Isolated avulsion fracture of the tibia at the insertion to the posterior cruciate ligament
- Authors: Zolotov A.S.1
-
Affiliations:
- City hospital
- Issue: Vol 8, No 1 (2001)
- Pages: 38-40
- Section: Articles
- Submitted: 18.01.2022
- Accepted: 18.01.2022
- Published: 02.02.2022
- URL: https://journals.eco-vector.com/0869-8678/article/view/96763
- DOI: https://doi.org/10.17816/vto96763
- ID: 96763
Cite item
Full Text
Abstract
Three cases of evulsion tibia fractures at the posterior cruciate ligament attachment are presented. The bone fragment displacement was more than 1 cm. All patients were treated surgically. In 1 patient reduction offracture was completed by bone suture, in 2 patients by fixation with screw inserted retrogradely. Follow up from 6 months to 4 years showed no complications, the joint was stable and full volume of motion was noted.
Full Text
Повреждения задней крестообразной связки (ЗКС) коленного сустава встречаются нечасто. Среди всех повреждений связок коленного сустава они составляют 3~20% [3]. Поставить правильный диагноз в остром периоде очень непросто из-за сопутствующих гемартроза, синовита, периартикулярного кровоизлияния и отека [1]. Между тем, выявление на рентгенограммах коленного сустава отрывного перелома задневерхнего края большеберцовой кости со стопроцентной достоверностью указывает на наличие повреждения ЗКС у места ее прикрепления [1, 3]. Рекомендации по лечению этих переломов остаются противоречивыми. Мы располагаем опытом лечения 3 больных с данным повреждением.
Клинические наблюдения
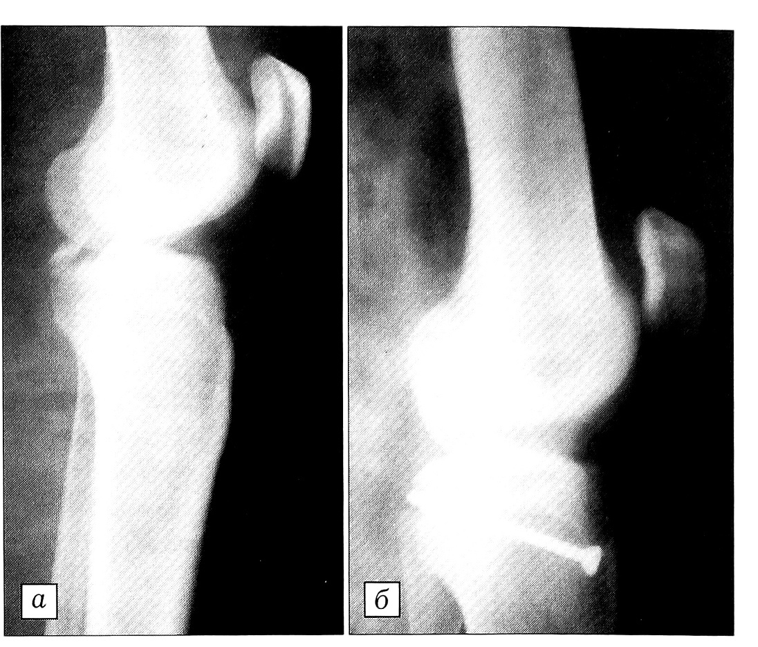
Больная Э.,13 лет, упала на уроке физкультуры с гимнастического коня, повредив правый коленный сустав. На рентгенограммах определяется отрывной перелом задневерхнего края большеберцовой кости (рис. 1, а). Костный фрагмент довольно больших размеров, смещение его превышает 1 см. При поступлении больной выполнена пункция коленного сустава, удалено 60 мл темной крови, в полость сустава введено 20 мл 2% раствора новокаина. После этого осторожно проведено исследование стабильности сустава. Выявлен положительный симптом «заднего выдвижного ящика». Наложена задняя гипсовая шина. На 3-и сутки после травмы произведено оперативное вмешательство. Положение больной на здоровом боку, конечность обескровлена. Из заднего доступа, через промежуток между сухожилиями полуперепончатой и полусухожильной мышц с одной стороны и медиальной головкой икроножной мышцы с другой вскрыт сустав, обнажено место перелома. Костный фрагмент вместе с фиксированной к нему ЗСК репонирован и закреплен в своем ложе винтом ретроградно (рис. 1, б). В течение 6 нед после операции продолжалась иммобилизация гипсовой шиной, затем проводились ЛФК и массаж, дозированная нагрузка. Больная осмотрена через год после операции: жалоб нет, объем движений полный, сустав стабилен.
Больной М.,36 лет, получил травму коленного сустава при автоаварии (сбит автомобилем). Поступил с выраженным болевым синдромом и отеком. На рентгенограмме выявлен отрывной перелом задневерхнего края большеберцовой кости (рис. 2, а). Фрагмент сравнительно небольших размеров, однако смещение его превышает 1 см. При поступлении выполнены пункция коленного сустава, местная анестезия. Выявлен положительный симптом «заднего выдвижного ящика». Поврежденный сустав фиксирован гипсовой шиной. На 5-е сутки после травмы произведена открытая репозиция из заднего доступа и фиксация фрагмента костным швом (рис. 2, б). В течение 6 нед после операции продолжалась иммобилизация гипсовой шиной, затем проводились ЛФК и массаж, дозированная нагрузка. Пациент осмотрен через 4 года: жалоб нет, сустав стабилен, объем движений полный.
Больной К.,24 лет, не справился с управлением легковым автомобилем, при столкновении с преградой получил сильный удар в переднюю часть коленного сустава. Поступил с выраженным болевым синдромом и значительным отеком в области колена. На рентгенограммах определяется отрывной перелом задневерхнего края большеберцовой кости (рис.3, а). Костный фрагмент больших размеров, смещен от своего ложа более чем на 1 см. При поступлении выполнены пункция коленного сустава, новокаиновая блокада, обработка ссадин. Выявлен положительный симптом «заднего выдвижного ящика». Наложена гипсовая шина. На 6-е сутки после травмы (к этому времени зажили ссадины в области коленного сустава) произведены открытая репозиция и внутренняя фиксация винтом (рис. 3, б). В течение 6 нед после операции продолжалась иммобилизация гипсовой шиной, затем проводились ЛФК и массаж, дозированная нагрузка. Пациент осмотрен через полгода: жалоб нет, сустав стабилен, объем движений полный.
Рис. 1. Рентгенограммы коленного сустава больной Э. до (а) и после (б) операции.
Рис. 2. Рентгенограммы коленного сустава больного М. до (а) и после (б) операции.
Рис. 3. Рентгенограммы коленного сустава больного К. до (а) и после (б) операции.
Обсуждение
В 1918 г. Alwinyn-Smith предложил лечение отрывных переломов большеберцовой кости в месте прикрепления ЗСК путем иммобилизации коленного сустава в положении полного разгибания в течение 12 нед [цит. 3]. Этот метод лечения применяется и по сей день. Необходимыми условиями получения положительного результата являются точная репозиция (достигается обычно разгибанием в коленном суставе), надежная фиксация, начало разработки сустава только после полного сращения перелома [3]. Один из самых известных отечественных травматологов А.В. Каплан рекомендовал при отрыве ЗСК с костным отломком пришивать отломок или привинчивать его к своему ложу [1]. Большое число наблюдений — 36 больных с отрывным переломом большеберцовой кости в месте прикрепления ЗКС собрал японский хирург Takehiko Torisu [4]. В серии его наблюдений консервативное лечение давало удовлетворительные результаты только тогда, когда костный фрагмент оказывался небольшим и минимально смещенным. В остальных случаях отмечалось несращение или неправильное сращение, что вызывало боль, нестабильность, ограничение движений в суставе, синовит. Оперативное лечение давало хорошие результаты и при свежих, и при застарелых повреждениях. Е. Trojan наблюдал 2 больных с несросшимся и неправильно сросшимся отрывным переломом большеберцовой кости в месте прикрепления ЗСК спустя несколько месяцев после травмы [5]. Боль и нестабильность сустава явились показанием к остеосинтезу винтами (в случае неправильного сращения предварительно выполнена остеотомия). У обоих больных получен хороший результат. Весьма красноречивые данные приводит М.Н. Meyers, наблюдавший 14 больных с отрывными переломами большеберцовой кости [2]. Больного с переломом без смещения отломков лечили гипсовой повязкой в течение 6 нед, затем проводилась реабилитация. Получен отличный результат: нормальная функция и стабильность сустава. При проведении аналогичного лечения 5 больным с минимальным смещением отломков у 4 перелом не сросся: отмечалась нестабильность сустава (положительный симптом «заднего выдвижного ящика»), пациенты не могли заниматься спортом (связанным с бегом, прыжками, приседаниями), быстро спускаться по лестнице. У 6 больных с переломами со смещением было предпринято оперативное лечение. В 2 случаях открытая репозиция завершена фиксацией винтом, в 4 — костным швом. У 5 пациентов достигнуто сращение перелома с отличным функциональным результатом. Хороший результат был получен и при оперативном лечении 2 больных с застарелыми повреждениями. Это позволило автору сделать вывод о необходимости оперативного лечения отрывных переломов большеберцовой кости даже с минимальным смещением.
About the authors
A. S. Zolotov
City hospital
Author for correspondence.
Email: info@eco-vector.com
Russian Federation, Spassk-Dalny, Primorsky Krai
References
Supplementary files





