Treatment of fractures of the tibial plateau by transosseous osteosynthesis according to Ilizarov
- Authors: Putyatin S.M.1,2, Shestakov D.Y.1,2, Golubev V.G.1,2, Korolev A.V.1,2
-
Affiliations:
- Russian Medical Academy of Postgraduate Education
- City Clinical Hospital No. 15 named after V.I. O.M. Filatova
- Issue: Vol 9, No 4 (2002)
- Pages: 17-23
- Section: Articles
- Submitted: 01.02.2022
- Accepted: 01.02.2022
- Published: 02.02.2022
- URL: https://journals.eco-vector.com/0869-8678/article/view/99981
- DOI: https://doi.org/10.17816/vto99981
- ID: 99981
Cite item
Full Text
Abstract
Between 1994 and 2001 eighty eight patients with intraarticular tibial plateau fractures were treated at the Traumatology clinic of the Russian Mewdical Academy of Postgraduation Education on the base of Municipal Clinical Hospital # 15. All patients were operated on by Ilizarov’s transosseous osteosynthesis. Differentiated approach to the definition of the reposition type for the osteo-cartilagenous fragments and to the choice of the external fixation device assembly depending on fracture type, fragment displacement pattern, bone tissue state was realized. To fix a fracture the external fixation device with arch supports was assembled. In 9 patients knee arthroscopy was performed during operation to minimize the traumatization. To reduce the load on injured tibial plateau postoperatively 8 patients used brace-device worked out in the Clinic. Those schemes of treatment allowed to accelerate the patients’ rehabilitation and improve the outcomes. There were 87.5% excellent and good results, 9.1% satisfactory and 3.4% unsatisfactory ones.
Full Text
Лечение внутрисуставных переломов проксимального конца большеберцовой кости было и остается трудной задачей. Это подтверждается большой частотой неудовлетворительных исходов лечения, связанных с формированием контрактур, неправильным сращением отломков, развитием
деформирующего артроза, нестабильности коленного сустава, которые имеют место в 5,8-28% случаев [1, 5, 6] и определяют высокую частоту выхода пациентов на инвалидность [2, 7].
Сложность лечения внутрисуставных переломов плато большеберцовой кости обусловлена трудностью удержания небольших по размеру отломков в репонированном положении, выраженной реакцией суставных элементов на механическое раздражение и металлоконструкцию, а также необходимостью сочетать раннее восстановление утраченной функции коленного сустава с длительной фиксацией. Существующие многочисленные методики как консервативного, так и оперативного лечения весьма разнообразны, но в большинстве своем не позволяют выполнить все требования, предъявляемые к лечению внутрисуставных переломов.
Мы в своей практике широко использовали методики остеосинтеза с применением аппаратов внешней фиксации. По мнению Г.А. Илизарова [3, 4], предпочтение следует отдавать таким аппаратам, конструкция которых позволяет:
- приложить усилия к отломкам в любом необходимом направлении с целью точной закрытой репозиции;
- обеспечить прочную фиксацию с сохранением как свободы движений в суставах, так и функции конечности в целом, что создает необходимые условия для совмещения функционального восстановления и сращения переломов;
- индивидуализировать лечение больного в зависимости от локализации, характера излома и тяжести повреждений мягких тканей;
- аппарат должен состоять из минимального, универсального набора деталей.
Оценив особенности имеющихся в настоящее время аппаратов внешней фиксации с учетом перечисленных выше критериев, а также особенностей лечения внутрисуставных переломов проксимального конца большеберцовой кости, мы остановили свой выбор именно на аппарате Илизарова как наиболее приемлемом, доступном и универсальном. Наше исследование было направлено на определение возможностей применения чрескостного остеосинтеза при всем многообразии переломов плато большеберцовой кости. Разрабатывались наиболее рациональные компоновки аппарата Илизарова, обеспечивающие достаточный уровень качества жизни пациента на весь срок фиксации, а также различные варианты репозиции отломков, так как при компрессионно-оскольчатых и особенно несвежих переломах ограничиться закрытой репозицией не представлялось возможным.
МАТЕРИАЛ И МЕТОДЫ
За период с 1994 по 2001 г. в клинике травматологии ГКБ № 15 метод чрескостного остеосинтеза применен при лечении 88 пациентов с внутрисуставными переломами плато большеберцовой кости. Возраст больных колебался от 21 до 81 года, составляя в среднем 48,8 года (табл. 1). Наиболее часто переломы встречались у лиц трудоспособного возраста — от 31 до 60 лет (61 человек — 69,3%), с максимальной частотой в возрастной группе 4150 лет (24 человека — 27,3%). Число мужчин и женщин было примерно одинаковым — соответственно 43 (48,9%) и 45 (51,1%). Среди больных пожилого и старческого возраста преобладали женщины, что связано с более низкой плотностью костной ткани у лиц женского пола. Травма у больных этой группы зачастую возникала в результате отведения голени кнаружи в момент падения, что приводило к компрессионному или компрессионно-оскольчатому перелому плато большеберцовой кости.
В своей работе мы пользуемся универсальной классификацией переломов АО. Из табл. 1 видно, что чаще всего встречались переломы наружного мыщелка большеберцовой кости типа ВЗ (раскалывание с вдавливанием) — 40 пациентов (45,5 %).
Табл. 1. Распределение больных по возрасту и типу переломов
Возраст больных, годы | Тип перелома | Всего больных | |||||
В1 | В2 | вз | С1 | С2 | сз | ||
21-30 | 2 | 2 | 2 | 1 | 1 | 0 | 8 |
31-40 | 3 | 2 | 8 | 2 | 2 | 0 | 17 |
41-50 | 4 | 2 | 9 | 1 | 4 | 4 | 24 |
51-60 | 3 | 3 | 10 | 0 | 3 | 1 | 20 |
61-70 | 0 | 3 | 7 | 0 | 0 | 4 | 14 |
>70 | 0 | 0 | 4 | 0 | 0 | 1 | 5 |
итого | 12 | 12 | 40 | 4 | 10 | 10 | 88 |
Диагностическое обследование включало стандартную рентгенографию в прямой и боковой проекциях. Для уточнения характера смещения, определения локализации отломков, степени и направления компрессии суставной поверхности производили рентгенографию в косых — 3/4 проекциях, а также рентгеновскую томографию. В неясных случаях и с целью выявления сопутствующей травматической патологии внутрисуставных элементов выполняли компьютерную и магнитно-ре
зонансную томографию. Эти методы предоперационного обследования, примененные у 8 больных с переломами типа ВЗ, В1, позволили уточнить характер разрушения наружной части плато большеберцовой кости. К сожалению, возможность широкого использования МРТ и КТ ограничена высокой стоимостью исследования.
Методики лечения
В зависимости от типа перелома применялись различные виды репозиции и разные компоновки аппарата Илизарова (рис. 1).
При переломах плато большеберцовой кости типа В1 («чистое» раскалывание одного мыщелка) аппарат Илизарова компоновали из одной дуговой опоры. Через мыщелки и верхнюю треть большеберцовой кости проводили 3~4 спицы, в том числе 2 с упорными площадками. Спицы проводили на двух уровнях, но фиксировали в одной дуге, расположенной под углом 30° к фронтальной плоскости. Репозицию осуществляли закрыто — путем ручного устранения смещения отломков по ширине и фиксации встречными спицами с упорными площадками. В результате одновременного натяжения спиц создавалась встречно-боковая компрессия отломков в плоскости излома (рис. 2). Опыт применения этой методики показал возможность использования для обезболивания местной анестезии. Подобные вмешательства мы производили зачастую в ургентном порядке, при поступлении пациента в клинику.
При компрессионных и компрессионно-оскольчатых переломах одного из мыщелков большеберцовой кости (В2, ВЗ), а также переломах обоих мыщелков (С2, СЗ) использовали «полуоткрытую», открытую или артроскопически контролируемую репозицию (табл. 2).
«Полуоткрытая» репозиция (рис. 3) применялась при свежих переломах типа Bl, В2, ВЗ, С1, С2 и заключалась в использовании инструмента (шила, узкого долота, импактора), который вводился через небольшой (0,5-1,5 см) разрез в подмыщелковой области в пространство между отломками кортикального слоя большеберцовой кости. После этого осуществлялась элевация компримированного фрагмента суставной поверхности и фиксация отломков встречными спицами с упорными площадками. Выполнение репозиции значительно облегчалось при применении электронно-оптического преобразователя. Смещение отломков по ширине устранялось одновременным натяжением упорных спиц в аппарате.
Рис. 1. Виды компоновок аппарата Илизарова из дуговых опор.
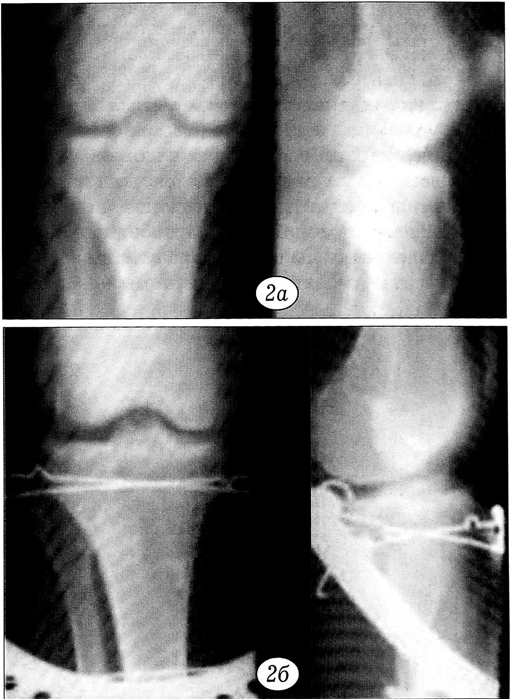
Рис. 2. Рентгенограммы больного 54 лет с переломом наружного мыщелка большеберцовой кости типа В1. a — до операции; б — после закрытой репозиции и фиксации в аппарате из одной дуговой опоры.
Табл. 2. Распределение больных по типу переломов и виду репозиции отломков
Вид репозиции |
Типы переломов мыщелков большеберцовой кости | Всего больных | |||||
В1 | В2 | ВЗ | С1 | С2 | сз | ||
Закрытая | 10 | 1 | 1 | 3 | 4 | 1 | 20 |
«Полуоткрытая» | 1 | 2 | 8 | 1 | 0 | 1 | 13 |
Открытая | 0 | 8 | 25 | 0 | 6 | 8 | 47 |
Артроскопическая + закрытая | 1 | 0 | 0 | 0 | 0 | 0 | 1 |
+«полуоткрытая» | 0 | 0 | 3 | 0 | 0 | 0 | 3 |
+ открытая | 0 | 1 | 3 | 0 | 0 | 0 | 4 |
Итого | 12 | 12 | 40 | 4 | 10 | 10 | 88 |
Рис. 3. Этапы «полуоткрытой» репозиции при переломе наружного мыщелка большеберцовой кости типа ВЗ.a — введение в зону компрессии через разрез в подмыщелковой области репонирующего инструмента; б — устранение смещения по высоте центральной части наружного мыщелка; в — проведение через отломки встречных спиц с упорными площадками; г — устранение путем натяжения спиц смещения отломков по ширине, создание встречно-боковой компрессии.
При полных и неполных оскольчатых внутрисуставных переломах мыщелков с большой степенью компрессии и смещения (В2, ВЗ, СЗ), а также при неудаче «полуоткрытой» репозиции переломов В2, С2 применялась открытая репозиция или «щадящая» артротомия. Под жгутом по наружной поверхности коленного сустава делали дугообразный или Z-образный разрез длиной 8-10 см. Сустав вскрывали под мениском, который отводили вверх с помощью держалки. После этого хорошо выявлялся характер смещения отломков, становился возможным визуальный контроль репозиции. При плохом качестве кости производили пластику дефекта губчатой кости свободным аутотрансплантатом из мыщелка бедра или гребня подвздошной кости. В последнее время мы предпочитаем брать аутотрансплантат из мыщелка бедренной кости со стороны повреждения, так как при этом не требуется дополнительного разреза, а лишь незначительно увеличивается основной. Объем забираемой губчатой кости является достаточным для восполнения дефекта компримированного мыщелка большеберцовой кости. Осложнений, связанных с применением данной методики, мы не наблюдали. После устранения смещения отломков и восстановления конгруэнтности суставной поверхности через плоскость излома, большей частью чрескожно, проводили 2—3 спицы с упорными площадками и 1~2 гладкие спицы, в средней трети большеберцовой кости проводили 2 гладкие спицы. Проведение спиц в верхней трети голени приближенно к фронтальной плоскости позволяло использовать дуги без снижения стабильности. Монтировали аппарат Илизарова из двух опор (рис. 4). После рентгенологического контроля репозиции рану ушивали. Со 2-3-го дня пациентов активизировали, начинали разработку движений в коленном суставе, назначали упражнения на укрепление четырехглавой мышцы бедра. Дозированную нагрузку на оперированную конечность разрешали со 2-3-й недели после операции. Средний срок фиксации в аппарате составлял 6-10 нед (рис. 5).
Рис. 4. Аппарат Илизарова из двух дуговых опор.
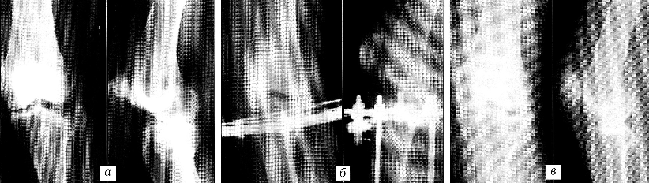
Рис. 5. Рентгенограммы больной 57 лет с переломом наружного мыщелка большеберцовой кости типа ВЗ.a — до операции; б — после открытой репозиции и фиксации в аппарате из двух дуговых опор; в — через 3 года после операции.
При сочетании внутрисуставного перелома мыщелков большеберцовой кости с повреждением связочного аппарата коленного сустава, при плохом качестве костной ткани или значительном разрушении суставной поверхности при переломах типа ВЗ, СЗ с целью облегчения репозиции отломков и разгрузки сустава мы фиксировали коленный сустав, накладывая третью опору на смежный сегмент (рис. 6). На уровне суставной щели во время операции или в раннем послеоперационном периоде (2-7-е сутки) устанавливали «плавающие» шарниры. Данная методика позволяет предотвратить вторичное смещение отломков мыщелка большеберцовой кости при сохранении возможности ранних движений в коленном суставе, обеспечить условия для полноценного сращения поврежденных коллатеральных связок. Однако прошивание спицами мягких тканей двух сегментов, жесткость фиксации и разгрузка сустава в аппарате приводили к нарушению биомеханики коленного сустава, внесению дисбаланса в стабилизирующую функцию сухожильно-мышечного аппарата, а также рентгенологически заметному прогрессированию остеопороза. Кроме того, отмечена высокая частота воспаления мягких тканей вокруг спиц, проведенных в нижней трети бедра, особенно после начала разработки движений.
В связи с этим нами разработан и применен способ лечения переломов мыщелков бедренной и большеберцовой костей с использованием «брейсаппарата». Отправной точкой при разработке данного метода послужил способ разгрузки коленного сустава, применяемый при гонартрозах с импрессией внутренней части плато большеберцовой кости и варусной деформацией коленного сустава [11]. Проблема разгрузки поврежденной части суставной поверхности чрезвычайно актуальна при рассматриваемых переломах.
Разработанный нами способ основан на фиксации отломков большеберцовой кости в аппарате Илизарова, установленном на верхней—средней третях голени. С целью разгрузки поврежденной части суставной поверхности большеберцовой кости на нижнюю—среднюю трети бедра накладывается бандаж из эластичного материала, состоящий, как правило, из пластмассовой гильзы и подлежащей тканевой манжеты (рис. 7). Бедренный компонент «брейс-аппарата» изготавливался нами из брейсов коленного сустава фирм «Огонек-Трикор», «Bledsou». Гильза бандажа соединяется с аппаратом внешней фиксации шарниром на уровне щели коленного сустава со стороны повреждения. Установка шарнира в варусном (при расположении его с наружной стороны сустава) или вальгусном (с внутренней стороны сустава) положении позволяет дозированно разгружать поврежденную часть суставной поверхности большеберцовой кости (рис. 8). Устройство шарниров дает возможность при необходимости ограничить амплитуду разрабатываемых движений. Подобный способ фиксации позволяет сочетать функционирование коленного сустава, разгрузку поврежденного мыщелка с ранней осевой нагрузкой поврежденной конечности, достигающей 50% веса тела через 2 нед после операции и 100% — через 4 нед. Однако следует отметить, что после демонтажа аппарата мы вновь ограничивали нагрузку на оперированную ногу и затем постепенно увеличивали ее до полной в течение 3-4 нед .
Рис. 6. Аппарат Илизарова из трех дуговых опор.
Рис. 7. «Брейс-аппарат».
Рис. 8. Рентгенограммы больного 56 лет с переломом наружного мыщелка большеберцовой кости типа ВЗ. a — до операции; б — после открытой репозиции и фиксации в «брейс-аппарате» с разгрузкой наружной части плато большеберцовой кости.
Данная методика успешно применена у 10 пациентов с переломом наружного мыщелка большеберцовой кости типа ВЗ и у 1 больного с переломом внутреннего мыщелка типа В2. У одного пациента перелом сочетался с отрывом передней крестообразной связки от места прикрепления к большеберцовой кости.
Последнее время мы применяем оперативную методику, сочетающую в себе артроскопию коленного сустава и чрескостный остеосинтез по Илизарову. Оперировано 9 пациентов с переломами наружного мыщелка большеберцовой кости типа ВЗ и В2 в возрасте от 29 до 57 лет. Хирургическое вмешательство выполняли на 7-15-й день после травмы. Операцию всегда начинали с артроскопии коленного сустава, при этом выявляли характер перелома, степень компрессии и разрушения суставной поверхности, оценивали состояние внутрисуставных структур. В подмыщелковой области делали разрез в 2-3 см и последовательно проводили к зоне компрессии направляющую спицу и канюлированный импактор. Устраняли смещение отломков по высоте. Через плоскость перелома проводили встречные спицы с упорными площадками и путем их одновременного натяжения в одной дуге устраняли смещение отломков по ширине. «Полуоткрытую» репозицию под артроскопическим контролем удалось выполнить у 5 больных с переломами ВЗ. В остальных случаях из-за позднего выполнения операции (более 10-12 дней с момента травмы) мы были вынуждены прибегнуть к артротомии и открытой репозиции. При этом использование артроскопии позволяло уменьшить операционный доступ, улучшить визуальный контроль за коррекцией смещения отломков, что свидетельствует о целесообразности применения данного метода при любых видах репозиции.
РЕЗУЛЬТАТЫ И ОБСУЖДЕНИЕ
Отдаленные результаты лечения изучены в сроки от 6 мес до 5 лет. Оценку исходов лечения проводили по модифицированной схеме Р. Rausmussen [10], использованной и рекомендованной к применению в клинике рядом отечественных и зарубежных исследователей [8, 9]. Учитывались уровень боли, способность ходить, стабильность сустава, объем движений, рентгенологические признаки гонартроза. Каждый из параметров оценивался по 6-балльной системе, результат лечения оценивался по сумме баллов. Отличные и хорошие результаты отмечены у 77 (87,5%) больных, удовлетворительные — у 8 (9,09%), неудовлетворительные — у 3 (3,41%) пациенток с переломами наружного мыщелка большеберцовой кости типа ВЗ. Плохие исходы лечения были обусловлены недостаточной репозицией, преждевременным снятием аппарата из-за нагноения мягких тканей вокруг спиц, а также неадекватно ранней нагрузкой при плохом качестве костной ткани, что привело к вторичной импрессии суставной поверхности. Во всех случаях сочетанного применения чрескостного остеосинтеза и артроскопии коленного сустава, а также при использовании «брейс-аппарата» получен хороший результат.
Преимуществом остеосинтеза аппаратами внешней фиксации является меньшая по сравнению с накостным остеосинтезом степень повреждения кости и окружающих мягких тканей. Кроме того, исключается необходимость повторной операции для удаления металлоконструкции. Компоновка аппарата из одной или двух дуг имеет малые массу и габариты, обеспечивает достаточную стабильность, а расположение дуг во фронтальной плоскости не ограничивает физиологическую амплитуду движений в суставе, что нередко позволяет достичь полного объема движений в нем до снятия аппарата. Подобная компоновка аппарата не создает неудобств для пациента в постели.
Использование «брейс-аппарата» позволяет сочетать разгрузку поврежденной части плато большеберцовой кости с ранней осевой нагрузкой конечности, предотвращая риск вторичного смещения отломков.
Применение артроскопии коленного сустава обеспечивает получение достоверной информации о характере перелома, состоянии внутрисуставных структур, дает возможность визуально оценить качество производимой репозиции отломков, не прибегая к артротомии. Оперативное вмешательство с использованием артроскопии должно быть максимально приближено к моменту травмы (до 10 сут), так как в более поздние сроки выполнение репозиции малотравматичными способами практически невозможно.
About the authors
S. M. Putyatin
Russian Medical Academy of Postgraduate Education; City Clinical Hospital No. 15 named after V.I. O.M. Filatova
Author for correspondence.
Email: info@eco-vector.com
Russian Federation, Moscow
D. Yu. Shestakov
Russian Medical Academy of Postgraduate Education; City Clinical Hospital No. 15 named after V.I. O.M. Filatova
Email: info@eco-vector.com
Russian Federation, Moscow
V. G. Golubev
Russian Medical Academy of Postgraduate Education; City Clinical Hospital No. 15 named after V.I. O.M. Filatova
Email: info@eco-vector.com
Russian Federation, Moscow
A. V. Korolev
Russian Medical Academy of Postgraduate Education; City Clinical Hospital No. 15 named after V.I. O.M. Filatova
Email: info@eco-vector.com
Russian Federation, Moscow
References
Supplementary files










