The use of self-adhesive composite in the treatment and prevention of secondary caries in the II class according to Black
- Authors: Borisova E.G., Nikitenko V.V.1, Vorobiova Y.B.1
-
Affiliations:
- Kirov Military medical academy
- Issue: Vol 21, No 4 (2019)
- Pages: 13-16
- Section: Articles
- Submitted: 17.02.2020
- Published: 15.12.2019
- URL: https://journals.eco-vector.com/1682-7392/article/view/20652
- DOI: https://doi.org/10.17816/brmma20652
- ID: 20652
Cite item
Full Text
Abstract
The quality of filling of carious cavities of class II according to Black, using adhesive preparation in the classical way and using a self-adhesive composite on a restored surface is analyzed in this article. On a human tooth extracted for medical reasons, a carious cavity of class II according to Black was prepared. Next, conditioning of the hard tissues of the tooth was performed. It was revealed that the conditioner is poorly washed out of the tooth cavity and there is a possibility that phosphoric acid will remain between the matrix system and tooth tissues, it can lead to complications. Then, an adhesive system was applied to the prepared cavity with a microapplicator, which was rubbed strictly according to the instructions, polymerized. On another tooth removed for medical reasons, the filling of the carious cavity of class II according to Black was performed by the self-adhesive fluid composite Vertise Flow according to the technique developed by us. Instead of adhesive and flowable material, the composite was applied on the prepared enamel of the contact surface. In the study of sections revealed that the restoration of the contact surface is made in accordance with the anatomical features of the tooth, with a high-quality edge fit. This demonstrate the effectiveness of filling without adhesive preparation of the contact point. The use of Vertise Flow self-adhesive composite, during restoration of class II according to Black, allows to improve the quality of treatment. Micromechanical retention, as a result of which interpenetration occurs between the polymerized particles of the Vertise Flow composite monomer and the dentin collagen fibers, allows the formation of a diffusion zone and close contact between the material and the enamel surface. This fact allows to eliminate the defect of filling by the absence of an «adhesive side», which occurs under the classical adhesive protocol, thereby making prevention of secondary caries of class II according to Black.
Full Text
Введение. Для работы в области контактных пунктов зубов используются матричные системы. На рынке представлено большое количество матричных систем, но ни одна из них не дает 100% гарантию качественного восстановления контактного пункта зубов. Распространенность кариеса на контактных поверхностях зубов приближается к 47,7% [5, 7], причём большую часть составляют поражения на дистальной поверхности жевательной группы зубов. Кариозная полость может располагаться на медиальной или дистальной контактной поверхности, либо кариозным процессом могут одновременно поражаться обе контактные поверхности зуба. Достаточно часто кариозная полость II класса по Блеку остается недиагностированной в начальной стадии развития кариеса. Это приводит к увеличению патологического процесса. Пациент обращается с жалобами на остатки еды между зубами после приема пищи, на боли от различных раздражителей. Чтобы избавиться от дискомфорта, он прочищает межзубные промежутки флоссом или зубочисткой, что усугубляет процесс воспаления десневого сосочка из-за его травмы. Образуется зубодесневой карман. Доступ к полостям на контактных апроксимальных поверхностях моляров и премоляров часто затруднителен при восстановлении этих дефектов, кроме этого проблемы возникают при восстановлении зуба под десневым краем [1, 5, 6].
Существует множество методик реставраций данных дефектов. Так, А.В. Салова [2, 6] рекомендует пломбировать кариозную полость II класса по Блеку активной или пассивной методикой, используя текучий композит на границе твердых тканей зуба. Данная методика включает в себя предварительную адгезивную обработку. При распылении адгезива воздухом под воздействием воздушного потока адгезивная система смещается в места, подверженные наименьшему давлению воздуха, т.е. на края полости, где с одной стороны матрица, а с другой– ткани зуба. Таким образом, образуется «бортик» на границе эмали. Несмотря на применение матричных систем, клиньев, последствия пломбирования могут привести к нежелательным осложнениям – кариесу корня зуба и образованию зубодесневого кармана.
Цель исследования. Изучение качества пломбирования контактных поверхностей жевательных зубов.
Материалы и методы. Обследованы 84 пациента с кариозными дефектами в полостях II класса по Блеку. У всех обследованных были дефекты пломбирования – нависающий край из композита или наличие щели при неполном пломбировании в околодесневой области зуба. В связи с тем, что препарирование таких полостей, как правило, производится через жевательную (окклюзионную) поверхность, их дополнительно подразделяют на медиально-окклюзионные, дистально-окклюзионные и медиально-окклюзионно-дистальные(МОД). Несмотря на присутствие в названии слова«окклюзионная», полость II класса по Блеку — это поражение контактной поверхности, не всегда включающее в себя дефект на жевательной поверхности.Для изучения качества пломбирования кариозных полостей II класса по Блеку было проведено исследование на двух удаленных по медицинским показаниям зубах.
Результаты и их обсуждение. На первом экстрагированном зубе провели препарирование кариозной полости II класса по Блеку (рис. 1). Далее установили матричную систему SuperMat, осуществили кондиционирование ортофосфорной кислотой твердых тканей зуба. При этом обратили внимание, что кислота плохо вымывается из полости и есть вероятность, что она останется между матричной системой и тканями зуба. Длительность реставрации варьирует от 30 мин до 1 ч, и все это время травильный гель деминерализует ткани зуба. Это первая причина, которая может привести к осложнениям. Затем строго по инструкции втирали микроаппликатором адгезивную систему, полимеризовали (рис. 2).
Рис. 1. Препарирование кариозной полости II класса по Блеку
Рис. 2. Установка матричной системы SuperMat и нанесение адгезива
После снятия матричной системы сфотографировали зуб и обратили внимание на прозрачный «бортик» из адгезива на границе твердых тканей зуба (рис. 3).
Рис. 3. Прозрачный «бортик» из адгезива на границе твердых тканей зуба
Известно, что полимеризованный адгезив неустойчив к слюне. Это является второй причиной осложнений, так как граница пломбировочного материала и тканей зуба будет зоной риска для развития кариозного процесса. Так как эмаль – это минерализованная ткань, во время её препарирования происходят микросколы и трещины, что также способствует развитию кариозного процесса.
На другом удаленном зубе использовали разработанную нами методику пломбирования кариозной полости II класса по Блеку самоадгезивным текучим композитом Vertise Flow. Его наносили вместо адгезива и текучего материала на отпрепарированную эмаль контактной поверхности. После этого полость пломбировали композитом. Произвели распил зуба (рис. 4), на котором отчетливо прослеживается плотное краевое прилегание между твердыми тканями зуба и композитом (рис. 5, 6).
Рис. 4. Шлиф экстрагированного зуба
Рис. 5. Фрагмент шлифа зуба
Рис. 6. Плотное краевое прилегание между твердыми тканями зуба и композитом
Самоадгезивный текучий композит Vertise Flow компании KERR содержит бондинговый агент на основе известной технологии OptiBond. При этом степень адгезии составляет 19 мПа к дентину и22 мПа к эмали, что по силе адгезии сравнимо с самопротравляющими адгезивными системами. Для улучшения краевой герметизации эмалевой границы и исключения образования адгезивного «бортика» полости при пломбировании II класса по Блеку предлагаем текучий композит Vertise Flow втирать в ткани зуба. При таком использовании происходит проникновение полимеризованных частиц мономера Vertise Flow в коллагеновые волокна дентина и эмалевые призмы.
Для иллюстрации эффективности предлагаемой нами методики пломбирования кариозных полостей приводим клинический пример.
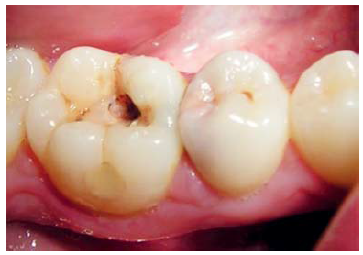
Пациентка А. 38 лет обратилась с жалобами на остатки еды в межзубном пространстве 4.5 и 4.6 зубов после приема пищи. При осмотре четко видны пигментация эмали, скрытая кариозная полость на дистально-окклюзионной поверхности зуба 4.5 (II класс по Блеку) и жевательной поверхности зуба 4.6 (I класс по Блеку) (рис. 7).
Рис. 7. Жевательная поверхность зубов
Зондирование вызвало папиллярное кровотечение. Диагностировали кариес дентина, зубов 4.5 (II класс по Блеку) и 4.6 (I класс по Блеку), локальный гингивит. В процессе лечения провели профессиональную гигиену пастой Cleanic, инфильтрационную, затем интрапапиллярную анестезию. Зафиксировали изоляционную систему OptiDam (рис. 8). Далее препарировали кариозные полости зубов 4.5 и 4.6 с водяным охлаждением. Жевательную поверхность зуба 4.6 отреставрировали методом без адгезивного пломбирования. После селективного кондиционирования зуба 4.6 втирали в течение 20 с самоадгезивный композит Vertise Flow по всей операционной поверхности, полимеризовали 10 с. Затем проводили реставрацию композитом РREMIS с низкими показателями усадки слоёв дентина цветом А3, слоёв эмали – цветом А2. Устанавливали штрипсу вместо матричной системы. В полости зуба 4.5 проводили кондиционирование (чтобы удалить «смазанный слой»), микроаппликатором в течение 20 с втирали самоадгезивный композит Vertise Flow на эмаль зуба. Согласно инструкции, полимеризовали 10 с, далее проводили адгезивную обработку по классической методике с применением адгезивной системы, для этого использовали OptiBond Solo Plus. При восстановлении дефекта зуба 4.5 восполнили элементы первичной анатомии зубов, воспроизводили окклюзионные поверхности и краевой дистальный гребень (рис. 9).
Рис. 8. Зафиксированная изоляционная система зуба 4.6 OptiDam
Рис. 9. Окклюзионные поверхности и краевой дистальный гребень зуба
При использовании матрицы затруднен процесс полирования восстановленного контактного пункта, ее заменили на штрипсу. Штрипсу устанавливали так, чтобы неабразивная поверхность выполняла роль матрицы. После реставрации зуба 4.6 и зуба 4.5 обратно поступательными движениями вынимали штрипсу, одновременно полировали контактную поверхность (рис. 10).
Рис. 10. Полирование контактной поверхности зубов
На заключительном этапе проводили предварительное и окончательное шлифование зубов 4.6 и4.5, от качества которого зависит снижение ретенции зубной бляшки и долговременность реставрации.
Выводы
- Применение самоадгезивного композита Vertise Flow при реставрации зубов 4.6 и 4.5 II класса по Блеку позволяет повысить качество лечения кариеса и его осложнений.
- Использование композитов с низкой усадкой снижает отрыв материала от стенок полости, гарантирует долгосрочную реставрацию зубов.
About the authors
E. G. Borisova
Author for correspondence.
Email: vmeda-nio@mil.ru
Kirov Military medical academy; Saint-Petersburg State University
Russian FederationV. V. Nikitenko
Kirov Military medical academy
Email: vmeda-nio@mil.ru
Russian Federation, Saint Petersburg
Yu. B. Vorobiova
Kirov Military medical academy
Email: vmeda-nio@mil.ru
Russian Federation, Saint Petersburg
References
- Абрамов, А.В. Применение иммуномодуляторов при лечении переломов нижней челюсти у пациентов пожилого возраста с неполной вторичной адентией / А.В. Абрамов [и др.] // Эксперимент. и клин. фармакология. – 2014. – Т. 77, № 9.– С. 23–27.
- Воробьева, Ю.Б. Анализ и пути оптимизации краевой адаптации пломбировочного материала на жевательной группе зубов / Ю.Б. Воробьева // KERR NEWS. – 2014. – С. 14.
- Николаев, А.И. Препарирование кариозных полостей: современные инструменты, методики, критерий качества/ А.И. Николаев. – М.: МЕДпресс-информ, 2006. – 208 с.
- Руле, Ж.Ф. Адгезивные технологии в эстетической стоматологии / Ж.Ф. Руле: пер. с англ. – М.: МЕДпресс-информ, 2010. – 200 с.
- Салова, А.В. Восстановление контактных областей зубов с помощью матричных систем / А.В. Салова. – М.: МЕДпресс- информ, 2011. – 160 с.
- Black, G.V. Operative Dentistry / G.V. Black // Treatment of Caries. G.V Black. – Chicago: Medico-Dental, 1948. – Vol. 3. – Р. 145–158.
- Mjor, I.A. Placement and replacement of restorations / I.A Mjor // Oper Dent. – 1981. – № 6. – Р. 49–54.
Supplementary files












