Патогистологические особенности очагов травматического остеомиелита и некоторые клинико-морфологические параллели
- Авторы: Григоровский В.В.1
-
Учреждения:
- Институт травматологии и ортопедии АМН Украины
- Выпуск: Том 9, № 4 (2002)
- Страницы: 39-44
- Раздел: Статьи
- Статья получена: 01.02.2022
- Статья одобрена: 01.02.2022
- Статья опубликована: 02.02.2022
- URL: https://journals.eco-vector.com/0869-8678/article/view/99986
- DOI: https://doi.org/10.17816/vto99986
- ID: 99986
Цитировать
Полный текст
Аннотация
На экспериментальном и биопсийном клиническом материале проведено гистологическое исследование строения очагов травматического остеомиелита в острой и хронической стадиях, видов поражения костной ткани, статистически определены различия частот встречаемости воспалительных изменений разных видов в группах больных. В хронической стадии очаг остеомиелита состоит из находящихся в центре некроза и экссудата, внутренней, фиброзной и костной оболочек капсулы. Поражения костной ткани при остеомиелите неоднородны и обусловлены не только воспалительным, но и ишемическим воздействием. В пораженной кости следует различать остеонекрозы, нагноившиеся остеонекрозы, полные и неполные секвестры. Частоты различных видов воспаления во внутренней оболочке капсулы очага достоверно различаются в зависимости от давности процесса и от применявшегося метода фиксации отломков: в сроки до 1 года после травмы, а также при металлоостеосинтезе чаще встречается воспаление высокой активности.
Ключевые слова
Полный текст
Травматический остеомиелит (TO) — тяжелое, часто хроническое инфекционное заболевание костей и мягких тканей, развивающееся вследствие острой, в том числе операционной травмы. Современные авторы трактуют остеомиелит как «инфекционное воспаление костного мозга и костной ткани» [15], а также как «инфекцию кости и/или костного мозга с определенными клиническими, гистологическими, бактериологическими и/или рентгенологическими изменениями» [21]. Патоморфологическую основу ТО составляет сложный комплекс травматически-ишемических, инфекционно-воспалительных и репаративных изменений в кости и пароссальных мягких тканях, определяемых особенностями травмы, свойствами возбудителей инфекционного процесса, характером воспалительных изменений в кости и мягких тканях, состоянием консолидации кости [7, 11, 16-19].
Целью настоящей работы было на основании морфологического исследования тканей пораженных костей человека и экспериментальных животных и статистических сравнений групп, выделенных с учетом морфологических, клинических и бактериологических данных, выявить закономерности, характерные для структуры остеомиелитических очагов, и некоторые групповые различия, важные для диагностики и лечения ТО.
МАТЕРИАЛ И МЕТОДЫ
Экспериментальная часть исследования выполнена на 49 крысах, у которых моделировали ТО путем открытой остеотомии в средней трети большеберцовой кости с ограниченной отслойкой надкостницы на концах отломков (в асептических условиях) и последующего инфицирования места травмы патогенным золотистым стафилококком (106 микробных тел); сроки наблюдения — от 3 ч до 60 сут (на каждый срок по 5~6 животных) [2, 5]. Клинико-морфологическая часть включала исследование материала 262 биопсий из очагов ТО в разных костях от 233 больных (см. таблицу), которым в клинике костно-гнойной хирургии производилась фистулосеквестрнекрэктомия.
Распределение биопсийных материалов от больных травматическим остеомиелитом
Основные клинические параметры группировки материала | Число исследований биопсийного материала из очагов поражения* | ||||||
бедренные кости | большеберцовые кости | малоберцовые кости | плечевые кости | кости предплечья | другие кости | всего в подгруппах | |
Патогенетический вариант травматического остеомиелита ТО после открытых переломов | 22 | 53 | - | 1 | 2 | 5 | 83 |
— с металлоостеосинтезом и другими видами внутриочаговой фиксации отломков | 9 | 14 | - | 1 | — | — | 24 |
— с внеочаговой фиксацией отломков | 2 | 27 | - | - | - | 1 | 30 |
Огнестрельный ТО | 4 | 5 | 2 | 3 | 1 | — | 15 |
Послеоперационный ТО (после операций по поводу закрытых переломов или ортопедических заболеваний) | 30 | 19 | — | 4 | — | 7 | 60 |
— с металлоостеосинтезом и другими видами внутриочаговой фиксации отломков и/или имплантациями | 15 | 13 | — | 2 | — | 7 | 37 |
— с внеочаговой фиксацией отломков | 1 | 1 | — | — | — | — | 2 |
Давность травмы Менее 1 мес | — | 4 | — | — | — | — | 4 |
От 1 до 3 мес | 3 | 9 | — | 1 | — | — | 13 |
От 3 до 6 мес | 4 | 15 | — | — | — | 5 | 24 |
От 6 до 12 мес | 10 | 17 | — | — | — | 6 | 33 |
От 1 года до 3 лет | 8 | 16 | — | 1 | — | 1 | 26 |
3 года и более | 10 | 10 | 2 | 2 | — | — | 24 |
Всего по отдельным локализациям | 92 | 132 | 2 | 11 | 7 | 18 | 262 |
*В таблицу включены только случаи с точно установленными клиническими параметрами у отдельных больных.
При исследовании экспериментального материала гистологической обработке подвергали целые голени крыс, т.е. изготавливали гистотопографические препараты. При обработке клинического биопсийного материала в зависимости от размеров биоптата вырезали от 2 до 16 фрагментов по схеме, максимально сохраняя топографические соотношения. По результатам гистологического исследования производили оценку вида преобладающего воспаления во внутренней оболочке капсулы при наличии очага деструкции либо в фиброзном поле, замещающем структуры кости и содержащем воспалительные инфильтраты. При изучении клинических материалов учитывали ряд факторов, служивших основанием для выделения групп сравнения больных (см. подраздел «Различия частот воспалительных изменений...»). Различия частот встречаемости в тканях очага морфологических изменений разных градаций в группах сравнения определяли, используя метод %2 для таблиц с различным числом полей.
РЕЗУЛЬТАТЫ И ОБСУЖДЕНИЕ
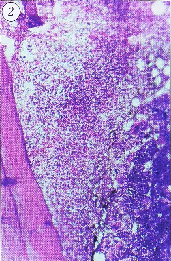
Строение очагов остеомиелита в острой и хронической стадии. В острой стадии ТО после остеотомии с инфицированием у крыс поражение не носит характера четко очерченного очага, так как еще не завершено формирование капсулы. В центре располагается обширная зона некроза костного мозга, по краю которой наблюдается картина серозно-гнойного воспаления (рис. 1, 2), а к 7-м суткам краевые отделы некротизированного участка костного мозга находятся в состоянии гнойного расплавления. Через 2-3 сут после начала острого инфекционного воспаления, кроме альтеративно-экссудативных и деструктивных изменений, в реактивной зоне начинается пролиферация незрелых клеток: фибробластов, остеобластов, эндотелиоцитов, миобластов (в пароссальных мягких тканях) и др. Ширина этой зоны в сроки 3—7 сут увеличивается. Через неделю после травмы идет активный рост грануляционной ткани, которая может длительно сохраняться в очаге в виде внутренней оболочки капсулы остеомиелитического очага, в то время как внешние отделы грануляционной ткани, созревая, образуют фиброзную оболочку.
Характеристика и оценка процессов, протекающих в отломках при ТО, затрудняется тем, что в поврежденной кости и пароссальных мягких тканях в сложных топографических соотношениях сосуществуют острые травматические, ишемические и воспалительно-экссудативные измефильтрирован нейтрофилоцитами, макрофагами и лимфоцитами;
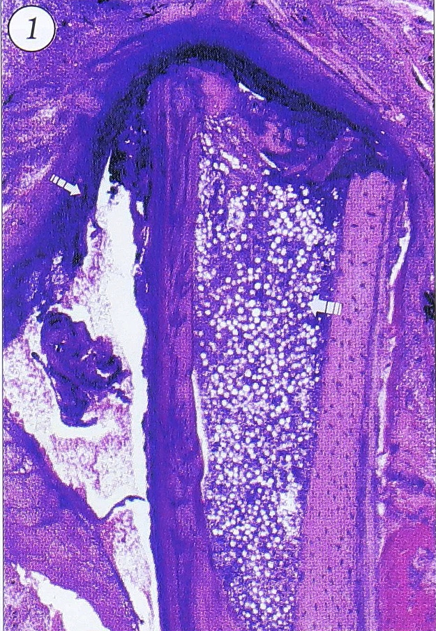
Рис. 1. Острый травматический остеомиелит большеберцовой кости крысы, сочетающийся с травматическим инфарктом кортикальной части кости и костного мозга (толстая стрелка); в перифокальных мягких тканях — гнойное воспаление (тонкая стрелка). Срок 3 сут. Ув. 25. Здесь и на остальных рисунках окраска гематоксилином и эозином.
Рис. 2. Серозно-гнойное воспаление при остром травматическом остеомиелите большеберцовой кости крысы. Срок 3 сут. Ув. 80.
Рис. 3. Обширный некроз кортикальной части кости и костного мозга отломка (тонкие стрелки); экссудативное воспаление, демаркация и перестройка (толстая стрелка). Большеберцовая кость больного. Ув. 10.
Рис. 4. Продолжающаяся секвестрация некротизированного участка компактной кости, неполный секвестр (толстая стрелка); демаркационная зона с грануляционной тканью в состоянии гнойного воспаления (тонкая стрелка); на поверхностях кортикальной части кости — костные регенераты. Бедренная кость больного. Ув. 10.
— фиброзная оболочка, представленная плотной волокнистой соединительной тканью различной степени зрелости, которая содержала много
фибробластов, тонких и более толстых коллагеновых волокон и периваскулярных лимфоцитарномакрофагально-плазмоцитарных инфильтратов, иногда — инкапсулированные микроабсцессы. В наружных слоях этой оболочки соотношение клеток и пучков волокон менялось в пользу последних, количество сосудов было уменьшено, часто отмечалось склерозирование фиброзной ткани;
— костная оболочка (костная «коробка») в исследованных фрагментах очагов ТО выявлялась непостоянно. Снаружи от фиброзной зоны наблюдалось некоторое утолщение перекладин предсуществовавшей спонгиозы, на поверхности которых местами сохранялся слой активных остеобластов. На эндостальной и периостальной поверхностях кортикальной части кости нередко имелись регенераты, построенные из незрелой ретикулофиброзной костной ткани и окруженные фиброзной тканью (см. рис. 4).
Рис. 5. Хронический травматический остеомиелит с продуктивным воспалением низкой активности в межотломковой фиброзной ткани. Бедренная кость больного. Ув. 8.
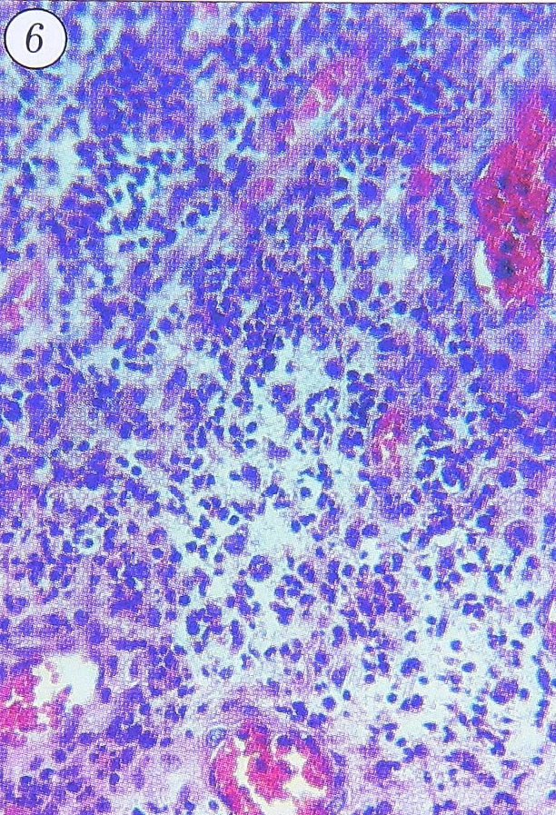
Рис. 6. Гнойное воспаление грануляционной ткани внутренней оболочки капсулы очага при хроническом травматическом остеомиелите. Бедренная кость больного. Ув. 200.
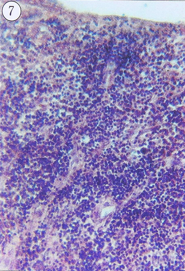
Рис. 7. Продуктивное воспаление высокой активности во внутренней оболочке капсулы очага при хроническом травматическом остеомиелите. Большеберцовая кость больного. Ув. 140.
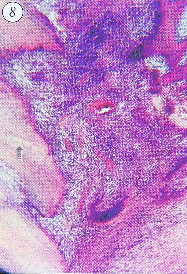
Рис. 8. Продуктивное воспаление низкой активности в фиброзной оболочке очага при хроническом травматическом остеомиелите. Неполный секвестр (стрелка). Бедренная кость больного. Ув. 60.
В некоторых случаях хронического ТО костные отломки были сращены фиброзной или фиброзно-хрящевой тканью неоднородной толщины, структуры и степени зрелости, в которой определялись участки отека и миксоматоза, очаговые лимфоцитарно-макрофагально-плазмоцитарные инфильтраты (фиброзирующая форма хронического ТО — рис. 5), иногда — округлые или щелевидные хронические микроабсцессы. При этом костные регенераты, являющиеся одновремено элементами костной оболочки остеомиелитического очага, были построены из незрелой костной ткани и подвергались перестройке, изредка — патологическим переломам. Подобные гистологические изменения соответствуют картине «инфицированного ложного сустава», к тому же морфогенетически они всегда являются производными ТО [6, 16].
Патогенез поражений костной ткани при травматическом остеомиелите. Острая травма кости, особенно переломы, сопровождающиеся повреждением главной питающей артерии и ее основных ветвей, а также отрывом или ушибом надкостницы с проходящими в ней периостальными и метафизарными сосудами, практически всегда приводит к возникновению в концах отломков и в осколках кости довольно обширных очагов выключения микроциркуляции, позднее трансформирующихся в костно-костномозговые инфаркты [1~3, 10]. Эти остеонекрозы, и в том числе осколки кортикальной кости, не являются секвестрами, так как даже полностью лишенные надкостницы (и значит — микроциркуляции) свободные кортикальные фрагменты при условии их санации не становятся секвестрами, а приживают [23]. Содержимое сосудистых каналов кортикального остеонекроза и костномозговых полостей губчатого остеонекроза представлено некротическими массами, в том числе
инфильтрированными нейтрофилами и/или гнойным экссудатом. Подобной гистологической картине соответствует термин «нагноившийся остеонекроз». Этот вид поражения костной ткани наблюдается в фазе экссудации острого воспалительного процесса, носит переходный характер и позднее обычно трансформируется в секвестр, хотя в случае активной санации некротизированных участков по крайней мере часть нагноившегося остеонекроза может подвергаться не секвестрации, а перестройке.
Понятие «секвестр» можно раскрыть, лишь учитывая состояние пограничных демаркационных процессов в тканях, окружающих остеонекроз. Демаркационная остеокластическая резорбция протекает наиболее интенсивно в тех сосудистых каналах и резорбционных полостях, где содержится грануляционная ткань в состоянии экссудативного воспаления, обычно гнойного, либо высокоактивного интерстициального. В то же время в каналах, где содержатся лишь гной или некротические массы, а живой (грануляционной) ткани нет, а также в каналах, заполненных зрелой фиброзной тканью, гистологические признаки секвестрации отсутствуют или минимальны. Расширение резорбционных полостей происходит в основном за счет резорбции некротизированных отделов кортикальной кости, хотя жизнеспособная костная ткань также частично резорбируется остеокластами. Процесс демаркационной остеорезорбции с тенденцией к слиянию полостей и формированию секвестральной борозды протекает медленно, топографически и хронологически неравномерно: в периоды обострения воспалительного процесса секвестрация усиливается, в периоды ремиссии ослабевает. Кроме того, на внешних стенках резорбционных полостей наблюдается аппозиция незрелой ретикулофиброзной костной ткани, т.е. наряду с разрушением пораженной костной ткани происходит ее новообразование. Полного, завершенного отделения некротизированных участков кости от жизнеспособных может не произойти в течение многих месяцев и лет, особенно в тех случаях, когда имеются обширные инфаркты концов отломков и больной многократно получает курсы антибиотикотерапии. По нашему мнению, сущность секвестров определяется не фактом отсутствия или сохранения анатомических связей некротизированных и жизнеспособных участков костной ткани, а выраженностью зоны демаркации и активностью остеорезорбции. По этим признакам все секвестры могут быть разделены на неполные (с сохранением анатомических связей — их в нашем биопсийном материале оказалось большинство) и полные, т.е отделившиеся от окружающей костной ткани. Если кнутри от зоны демаркации располагается ткань секвестра, то костная ткань, лежащая кнаружи от зоны демаркации, часто представлена остеонекрозом, подвергающимся перестройке [2, 4].
Различия частот воспалительных изменений разных видов в группах больных с травматическим остеомиелитом. Различия воспалительных изменений наиболее выражены во внутренней оболочке капсулы остеомиелитического очага, представленной грануляционной тканью различной степени зрелости с воспалительной инфильтрацией разного характера. Лимфоцитарно-макрофагально-плазмоцитарная инфильтрация присутствовала во всех биоптатах и локализовалась в элементах внутренней и фиброзной оболочек, однако распределение инфильтратов в разных участках капсулы, их плотность и соотношение клеточных форм варьировали. Наряду с мононуклеарно-плазмоцитарной инфильтрацией нередко выявлялась значительная примесь нейтрофилоцитов, которые диффузно инфильтрировали грануляционную ткань; при этом обычно и мононуклеарно-плазмоцитарная инфильтрация была выраженной и имела диффузный характер (рис. 6). В части случаев встречались участки некроза грануляционной ткани коагуляционного, иногда фибриноидного характера, при этом они не всегда сочетались с интенсивной воспалительной инфильтрацией. Наличие подобных некрозов в грануляционной ткани при хронических воспалительных процессах в разных органах отмечали многие авторы [8, 9, 12, 20].
С учетом преобладающего характера патологических изменений были определены градации выраженности воспалительного процесса в очаге:
- экссудативное воспаление высокой активности, имевшее вид гнойного, фибринозно-гнойного, гнойно-деструктивного, часто с некрозами грануляционной ткани капсулы (см. рис. 6);
- экссудативное воспаление низкой активности, имевшее вид серозного или серозно-фибринозного;
- продуктивное воспаление высокой активности, с множеством интерстициальных сливающихся, диффузных мононуклеарно-плазмоцитарных инфильтратов (рис. 7);
- продуктивное воспаление низкой активности, с немногочисленными разрозненными интерстициальными очаговыми мононуклеарно-плазмоцитарными инфильтратами (рис. 8).
Результаты статистического сравнения частот встречаемости различных видов воспаления во внутренней оболочке капсулы остеомиелитического очага в отдельных группах больных показали, что из многих клинических и микробиологических факторов достоверные различия частот в альтернативных группах (р<0,05 при сравнении методом %2) обусловливают следующие:
- давность травмы кости: если в группе больных с давностью травмы до 1 года экссудативное воспаление высокой активности во внутренней оболочке очага встречалось в 70% биоптатов, продуктивное высокой активности — в 14%, а продуктивное низкой активности — в 7%, то в группе больных с давностью травмы от 1 года до 3 лет — соответственно в 50, 4 и 33%;
- наличие внутриочаговых фиксаторов: в группе больных, у которых после травмы для фиксации отломков кости использовались внутриочаговые конструкции и фиксаторы (металлические пластины, стержни, спицы, шурупы), соотношение частот биоптатов с экссудативным воспалением высокой активности, экссудативным низкой активности и продуктивным низкой активности было 70:12,5:5%, тогда как в группе, где применялись внеочаговые методы фиксации отломков (аппараты внешней фиксации, скелетное вытяжение, гипсовая повязка), оно составляло 56:3:28%.
Результаты проведенных нами гистологических исследований подтверждают представления о длительном нарушении процессов репарации фиброзной и костной тканей при хроническом ТО, морфогенетическом и патогенетическом сходстве его с другими хроническими неспецифическими процессами — пролежнями, трофическими язвами, длительно незаживающими ранами и свищами [9, 10, 13, 14].
Выводы
- Структура очагов ТО неоднородна и зависит от характера, локализации и давности перелома, срока от начала инфекционного воспаления, вида возбудителей и применявшегося метода фиксации отломков: наряду с более частой деструктивной, абсцедирующей формой очага встречается фиброзирующая форма.
- Поражение тканей кости при ТО вызвано как воспалительным, так и ишемическим воздействием; в зависимости от топографии, характера и полноты перифокальных демаркационных изменений следует различать остеонекрозы, нагноившиеся остеонекрозы, полные и неполные секвестры.
- Оценка патоморфологом воспалительного процесса при ТО по данным исследования биоптата основана на характеристике преобладающего воспаления во внутренней зоне капсулы очага: в острой стадии и в период обострения хронической стадии ТО наблюдается преимущественно экссудативное воспаление разного вида, в период ремиссии хронической стадии — преимущественно продуктивное воспаление различной активности.
- Частота встречаемости разных видов экссудативного и продуктивного воспаления во внутренней оболочке очагов ТО достоверно зависит от таких клинических факторов, как давность травмы и примененный способ фиксации отломков.
Об авторах
В. В. Григоровский
Институт травматологии и ортопедии АМН Украины
Автор, ответственный за переписку.
Email: info@eco-vector.com
Украина, Киев
Список литературы
- Григоревский В.В. //Материалы VI Съезда травматологов-ортопедов СНГ. — Ярославль, 1993. — С. 56-57.
- Григоровский В.В. //Клппчна xipyprin (Киев). — 1997. — N 9-10. — С. 76-79.
- Григоровский В.В. //Вести, травматол. ортопед. — 1998. — N 3. — С. 13-19.
- Григоровский В.В. //Ортопед, травматол. — 1998. — N 4. — С. 103-110.
- Григоровский В.В. //Морфология. — 2000. — N 5. — С. 52-55.
- Гюлъназарова С.В. //Ортопед, травматол. — 2001. — N 2. — С. 134-139.
- Каплан А.В., Махсон Н.Е., Мельникова В.М. Гнойная травматология костей и суставов. — М., 1985.
- Пауков В.С., Мусалатов Х.А., Салтыков Б.Б. и др. //Арх. пат. — 1997. — N 6. — С. 40—44.
- Пауков В.С., Салтыков Б.Б., Ермакова Н.Г., Шашлов С.В. //Там же. — 1998. — N 1. — С. 34-38.
- Попов М.И., Закревский В.Л. //Микроциркуляция при повреждениях и заболеваниях опорно-двигательной системы. — М., 1985. — С. 81-83.
- Смольянников А.В. //Патологическая анатомия боевой травмы. — М., 1960. — С. 172-189.
- Шехтер А.Б., Берченко Г.Н., Николаев А.В. //Арх. пат. — 1984. — N 2. — С. 20-28.
- Шехтер А.Б., Серов В.В. //Воспаление /Под. ред. В.В. Серова и В.С. Паукова. — М., 1995. — С. 200-218.
- Amenta P.S., Martinez-Hernandez A., Trelstad R.L. //Anderson’s pathology /Eds. I. Damjanov, J. Linder. — 10th ed. — St. Louis, 1996. — Vol. 1. — P. 416-447.
- Aufdermaur M. Osteomyelitis // Lehrbuch d. spez. Pathologie /Hrsg. F. Buechner, E. Grundmann. — 1979. — S. 582.
- Boehm E. //Hefte Unfallheilkunde. — Berlin, 1986. — N 176. — S. 123.
- Boehm E., Koenn G. //Unfallheilkunde. — 1976. — Bd 79, N. 4. — S. 127-132.
- Fitzpatrick L.A. //Anderson’s pathology /Eds. I. Damjanov, J. Linder. — 10th ed. — St. Louis, 1996. — Vol. 2. — P. 2574-2611.
- Lennert K. //Verh. der Deutschen Orthopaedischen Gesellschaft. Kongress, 51-й. — Stuttgart, 1965. — S. 27-64.
- Martinez-Hernandez A. //Pathology /Eds. E. Rubin, J.L. Farber. — 3rd ed. — Philadelphia, 1999. — P. 77-103.
- Schmidt H.G.K., Neikes M., Wittek F. //Akt. Traumatol. — 1990. — Bd 20, N 6. — S. 303-309.
- Swiontkowski M.F. //Clin. Orthop. — 1989. — N 243. — P. 41-47.
- Van Winkle B.A., Neustein J. //Ibid. —1987. — N. 223. — P. 275-281
Дополнительные файлы










