Особенности патолого-анатомической диагностики грамотрицательного и грамположительного сепсиса
- Авторы: Чирский В.С.1, Юзвинкевич А.К.1, Андреева Е.А.1
-
Учреждения:
- Военно-медицинская академия им. С.М. Кирова
- Выпуск: Том 21, № 4 (2019)
- Страницы: 17-21
- Раздел: Статьи
- Статья получена: 17.02.2020
- Статья опубликована: 15.12.2019
- URL: https://journals.eco-vector.com/1682-7392/article/view/20653
- DOI: https://doi.org/10.17816/brmma20653
- ID: 20653
Цитировать
Полный текст
Аннотация
Проанализировано 80 наблюдений летальных исходов с клиническим диагнозом «сепсис». Данные о выполнении прижизненного микробиологического исследования крови имелись в 26 случаях, посмертно посевы крови и кусочков органов проводились в 45 наблюдениях. Наряду с оценкой данных микробиологического исследования проводился анализ наличия и выраженности гнойного метастазирования. В 31 наблюдении патолого-анатомический диагноз был подтвержден – во внутренних органах обнаруживались метастатические гнойные очаги. При повторном исследовании архивных микропрепаратов особое внимание уделялось поискам малозаметных мелких метастатических септических очажков (мини-очажков) в миокарде, почках, головном мозге. Оценке выраженности также подверглись признаки поражения микроциркуляторного русла: повреждение эндотелия, активация свертывающей системы крови, повышение проницаемости и воспалительная реакция. Все наблюдения, в которых проводилось прижизненное микробиологическое исследование, были разделены на две группы: с грамположительной бактериемией и грамотрицательной бактериемией. Проведена оценка выраженности гнойного метастазирования в зависимости от выделяемой при микробиологическом исследовании микрофлоры. Выявлено, что для грамотрицательной микрофлоры характерно отсутствие либо минимально выраженные метастатические очажки в виде мини-очажков. Выполнено сопоставление числа признаков нарушений микроциркуляции при грамотрицательном и грамположительном сепсисе. Полученное соотношение позволило считать выраженные и распространенные признаки повреждения эндотелия (слущивание эндотелия, выход единичных нейтрофилов, феномен краевого стояния, фибриноидный некроз стенок сосудов) объективными микроскопическими критериями, свидетельствующими в пользу грамотрицательного сепсиса.
Ключевые слова
Полный текст
Введение. Сепсис – жизнеугрожающее состояние, требующее особого подхода в диагностике и лечении ввиду сложности этиопатогенеза, наличия многочисленных звеньев развития, а также зависимости течения как от состояния организма-хозяина, так и от этиологического фактора, вызвавшего его. По данным Всемирной организации здравоохранения (ВОЗ) [2], в год сепсис осложняет течение основного заболевания у 31 миллиона пациентов, к летальному исходу сепсис приводит 6 миллионов из них. Несмотря на постоянное развитие в области диагностики и лечения, заболеваемость сепсисом растет. 26 мая 2017 г. Всемирная ассамблея и ВОЗ назвали сепсис приоритетом в области здравоохранения, приняв резолюцию по совершенствованию профилактики, диагностики и клинического ведения сепсиса [2]. Через Городской центр по лечению тяжелого сепсиса, развернутый на базе Санкт-Петербургского научноисследовательского института скорой помощи им. И.И. Джанелидзе, ежегодно проходит лечение 400–460 пациентов. В результате внедрения современных принципов лечения удалось снизить летальность от сепсиса с 45 до 29% [11].
В настоящее время возникает много разногласий относительно этиологии сепсиса. Традиционно причиной развития сепсиса считают бактерии и грибы, вызывающие формирование первичного инфекци-онного гнойного очага, из которого в последующем происходит гематогенное распространение возбудителей и его фрагментов в ткани и органы, не связанные с источником [1, 3, 7, 5].
В настоящее время отмечается тенденция к увеличению роли грамположительных микроорганизмов в развитии сепсиса [3, 13, 14, 12]. При этом более тяжелое течение с развитием септического шока и летальным исходом наблюдается в случаях грамотрицательного сепсиса [4, 9]. Среди грамотрицательных микроорганизмов наиболее часто причиной сепсиса становятся Klebsiella pneuvmoniae, Acinetobacter baumanii, Pseudomona aeruginosa [16].
Наличие классических метастатических гнойныхочагов при грамположительном сепсисе является следствием наличия в структуре стенки бактерий липотейхоевой кислоты, являющейся сильным стимулом для хемотаксиса нейтрофильных лейкоцитов, а также продукции ими экзотоксинов, обладающих гистолитическим действием. Особенностью сепсиса, вызванного грамотрицательными бактериями, является более выраженное повреждение эндотелия и стенок сосудов микроциркуляторного русла, а также наличие сладж-феномена, связанного с наличием в структуре стенки эндотоксина – липополисахарида. При попадании грамотрицательных бактерий и их компонентов в системный кровоток эндотоксин активирует паттерн-распознающие рецепторы – толлподобные рецепторы 4 типа [5, 6], находящиеся не только на лейкоцитах, но и на эндотелиальных клетках. Стимуляция данных рецепторов приводит к активации факторов транскрипции (NF-Kβ, белок-активатор-1 и interferon-response factor-3), которые приводят к активации провоспалительных генов, кодирующих индуцибельную синтазу NO, фактор некроза опухоли-β и интерферон-β [13]. Кроме того, под действием эндотоксина активируется апоптоз эндотелиальных клеток по сигнальному пути Hippo, чему способствует фактор некроза опухоли и интерлейкин-1 и морфологическим проявлением чего является десквамация эндотелиоцитов [17].
Многие авторы [8, 13, 14, 16] отмечают различие в течении и прогнозе сепсиса в зависимости от принадлежности вызвавших его микроорганизмов к грамотрицательным либо грамположительным.
Несмотря на многочисленные исследования, направленные на поиск различий в клинической картине, иммунологическом ответе при грамотрицательном и грамположительном сепсисе, остается открытым вопрос, какие же морфологические отличия возможно выявить и какие признаки служат для градации степени тяжести сепсиса, вызванного грамположительными и грамотрицательными бактериями.
Цель исследования. Дать патолого-анатомическую характеристику изменений в органах при сепсисе, вызванном грамотрицательными и грамположительными бактериями.
Материалы и методы. Проанализировано 80 случаев летальных исходов в клиниках Военно-медицинской академии им. С.М. Кирова за период с 2007 по 2017 г. с клиническим диагнозом «сепсис». Данные о выполнении прижизненного микробиологического исследования крови имелись в 26 случаях, посмертно посевы крови и кусочков органов проводились в 45 наблюдениях.
Соотношение пациентов с клиническим диагнозом «сепсис» по полу, возрасту, длительности госпитализации и по продолжительности антибактериального лечения в нашем исследовании оказалось примерно равным (табл. 1).
Таблица 1
Распределение наблюдений по полу, возрасту, длительности госпитализации и продолжительности антибиотикотерапии
| Показатель | Возраст, лет | Длительность госпитализации, сутки | Продолжительность антибиотикотерапии, сутки |
| Мужчины, =38 | 35-77 | 1-52 | 1-52 |
| Женщины, =42 | 20-83 | 1-68 | 1-64 |
Проведен сравнительный анализ клинических данных, показателей системной воспалительной реакции, биохимических маркеров органной недостаточности и патоморфологических признаков нарушения микроциркуляции, повреждения клеток органов, наличия воспалительных инфильтратов. Для оценки повреждения микроциркуляторного русла использовались такие критерии, как наличие лейкостазов, краевого стояния лейкоцитов, эозинофильных свертков в просветах сосудов, диапедезных кровоизлияний в головном мозге, а также сладж-феномен.
Выполнялось микроскопическое исследование архивных микропрепаратов, особое внимание уделено изучению миокарда, почек, головного мозга.
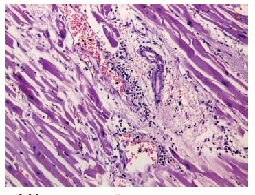
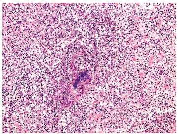
Результаты и их обсуждение. В зависимости от степени выраженности деструктивно-воспалительных поражений тканей органов все наблюдения были распределены следующим образом [10]: 1 – макроскопически различимые абсцессы (6 чел.); 2 – микроскопические абсцессы (4 чел.) (рис. 1); 3 – с минимально выраженным гнойным метастазированием в виде мини-очажков, представляющих собой скопления до 10 лейкоцитов, часть из которых – нейтрофильные гранулоциты (22 чел.) (рис. 2); 4 – без признаков гнойного метастазирования (13 чел.).
Рис. 1. Метастатический гнойник в почке. Видна колония бактерий в просвете сосуда с некрозом его стенки, крупный очаг нейтрофильных гранулоцитов, окраска гематоксилином и эозином, ув. ×200
Рис. 2. Метастатический мини-очажок в миокарде, окраска гематоксилином и эозином, ув. ×200
В большинстве наблюдений как прижизненно (39%), так и посмертно (78%) выявлялась грамотрицательная микрофлора. При проведении прижизненного исследования в 5 (17%) случаях была обнаружена Klebsiella pneumoniaе, в 2 (7%) – Acinetobacter baumanii, в 3 (10,3%) – Pseudomonas aeroginosa. Грамположительная микрофлора выявлена в 19% случаев прижизненно и в 6 случаях – посмертно. В 1 (3,4%) случае выделен Staphylococcus warnery, в 4 (13,8%) – Staphylococcus aureus, в 2 (7%) – Staphylococcus epidermidis, Enterococcus был обнаружен в 2 случаях, в одном из них в сочетании с Acinetobacter baumanii. Стерильным посев крови оказался в 6 (21%) наблюдениях.
При проведении посмертного исследования крови и тканей микрофлора была в 13 (28%) случаях представлена монокультурой Klebsiella pneumoniaе, в 7 (16%) наблюдениях выявлена ассоциация Klebsiella pneumoniaе с Acinetobacter baumanii, в 8 (18%) случаях определялось сочетание Klebsiella pneumoniaе с другими грамотрицательными микроорганизмами. Среди грамотрицательных микроорганизмов также выявлялись монокультура Acinetobacter baumanii (1 случай), ассоциация Acinetobacter baumanii с энтеробактером (1 случай) и Esherichiae coli (1 случай), Сitrobacter (1), Esherichiae coli (2 случая), Pseudomonas aeruginosa (1 наблюдение), Proteus (1 случай). Грамположительная микрофлора была представлена в 3 (7%) случаях Staphylococcus aureus, в 1 случае – энтерококком. В 5 случаях Staphylococcus aureus выделялся в сочетании с грамотрицательной микрофлорой: протеем (2 случая), Klebsiella pneumoniae (2 случая), Pseudomonas aeruginosa (1 наблюдение).
Наблюдения, в которых прижизненно определялась грамположительная бактериемия, входили в группы с наличием метастатических гнойных очагов. В группе с мини-очажками выявлено 2 случая с грамположительной прижизненно зарегистрированной бактериемией, однако при анализе данных клинического эпикриза установлено, что микробиологическое исследование проводилось в начале госпитализации до проведения антибактериального лечения. При посмертном бактериологическом исследовании в данных наблюдениях определялась грамотрицательная микрофлора.
При анализе результатов микробиологического исследования (прижизненных и посмертных посевов биологических сред и тканей) группы с гнойными метастазами выявлены как грамположительные (Staphylococcus aureus), так и грамотрицательные микроорганизмы (Klebsiella pneumoniaе, Acinetobacter baumanii, Pseudomonas aeroginosa). В 2 случаях отмечена смена возбудителей с грамположительных на грамотрицательные. В 2 других наблюдениях посмертно выявлена грамотрицательная микрофлора, что, на первый взгляд, противоречит данным литературы о том, что септикопиемия обусловлена грамположительными микробами. Однако, учитывая факт отсутствия в данных наблюдениях микробиологического исследования гноя и крови, а также длительность течения сепсиса (свыше 30 суток), возможно предположить прижизненно произошедшую смену грамположительных возбудителей на грамотрицательные.
Также обратил на себя внимание случай, где из первичного источника и из сред организма была выделена культура синегнойной палочки (Pseudomonas aeruginosa) в сочетании с другим грамотрицательным микроорганизмом, Acinetobacter baumanii, что подтвердилось при посмертном исследовании. Однако срок госпитализации данного пациента составлял 56 суток, что, видимо, оказалось достаточным для формирования метастатических очагов в органах и тканях пациента (головной мозг, миокард, почки).
Для групп с мини-очажками и без признаков гнойного метастазирования характерно выделение грамотрицательной микрофлоры. Как прижизненно, так и посмертно чаще всего выявлялись Klebsiella pneumoniaе и Acinetobacter baumanii. В 2 случаях в группе с мини-очажками была прижизненно выделена грамположительная флора, посмертно же выявлялись только грамотрицательные микроорганизмы. В группе без признаков гнойного метастазирования также выявлены 2 случая с прижизненно зарегистрированной грамположительной бактериемией.
При оценке повреждения микроциркуляторного русла выявлены различия между грамположительной и грамотрицательной микрофлорой (табл. 2).
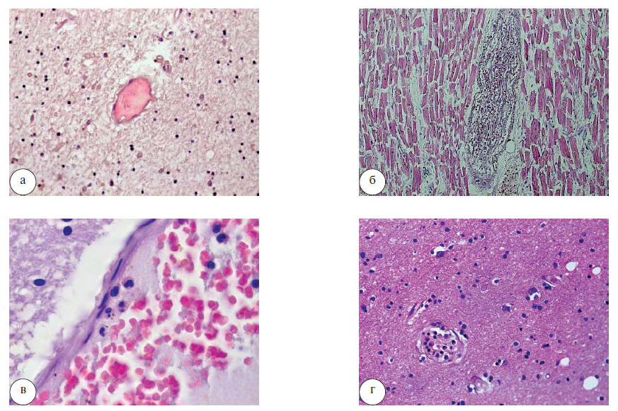
По данным гистологического исследования, в случае прижизненно зарегистрированной грамотрицательной микрофлоры достоверно (р<0,05) чаще выявлены такие признаки, как сладж-феномен (рис. 3а), слущивание эндотелия в просвет сосудов (рис. 3б), краевое стояние и выход единичных нейтрофилов за пределы сосудистой стенки (рис. 3в), а также фибриноидный некроз стенки сосудов микроциркуляторного русла (рис. 3г). Все эти явления свидетельствуют о более выраженном поражении эндотелия сосудов при грамотрицательном сепсисе.
Рис. 3. Гистологические признаки поражения микроциркуляторного русла: а – в головном мозге: сладж-феномен, ув. ×40; б – в миокарде: слущенные эндотелиоциты в просвете сосуда, ув. ×200; в – в головном мозге: краевое стояние и адгезия нейтрофилов, ув. ×1000; г – в головном мозге: фибриноидный некроз стенки сосуда, лейкостаз, ув. ×200. Окраска гематоксилином и эозином
Таблица 2
Соотношение числа морфологических признаков нарушений микроциркуляции при грамположительной и грамотрицательной микрофлоре, %
Показатель | Микрофлора | |
Показатель | грамположительная | грамотрицательная |
Микротромбы | 55 | 53 |
Сладж-феномен | 55 | 90 |
Лейкостазы | 67 | 71 |
Слущенный эндотелий | 44 | 77 |
Выход единичных нейтрофилов | 0 | 43 |
Краевое стояние нейтрофилов | 0 | 43 |
Диапедезные кровоизлияния | 89 | 54 |
Фибриноидный некроз стенки сосудов головного мозга | 44 | 83 |
Некроз петель клубочков почки | 22 | 67 |
При статистическом анализе выявлено, что в группе с грамотрицательной микрофлорой имелась положительная корреляционная связь между наличием и выраженностью сладж-феномена и уровнем прокальцитонина (rxy=0,75; p<0,05), диапедезными кровоизлияниями и уровнем прокальцитонина (rxy=0,89; p<0,05). Обнаружена положительная корреляция между уровнем полиорганной недостаточности, оцененной по шкале полиорганной недостаточности (Sepsis-related organ failure assessment – SOFA), и наличием некрозов петель клубочков (rxy=0,70; p<0,05). Также положительная корреляционная связь была зарегистрирована между уровнем общего билирубина и центролобулярными некрозами печени (rxy=0,82; p<0,05), между уровнем креатинина и сладж-феноменом в сосудах почки (rxy=0,69; p<0,05). Отражением повреждения миокарда при сепсисе явилась положительная корреляционная связь между дозой инотропной поддержки и нейтрофильной инфильтрацией (rxy=0,60; p<0,05), сладж-феноменом в миокарде (rxy=0,79; p<0,05). Положительная корреляционная связь была выявлена и между уровнем лейкоцитов периферической крови и диапедезными кровоизлияниями в миокарде (rxy=0,74; p<0,05), лейкоцитарными стазами (rxy=0,64; p<0,05). Также определена положительная корреляционная связь между наличием и выраженностью соскоба селезенки и распространенностью лейкостазов в сосудах головного мозга (rxy=0,87; p<0,05), лейкоцитарными стазами в миокарде (rxy=0,64; p<0,05).
Заключение. Грамотрицательный и грамположительный сепсис имеют разную морфологическую картину. Для грамположительного сепсиса характерно наличие метастатических гнойных очагов в виде абсцессов, в то время как для грамотрицательного сепсиса присуще минимально выраженное гнойное метастазирование вплоть до его отсутствия. Выявленные в группе грамотрицательного сепсиса корреляционные связи между уровнем прокальцитонина, показателями шкалы SOFA и признаками повреждения микроциркуляторного русла свидетельствуют о зависимости тяжести клинических проявлений от поражения стенок сосудов.
Таким образом, грамположительный и грамотрицательный сепсис имеет характерную морфологическую картину, заключающуюся в преобладании гнойного метастатического процесса при наличии грамположительных бактерий и выраженном повреждении микроциркуляторного русла при грамотрицательной микрофлоре, что связано с особенностями иммунного ответа на антигены бактерий.
Об авторах
В. С. Чирский
Военно-медицинская академия им. С.М. Кирова
Автор, ответственный за переписку.
Email: vmeda-nio@mil.ru
Россия, Санкт-Петербург
А. К. Юзвинкевич
Военно-медицинская академия им. С.М. Кирова
Email: vmeda-nio@mil.ru
Россия, Санкт-Петербург
Е. А. Андреева
Военно-медицинская академия им. С.М. Кирова
Email: vmeda-nio@mil.ru
Россия, Санкт-Петербург
Список литературы
- Белянин, В.Л. Сепсис. Патологическая анатомия: пособие для врачей / В.Л. Белянин, М.Г. Рыбакова, Г.Б. Ковальский.– СПб.: ГПАБ, 2004. – 56 с.
- Всемирная организация здравоохранения. Резолюция WHA70.7. Доклад секретариата ВОЗ A70/13. Резолюция по совершенствованию профилактики, диагностики и клинического ведения сепсиса. 26.05.2017 г. – Женева, 2017. – С. 1–9.
- Гельфанд, Б. Р. Сепсис: классификация, клинико- диагностическая концепция и лечение / Б.Р. Гельфанд, В.С. Савельев. – М.: МИА, 2010. – 408 с.
- Грувер, К.П. Актуальные аспекты сепсиса / К.П. Грувер [и др.] // Антибиотики и химиотерапия. – 2011. – 3–4 (56). – С. 35–40.
- Лазанович, В.А. Клиническая значимость экспресии Toll2, Toll4, CD14, HLA-DR на моноцитах у пациентов с сепсисом/ В.А. Лазанович [и др.] // Мед. иммунология. – 2015. – № 3 (17). – С. 221–228.
- Матосова, Е.В. Морфофункциональная характеристика защитных механизмов нейтрофилов при бактериальных инфекциях и их вклад в патогенез провоспалительных реакций / Е.В. Матосова // Гематология и трансфузиология. – 2017. – № 4 (62). – С. 223–229.
- Мишнёв, О.Д. Актуальные проблемы патологии сепсиса: 25 лет в поисках консенсуса / О.Д. Мишнёв [и др.] // Архив патологии. – 2016. – № 6. – С. 3–8.
- Пархоменко, Ю.Г. Сепсис. Инфекционный эндокардит. Этиология, патогенез, классификация, патологическая анатомия / Ю.Г. Пархоменко, О.В. Зайратьянц, О.В. Макарова. – М.: Группа МДВ, 2013. – 104 с.
- Савина, В.А. Актуальные вопросы эпидемиологии сепсиса / В.А. Савина [и др.] // Мед. альманах. – 2014. – № 4 (34). – С. 20–22.
- Чирский, В.С. Критерии морфологической диагностики сепсиса / В.С. Чирский, А.К. Юзвинкевич, Е.А. Андреева // Вестн. Росс. воен.-мед. акад. – 2018. – № 4. – С 66–72.
- Шляпников, С.А. Дефиниция сепсиса – пути достижения консенсуса клиницистов и морфологов / С.А. Шляпников, В.В. Федорова // Clinical Anesthesiology & Intensive Care. – 2014. – № 1 (3). – С. 113–118.
- Chan, K.C.W. Management of septic shock: current concepts / K.C.W. Chan, A.W. Chow // HK J. Paediatr (new series). – 2003. – № 8 (3–14). – P. 3–14.
- Legrand, M. The response of the host microcirculation to bacterial sepsis does the pathogen matter? / M. Legrand [et al.] // J. Mol. Med. – 2010. – № 88 (2). – P. 127–133.
- Ramachanran, Сirish. Gram-positive and gram-negative bacterial toxins in sepsis / Cirish Ramacharan // Virulence. – 2013. – №5 (1). – P. 213–218.
- Sebastian, L. The autopsy pathology of Sepsis-related death / Lucas Sebastian // Current diagnostic pathology. – 2012. – №13 (5). – P. 375–388.
- Suratovic, M. Cytokine profile in severe gram-positive and gram- negtative abdominale sepsis / M. Suratovic [et al.] // Sci Rep. – 2015. – Vol. 5. – P. 11–15.
- Yi. L. Lipopolysaccharide induces human pulmonary endothelial apoptosis via the YAP signal pathway / L. Yi [et al.] // Front cell infect microbiol. – 2016. – № 19. – P. 6–133.
Дополнительные файлы





