Severe community-acquired Legionella pneumonia in servicemen
- Authors: Cherkashin D.V.1, Grishaev S.L.1, Filippov V.Y.1, Shahnovich P.G.1, Sharova N.V.1, Orlov I.L.1, I.V. Bersheva I.V.1, Menkov I.A.1
-
Affiliations:
- Военно-медицинская академия им. С.М. Кирова
- Issue: Vol 19, No 4 (2017)
- Pages: 7-12
- Section: Clinical Trials
- Submitted: 21.11.2023
- Accepted: 21.11.2023
- Published:
- URL: https://journals.eco-vector.com/1682-7392/article/view/623687
- DOI: https://doi.org/10.17816/brmma623687
- ID: 623687
Cite item
Full Text
Abstract
Despite significant progress in pathogenesis understanding, rational antimicrobial therapy and respiratory support for community-acquired pneumonia, the incidence of severe community-acquired pneumonia is currently increasing. In the etiology of severe community-acquired pneumonia in Russia, proportion of legionellosis reaches 15%. The lethality in different outbreaks varies from 8 to 40%. The main causes of death are bilateral subtotal lung damage, severe respiratory or renal and hepatic failure, toxic shock, toxic encephalopathy. The formation of complications and the outcome of «Legionnaire’s disease» directly depends on the terms of appointment of adequate antimicrobial chemotherapy. Being an intracellular parasite, legionellas are found to be insensitive to all antibiotics that are able to accumulate exclusively or mainly in interstitial space.
The presented clinical case of pneumonia legionella demonstrates the difficulty of diagnosis, solution to the problem of choosing an optimal antibiotic therapy. For the treatment of «Legionnaire’s disease», it is necessary to use drugs penetrating well through biological membranes and characterized by a high intracellular accumulation - macrolides and fluoroquinolones, which is reflected in the accepted recommendations and confirmed by our clinical observations. Early entry into the stage of specialized medical care, control of epidemiological factors, analysis of the clinical picture, use of high-tech X-ray, endoscopic, molecular genetic diagnostics and procedural recommendations for the diagnosis and treatment of severe community-acquired pneumonia in a timely manner allow to correct diagnosis in order to prevent fatal outcome and to achieve a full recovery.
Full Text
Введение. Внебольничная пневмония (ВП) составляет одну из основных проблем современной медицины, являясь не только наиболее частым заболеванием, но и одной из ведущих причин смерти от инфекционных болезней. В Российской Федерации (РФ) в 2014 г. показатель заболеваемости ВП составил 354,1 на 100 тыс. населения, а за период с января по октябрь 2015 г. - 247,74 на 100 тыс. (404 758 случаев ВП). Однако истинная заболеваемость ВП, согласно расчетам, достигает 14-15% и ежегодно превышает 1,5 млн человек [8]. Но даже эти данные оказываются не столь значительными при сравнении с эпидемиологической ситуацией, складывающейся в военных коллективах РФ. Так, по данным ежегодных отчетов медицинской службы Минобороны РФ, ежегодная заболеваемость ВП у военнослужащих по призыву составляет 30-50‰, а в некоторых округах и флотах достигает 60‰ и выше. Заболеваемость пневмонией среди военнослужащих по контракту не отличается от таковой в общей популяции и составляет 4-6‰ [1].
В последние годы этиологическая структура инфекционных заболеваний органов дыхания претерпела значительные изменения, на долю «атипичных» микроорганизмов приходится 8 - 30%, среди которых присутствует Logionella pneumophila [2, 4, 13]. Частота выявления данной инфекции, редко диагностируемой в поликлинических условиях при нетяжелых формах ВП, возрастает при тяжелой ВП в стационаре до 5-12% в палатах реанимации и интенсивной терапии [12]. Летальность больных легионеллёзной ВП составляет 14,7%. Коинфекция двумя и более инфекционными агентами, по данным разных авторов, составляет от 3 до 40% [9, 11].
По мнению академика А.Г. Чучалина [10], поздняя диагностика легионеллёза и, как следствие этого, позднее начало антибактериальной терапии сопровождается увеличением числа летальных исходов. В то же время растущая осведомленность практикующих врачей об особенностях клинического течения и подходах к этиотропному лечению легионеллёзной инфекции, включение в стандарты антибиотиков, активных в отношении легионелл (макролиды, фторхинолоны), информированность врачей и все более широкое использование методов определения антигена L.pneumophila серогруппы 1 в биоматериалах в последние годы привели к ощутимому снижению летальности при этом заболевании [6, 8, 12].
Цель исследования. Продемонстрировать обоснованность своевременной этиологической диагностики и эффективность этиопатогенетической терапии тяжелой легионеллёзной пневмонии у военнослужащего.
Материалы и методы. В качестве иллюстрации приводим клинический случай тяжелой легионеллёзной пневмонии у военнослужащего.
Результаты и их обсуждение. Больной Д., 43 лет, военнослужащий по контракту, при проведении ежегодного углубленного медицинского обследования в 2015 г был признан здоровым.
Анамнез болезни. На фоне полного благополучия 27 мая 2016 г. появились общее недомогание, интенсивная головная боль, ломота в мышцах, ощущение жара без катаральных проявлений. Находясь в это время в командировке, больной температуру тела не измерял. По служебной необходимости с 10 по 28 мая совершал ежедневные переезды по Московской и Ленинградской области; пользовался автомобильным и железнодорожным транспортом, оснащенным кондиционерами; проживал в гостиницах, снабженных бойлерными устройствами для подогрева воды; работал в условиях подземного строительства с искусственной вентиляцией. Контакт с больными острой респираторной вирусной инфекцией, туберкулезом, вирусным гепатитом, инфицированными вирусом иммунодефицита человека отрицает. Перенесенные заболевания: аппендэктомия (1993 г.). Прививки в течение последних двух лет не выполнял. Курил с 18 до 33 лет.
28 мая 2016 г., по возвращении в Санкт-Петербург, отметил повышение температуры тела до 39,9оС, которая после приема парацетамола снизилась до 38,5оС. 30 мая, в связи с появлением ноющих болей в поясничной области, больной был доставлен бригадой скорой помощи в клинику военно-полевой хирургии Военно-медицинской академии им. С.М. Кирова (ВМА), где при обследовании была исключена острая хирургическая патология. По данным компьютерной томографии (КТ) груди выявлены инфильтративные изменения в S10 правого и S9,10 левого легкого. Через 4 ч от момента обращения с диагнозом внебольничная двусторонняя пневмония в S10 правого и S9, 10 левого легкого тяжелого течения больной был доставлен санитарным транспортом в клинику военно-морской терапии (ВМТ) ВМА в отделение интенсивной терапии.
При поступлении в клинику ВМТ больного беспокоили озноб, чувство жара, тупые боли в левой половине грудной клетки, усиливающиеся при глубоком вдохе и кашле; одышка инспираторного характера, кашель с отделением скудной мокроты, тошнота и позывы на рвоту при запахе пищи, отсутствие аппетита и стула в течение 2 последних суток; ноющие боли в поясничной области с обеих сторон; незначительная болезненность при мочеиспускании; разлитые головные боли, отсутствие концентрации внимания, ухудшение памяти.
Данные объективного обследования и лабораторно инструментальных методов. Состояние тяжелое. Сознание спутанное (ступор). Положение активное. Кожные покровы сухие, чистые. Температура тела 39,8оС. Пульс 90 уд/мин, ритмичный, удовлетворительного наполнения и напряжения. Артериальное давление (АД) 110 на 70 мм рт. ст. Границы сердца в пределах нормы. Тоны сердца чистые, ясные. Частота дыхания (ЧД) 26-30 в минуту, дыхание поверхностное. Сатурация O2 (SpO2) 88% при дыхании атмосферным воздухом. Грудная клетка при дыхании симметричная. Голосовое дрожание не изменено. При перкуссии ниже угла лопаток с обеих сторон определяется укорочение ясного легочного звука. Уменьшена подвижность нижних границ легких до 2 см. Дыхание проводится во все отделы легких, ослабленное жесткое, влажные мелко- и среднепузырчатые хрипы в нижнебоковых отделах грудной клетки с обеих сторон. Язык влажный, обложен белым налетом. Живот мягкий, болезненный при пальпации в правом подреберье, симптомов раздражения брюшины нет. Размеры печени 12x10x9 см (по Курлову). Пальпируется ровный мягкий болезненный край печени ниже реберной дуги на 2 см. Селезенка, почки не пальпируются. Поколачивание по пояснице безболезненно с обеих сторон. Щитовидная железа не увеличена.
Общий анализ крови от 30.05.2016 г.: лейкоциты - 13,5х109/л, скорость оседания эритроцитов (СОЭ) - 40 мм/ч, остальные показатели в норме. Общий анализ крови от 03.06.2016 г.: палочкоядерные нейтрофилы - 7%, эозинофилы - 12%, гемоглобин - 128 г/л, эритроциты - 3,95х1012/л, СОЭ - 31 мм/ч, остальные показатели в норме. Общий анализ крови от 15.06.16 г: в пределах нормальных значений.
Общий анализ мочи от 31.05.2016 г.: белок - 1,0 г/л, кетоновые тела - 1,5 мм/л, эритроциты - 25 в мл, в остальном норма; от 06.06.2016 г.: норма.
В кале от 31.05.2016 г яйца глистов и простейшие не обнаружены. Реакция на скрытую кровь от 31.05.2016 г отрицательная.
Суточная потеря белка от 02.06.2016 г: 0,02 г/сут.
Биохимический анализ крови от 31.05.2016 г: аспартатаминотрансфераза (АСТ) - 94,8 ед/л, креатинфосфокиназа (КФК) - 429,8 ед/л, фибриноген - 9,0, протромбиновый индекс - 78, натрий - 125,1 ммоль/л, креатинин - 129 мкмоль/л. Глюкоза, аланинаминотрансфераза (АЛТ), общий билирубин, общий белок, КФК миоглобиновая фракция, мочевина, кальций - норма; от 10.06.16 г: АЛТ 85,8 ед/л, АСТ 64,1 ед/л, креатинин, глюкоза, мочевина, С-реактивный белок, фибриноген, натрий - норма. Анализ крови на прокальцитонин от 31.05.2016 г: норма.
Серологические реакции: с кардиолипиновым антигеном от 31.05.2016 г., антитела-ВИЧ, АпЛ-НСУ, HBs-антиген от 31.05.2016 г. отрицательные.
Иммуноферментный анализ (ИФА) крови на Mycobacterium tuberculosis от 31.05.2016 г.: иммуноглобулины M, G, A - отрицательные.
Иммунологическое исследование на антитела к двуспиральной дезоксирибонуклеиновой кислоте (ДНК) от 07.06.2016 г.: норма.
Инфекционно-иммунологическое исследование крови от 03.06.2016 г. на Mycoplasma pneumoniae, Chlamydophila pneumoniae: отрицательно.
Исследование крови на микрофлору от 06.06.2016 г: роста микрофлоры в аэробных и анаэробных условиях нет.
Анализ мочи на легионеллез от 02.06.2016 г: антиген (АГ) к Legionella pneumophila не обнаружен.
Фибробронхоскопия от 01.06.2016 г.: патологии со стороны трахеи и бронхов не выявлено; произведен забор промывных вод бронхов для анализа.
Исследование лаважа бронхов на микрофлору от 06.06.2016 г.: выделена культура Pseudomonas aeruginosa - 104.
Анализ крови, мазка из зева и полости носа, лаважа от 06.06.2016 г методом полимеразой цепной реакции (ПЦР): в бронхоальвеолярном лаваже обнаружены ДНК Legionella pneumophila и Haemophilus influenzае.
Спиральная КТ груди от 30.05.2016 г.: в S10 сегменте правого легкого и S9 10 сегментах левого легкого на фоне диффузного уплотнения легочной паренхимы по типу «матового стекла» и утолщенных междольковых перегородок, переходящих в плевропульмональные спайки, участки плевропневмонической инфильтрации легочной ткани с наличием «воздушной бронхографии». Множественные очаговые уплотнения легочной ткани обоих легких: в паренхиме правого легкого - в S1 (1), размерами 3x3 мм, в S3 (2) - до 2x3 мм, в S5 (1) - 4x2 мм, в S4 (2), субплеврально - до 3x3 мм, S8 (1) - 3x3 мм; в паренхиме левого легкого в S1(1) - размерами 4 2 мм, S4 (1) - 5x3 мм, в S5 (1), субплеврально - 2x3 мм, S9 (1) - до 3x2 мм. В S6 правого легкого визуализируется единичная парасептальная булла, размерами 8x5 мм. В S5 левого легкого наблюдается участок уплотнения легочной ткани, с нечеткими, неровными контурами и наличием тяжей к прилежащей плевре, размерами 13x6 мм. Множественные плевропульмональные спайки, преимущественно в апикальных и базальных отделах обоих легких. Ход и проходимость трахеи, главных и долевых бронхов не нарушены, стенки их умеренно утолщены, с наличием единичных обызвествлений в стенках трахеи. В единичных лимфатических узлах правой подмышечной группы наблюдаются мелкие обызвествления. Заключение: плевропневмония в S10 сегменте правого легкого и S9 10 сегментах левого легкого. Множественные очаговые уплотнения обоих легких. Пневмофиброз в S5 левого легкого.
Рентгенография грудной клетки от 06.06.2016 г.: уменьшение инфильтрации легочной ткани в нижней доле правого и левого легких по интенсивности и распространенности. Рентгенография грудной клетки от 14.06.2016 г.: справа полное восстановление пневматизации легочной ткани, слева отмечается усиление легочного рисунка в S10.
Спирометрия от 16.06.2016 г.: жизненная емкость легких (ЖЕЛ) - 4,66 л (84,3%), объем форсированного выдоха за первую секунду (ОФВ1) - 4,18 л (92,3%), ОФВ1/ЖЕЛ - 89,86. Заключение: нарушений бронхиальной проходимости нет.
Электрокардиография (ЭКГ) от 30.05.2016 г. Заключение: ритм синусовый с частотой сердечных сокращений (ЧСС) 90 уд/мин. Нормальное положение электрической оси сердца. Нормальная ЭКГ; от 05.06.2016 г.: ЭКГ без динамики.
Эхокардиография от 31.05.2016 г.: аорта не изменена, камеры сердца не расширены, давление в легочной артерии в норме, общая и локальная сократительная способность миокарда не нарушена, диастолическая функция сохранена, клапанный аппарат без патологии.
Ультразвуковое исследование органов брюшной полости, щитовидной железы от 31.05.2016 г.: печень увеличена - правая доля 15,2 см, повышенная эхогенность; желчный пузырь, поджелудочная железа, холедох, селезенка, почки, щитовидная железа в норме. Заключение: гепатомегалия, стеатогепатоз.
Спиральная КТ живота от 30.05.2016 г.: печень увеличена, плотность снижена. КТ-признаки жировой дистрофии поджелудочной железы. Желчный пузырь, селезенка, надпочечники, почки без особенностей. Лимфатические узлы не увеличены.
Осмотр инфекционистом 06.06.2016 г.: данных за вирусное заболевание нет. Учитывая клиническую картину и обнаружение в бронхоальвеолярном лаваже ДНК Legionella pneumophila, Haemophilus influenzае методом ПЦР, диагноз - легионеллез легких.
Окончательный диагноз. Внебольничная двусторонняя пневмония в S10 сегменте правого и S9 10 сегментах левого легкого, вызванная Legionella pneumophila и Haemophilus influenzае, тяжелого течения. Дыхательная недостаточность 2 степени. Шкала SMRT- CO- 4 балла (высокий риск).
Критерии тяжелой пневмонии: ЧД>30/мин, двустороннее поражение легких, гипоксемия, нарушение сознания [1, 2].
Потребность в респираторной поддержке и вазопрессорах (1 из 3): SMRT-CO - 4 балла (мультилобарная инфильтрация, ЧД>25/мин в возрасте 50 лет и моложе, нарушение сознания, SрO2<94% в возрасте 50 лет и моложе) [1, 2].
30.05.2016 г, с момента госпитализации и верификации диагноза, начата эмпирическая терапия антибиотиками. В течение 3 дней пребывания в стационаре (4-5 день болезни) на фоне проводимой комбинированной терапии (кларитромицин - 1 г/сут и цефтриаксон - 2 г/сут) у больного сохранялись лихорадка, выраженные признаки синдрома общей интоксикации, кашель. После смены антибиотиков на моксифлосацин 0,4 г/сут в сочетании с меронемом 3 г/сут отмечалась положительная динамика в виде нормализации температуры, купирования явлений интоксикации (рис. 1). Комбинированная антибактериальная терапия продолжалась до 21 дня. Симптоматическаятерапия:дезинтоксикационная, N-ацетилцистеин 0,6 г/сут (через небулайзер), эноксапарин 0,4 г/сут, диклофенак натрия при повышении температуры тела более 38,5оС, омепразол, сеансы гелиево-кислородной терапии, физиотерапия, лечебная физкультура.
К 15-му дню заболевания нормализовались показатели клинического анализа крови, острофазовые показатели крови, достигнуто полное восстановление пневматизации легочной ткани справа, слева сохранялось усиление легочного рисунка в S10 сегменте.
Рис. 1. Схема антимикробной терапии и клиническая динамика больного Д.
Пациент представлен на медицинское освидетельствование с диагнозом «временное функциональное расстройство органов дыхания после перенесенной внебольничной двусторонней легионеллёзной пневмонии в десятом сегменте правого легкого и в девятом, десятом сегментах левого легкого тяжелого течения, без дыхательной недостаточности». На основании статьи 53 графы III расписания болезней (приложение к Положению о военно-врачебной экспертизе, утвержденному постановлением Правительства Российской Федерации от 4 июля 2013 года № 565) и Требований к состоянию здоровья отдельных категорий граждан и Приказу Министра обороны Российской Федерации от 20 октября 2014 г. № 770: «О мерах по реализации в Вооруженных силах Российской Федерации правовых актов по вопросам проведения военноврачебной экспертизы») Г - временно не годен к военной службе, необходимо предоставить полное освобождение от исполнения обязанности военной службы сроком на 15 суток.
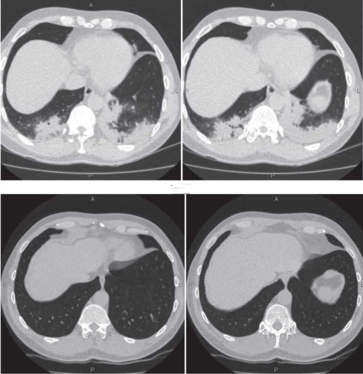
При контрольном обследовании через 6 месяцев после перенесенной пневмонии больной Д. жалоб не предъявлял. При объективном осмотре патологических изменений не выявлено. Анализ крови в норме. Спирометрические показатели не изменены: ЖЕЛ - 5,91 л (102%); ОФВ1 - 4,51 л (99%); ОФВ1/ЖЕЛ - 76%. Учитывая, что рентгенологические признаки легионеллезной пневмонии могут сохраняться до 6 месяцев [12], выполнена КТ легких, которая не выявила отклонений от нормы (рис. 2).
Рис. 2. Спиральная КТ груди больного Д. в динамике от 30.05.2016 г. (а) и 18.11.2016 г. (б).
Выводы
Оценка критериев тяжести внебольничной пневмонии по шкале SMRT-CO для выбора алгоритма лечебной тактики при условии своевременного и раннего поступления на этап специализированной медицинской помощи (менее 24 ч), соблюдение методических рекомендаций по диагностике и лечению тяжелой внебольничной пневмонии позволяют предотвратить развитие осложнений тяжелой внебольничной пневмонии и достигнуть полного выздоровления с возвращением военнослужащего в строй без ограничения годности к военной службе.
Учет эпидемиологических факторов (факт активного перемещения по служебной необходимости, проживание в гостиничных условиях, длительный контакт с кондиционерами, работа в условиях искусственной вентиляции), применение высокотехнологичной лучевой, качественной эндоскопической и этиологической диагностики (с применением метода ПЦР) позволяют своевременно провести диагностику легионеллёзной пневмонии.
Учет Ноттингемских диагностических критериев легионеллезной пневмонии [3] в первые сутки пребывания больного в стационаре: а) наличие предшествующего 4-дневного периода гипертермии и токсикоза; б) лимфопения до 10,2% при лейкоцитозе 15,5х 109/л; в) натрий 125 ммоль/л; г) рентгенологическое подтверждение уплотнений в легких (несмотря на стандартную эмпирическую терапию антибиотиками в течение 2 суток наблюдения за больным) позволяют своевременно применить комбинированную таргетную антибактериальную терапию, направленную на Legionella pneumophila и Haemophilus influenzae.
About the authors
D. V. Cherkashin
Военно-медицинская академия им. С.М. Кирова
Author for correspondence.
Email: grishaev_med@mail.ru
Russian Federation, Санкт-Петербург
S. L. Grishaev
Военно-медицинская академия им. С.М. Кирова
Email: grishaev_med@mail.ru
Russian Federation, Санкт-Петербург
V. Yu. Filippov
Военно-медицинская академия им. С.М. Кирова
Email: grishaev_med@mail.ru
Russian Federation, Санкт-Петербург
P. G. Shahnovich
Военно-медицинская академия им. С.М. Кирова
Email: grishaev_med@mail.ru
Russian Federation, Санкт-Петербург
N. V. Sharova
Военно-медицинская академия им. С.М. Кирова
Email: grishaev_med@mail.ru
Russian Federation, Санкт-Петербург
I. L. Orlov
Военно-медицинская академия им. С.М. Кирова
Email: grishaev_med@mail.ru
Russian Federation, Санкт-Петербург
I. V. I.V. Bersheva
Военно-медицинская академия им. С.М. Кирова
Email: grishaev_med@mail.ru
Russian Federation, Санкт-Петербург
I. A. Menkov
Военно-медицинская академия им. С.М. Кирова
Email: grishaev_med@mail.ru
Russian Federation, Санкт-Петербург
References
- Диагностика, лечение и вакцинопрофилактика внебольничной пневмонии у военнослужащих // Методические указания ГВМУ МО РФ, М. - 2015. - 58 с.
- Диагностика, лечение и профилактика внебольничной пневмонии тяжелого течения у военнослужащих: методические указания ВМА МО РФ / под ред. А.Н. Бельских.- СПб., - 2014.- 60 с.
- Покровский, В.И. Этиологическая диагностика и этиотропная терапия острых пневмоний / В.И. Покровский [и др.].- М.: Медицина, 1995. - 34 с.
- Руководство по инфекционным болезням / под ред. Ю.В. Лобзина, К.В. Жданова.- СПб.: Фолиант. - 2011. - Кн. 2. - 744 с.
- Синопальников, А.И. «Трудная» пневмония: пособие для врачей / А.И. Синопальников, А.А. Зайцев, - М., - 2010. - 56 с.
- Тартаковский, И.С. Методические особенности диагностики легионеллезной пневмонии в лечебно-профилактических учреждениях / И.С Тартаковский [и др.] // Клин. микробиол. антимикроб. химиотер., - 2012. - Т 14, № 2. - С. 101-106.
- Харитонов, М.А. Медицинская лабораторная диагностика: программы и алгоритмы: руководство для врачей / М.А. Харитонов, В.А. Андреев, Т.И. Оболенская. - М.: ГОЭТАР- медиа, 2014. - С. 430-458.
- Чучалин, А.Г. Внебольничная пневмония у взрослых: практические рекомендации по диагностике, лечению и профилактике: пособие для врачей / А.Г. Чучалин/ [и др.] // Росс. респираторное общество, Межрегиональная ассоциация по клинической микробиологии и антимикробной химиотерапии (МАКМАХ) - М., - 2010. -106 с.
- Чучалин, А.Г Клинические рекомендации по диагностике, лечению и профилактике тяжелой внебольничной пневмонии у взрослых / А.Г Чучалин [и др.] // Consiliummedicum. - 2014. - Т. 17, № 3. - С. 8-37.
- Чучалин, А.Г. Пневмония: актуальная проблема медицины XXI века / А.Г. Чучалин // Пульмонология. - 2015. - № 2. - С. 133-142.
- Чучалин, А.Г Практические рекомендации по диагностике и лечению легионеллезной инфекции, вызываемой Legionella Pneumophila серогруппы1 / А.Г Чучалин [и др.]. - М., 2009. - 22 с.
- Welte, T Clinical and economic burden of community-acquired pneumonia among adults in Europe / T. Welte., A. Torres., D. Nathwani // Thorax. - 2012. - Vol. 67. - Р. 71-79.



