Role of radiologic imaging in selection of sanatorium rehabilitation regimen in patients with degenerative spine disease
- Authors: Shershnev S.V.1, Ipatov V.V.2, Zheleznyak I.S.2, Babirin V.S.2, Zakolodnev I.N.1, Boykov I.V.2, Rameshvili T.E.2
-
Affiliations:
- Объединённый санаторий «Сочи» Управления делами Президента Российской Федерации
- Военно-медицинская академия им. С.М. Кирова
- Issue: Vol 19, No 4 (2017)
- Pages: 72-81
- Section: Clinical Trials
- Submitted: 24.11.2023
- Accepted: 24.11.2023
- Published:
- URL: https://journals.eco-vector.com/1682-7392/article/view/623817
- DOI: https://doi.org/10.17816/brmma623817
- ID: 623817
Cite item
Full Text
Abstract
Sanatorium rehabilitation has its own special place in patients with degenerative spine disease. Sanatorium treatment modalities can be aimed at pain syndrome and structural alteration decreasing as soon as functional state improvement. Currently patients with this pathology can be sent for such a treatment having contradictions for certain types of sanatorium treatment or climate state. Selection ofindividual treatment course depends of vertebral structure state but this is not always reflected in sanatorium case history. Radiologic imaging methods are the part of a complex examination of thesepatients. They can determine morphological and functional spine condition and help to schedule correct sanatorium rehabilitation programs. 952 patients with degenerative spine disease were examined using radiography, radiologic osteodensitometry, computed and magnetic resonance tomography. Three main groups of patients were selected and depending on severity of spine changes the range of sanatorium treatment modalities were divided. Radiologic computed tomography is recommended as the main method of radiation examination for patients with degenerative-dystrophic lesions of the spine.
Full Text
Введение. При дегенеративно-дистрофических поражениях позвоночника (ДДПП) часто наблюдается несоответствие между рентгенологически выявленными анатомическими нарушениями с клинико-неврологической симптоматикой. Выраженная неврологическая картина может быть обусловлена относительно небольшими морфологическими и функциональными изменениями, в то время как значительные дегенеративные проявления в ряде случаев протекают бессимптомно [1, 2, 5-7, 10].
Санаторно-курортное лечение в реабилитации больных ДДПП занимает особое место. Оно направлено в большей степени на облегчение клинических и функциональных проявлений, однако существуют методы, целью которых является снижение степени выраженности структурных изменений [3]. На этапе санаторного лечения выделяют три основные составляющие:
- оценка клинического состояния пациента: факторов риска проведения реабилитационных мероприятий; факторов, ограничивающих проведение реабилитационных мероприятий; морфологических параметров и других критериев, влияющих на исход реабилитационного процесса;
- формирование цели проведения реабилитационных мероприятий, формирование программы реабилитации, комплексное применение лекарственной и немедикаментозной терапии, а также средств, адаптирующих функциональные возможности пациента к окружающей среде;
- оценка и прогноз эффективности реабилитационных мероприятий.
Возможность комплексного воздействия лечебными и физическими факторами, имеющимися в санатории, даёт большую эффективность по сравнению с монофакторным воздействием. Санаторное лечение дегенеративных заболеваний позвоночника должно учитывать все тонкости процесса [3]. Комплексная терапия больных с болями в спине вне обострений, позволяет достигать полной и долговременной ремиссии. Наибольший лечебный эффект оказывает применение комплексных мер. В комплексе с естественными лечебными факторами санаторное лечение достаточно эффективно и дает ощутимые результаты. В качестве неотъемлемого компонента в реабилитационные программы санаторно-курортного лечения включены природные лечебные и преформированные факторы, такие как: грязелечение (аппликации, обертывания, компрессы, грязевые ванны); фангопарофонинотерапия, криотерапия; аппаратная физиотерапия и электротерапия; бальнеотерапия; иглорефлексотерапия; лечебная гимнастика в форме индивидуальных либо групповых занятий; терренкур (дозированное восхождение, скандинавская ходьба); плавание, водная гимнастика; массаж, мануальная терапия, остеопатия; широкий спектр кинезитерапии с использованием новейших технологий для лечения; тракционная терапия; климатолечение; круглосуточная аэрофитотерапия, воздушные ванны. Все перечисленные методики улучшают подвижность позвоночника, нормализуют кровоснабжение и питание позвоночных структур, оказывают общий оздоровительный эффект [3].
Лечебная база санатория дает большие возможности в составлении индивидуализированных лечебных программ при реабилитации пациентов с дегенеративными заболеваниями позвоночника. Поскольку перечень средств и методов, используемых при дегенеративных заболеваниях позвоночника, насчитывает несколько сотен, а эффективность предопределяется строгой направленностью воздействий на конкретные проявления, изменяющиеся в динамике заболевания, то составление индивидуальной программы сопряжено с определенными затруднениями. Недостаточное знание врачами, направляющими больных на лечение, правил санаторно-курортного отбора, местонахождения курортов с теми или иными лечебными факторами, механизма действия этих факторов, показаний и противопоказаний к направлению больных на санаторно-курортное лечение, недостаточный учет климатических и сезонных условий зачастую приводят не к улучшению состояния пациента, а наоборот, к ухудшению либо к возникновению ятрогенных осложнений (например, вследствие тракционной либо мануальной терапии) [3]. Имеющихся у пациентов, поступающих на санаторно-курортное лечение данных обследования на досанаторном этапе зачастую недостаточно для выбора наиболее рациональных программ санаторно-курортного лечения патологии органов опоры и движения. Не учтены индивидуальные особенности пациента, не оценена степень выраженности дегенеративных изменений позвоночника. В ряде случаев в зависимости от степени выраженности дегенеративных изменений позвоночника стандартные программы реабилитации могут быть неэффективными [3].
Преодолеть эти затруднения может создание критериев назначения методов реабилитации в зависимости от степени выраженности дегенеративных изменений, и ведущая роль в решении данных вопросов принадлежит лучевым методам исследования [1, 4, 6-10].
Цель исследования. Представить роль лучевых методов диагностики при выборе режимов и методов лечебного воздействия в санатории у больных дегенеративно-дистрофическими поражениями позвоночника.
Материалы и методы. Обследованы 952 пациента, проходивших санаторно-курортное лечение в Объединенном санатории «Сочи» по поводу дегенеративно-дистрофических поражений позвоночника. Всем пациентам выполнена рентгеновская компьютерная томография (КТ), из них 129 - с функциональными пробами; 262 пациентам выполнена остеоденситометрия, 79 - спондилография, 241 - магнитно-резонансная томография (МРТ).
Рентгенографические исследования выполнялись на цифровом рентгенодиагностическом комплексе «Luminos DRF». При спондилографии в двух стандартных проекциях оценивались физиологические изгибы, форма, размеры и структура позвонков, состояние замыкающих пластинок тел, высота межпозвоночных щелей, смещение тел позвонков, изменения в позвоночном канале, состояние межпозвоночных суставов, в косых проекциях - представление о состоянии межпозвоночных отверстий, возможных причинах сужения их в шейном и грудном отделах позвоночника, с функциональными пробами (при сгибании и разгибании позвоночника) - гипермобильность, наличие или отсутствие блокады сегмента, спондилолистез (смещение позвонков) и нестабильность позвоночника.
Остеоденситометрия выполнялась на двухэнергетическом рентгеновском костном денситометре «Hologic Discovery W». Оценивались наличие и степень выраженности остеопении и остеопороза. При исследовании определялось значение показателей минерализации костной ткани: костный минеральный компонент (количество минерализованной ткани, г) и минеральная плотность костной ткани (количество минерализованной костной ткани на сканируемой площади, г/см2), с последующим расчётом Т-критерия, представляющего собой количество стандартных отклонений выше или ниже пика костной массы молодого человека и Z-критерия, представляющего собой количество стандартных отклонений выше или ниже среднего показателя для аналогичного возраста. Выделяли следующие группы пациентов по данным проведенной денситометрии: норма (T-score > = -1), остеопения (T-score > = -1 > -2,5), остеопороз (T-score < = -2,5).
КТ выполнялась на 64-срезовом мультиспиральном компьютерном томографе «SOMATOM Definition AS 64» в режиме сканирования позвоночника. Оценивались наличие, локализация, направление смещения, размеры протрузий и экструзий межпозвонковых дисков, наличие сдавления корешка спинномозгового нерва, наличие секвестра грыжи, наличие грыжи в области межпозвонкового отверстия или в корешковом канале, «реакция подпоры», степень выраженности остеохондроза, спондилоартроза, спондилеза, наличие стеноза позвоночного канала, сужение корешковых отверстий, оценке костных изменений, в том числе явлений артроза межпозвонковых суставов, а также обызвествлений фиброзного кольца диска, изменения со стороны желтых связок (гипертрофия и обызвествление). При функциональных пробах дополнительно
оценивали изменения размеров грыж в положениях сгибания и разгибания, а также степень смещения позвонков на предмет наличия гипермобильности или костного блока. Функциональные пробы для шейного отдела проводились в положении лёжа на спине, для поясничного - в положении лёжа на боку, с максимальным сгибанием и разгибанием.
МРТ проводилась на аппарате «GE Optima 360» напряженностью магнитного поля 1,5 Т Оценивались наличие, локализация, направление смещения, размеры протрузий и экструзий межпозвонковых дисков, наличие сдавления дурального мешка и корешка спинномозгового нерва, наличие секвестра грыжи, наличие грыжи в области межпозвонкового отверстия или в корешковом канале, степень выраженности остеохондроза, наличие стеноза позвоночного канала. Также определяли состояние спинного мозга и конского хвоста, наличие изменений мягких тканей, таких как реактивный отек корешка, рубцовый эпидурит, реактивный эпидуральный отек, утолщение связок и другие структурно-морфологические изменения.
Результаты и их обсуждение. В зависимости от результатов лучевого обследования были смоделированы три группы пациентов по ширине спектра и интенсивности санаторного лечебного воздействия. Для них устанавливались соответствующие режимы воздействий, комплексы методов и средств терапии, а также их дозировка.
В 1 группу были отнесены 376 пациентов, у которых были выявлены начальные проявления остеохондроза позвоночника (I стадия), дискоз I стадии, дегенерация диска без выпячивания, без изменений со стороны межпозвоночных суставов, плотности и структуры кости позвонка (рис. 1-4), спондилолистез I степени без признаков дегенеративного сужения позвоночного канала, стабильность позвоночных двигательных сегментов при функциональных пробах.
Рис. 1. Остеоденситометрия. Пациентка Т, 44 года. Область исследования: поясничный отдел позвоночника. Площадь сканируемой поверхности (Area): 60,9 см2. Содержание костного минерала (BMC): 74,7 г. Проекционная минеральная плотность костной ткани (BMD): 1,227 г/см2. Т-критерий = 1,6; Z-критерий = 3,4.
Минерализация костей поясничного отдела позвоночника — в пределах нормальных значений.
Рис. 2. Рентенография шейного отдела позвоночника, та же пациентка: а — прямая проекция; б — боковая, в — в положении максимального сгибания; г — в положении максимального разгибания. Определяются нарушение статики, начальные явления остеохондроза шейного отдела позвоночника (I степень).
Рис. 3. КТ поясничного отдела позвоночника, та же пациентка: а, б — аксиальная плоскость;
в, г — сагиттальная плоскость. Определяются остеохондроз поясничного отдела позвоночника I ст., спондилоартроз, передний спондилолистез позвонка L3 I ст.
Рис. 4. МРТ грудного отдела позвоночника, та же пациентка: а -Т1-ВИ; б, г, д — Т2-ВИ; в — Т2-ВИ с жироподавлением. Определяется остеохондроз грудного отдела позвоночника I ст., умеренное снижение высоты тел ТН6—ТН9, грыжи Шморля в краниальных и каудальных пластинках тел ТН6-ТН10, признаки перенесенной болезни Шейермана-Мау.
Физическая работоспособность больных и практически здоровых лиц 1-й группы не снижена или снижена мало. Переносимость лечебных факторов и большой физической нагрузки позволяет установить им тренирующий режим санаторно-курортного лечения.
Перечень санаторных лечебных воздействий, применяемых у больных данной группы, включал в себя климатолечение, аэротерапию, гелиотерапию и защиту от ультрафиолетовых излучений; морские купания и плавание; лечебную гимнастику в зале ЛФК в тренирующем режиме; лечебную гимнастику в бассейне; кинезитерапию на аппаратах «Экзарта», «KINESIS Omega», «Хьюбер»; сухое скелетное вытяжение (детензортерапия; аппарат «ARMED»); занятия на тренажерах; массаж; мануальную терапию; иглорефлексотерапию; большой и настольный теннис, волейбол, бадминтон; дозированную ходьбу; экскурсии; физиотерапевтические процедуры максимального уровня интенсивности: аппаратную физиотерапию, электротерапию (все виды), магнитотерапию (локальная и общая), лазеротерапия; все виды бальнеотерапии: общие мацестинские (сероводородные), йодобромные, общие углекислые, хвойные, жемчужные, морские и контрастные ванны, лечебные души, подводный массаж (автоматический и ручной); тракционную терапию (дозированное вертикальное и горизонтальное подводное вытяжение); грязелечение (аппликации, обертывания, компрессы, грязевые ванны), фангопарофонинотерапию; криотерапию. Медикаментозное лечение, как правило, не назначалось.
Во 2-ю группу отнесены 493 пациента, у которых были выявлены умеренный остеохондроз позвоночника (II-III стадия), дискоз II стадии с дегенерацией межпозвонкового диска и его пролапсом до 3-7 мм, с умеренными явлениями спондилоартроза, без нарушения или минимальными изменениями плотности и структуры кости (остеопения), спондилолистез I степени с признаками дегенеративно суженного позвоночного канала либо наличием нестабильности при функциональных пробах (рис. 5-6).
Рис. 5. КТ грудного отдела позвоночника, пациент Д., 43 года: а, б — аксиальная плоскость; в — сагиттальная; г — фронтальная; д — режим объёмного рендеринга. Определяется остеохондроз грудного отдела позвоночника II степени, остеоартроз реберно-позвонковых сочленений, гемангиомы тел позвонков Th5, Th11, L1 (стрелки)
Рис. 6. КТ поясничного отдела позвоночника, больная Н., 58 лет: а—в — аксиальная плоскость; г—е —сагиттальная плоскость. Определяется остеохондроз поясничного отдела позвоночника II степени, протрузия межпозвонкового диска L3—4, грыжа межпозвонкового диска L4—5, спондилоартроз, спондилолиз дуги позвонка L5, задний спондилолистез позвонка L4 I степени, передний спондилолизный спондилолистез позвонка L5 I степени.
Физическая работоспособность больных 2-й группы снижена. Переносимость лечебных факторов и большой физической нагрузки позволяет установить им щадяще-тренирующий режим санаторно-курортного лечения, основными отличиями которого от тренирующего режима являются снижение интенсивности, уменьшение дозировки применяемых процедур и их чередование вместо совместного назначения. Это обусловлено тем, что при более выраженных дегенеративных изменениях тренирующий режим может вызвать прогрессирование функциональных нарушений, в результате чего вместо ожидаемого улучшения будет наблюдаться ухудшение общего состояния и снижение адаптивных возможностей пациента.
В 3-ю группу были отнесены 83 пациента, у которых выявлены остеохондроз позвоночника III-IV стадии с выраженной дегенерацией диска и его пролапсом более 7 мм, секвестрацией, с выраженными явлениями спондилоартроза и гипертрофией желтых связок (стеноз позвоночного канала, сужение корешковых отверстий), нарушением плотности и структуры кости (остеопороз), спондилолистез II-III степени, болезнь Бехтерева (рис. 7-10).
Рис. 7. Остеоденситометрия. Выраженный остеохондроз. Пациентка Б., 65 лет.
Область исследования: поясничный отдел позвоночника, площадь сканируемой поверхности (Area): 52,51 см2, содержание костного минерала (BMC): 3661 г.
Проекционная минеральная плотность костной ткани (BMD): 0,697 г/см2.
Т-критерий = —3,2; Z-критерий = —2,1. Минерализация костей поясничного отдела позвоночника соответствует остеопорозу.
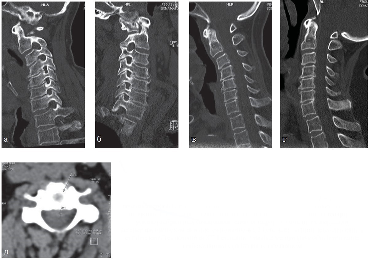
Рис. 8. КТ шейного отдела позвоночника. Больная Х., 76 лет: а, б — сагиттальная плоскость в статическом положении; в, г — при выполнении функциональных проб; д — аксиальная плоскость. Определяется остеохондроз шейного отдела позвоночника III степени с наличием гипомобильности двигательных сегментов на уровне C3—C7, грыжа межпозвонкового диска С3—4 до 5 мм, остеоартроз унковертебральных сочленений, спондилоартроз, спондилез, передний дегенеративный спондилолистез позвонков С2 I степени, задний дегенеративный спондилолистез позвонков С7 I степени, повышение прозрачности и усиление трабекулярной структуры тел позвонков.
Рис. 9. КТ грудного отдела позвоночника (а—г). Больная С., 63 года. Определяется частичная оссификация передней продольной связки, полная оссификация межостистой связки на уровне грудного отдела позвоночника, костный блок тел позвонков Th4—Th10, костный анкилоз дугоотростчатых суставов Th3—Th12 (проявления болезни Бехтерева), снижение высоты межпозвонковых дисков. Имеются проявления субхондрального склероза замыкательных пластин тел позвонков, обызвествление передней продольной связки, проявления остеоартроза реберно-поперечных суставов, остеоартроза реберно-позвонковых суставов, дугоотростчатых суставов, передний дегенеративный спондилолистез позвонков Th2 и Th3 до 4 мм, S-образный сколиоз грудо-поясничного отдела позвоночника 3 степени.
Рис. 10. МРТ поясничного отдела позвоночника в сагиттальной плоскости. Больная Д., 58 лет: а — Т1-ВИ, б — Т2-ВИ, в — МР-миелография. Остеохондроз пояснично-крестцового отдела позвоночника IV степени, протрузии межпозвонковых дисков Th12-L1, L1-L2, L2-L3. Грыжи межпозвонковых дисков L3-L4, L4-L5. Деформирующий спондилез, спондилоартроз, передний спондилолистез L2 I ст. Узкий дегенеративный позвоночный канал.
По данным остеоденситометрии пациентам 3-й группы противопоказано санаторное лечение по тренирующему и щадяще-тренирующему режимам.
Учитывая возраст пациентки, выраженность и характер дегенеративных изменений по результатам КТ показано санаторное лечение в режиме минимальной интенсивности физических и ряда физиотерапевтических процедур (щадящий режим).
При проведении КТ пояснично-крестцового отдела позвоночника. Выявляется умеренное снижение высоты межпозвонковых дисков на уровнях L1-5 резкое снижение высоты межпозвонкового диска L5-S1, отмечаются проявления субхондрального остеосклероза замыкательных пластин тел позвонков, остеофиты по краям тел позвонков, задняя диффузная равномерная экструзия межпозвонкового диска L3-4 до 4 мм. Наблюдаются проявления остеоартроза дугоотростчатых суставов уровней L3-S1, передний дегенеративный спондилолистез позвонка L4 до 4 мм, конкремент в нижней группе чашечек правой почки до 4 мм.
Данной пациентке санаторно-курортное лечение показано в щадящем режиме минимального воздействия и интенсивности.
По данным МРТ выявлены изменения межпозвоночных дисков и позвоночного канала, требующие санаторно-курортного лечения в щадящем режиме.
Физическая работоспособность больных 3-й группы резко снижена или минимальна. Переносимость лечебных факторов и физической нагрузки позволяет назначить им лишь щадящий режим санаторно-курортного лечения с минимальной степенью воздействия и интенсивности.
У больных данной группы спектр лечебных воздействий был резко сужен, а их интенсивность минимальна. Исключены такие виды воздействия, как тракционная терапия и кинезитерапия, как имеющие наиболее высокий риск осложнений при их проведении. Основные противопоказания к тракционной (дозированное подводное горизонтальное и вертикальное вытяжение) и интенсивной мануальной терапии включали в себя остеопороз; секвестрированные грыжи межпозвонковых дисков, в том числе задние грыжи крупных размеров (более 7 мм) и фораминальные грыжи с наличием у пациента синдрома компрессионно-ишемической миелопатии; стеноз позвоночного канала; нестабильность позвоночно-двигательного сегмента (спондилолистезы II—IV степени); последствия перенесенных травм (переломы) и операций на позвоночнике (не ранее 6 месяцев); наличие мочекаменной болезни, воспалительных процессов и объёмных образований.
Пациентам данной группы применялись лишь следующие методики: климатотерапия; морские купания и плавание; индивидуальная лечебная гимнастика в зале ЛФК по щадящему режиму; сухое скелетное вытяжение (детензортерапия; аппарат ARMED); лечебная гимнастика в бассейне; дозированная ходьба; экскурсии; бальнеотерапия; физиотерапевтические процедуры слабого действия (гальванизация, электрофорез, амплипульсотерапия, диадинамотерапия) в дни, свободные от приема ванн или при необходимости спустя 2 часа; грязелечение и парафинотерапия на участки тела с малой площадью (до 300 см2) также в дни, свободные от приема ванн; массаж ручной; мануальная терапия (слабой интенсивности); иглорефлексотерапия; медикаментозное лечение. Медикаментозная терапия использовалась как дополнительный фактор, главным образом симптоматическими средствами.
Заключение. У пациентов, страдающих дегенеративно-дистрофическими поражениями позвоночника, результаты лучевого обследования являются основополагающим фактором для корректного назначения эффективных программ санаторно-курортного лечения и профилактики осложнений в зависимости от размеров и локализации грыж, «реакции подпоры», степени выраженности остеохондроза и спондилоартроза, наличия стеноза позвоночного канала, сужения корешковых отверстий, изменения костной плотности и трабекулярной структуры тел позвонков, взаиморасположения и смещения тел позвонков. Критерии, полученные по результатам обследования, позволяют определить пациента, страдающего дегенеративно-дистрофическими поражениями позвоночника, в соответствующую его состоянию группу лечебного воздействия и минимизировать риск низкой эффективности санаторно-курортного лечения.
About the authors
S. V. Shershnev
Объединённый санаторий «Сочи» Управления делами Президента Российской Федерации
Author for correspondence.
Email: st.xray@yandex.ru
Russian Federation, Сочи
V. V. Ipatov
Военно-медицинская академия им. С.М. Кирова
Email: st.xray@yandex.ru
Russian Federation, Санкт-Петербург
I. S. Zheleznyak
Военно-медицинская академия им. С.М. Кирова
Email: st.xray@yandex.ru
Russian Federation, Санкт-Петербург
V. S. Babirin
Военно-медицинская академия им. С.М. Кирова
Email: st.xray@yandex.ru
Russian Federation, Санкт-Петербург
I. N. Zakolodnev
Объединённый санаторий «Сочи» Управления делами Президента Российской Федерации
Email: st.xray@yandex.ru
Russian Federation, Сочи
I. V. Boykov
Военно-медицинская академия им. С.М. Кирова
Email: st.xray@yandex.ru
Russian Federation, Санкт-Петербург
T. E. Rameshvili
Военно-медицинская академия им. С.М. Кирова
Email: st.xray@yandex.ru
Russian Federation, Санкт-Петербург
References
- Захматова, Т.В. Клинико-лучевые сопоставления при дегенеративных заболеваниях и повреждениях шейного отдела позвоночника и их значение в оптимизации тактики лечения: дисс. ... д-ра мед. наук / Т. В. Захматова. - СПб, 2017. - 422 с.
- Крепко, Ю. Заболевания межпозвонковых дисков; пер. с англ. под общ. ред. В.А. Широкова. - М.: Медпресс-инфо, 2015. - 471 с.
- Пономаренко, Г.Н. Физическая и реабилитационная медицина/ ГН. Пономаренко. - М.: ГЭОТАР-Медиа, 2016. - 688 с.
- Рентгеновская компьютерная томография: руководство для врачей / под ред. ГЕ. Труфанова, С.Д. Рудя. - СПб.: Фолиант, 2008. - 1200 с.
- Ульрих, Э.В. Вертебрология в терминах, цифрах, рисунках /Э.В. Ульрих, А.Ю. Мушкин. - СПб.: ЭЛБИ-СПб, 2005. - 186 с.
- Boos, N. Spinal Disorders: Fundamentals of Diagnosis and Treatment / N. Boos, M. Aebi. - Berlin; Heidelberg: SpringerVerlag, 2008. - 1199 p.
- Kapural, L. Diagnosis, Management, and Treatment of Discogenic Pain / L. Kapural, P Kim, T. Deer. - New York; Philadelphia: Elsevier Science, 2011. - 176 p.
- Pathria, M. Imaging of spine instability / M. Pathria // Semin. Musculoskelet. Radiol. - 2005. - Vol. 9, № 1. - P 88-99.
- Parizel, P.M. The degenerative spine: pattern recognition and guidelines to image interpretation / PM. Parizel [et al.]. - Handb Clin Neurol. - 2016. - Vol. 136. - P 787-808.
- Weishaupt, D. Degenerative diseases of the spine / D. Weishaupt, I. McCall // In: von Schulthess G.K., Zollikofer Ch.L. (eds): Musculosceletal diseases: diagnostic imaging and interventional techniques. - Sptinger-Verldg Italy, 2005. - P. 132-137.
Supplementary files











