Рентгено-гистологические параллели стадий хронического остеомиелита
- Авторы: Дьячкова Г.В.1, Клюшин Н.М.1, Мигалкин Н.С.1, Ларионова Т.А.1, Леончук Д.С.1, Дьячков К.А.1, Бегимбетова Н.Б.1
-
Учреждения:
- Российский научный центр «Восстановительная травматология и ортопедия» им. акад. Г.А. Илизарова
- Выпуск: Том 19, № 4 (2017)
- Страницы: 17-22
- Раздел: Клинические исследования
- Статья получена: 21.11.2023
- Статья одобрена: 21.11.2023
- Статья опубликована:
- URL: https://journals.eco-vector.com/1682-7392/article/view/623693
- DOI: https://doi.org/10.17816/brmma623693
- ID: 623693
Цитировать
Полный текст
Аннотация
Эндопротезирование тазобедренного сустава в травматологической и ортопедической практике вошло в разряд стандартных операций, выполняемых у взрослых. Из всех осложнений, неблагоприятно сказывающихся на исходах эндопротезирования, особое место занимает глубокое нагноение послеоперационной раны, хронический остеомиелит. Своевременная диагностика и выявление характера воспалительного процесса играют огромную роль в определении объема хирургического вмешательства. В последние годы в диагностический алгоритм остеомиелита предлагается включение морфологического подтверждения стадии и распространенности воспалительного процесса. У 58 больных хроническим остеомиелитом, используя мультисрезовую компьютерную томографию и гистологически изучены особенности структуры проксимального отдела бедра. Выявлены рентгенологические и морфологические особенности острого, подострого течения остеомиелита и состояние кости во время ремиссии. Найдены визуализационные отличия и морфологические параллели анатомии и архитектоники кости во время обострения и ремиссии. Так, в периоде обострения и в подострой фазе головка бедренной кости (или ее фрагмент), культя шейки имели неровные контуры, содержали зоны резорбции с плотностью в отрицательном спектре шкалы Хаунсфилда, плотность крыши вертлужной впадины, области большого вертела была значительно снижена. Корковая пластинка имела различную толщину и плотность, была ниже нормальных величин. При наличии свищей выявлялись дефекты корковой пластинки различной протяженности. Гистологически определялась рарефицированная губчатая кость головки бедра с почти полным разрушением суставного хряща, истончением субхондральной костной пластинки, некрозом костных трабекул, замещением межтрабекулярного пространства полями некротизированного детрита, скоплениями гнойного экссудата, грануляционной ткани, полями фиброзирования. При подострой форме определялось большое количество сегментоядерных лейкоцитов в межтрабекуляных пространствах губчатой порции исследованного материала. В периоде ремиссии сохранялись явления остеопороза в области вертлужной впадины и сохранившейся части бедренной кости, свежих деструктивных изменений не выявлялось. В ряде случаев морфологически определялись мелкие рыхлые безказеозные гранулемы лимфоцитарного и макрофагального состава, участки репаративного костеобразования на поверхности частично некротизированных костных трабекул со слоем новообразованного остеоида и слоем остеобластов на эндостальной поверхности костного трабекулярного комплекса.
Полный текст
Введение. Хирургические раневые инфекции являются наиболее распространенными послеоперационными осложнениями и представляют собой серьезную проблему для всех хирургических дисциплин [9, 12, 15]. В последние годы, учитывая увеличение количества эндопротезирований, наиболее остро стоит проблема перипротезной инфекции и хронического остеомиелита, который остается одним из самых распространенных и тяжелых заболеваний опорно-двигательной системы человека [1, 6, 18, 20, 21]. Хронический остеомиелит приводит к патологическим изменениям практически во всех анатомических и структурных образованиях бедра и голени [3-5]. Одним из важнейших этапов лечения больных хроническим остеомиелитом является диагностика, которая основана, как правило, на лучевых методах [5, 7, 8, 11, 13, 17, 22]. H.G. Schmidt et al. [19] разработали специальные показатели для формулирования диагноза «остеомиелит» с целью надежной классификации всех используемых методов исследования. Оценка основана на пяти диагностических процедурах: клинические данные, лабораторные результаты, диагностическая визуализация, микробиологические и гистопатологические исследования [19]. Этот подход к диагностике остеомиелита можно считать сравнительно новым. Авторы считают, что только гистопатологическая оценка является «conditio sine qua non» - непеременным условием для установления диагноза и принятия решения о лечении («must have»). Микробиологическая оценка является адъювантным фактором для постановки диагноза и принятия решения по лечению («nice to have»). Комплексное исследование в диагностике хронического остеомиелита также предлагают B.J. Lindbloom, E.R. James, W.C. McGarvey [16],Y Zhang et al. [23]. Исходя из «100% правила Шмидта» и аналогично онкохирургии только полное хирургическое удаление очага инфекции приводит к устранению инфекции. Это условие многие годы определяет объем и методики хирургического лечения хронического остеомиелита, принятые в Центре Илизарова [6]. Гистологическое исследование является немаловажным дополнением к лучевым и микробиологическим, поскольку является «золотым стандартом» по отношению к любым визуализационным методикам [16]. Патоморфологические изменения при остеомиелите в настоящее время изучены достаточно хорошо, показаны отличия между острым и хроническим типами воспалительного процесса в кости [14, 22]. Единичные работы посвящены рентгено-морфологическим параллелям при изучении острого и хронического остеомиелита, а также комплексной оценке результатов лечения с использованием гистологических методик и микрокомпьютерной томографии [10, 14, 23].
Цель исследования. Изучить мультисрезовую компьютерную томографию (МСКТ) семиотики и пато- морфологических особенностей посттравматического хронического остеомиелита и остеомиелита после приперипротезной инфекции в периодах ремиссии, подострого течения и обострения.
Материалы и методы. Используя рентгенографию и МСКТ изучена семиотика хронического остеомиелита проксимального отдела бедренной кости, в том числе после перипротезной инфекции, у 58 больных хроническим остеомиелитом проксимального отдела бедренной кости в возрасте от 48 до 74 лет. Мужчины составили 64,3%. МСКТ проводили на компьютерных томографах «GE Lihgt Speed VCT» (Соединенные Штаты Америки), «Toshiba Aquilion-64» (Япония), программа - Extremity. Изучали особенности рентгеноморфоло- гии и проводили количественную оценку показателей плотности костных структур тазобедренного сустава в единицах Хаунсфилда (HU), анализ топографо-анатомических изменений в режиме 30-реконструкций.
Материал для гистологического исследования забирали у больных хроническим остеомиелитом при подостром течении и обострении во время секвестрне- крэктомии. При ремиссии - во время реэндопротезирования. После фиксации в 10% растворе нейтрального формалина костный материал подвергали вырезке, декальцинировали, после чего осуществляли стандартную гистологическую обработку и окрашивали гематоксилином и эозином. Часть препаратов после микроскопии подвергали микросъемке с масштабированием в соответствии с применяемыми объективами микроскопа «AxioScope.A 1» с помощью цифровой камеры «AxioCam» с программным обеспечением «Zenblue».
Данные МСКТ были проанализированы с использованием программного обеспечения AtteStat, версия 10.8. для Microsoft Excel, результаты были представлены как М± (среднее ± стандартное отклонение). Достоверность различий определяли на основании W-критерия Вилкоксона для независимых выборок [2].
Результаты и их обсуждение. У больных хроническим остеомиелитом проксимального отдела бедренной кости в периоде обострения с преобладанием гнойного воспаления головка бедренной кости была почти полностью разрушена в 42 случаях. Фрагмент сохранившейся головки содержал структуры различной плотности: от 386,27±38,65 HU до 105,23±35,17 HU, а также зоны резорбции с отрицательной плотностью. Плотность крыши вертлужной впадины не превышала 56,16±11,63 HU, в сохранившихся участках головки субхондральный слой был истончен, плотность его составляла 285,37±46,21 HU. Плотность кости в области большого вертела находилась в отрицательном спектре шкалы Хаунсфилда (-57,05±29,71 HU), рисунок 1.
Рис. 1. МСКТ тазобедренного сустава больного Ц., 53 года. Аксиальные срезы (а, б). Выраженный остеопороз в области большого вертела (—57,05 HU), крыши вертлужной впадины (38,16 HU), неровные, «изъеденные» контуры фрагмента головки и сохранившейся части проксимального отдела бедренной кости MPR (в).
При изучении гистологических препаратов головки бедренной кости больных хроническим остеомиелитом в периоде обострения, с преобладанием картины гнойного воспаления определялась рарефицированная губчатая кость головки бедра с почти полным разрушением суставного хряща, истончением субхондральной костной пластинки, некрозом костных трабекул, замещением межтрабекулярного пространства полями некротизированного детрита, скоплениями гнойного экссудата, грануляционной тканью и полями фиброзирования (рис. 2).
Рис. 2. Обзор участков головки кости. Суставной хрящ головки отсутствует. Окраска гематоксилином и эозином.
Ув. х31,25 (а). Очаги скопления кокковой микрофлоры в массах детрита. Ув. х500 (б).
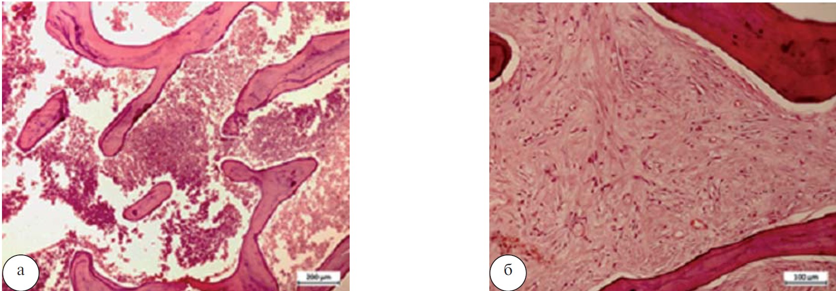
В некоторых участках головки бедренной кости межтрабекулярные пространства были заполнены гнойным экссудатом, обнаруживались поля грануляционной ткани разной степени зрелости (рис. 3).
Рис. 3. Фрагмент головки бедренной кости. Межтрабекулярные пространства в головке бедра заполнены гнойным экссудатом: а — зрелая, с начальными признаками фиброзировния, ув. х 125; б — грануляционная ткань в межтрабекулярных пространствах губч атой некротизированной кости, ув. х250. Окраска гематоксилином и эозином.
При наличии подострой формы хронического остеомиелита после ревизионного эндопротезирования правого тазобедренного сустава на фистулограммах у 17 больных определялись затеки контрастного вещества в мягкие ткани по наружной поверхности бедра. На аксиальных срезах тазобедренного сустава, после удаления эндопротеза, плотность крыши вертлужной впадины, области малого вертела значительно снижена, корковая пластинка имела неравномерную толщину и плотность. В области малого вертела плотность кости составляла 98,17±9,70 HU, в области крыши вертлужной впадины - 25,36±10,72 HU (рис. 4).
Рис. 4. Рентгенограмма (фистулограмма) тазобедренного сустава больного К., 74 года (а). Перипротезная инфекция.
Хронический остеомиелит. МСКТ тазобедренного сустава: б — аксиальные срезы на уровне вертлужной впадины и малого вертела; в — аксиальный срез на уровне диафиза.
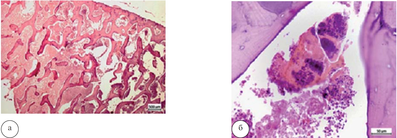
При гистологическом исследовании, учитывая наличие заметного представительства сегментоядерных лейкоцитов в межтрабекуляных пространствах губчатой порции исследованного материала, данное наблюдение расценивали как хронический остеомиелит в подострой форме (рис. 5).
Рис. 5. Губчатый костный фрагмент: а — гнойный экссудат в межтрабекулярном пространстве. Окраска гематоксилином и эозином. Ув. 500; б — остеонекроз компактной кости, очаги патологической минерализации. К краям костных фрагментов примыкают поля грануляционной ткани с признаками фиброзирования. Ув. х 125.
У больного П., 69 лет после эндопротезирования левого тазобедренного сустава развился хронический остеомиелит. После удаления эндопротеза и резекции головки и шейки бедренной кости, проведенного лечения отмечена ремиссия. По данным МСКТ отмечался дефект проксимального отдела бедренной кости, смещение ее в проксимальном направлении, деформация суставной впадины, умеренный отек и рубцовые изменения мягких тканей. Выражен остеопороз проксимального отдела бедренной кости (плотность в отрицательном спектре шкалы Хаунсфилда). Аналогичная ситуация имела место у 8 больных (рис. 6).
Рис. 6. МСКТ тазобедренного сустава больного П., 69 лет: а — аксиальный срез, плотность в области большого вертела (—43,6 HU); б — MPR, отсутствие характерного трабекулярного строения в межвертельной области, плотность — (—91,9 HU); в — VRT.
По данным гистологического исследования выявлено наличие гранулематозного компонента с формированием мелких рыхлых безказеозных гранулем лимфоцитарного и макрофагального состава с наличием гигантских многоядерных клеток типа инородных тел. Определялись участки репаративного костеобразования на поверхности частично некротизированных костных трабекул со слоем новообразованного остеоида и слоем остеобластов на эндостальной поверхности костного трабекулярного комплекса. В межтрабекулярном пространстве - грануляционная ткань с участками фиброретикулярной перестройки (рис. 7).
Рис. 7. Хронический остеомиелит. Остеонекроз: а — запустевшие лакуны остеоцитов, отсутствие слоя остеобластов на поверхностях рарефицированных костных трабекул. В межтрабекулярных пространствах хлопьевидный аморфный детрит и жировые капли. Ув. х 125; б — участок репаративного остеогенеза при хроническом остеомиелите, напластование остеоида на поверхности предсуществовавшей, частично некротизированной трабекулы. Окраска гематоксилином и эозином. Ув. х250.
Заключение. Показано, что в периоде обострения и в подострой фазе головка бедренной кости (или ее фрагмент), культя шейки имели неровные контуры, содержали зоны резорбции с плотностью в отрицательном спектре шкалы Хаунсфилда, плотность крыши вертлужной впадины, области большого вертела была значительно снижена. Корковая пластинка имела различную толщину и плотность, была ниже нормальных величин. При наличии свищей выявлялись дефекты корковой пластинки различной протяженности. При гистологическом исследовании определялась раре- фицированная губчатая кость головки бедра с почти полным разрушением суставного хряща, истончением субхондральной костной пластинки, некрозом костных трабекул, замещением межтрабекулярного пространства полями некротизированного детрита, скоплениями гнойного экссудата, грануляционной ткани, полями фиброзирования. При подострой форме определялось большое количество сегментоядерных лейкоцитов в межтрабекулярных пространствах губчатой порции исследованного материала.
У пациентов в периоде ремиссии сохранялись явления остеопороза в области вертлужной впадины и сохранившейся части бедренной кости, свежих деструктивных изменений по данным МСКТ не выявлялось. В ряде случаев морфологически определялись мелкие рыхлые безказеозные гранулемы лимфоцитарного и макрофагального состава, участки репаративного костеобразования на поверхности частично некротизированных костных трабекул со слоем новообразованного остеоида и слоем остеобластов на эндостальной поверхности костного трабекулярного комплекса.
Об авторах
Г. В. Дьячкова
Российский научный центр «Восстановительная травматология и ортопедия» им. акад. Г.А. Илизарова
Автор, ответственный за переписку.
Email: gv2003@list.ru
Россия, Курган
Н. М. Клюшин
Российский научный центр «Восстановительная травматология и ортопедия» им. акад. Г.А. Илизарова
Email: gv2003@list.ru
Россия, Курган
Н. С. Мигалкин
Российский научный центр «Восстановительная травматология и ортопедия» им. акад. Г.А. Илизарова
Email: gv2003@list.ru
Россия, Курган
Т. А. Ларионова
Российский научный центр «Восстановительная травматология и ортопедия» им. акад. Г.А. Илизарова
Email: gv2003@list.ru
Россия, Курган
Д. С. Леончук
Российский научный центр «Восстановительная травматология и ортопедия» им. акад. Г.А. Илизарова
Email: gv2003@list.ru
Россия, Курган
К. А. Дьячков
Российский научный центр «Восстановительная травматология и ортопедия» им. акад. Г.А. Илизарова
Email: gv2003@list.ru
Россия, Курган
Н. Б. Бегимбетова
Российский научный центр «Восстановительная травматология и ортопедия» им. акад. Г.А. Илизарова
Email: gv2003@list.ru
Россия, Курган
Список литературы
- Булыгина, Е.А. Исследование частоты встречаемости по вторных операций при остеомиелите / Е.А. Булыгина, И.С. Зленко // Вестн. Рос. гос. мед. ун-та. - 2010. - № 2. Спец. вып. - С. 161.
- Гайдышев, И.П. Свидетельство о регистрации программы для ЭВМ № 2002611109 / И.П. Гайдышев. - М., 28.06.2002.
- Гостищев, В.К. Прогнозирование изменений прочности длинных трубчатых костей в хирургии хронического остеомиелита / В.К. Гостищев [и др.] // Хирургия. Журн. им.Н.И. Пирогова. - 2010. - № 2. - С. 4-6.
- Дъячкова, Г.В. Оценка качества кости методом мультисрезовой компьютерной томографии у больных хроническим остеомиелитом / Г.В. Дьячкова [и др.] // Травматология и ортопедия России. - 2013. - № 3 (69). - C. 88-95.
- Кармазановский, Г.Г. Рентгенологическая семиотика хронического остеомиелита длинных костей / Г.Г. Кармазановский, И.А. Косова. - М.: ВИДАР, 2013. - 200 с.
- Клюшин, Н.М. Новые технологии лечения больных хроническим остеомиелитом - итог сорокалетнего опыта применения метода чрескостного остеосинтеза / Н.М. Клюшин [и др.] // Гений ортопедии. - 2011. - № 2. - С. 32-38.
- Ковалинин, В.В. Лучевая диагностика остеомиелита / В.В.Ковалинин, К.Ю. Клещевникова, Б.А. Джанчатова // Рос. электр. журн. лучевой диагностики. REJR. - 2014. - Т. 4, № 3. - С. 66-76.
- Котягина, С.Е. Магнитно-резонансная томография в диагностическом алгоритме хронического остеомиелита / С.Е. Котягина, В.Ю. Колесов // Аспирант и соискатель. - 2013. № 6. - С. 128-131.
- Писарев, В.В. Инфекционные осложнения послеоперационной раны при металлоостеосинтезе закрытых переломов длинных трубчатых костей / В.В. Писарев [и др.] // Травматология и ортопедия России. - 2008. - № 2 (48). - С. 14-19.
- Шевцов, В.И. Роль комплексной лучевой и патоморфологической диагностики остеомиелитических поражений костей нижних конечностей в выборе тактики лечения больных методом управляемого чрескостного остеосинтеза / В.И. Шевцов [и др.] // Вестн. травматологии и ортопедии им. Н.Н. Приорова. - 2008. - № 2. - С. 44-47.
- Bires, A.M. Osteomyelitis: an overview of imaging modalities /A.M. Bires, B. Kerr, L. George // Crit. Care Nurs. Q. - 2015. - Vol. 38, № 2. - P 154-164.
- Dovjak, P. Treatment and prevention of postoperative complications in hip fracture patients: infections and delirium / P. Dovjak [et al.] // Wien Med. Wochenschr. - 2013. - Vol. 163, No 19-20. - P 448-454
- Hiasa, K. Preoperative computed tomography-derived bone densities in hounsfield units at implant sites acquired primary stability / K. Hiasa [et al.] // ISRN Dent. - 2011. - Vol. 2011.P. 678729.
- Horst, S.A. A novel mouse model of Staphylococcus aureus chronic osteomyelitis that closely mimics the human infection: an integrated view of disease pathogenesis / S.A. Horst [et al.] // Am. J. Pathol. - 2012. - Vol. 181, № 4. - P 1206-1214.
- Ikpeme, I.A. Diagnosis and treatment of pyogenic bone infections/ I.A. Ikpeme, N.E. Ngim, A.A. Ikpeme // Afr. Health Sci. - 2010. Vol. 10, № 1. - P 82-88.
- Lindbloom, B.J. Osteomyelitis of the foot and ankle: diagnosis, epidemiology, and treatment / B.J. Lindbloom, E.R. James, W.C. McGarvey // Foot Ankle Clin. - 2014. - Vol. 19, № 3. - P 569-588.
- Palestro, C.J. Radionuclide imaging of osteomyelitis / C.J. Palestro // Semin. Nucl. Med. - 2015. - Vol. 45, № 1. - P 32-46.
- Prokopetz, J.J. Risk factors for revision of primary total hip arthroplasty: a systematic review / J.J. Prokopetz [et al.] // BMC Musculoskelet. Disord. - 2012. - Vol. 13. - P 251.
- Schmidt, H.G. Definition of the Diagnosis Osteomyelitis - Osteomyelitis Diagnosis Score (ODS) / H.G. Schmidt [et al.] // Z. Orthop. Unfall. - 2011. - Vol. 149, № 4. - P 449-460.
- Wolf, B.R. Adverse outcomes in hip arthroplasty: long-term trends / B.R. Wolf [et al.] // J. Bone Joint Surg. Am. - 2012. - Vol. 94, № 14. - P. e103.
- Wright, E.A. Risk factors for revision of primary total hip replacement: results from a national case-control study / E.A. Wright [et al.] // Arthritis Care Res. - 2012. - Vol. 64, № 12. - P. 1879-1885.
- Xiao, L. Detecting Chronic Post-Traumatic Osteomyelitis of Mouse Tibia via an IL-13R 2 Targeted Metallofullerene Magnetic Resonance Imaging Probe / L. Xiao [et al.] // Bioconjug. Chem. - 2017. - Vol. 28, № 2. - P. 649-658.
- Zhang,Y Efficient induction of antimicrobial activity with vancomycin nanoparticle-loaded poly (trimethylene carbonate) localized drug delivery system / Y Zhang [et al.] // Int. J. Nanomedicine. - 2017. - Vol. 12. - P. 1201-1214.
Дополнительные файлы
