Clinic, diagnosis and treatment of chondroblastoma in children
- Authors: Snetkov A.I.1, Morozov A.K.1, Verchenko G.N.1, Frantov A.R.1, Belyaeva A.A.1, Pavlov R.N.1, Kotov V.L.1, Batrakov S.Y.1
-
Affiliations:
- Central Institute of Traumatology and Orthopedics. N.N. Priorova
- Issue: Vol 8, No 2 (2001)
- Pages: 10-16
- Section: Articles
- Submitted: 23.01.2022
- Accepted: 23.01.2022
- Published: 02.02.2022
- URL: https://journals.eco-vector.com/0869-8678/article/view/97196
- DOI: https://doi.org/10.17816/vto97196
- ID: 97196
Cite item
Full Text
Abstract
It is for the first time that the clinical picture, diagnosis and outcomes of surgical treatment of bone chondroblastoma in children (85 patients, aged 8—16) are described in native literature. Pathological focus was localized in the epiphysis and metaepiphysis of long bone predominantly. Clinical manifestations were pain syndrome, restriction of movement and development of contracture in the adjacent joint. Typical radiological signs included excentrically located osteolytic locus of destruction with speckled inclusions and clear contour. The locus was separated by sclerosis line and periostal stratums were present in the distance from the locus. CT, MRT and angiographic examination enabled to determine the destructive locus at early stages of its development and to differentiate with other tumors, inflammatory diseases and dystrophic processes. In all cases diagnosis was verified morphologically. All patients underwent surgery. In the majority of cases periarticular subchondral resection with cavity electrocoagulation and alloplasty of the defect was performed. In case of articular cartilage destruction intracapsular marginal or segmental resection followed by allo- or autoplasty of the defect was carried out. Recurrences were observed in 8,2%) of cases. In 8 patients shortening or deformity of limb developed as a result of growth zone damaged caused by pathological process and surgical intervention. Those problems were eliminated by additional surgery.
Full Text
Хондробластома (доброкачественная хондробластома, эпифизарная хондробластома) — редко встречающаяся опухоль костей скелета, которая характеризуется сложностью и разнообразием гистологического строения. В Международной гистологической классификации костных опухолей ВОЗ (1972) хондробластома кости отнесена к доброкачественным хрящеобразующим опухолям с указанием на возможность ее озлокачествления. Последнее нашло подтверждение в ряде публикаций [6, 12, 14]. Среди первичных опухолей и опухолеподобных заболеваний хондробластома составляет 1-1,8% [8, 11, 13, 15], а среди хрящевых опухолей скелета — 5% [4].
Подробное описание этой опухоли дал в 1931 г. Codman (на основании 9 наблюдений с локализацией очага поражения в плечевой кости), называя ее «эпифизарной хондроматозной гигантоклеточной опухолью» [цит. 3]. В 1942 г. Jaffe и Lichtestein выделили эту опухоль под названием «хондробластома», подчеркивая ее хрящевое строение. С накоплением опыта и созданием более совершенных методов диагностики появились данные о возможности озлокачествления хондробластомы, метастазировании ее в легкие, рецидивировании, существовании смешанных вариантов хондробластомы [2, 10]. По данным Т.П. Виноградовой, хондробластома занимает промежуточное положение между хондробластическими и остеобластическими опухолями, что и объясняет сложность ее гистологического строения и возможность образовывать «смешанные» формы. Озлокачествление хондробластомы отмечается в 3,7-4,5% случаев, преимущественно после рецидивов, частота которых составляет 7-18%, а также после проведения лучевой терапии [5, 7, 9, 16].
Опубликовано немало работ, посвященных диагностике и лечению хондробластомы, однако ни в одной из них не акцентируется внимание на больных детского возраста. В то же время у детей течение хондробластомы имеет свои особенности, а методы хирургического лечения принципиально отличны от таковых у взрослых больных.
Материал и методы
В основу настоящего сообщения положен опыт диагностического обследования и лечения 85 пациентов с хондробластомой в возрасте от 8 до 16 лет. Мальчиков среди них было 45 (52,9%), девочек — 40 (47,1%). Хондробластома чаще выявлялась у лиц второго десятилетия жизни. Больные находились на лечении в отделении детской костной патологии и подростковой ортопедии ЦИТО в период с 1971 по 2000 г.
С диагнозом хондробластомы в ЦИТО поступили 16 пациентов. Остальные были направлены с самыми разными другими диагнозами или обратились без диагноза (табл. 1).
Данные о локализации хондробластомы представлены в табл. 2.
Время от появления первых симптомов заболевания до поступления больных в ЦИТО колебалось от 1 мес до 3,5 лет, составляя в среднем 1 год 11 мес. Столь длительный срок можно связать с отсутствием при данной патологии специфических симптомов, особенно в начальной стадии процесса, а также с наличием в анамнезе травмы (28 больных), что приводило к постановке неправильного диагноза и неадекватному лечению в других лечебных учреждениях. До поступления в ЦИТО 15 пациентам проводилась физиотерапия, 1 больному лучевая терапия без морфологической верификации диагноза. В 7 случаях выполнялись оперативные вмешательства: синовэктомия (при постановке диагноза «ревматоидный артрит»), секвестрнекрэктомия («остеомиелит»), экскохлеация и краевая резекция («гигантоклеточная опухоль», «аневризмальная киста»). Во всех этих случаях был выявлен рецидив заболевания.
Табл. 1. Диагноз при поступлении больных в клинику
Диагноз | Количество больных | абс. % |
Хондробластома | 16 | 18,8 |
Туберкулез | 14 | 16,4 |
Гигантоклеточная опухоль | 9 | 10,6 |
Опухоль | 5 | 5,9 |
Ревматоидный артрит | 3 | 3,5 |
Болезнь Пертеса | 2 | 2,4 |
Артрит | 4 | 4,7 |
Остеомиелит | 4 | 4,7 |
Остеобластома | 1 | 1,2 |
Аневризмальная киста | 3 | 3,5 |
Ушиб | 1 | 1,2 |
Хондросаркома | 1 | 1,2 |
Фиброзная дисплазия | 1 | 1,2 |
Плазмоцитома | 1 | 1,2 |
Хрящевая опухоль | 1 | 1,2 |
Без диагноза | 19 | 22,3 |
Табл. 2. Локализация хондробластомы у детей
Локализация | Количество больных | |
абс. | % | |
Плечевая кость: |
|
|
проксимальный эпифиз | 7 | 8,2 |
эпиметафиз | 17 | 20 |
дистальный эпифиз | - | - |
эпиметафиз | - | - |
Большеберцовая кость: |
|
|
проксимальный эпифиз | 10 | 11,8 |
эпиметафиз | 6 | 7,1 |
дистальный эпифиз | 3 | 3,5 |
эпиметафиз | 3 | 3,5 |
Бедренная кость: |
|
|
проксимальный эпифиз | 15 | 17,6 |
эпиметафиз | 4 | 4,7 |
дистальный эпифиз | 5 | 5,9 |
эпиметафиз | 4 | 4,7 |
Большой вертел | 1 | 1,2 |
Таранная кость | 5 | 5,9 |
Вертлужная впадина | 4 | 4,7 |
Пяточная кость | 1 | 1,2 |
Диагностика
Клиническая картина у больных с хондробластомой характеризовалась следующими симптомами (табл. 3): боль (у 12 пациентов — ночного характера), припухлость и ограничение движений в смежном суставе (рис. 1), хромота, мышечная гипотрофия, местная гипертермия, укорочение конечности, наличие определяемого пальпаторно опухолевидного образования, усиление подкожного венозного рисунка, реактивный синовит. Болевая сгибательно-разгибательная контрактура отмечалась у 30 пациентов, сгибательная — у 9, разгибательная — у 6.
Табл. 3. Клинические проявления хондробластомы
Клинические симптомы | Количество больных | |
абс. | % | |
Боль | 82 | 96,5 |
Огранические движений в суставе | 62 | 72,9 |
Хромота | 43 | 50,6 |
Мышечная гипотрофия | 53 | 62,4 |
Местная гипертермия | 17 | 20,0 |
Укорочение конечности | 12 | 14,1 |
Наличие пальпируемого опухолевидного образования | 9 | 10,6 |
Усиление сосудистого рисунка | 7 | 8,2 |
Синовит | 7 | 8,2 |
Интенсивность клинических проявлений зависела от давности заболевания и распространенности деструкции эпифиза. Разрушение суставного хряща приводило к резкому ограничению движений в суставе, появлению синовита и гемартроза. Пункция сустава и обнаружение в пунктате крови позволяли говорить о деструкции суставного хряща и прорастании опухоли в полость сустава. Отмечено, что когда опухоль располагалась в пределах кости, преобладал болевой синдром, при выходе ее за пределы кости интенсивность болей снижалась и развивалась контрактура сустава.
Табл. 4. Характерные рентгенологические признаки
Рентгенологические признаки | Количество больных | |
абс. | % | |
«Крапчатость» очага | 44 | 51,8 |
Ободок склероза | 40 | 47,1 |
Периостальные наслоения | 26 | 30,6 |
Экстраоссальный компонент | 8 | 9,4 |
Лучевые методы обследования являются ведущими в диагностике хондробластомы кости. Наши исследования показали, что опухоль чаще всего локализуется в суставных концах длинных костей, разрушая ростковую пластинку. Отсутствие специфической симптоматики и полиморфизм рентгенологических проявлений, связанный с существованием смешанных форм хондробластомы кости, значительно усложняют диагностику этой опухоли.
При «типичной» форме хондробластомы рентгенологическая картина характеризуется наличием эксцентрически расположенного остеолитического очага деструкции диаметром от 1,5 до 5 см, округлой или овальной формы, с четким контуром. От смежных отделов кости очаг отграничен полоской склероза. В половине наблюдений отмечались характерные крапчатые включения. В ряде случаев включения имели вид хлопьев ваты. Эксцентрическое расположение очага деструкции и рост опухоли приводили к истончению и «вздутию» коркового слоя. Разрушение коркового слоя с образованием экстраоссального компонента опухоли выявлено у 8 больных. Нередко определялись частично слившиеся периостальные наслоения, располагавшиеся на некотором удалении от очага, в метадиафизарном отделе (табл. 4, рис. 2).
До настоящего времени крайне актуальной остается проблема ранней диагностики и дифференциальной диагностики хондробластомы кости. С внедрением в клиническую практику современных методов исследования, таких как КТ, МРТ, радионуклидное сканирование, ангиография, стало возможным не только выявление очага деструкции на ранних стадиях развития, но и проведение дифференциальной диагностики с другими опухолями, воспалительными заболеваниями и дистрофическими процессами.
Рис. 1. Больная Г. 15 лет. Хондробластома головки правой плечевой кости. Припухлость в области правого плечевого сустава, ограничение движений в суставе.
Рис. 2. Больной X. 16 лет. Хондробластома проксимального метаэпифиза левой большеберцовой кости. Рентгенограммы в прямой и боковой проекции: разрушение ростковой пластинки; округлый очаг деструкции с крапчатыми включениями известковой плотности; частично слившиеся периостальные наслоения в отдалении от очага.
Рис. 3. Больной Р. 15 лет. Хондробластома проксимального метаэпифиза левой плечевой кости. a — компьютерная томограмма: остеолитический очаг деструкции; б — мультипланарная реконструкция изображения: разрушение ростковой пластинки в наружных отделах.
С помощью КТ хондробластома кости выявлена у 10 наших больных. Послойное сканирование с толщиной среза от 2 до 5 мм позволяло оценить характер структурных изменений на ранних стадиях развития опухоли. Возможности КТ в топической диагностике трудно переоценить: благодаря высокой разрешающей способности метода и мультипланарнои реконструкции можно достоверно определить локализацию и распространенность патологического процесса, что имеет решающее значение при выборе доступа, объема и характера оперативного вмешательства (рис. 3). Проведенные исследования показывают, что в ранней диагностике хондробластомы КТ является методом выбора.
Рис. 4. Компактно расположенные хондробласты различной степени дифференцировки, между которыми видна многоядерная остеокластоподобная клетка (окраска гематоксилином и эозином, ув. 200).
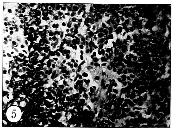
Рис. 5. Обызвествление хондробластомы с формированием характерной «сеточки» (окраска гематоксилином и эозином, ув. 300).
Радионуклидный метод исследования был применен у 6 больных для дифференциальной диагностики и исключения полиоссального поражения скелета. МРТ выполнена у 3 больных с хондробластомой кости. Полученные данные позволяют говорить о перспективности применения этого метода для ранней диагностики синовита, определения распространенности опухолевого процесса, особенно его экстраоссального компонента. Выявление псевдокапсулы и гетерогенного гиперинтенсивного сигнала на Т2 ВИ свидетельствует о доброкачественной хрящевой опухоли. Показания к инвазивному методу исследования — ангиографии — в детском возрасте ограничены. Ангиографическое исследование, проведенное у 7 наших больных, позволило исключить озлокачествление процесса.
Во всех случаях диагноз верифицирован при морфологическом исследовании. Макроскопически ткань была серовато-желтого цвета, пропитана кровью, мягкой консистенции, с плотными крошащимися вкраплениями. Гистологически хондробластома характеризуется пролиферацией плотно расположенных хондробластов различной степени зрелости (рис. 4). Хондробласты круглой или овальной формы, с крупными ядрами, в которых ядрышки обычно не выявляются. В некоторых опухолевых клетках определяется 2-3 ядра, однако митозы немногочисленны, атипичные митозы не обнаруживаются. Поля незрелых хондробластов чередуются с участками более зрелых клеток, обычно лежащих в хондроидном матриксе. Кроме хондробластов, обнаруживаются небольшого размера многоядерные остеокластоподобные клетки — одиночные или их группы, иногда они располагаются вокруг участков микрокровоизлияний, некроза или обызвествления. Менее зрелые хондробласты по своей структуре имеют значительное сходство со стромальными клетками гигантоклеточной опухоли, а наличие в подобных участках хондробластомы многочисленных остеокластоподобных клеток может быть ошибочно расценено как гигантоклеточная опухоль [1]. Определяются соединительнотканные прослойки, делящие ткань опухоли на дольки. Характерным и важным диагностическим признаком хондробластомы является обызвествление ткани опухоли. При этом нежное сеточкоподобное отложение солей кальция происходит между незрелыми хондробластами и вокруг них (рис. 5), тогда как массивное обызвествление наблюдается в более зрелом матриксе гиалинового хряща, который подвергается дистрофическим изменениям и некрозу. В некоторых хондробластомах определяются выраженные миксоидные изменения, а также поля фибробластоподобных клеток. Иногда встречаются разной величины полости, заполненные элементами крови, — проявление вторичной аневризмальной кисты кости. Хондробластома с кистами, содержащими серозную жидкость, расценивается как кистозная форма хондробластомы.
Дифференциальная диагностика хондробластомы проводилась с туберкулезом, неспецифическими воспалительными заболеваниями, первичными доброкачественными и злокачественными опухолями, дистрофическими кистами эпифизов на почве асептического некроза.
При туберкулезном остите заболевание, как правило, начинается остро, с повышения температуры, что не характерно для хондробластомы. Вовлечение в патологический процесс близлежащего сустава при туберкулезном остите развивается в более поздние сроки. В рентгеновском отображении очаг характеризуется малыми размерами, отсутствием четких контуров, может состоять из нескольких фокусов, известковые вкрапления имеют более грубый вид, отсутствуют периостальные наслоения, «вздутие» кости. Большое значение в установлении диагноза приобретают данные лабораторных исследований и специфических реакций.
При неспецифическом воспалительном процессе клиническая картина сходна с картиной хондробластомы: болевой синдром, реактивный синовит, развитие контрактуры. В отличие от неспецифического воспаления, при хондробластоме не повышается температура тела, отсутствуют изменения в анализе крови. В рентгеновском отображении хондробластома не имеет узурации и секвестров.
Хондрома клинически протекает безболезненно, отсутствует реакция сустава. Часто возникают патологические переломы, что не характерно для хондробластомы. При эпифизарном расположении остеоид-остеомы гнездо опухоли отличается небольшими размерами, выражена периостальная реакция, что редко наблюдается при хондробластоме.
Трудности дифференциальной диагностики хондробластомы с первично-злокачественными опухолями обусловлены сходством их клинической картины. Рентгеносемиотика этих опухолей различна. При хондробластоме очаг четко отграничен, характерно крапчатое обызвествление, свежие периостальные наслоения, как правило, отсутствуют. Имеются частично слившиеся периостальные наслоения в отдалении от очага деструкции.
Наибольшее сходство хондробластомы с дистрофическими кистами эпифизов костей отмечалось в начальной стадии развития опухоли, когда размеры очага были невелики, а его структурные изменения стерты. Ошибка диагностики в данной ситуации чревата назначением неэффективного, а порой и вредного лечения, усугубляющего тяжесть состояния пациента. Мы использовали метод прямого контрастирования патологического очага под контроле КТ (рис. 6). При равномерном заполнении очага можно говорить о кистовидном поражении эпифиза кости.
Лечение
Единственным оправданным методом лечения хондробластомы кости является хирургический. Основным требованием к выполнению того или иного оперативного вмешательства мы считали наряду с радикальным удалением опухоли сохранение по возможности функции пораженной конечности. В общей сложности 85 больным было произведено 93 хирургических вмешательства.
При поражении эпифиза длинной кости без разрушения суставного хряща выполняли околосуставную резекцию с удалением опухолевых масс (61 операция). Во всех случаях, независимо от локализации опухоли в эпифизе, сохраняли конгруэнтность сустава, доступ к опухоли осуществляли через неизмененные костные структуры. Этим исключалось нарушение васкуляризации эпифиза, а следовательно, развитие его асептического некроза. Дефект кости замещали кортикальными замороженными аллотрансплантатами (42 операции) или поверхностно-деминерализованными аллотрансплантатами (13 операций) (см. рис. 6). У 6 больных была выполнена пластика дефекта аутотрансплантатом из крыла подвздошной кости.
Рис. 6. Больная М. 11 лет. Хондробластома проксимального эпифиза левой бедренной кости. а — рентгенограмма, б — компьютерная томограмма до операции: дифференциальная диагностика с дистрофическими кистами головки бедра. Остеолитическая деструкция проксимального эпифиза левой бедренной кости, отграниченная зоной склероза. Произведена прицельная биопсия под контролем КТ с контрастированием. Контрастное вещество распространилось вокруг очага, что свидетельствует о наличии в нем ткани; в — компьютерная томограмма после операции (субхондральная околосуставная резекция головки бедра, пластика дефекта перфорированными поверхностно-деминерализованными аллотрансплантатами).
При разрушении суставного хряща и выходе опухолевых масс в полость сустава объем операции значительно увеличивался. В таких случаях доступ к опухоли осуществляли путем резекции пораженного суставного хряща эпифиза, что при локализации очага в головке бедра требовало ее вывихивания. После выполнения внутрисуставной краевой резекции (20 операций) дефект кости замещали кортикальными аллотрансплантатами, а дефект суставного хряща — фигурными губчатыми аллотрансплантатами с хрящевым покрытием (рис. 7).
Рис. 7. Больная Т. 11 лет. Хондробластома дистального метаэпифиза левой бедренной кости. a — рентгенограммы до операции; б — после операции (внутрисуставная краевая резекция дистального метаэпифиза бедра, замещение дефекта кортикальными аллотрансплантатами в сочетании с губчатыми аллотрансплантатами, покрытыми хрящом).
На протяжении последних 15 лет у всех пациентов, которым проводятся сохранные операции, в обязательном порядке выполняется электрокоагуляция полости кости перед ее заполнением пластическим материалом.
У 4 больных с полным разрушением эпифиза и распространением опухоли на значительную часть метафиза была произведена резекция суставного конца кости с замещением дефекта аутотрансплантатом из малоберцовой кости (у 2) и созданием первичного артродеза с последующим удлинением сегмента (у 2).
Результаты и обсуждение
Исходы лечения оценивались с онкологических и ортопедических позиций. Рецидив опухоли наблюдался у 7 (8,2%) больных в сроки от 1 мес до 1,5 лет. Этим пациентам произведены повторные, более радикальные операции, но с сохранением функции сустава. В тех случаях, когда применялась электрокоагуляция, рецидивов не отмечалось. У всех пациентов после околосуставной резекции эпифиза удалось восстановить движения в суставе и функцию конечности. При внутрисуставных краевых резекциях функциональный исход был значительно хуже. У 20 больных в связи с развитием артроза движения в суставе были ограничены, однако они могли самостоятельно передвигаться без дополнительных средств опоры. В 4 случаях при поражении головки бедренной кости наступил фиброзный анкилоз в тазобедренном суставе с порочной установкой конечности.
Рис. 8. Больной Т. 9 лет. Хондробластома дистального метаэпифиза левой бедренной кости. a — рентгенограммы до операции; б — непосредственно после операции (околосуставная резекция дистального метаэпифиза левой бедренной кости, пластика дефекта кортикальными аллотрансплантатами); в — рентгенограммы через 4 года после операции: рецидива нет, груботрабекулярная перестройка кости в зоне операции, закрытие зоны роста по внутренней поверхности, варусная деформация конечности на уровне левого коленного сустава.
У 8 пациентов вследствие разрушения части зоны роста опухолью и самим хирургическим вмешательством с возрастом развились укорочение и деформация конечностей (рис. 8), которые были устранены дополнительным хирургическим пособием.
Выводы
- Хондробластома — относительно редкая (встречающаяся преимущественно в подростковом возрасте) опухоль, поражающая эпифизы костей и распространяющаяся на зону роста и эпифизарный хрящ сустава, — характеризуется довольно агрессивным остеолитическим течением процесса с вероятностью рецидивирования после оперативного вмешательства.
- Диагностика хондробластомы кости на ранней стадии развития представляет значительные трудности, связанные с полиморфизмом ее клинико рентгенологических проявлений и существованием смешанных форм. Диагностическим методом выбора является компьютерная томография, позволяющая обнаружить деструктивный очаг на ранней стадии развития, уточнить его семиотику и топическое расположение, что дает возможность поставить правильный диагноз, оптимизировать объем и характер оперативного вмешательства. Хирургический метод является основным в лечении хондробластомы кости. При поражении ограниченной части эпифиза возможно выполнение радикальной операции с сохранением движений в пораженном суставе. При разрушении суставного хряща и зоны роста функциональный результат лечения значительно хуже, возможно развитие вторичных деформаций и укорочений конечности, требующих дополнительной ортопедической коррекции. Электрокоагуляция полости кости, образовавшейся после удаления патологического очага, — обязательный элемент хирургического вмешательства при хондробластоме.
About the authors
A. I. Snetkov
Central Institute of Traumatology and Orthopedics. N.N. Priorova
Author for correspondence.
Email: info@eco-vector.com
Russian Federation, Moscow
A. K. Morozov
Central Institute of Traumatology and Orthopedics. N.N. Priorova
Email: info@eco-vector.com
Russian Federation, Moscow
G. N. Verchenko
Central Institute of Traumatology and Orthopedics. N.N. Priorova
Email: info@eco-vector.com
Russian Federation, Moscow
A. R. Frantov
Central Institute of Traumatology and Orthopedics. N.N. Priorova
Email: info@eco-vector.com
Russian Federation, Moscow
A. A. Belyaeva
Central Institute of Traumatology and Orthopedics. N.N. Priorova
Email: info@eco-vector.com
Russian Federation, Moscow
R. N. Pavlov
Central Institute of Traumatology and Orthopedics. N.N. Priorova
Email: info@eco-vector.com
Russian Federation, Moscow
V. L. Kotov
Central Institute of Traumatology and Orthopedics. N.N. Priorova
Email: info@eco-vector.com
Russian Federation, Moscow
S. Yu. Batrakov
Central Institute of Traumatology and Orthopedics. N.N. Priorova
Email: info@eco-vector.com
Russian Federation, Moscow
References
Supplementary files










