Prostheses from the decellularized aorta and bioresorbable material in vivo
- Authors: Alexandrov V.N.1,2, Kriventsov A.V.1, Mikhailovа E.V.2,3, Figurkina M.A.2, Sokolova M.O.2, Yudin V.E.4, Popryadukhin P.V.4, Khubulava G.G.1
-
Affiliations:
- Kirov Military Medical Academy
- Saint Petersburg State Pediatric Medical University
- Institute of Cytology of the Russian Academy of Sciences
- Institute of Macromolecular Compounds of the Russian Academy of Sciences
- Issue: Vol 19, No 2 (2017)
- Pages: 120-125
- Section: Experimental trials
- Submitted: 13.11.2023
- Accepted: 13.11.2023
- Published:
- URL: https://journals.eco-vector.com/1682-7392/article/view/623251
- DOI: https://doi.org/10.17816/brmma623251
- ID: 623251
Cite item
Full Text
Abstract
Modern vascular prostheses are prone to thrombosis and infections. Effective anticoagulant antibacterial therapy approaches and the development of other prostheses materials are very relevant today. In this context, prostheses from the decellularized vessel and bioresorbable material, polylactide for example, are of great interest due to the high probability of endogenous endothelization induced by the extracellular protein matrix, followed by the formation of the autogenic matrix of the vessel. Such blood vessels are characterized by atrombogenicity, porosity of the structure, prone to integration with the vascular wall of the recipient, endothelization, matrix and vessel formation. We would like to emphasize that such prostheses are capable of growth and are suitable not only for adults, but also for children with cardiovascular defects. However, our study of these prostheses in the dynamics of the posttransplantation period did not match the expected results: the prosthesis from the decellularized aorta turned out to be unsuitable within the first month after transplantation. The prosthesis from the bioresorbable material didn’t cause complications but conceal the risk of spontaneous insolvency caused by predetermined bioresorption and postponement formation of extracellular matrix. We assumed that the hybrid biosynthetic prosthesis consisting of two layers: the inner one made of a bioresorbable thrombo-resistant material and the outer one – from a decellularized vessel may be the decision. The internal bioresorbable layer will remove the problems of thrombosis, the formation of an aneurysm, and the external layer from the vascular matrix will ensure the migration into the prosthesis of the cells of the precursors of endotheliocytes and myocytes.
Full Text
Введение.
Известны сосудистые протезы из биологического материала (ауто-, аллои ксенопластического). Аутогенные протезы в 15–30% случаев имеют неустранимые недостатки (варикоз вен, атеросклероз артерий) и крайне неудовлетворительные результаты в отдаленном периоде, а использование аллои ксеногенных протезов невозможно без пожизненной иммуносупрессивной терапии [4]. Установка сосудистых протезов из синтетических материалов (вязаные, тканевые, плетеные) в 6–42% осложняется тромбозами и в 1,5–6% случаев инфекцией, сопровождающейся 75–100% летальностью [2]. Разработка протезов с внутренним антитромбогенным покрытием не решила проблем осложнений, возникающих в отдаленные сроки, так как атромбогенное покрытие уместно лишь в составе плотных (вязаных или плетеных) протезов, ограничивающих «вживление» протеза в ткани организма, провоцирующих отдаленные осложнения [5].
В этой связи заслуживают внимания биорезорбируемые материалы (БМ) на основе природных [1, 6, 20, 28] или синтетических [11, 25, 27] полимеров, используемых в тканевой инженерии в качестве матриц [24], поскольку они способны к интеграции с тканями реципиента, а также к эндотелизации как условию, необходимому для профилактики тромбоза, и формированию собственного матрикса. Эти материалы должны обладать не только биосовместимостью, отсутствием цитотоксичности как самих материалов, так и продуктов их резорбции [25, 26], то есть свойством, исключительным для пролиферации клеток в объеме матрицы и формирующейся ткани, идентичной ткани реципиента, и, наконец, необходимо наличие пор от десятков до сотен микрометров [19]. Для получения пористых полимерных материалов применяется ряд методик: облучение полимерных пленок высокоэнергетическими частицами, фазовое разделение растворов полимеров, введение различных порообразующих добавок [25]. В последнее время для получения материалов с размером пор 10–100 микрометров используют метод электроформирования нановолокон [8, 12]. В работах [6, 7] показано, что стромальные мезенхимные клетки хорошо закрепляются на поверхности материалов из нановолокон и при этом наблюдается высокая скорость их пролиферации.
Протезы, способные к «вживлению» в ткани реципиента, созданные на основе биорезорбируемых полимерных нанои микроволокон, обладают тромборезистентностью и рядом других необходимых качеств, предопределяющих возможность формирования в организме реципиента собственного внеклеточного матрикса с последующей резорбцией его синтетического эквивалента [6].
Использование в качестве протеза природной матрицы – децеллюляризированной аорты (ДА), то есть внеклеточного матрикса аорты, обеспечивает присущие матриксу функции, нацеленные на формирование естественного сосуда. Так, биологические полимеры, в него входящие, в частности белки, коллаген, эластин, протеогликаны, вместе с сохранившимися на матриксе после децеллюляризации аорты молекулами, регулирующими миграцию клеток из крови и окружающих тканей, их адгезию, пролиферацию и дифференцировку, способны к активной инициации процесса ремоделирования протеза (заселение клетками, синтез компонентов матрикса) с формированием естественного сосуда [9, 13, 14].
Эти обстоятельства позволяют рассматривать протезы из ДА и БМ как очередное поколение сосудистых протезов. Они в качестве сосудистых протезов позволят улучшить результаты реконструктивных операций, в том числе на сосудах малого диаметра, сводя к минимуму риск осложнений вследствие формирования естественного сосуда. Кроме того, использование таких протезов позволит отказаться от необходимости повторных реконструктивных операций вследствие их интеграции с тканями реципиента и ростом вместе с ростом пациента.
Цель исследования. Сравнительное исследование состояния протеза из ДА и БМ в эксперименте invivo в первый месяц после трансплантации.
Материалы и методы.
В работе использовали 30 самок крыс линии Вистар массой 250–300 г, из которых 10 животных – в качестве доноров аорты и 20 – в качестве реципиентов протезов[27]. Крыс содержали в соответствии с международными рекомендациями Хельсинкской декларации о гуманном отношении к животным.
Реципиентов разделили на 2 группы:
- первой группе (n=10) вшивали протезы из БМ,
- второй (n=10) – протезы из ДА.
Протезы кровеносных сосудов из БМ в виде трубчатых образцов диаметром 1,1±0,2 мм и толщиной стенки 320±10 мкм (рис. 1) получали путем электроформования на установке «NANON-01A» фирмы «MECCCo.»(Япония) в Институте высокомолекулярных соединений Российской академии наук в соответствии с оригинальной методикой [3] (рис. 1).
Рис. 1. Внешний вид протеза (а) и его стенки (б) из поли(L-лактида) для протезирования аорты крысы
15% раствор частично кристаллического полимера поли(L-лактида) в хлороформе под небольшим давлением пропускался через фильеру (металлическую иглу с внутренним диаметром 0,1 мм) в электрическом поле (напряжение 16 кВ) и попадал на вращающийся со скоростью 1500 об/мин цилиндр с внешним диаметром 1,1 мм. Расстояние между электродами (иглой и цилиндром) составляло 0,15 м. Для повышения механических характеристик и стабильности в биологической среде протезы из поли(L-лактида) подвергали термообработке в фиксированном состоянии (на цилиндре) при температуре 60°C в течение 1 ч.
Протез из ДА получали децеллюляризацией exvivo нативных аорт крыс-доноров. Деионизированной водой, 1% раствором тритона Х100, 0,5% раствором додецилсульфата натрия и 0,9% раствором натрия хлорида в описанной последовательности перфузировали аорты в течение 30 ч. Использовали роликовый насос «SK-BQ50» фирмы «Baoding Longer Precision Pump Co» (Китай) и канюлю № 22G. Раствор с объемной скоростью 1,4 мл/мин через канюлю поступал в аорту и, покидая ее, омывал адвентицию. Полученный протез оценивали на предмет отсутствия антигенного материала, прежде всего клеточного происхождения и герметичности.
Герметичность оценивали визуально при введении под давлением 0,9% раствора натрия хлорида в образец протеза, пережатого в дистальном отделе. Отсутствие остаточного клеточного материала определяли на гистологических срезах, окрашенных гематоксилином и эозином (световой микроскоп «Lab. A1» фирмы «CarlZeiss»(Германия). Присутствие остаточного количества дезоксирибонуклеиновой кислоты (ДНК) оценивали по наличию сигнала после окрашивания фрагмента ДА флуоресцентным красителем 4,6-диамидино-2-фенилиндол-дигидрохлоридом («DAPI» фирмы «ThermoFisher» (Соединенные Штаты Америки)) согласно протоколу производителя (конфокальный микроскоп «LSM710» фирмы «Carl Zeiss» (Германия)).
Перед трансплантацией протезы из ДА и БМ помещали на 30 мин в 70о этиловый спирт. Трансплантацию проводили в асептических условиях наркотизированным (золетил в дозировке 50 мг/кг и фентанил в дозировке 0,1–0,2 мл/кг) фиксированным на спине животным. Выполняли срединную лапаротомию ипод увеличением × 6 операционного микроскопа «OPMI PICO» фирмы «Carl Zeiss» (Германия) выделяли инфраренальный отдел аорты. После гепаринизации (100– 200 ед.) пережимали аорту и протезировали участок длиной 5 мм. Протез орошали оксациллином, рану послойно ушивали. Антикоагулянты не использовали.
Для оценки функциональной состоятельности протеза измеряли диаметр протеза и среднюю линейную скорость кровотока с помощью ультразвукового доплеровского исследования на диагностической ультразвуковой системе «Vivid i» фирмы «Siemens» (Германия). Исследовали зону проксимального, дистального анастомоза и середину протеза. В качестве контрольных данных использовали результаты аналогичных исследований интактных животных (n=5) такой же массы, пола и возраста.
Обследованных животных выводили из опыта летальной инъекцией тиопентала натрия (150 мг/кг). Invivo при 6 и 10-кратном увеличении микроскопа (×6 и ×10) оценивали состоятельность анастомозов, наличие деформаций протеза, изменение окружающей его ткани. Эксплантированные протезы вместе с прилежащей с проксимального и дистального конца протеза частью интактной аорты промывали 0,9% раствором натрия хлорида и фиксировали в 10% нейтральном забуференном формалине для последующих исследований.
Данные представлены в виде среднего и 95% доверительного интервала. Сравнение 3 независимых выборок проводили с использованием непараметрического критерия Краскела–Уоллеса.
Результаты и их обсуждение.
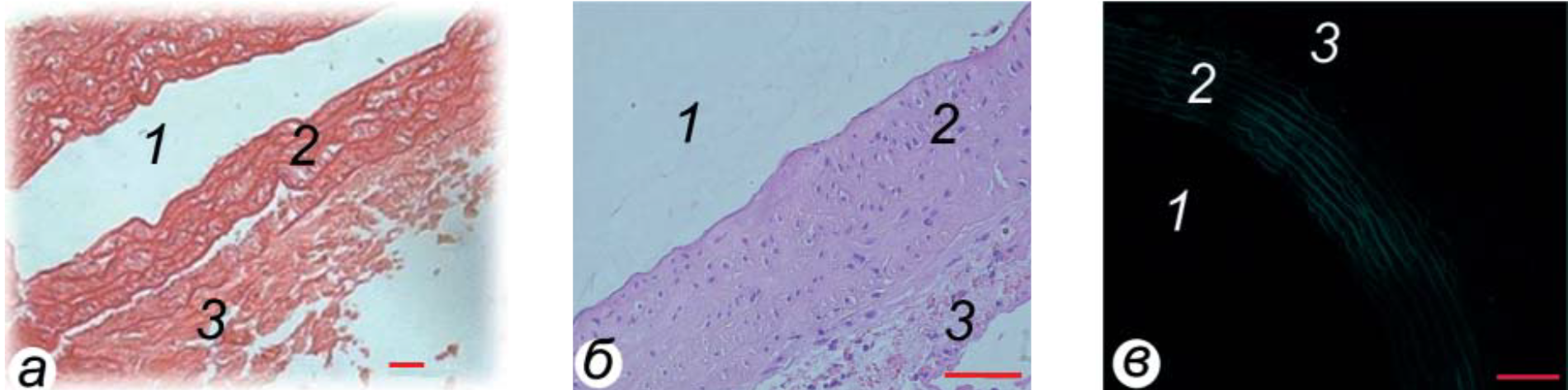
Протез из ДА прочен, герметичен и соответствует требованиям иммунологической нейтральности [10]. Он не содержит остаточного клеточного и ядерного материала
- –основной причины инициации иммунного ответа, что подтверждено сравнительным исследованием результатов оценки препаратов образцов интактной аорты и протезов, окрашенных гематоксилин-эозином и красителем DAPI (рис. 2).
Рис. 2. Отсутствие клеточного и ядерного материала во фрагменте децеллюляризированной аорты, подготовленной для трансплантации (а, в) по сравнению с нативной аортой крысы (б). Окраска гематоксилин-эозином (а, б). Показана сохранность внеклеточного матрикса по наличию аутофлуоресценции его компонентов (зеленый цвет) (в).Сигнал DAPI между белковыми слоями отсутствует: 1 – просветсосуда; 2 – tunicamedia; 3 – tunicaadventitia.
При полной утрате иммуногенности сохраняется целостность матрикса и его ламеллярная структура: слои коллагена и эластина четко дифференцируются по сигналу автофлуоресценции (рис. 2в), подтверждая оптимальный вариант протокола децеллюляризации.
Рис. 3. Трансплантированный протез из децеллюляризированной аорты (а) и биорезорбируемого материала (б). Ув. ×6
После имплантации протезов (рис. 3) ни у одного из животных экспериментальных групп на протяжении первых трех недель посттрансплантационного периода признаков ишемии задних конечностей не наблюдали: животные активно перемещались, кожные покровы лап были розовыми, теплыми и чистыми. При ультразвуковом исследовании диаметр протезов в группах животных одинаков (рис. 4а), однако линейная скорость кровотока у них же относительно контрольных снижена на 32% (р<0,05) (рис. 4б), возможно, изза меньшей толщины стенок протезов относительно стенки нативной аорты.
Рис. 4. Значения внутреннего диаметра протеза (а) и линейной скорости кровотока (б) в контрольной (К) и экспериментальных группах с протезами из биорезорбируемого материала (БМ) и децеллюляризированной аорты (ДА)
К концу наблюдения у одной из 10 крыс БМ группы развилась несостоятельность проксимального анастомоза с острой кровопотерей и гибелью животного. При вскрытии оставшихся 9 крыс патологии не выявлено. Брюшная полость чистая, анастомозы состоятельны, трансплантаты без патологии.
Рис. 5. Внешний вид протеза из биорезорбируемого материала через 1 мес после трансплантации
Интима протеза гладкая, блестящая, неотличима от интимы собственной аорты реципиента (рис. 5), признаков инфекционно-воспалительных изменений нет. В группе ДА гибели животных в установленный период наблюдения не было. Однако только у 4 из 10 животных отсутствовали видимые морфофункциональныеизменения. У остальных 6 крыс наблюдали развитие патологий, в дальнейшем, несомненно, вызвавших бы гибель: тромбоза (n=2, рис. 6а), аневризмы протеза (n=2, рис. 6б) и гиперплазии интимы со стенозом просвета до 50% (n=2, рис. 6в).
Рис. 6. Патологии, развивающиеся в течение 1 мес после трансплантации децеллюляризированной аорты: тромбоз (а), аневризма (б), стеноз (в)
При гистологическом исследовании материала образцов протезов, эксплантированных в рассматриваемые сроки, имела место не только полная реи эндотелизация (рис. 7), но и заселение клетками всей толщи протеза (рис. 8), но, видимо, недостаточная как по количественной, так и по качественной составляющей, фенотипу клеток для формирования естественного матрикса в рассматриваемое время.
Рис. 7. Рецеллюляризация протезов из биорезорбируемого материала (а, б) и децеллюляризированной аорты (в). Окраска гематоксилин-эозином. Стрелками отмечен сформировавшийся эндотелиальный слой: 1 – внутреннее пространство сосуда, 2 – протез. Масштабный отрезок – 50 мкм
Рис. 8. Рецеллюляризация в протезах из биорезорбируемого материала (а) и децеллюляризированной аорты (б). Сигнал от окрашенного DAPI ядерного материала (синий цвет) и автофлуоресценция (зеленый цвет). Масштабный отрезок – 50 мкм
Заключение.
Сосудистые протезы из децеллюляризированного нативного сосуда и биорезорбируемого материала по ряду признаков: тромборезистентности, биосовместимости, степени интеграции с тканями пациента – могут быть реальной альтернативой современным протезам при рассмотрении в ближайший послеоперационный период. Но нельзя исключить, что интеграция положительных свойств каждого из них в форме гибридного протеза, включившего тромборезистентный внутренний биорезорбируемый слой и природный наружный – децеллюляризированную аорту, позволит избежать описанных осложнений, лимитирующих формирование естественного сосуда.
About the authors
V. N. Alexandrov
Kirov Military Medical Academy; Saint Petersburg State Pediatric Medical University
Author for correspondence.
Email: vnaleks9@yandex.ru
Russian Federation, Saint-Petersburg; Saint Petersburg
A. V. Kriventsov
Kirov Military Medical Academy
Email: vnaleks9@yandex.ru
Russian Federation, Saint-Petersburg
E. V. Mikhailovа
Saint Petersburg State Pediatric Medical University; Institute of Cytology of the Russian Academy of Sciences
Email: vnaleks9@yandex.ru
Russian Federation, Saint Petersburg; Saint Petersburg
M. A. Figurkina
Saint Petersburg State Pediatric Medical University
Email: vnaleks9@yandex.ru
Russian Federation, Saint Petersburg
M. O. Sokolova
Saint Petersburg State Pediatric Medical University
Email: vnaleks9@yandex.ru
Russian Federation, Saint Petersburg
V. E. Yudin
Institute of Macromolecular Compounds of the Russian Academy of Sciences
Email: vnaleks9@yandex.ru
Russian Federation, Saint Petersburg
P. V. Popryadukhin
Institute of Macromolecular Compounds of the Russian Academy of Sciences
Email: vnaleks9@yandex.ru
Russian Federation, Saint Petersburg
G. G. Khubulava
Kirov Military Medical Academy
Email: vnaleks9@yandex.ru
Russian Federation, Saint-Petersburg
References
- Ахмедов, Ш.Д. Использование бесклеточного коллагенового матрикса в качестве платформы для изготовления кровеносных сосудов в сердечно-сосудистой хирургии / Ш.Д. Ахмедов [и др.] // Ангиология и сосудистая хирургия. – 2012. – Т.18, № 2. – С. 7–12.
- Бокерия, Л.А. Результаты 3000 операций с использованием эксплантатов и заплат «Басэкс» в сердечно-сосудистой хирургии / Л.А. Бокерия [и др.] // Грудная и сердечно-сосудистая хирургия. – 2012. – № 3. – С. 47–51.
- Добровольская, И.П. Полимерные матрицы для тканевой инженерии / И.П. Добровольская [и др.]. – СПб.: Издательско-полиграфическая ассоциация университетов России, 2016. – 233 с.
- Петровский, Б.В. Хирургическое лечение окклюзионных поражений брюшного отдела аорты и ее ветвей, питающих жизненно важные органы / Х Межд. конгресс по серд.сосуд. заболеваниям, Москва, 26–28 августа 1971 г.: тез. – М., 1971. – С. 45–47.
- Покровский, А.В. Пластические операции на магистральных венах / А.В. Покровский, Л.И. Клионер, Э.А. Апсатаров.– Алма-Ата: Казахстан, 1977. – 172 с.
- Попов, Г.И. Разработка и оценка эффективности биодеградируемой матрицы для создания тканеинженерного сосудистого имплантата в длительном хроническом эксперименте / Г.И. Попов [и др.] //Всеросс. конф. с междунар. участием «StemCellBio-2016: фундаментальная наука как основа клеточных технологий». 9–11 ноября 2016. – СПб.– 174 с.
- Попрядухин, П.В. Композитные материалы на основе хитозана и монтмориллонита: перспективы использования в качестве матриц для культивирования стволовых и регенеративных клеток / П.В. Попрядухин [и др.] // Цитология. –2011. – Т. 53, № 12. – С. 952–958.
- Baumgarten, P.K. Electrostatic spinning of acrylic microfibers / P.K Baumgarten // J. Colloid Interface Sci. – 1971. – Vol. 36. – P.71–79.
- Cho, S.W. Evidence for in vivo growth potential and vascular remodeling of tissue-engineered artery /S.W. Cho [et al.] // Tissue Eng.: Part A. – 2009. – Vol. 15, № 4. – P. 901–912.
- Crapo, P.M. An overview of tissue and whole organ decellularization processes/P.M. Crapo, T.W. Gilbert, S.F. Badylak // Biomaterials. – 2011. – Vol. 32, №12. – P.3233–3243.
- Dobrovolskaya, I.P. Structure and properties of porous films based on aliphatic copolyamide developed for cellular technologies / I.P. Dobrovolskaya [et al.] // Mater. Sci. Mater. Med. – 2015. – Vol. 26. № 1. – P. 1.
- Duan, B. Electrospinning of chitosan solutions in acetic acid with poly(ethylene oxide)/ B. Duan [et al.]// J. Biomater. Sci. Polym. Ed. –2004. –Vol. 15.– P. 797.
- Gui, L. Development of decellularized human umbilical arteries as small-diameter vascular grafts / L. Gui [et al.]// Tissue Engineering: Part A. – 2009. – Vol. 15, № 9. – P. 2665–2676.
- Hwang, S.J.The decellularized vascular allograft as an experimental platform for developing a biocompatible smalldiameter graft conduit in a rat surgical model / S.J.Hwang [et al.]// Yonsei Med. J. –2011. –Vol. 52, № 2. –P. 227–233.
- Kallenbach, K.A novel small-animal model for accelerated investigation of tissue-engineered aortic valve conduit / K. Kallenbach [et al.]// Tissue Engineering. Part C. – 2010. – Vol. 16, № 1. – P. 41–50.
- Lichtenberg, A.In vitro re-endothelialization of detergent decellularized heart valves under simulated physiological dynamic conditions / A.Lichtenberg [et al.]// Biomaterials. – 2006. – Vol. 27. – P. 4221–4229.
- Lichtenberg, A.Preclinical testing of tissue-engineered heart valvesre-endothelialized under simulated physiological conditions / A.Lichtenberg [et al.]// Circulation.– 2006. – Vol. 114. – Р. 1559–1565.
- Liu, G.F. Decellularized aorta of fetal pigs as a potential scaffold for small diameter tissue engineered vascular graft /G.F. Liu [et al.] // Chin. Med. J. – 2008. – Vol.121, № 15. – P.1398–1406.
- Mulder, M. Basic Principles of membrane technology / M. Mulder. –Dortrecht: Kluwer Acad. Publ, 1996. –564p.
- Muzzarelli, R.A.A. Chitin nanofibrils/chitosan glycolate composites as wound medicaments /R.A.A. Muzzarelli [et al.] // Carbohydr. Polymers.– 2007.– Vol. 70,№ 3.– P. 274–284.
- Negishi, J.Effect of treatment temperature on collagen structures of the decellularized carotid artery using highhydrostatic pressure / J. Negishi [et al.] // J. Artif. Organs. – 2011. – Vol. 14, №3. – Р. 223–231.
- Quint, C.Allogeneic human tissue-engineered blood vessel /C. Quint [et al.] // J. Vasc. Surg. – 2012. – Vol.55, № 3. –P. 790–798.
- Rieder, E. Decellularization protocols of porcine heart valves differ importantly in efficiency of cell removal and susceptibility of the matrix to recellularization with human vascular cells / E. Rieder [et al.]// J. Thorac. Cardiovasc. Surg. –2004. – Vol. 127, №2. – P. 399–405.
- Seyednejad, H.In vivo biocompatibility and biodegradation of 3D-printed porous scaffolds based on a hydroxyl-functionalized poly (ε-caprolactone)/H.Seyednejad [et al.] // Biomaterials. – 2012. – Vol. 33.– P. 4309–4318.
- Shoichet, M.S. Polymer scaffolds for biomaterials applications / M.S. Shoichet // Macromolecules. –2010. –Vol. 43. – P. 581.
- Surrao, D.C. Biomimetic poly(lactide) based fibrous scaffolds for ligament tissue engineering/ D.C. Surrao, S.D. Waldman, B.G. Amsden // Acta Biomater. –2012. –Vol. 8.– P. 3997–4006.
- Swartz, D.D. Animal models for vascular tissue engineering /D.D. Swartz, S.T. Andreadis // Curr. Opin. Biotechnol. – 2013. – Vol. 24, № 5. – P. 916–925.
- Yudin, V.E. Wet spinning of fibers made of chitosan and chitin nanofibrils / V.E. Yudin [et al.] // Carbohydr. Polymers. –2014.– Vol. 108. – P. 176–182.
Supplementary files










