Surgical treatment of patients with peroneal hemimelia
- Authors: Popkov D.A.1, Grebenyuk L.A.1
-
Affiliations:
- Russian Research Center "Restorative Traumatology and Orthopedics" G.A. Ilizarov
- Issue: Vol 9, No 4 (2002)
- Pages: 68-73
- Section: Articles
- Submitted: 01.02.2022
- Accepted: 01.02.2022
- Published: 02.02.2022
- URL: https://journals.eco-vector.com/0869-8678/article/view/99993
- DOI: https://doi.org/10.17816/vto99993
- ID: 99993
Cite item
Full Text
Abstract
Forty two cases of surgical crus lengthening in children with congenital fibular hemimelia were analysed. It was determined that relapse of foot and segment axis deformity, abnormal development of tibia distal epiphysis were frequently noted in case of preservation of fibular-cartilagi- nous band. Transcutaneous tenotomy of fibular band provided the best conditions for crus development during the process of growth. However the tenotomy prevented the recurrence of segment axis deformity only in one third of all cases, the correct position of foot was most often instable. Distraction osteosynthesis should be combined with open reposition of fibular fibrous- cartilaginous bend that improved the conditions for ankle formation and prevented the recurrence of crus and tibial deformity during the growth process. Ultrasonography is the compulsory method for the determination of surgical intervention tactics.
Keywords
Full Text
Врожденное отсутствие малоберцовой кости — самый распространенный дефект при укорочениях нижних конечностей, встречающийся в 1,27— 1,47% случаев от всех аномалий развития скелета [5, 7, 16]. Предложенные схемы оперативного лечения больных с нарушением развития малоберцовой кости во многом противоречивы и, как правило, включают несколько этапов [3, 5~7, 12, 15, 18]. Первоначальным является вмешательство на мягких тканях области голеностопного сустава с целью мобилизации стопы и устранения ее порочного положения. При этом определенное значение придается рассечению или иссечению малоберцового фиброзно-хрящевого тяжа [1, 5-7, 12, 15]. Коррекция угловых деформаций голени обычно производится отдельным этапом после достижения больным возраста 4-4,5 лет. Последующее удлинение с исправлением сопутствующих деформаций, реконструктивные операции на стопе требуют одного или двух этапов лечения [1, 5, 9]. Обычно оперативное удлинение голени рекомендуют выполнять ближе к завершению естественного роста нижних конечностей, объясняя подобную тактику стремлением избежать рецидивов угловых деформаций сегмента и наиболее точно уравнять длину нижних конечностей [12, 13, 15].
Работами, выполненными в РНЦ «ВТО», доказана возможность одновременной коррекции деформаций большеберцовой кости и стопы в процессе удлинения голени по методу Илизарова у больных с врожденной аплазией малоберцовой кости без обширного вмешательства на мягких тканях [2, 10]. В свое время Г.А. Илизаров полагал, что фиброзный тяж в условиях напряжения растяжения удлиняется вместе с большеберцовой костью и даже вызывает удлинение рудимента малоберцовой кости [4]. Однако в последующих работах возможность рецидивирования деформаций стопы и большеберцовой кости, а также дальнейшее формирование голеностопного сустава не получили достаточно полного анализа.
Рентгенография, как правило, не позволяет установить наличие или отсутствие фиброзного тяжа, его топографию относительно костных элементов голени и стопы. Возможности ультразвуковой визуализации тяжа, локализованного в области отсутствующей малоберцовой кости, не определены [17]. Вместе с тем для выбора наиболее рационального оперативного вмешательства ортопеду важно четко знать, есть ли тяж, каковы особенности его строения, размеры, протяженность. В этом плане наиболее приемлемым методом диагностики может оказаться сонография.
Целью данной работы было изучение возможности рецидива деформаций, типичных для врожденного отсутствия малоберцовой кости, уточнение показаний к вмешательству на мягких тканях на этапе оперативного удлинения голени и расширение диагностических возможностей метода ультразвуковой визуализации мягких тканей при планировании лечения больных с рассматриваемой патологией.
МАТЕРИАЛ И МЕТОДЫ
Проанализированы 42 случая оперативного билокального удлинения голени при врожденном отсутствии малоберцовой кости. Согласно классификации А.М. Аранович [2] в 21 случае имел место, второй и в 21 — четвертый вид продольной эктромелии, т.е. у всех больных были укороченная голень с антекурвационной или антекурвационновальгусной деформацией сегмента, вывих (подвывих) стопы кзади и кнаружи, недоразвитие голеностопного сустава и т.д. Необходимо сказать, что в случаях, когда имелся рудимент малоберцовой кости, его максимальный размер не превышал 2 см. По классификации Л.Ф. Каримовой [5] у всех пациентов порок развития малоберцовой кости относился к первому типу, по классификации М.А. Catagni и соавт. [12] и Valdiserri L. и соавт. [18] — к третьему типу.
В зависимости от тактики оперативного вмешательства в отношении мягких тканей были сформированы три группы наблюдений: 1-я группа — оперативное удлинение голени по методу Илизарова без вмешательства на фиброзном малоберцовом тяже; 2-я группа — оперативное удлинение голени по методу Илизарова, дополненное чрескожным рассечением фиброзного малоберцового тяжа; 3-я группа —оперативное удлинение голени по методу Илизарова в сочетании с иссечением участка фиброзного малоберцового тяжа.
При необходимости пациентам выполнялась чрескожная ахиллопластика по Bayer. Трем больным (по одному из каждой группы) производилась V-образная остеотомия стопы. Более подробная характеристика выделенных групп представлена в табл. 1.
Необходимо уточнить, что 15 больным производилось повторное удлинение голени. На первом этапе лечения удлинение осуществлялось по классической методике Илизарова. На втором этапе удлинения у 8 пациентов резецировали фибрознохрящевой тяж, у 1 больного чрескожное рассечение тяжа выполняли на обоих этапах оперативного лечения, остальным 6 пациентам повторный дистракционный остеосинтез вновь проводили без вмешательства на мягких тканях.
Все наблюдения были проанализированы по следующим показателям, на которые предположительно влияет наличие и местоположение фиброзного тяжа: вальгусная деформация стопы, эквинусная установка стопы, нижнелатеральный угол большеберцовой кости, угловые деформации диафиза сегмента. Нужно отметить, что правильная центрация при рентгенологическом исследовании голени и голеностопного сустава обеспечивает достоверность полученных данных. Исследования проводили до операции, через 6-12 мес после снятия аппарата и в срок более 1 года после окончания лечения.
Табл. 1. Характеристика выделенных групп по возрасту пациентов и величине удлинения голени
Группа | Средний возраст, годы | Средняя величина удлинения, см |
1-я 25 | 7,0±1,5 | 5,6+2,6 |
2-я 5 | 8,2±2,2 | 4,4±1,4 |
3-я 12 | 8,4±2,8 | 6,9+2,0 |
Для неинвазивной визуализации структуры и взаиморасположения мягких тканей использовали ультрасонографию, которую осуществляли с помощью ультразвуковой установки Sonoline SI450 (фирмы «Siemens», Германия) и линейного датчика 7,5 МГц. В зависимости от требуемого уровня сканирования сонографию проводили по заднебоковой, боковой, переднебоковой поверхностях голени в положении больного лежа на спине, боку или животе.
Оперативные вмешательства на большеберцовой кости и ахилловом сухожилии выполняли по стандартным методикам [2, 10]. Рассечение фиброзно-хрящевого тяжа производили тонким тенотомом через прокол мягких тканей, предварительно придав стопе положение максимально возможной тыльной флексии и супинации. Резекцию тяжа выполняли из задненаружного доступа, принимая во внимание данные УЗИ. Продольный разрез начинали в нижней трети голени и заканчивали на уровне таранной кости. Сохраняя v. saphena parva и n. suralis, тупо раздвигали мягкие ткани, отводя сухожилия малоберцовых мышц. Фиброзный тяж резецировали на протяжении 1-2 см. Рану ушивали послойно отдельными узловыми швами без установки дренажей и выпускников.
РЕЗУЛЬТАТЫ
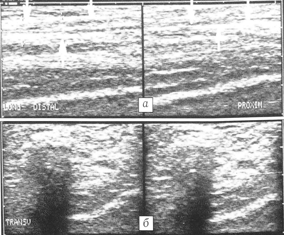
При продольном ультразвуковом сканировании фиброзно-хрящевой тяж визуализировался как лентовидное образование, в большинстве случаев с определяемыми контурами, при поперечном сканировании имел овальную, округлую или неправильную форму (рис. 1). Толщина тяжа, составлявшая обычно 3~6 мм, увеличивалась в дистальном направлении. Ультразвуковое исследование позволяло проследить протяженность тяжа, неоднородность его структуры. У части пациентов проследить данное образование в проксимальном направлении удавалось лишь до середины голени, далее контуры его становились нечеткими, а эхоплотность — одинаковой с окружающими тканями. При функциональной сонографии выявляли возможность смещения фиброзно-хрящевого тяжа при тыльной и подошвенной флексии.
Рис. 1. Ультрасонографическое изображение фибрознохрящевого малоберцового тяжа: а — при продольном направлении сканирования, б — при поперечном.
Рассматривая результаты самого оперативного вмешательства, необходимо отметить, что у больных, ранее не подвергавшихся хирургическому лечению (4 случая), фиброзный тяж представлял собой продольное жесткое образование, несколько более блеклое, чем сухожилия мышц. Он легко мог быть выделен из окружающих тканей. У пациентов, которым оперативное удлинение голени уже производилось, тяж был продольно-овальным на разрезе, при этом в 3 случаях состоял из двух порций, выделение его было затруднено из-за более глубокого расположения в мягких тканях ближе к большеберцовой кости (вероятно, вследствие исправления деформации голени и стопы на предыдущем этапе). У одного больного тяж был уплощен и раздвоен, одна его порция отклонялась к задненаружной поверхности дистального эпиметафиза большеберцовой кости, другая шла к рудименту малоберцовой кости (рис. 2).
Следует также отметить, что во всех группах пациентов дистракция была начата на 5-й день после операции. Операционная рана после резекции тяжа зажила первичным натяжением у всех больных. Достигнутая величина удлинения равнялась в среднем для 1-й группы 5,6 см, для 2-й — 4,4 см и для 3-й — 6,9 см. Среднесуточный темп дистракции в группах больных мало различался и составлял в среднем 1,6 мм. Не было существенных различий между группами и по срокам созревания дистракционного регенерата. Индекс фиксации равнялся в среднем 12,1 сут/см.
Средние значения вальгусной установки пяточной кости и эквинусной деформации стопы (исходные, достигнутые в процессе лечения, в ближайшем и отдаленном периоде) представлены в табл. 2. Патологическая установка пяточной кости в 1-й группе практически полностью возвращалась, хотя сразу после снятия аппарата у 72% больных пронация пятки колебалась от 0 до 5°. Во 2-й группе правильное положение или гиперкоррекция пяточной кости были достигнуты в 100% случаев, при сочетании резекции тяжа с удлинением голени (3-я группа) — лишь в 50% случаев. Это объясняется тем, что коррекция вальгусной установки заднего отдела стопы была неполной у пациентов в возрасте 11 — 13 лет, которым ранее уже производилось удлинение голени с закрытым постепенным устранением порочного положения стопы (рис. 3). Рецидивирование эквинусной деформации стопы, несомненно, зависит от многих факторов. Тем не менее можно отметить положительную тенденцию в отдаленном периоде после лечения как во 2-й, так и в 3-й группе.
Рис. 2. Внешний вид и ультрасонограмма больной К. 6 лет. При продольном сканировании отчетливо виден непрерывный фиброзный тяж, идущий к рудименту малоберцовой кости.
Табл. 2. Положение стопы
Деформация | Группа больных | До операции | После операции | ||
снятие аппарата | через 6-12 мес | через 1-3 года | |||
Вальгус пяточной кости, град. | 1-я | 27,4±5,3 | 9,5±3,9 | 26,2±3,3 | 25,3±3,7 |
2-я | 22,0±3,9 | 5,2±2,2 | 13,3±3,1 | 11,3±2,3 | |
3-я | 24,4±4,3 | 5,0±2,6 | 7,3±1,4 | 7,6±4,0 | |
Эквинус стопы, град. | 1-я | 99,8±7,3 | 95,2±10,1 | 98,9±4,9 | 107,5±6,5 |
2-я | 106,7±8,9 | 92,2±7,9 | 90,0±6,7 | 103,8±8,2 | |
3-я | 105,2±6,4 | 97,2±6,9 | 97,2±7,4 | 96,2±4,7 |
Рис. 3. Рентгенограммы и внешний вид больной А.a — до начала лечения; б — после окончания первого этапа лечения (в возрасте 6 лет); в — перед вторым этапом оперативного лечения (12 лет); г — через 1 год после окончания второго этапа лечения.
Табл. 3. Деформации большеберцовой кости
Показатель | Группа больных | До операции | После операции | ||
снятие аппарата | через 6-12 мес | через 1~3 года | |||
Нижнелатеральный угол большеберцовой кости, град.* | 1-я | 80,4+4,3 | 86,1+2,2 | 79,8+4,5 | 76,3+4,6 |
2-я | 84,8+4,9 | 85,2+1,9 | 76,3+5,1 | 78,3+3,6 | |
3-я | 79,3+3,9 | 84+2,6 | 81,8+4,7 | 84,8+3,2 | |
Вальгус большеберцовой кости, град. | 1-я | 12,2+1,3 | -0,91+0,1 | 11,7+2,1 | 13,7+2,7 |
2-я | 10,8+1,9 | 4,0+1,3 | 4,3+0,7 | 6,0+1,1 | |
3-я | 10,4+1,2 | -0,6+0,1 | -2,0+0,2 | -2,4+0,2 | |
Антекурвация большеберцовой кости, град. | 1-я | 17,3+2,3 | 0,42+0,1 | 18,7+4,9 | 20,0+3,2 |
2-я | 17,3+2,1 | 4,8+1,2 | 4,3+6,7 | 12,5+8,2 | |
3-я | 16,6+1,7 | 0,0+0,0 | 0,0±0,0 | 0,0+0,0 |
* Нормальные значения составляют 87,1 ±3,3° [12].
Данные измерений нижнелатерального угла большеберцовой кости и ее деформаций представлены в табл. 3. Из нее видно, что во всех группах после окончания оперативного лечения происходило уменьшение нижнелатерального угла большеберцовой кости по мере увеличения нагрузки на оперированную конечность. Однако в ходе последующего роста конечности наблюдалась тенденция к нормализации этого показателя во 2-й и 3-й группах, более выраженная после резекции фиброзного тяжа. На рис. 4 показана динамика формирования голеностопного сустава у пациента после билокального дистракционного остеосинтеза голени аппаратом Илизарова в сочетании с резекцией малоберцового тяжа. Особо нужно отметить, что нижнелатеральный угол большеберцовой кости в течение 2 лет после оперативного удлинения сегмента не уменьшился. При ультразвуковом сканировании, выполненном через 2,5 года после удаления малоберцового тяжа, констатировано отсутствие какой-либо фиброзно-хрящевой структуры выше рудимента малоберцовой кости.
Угловые деформации диафиза большеберцовой кости у больных 1-й группы в процессе последующего роста конечности в значительной степени возвращались, несмотря на полную коррекцию во время удлинения. Через 6-12 мес после снятия аппарата в 33% случаев наблюдался рецидив вальгусной, в 13,3% — антекурвационной, а в 6,7% — вальгусно-антекурвационной деформации. В более позднем периоде у 33% больных отмечалась вальгусная и у 33% — вальгусно-антекурвационная деформация. Во 2-й группе у 67% больных в отдаленном периоде возникла вальгусная, антекурвационная или вальгусно-антекурвационная деформация. В 3-й группе лишь у одного пациента отмечена вальгусная (7°) деформация большеберцовой кости.
Рис. 4. Рентгенограммы голеностопного сустава и ультрасонограммы больного И.a — до операции (в возрасте 5 лет);б — через 2,5 года после окончания оперативного удлинения голени с резекцией малоберцового фиброзно-хрящевого тяжа;в — до операции (стрелками указаны фиброзно-хрящевой тяж и рудимент малоберцовой кости);г — через 1 мес после снятия аппарата (указан диастаз на месте резекции тяжа);д — через 2,5 года после окончания лечения: отсутствие какой-либо эхоплотной продольной структуры выше рудимента малоберцовой кости.
ОБСУЖДЕНИЕ
Анализ результатов лечения детей с врожденным отсутствием малоберцовой кости показывает, что рецидивы деформаций стопы и оси сегмента, неправильное развитие дистального эпифиза большеберцовой кости наблюдаются достаточно часто, и это заставляет искать пути предотвращения рецидивов деформаций. Чрескожная тенотомия малоберцового тяжа улучшает условия развития голени в период последующего роста. Однако после тенотомии рецидивы деформаций оси сегмента отсутствовали лишь в трети случаев, правильное положение стопы не было стабильным у большинства больных. Можно предполагать, что дозированное удлинение способствует регенерации структур и восстановлению целости тяжа. Полноценное пересечение тяжа при его открытой резекции создает удовлетворительные условия для последующего развития дистального эпифиза большеберцовой кости, предотвращает рецидивы угловых деформаций сегмента, обеспечивает наибольшую сохранность достигнутого в процессе лечения аппаратом Илизарова положения стопы в отдаленные сроки. Ультразвуковое исследование мягких тканей удлиняемой голени на дооперационном этапе у больных с аплазией малоберцовой кости позволяет точно определить объем предстоящего оперативного вмешательства на мягких тканях, в частности необходимость повторного нарушения целости малоберцового тяжа, особенно при этапном удлинении голени.
На наш взгляд, максимальная эффективность хирургического лечения при тяжелых формах эктромелии может быть достигнута, если начинать оперативное удлинение голени у детей с 3—6 лет, когда резекция фиброзного тяжа, чрескожная ахиллопластика по Bayer уже могут сочетаться с оперативным удлинением большеберцовой кости и дозированной коррекцией деформаций. Однако мы считаем, что уже с 10-месячного возраста необходимо применять различные виды консервативного лечения, рациональные ортезы с целью выработки навыков прямостояния и ходьбы [11]. По-видимому, основной анатомической причиной развития деформаций при рассматриваемой патологии является наличие фиброзного
тяжа. Сопротивление росту голени со стороны фиброзно-хрящевого тяжа вызывает деформацию дистального эпифиза большеберцовой кости, развитие эквиновальгусной деформации стопы и подвывиха в голеностопном суставе. Мы полагаем, что оперативное удлинение голени с одновременным исправлением всех сопутствующих деформаций в сочетании с вмешательством на мягких тканях, выполненным либо как отдельный этап лечения в возрасте до 3 лет, либо одновременно с удлинением, следует завершать в возрасте 5-7 лет, т.е. в дошкольном периоде. Подобная тактика в основном освобождает ребенка от психологического комплекса физической неполноценности [8]. Важно и то, что при отсутствии рецидивов деформаций и значительном улучшении опороспособности конечности не наблюдается отставания в росте оперированной голени либо темпы отставания значительно сокращаются.
Дистракционный остеосинтез с постепенным исправлением сопутствующих деформаций большеберцовой кости и стопы в сочетании с чрескожной ахиллопластикой и резекцией фиброзно-хрящевого малоберцового тяжа обеспечивают благоприятные условия для дальнейшего формирования голеностопного сустава, предотвращают рецидивы осевых деформаций сегмента и значительно
уменьшают рецидивы деформаций стопы в период последующего роста и развития нижней конечности.
About the authors
D. A. Popkov
Russian Research Center "Restorative Traumatology and Orthopedics" G.A. Ilizarov
Author for correspondence.
Email: info@eco-vector.com
Russian Federation, Kurgan
L. A. Grebenyuk
Russian Research Center "Restorative Traumatology and Orthopedics" G.A. Ilizarov
Email: info@eco-vector.com
Russian Federation, Kurgan
References
Supplementary files
