Диагностическая точность ультразвукового исследования при повреждениях периферических нервов конечностей
- Авторы: Журбин Е.А.1, Гайворонский А.И.1, Железняк И.С.1, Декан В.С.1, Чуриков Л.И.1, Алексеев Е.Д.1, Алексеев Д.Е.1, Свистов Д.В.1
-
Учреждения:
- Военно-медицинская академия им. С.М. Кирова
- Выпуск: Том 19, № 3 (2017)
- Страницы: 63-68
- Раздел: Клинические исследования
- Статья получена: 01.05.2019
- Статья опубликована: 15.12.2017
- URL: https://journals.eco-vector.com/1682-7392/article/view/12193
- DOI: https://doi.org/10.17816/brmma12193
- ID: 12193
Цитировать
Полный текст
Аннотация
Рассматриваются результаты диагностики и лечения 154 пациентов с посттравматической невропатией периферических нервов конечностей, проходивших лечение в клиниках нейрохирургии, военной травматологии и ортопедии, нервных болезней Военно-медицинской академии им. С.М. Кирова в период с 2012 по 2017 гг. Установлено, что использование ультразвукового исследования является эффективным методом диагностики при повреждениях периферических нервов, позволяет в полном объёме оценить локализацию и характер повреждения, а также определиться с дальнейшей тактикой лечения. По результатам ультразвукового исследования были прооперированы 122 пациента, консервативное лечение проведено 32 больным. По методике качественной оценки референтного (оперативное вмешательство или положительное консервативное лечение) и изучаемого метода (ультразвуковое исследование) определили диагностическую эффективность ультразвуковой диагностики при травматических повреждениях периферических нервов конечностей. Чувствительность и специфичность ультразвукового исследования в выявлении повреждений периферических нервов составили 93,6 и 68,2% соответственно. Точность ультразвукового исследования равна 86,4% при уровне ложноотрицательных и ложноположительных ответов – 6,4 и 31,8% соответственно. Показано, что общая информативность ультразвукового метода в выявлении травматических повреждений периферических нервов конечностей составляет более 80%, что в свою очередь позволяет рассматривать его в качестве одного из ведущих в диагностике данной патологии.
Полный текст
Введение. Повреждения периферических нервов составляют от 1,5 до 12% от всех травм [2, 16]. В виду особой специфики анатомо-топографических взаимоотношений травма нерва далеко не всегда бывает изолированной. В 20–22% случаев она сочетается с повреждением сухожилий, в 12–15% – крупных сосудов, в 14–25% – трубчатых костей. Зачастую она сопровождается одномоментным повреждением всех анатомических структур конечности (кости, магистральные сосуды, мышцы и сухожилия) [6].
Ежегодно в России в проведении операций по поводу травм периферических нервов нуждается от 4 до 7 тысяч человек [5]. Наиболее частыми причинами являются транспортный, производственный и бытовой травматизм, а также огнестрельные ранения как в мирное, так и в военное время. Около 45% повреждений нервов приходится на молодой возраст от 21 до 30 лет, что обусловливает высокую социальную значимость данной проблемы [11]. Конечно, такие травмы не представляют угрозы для жизни больного в изолированной форме, но, к сожалению, практически в 65% случаев приводят к длительной потере трудоспособности [3, 10].
Различные варианты анатомии периферической нервной системы и разнообразие клинических проявлений при её патологии приводят к большому количеству диагностических, тактических и технических ошибок [22]. Особые трудности в оценке степени тяжести патологического процесса и места его локализации создаёт отсутствие специфической симптоматики при различных клинических формах повреждений нервов. В остром и раннем периодах течения травмы по клинико-электрофизиологическим данным практически невозможно отличить аксонотмезис от нейротмезиса. Следовательно, существует потребность в доступном и неинвазивном методе диагностики, который способен не только визуализировать нервные стволы, но и определять различные признаки повреждения нервов.
За последние десятилетия усовершенствовались методы инструментальной дооперационной диагностики: электронейромиография (ЭНМГ), ультразвуковое исследование (УЗИ), магнитно-резонансная томография. В современных реалиях показания, сроки и объём оперативного вмешательства на повреждённом нерве могут быть определены лишь после детального клинико-неврологического обследования с применением ЭНМГ и УЗИ, а в определённых случаях и других методов диагностики [8]. Однако даже после лечения в узкоспециализированных учреждениях порядка 30% больных становятся инвалидами или вынуждены сменить профессию [4, 13]. По мнению Ш.М. Айтемирова и др. [1], повышение эффективности хирургического лечения повреждений периферических нервов напрямую зависит от качества и средств предоперационной диагностики.
УЗИ на сегодняшний день является одним из наиболее быстро развивающихся методов лучевой диагностики. Появление новых аппаратов, датчиков и программного обеспечения, а также совершенствование методик ультразвукового сканирования расширяют возможности его применения. В ходе УЗИ периферических нервов могут быть диагностированы сопутствующие повреждения сухожилий, мышц, магистральных сосудов. Возможность многократно применять метод в динамике, быстрота, доступность и экономичность являются его весомыми преимуществами. В отечественных и зарубежных работах достаточно подробно рассмотрена ультразвуковая картина периферических нервов в норме и при различной патологии. По данным различных авторов, составлена ультразвуковая семиотика повреждений нервных стволов [12, 21]. Однако, несмотря на достижения и возможности ультрасонографии, результаты дооперационного УЗИ во многих случаях расходятся с интраоперационными находками [16, 19]. В связи с этим необходимы дальнейшие исследования для улучшения результатов ультразвуковой диагностики при травматических поражениях периферических нервов.
Цель исследования. Определить диагностическую эффективность УЗИ при травматических повреждениях периферических нервов.
Материалы и методы. Обследовано 154 пациента с повреждениями периферических нервов конечностей, обратившихся за помощью в клиники нейрохирургии, военной травматологии и ортопедии, нервных болезней Военно-медицинской академии им. С.М. Кирова (ВМА) в 2012–2017 гг. Всем пациентам проводилось ультразвуковое исследование на кафедре рентгенологии и радиологии (с курсом ультразвуковой диагностики) ВМА и в Клинической больнице № 122 им. С.Г. Соколова. У всех пострадавших был установлен диагноз посттравматической невропатии различных нервных стволов. Давность травматического поражения нервов составила от 1 недели до 12 месяцев. В исследование не включали пациентов с невропатиями другой этиологии, в т.ч. компрессионно-ишемическими, развившимися вследствие дегенеративных изменений тканей, окружающих периферический нерв. Также в виду сложного анатомического строения в группу обследования не включали повреждения плечевого сплетения.
УЗИ проводили с использованием линейных датчиков с диапазоном частот от 7 до 15 МГц. Перед началом УЗИ изучали анамнез пациента, данные клинико-неврологического обследования и результаты ЭНМГ. Ультразвуковое исследование проводили без специальной подготовки, по стандартной методике в В-режиме в продольной и поперечной плоскостях сканирования [20]. Для контроля результатов ультрасонографии в обязательном порядке производили сканирование неизменённого нерва на противоположной конечности.
У пациентов, которым было выбрано хирургическое лечение (n=122), проводили сравнение результатов дооперационного УЗИ и данных, полученных непосредственно во время операции.
С целью оценки эффективности диагностики повреждений периферических нервов конечностей с помощью УЗИ использовали статистический анализ чувствительности, специфичности и точности (безошибочности). Вычисление операционных (чувствительности и специфичности) и интегральной (точности) характеристик проводили по методике качественной оценки референтного (оперативное вмешательство или положительное консервативное лечение) и изучаемого метода (УЗИ) [9].
Результаты и их обсуждение. После статистической обработки данных обследованных пациентов установлено, что среди пострадавших преобладали лица наиболее трудоспособного возраста – от 18 до54 лет (79,2%). Травмы чаще встречались у мужчин (70,8%). Схожие сведения о половозрастной характеристике пациентов с повреждениями периферических нервов встречаются в работе И.Г. Чуловской и др. [14]: 79,8 и 71,5% соответственно.
По данным анамнеза, были проанализированы причины повреждений нервных стволов. В изученной группе доминировал бытовой травматизм (59,7%) случаев. Повреждения периферических нервов вследствие дорожно-транспортных происшествий – 10,4%. Различные ятрогенные повреждения были выявлены у 29 (18,8%) пациентов. По данным D. Hak [18], ятрогенные повреждения только лучевого нерва после лечения диафизарных переломов плечевой кости встречаются в 10–20% случаев. Открытые травмы имели 129 (83,8%) пациентов, закрытые – 25 (16,2%). Повреждения нескольких нервов отмечены у 18 пострадавших, мононевропатии – у 136. Сочетанные травмы нервов, сухожилий, сосудов и костно-суставного аппарата были у 23 (14,9%) больных, что отличается от частоты сочетанных ранений периферических нервов по данным Н.А. Еськина [7] – 41,8%. Всего у 154 пациентов проведено УЗИ 172 периферических нервов с клиническими признаками повреждения (у 18 пациентов травма двух нервов). В таблице 1 представлены сведения о частоте повреждений отдельных нервных стволов в исследуемой группе и по данным F. Eser [17].
Таблица 1
Частота встречаемости повреждений различных периферических нервов
Нерв | Частота повреждений нерва, % (абс.) (наши данные) | F. Eser [17], % |
Срединный | 25,6 (44) | 21 |
Локтевой | 19,2 (33) | 27 |
Лучевой | 23,8 (41) | 21,9 |
Седалищный | 10,5 (18) | 11 |
Большеберцовый | 7 (12) | 0,6 |
Малоберцовый | 13,9 (24) | 6,8 |
При УЗИ 172 функционально страдающих периферических нервов были выявлены морфологические признаки повреждения 158 (91,9%) нервных стволов. 122 пациента были прооперированы в течение 1–2 месяцев после выполнения первичного УЗИ.
Консервативное лечение было проведено 32 пациентам. В таблице 2 представлено сравнение данных дооперационного УЗИ с выявленными изменениями в процессе оперативного вмешательства, а также с результатами консервативного лечения.
Таблица 2
Сравнение данных УЗИ с интраоперационными находками и результатами консервативной терапии при различных вариантах повреждения нервных стволов
Повреждение нервных стволов | УЗИ | Интраоперационная находка | Положительное консервативное лечение | Несовпадение данных |
Полный анатомический перерыв нервного ствола | 89 | 78 | – | 11 |
Частичный анатомический перерыв | 8 | 7 | – | 1 |
Грубое внутриствольное повреждение с наличием внутриствольных невром | 13 | 13 | – | – |
Внутриствольный отёк с нарушением дифференциации внутренней структуры нерва, в т.ч. вследствие огнестрельной контузии | 23 | – | 18 | 5 |
Сдавление под пластиной | 7 | 5 | – | 2 |
Невропатии без признаков повреждения нервных стволов при УЗИ | 14 | – | 12 | 2 |
Диагностическая эффективность УЗИ при травматических повреждениях периферических нервов представлена в таблице 3.
Таблица 3
Диагностическая эффективность УЗИ при повреждениях периферических нервов, %
Нерв | Частота повреждений нерва, % (абс.) (наши данные) | F. Eser [17], % |
Срединный | 25,6 (44) | 21 |
Локтевой | 19,2 (33) | 27 |
Лучевой | 23,8 (41) | 21,9 |
Седалищный | 10,5 (18) | 11 |
Большеберцовый | 7 (12) | 0,6 |
Малоберцовый | 13,9 (24) | 6,8 |
Из 129 пациентов с открытыми повреждениями у 89 были обнаружены признаки полного анатомического перерыва, у 8 нервы были повреждены частично. В 6 случаях последствий огнестрельных ранений конечностей с развитием невропатии того или иного нерва были выявлены только признаки отёка в виде снижения эхогенности с потерей волокнистой дифференцировки без нарушения анатомической целостности нервного ствола, что свидетельствовало о контузионном характере повреждения нерва и позволило отказаться от ревизионного оперативного вмешательства в ранние сроки после травмы. В 5 случаях из 6 нейротропная консервативная терапия привела к регрессу неврологического дефицита без выполнения операции. У одного пациента при контрольном УЗИ локтевого нерва на уровне нижней трети плеча выявилось вовлечение нервного ствола в выраженный посттравматический рубцово-спаечный процесс, что явилось показанием для выполнения операции невролиза. При УЗИ 19 пострадавших установлено, что анатомическая непрерывность нервных стволов сохранена, однако были выявлены признаки внутриствольного повреждения нерва.
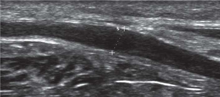
При полном повреждении нервного ствола на эхограмме визуализировались два конца нерва с отсутствием непрерывных контуров эпиневрия между ними и наличием гипоэхогенной зоны дефекта (рис. 1). В зависимости от сроков травмы на центральном конце нерва имелась посттравматическая неврома различных размеров, которая определялась в виде гипоэхогенного образования булавовидной формы. Чем более застарелая травма, тем ярче были выражены признаки дистрофических изменений как центрального, так и периферического концов нерва, которые проявлялись снижением эхогенности и нарушением дифференциации внутренней структуры.
Рис. 1. Продольная эхограмма. Полное повреждение локтевого нерва на уровне нижней трети предплечья с наличием гипоэхогенной зоны дефекта (стрелка) между концами нервного ствола
С точки зрения предоперационного планирования УЗИ позволяло определить не только точное местонахождение концов нерва и диастаз между ними, но и измерить истинный диастаз – с учётом резекции посттравматических невром. В результате дооперационного УЗИ 89 пациентов с полным перерывом нервного ствола у большей части (n=72) была спланирована операция по мобилизации и сопоставлению концов нерва с резекцией повреждённых участков и наложением микрохирургических эпиневральных швов. 17 пациентам была изначально запланирована аутопластика в связи со значительным дефектом нерва (более 6 см), который заведомо нельзя было устранить. По результатам оперативных вмешательств установлено, что совпадение предоперационных предположений с выявленными интраоперационными изменениями составило 84,7% у пациентов с небольшим диастазом и 94,1% у пациентов со значительным дефектом нервного ствола. У 11 (15,3%) пациентов интраоперационно нервы оказались морфологически целыми, однако были вовлечены в рубцово-спаечный процесс, который при УЗИ создавал картину нарушения анатомической целостности нервного ствола. Таким пациентам был выполнен невролиз. У 1 (5,9%) больного со значительным дефектом нервного ствола удалось провести операцию шва нерва без использования аутоневральных трансплантатов. Средний диастаз между концами поврежденного нерва по данным УЗИ в группе с незначительным дефектом составил 2,2±0,3 см; в группе пациентов, которым была выполнена аутопластика, – 6,4±0,4 см. По результатам интраоперационных находок диастаз между концами поврежденных нервов составил соответственно 2,9±0,3 и 7,3±0,4 см. Выявленные различия между измерениями подтверждаются статистическими методами: в группе пациентов с небольшим диастазом t=3,3 (р<0,05), в группе больных со значительным дефектом t=4,1 (р<0,05). Отличия в размерах диастаза между УЗИ и интраоперационными измерениями объясняются тем, что при подготовке к наложению шва нерва происходит выделение фрагментов нервного ствола и их мобилизация. При этом свободно лежащие концы нерва сокращаются, уменьшается их длина и итоговый диастаз интраоперационно оказывается больше, чем по данным дооперационного УЗИ.
Визуализация проксимальной культи нерва при полном повреждении, как правило, не вызывала затруднений. При выполнении УЗИ в срок до 3 недель с момента травмы у 12 (13,5%) пациентов проксимальная культя нерва визуализировалась в виде нормального нервного ствола с резко обрывающимся ходом. При УЗИ 66 (74,2%) пострадавших с давностью поражения более 3 недель на центральном конце нерва выявлялась посттравматическая концевая неврома. Однако у 3 больных (3,4%) при оперативном лечении определялись рубцово-спаечные изменения тканей вокруг центрального фрагмента нерва, которые при УЗИ были ошибочно приняты за наличие концевой невромы.
Визуализация дистальной культи нерва у 16 (20,5%) пациентов была затруднена из-за акустической тени рубцово-спаечных изменений области травматического поражения тканей, окружающих нервный ствол, которые определялись в виде конгломерата с участками различной эхогенности.
С увеличением временного промежутка от момента УЗИ до выполнения операции отмечалось увеличение диастаза между концами повреждённого нерва и их осевое отклонение относительно анатомического расположения. При выполнении оперативного вмешательства у 54 (69,2%) пациентов через 3–5 недель после УЗИ (при общей давности травмы нерва до 6 мес.), по данным интраоперационных измерений, отмечено увеличение диастаза между концами поврежденного нервного ствола в среднем на 1,1±0,1 см. По результатам операций, выполненных 24 (30,8%) больным в течение первых трёх недель после УЗИ, установлено, что расстояние между концами нервов в среднем увеличилось на 0,5±0,1 см.
При УЗИ 8 пациентов с частичным повреждением выявлялось отсутствие или нечёткость контуров одной из поверхностей нервного ствола на продольном или поперечном срезе, гипоэхогенная зона дефекта внутриствольной структуры с уменьшением толщины нерва на этом уровне. В 3 случаях, у пациентов с давностью повреждения более двух месяцев, визуализировалась боковая неврома. Все 8 пациентов с частичным повреждением нервов были прооперированы. Во время операции результаты дооперационного ультразвукового исследования совпали с окончательным диагнозом в 7 (87,5%) случаях. У 1 (12,5%) больного нечёткая визуализация локального участка эпиневрия и части нерва из-за вовлечения нервного ствола в рубцовый процесс после травмы была ошибочно принята во время УЗИ за частичное повреждение с наличием боковой невромы.
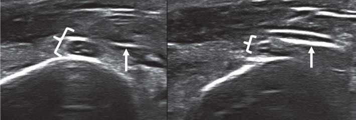
У 7 пациентов дооперационно была диагностирована причина нарушения функции лучевого нерва – сдавление нервного ствола под пластиной после лечения диафизарного перелома плечевой кости (рис. 2). Однако во время операций было установлено, что у двух пациентов нервный ствол не находился под пластиной, а проходил сбоку от неё, плотно прилегая к краю пластины. Ошибочное заключение УЗИ связано с частичным экранированием нервного ствола акустической тенью от металлической пластины.
Рис. 2. Поперечные эхограммы лучевого нерва (фигурная скобка) на уровне средней трети плеча с наличием пластины (стрелка) над нервным стволом
Из 25 пациентов с закрытой травмой у 14 пострадавших при первичном УЗИ не были выявлены морфологические признаки повреждения периферических нервов, они прошли курс консервативной терапии и реабилитации, в ходе которых у 12 пострадавших отмечалась положительная динамика. При повторной ультрасонографии через 2 месяца у 2 больных определялось локальное увеличение диаметра нерва с нарушением внутренней структуры нервного ствола и снижением эхогенности. Во время оперативного лечения была выявлена внутриствольная неврома.
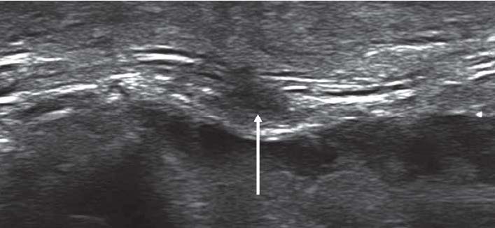
Мы объединили 11 (36,7%) пациентов с внутриствольными повреждениями при закрытой травме в одну группу с 19 (63,3%) пострадавшими с аналогичными изменениями при открытой травме. Всего у 30 пациентов с внутриствольными повреждениями нервов определялись следующие ультразвуковые признаки изменения нервных стволов: у 83,3% больных – снижение эхогенности нервного ствола, в 76,7% случаев – увеличение диаметра нерва, 56,7% – неровные и нечёткие наружные контуры, в 86,7% случаев – отсутствие чёткой внутренней дифференцированной структуры нерва (рис. 3).
Рис. 3. Продольная эхограмма тракционного повреждения общего малоберцового нерва (метки) на уровне подколенной ямки с наличием диффузного утолщения нервного ствола и потерей волокнистой внутренней структуры
Ввиду неэффективности консервативного лечения, а также отсутствия положительной динамики восстановления нормальной эхографической картины нервного ствола в течение 2–3 месяцев 13 (43,3%) пациентов этой группы были прооперированы после выполнения повторного УЗИ, которое в 9 (69,2%) случаях выявило картину, отличавшуюся от первого исследования. В частности, на месте локального нарушения внутренней дифференцированной структуры нерва со снижением эхогенности выявлялась типичная картина внутриствольной невромы. Во время операции выполнялось иссечение обнаруженной невромы с наложением эпиневральных швов.
У 4 (13,3%) пациентов этой группы отсутствовала положительная динамика восстановления функций нерва, в виду чего им была выполнена эксплоративная операция, при которой ультразвуковое заключение внешней непрерывности нерва с наличием внутриствольных изменений не совпало с интраоперационными находками. Оказалось, что концы нерва плотно срослись с рубцовой тканью и были спаяны между собой, имитируя внешнюю непрерывность нервного ствола.
Заключение. УЗИ, также как и ЭНМГ, является «методом выбора» в диагностике повреждений периферических нервов, позволяющим определить показания к оперативному вмешательству. Помимо этого, УЗИ – один из немногих доступных методов визуализации, который может выявить анатомическую целостность нервного ствола и предотвратить выполнение ревизионной операции. Чувствительность и специфичность УЗИ в выявлении повреждений периферических нервов составили 93,6 и 68,2% соответственно. Точность УЗИ равна 86,4% при уровне ложноотрицательных и ложноположительных ответов – 6,4 и 31,8% соответственно.
Полученные данные показывают, что общая информативность ультразвукового метода в выявлении повреждений периферических нервов конечностей, составляющая более 80%, позволяет рассматривать его в качестве одного из ведущих в диагностике данной патологии.
Об авторах
Е. А. Журбин
Военно-медицинская академия им. С.М. Кирова
Автор, ответственный за переписку.
Email: leon-doc89@mail.ru
Россия, Санкт-Петербург
А. И. Гайворонский
Военно-медицинская академия им. С.М. Кирова
Email: leon-doc89@mail.ru
Россия, Санкт-Петербург
И. С. Железняк
Военно-медицинская академия им. С.М. Кирова
Email: leon-doc89@mail.ru
Россия, Санкт-Петербург
В. С. Декан
Военно-медицинская академия им. С.М. Кирова
Email: leon-doc89@mail.ru
Россия, Санкт-Петербург
Л. И. Чуриков
Военно-медицинская академия им. С.М. Кирова
Email: leon-doc89@mail.ru
Россия, Санкт-Петербург
Е. Д. Алексеев
Военно-медицинская академия им. С.М. Кирова
Email: leon-doc89@mail.ru
Россия, Санкт-Петербург
Д. Е. Алексеев
Военно-медицинская академия им. С.М. Кирова
Email: leon-doc89@mail.ru
Россия, Санкт-Петербург
Д. В. Свистов
Военно-медицинская академия им. С.М. Кирова
Email: leon-doc89@mail.ru
Россия, Санкт-Петербург
Список литературы
- Айтемиров, Ш.М. Высокоразрешающая ультрасонография в диагностике и хирургии периферических нервов конечностей (обзор литературы) / Ш.М. Айтемиров [и др.] // Травматология и ортопедия России. – 2015. – № 3. – С. 116–125.
- Акимов, Г.А. Дифференциальная диагностика нервных болезней / Г.А. Акимов, М.М. Одинак. – М: Гиппократ, 2000. – 663 с.
- Берснев, В.П. Практическое руководство по хирургии нервов / В.П. Берснев, Г.С. Кокин, Т.О. Извекова. – СПб.: ФГУ «РНХИ им. проф. А.Л. Поленова, 2009. – Т. 1. – 296 с.
- Гайворонский, А.И. Интраоперационное ультразвуковое исследование в хирургии периферических нервов верхней конечности / А.И. Гайворонский [и др.] // Вестн. Росс. воен.-мед. акад. – 2015. – № 2 (50). – С. 56–59.
- Говенько, Ф.С. Хирургия повреждений периферических нервов / Ф.С. Говенько. – СПб.: Феникс, 2010. – 384 с.
- Григорович, К.А. Хирургическое лечение повреждений нервов / К.А. Григорович. – Л.: Медицина, 1981. – 301 с.
- Еськин, Н.А. Возможности ультразвукового исследования в диагностике повреждений и заболеваний периферических нервов верхней конечности / Н.А. Еськин, Н.Ю. Матвеева, С.Г. Приписнова // Вестн. травматол. и ортопед. – 2008. – № 2. – С. 82–87.
- Малецкий, Э. Ю. Измерение периферических нервов: сопоставление ультразвуковых, магнитно-резонансных и интраоперационных данных / Э.Ю. Малецкий [и др.] // Медицинская визуализация. – 2015. – № 2. – С. 78–86.
- Оганов, Р.Г. Основы доказательной медицины. Учебное пособие для системы послевузовского и дополнительного профессионального образования врачей / Р.Г. Оганов – М.: Силицея-Полиграф, 2010. – 136 с.
- Одинак, М.М. Заболевания и травмы периферической нервной системы (обобщение клинического и экспериментального опыта) / М.М. Одинак, С.А. Живолупов. – СПб.: СпецЛит. – 2009. – 367 с.
- Одинак, М.М. Нарушение невральной проводимости при травматической невропатии (патогенез, клинические синдромы, диагностика и лечение) / М.М. Одинак [и др.] // Воен.-мед. журн. – 2008. – № 2. – С. 28–39.
- Салтыкова, В.Г. Ультразвуковая диагностика состояния периферических нервов (норма, повреждения, заболевания): автореф. дис. ... д-ра мед. наук / В.Г. Салтыкова – М., 2011. – 48 с.
- Худяев, А.Т. Малоинвазивные методы лечения повреждений периферических нервов / А.Т. Худяев [и др.] // Гений ортопедии. – 2012. – № 1. – С. 85–88.
- Чуловская, И.Г. Возможности ультрасонографии в диагностике повреждений периферических нервов верхней конечности / И.Г. Чуловская [и др.] // Радиология-практика. – 2005. – № 3. – С. 11–16.
- Чуриков, Л.И. Современные аспекты хирургии повреждений лучевого нерва / Л.И. Чуриков [и др.] // Вестн. Росс. воен.- мед. акад. – 2016. – № 4 (56). – С. 14–18.
- Campbell, W.W. Evaluation and management of peripheral nerve injury / W.W. Campbell // Clin. Neurophysiol. – 2008. – Vol. 119. – P. 1951–1965.
- Eser, F. Etiological factors of traumatic peripheral nerve injuries / F. Eser [et al.] // Neurology India. – 2009. – Vol. 57. – № 4. – P. 434–437.
- Hak, D.J. Radial nerve palsy associated with humeral shaft fracture / D.J. Hak // Orthopedics. –2009. – Vol. 39. – P. 111–114.
- Lee, F.C. High-resolution ultrasonography in the diagnosis and intraoperative management of peripheral nerve lesions / F.C. Lee [et al.] // Neurosurg. – 2011. – Vol. 114. – P. 206–211.
- Mota, S. Peripheral nerve ultrasound – anatomy and technique for diagnosis and procedures / S. Mota [et al.] // ECR 2014, Educational exhibit. – 2014. – Vol. 112. – P. 1–48.
- Peer, S. High resolution sonography of the peripheral nervous system / S. Peer, G.Bodner // Springer. –Berlin, 2008. – 136 p.
- Sunderland, S. Nerves and Nerves injuries / S. Sunderland // Churchill Livingstone, 1978. – 1062 p.
Дополнительные файлы




