Применение высокочастотной денервации межпозвонковых суставов после оперативного лечения дегенеративно-дистрофических заболеваний позвоночника
- Авторы: Тюликов К.В.1, Мануковский В.А.2, Спицын М.И.2
-
Учреждения:
- Научно-исследовательский институт скорой помощи им. И.И. Джанелидзе
- Военно-медицинская академия им. С.М. Кирова
- Выпуск: Том 21, № 4 (2019)
- Страницы: 7-12
- Раздел: Статьи
- Статья получена: 17.02.2020
- Статья опубликована: 15.12.2019
- URL: https://journals.eco-vector.com/1682-7392/article/view/20651
- DOI: https://doi.org/10.17816/brmma20651
- ID: 20651
Цитировать
Полный текст
Аннотация
Представлены результаты исследования эффективности высокоч астотной денервации межпозвонковых суставов как современной минимально инвазивной методики лечения болевого синдрома после оперативного лечения дегенеративно-дистрофических заболеваний позвоночника. Дегенеративный процесс поражает все структуры позвоночника как сложной биомеханической системы. Поражение межпозвонковых суставов дегенеративным процессом сопровождает стенозы позвоночного канала, дегенеративные листезы позвонков, грыжевые выпячивания межпозвонковых дисков и играет значимую роль в развитии болевого синдрома в поясничной области. Создание спондилодеза в позвоночно-двигательном сегменте в результате оперативного лечения вызывает функциональные изменения в смежных сегментах в виде формирования компенсаторной гипермобильности. Эти изменения часто приводят к обострению хронических артрозов межпозвонковых суставов. Установлено, что минимально инвазивные электрохирургические методики проявили себя как безопасные и эффективные способы лечения тщательно отобранных пациентов с болью в пояснице и в ногах, вызванной дегенеративно-дистрофическим процессом. При этом осложнения при выполнении таких процедур крайне редки. У всех прооперированных больных в течение 3 месяцев наблюдения степень выраженности болевого синдрома по визуально-аналоговой шкале была меньше, а уровень удовлетворённости пациентов лечением дегенеративно- дистрофических заболеваний позвоночника была выше, чем у пациентов с последующим консервативным лечением болевого синдрома. Основными преимуществами методики являются их безопасность и эффективность, минимальная инвазивность.
Полный текст
Введение. Экономические потери от лечения пациентов с болью в нижней части спины в развитых странах достигают колоссальных цифр и выходят на первое место среди заболеваний лиц трудоспособного возраста [21]. Оперативному лечению подвергаются 15–17% пациентов, страдающих дегенеративно-дистрофическими заболеваниями позвоночника (ДДЗП). Помимо дискорадикулярного конфликта, причиной болевого синдрома часто является спондилоартроз пояснично-крестцового отдела позвоночника. Артроз фасеточных суставов в той или иной степени выраженности и значимости присутствует в каждом варианте дегенеративно-дистрофического процесса позвоночника [18]. Эта составляющая причины боли в пояснице не всегда бывает устранена в ходе оперативного лечения ДДЗП [8]. Кроме того, в современной хирургии позвоночника все чаще применяют стабилизирующие конструкции для устранения чрезмерной подвижности в пораженном сегменте, которая может усиливаться после декомпрессирующего этапа операции [1]. С учётом разнообразия вариантов нестабильности поясничного отдела позвоночника разработано большое количество операций: задний межтеловой спондилодез на поясничном отделе позвоночника, трансфораминальный межтеловой спондилодез, передний поясничный межтеловой спондилодез, трансартикулярная фиксация, динамическая транспедикулярная фиксация, комбинации методов [15]. Жесткая фиксация приводит к перераспределению нагрузок на соседние сегменты позвоночника и вызывает ускорение в них дегенеративно-дистрофических изменений. Присутствующий при ДДЗП спондилоартроз смежных суставов после фиксирующих операций обостряется в первые же сутки вследствие перестройки биомеханики позвоночника [9]. При удлинении фиксирующей конструкции выраженность спондилоартроза смежных уровней возрастает [13]. Проблема болевого синдрома в смежных позвоночно-двигательных сегментах частично решается применением динамических систем стабилизации, но такие методики имеют достаточно узкие показания для применения и не всегда полноценно заменяют физиологическую подвижность позвоночника [17].
Проблеме послеоперационной боли в спине при купировании корешкового синдрома после декомпрессивных и стабилизирующих операций до настоящего времени не было уделено должного внимания, а такая боль значительно снижает удовлетворенность больных оперативным лечением, ухудшает качество жизни пациентов и является важной медико-социальной и экономической проблемой [2, 4]. Пациенты после оперативного лечения по поводу дегенеративно-дистрофического заболевания позвоночника для купирования боли в нижнем отделе спины вынуждены прибегать к длительным дополнительным курсам консервативного лечения, находиться на реабилитационном лечении с потерей трудоспособности, что приводит к большим финансовым затратам [7].
В настоящее время в послеоперационном периоде от 8 до 25% пациентов в зависимости от вида операции и стадии болезни становятся инвалидами II группы [3]. Консервативное лечение болевого синдрома, обусловленного спондилоартрозом, в послеоперационном периоде занимает много времени и часто является причиной длительной госпитализации.
Приведенные многими специалистами данные указывают на неудовлетворенность клиницистов результатами оперативного лечения дегенеративных стенозов позвоночного канала, листезов позвонков. Этим объясняется увеличение показаний к повторной госпитализации и хирургическому лечению [12]. В последние десятилетия развилось целое направление в хирургии позвоночника – «ревизионная хирургия». В 1992 г. Н.А. Wilkinson [20] ввел термин «синдром неудавшейся операции на позвоночнике». Под этим термином автор подразумевает сохраняющийся болевой синдром после удаления грыжи диска.
Среди хирургических способов лечения болевого синдрома, вызванного спондилоартрозом, все большее распространение получают операции денервации дугоотростчатых суставов [19]. Целью данных вмешательств является прерывание путей болевой импульсации от межпозвонковых суставов, имеющее самостоятельный обезболивающий эффект и создающее основу для восстановления нормального двигательного стереотипа в поясничном отделе позвоночника [5].
Цель исследования. Оценить эффективность высокочастотной денервации межпозвонковых суставов (ВЧДМС) после оперативного лечения ДДЗП.
Материалы и методы. В Научно-исследовательском институте скорой помощи им. И.И. Джанелидзе и клинике военно-полевой хирургии Военно-медицинской академии им. С.М. Кирова прооперированы 68 пациентов в возрасте 30–57 лет, из них 37 мужчин и 31 женщина. Анамнез болевого синдрома пациентов составил от 6 месяцев до 7 лет.
Для сравнения эффективности применения ВЧДМС смежных позвоночно-двигательных сегментов исследовали пациентов, которые получали консервативное лечение болевого синдрома в поясничной области в послеоперационном периоде.
Для выполнения высокочастотной денервации пациенты отбирались по наличию инструментальных и клинических признаков спондилоартроза при отсутствии противопоказаний к манипуляции и других причин болевого синдрома. На этапе обследования пациентов до основного оперативного вмешательства (различные виды декомпрессии, фиксация позвоночника) у больных исключались артрозы смежных сегментов, требующие иммобилизации. В дооперационном периоде все пациенты обследовались по общим стандартам инструментального обследования пациентов с ДДЗП: магнитно-резонансная томография (МРТ), компьютерная томография (КТ), спондилография для оценки сагиттального баланса. Всем пациентам после основного этапа выполнялись контрольные КТ пояснично-крестцового отдела позвоночника, оценивалось состояние фиксирующей системы, смежных межпозвонковых суставов для установки причины локального болевого синдрома. При удовлетворительном состоянии фиксирующей системы, отсутствии стеноза позвоночного канала после оперативного лечения и наличии клинических признаков «нагрузочного» или сопутствующего спондилоартроза выполняли блокаду смежных фасеточных суставов.
При клиническом обследовании у пациентов были выявлены объективные признаки дегенеративного поражения позвоночника: сглаженность поясничного лордоза, напряжение паравертебральных мышц и другие мышечно-тонические синдромы, а также проявления нейродистрофического синдрома крестцово-подвздошного сочленения. В неврологическом статусе отсутствовали симптомы натяжения нервных стволов, а также признаки раздражения и компрессии нервных корешков. У большей части пациентов отмечен местный болевой синдром в поясничной области, усиливающийся при статических нагрузках и при пальпации паравертебральных точек. В 45% случаев отмечалась «отраженная» боль в области тазобедренных суставов, проксимальной части бедер.
Для уточнения степени выраженности болевого синдрома до манипуляции высокочастотной денервации и в динамике в послеоперационном периоде использовали визуально-аналоговую шкалу (ВАШ) [11]. Отсутствие боли соответствовало 0 баллам, наличие нестерпимой боли – 10 баллам. В дооперационном периоде среднее значение выраженности болевого синдрома (независимо от характера и локализации боли) равнялось 7,8 баллам (от 6 до 9). В последующем выраженность болевого синдрома фиксировали через 2 ч после манипуляции, через 1, 3, 5, 7 суток, через 1 и 3 месяца.
Для оценки статокинетической функции пациентам предлагалось отметить время безболезненного пребывания в положении сидя, стоя и при спокойной ходьбе. Положительным эффектом от лечения считали увеличение времени безболезненной статокинетической нагрузки на 30 мин и более.
При субъективной оценке эффективности лечения пациентами учитывались отказ от приёма анальгетиков, постепенное возвращение к повседневным бытовым физическим нагрузкам, стабильность положительных изменений во времени, в результате чего выводилась общая удовлетворённость лечением. При этом количество баллов шкалы удовлетворённости лечением (ШУЛ) соответствовало: 0 баллов – не удовлетворён, 1 балл – удовлетворён, 2 – хорошо,3 – очень хорошо, 4 балла – отлично [6].
С целью обработки и сравнения субъективных и объективных показателей использовался опросник оценки нарушений жизнедеятельности Освестри [10], который учитывает многие виды повседневной двигательной активности пациента.
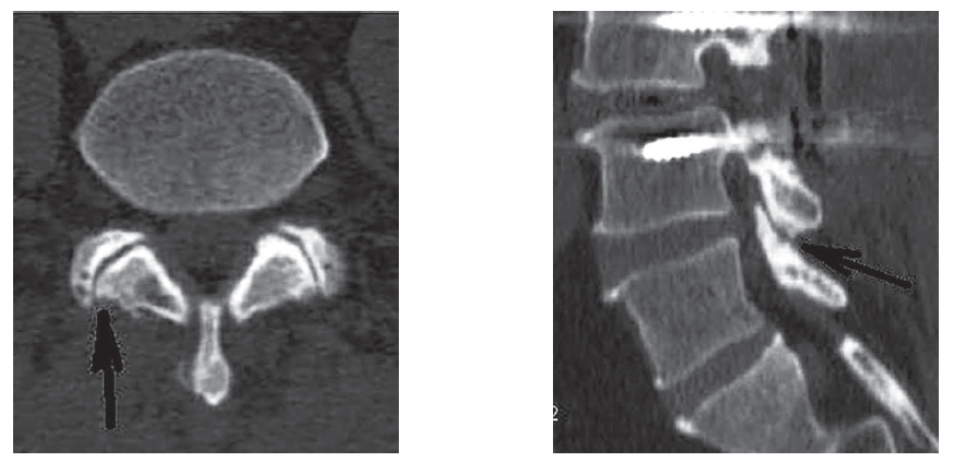
Обязательным обследованием перед процедуройВЧДМС была контрольная КТ (рис. 1).
Рис. 1. Признаки умеренных дегенеративных изменений суставов на КТ
Пункционная высокочастотная денервация межпозвонковых дисков и межпозвонковых суставов преследует цель уменьшить локальный болевой синдром, понизить выраженность мышечно-тонического синдрома. В отличие от медикаментозных блокад структур позвоночника, денервация с применением электромагнитного поля высокой частоты приносит более длительный и устойчивый эффект и в то же время обратимо денервирует капсулу сустава и межпозвонковый диск.
Показанием к выполнению ВЧДМС является наличие клинических и инструментальных признаков спондилоартроза и преобладание локальной боли в области пояснично-крестцового отдела позвоночника, усиливающейся при пальпации паравертебральных точек. Характерной чертой болевого фасеточного синдрома являются утренние боли, уменьшающиеся при бытовых движениях позвоночника, разминках, но усиливающиеся при статических и динамических нагрузках. Манипуляция неэффективна при выраженной корешковой симптоматике, стенозе позвоночного канала на этом уровне, при наличии выраженного рубцово-спаечного процесса в области межпозвонковых суставов. Противопоказанием к выполнению ВЧДМС является наличие воспалительного процесса в области суставов.
В наших случаях у пациентов, перенесших различные виды оперативных вмешательств по поводу ДДЗП, показанием к выполнению ВЧДМС считали наличие спондилоартроза смежных сегментов, не дошедшего до стадии деформации сустава и не вызывающего стеноз позвоночного канала. Денервация выполнялась на стороне преобладающего поражения суставов или с двух сторон. Под рентгенологическим контролем по костным ориентирам к иннервирующим суставы возвратным веточкам спинномозговых нервов подводили иглы-порты (рис. 2) и выполняли обработку нервов током высокой частоты по установленной методике. После выполнения процедуры высокочастотной денервации у 80% пациентов получен положительный результат в виде снижения болевого синдрома. В 17 наблюдениях в связи с возобновлением болей или преобладанием болевого синдрома с другой стороны была выполнена повторная процедура, полностью устранившая болевой синдром.
Рис. 2. Интраоперационные рентгенограммы при выполнении ВЧДМС
Вся процедура занимала в среднем 17 мин. Вставать пациенту разрешалось через 2 ч, приступать к повседневной двигательной деятельности – через 1 сутки. Средний срок госпитализации пациентов составил 12 суток, что определялось сроком заживления послеоперационной раны, активизацией пациента в пределах палаты. Сама процедура денервации не влияла на сроки госпитализации, активизации пациента, реабилитационные мероприятия. Пятнадцати пациентам процедура выполнялась в амбулаторном режиме с последующим наблюдением у невролога по месту жительства.
Дальнейшее восстановительное лечение у подавляющего большинства больных проводилось амбулаторно по стандартной программе под наблюдением невролога по месту жительства.
Контрольную группу составили 30 пациентов, которым после оперативного этапа лечения ДДЗП проводили консервативное лечение болевого синдрома в традиционном объёме, включающем инфузионную, обезболивающую терапию, физиопроцедуры, иглорефлексотерапию. Клинические проявления, степень выраженности болевого синдрома, анамнез заболевания и данные КТ были сходны с основной группой.
Результаты и их обсуждение. Установлено, что у 95% пациентов после высокочастотной денервации фасеточных суставов уже в ближайшие часы отмечался регресс неврологической симптоматики: уменьшился болевой синдром. Положительный эффект нарастал со временем и имел стойкий характер. С третьих суток отмечалось улучшение статики и динамики пояснично-крестцового отдела позвоночника. На 1–3-е и 5–7-е сутки отмечалось максимально быстрое и выраженное снижение выраженности болевого синдрома по шкале ВАШ (рис. 3).
Рис. 3. Динамика выраженности болевого синдрома по шкале ВАШ
В группе пациентов после выполнения высокочастотной денервации в течение 3 месяцев уровень индекса нарушения жизнедеятельности Осверти (ИНЖО) снизился по сравнению с исходным уровнем до 14,3+2,5% за счет более активного образа жизни вне стен клиники, но при выполнении предписанных ограничений и ортопедического щадящего режима. В группе пациентов, получавших консервативное лечение, ИНЖО снизился по сравнению с исходным уровнем до 47+4,7% (рис. 4).
Рис. 4. Динамика ограничений двигательной активности
При оценке статокинетической функции пояснично-крестцового отдела позвоночника также заметно расширился двигательный режим в конце первой недели после манипуляции. Эта положительная тенденция продолжалась после выписки из стационара и была зафиксирована при амбулаторных осмотрах пациентов. Пациентами было отмечено расширение двигательного режима и улучшение динамических показателей, сохраняющееся в течение года и более.
Показано, что после консервативного лечения спондилоартроза смежных сегментов со временем число неудовлетворённых лечением пациентов увеличивается, тогда как при применении высокочастотной денервации это число было стабильно низким (рис. 5). Осложнений ни в одном случае не отмечено.
Рис. 5. Динамика удовлетворенности лечением
Оптимальным временем выполнения ВЧДМС, на наш взгляд, являются 4–6-е сутки после оперативного лечения, когда пациенты достаточно активизированы и боль в области послеоперационной раны регрессировала.
Таким образом, в группе пациентов, перенесших денервацию, через 3 месяца после операции наблюдалось 84% отличных и хороших результатов лечения и 16% удовлетворительных. Удовлетворительным результатом считали снижение болевой симптоматики на 4–5 баллов по шкале ВАШ и снижение индекса ИНЖО до 40%, удовлетворительное отношение пациентов к процессу лечения. В случае консервативного лечения болевого синдрома в послеоперационном периоде отмечено 60% отличных и хороших результатов и 13% удовлетворительных. При возобновлении болевого синдрома в отдаленные сроки (более 1 года) процедура высокочастотной денервации может быть повторена в амбулаторных условиях с положительным эффектом. Показания к выполнению процедуры в таком случае определяет наблюдающий пациента нейрохирург, учитывая жалобы больного и объективные данные.
Заключение. По своей эффективности, безопасности и удобству применения методика высокочастотной денервации фасеточных суставов является, на наш взгляд, предпочтительной при купировании болевого синдрома в поясничной области после операций поводу ДДЗП.
При жалобах таких пациентов на сохраняющуюся боль в поясничной области или в проксимальных сегментах нижних конечностей, при выявлении у них признаков спондилоартроза нами предлагается следующий алгоритм лечебных мероприятий:
– контрольная КТ, оценка симптоматики пациента;
– блокада межпозвонковых суставов смежных позвоночно-двигательных сегментов при наличии объективных признаков спондилоартроза и характерных жалоб;
– высокочастотная денервация фасеточных суставов при положительном, но неустойчивом эффекте от блокады.
Выводы
При наличии признаков спондилоартроза после оперативного лечения ДДЗП ВЧДМС является эффективный методикой лечения болевого синдрома в поясничной области.
Применение ВЧДМС позволяет сократить срок пребывания больных в специализированном стационаре, улучшает результаты лечения.
Для определения показаний для выполнения ВЧДМС следует применять медикаментозную блокаду межпозвонковых суставов.
Об авторах
К. В. Тюликов
Научно-исследовательский институт скорой помощи им. И.И. Джанелидзе
Автор, ответственный за переписку.
Email: vmeda-nio@mil.ru
Россия, Санкт-Петербург
В. А. Мануковский
Военно-медицинская академия им. С.М. Кирова
Email: vmeda-nio@mil.ru
Россия, Санкт-Петербург
М. И. Спицын
Военно-медицинская академия им. С.М. Кирова
Email: vmeda-nio@mil.ru
Россия, Санкт-Петербург
Список литературы
- Акшулаков, С.К. Современные проблемы хирургического лечения дегенеративно-дистрофических заболеваний позвоночника / С.К. Акшулаков [и др.] // Нейрохирургия и неврология Казахстана. – № 1 (30). – С. 7–16.
- Быкова, Е.В. Интраоперационная профилактика боли в спине после микродискэктомии: дисс. … канд. мед. наук / Е.В. Быкова. – М., 2009. – 166 с.
- Макиров, С.К. Структурно-функциональные нарушения при остеохондрозе пояснично-крестцового отдела позвоночника (диагностика и хирургическое лечение): дис.… д-ра мед. наук / С.К. Макиров. – М., 2006. – 180 с.
- Олейник А.Д. Поясничный остеохондроз (вопросы эпидемиологии, трудоспособности, патогенеза и прогноза хирургического лечения): дис. … д-ра мед. наук / А.Д. Олейник. – СПб., 2004. – 268 с.
- Bellini, M.V. Single strip lesions radiofrequency denervation for treatment of sacroiliac joint pain: two years’ results / M.V. Bellini, M.R. Barbieri // Anaesthesiol Intensive Ther. – 2016. – № 48 (1). – P. 19–22.
- Boswell, M.V. A Best-Evidence Systematic Appraisal of the Diagnostic Accuracy and Utility of Facet (Zygapophysial) Joint Injections in Chronic Spinal Pain / M.V. Boswell // Pain Physician.– 2015. – № 18 (4). – P. 497–353.
- Brock, M.S. Lumbar microdiscectomy: subperiosteal versus transmuscular approach and influence on the early postoperative analgesic consumption / M.S. Brock, L.A. Kunkel, L.D. Papavero// Eur. Spine J. – 2008. – № 17 (4). – P. 518–522.
- Deyo, R.A. Trends and variations in the use of spine surgery / R.A. Deyo, S. K. Mirza // Clin. Orthop. Relat. Res. – 2006. – №443. – P. 139–146.
- Eliyas, J.K. Review Surgery for degenerative lumbar spine disease/ J.K. Eliyas, D. Karahalios // Dis Mon. – 2011. – № 57 (10). – P.592–606.
- Fairbank, J.C. The Oswestry low back pain disability questionnaire/ J.C. Fairbank [et al.] // Physiotherapy. – 1980. – Vol. 66, №8. – P. 271–273.
- Faiz, K.W. VAS- visual analog scale / K.W. Faiz // Tidsskr NorLaegeforen. – 2014. – P. 134–136.
- Fisher, C.F. Outcome evaluation of the operative management of lumbar disc herniation causing sciatica / C.F. Fisher // J. Neurosurg. – 2004. – № 100 (4). – P. 317–324.
- Jako, R.T. Minimally invasive percutaneous transpedicular screw fixation: increased accuracy and reduced radiation exposure by means of a novel electromagnetic navigation system / R.T. Jako // Acta Neurochir. – 2011. – № 153 (3).– P. 589–596.
- Jeong, S.Y. The effectiveness of endoscopic radiofrequency denervation of medial branch for treatment of chronic low back pain / S.Y. Jeong [et al.] // J. Korean Neurosurg. Soc. – 2014.– № 56 (4). – P. 338–343.
- Jose-Antonio, S.S. Philosophy and concepts of modern spine surgery/ S.S. Jose-Antonio, M. Baabor-Aqueveque, F. Silva-Morales // Advences in Minimally Invasive Surgery and Therapy for Spine and Nerves: Acta Neurochir. Suppl. – 2011. – № 108. – P. 23–31.
- Kanchiku, T.D. Percutaneous radiofrequency facet joint denervation with monitoring of compound muscle action potential of the multifidus muscle group for treating chronic low back pain: a preliminary report / T. Kanchiku [et al.] // J. Spinal Disord Tech. – 2014. – 27 (7). – P. 262–267.
- Kotani, Y.F. Mid-term clinical results of minimally invasive decompression and posterolateral fusion with percutaneous pedicle screws versus conventional approach for degenerative spondylolisthesis with spinal stenosis / Y. Kotani [et al.] // Eur. Spine J. – 2012. – № 21 (6). – P. 1171–1177.
- Loh, J.T. Efficacy of needle-placement technique in radiofrequency ablation for treatment of lumbar facet arthropathy / J.T. Loh [et al.] // J. Pain. Res. – 2015. – № 7. – P. 687–694.
- Nedelka, T.S. Mechano-transduction effect of shockwaves in the treatment of lumbar facet joint pain: comparative effectiveness evaluation of shockwave therapy, steroid injections and radiofrequency medial branch neurotomy / T. Nedelka [et al.]// Neuro Endocrinol Lett. – 2014. – № 35 (5). – P. 393–397.
- Wilkinson, H.A. Intrathecal Depo-Medrol: a literature review / H.A. Wilkinson // Clin. J. Pain. – 1992. – № 8 (1). – P. 49–56.
- Willburger, R.E. Clinical symptoms in lumbar disc herniations and their correlation to the histological composition of the extruded disc material / R.E. Willburger [et al.] // Spine, 2004. – № 29 (15). – P. 1655–1661.
Дополнительные файлы







