дополнительной помощью или опорой, чувствительность нижних конечностей снижена. При осмотре со спины определяется искривление шейно-грудного отдела позвоночника с кифотическим компонентом. Общемозговая и менингеальная симптоматика отсутствует. Сухожильные и периостальные рефлексы на верхних и нижних конечностях высокие, симметричные. При исследовании силы мышц верхних и нижних конечностей выявлено: разгибатели пальцев кисти — 4 балла, отведение первого пальца кисти — 4 балла, подвздошно-поясничная мышца — 2 балла, четырёхглавая мышца — 4 балла, разгибатели стопы справа — 0 баллов, сгибатели — 3 балла, сгибатели правой голени — 2 балла, малая и средняя ягодичные мышцы справа — 3 балла, большая ягодичная мышца — 2 балла; слева умеренный парез — 3 балла. Определены патологические кистевые рефлексы Якобсона–Ласка, Россолимо, Вендеровича и патологические стопные рефлексы Бабинского с клонусами стоп. Функции тазовых органов нарушены по типу недержания. Неврологический синдром — шейно-грудной миелопатии, верхний смешанный дистальный парапарез, нижний спастический парапарез до 3 баллов.
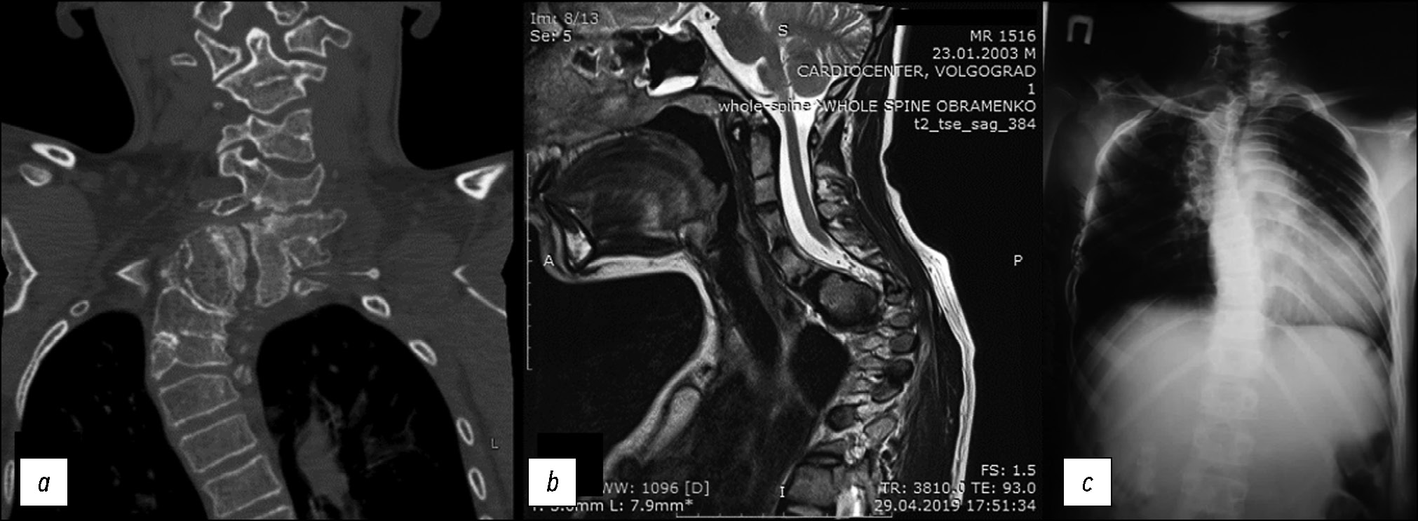
Пациенту выполнены диагностические исследования: компьютерная томография (КТ), магнитно-резонансная томография (МРТ) и рентгенограмма шейно-грудного отдела позвоночника (в прямой и боковой проекции) (рис. 1).
Рис. 1. Компьютерная томография (a), магнитно-резонансная томография (b) и рентгенограмма (c) шейно-грудного отдела позвоночника. По данным КТ и МРТ выявлен стеноз позвоночного канала С4–Тh4 с МР-признаками миелопатии. По данным КТ и рентгенографии позвоночника картина врождённой аномалии позвоночника следующая: заднебоковой клиновидный добавочный полупозвонок С7, локальный угловой кифоз на уровне С6–7 позвонка с наличием костного блока тел и задних элементов Th1–3 позвонков и заднебоковым клиновидным полупозвонком Th4–Th5.
Fig. 1. Computed tomography (a), magnetic resonance imaging (b) and radiograph (c) of the cervicothoracic spine. CT and MRI data revealed stenosis of the C4–Th4 spinal canal with MR signs of myelopathy. According to CT and radiography of the spine, the picture of the congenital anomaly of the spine is as follows: posterolateral wedge-shaped accessory hemivertebra C7, local angular kyphosis at the level of the C6–7 vertebra with the presence of a bone block of the bodies and posterior elements of the Th1–3 vertebrae and a posterolateral wedge-shaped hemivertebra Th4–Th5.
На основании клинико-лучевых методов обследования (см. рис. 1) установлен диагноз: аномалия развития шейно-грудного отдела позвоночника. Врождённый кифосколиоз шейно-грудного отдела позвоночника IV степени. Стеноз позвоночного канала с передней компрессией спинного мозга на уровне С7–Тh1. Грудная миелопатия. Верхний смешанный дистальный парапарез, нижний спастический парапарез. Нарушение функции тазовых органов (группа С по Frankel, Ashworth 3, ASIA — движение 82, тактильная 86, болевая 84).
В связи со сложностью деформации и прогрессирующим нарастанием неврологической симптоматики принято решение о проведении многоэтапного хирургического лечения. На первом этапе пациенту установлено Halo-кольцо с последующим выполнением дозированной Halo-pelvic тракции. Во время проведения Halo-pelvic тракции отмечен частичный регресс неврологического дефицита в виде снижения спастичности мышц (с Ashworth 3 до Ashworth 2), а также появления сгибания пальцев стоп. С целью фиксации деформации и декомпрессии спинного мозга выполнен второй этап хирургического лечения в следующем объёме: ламинэктомия на уровне С7–Тh2, транспедикулярная фиксация на уровне С2–Th8 и задний спондилодез костными аутотрансплантатами (рис. 2). Послеоперационный период протекал без особенностей, рана зажила первичным натяжением, швы сняты на двенадцатые сутки. В течение нескольких дней после второго этапа отмечена положительная динамика неврологического статуса в виде отчётливого увеличения мышечной силы в нижних конечностях. Через 3 недели пациент уже был способен самостоятельно встать с кровати с дополнительной помощью ухаживающего, а также с опорой на ходунки передвигаться в пределах палаты. Через 4 недели неврологический статус соответствовал группе D по шкале Frankel.
Рис. 2. Постуральные рентгенограммы после второго этапа операции. Стержни грудного и шейного отдела соединены двухосным коннектором типа «домино».
Fig. 2. Postural radiographs after the second stage of the operation. The thoracic and cervical rods are connected by a biaxial “domino” connector.
C целью передней декомпрессии спинного мозга, а также создания спондилодеза 360° через 1 месяц выполнен третий этап хирургического лечения. На основании КТ позвоночника разработана и изготовлена индивидуальная пластиковая 3D-модель позвоночника, а также рёберно-грудинного комплекса в масштабе 1 : 1. На основе модели был выбран оптимальный доступ, определены объём резекции позвонков, протяжённость фиксации, а также сформирован оптимальный «угол атаки» положения рабочего инструмента для установки винтов в тела позвонков с учётом положения грудины. Разработана индивидуальная пластина для вентральной фиксации (рис. 3, 4).
Рис. 3. Этап проектирования индивидуальной модели и пластины для вентральной фиксации.
Fig. 3. Stage of designing an individual model and plate for ventral fixation.
Рис. 4. Индивидуальная 3D-модель позвоночника (a) и индивидуальная пластина для вентральной фиксации позвоночника (b).
Fig. 4. Custom 3D spine model (a) and custom anterior spine fixation plate (b).
Проведена операция в объёме передней декомпрессии ревизии спинного мозга. Выполнены резекция тел Th1–Th2 позвонков и корпородез сетчатым кейджем mash с костными аутотрансплантатами. Установлена индивидуальная пластина на уровне тел C4–Th3 позвонков (рис. 5).
Рис. 5. КТ-исследование после установки вентральной индивидуальной пластины. Зелёным выделена область проекции модифицированного доступа по Smith–Robinson без необходимости резекции рукоятки грудины.
Fig. 5. CT scan after installation of the anterior custom plate. The projection area of the modified Smith-Robinson approach without the need for resection of the manubrium of the sternum is highlighted in green.
В послеоперационном периоде рана зажила первичным натяжением, швы сняты на десятые сутки. На контрольном осмотре через 3 месяца отмечается выраженная положительная динамика в неврологическом статусе, пациент ходит самостоятельно, без дополнительных средств опоры. Отмечает восстановление мышечной силы в нижних конечностях до 4/5 баллов в дистальных отделах и до 5/5 баллов — в проксимальных. Неврологический статус классифицирован как группа Е по Frankel.
В ходе наблюдения за пациентом на этапах хирургического лечения отмечалась положительная динамика (группа С по Frankel, Ashworth 3, ASIA — движение 82, тактильная 86, болевая 84) с полным восстановлением неврологического статуса (группа Е по Frankel, Ashworth 1, ASIA — движение 100, тактильная 112, болевая 112). Пациент наблюдается в течение 5 лет. При клиническом обследовании отрицательной динамики в неврологическом статусе не выявлено. По данным лучевых методов обследования положение установленной металлоконструкции стабильное, определяются признаки формирования артифициального костно-металлического блока.
Клинический пример 2
Пациент С., поступил в 14-е отделение вертебрологии НМИЦ ТО им. Н.Н. Приорова в возрасте 15 лет с жалобами на невозможность самостоятельной ходьбы и опоры на нижние конечности, деформацию позвоночника. Из анамнеза известно, что с двухлетнего возраста больной наблюдается у ортопеда по поводу сколиотической деформации грудного отдела позвоночника (рис. 6). В 13 лет впервые отметил неуверенность походки с эпизодами падения. В течение последующего года появились деформация стоп и прогрессирующая слабость в ногах. Пациент направлен на генетическое обследование. Выполнено секвенирование клинического экзома 6640 генов, выявлен вариант нуклеотидной последовательности в экзоне 11-го гена SH3TC2 в гетерозиготном состоянии. В экзоне 15-го гена SH3TC2 выявлен ранее не описанный вариант нуклеотидной последовательности в гетерозиготном состоянии, мутации в гене SH3TC2 расценены как патогенные. Данные мутации характерны для пациентов с болезнью Шарко–Мари–Тута, тип 4С. В анамнезе также выявлен синдром ночного апноэ с эпизодами снижения сатурации до SpO2=88%. По электронейромиографии нижних конечностей выявлено снижение скорости проведения по нервам ниже 22 м/с.
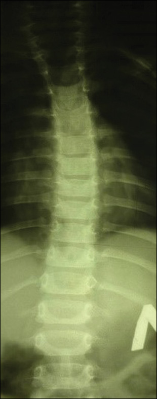
Рис. 6. Постуральная рентгенография позвоночника в возрасте двух лет жизни.
Fig. 6. Postural radiography of the spine at two years of age.
Из особенностей локального статуса: пациент не может встать с кровати, не ходит, мышечный тонус в верхних конечностях не изменён, в нижних конечностях повышен по спастическому типу с тенденцией к перекрёсту ног. Контрактуры стоп с эквинусной установкой, укорочением ахилловых сухожилий. Сухожильные и периостальные рефлексы на верхних конечностях живые и симметричные, коленные и ахилловы не вызываются. Нижний смешанный парапарез: проксимально до 2 баллов до плегии в стопах. Выявлена гипестезия с уровня коленных суставов с нарушением поверхностной и глубокой чувствительности (двухмерно-пространственного чувства). Функции тазовых органов не контролирует, нарушение по типу недержания.
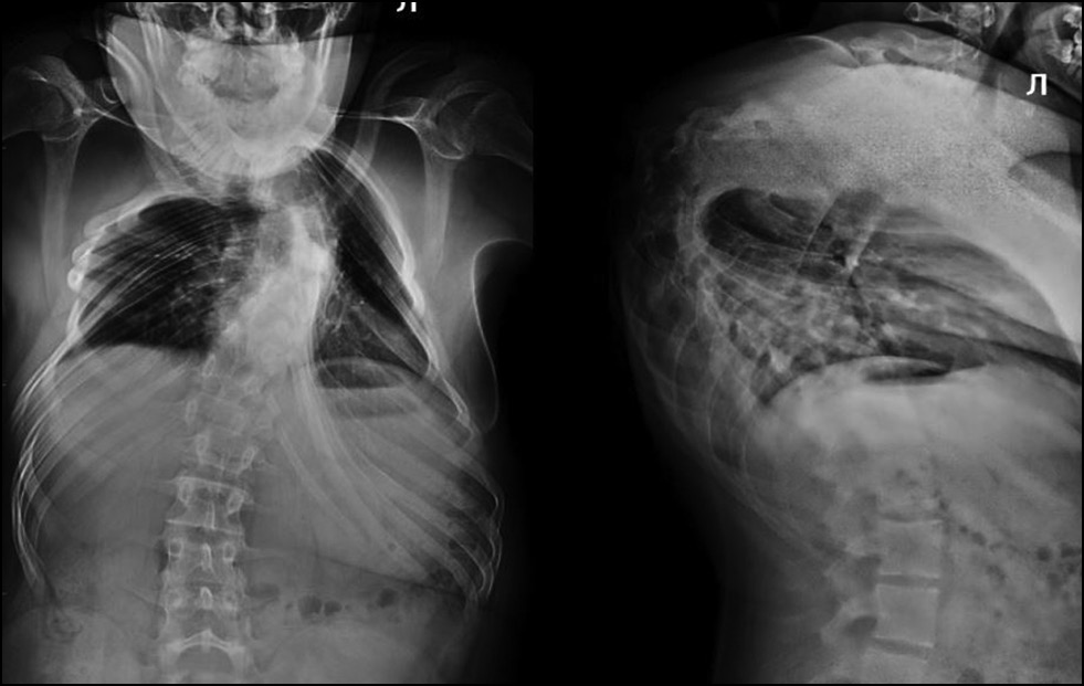
По данным постуральной рентгенографии позвоночника в двух проекциях: картина левостороннего кифосколиоза грудного отдела позвоночника IV степени, угол Cobb сколиотической дуги 90° с вершиной Th6–7, угол кифотической дуги 115° с вершиной Th6–7 (рис. 7).
Рис. 7. Постуральная рентгенография позвоночника на момент поступления.
Fig. 7. Postural radiography of the spine at the time of admission to hospital
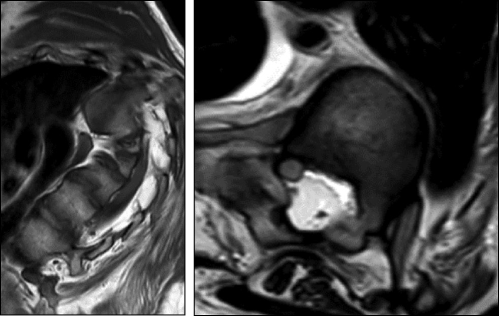
Пациенту проведено обследование: спиральная компьютерная томография (СКТ), СКТ-миелография и МРТ грудопоясничного отдела позвоночника. По данным МРТ, на уровне Th5–Th7 позвоночный канал заполнен жировой тканью, спинной мозг смещён вправо, ликворное пространство на этом уровне не прослеживается, признаки миелопатии не определяются (рис. 8).
Рис. 8. Магнитно-резонансная томография грудного отдела позвоночника на вершине деформации.
Fig. 8. Magnetic resonance imaging of the thoracic spine at the apex of the deformity.
С учётом данных анамнеза, результатов генетического обследования, нейроортопедического статуса и результатов лучевых методов обследования установлен диагноз: наследственная невропатия Шарко–Мари–Тута, тип 4С. Нейрогенный левосторонний кифосколиоз грудного отдела позвоночника IV степени. Компрессия спинного мозга на уровне Th6–9. Нижний смешанный глубокий парапарез. Нейрогенная эквинополоварусная деформация стоп.
В связи со сложностью деформации, компрессией спинного мозга, прогрессирующим усугублением неврологического статуса решено изготовить индивидуальную анатомическую модель позвоночника и спинного мозга на основании данных проведённой КТ-миелографии (рис. 9). Модель была изготовлена с раздельной печатью костных структур и спинного мозга, а также с возможностью разбора позвоночника с креплением составных частей на магнитах, что позволило напрямую при реальном объёмно-тактильном рассмотрении выявить зону наибольшей компрессии миелорадикулярных структур на уровне Th6–9, обусловленную корнями дуг, рёберно-поперечными суставами, головками рёбер с вогнутой стороны деформации.
Рис. 9. Индивидуальная анатомическая модель с возможностью разделения на две части в сагиттальной плоскости посредством неодимовых магнитов для визуализации спинного мозга (окрашен в красный цвет) и костных структур позвоночника (жёлтый цвет).
Fig. 9. Individual anatomical model with the possibility of dividing the model into two parts in the sagittal plane using neodymium magnets for visualization of the spinal cord (colored red) and bone structures of the spine (colored yellow).
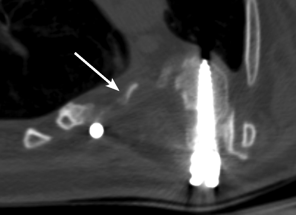
Учитывая клиническую картину и данные обследования, принято решение о проведении хирургического лечения с нейромониторингом. Осуществлена транспедикулярная фиксация позвоночника на уровне Th2–L2 без дополнительной коррекции (in situ). Выполнена ламинэктомия на уровне Th6–9, визуализированы дуральный мешок без пульсации и спинномозговые нервы на уровне Th6–9. Дуральный мешок и спинномозговые нервы распластаны и гипотрофичны, с синюшным оттенком. Визуально определяется сдавление дурального мешка на уровне Th6–9 позвонков по вогнутой стороне деформации, обусловленное ножками дуг позвонков. Высокоскоростным бором произведена частичная резекция ножек дуг на уровне Th6–9 позвонков справа. После проведённой резекции отмечается расправление дурального мешка. Выявлено натяжение дурального мешка, обусловленное корешком Th8 слева (на выпуклой стороне деформации). Произведена радикулотомия Th8 с выпуклой стороны деформации с целью мобилизации спинного мозга на данном уровне. После выполненной резекции ножек дуг Th6–9 и радикулотомии Th8 спинной мозг сместился к вогнутой стороне, приняв новое положение. Во вновь сформированном пространстве вокруг дурального мешка выявлено его плотное прилегание к рёберно-поперечным суставам и головкам рёбер на уровне Th7–8, что обусловливало его вторичную компрессию. Высокоскоростным бором произведена резекция рёберно-поперечных суставов и головок рёбер на уровне Th7–8 позвонков. Твёрдая мозговая оболочка расправилась, признаков компрессии нет. Пульсация удовлетворительная через 10 мин после его менинголиза. Далее выполнен задний спондилодез костными аутотрансплантатами, рана промыта и ушита с установкой раневого дренажа (рис. 10).
Рис. 10. Компьютерная томография позвоночника на третьи сутки после операции. Аксиальная проекция на вершине деформации (уровень Th8). Стрелкой указана зона декомпрессии: резецированная ножка дуги позвонка Th8 с рёберно-поперечным суставом и головкой ребра.
Fig. 10. Computer tomography of the spine on the third day after surgery. Axial projection at the apex of the deformity (Th8 level). The arrow indicates the decompression zone: the resected pedicle of the Th8 vertebral arch with the costotransverse joint and the head of the rib.
В послеоперационном периоде раневой дренаж удалён на вторые сутки. На пятые сутки отмечено повышение температуры тела до 38,5 °С. По данным ультразвукового исследования (УЗИ) послеоперационной раны выявлено скопление жидкости в верхнем и нижнем полюсе раны. Лечение проведено пункционным методом с периодической эвакуацией 15–20 мл серозной жидкости. На двадцатый день от момента операции по данным УЗИ гематомы послеоперационной раны не выявлено, температура нормализовалась.
В неврологическом статусе в раннем послеоперационном периоде отмечено снижение выраженности спастики, отсутствует перекрёст нижних конечностей, проксимально мышечная сила — 2 балла (может активно согнуть левую ногу в тазобедренном и коленном суставах, справа — только содружественно, появилось активное сгибание-разгибание левой стопы в пределах контрактуры). Отмечаются патологические рефлексы Бабинского (до операции не наблюдались). Регрессировала проводниковая гипестезия с уровня L3, появилась гиперестезия с L2 и ниже справа. Топической очаговой симптоматики согласно уровню корешка Th8 не выявлено.
По данным контрольной постуральной рентгенографии и компьютерной томографии положение металлоконструкции корректное, признаков нестабильности и мальпозиции опорных элементов не отмечается. Пациент был выписан на амбулаторное лечение через 23 дня после проведённой операции.
Через 6 месяцев на контрольном осмотре мышечная сила в проксимальных отделах нижних конечностей следующая: подвздошно-поясничные мышцы слева — 5 баллов, справа — 4 балла; четырёхглавые мышцы бедра слева и справа — 5 баллов. Появилось разгибание стоп — 3 балла, разгибание пальцев — 3 балла, сгибание стоп: слева — 5 баллов, справа — 4 балла. Может ходить в ортопедической обуви, но сохраняется тенденция к перекрёсту правой ноги и внутренней установке правой стопы.
Пациент наблюдается в течение 3,5 года. Ему проводится курсовое реабилитационное лечение в специализированном стационаре. В итоге этапного хирургического лечения неврологический статус пациента имел положительную динамику с момента операции (группа С по Frankel, Ashworth 3, ASIA — движение 84, тактильная 82, болевая 84) с восстановлением неврологического статуса (группа D по Frankel, Ashworth 1, ASIA — движение 92, тактильная 108, болевая 110). Пациент может самостоятельно вертикализироваться, встать с кровати, а также ходить в ортопедической обу-ви с поддержкой сопровождающего. При динамическом наблюдении усугубления неврологического статуса не выявлено. По данным лучевых методов обследования положение установленной металлоконструкции стабильное, определяются признаки формирования артифициального костно-металлического блока.
ОБСУЖДЕНИЕ
С развитием хирургических методов и инструментария в вертебрологии менялись стратегии лечения неврологически осложнённых деформаций позвоночника. Сколиотические и кифотические деформации позвоночника при своём естественном течении приводят к нарушению глобальных параметров баланса и биомеханики позвоночника [5]. Одной из наиболее важных проблем при сложных деформациях является возникновение и прогрессирующее развитие дисфункции спинного мозга, клинически проявляющееся неврологическими нарушениями. Несмотря на достижения в области хирургических методов лечения деформаций позвоночника с компрессией спинного мозга, наиболее подходящий хирургический подход при деформациях с высоким риском развития неврологического дефицита остаётся предметом для дискуссий [6].
До периода развития и рутинного применения систем фиксации и коррекции позвоночника в научной литературе описываются способы задней (ламинэктомия) и заднебоковой декомпрессии (костотрансверзэктомия) и их модификации, предложенные разными авторами [7, 8]. В приведённых исследованиях, в которых сравнивались данные методы, значимых результатов в плане восстановления неврологического дефицита не получено — более чем у половины пациентов неврологический дефицит прогрессировал и после операции [9, 10]. В литературе описан метод транспозиции спинного мозга с целью увеличения объёма декомпрессии позвоночного канала при кифосколиотической деформации позвоночника [11–14]. По данным научных работ зарубежных авторов, данный способ в значительной степени улучшил результаты хирургического лечения, что сопровождалось восстановлением неврологического дефицита после проведённой декомпрессии спинного мозга у пациентов с кифосколиотическими деформациями [15–17]. Развитие систем сегментарной дорсальной фиксации позвоночника (субламинарные крючки, транспедикулярные винты и др.) позволило выполнять декомпрессию спинного мозга с использованием различных методов резекции костных структур позвоночника, их модификаций и/или сочетания этих модификаций [18].
У пациентов с тяжёлыми врождёнными деформациями позвоночника часто присутствует нестабильность передней и средней колонн позвоночника. Данный факт обусловливает необходимость вентральной стабилизации [19]. В отдельных случаях, при невозможности достичь полной декомпрессии спинного мозга из заднего или заднебокового доступа, вентральный этап стабилизации сочетается с передней декомпрессией [20–23]. В приведённом клиническом примере 1 был использован данный подход. На этапе задней стабилизации деформации и вентральной резекции тел позвонков на вершине деформации достигнута декомпрессия спинного мозга и фиксация позвоночника. В результате проведённой операции в клинической картине послеоперационного периода отмечен регресс неврологического дефицита. Из-за дефекта задней колонны позвоночника сохранялся риск дестабилизации установленной конструкции, а в дальнейшем — прогрессирования деформации и нарушения неврологического статуса.
В клиническом примере 1 стоит отметить применение Halo-pelvic тракции, несмотря на то, что в научной литературе данный этап лечения описывается как противопоказание к применению у пациентов с неврологически осложнёнными деформациями позвоночника. Однако применение Halo-pelvic тракции у пациента из клинического примера 1 позволило добиться частичного регресса неврологического дефицита [8, 24]. Во время проведения Halo-pelvic тракции происходит стабилизация деформации, достаточная для создания условий, обеспечивающих снижение венозного застоя в сосудах спинного мозга и улучшение кровообращения спинного мозга на вершине деформации. Обеспечение перфузии и оксигенации тканей спинного мозга приводит к наблюдаемому клинически регрессу неврологического дефицита [10, 25].
Ввиду сложной геометрии деформации, аномальной анатомии позвоночника применение серийных вентральных пластин в данном случае не представляется возможным. Обусловлено это невозможностью добиться плотного прилегания серийного фиксатора к телам позвонков, несовпадением точек крепления пластины и линейных размеров пластины. Эффективный подход к стабилизации позвоночника заключался в изготовлении индивидуальной пластины, которая имеет практически полную конгруэнтность поверхностей соприкосновения, а этапы её проектирования позволяют рассчитать места установки фиксирующих винтов, траекторию их проведения, в том числе чтобы при их установке не было конфликта инструментария с грудиной или ключицами, что обеспечило отсутствие необходимости стернотомии. С целью планирования всех этапов операции и отработки установки индивидуального имплантата изготовлена полноразмерная индивидуальная 3D-модель позвоночника. В конечном результате хирургического лечения был достигнут полный регресс неврологического дефицита со стабилизацией позвоночника.
При естественном течении тяжёлых нейрогенных деформаций позвоночника также имеется высокий риск компрессии спинного мозга, что требует стабилизации позвоночника и выполнения декомпрессии миелорадикулярных структур [26]. Подобную ситуацию иллюстрирует вышеописанный клинический случай 2. Болезнь Шарко–Мари–Тута, тип 4С наиболее часто проявляется в первые десять лет жизни с высокой частотой развития сколиоза. У некоторых пациентов развитие происходит медленно, позволяя ходить вплоть до пятого десятилетия жизни, тогда как другие становятся зависимыми от инвалидного кресла в подростковом возрасте [27].
С учётом подробного обследования пациента полная визуализация зоны компрессии невозможна ни на КТ, ни на МРТ, а следовательно, заведомо ошибочное планирование зоны резекции и в последующем недостаточная декомпрессия не приведёт к успешному клиническому результату. На изготовленной полноразмерной 3D-модели позвоночника и спинного мозга отмечено формирование наибольшего сдавления спинного мозга за счёт корней дуг. Несмотря на схожесть кифосколиотических деформаций с клиническим случаем 1, оптимальным методом операции в клиническом случае 2 является заднебоковая декомпрессия, включающая не только ламинэктомию, но и резекцию корней дуг и прилежащих рёберно-поперечных суставов. В результате резекции вышеуказанных костных структур сформировалось новое ложе для спинного мозга. При этом спинной мозг не перемещается, а только мобилизуется.
На разборной 3D-модели с раздельной печатью костных и нервных структур возможно определить оптимальную зону протяжения декомпрессии по сужению диаметра модели спинного мозга. Протяжённость транспедикулярной фиксации и отсутствие дефекта передней колонны позвоночника ограничили хирургическое лечение только дорсальным этапом. Как и в первом случае, подробное планирование метода операции и выбора зоны декомпрессии привело к положительному клиническому эффекту — регрессу неврологического дефицита и предотвратило инвалидизацию пациента.
В научной литературе за последние три десятилетия сформировались основные методы хирургического лечения пациентов с кифотическими и сколиотическими деформациями позвоночника, осложнёнными неврологическим дефицитом. Можно выделить следующие модели операций:
- стабилизирующие (фиксация in situ и фиксация с коррекцией без прямой декомпрессии миелорадикуляных структур);
- декомпрессивно-стабилизирующие (операции, включающие инструментальную фиксацию деформации с резекцией костных структур позвоночника, обусловливающих сдавление оболочек спинного мозга, из вентрального или дорсального доступа);
- декомпрессивно-корригирующие (одно- и многоуровневые VCR, PSO и её различные варианты).
Каждая из вышеуказанных моделей операций имеет свои преимущества и недостатки, влияющие как на результат коррекции деформации позвоночника, так и на состояние неврологического статуса в послеоперационном периоде [1, 28–35].
Приведённые клинические примеры демонстрируют эффективность проведения декомпрессивно-стабилизирующей модели операции. Альтернативным вариантом хирургического лечения является декомпрессивно-корригирующая модель операции, а именно VCR. Несмотря на то, что VCR позволяет добиться значительной коррекции деформации позвоночника и одновременной декомпрессии спинного мозга, она имеет весомые ограничения в применении [36]. В клиническом примере 1 деформация позвоночника была обусловлена множественными врождёнными аномалиями шейно-грудного позвоночника (см. рис. 1), следовательно, определить зону трёхколонной вертебротомии и технически провести данную операцию невозможно. В клиническом примере 2 деформация позвоночника имела протяжённую дугу и многоуровневую зону сдавления спинного мозга. Исходя из этого, для достижения коррекции и декомпрессии потребовалось бы проведение VCR на трёх уровнях (см. рис. 9).
Основной задачей хирургического лечения пациентов с деформациями позвоночника и возникшего вследствие их прогрессирования неврологического дефицита является сохранение и/или восстановление функции спинного мозга. Согласно данным научных исследований, выполнение VCR позволяет добиться коррекции до 54% во фронтальной плоскости и до 47% в сагиттальной плоскости деформации. Но в 2–22% случаях VCR приводит к усугублению неврологического статуса, что нивелирует её достоинства [36–39].
Из вышеизложенного следует, что отказ от проведения трёхколонной вертебротомии и применение (в клиническом примере 1) стабилизации позвоночника 360° с минимальной коррекцией деформации и минимальной зоной декомпрессии в условиях Halo-pelvic тракции, а также (в клиническом примере 2) только дорсальной фиксации деформации позвоночника, но с многоуровневой заднебоковой декомпрессией спинного мозга в совокупности позволили добиться регресса неврологического дефицита с восстановлением функциональной активности пациентов с минимальным риском неврологических послеоперационных осложнений.
ЗАКЛЮЧЕНИЕ
При планировании хирургического доступа, зоны резекции и точек установки транспедикулярных винтов индивидуальные анатомические модели могут играть ключевую роль в принятии решения о тактике операции. Использование моделей повышает точность предоперационного планирования, точность определения зоны резекции костных структур позвоночника для обеспечения достаточной декомпрессии миелорадикулярных структур. Пространственное представление положения миелорадикулярных структур снижает риск их повреждения при проведении резекции и установке металлоконструкции. В совокупности это позволяет персонализировать зону декомпрессии. Эффективность такого подхода в конечном итоге приводит к главной цели хирургического вмешательства — регрессу неврологического дефицита с качественным функциональным результатом.
Преимущества 3D-печатной модели для хирургического планирования связаны с реалистичным анатомическим представлением о патологических участках, что помогает лучше и полнее понимать сложную анатомию, траектории проведения и установки винтов, место и объём декомпрессии, необходимую зону декомпрессии.
При тяжёлых деформациях шейно-грудного отдела позвоночника рекомендовано выполнение спондилодеза 360°. Если для осуществления дорсальной стабилизации у таких пациентов применение стандартизированных имплантатов является оптимальным, то для выполнения вентральной стабилизации использование стандартизированных пластин в ряде случаев связано со значительными техническими сложностями либо вовсе является невозможным. Изготовление индивидуальных пластин для вентральной стабилизации позволяет осуществлять фиксацию у пациентов с деформациями практически любой сложности.
Основной задачей операции у пациентов с неврологически осложнёнными деформациями позвоночника является сохранение и восстановление неврологического статуса. Использование менее агрессивных моделей хирургического лечения с минимальным риском нарушения функции спинного мозга, обеспечение безопасной декомпрессии миелорадикулярных структур, применение аддитивных технологий на этапе предоперационного планирования и во время операции в совокупности позволяют восстановить функцию спинного мозга и предотвратить инвалидизацию пациентов.
ДОПОЛНИТЕЛЬНО
Вклад авторов. А.А. Кулешов — сбор и анализ данных, написание текста статьи; А.Г. Назаренко — сбор и анализ данных, написание текста статьи; М.С. Ветрилэ — сбор и анализ данных, написание текста статьи; С.Н. Макаров — сбор и анализ данных, написание текста статьи; И.М. Милица — сбор и анализ данных, написание текста статьи; И.Н. Лисянский — сбор и анализ данных, написание текста статьи. Все авторы одобрили финальную версию перед публикацией, а также согласились нести ответственность за все аспекты работы, гарантируя надлежащее рассмотрение и решение вопросов, связанных с точностью и добросовестностью любой её части.
Источники финансирования. Отсутствуют.
Раскрытие интересов. Авторы декларируют отсутствие явных и потенциальных конфликтов интересов, связанных с проведённым исследованием и публикацией настоящей статьи.
Оригинальность. При создании настоящей работы были использованы фрагменты собственного текста, опубликованного ранее ([https://doi.org/10.17816/vto629012], распространяется на условиях лицензии CC-BY 4.0).
Согласие на публикацию. Авторы получили письменное информированное добровольное согласие пациентов на публикацию персональных данных в научном журнале, включая его электронную версию (дата подписания: 27.04.2022 г., 12.12.2022 г.). Объём публикуемых данных с пациентами согласован.
Доступ к данным. Доступ к данным, полученным в настоящем исследовании, закрыт по причине конфиденциальности (наличия в базе данных сведений, на основании которых могут быть идентифицированы участники исследования, и отсутствия их согласия на распространение этих сведений).
Рассмотрение и рецензирование. Настоящая работа подана в журнал в инициативном порядке и рассмотрена по обычной процедуре. В рецензировании участвовали два внешних рецензента, член редакционной коллегии и научный редактор издания.
ADDITIONAL INFO
Author contribution. A.A. Kuleshov — data collection and analysis, writing the text of the article; A.G. Nazarenko — data collection and analysis, writing the text of the article; M.S. Vetrile — data collection and analysis, writing the text of the article; S.N. Makarov — data collection and analysis, writing the text of the article; I.M. Militsa — data collection and analysis, writing the text of the article; I.N. Lisyansky — data collection and analysis, writing the text of the article. All authors have approved the final version before publication and have also agreed to be responsible for all aspects of the work, ensuring that issues relating to the accuracy and integrity of any part of it are properly addressed and resolved.
Funding sources. No funding.
Disclosure of interests. The authors declare that they have no competing interests.
Statement of originality. In creating this work, fragments of my own text, published earlier, were used ([https://doi.org/10.17816/vto629012], distributed under the CC-BY 4.0 license).
Consent for publication. The authors received written informed voluntary consent from the patient to publish personal data in a scientific journal, including its electronic version (date of signing April 27, 2022, December 12, 2022). The scope of published data was agreed with the patient.
Data availability statement. Access to the data obtained in this study is closed due to confidentiality (the presence in the database of information on the basis of which the study participants can be identified and the lack of their consent to the dissemination of this information).
Provenance and peer-review. This paper was submitted to the journal on an initiative basis and reviewed according to the usual procedure. Two external reviewers, a member of the editorial board and the scientific editor of the publication participated in the review.
Об авторах
Александр Алексеевич Кулешов
Национальный медицинский исследовательский центр травматологии и ортопедии им. Н.Н. Приорова
Email: cito-spine@mail.ru
ORCID iD: 0000-0002-9526-8274
SPIN-код: 7052-0220
д-р мед. наук
Россия, 127299, Москва, ул. Приорова, д. 10Антон Герасимович Назаренко
Национальный медицинский исследовательский центр травматологии и ортопедии им. Н.Н. Приорова
Email: nazarenkoag@cito-priorov.ru
ORCID iD: 0000-0003-1314-2887
SPIN-код: 1402-5186
д-р мед. наук, профессор РАН
Россия, 127299, Москва, ул. Приорова, д. 10Марчел Степанович Ветрилэ
Национальный медицинский исследовательский центр травматологии и ортопедии им. Н.Н. Приорова
Email: vetrilams@cito-priorov.ru
ORCID iD: 0000-0001-6689-5220
SPIN-код: 9690-5117
канд. мед. наук
Россия, 127299, Москва, ул. Приорова, д. 10Сергей Николаевич Макаров
Национальный медицинский исследовательский центр травматологии и ортопедии им. Н.Н. Приорова
Email: moscow.makarov@gmail.com
ORCID iD: 0000-0003-0406-1997
SPIN-код: 2767-2429
канд. мед. наук
Россия, 127299, Москва, ул. Приорова, д. 10Игорь Михайлович Милица
Национальный медицинский исследовательский центр травматологии и ортопедии им. Н.Н. Приорова
Автор, ответственный за переписку.
Email: igor.milica@mail.ru
ORCID iD: 0009-0005-9832-316X
SPIN-код: 4015-8113
MD
Россия, 127299, Москва, ул. Приорова, д. 10Игорь Николаевич Лисянский
Национальный медицинский исследовательский центр травматологии и ортопедии им. Н.Н. Приорова
Email: lisigornik@list.ru
ORCID iD: 0000-0002-2479-4381
SPIN-код: 9845-1251
канд. мед. наук
Россия, 127299, Москва, ул. Приорова, д. 10Список литературы
- Goel SA, Neshar AM, Chhabra HS. A rare case of surgically managed multiple congenital thoraco-lumbar and lumbar block vertebrae with kypho-scoliosis and adjacent segment disease with myelopathy in a young female. Journal of Clinical Orthopaedics and Trauma. 2020;11(2):291–294. doi: 10.1016/j.jcot.2019.04.017
- Matee S, Ayaz SB, Bashir U. Progressive thoracic kyphoscoliosis leading to paraplegia in a child with neurofibromatosis type- 1. Journal of the College of Physicians and Surgeons Pakistan. 2021;31(1):98–100. doi: 10.29271/jcpsp.2021.01.98
- Katiyar P, Boddapati V, Coury J, et al. Three-Dimensional Printing Applications in Pediatric Spinal Surgery: A Systematic Review. Global spine journal. 2024;14(2):718–730. doi: 10.1177/21925682231182341
- Senkoylu A, Daldal I, Cetinkaya M. 3D printing and spine surgery. Journal of orthopaedic surgery (Hong Kong). 2020;28(2):2309499020927081. doi: 10.1177/2309499020927081
- Singh K, Samartzis D, An HS. Neurofibromatosis type I with severe dystrophic kyphoscoliosis and its operative management via a simultaneous anterior-posterior approach: A case report and review of the literature. Spine Journal. 2005;5(4):461–466. doi: 10.1016/j.spinee.2004.09.015
- Sugimoto Y, Ito Y, Tanaka M, et al. Cervical cord injury in patients with ankylosed spines: progressive paraplegia in two patients after posterior fusion without decompression. Spine. 2009;34(23):E861–3. doi: 10.1097/BRS.0b013e3181bb89fc
- Maxwell AKE. Spinal cord traction producing an ascending, reversible, neurological deficit. Case report. Verhandlungen der Anatomischen Gesellschaft. 1967;(115):49–69.
- Ransohoff J, et al. Spinal Cord Traction Producing an Ascending, Reversible, Neurological Deficit. Case Reports. 1969;(31):459–461.
- Breig A, Braxton V. Biomechanics of the central nervous system: some basic normal and pathologic phenomena. Almqvist & Wiksell; 1960. 183 р.
- Dommisse G. THE Vascular OF Zone THE Surgery CORD* in Spinal. JBJS. 1974;56(2).
- Ahlgren BD, Herkowitz HN. A modified posterolateral approach to the thoracic spine. Journal of spinal disorders. 1995;8(1):69–75.
- Lonstein JE, Winter RB, Moe JH, et al. Neurologic deficits secondary to spinal deformity: A review of the literature and report of 43 cases. Spine. 1980;5(4):331–355. doi: 10.1097/00007632-198007000-00007
- Ménard DV. Étude pratique sur le mal de Pott. Paris: Masson; 1900.
- Winter RB, Moe JH, Wang JF. Congenital kyphosis: its natural history and treatment as observed in a study of one hundred and thirty patients. JBJS. 1973;55(2):223–274.
- Barber JB, Epps CH. Antero-lateral transposition of the spinal cord for paraparesis due to congenital scoliosis. Journal of the National Medical Association. 1968;60(3):169–172.
- Cantore GP, Ciappetta P, Costanzo G, Raco A, Salvati M. Neurological deficits secondary to spinal deformities: Their treatment and results in 13 patients. European Neurology. 1989;29(4):181–185. doi: 10.1159/000116407
- Shenouda EF, Nelson IW, Nelson RJ. Anterior transvertebral transposition of the spinal cord for the relief of paraplegia associated with congenital cervicothoracic kyphoscoliosis: Technical note. Journal of Neurosurgery: Spine. 2006;5(4):374–379. doi: 10.3171/spi.2006.5.4.374
- Pennington Z, Ahmed AK, Goodwin CR, Westbroek EM, Sciubba DM. The Use of Sacral Osteotomy in the Correction of Spinal Deformity: Technical Report and Systematic Review of the Literature. World Neurosurgery. 2019;(130):285–292. doi: 10.1016/j.wneu.2019.07.083
- Bourghli A, Abduljawad SM, Boissiere L, Obeid I. Thoracolumbar kyphoscoliotic deformity with neurological impairment secondary to a butterfly vertebra in an adult. Spine Deformity. 2020;8(4):819–827. doi: 10.1007/s43390-020-00050-3
- Delecrin J, et al. Various mechanisms of spinal cord injury during scoliosis surgery. 1994. Р. 13–14.
- Kawahara N, Tomita K, Baba H, et al. Closing-opening wedge osteotomy to correct angular kyphotic deformity by a single posterior approach. Spine. 2001;26(4):391–402. doi: 10.1097/00007632-200102150-00016
- Shimode M, Kojima T, Sowa K. Spinal wedge osteotomy by a single posterior approach for correction of severe and rigid kyphosis or kyphoscoliosis. Spine. 2002;27(20):2260–2267. doi: 10.1097/00007632-200210150-00015
- Shono Y, Abumi K, Kaneda K. One-stage posterior hemivertebra resection and correction using segmental posterior instrumentation. Spine. 2001;26(7):752–757. doi: 10.1097/00007632-200104010-00011
- Kleinberg S, Kaplan A. Scoliosis complicated by paraplegia. JBJS. 1952;34-А(1):162–7.
- Mironov SP, Vetrile ST, Nacvlishvili ZG, et al. Ocenka osobennostej spinal’nogo krovoobrashcheniya, mikrocirkulyacii v obolochkah spinnogo mozga i nejrovegetativnoj regulyacii pri skolioze. Hirurgiya pozvonochnika. 2006;(3):38–48. (In Russ.). EDN: IBWQQB
- Ul’rih EV, Mushkin AYu, Rubin AV. Vrozhdennye deformacii pozvonochnikau detej: prognoz epidemiologii i taktika vedeniya. Hirurgiya pozvonochnika. 2009;(2):55–61. (In Russ.). EDN: KTYEZR
- Senderek J, Bergmann C, Weber S, et al. Mutation of the SBF2 gene, encoding a novel member of the myotubularin family, in Charcot–Marie–Tooth neuropathy type 4B2/11p15. Human molecular genetics. 2003;12(3):349–356. doi: 10.1093/hmg/ddg030
- Kotani Y, Abumi K, Ito M, Minami A. Improved accuracy of computer-assisted cervical pedicle screw insertion. Journal of neurosurgery. 2003;99(Suppl 3):257–263. doi: 10.3171/spi.2003.99.3.0257
- Novikov VV, Vasyura AS, Lebedeva MN, Mikhaylovskiy MV, Sadovoy MA. Surgical management of neurologically complicated kyphoscoliosis using transposition of the spinal cord: Case report. International Journal of Surgery Case Reports. 2016;27:13–17. doi: 10.1016/j.ijscr.2016.07.037
- Saito M. Anterolateral decompression for thoracic myelopathy due to severe kyphosis using the costotransversectomy approach. Rinsho Seikei Geka. 1997;32:523–530.
- Shah MS, Akbary K, Patel PM, Nene AM. Management of Proximal Thoracic Kyphoscoliosis with Early Myelopathy in a Young Adult with Neurofibromatosis Type 1: A Case Report and Review of Literature. Journal of orthopaedic case reports. 2020;10(4):8–12. doi: 10.13107/jocr.2020.v10.i04.1778
- Smith JS, Fu KM, Urban P, Shaffrey CI. Neurological symptoms and deficits in adults with scoliosis who present to a surgical clinic: Incidence and association with the choice of operative versus nonoperative management. Journal of Neurosurgery: Spine. 2008;9(4):326–331. doi: 10.3171/SPI.2008.9.10.326
- Yaman O, Dalbayrak S. Kyphosis and review of the literature. Turkish Neurosurgery. 2014;24(4):455–465.
- Zhang Z, Wang H, Liu C. Compressive myelopathy in severe angular kyphosis: a series of ten patients. European Spine Journal. 2016;25(6):1897–1903. doi: 10.1007/s00586-015-4051-6
- Zhang Z, Wang H, Zheng W. Compressive Myelopathy in Congenital Kyphosis of the Upper Thoracic Spine. Clinical Spine Surgery. 2017;30(8):E1098–E1103. doi: 10.1097/BSD.0000000000000350
- Saifi C, Laratta JL, Petridis P, et al. Vertebral Column Resection for Rigid Spinal Deformity. Global Spine Journal. 2017;7(3):280–290. doi: 10.1177/2192568217699203
- Auerbach JD, Lenke LG, Bridwell KH, et al. Major complications and comparison between 3-column osteotomy techniques in 105 consecutive spinal deformity procedures. Spine. 2012;37(14):1198–1210. doi: 10.1097/BRS.0b013e31824fffde
- Lenke LG, Newton PO, Sucato DJ, et al. Complications after 147 consecutive vertebral column resections for severe pediatric spinal deformity: a multicenter analysis. Spine. 2013;38(2):119–132. doi: 10.1097/BRS.0b013e318269fab1
- Wilcox B, Mobbs RJ, Wu AM, Phan K. Systematic review of 3D printing in spinal surgery: the current state of play. Journal of Spine Surgery. 2017;3(3):433–443. doi: 10.21037/jss.2017.09.01
Дополнительные файлы













