Apoptosis and proliferation of thyrosites as predictors of postoperative outcomes in patients operated on the reason of diffuse toxic goiter
- Authors: Dora S.V.1, Rybakova M.G.1, Alekseev D.A.1, Krylova Y.S.2,3, Volkova A.R.1, Belyakov L.A.1, Volkova E.V.1
-
Affiliations:
- I.P. Pavlov First St. Petersburg State Medical University
- North-Western State Medical University named after I.I. Mechnikov
- Research Institute of Obstetrics and Gynecology named after D.O. Otta
- Issue: Vol 19, No 2 (2017)
- Pages: 86-91
- Section: Clinical Trials
- Submitted: 12.11.2023
- Accepted: 12.11.2023
- Published:
- URL: https://journals.eco-vector.com/1682-7392/article/view/623227
- DOI: https://doi.org/10.17816/brmma623227
- ID: 623227
Cite item
Full Text
Abstract
Currently, according to federal recommendations, patients with diffuse toxic goiter in the absence of remission of the disease performed extirpation of the thyroid gland. The results of the study of the effect of apoptosis and proliferation proteins in thyrocytes (Ki-67, Bcl-2, Bax, Fas-L, caspase-8) on postoperative outcomes in patients operated on for diffuse toxic goiter. A positive correlation was found between the concentration of antibodies to the thyroid-stimulating hormone receptor with the preoperative thyroid volume and the level of the anti-apoptotic Bcl-2 protein, as well as the inverse relationship with the area of the follicles, which may reflect a slowing of apoptosis and an increase in proliferative activity Thyroid cells. In patients with diffuse toxic goiter with postoperative relapse of thyrotoxicosis, high activity of the Bcl-2 apoptosis suppressor protein and the violation of the Bcl-2/Bax ratio were established. In patients with postoperative thyrotoxicosis, a significantly greater expression of anti-apoptotic Bcl-2 protein was found, 3,13±0,29%, compared with patients who developed hypothyroidism after surgery of 1,24±0,29% and who maintained euthyroidism – 1,36±0,25%. There was also an inverse correlation between the level of antibodies to thyreperoxidase and anti-apoptotic protein Bcl-2, as well as the Ki-67 proliferation marker. When carrying out discriminant analysis between groups with postoperative hypothyroidism and thyrotoxicosis, the main variable was the anti-apoptotic Bcl-2 protein and between the groups with postoperative euthyroidism and thyrotoxicosis – the Ki67 proliferation protein. With a Bcl-2 value of more than 2.19 and a proliferation protein of Ki-67 greater than 1,059, the probability of postoperative thyrotoxicosis is 87,5% for each.
Full Text
Введение.
Основным методом лечения больных диффузным токсическим зобом (ДТЗ) является консервативная терапия с использованием антитиреоидных препаратов в течение 1,5–2 лет [2]. В случае отсутствия ремиссии заболевания рассматривается вопрос о хирургическом лечении или радиойодтерапии [2–3, 5]. В настоящее время, согласно федеральным рекомендациям, больным ДТЗ при отсутствии ремиссии заболевания рекомендована экстирпация щитовидной железы (ЩЖ). Радикальность лечения обусловлена отсутствием критериев прогноза послеоперационного течения заболевания. Изучаются клинические, гормональные, иммунологические показатели возможного прогнозирования послеоперационных исходов [2–3, 5, 13]. В последние годы активно стали изучаться процессы апоптоза и пролиферации тиреоцитов у больных ДТЗ.
Известно, что ядерный белок Ki-67 широко используется в качестве маркера пролиферации, в том числе и пролиферации тиреоцитов. Так, P. Domoslawski et al. [11] провели иммунногистохимическое исследование 77 больных ДТЗ и 23 больных диффузно-узловым нетоксическим зобом (ДУНЗ) с помощью иммуногистохимии. Авторы показали, что экспрессия белка Ki-67 была значимо больше выражена у больных ДТЗ по сравнению с больными ДУНЗ (р<0,0001).
Увеличение количества тиреоцитов, наблю даемое при ДТЗ, может быть связано не только с повышенной пролиферацией, но и с замедлением апоптоза клеток тиреоидного эпителия – генетически запрограммированной гибелью клетки с целью обеспечения нормального тканевого гомеостаза. Известно, что апоптоз может быть запущен двумя основными механизмами. Внешний путь активации апоптоза связан с семейством рецепторов смерти, в том числе с Fas/FasL-взаимодействием. Внутренний путь связан с ответом на цитотоксические стимулы или со снижением количества ростовых факторов и трофических сигналов, поступающих в клетку в виде цитокинов [7].
Группа белков Bcl-2 играет важную роль в регуляции апоптоза, связанного с отсутствием сигналов от цитокинов. В случае дефицита цитокинов антиапоптотические молекулы из этой группы (Bcl-2, Bcl-XL) останавливают апоптоз, сохраняя клетку живой [1]. Избыточная экспрессия проапоптотических молекул этой группы (Bax, Bak, Bim) подавляет сигналы от цитокиновых рецепторов и способствует апоптозу [1]. Соотношение проапоптотических и антиапоптотических белков определяет, подвергнется клетка апоптозу или нет. Известно, что при ДТЗ в тиреоцитах повышена экспрессия антиапоптотических молекул, в том числе Bcl-2, и снижена экспрессия Fas, что должно способствовать подавлению апоптоза и гипертрофии ЩЖ [9]. Y. Hiromatsu et al. [12] показали, что у больных ДТЗ (по сравнению с нормальной тканью ЩЖ) была повышена экспрессия Bcl-2, в то время как экспрессия Bax не была обнаружена ни при ДТЗ, ни в нормальной ткани ЩЖ. Белок Bak экспрессировался в тиреоцитах у 5 из 20 больных ДТЗ (25%), а в нормальной ткани ЩЖ обнаруживался во всех тиреоцитах.
Процент апоптотических ядер в тиреоцитах больных ДТЗ был низкий (0–3,6%), и была выявлена их отрицательная корреляция с массой послеоперационного остатка ЩЖ (РС= –0,43, р<0,05). Кроме того, имеются данные о статистически значимой корреляции между экспрессией Bcl-2 в тиреоцитах больных ДТЗ и уровнем антител к рецептору тиреотропного гормона (ТТГ) (r=0,47, р<0,03) [9]. В литературе изучается роль апоптоза и пролиферации клеток тиреоидного эпителия не только при ДТЗ, но и при другом аутоиммунном заболевании, исходом которого является гипотиреоз – аутоиммунном тиреоидите (АИТ) [7, 10, 14, 15]. C. Salmaso et al. [14] провели сравнительный анализ экспрессии Fas и FasL, антиапоптотических белков Bcl-2 у больных ДТЗ и АИТ. При ДТЗ Fas реакция была менее выражена, чем при АИТ.
Экспрессия Bcl-2 была более значимой при ДТЗ по сравнению с АИТ. Авторы делают вывод о том, что снижение уровня Fas/FasL и повышение уровня экспрессии Bcl-2, вероятно, способствуют выживанию и гипертрофии тироцитов, связанных со стимулирующим действием антител к рецептору ТТГ. Напротив, описанные изменения Fas/ FasL и Bcl-2 при АИТ могут способствовать апоптозу, постепенно сокращая число тироцитов и приводя к гипотиреозу. Каспаза-8 играет важную роль при всех заболеваниях, связанных с апоптозом. Экспрессия каспазы-8 активно изучается при различных заболеваниях ЩЖ. Так, Н. Bossowski et al. [8] показали, что экспрессия каспазы-8 значительно выше у больных с разными аутоиммунными заболеваниями ЩЖ по сравнению с пациентами с ДУНЗ.
Многие авторы отмечают важность изучения показателей функциональной активности ЩЖ, которые можно оценить при проведении срочного гистологического исследования. В работе Н.А. Суаришвили [6] было проанализировано 40 больных ДТЗ, оценка функции ЩЖ была выполнена через 1,5–2 месяца после операции. Автор показал, что чем больше
степень выраженности лимфоидной инфильтрации, тем меньше случаев тиреотоксикоза наблюдается в послеоперационном периоде.
Цель исследования. Изучение экспрессии белков Ki-67, Bcl-2, Bax, Fas-L, каспазы-8 и сопоставление полученных результатов с клинико-лабораторными и гистологическим данными больных, прооперированных по поводу ДТЗ.
Материалы и методы.
В исследование было включено 189 пациентов ДТЗ, диагностированным в период с 1970 по 2010 гг., которые в связи с отсутствием ремиссии заболевания на фоне предшествующего консервативного лечения были прооперированы. В зависимости от уровня ТТГ, определенного более чем через 2 года после операции, все пациенты были разделены на три группы: 1-я группа – больные, у которых после операции сохранялся стойкий эутиреоз; 2-я группа – больные, у которых после операции развился гипотиреоз; 3-я группа – больные, у которых после операции развился тиреотоксикоз (ТТ). В дальнейшем из каждой группы, согласно сформулированным критериям, было отобрано по 8 больных ДТЗ. Все пациенты были женщины, в возрасте 45,71±2,56 лет, у всех была выполнена операция по методике Е.С. Драчинской [4]. Оценивались показатели лабораторных и инструментальных методик обследования и их динамика в процессе лечения. Уровни ТТГ (св. Т4, св. Т3), содержание в сыворотке крови антител к рецептору ТТГ оценивались иммуноферментным методом. Объем ЩЖ рассчитывался по данным ультразвукового исследования.
Для иммуногистохимического исследования у отобранных 24 больных ДТЗ были взяты послеоперационные парафиновые блоки ЩЖ. Полученные серийные срезы ЩЖ толщиной 5 мкм помещали на предметные стекла, покрытые поли-L-лизином. Постановка иммуногистохимических реакций проводилась по стандартному протоколу. Для визуализации были использованы компоненты системы визуализации «NovoLink Polymer Detection System (500 test)» фирмы «Novocastra» (Великобритания). На этапе ингибирования эндогенной пероксидазы на срезы наносился пероксидазный блок (100 мкл) с инкубацией 5 мин. Затем на срезы наносились 100 мкл раствора первичного антитела Ki-67 клон MIB-1, фирмы «ДАКО» (Дания); Bax клон SP47, фирмы «Спринт» (Соединенные Штаты Америки); Bcl-2 клон 124, фирмы «ДАКО» (Дания); FasL клон 5D1, фирмы «Новокастра» (Великобритания) с экспозицией 10 мин. Результаты реакции оценивались морфометрически. Подсчет исследуемых объектов в иммуногистохимических препаратах осуществлялся с использованием светового микроскопа с увеличением объектива ×40, бинокулярной насадки ×1,5 и окуляров ×10. При помощи цифровой камеры оптическое изображение переводилось в цифровое, и далее исследование морфометрия выполнялось с использованием системы компьютерного анализа микроскопических изображений ВидеоТесТ-Морфология 5.2. Экспрессию исследуемого маркера в клеточной популяции оценивали по относительной площади экспрессии, которую расчитывали как отношение площади, занимаемой иммунопозитивными клетками, к общей площади клеток в поле зрения, и выражали в процентах.
Для объективной оценки функциональной активности ЩЖ интраоперационно были взяты образцы ткани ЩЖ; проанализировано 245 гистологических препаратов (на пациента – не менее 5 из каждой доли, включая узловые образования). Были использованы следующие морфометрические количественные показатели, предложенные О.К. Хмельницким [13]: высота тиреоцитов, площадь фолликулов, фолликулярно-коллоидный индекс.
Статистический анализ результатов исследования выполнен с помощью программы Statistica v10. Проверка гипотезы о различиях в значениях соответствующего показателя в группах с разным исходом проводилась с помощью критерия Краскела – Уоллиса.
Результаты и их обсуждение.
Установлено, что у больных с рецидивом тиреотоксикоза (3-я группа) после операции уровень антител к рецептору ТТГ крови был достоверно (р=0,002) выше, чем у больных 1-й и 2-й групп (табл. 1).
Таблица 1. Уровни антител пациентов, страдающих ДТЗ
Показатель | Группа | р= | ||
1-я | 2-я | 3-я | ||
Антитела к рецептору ТТГ, мМЕ/л | 4,25±2,46 | 3,25±0,62* | 17,62±4,43* | 0,002 |
Антитела к ТПО исходно, МЕ/мл | 205,62±115,99 | 847,5±172,42* | 117,62±55,25* | 0,005 |
Антитела к ТПО через 1,5 года консервативной терапии, МЕ/мл | 340,38±188,43 | 536,38±135,22* | 149,8±91,25* | 0,021 |
Объем ЩЖ перед операцией, см3 | 48,81±5,69 | 41,37±5,90 | 73,29±19,11 | нд |
Между уровнем антител к рецептору ТТГ и объемом ЩЖ была выявлена положительная корреляционная связь (p=0,004; r=0,561) и обратная – с площадью фолликулов (p=0,002; r= –0,597). Уровень антител к ТПО исходно и перед отменой антитиреоидной терапии был достоверно выше (р=0,005 и 0,021 соответственно) у больных с развившимся гипотиреозом. Достоверной разницы между объемом ЩЖ и после- операционным исходом не получено, однако между объемом ЩЖ и высотой тиреоцитов выявлена положительная корреляционная связь (p=0,008; r=0,527).
У больных, страдающих послеоперационным ТТ (3-я группа), выявлена достоверно (р=0,001) большая экспрессия антиапоптотического белка Bcl-2 по сравнению с больными, у которых после операции развился гипотиреоз (2-я группа) и у которых сохранялся эутиреоз (1-я группа) (3,13±0,29; 1,24±0,29 и 1,36±0,25% соответственно), таблица 2.
Таблица 2. Ииммуногистохимические показатели послеоперационных образцов ткани ЩЖ у больных ДТЗ
Показатель | Группа | р= | ||
1-я | 2-я | 3-я | ||
Bcl-2, % | 1,36±0,25 | 1,24±0,29* | 3,13±0,29* | 0,001 |
Bax,% | 1,12±0,15 | 0,77±0,28 | 1,46±0,4 | нд |
Bcl-2/Bax,% | 1,20±0,1 | 1,09±0,23* | 7,68±3,8* | 0,007 |
Ki-67,% | 0,07±0,06 | 0,31±0,11* | 2,04±0,4* | 0,000 |
Каспаза-8,% | 1,25±0,27 | 0,73±0,24 | 1,43±0,52 | нд |
Fas-L,% | 1,08±0,31 | 1,88±0,19 | 0,82±0,12 | 0,002 |
Площадь фолликулов, µm | 8830,46±902,43 | 11432,24±1244,57* | 6891,36±671,35* | 0,007 |
Высота тиреоцитов, µm | 5,26±0,24 | 4,40±0,37* | 5,97±0,53* | 0,083 |
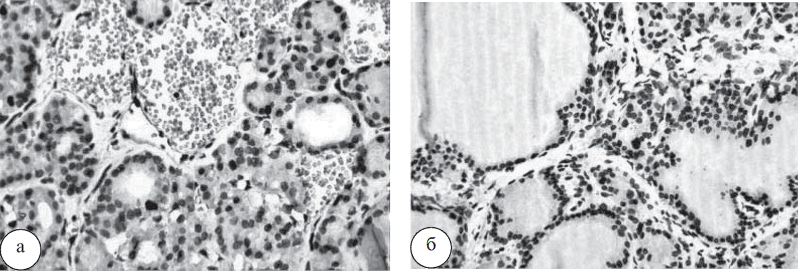
Установлено, что ядерная экспрессия белков Bcl-2 и Ki-67 в ЩЖ пациентов ДТЗ, страдающих послеоперационным тиреотоксикозом и гипотиреозом, различна. На рисунке 1 представлена ядерная экспрессия белка Bcl-2 в ЩЖ пациентов ДТЗ, страдающих послеоперационным тиреотоксикозом (а) и гипотиреозом (б).
У больных, страдающих послеоперационным ТТ выявлена положительная корреляция между площадью экспрессии антиапоптотического белка Bcl-2 и исходным уровнем антител к рецептору ТТГ (р=0,000; r=0,659) и отрицательная с исходным уровнем антител к ТПО (р=0,04; r= –0,423), что свидетельствует о большей исходной активности заболевания.
Анализ экспрессии проапоптического белка Bax не выявил достоверных различий у больных ДТЗ в зависимости от послеоперационных исходов. Однако соотношение экспрессии Bcl-2/Bax было достоверно (р=0,001) больше в 3-й группе – (7,68±3,8%), по сравнению со 2-й и 1-й группами (1,09±0,23 и 1,20±0,10% соответственно). Анализ Fas-L показал, что экспрессия была выше у больных, страдающих послеоперационным гипотиреозом (р=0,002).
Рис. 1. Ядерная экспрессия белка Bcl-2 в ЩЖ пациентов, страдающих послеоперационным тиреотоксикозом (а) и гипотиреозом (б)
Анализ маркера пролиферации Ki-67 показал, что его экспрессия достоверно больше у больных, страдающих послеоперационным ТТ (2,04±0,4% по сравнению с показателем в группе гипотиреоза 0,31±0,11% (р=0,000) и эутиреоза 0,07±0,06% (р=0,001)).
Рис. 2. Ядерная экспрессия белка Ki-67 в ЩЖ пациентов, страдающих послеоперационным тиреотоксикозом (а) и гипотиреозом (б)
На рисунке 2 представлена ядерная экспрессии белка Ki-67 в ЩЖ пациентов ДТЗ, страдающих послеоперационным тиреотоксикозом (а) и гипотиреозом (б).
Экспрессия антиапоптотического белка Bcl-2 положительно коррелировала с экспрессией белка пролиферации Ki-67 (р=0,000; r=0,751). Также была выявлена обратная корреляционная связь между экспрессией белка пролиферации Ki-67 и уровнем антител к ТПО (р=0,041, r= –0,419).
Для выявления маркера, определяющего послеоперационный исход, была выполнена процедура пошагового дискриминантного анализа. Наиболее значимые показатели вошли в модель прогноза. При проведении анализа между 2-й и 3-й группами главной дискриминантной переменной оказался антиапоптический белок Bcl-2, а между 1-й и 3-й группами – белок пролиферации Ki-67. При значении антиапоптического белка Bcl-2 более 2,19, а белка пролиферации Ki-67 более 1,059 вероятность послеоперационного тиреотоксикоза составляет 87,5% для каждого.
Для оценки качества полученного прогноза был проведен ROC-анализ (рис. 3).
Рис. 3. ROC-кривая соотношения чувствительности/специфичности модели прогнозирования ТТ у больных ДТЗ после субтотальной резекции ЩЖ по Bcl-2 (а) и Ki-67 (б)
Площадь покрытия по антиапоптическому белку Bcl-2 составляет 0,945, а по белку пролиферации Ki-67 – 1,0 (в том и другом случае это более 0,9). Это свидетельствует о высоком качестве построенной модели и характеризует методику ROC-анализа как весьма качественную: повышение чувствительности сопряжено с сохранением достаточно высокой специфичности.
Заключение.
В настоящее время критериев прогноза послеоперационных исходов больных ДТЗ нет, в связи с чем, согласно рекомендациям Российской Федерации, выполняется экстирпация ЩЖ с назначением пожизненной заместительной терапии тиреоидными гормонами. Исследованию маркеров апоптоза и пролиферации и их вкладу в аутоиммунную патологию ЩЖ в последние годы уделяют все больше внимания. До настоящего времени до конца не установлены причины различий послеоперационных исходов у прооперированных больных ДТЗ. Возможно, сочетание разных аутоиммунных процессов ЩЖ у одного пациента определяет послеоперационный прогноз.
Как известно, АТ к рецептору ТТГ разделяют на две группы. Первые – тиреоидстимулирующие антитела, в результате увеличения цАМФ повышается захват йода и синтез ТГ, одновременно происходит увеличение объема ЩЖ. Вторые – ТТГ-блокирующие антитела, которые препятствуют связыванию ТТГ с рецептором, в результате чего снижается выработка цАМФ. Образование ТТГ-блокирующих антител является причиной развития гипотиреоза. Y. Hiromatsu et al. [12] считают, что тиреоидстимулирующие антитела при ДТЗ блокируют апоптоз, опосредованный Fas-рецептором, а ТТГ-блокирующие антитела подавляют действие ТТГ и повышают чувствительность тиреоцитов к Fas-опосредованному апоптозу клеток ЩЖ, вызывая атрофию.
У больных ДТЗ выявлена положительная корреляционная связь АТ к рецептору ТТГ с предоперационным объемом ЩЖ и уровнем антиапоптического белка Bcl-2, а также обратная с площадью фолликулов, что, возможно, отражает замедление процессов апоптоза и увеличение пролиферативной активности тиреоцитов. Причем у больных ДТЗ с послеоперационным рецидивом ТТ была установлена высокая активность белка-супрессора апоптоза Bcl-2 и нарушение соотношения Bcl-2/Bax, а также повышение экспрессии белка пролиферации Ki-67. При выполнении процедуры пошагового дискриминантного анализа наиболее значимыми показателями прогноза рецидива ТТ оказались экспрессия антиапоптического белка Bcl-2 и белка пролиферации Ki-67.
Известно, что АТ к ТПО обладают способностью индуцировать комплементзависимую цитотоксичность и вызывать цитотоксические изменения в структурных элементах фолликулов ЩЖ, играя важную роль в патогенезе АИТ. Имеется прямая корреляция между титром этих антител и гистологическими изменениями в ЩЖ, которые имеются при АИТ. Нами выявлена обратная корреляционная связь между уровнем антител к ТПО и антиапоптотическим белком Bcl-2, а также маркером пролиферации Ki-67. Возможно, сочетание ДТЗ с АИТ приводит к усилению апоптоза, замедлению пролиферации, что в свою очередь делает послеоперационный прогноз более благоприятным.
About the authors
S. V. Dora
I.P. Pavlov First St. Petersburg State Medical University
Author for correspondence.
Email: doras2001@mail.ru
Russian Federation, Saint Petersburg
M. G. Rybakova
I.P. Pavlov First St. Petersburg State Medical University
Email: doras2001@mail.ru
Russian Federation, Saint Petersburg
D. A. Alekseev
I.P. Pavlov First St. Petersburg State Medical University
Email: doras2001@mail.ru
Russian Federation, Saint Petersburg
Yu. S. Krylova
North-Western State Medical University named after I.I. Mechnikov; Research Institute of Obstetrics and Gynecology named after D.O. Otta
Email: doras2001@mail.ru
Russian Federation, Saint Petersburg; Saint Petersburg
A. R. Volkova
I.P. Pavlov First St. Petersburg State Medical University
Email: doras2001@mail.ru
Russian Federation, Saint Petersburg
L. A. Belyakov
I.P. Pavlov First St. Petersburg State Medical University
Email: doras2001@mail.ru
Russian Federation, Saint Petersburg
E. V. Volkova
I.P. Pavlov First St. Petersburg State Medical University
Email: doras2001@mail.ru
Russian Federation, Saint Petersburg
References
- Варга, О. Ю. Апоптоз: понятие, механизмы реализации, значение / О.Ю. Варга [и др.] // Экол. человека. – 2006 . – № 7. – С. 28–32.
- Дедов, И.И. Эндокринология / И.И. Дедов, Г.А. Мельниченко, В.В. Фадеев. – М., 2008. – 432 с.
- Вачев, А.Н. Выбор объема операции у больных диффузным токсическим зобом (с комментарием) / И.В. Мачев [и др.]
- // Хирургия. Журн. им. Н.И. Пирогова. – 2016. – № 8. – С. 13–17.
- Драчинская, Е.С. Хирургия щитовидной железы. – Л.: Гос. изд. мед. лит., 1963. – 312 с.
- Макаров, И. В. Отдаленные результаты и их прогнозирование в хирургическом лечении диффузного токсического зоба / И.В. Макаров [и др.] // Эндокринная хирургия. – 2013. – № 2. – С. 45–52.
- Суаришвили, Н.З. Дисфункция щитовидной железы после оперативного лечения диффузного токсического зоба / Н.З. Суаришвили [и др.] // Вестн. СПбУ. – 2007. – № 3. – С. 128–133.
- Borgerson, KL. The role of Fas-mediated apoptosis in thyroid autoimmune disease / KL Borgerson [et al.] // Autoimmunity. – 1999. – 30 (4). – P. 251–64.
- Bossowski, A. Identification of apoptotic proteins in thyroid gland from patients with Graves’ disease and Hashimoto’s thyroiditis / A. Bossowski [et al.] // Autoimmunity. – 2008. – 41 (2). – P. 163–73.
- Bossowski, A. Expression of Bcl-2 family proteins in thyrocytes from young patients with immune and nonimmune thyroid diseases / A. Bossowski // Horm Res. – 2008. – 70 (3). – P. 155–156.
- Chen, S. Analysis of the expression of Fas, FasL and Bcl-2 in the pathogenesis of autoimmune thyroid disorders / S. Chen [et al.] // Cell. Mol. Immunol. – 2004. – 1 (3). – Р. 224–228.
- Domoslawski, P. Expression of estrogen and progesterone receptors and Ki-67 antigen in Graves’ disease and nodular goiter / P. Domoslawski [et al.] // Folia Histochem Cytobiol. – 2013. –51 (2). – Р. 135–140.
- Hiromatsu, Y. Immunohistochemical analysis of bcl-2, Bax and Bak expression in thyroid glands from patients with Graves’disease / Y. Hiromatsu [et al.] // Endocr J. – 2004. – 51 (4). – Р.399–405.
- Miccoli, P. Surgical treatment of Graves’ disease: subtotal or total thyroidectomy? / P. Miccoli [et al.] // Surgery. – 1996. – 120 (6). – Р. 1020–1024.
- Salmaso, C. Regulation of apoptosis in endocrine autoimmunity: insights from Hashimoto’s thyroiditis and Graves’ disease / C. Salmaso [et al.] // Ann. N. Y. Acad Sci. – 2002. – Р. 496–501.
- Singh, I. Pathogenesis of Hyperthyroidism / I. Singh [et al.] // Compr. Physio. – 2016. – 7 (1). – Р. 67–79.
Supplementary files





