Topographic features of the recurrent motor branch of the median nerve in relation to the restoration of the active opposition of the thumb with proximal injuries of the median nerve
- Authors: Nisht A.Y.1, Fomin N.F.1
-
Affiliations:
- Kirov Military medical academy
- Issue: Vol 21, No 4 (2019)
- Pages: 105-108
- Section: Articles
- Submitted: 17.02.2020
- Published: 15.12.2019
- URL: https://journals.eco-vector.com/1682-7392/article/view/20683
- DOI: https://doi.org/10.17816/brmma20683
- ID: 20683
Cite item
Full Text
Abstract
The high demands presented for a hand, as one of the most difficult segments in the anatomical, surgical and functional aspects, are due to a wide range of tasks performed daily by a person with the hand and fingers. The accuracy of manipulations with small-sized objects is due to the ability of a person to oppose the I finger to all three-phalange fingers. The loss of this movement due to injuries of the motor branches to the muscles of the elevation of the first finger leads to significant functional losses up to professional unsuitability. In relation to substantiating the possibility of peripheral nerve restoration by their end-to-side connection, a comprehensive applied anatomical and special X-ray examination was performed on 29 weakly fixed upper limbs of corpses in order to study the features of the topography of the motor branch of the median nerve to the muscles of elevation of the first finger. In the composition of the median nerve, at the level of the lower third of the forearm and wrist channel, the perineural cases forming the return motor branch to the muscles of the elevation of the first finger occupy the most lateral position. After moving away from the main trunk, the motor branch bends around the lower edge of the transverse ligament of the wrist and goes to the innervated muscles from the bottom up, from the inside out and from back to front, forming a bend. The muscular gates of the motor branch are determined at the level of the proximal third of the II metacarpal bone with a distance of 3,83±1,19 and 4,19±1,43 cm, respectively, from the distal folds of the wrist and the line connecting the styloid processes of the radius and ulna. Between the distance of the entrance gate of the motor branch of the median nerve and the length of the hand, a pronounced positive correlation is determined. The interval within which the muscular gates of the motor branch of the median nerve are located relative to the distal fold of the wrist exceeds the range of the sum of the diameters of the II and III fingers. This circumstance indicates the probable location of the motor branch and beyond the «forbidden zone» of the hand, determined by blocking it with the II and III fingers below the distal fold of the wrist. The presented data characterize the features of the topography of the distal branches and the intra-trunk structure of the median nerve. The potential possibility of selective mobilization of motor branches at the level of the distal forearm and hand for performing reconstructive interventions aimed at restoring the innervation of the muscles of the elevation of the first finger is demonstrated.
Full Text
Введение. В составе опорно-двигательного аппарата человеческого организма кисть является одним из наиболее сложных сегментов в анатомическом, хирургическом и функциональном аспектах. Высокие требования, предъявляемые к данному органу, обусловлены широким спектром задач, ежедневно выполняемых человеком посредством кисти и пальцев. Любые нарушения функционального состояния кисти отражаются на трудоспособности человека, а в тяжелых случаях могут стать причиной инвалидности [4, 5].
Различные манипуляции с малоразмерными предметами обеспечиваются за счет их удержания кончиками пальцев. При данном виде схвата кисти важнейшую роль играет способность человека противопоставлять I палец всем трехфаланговым пальцам кисти. Травмы срединного нерва с повреждением волокон двигательной ветви к мышцам возвышения I пальца приводят к утрате противопо-ставления большого пальца. Восстановление функции противопоставления I пальца при травме срединного нерва может быть достигнуто различными видами реконструктивных вмешательств на поврежденном нервном стволе, а при их невыполнимости по различным причинам – ортопедическими операциями за счет переназначения функций мышц предплечья при транспозиции их сухожилий в области кисти.
Цель исследования. Изучить особенности топографии и индивидуальной анатомической изменчивости возвратной двигательной ветви срединного нерва к мышцам возвышения I пальца применительно к обоснованию возможности восстановления активного противопоставления большого пальца за счет соединения периферических нервов по типу «конец-вбок» в дистальных сегментах верхней конечности при высоких проксимальных ранениях срединного нерва.
Материалы и методы. Исследование выполнено на 29 паспортизированных верхних конечностях трупов слабой фиксации. Исследование особенностей топографии возвратной двигательной ветви срединного нерва к мышцам возвышения I пальца производили посредством прецизионной препаровки конечностей с использованием оптического увеличения (операционный микроскоп «ОМ-2» фирмы «ЛОМО», Санкт-Петербург). Рентгенологическое исследование положения мышечных ворот двигательной возвратной ветви срединного нерва относительно поверхностных и костных ориентиров выполняли с помощью цифрового рентгенологического аппарата «Phillips Mobail Diagnost Opta». Для отображения на рентгенограмме поверхностных ориентиров перед выполнением снимка на поперечной складке ладони и дистальной складке запястья, а также в области мышечных ворот двигательной ветви располагали рентгенконтрастные метки. Обработку результатов морфометрии выполняли с использованием прикладного пакета анализа числовых данных программы Microsoft Excel 2010 на персональном компьютере.
Результаты и их обсуждение. По данным морфометрии длина исследованных кистей с учетом 95% доверительного интервала составила 18,67±3,43 см. Ширина конечностей с той же достоверностью составляла 6,95±1,15 см. Между значениями длины и ширины исследованных конечностей определялась выраженная положительная корреляционная связь (r=0,92). С увеличением длины конечности ее ширина также пропорционально увеличивалась. Представленные данные демонстрируют принадлежность исследованных конечностей к мезоморфному типу и отсутствие в выборке крайних форм строения данного сегмента.
Разрезом по медиальному краю мышц возвышения тенара визуализировали дистальный сегмент возвратной двигательной ветви срединного нерва и место его проникновения в межмышечную щель, образованную коротким сгибателем и короткой приводящей I палец мышцами. В большинстве случаев возвратная двигательная ветвь срединного нерва была представлена единым стволом, разделявшимся на отдельные ветви перед непосредственным проникновением в межмышечное пространство. Только в двух случаях из 29 были визуализированы 3 отдельные ветви, направленные к мышцам тенара. После отхождения от основного ствола срединного нерва двигательная возвратная ветвь огибала поперечную связку запястья снизу и направлялась к таргетной зоне снизу вверх, снутри кнаружи и сзади наперед. Отведение I пястной кости кзади способствовало некоторому распрямлению и смещению исследуемого нерва вверх. Но даже в этом случае нижняя точка возвратной двигательной ветви срединного нерва находилась дистальнее мышечных ворот (рис. 1).
Рис. 1. Особенности топографии срединного нерва и его ветвей на уровне нижнего отверстия запястного канала: 1 – поверхностная артериальная ладонная дуга, 2 – двигательная ветвь к мышцам возвышения I пальца, 3 – поперечная связка запястья, 4 – дистальная кожная складка запястья
Во всех случаях отхождение возвратной двигательной ветви от основного ствола срединного нерва в латеральном направлении отмечалось на уровне нижнего края поперечной связки запястья. После продолжения анатомического разреза в проксимальном направлении и рассечения поперечной связки запястья визуализировали срединный нерв в канале запястья и на дистальном уровне предплечья. В нижней трети предплечья срединный нерв в поперечном сечении имел округлую форму. Непосредственно перед переходом в канал запястья за счет некоторого уплощения в переднезаднем направлении основной ствол срединного нерва приобретал овальные очертания. После рассечения эпиневральной оболочки в составе основного ствола визуализировались отдельные пучки нервных волокон. На всех исследованных препаратах пучки (в количестве от одного до трех), составлявшие на дистальном уровне возвратную двигательную ветвь, на протяжении канала запястья занимали самое латеральное положение и не имели связей с другими футлярами в составе основного ствола. Такая обособленность пучков, составляющих двигательную возвратную ветвь, свидетельствует о концентрированной форме строения срединного нерва в дистальном отделе согласно теории индивидуальной анатомической изменчивости органов и систем тела человека [1]. Недостатками такой формы строения периферических нервов является отсутствие частичного сохранения иннервации при травмах за счет перекреста нервных волокон ниже уровня травмы. Вместе с тем при такой форме строения нервов мобилизация отдельных пучков для реконструктивных вмешательств является в техническом плане более просто выполнимой.
По результатам позиционирования мышечных ворот возвратной двигательной ветви относительно поверхностных и костных ориентиров с учетом 95% доверительного интервала тесная связь нерва с мышцами отмечалась ниже дистальной кожной складки запястья и линии, соединяющей шиловидные отростки лучевой и локтевой костей, на 3,83±1,19 и 4,19±1,43 см соответственно (рис. 2). Относительно поперечной складки ладони мышечные ворота двигательной ветви к мышцам возвышения I пальца располагались проксимальнее на 4,22±1,16 см. Между значениями длины кисти и расстоянием до мышечных ворот относительно линии, соединяющей шиловидные отростки лучевой и локтевой костей, была выявлена выраженная корреляционная зависимость (r=0,71). Зависимость от длины кисти расстояния до мышечных ворот относительно кожной дистальной складки запястья была менее выраженной (r=0,53). Корреляционной связи между величинами расстояния от мышечных ворот до поперечной ладонной складки и значениями длины кисти не обнаружено. Данный факт, по всей вероятности, объясняется изменениями длины кисти за счет изменений длины фаланг пальцев в большей степени, чем за счет изменений длины пястных костей.
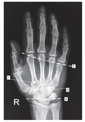
Рис. 2. Рентгенограмма кисти с проекциями поверхностных ориентиров и контрастными метками в области нервных ветвей: 1 – мышечные ворота возвратной двигательной ветви срединного нерва, 2 – контрастная метка фиксирована на поперечной складке ладони, 3 – уровень отхождения глубокой ветви локтевого нерва, 4 – контрастная метка на дистальной складке запястья
При планировании глубоких разрезов в области кисти во избежание ятрогенной травмы двигательной ветви срединного нерва к мышцам тенара и глубокой ветви локтевого нерва не рекомендуется выполнять разрезы в проксимальном отделе кисти в зоне, расположенной на 2 поперечных пальца ниже дистальной складки запястья [2, 3]. По результатам нашего исследования расстояние, перекрываемое II и III пальцами, с учетом 95% доверительного интервала составляет 4,25±0,51 см. Таким образом, 2 поперечных пальца максимально перекрывают 4,76 см ниже дистальной кожной складки запястья. При этом мышечные ворота двигательной ветви в дистальной точке 95% доверительного интервала располагаются на 5,02 см ниже той же складки. Усугубляет ситуацию еще более низкое относительно мышечных ворот расположение дуги возвратной двигательной ветви срединного нерва, огибающей поперечную связку запястья. Корреляционная связь между удаленностью мышечных ворот двигательной возвратной ветви срединного нерва от дистальной складки запястья и суммарным значением диаметров II и III пальцев не выявлена. Все это заставляет задуматься над необходимостью смещения«запретной зоны» кисти в дистальном направлении минимум на 1 см для более надежной профилактики денервации мышц тенара при выполнении глубоких разрезов в ладонной области кисти.
Таким образом, топография возвратной двигательной ветви срединного нерва к мышцам возвышения I пальца имеет ряд особенностей. На уровне нижней трети предплечья и канала запястья периневральные футляры пучков, составляющих возвратную двигательную ветвь, занимают самое латеральное положение и могут быть визуализированы и мобилизованы после рассечения эпиневрия. Отхождение двигательной ветви от основного ствола происходит либо у нижнего отверстия запястного канала, либо в самом канале. В обоих случаях после выхода из канала запястья двигательная ветвь огибает нижний край поперечной связки запястья и направляется к иннервируемым мышцам снизу вверх, изнутри кнаружи и сзади наперед, образуя изгиб. Локализация мышечных ворот моторной ветви располагается на уровне проксимальной трети II пястной кости с удаленностью от дистальной складки запястья и линии, соединяющей шиловидные отростки лучевой и локтевой кости, на 3,83±1,19 и 4,19±1,43 см соответственно. Между удаленностью входных ворот двигательной ветви срединного нерва и длиной кисти определяется выраженная положительная корреляционная связь. Между значением суммы диаметров II и III пальцев кисти, используемым для определения неблагоприятной для выполнения глубоких разрезов зоны, и локализацией мышечных ворот двигательной ветви корреляционной связи не обнаружено. Интервал, в пределах которого располагаются мышечные ворота двигательной ветви срединного нерва относительно дистальной складки запястья, превосходит диапазон суммы диаметров II и III пальцев. Данное обстоятельство свидетельствует о вероятном расположении двигательной ветви за пределами «запретной зоны» кисти, определяемой путем перекрытия ее II и III пальцами ниже дистальной складки запястья. Для предотвращения ятрогенной травмы важной двигательной ветви срединного нерва следует рассмотреть вопрос о расширении в дистальном направлении неблагоприятной для глубоких разрезов зоны.
Представленные данные характеризуют особенности топографии дистальных ветвей и внутриствольного строения срединного нерва. Продемонстрирована потенциальная возможность селективной мобилизации двигательных ветвей на уровне дистальных отделов предплечья и кисти для выполнения реконструктивных вмешательств, направленных на восстановление иннервации мышц возвышения I пальца.
Выводы
- Особенности топографии и внутриствольного строения срединного нерва на уровне нижней трети предплечья и кисти позволяют выполнить анатомическое типирование и селективную мобилизацию на данных уровнях отдельных пучков, формирующих возвратную двигательную ветвь к мышцам возвышения I пальца.
- Проекция дистального отдела двигательной ветви срединного нерва к мышцам возвышения I пальца наиболее часто определяется в проксимальном отделе II пястной кости на 4,19±1,43 см дистальнее линии, соединяющей шиловидные отростки лучевой и локтевой костей.
- Зону кисти, неблагоприятную для выполнения глубоких разрезов, определяемую путем ее перекрытия II и III пальцами ниже дистальной складки запястья, целесообразно дополнительно расширить в дистальном направлении во избежание ятрогенной травмы возвратной двигательной ветви срединного нерва.
About the authors
A. Yu. Nisht
Kirov Military medical academy
Author for correspondence.
Email: vmeda-nio@mil.ru
Russian Federation, Saint Petersburg
N. F. Fomin
Kirov Military medical academy
Email: vmeda-nio@mil.ru
Russian Federation, Saint Petersburg
References
- Атлас периферической нервной и венозной систем / под. ред. проф. В.Н. Шевкуненко. – М.: Медгиз, 1949. – 384 с.
- Байтингер, В.Ф. «Запретная зона» кисти по А.С. Нарядчиковой (к 90-летию со дня рождения) / В.Ф. Байтингер, О.С. Курочкина // Вопросы реконструктивной и пластической хирургии. – 2012. – № 1 (40). – С. 71–80.
- Войно-Ясенецкий, В.Ф. Очерки гнойной хирургии / В.Ф. Войно-Ясенецкий. – М.: Бином, 2016. – 720 с.
- Губочкин, Н.Г. Избранные вопросы хирургии кисти / Н.Г. Губочкин, В.М. Шаповалов. – СПб.: Профессионал, 2008.– 287 с.
- Хирургия кисти / Д. Уорик, Р. Данн, Э. Меликян [и др.]; пер. с англ. под ред. Л.А. Родомановой. – М.: Изд-во Панфилова, 2013. – 704 с.
Supplementary files



