Lymphotropic therapy — the key to the blood-brain barrier functions restoring
- Authors: Pesin Y.M.1, Borodin Y.I.2
-
Affiliations:
- Киргизско-Российский Славянский университет
- Научно-исследовательский институт клинической и экспериментальной лимфологии
- Issue: Vol 19, No 4 (2017)
- Pages: 164-170
- Section: Reviews
- Submitted: 06.12.2023
- Accepted: 06.12.2023
- Published:
- URL: https://journals.eco-vector.com/1682-7392/article/view/624302
- DOI: https://doi.org/10.17816/brmma624302
- ID: 624302
Cite item
Full Text
Abstract
Mechanisms that ensure the protective function of the blood brain barrier are provided by the coordinated work of blood tissue barrier, blood liquor barrier and lymph liquor barrier. Inadequate secretion of cerebrospinal fluid is one of the main causes of violations of its outflow from the cranial cavity in acute and chronic diseases of the central nervous system. When there is a tissue fluid shortage the disruption of its current from the interstitial occurs. This leads to the fact that the lymph liquor barrier does not function and blood tissue barrier, through which the brain compensates for fluid deficit, opens. It was established that indirect lymphostimulation should consist of two stages. The first one aims at covering the lack of tissue water. During the second stage, patients are affected by indirect stimulatuon of lymphatic drenage -1 hour after intravenous injections. One session of indirect lymphostimulation lowers cerebrospinal fluid pressure in meningitis, meningoencephalitis for 21,28-22,14%, and in hemorrhagic stroke for 20,4%, with cerebral infarction by 12,1%. Simultaneously, ventricular dimensions in patients reduces, the liquid outflow from the subarachnoid space recovers. The brain is cleared of toxic substances - bilirubin. Decongestant effect of one session of indirect lymphostimulation maintains for 18-20 hours. At all, indirect lymphostimulation of lymphatic drainage mechanism of a nervous system can be used in the rehabilitation ofpatients with cerebrovascular disease, inflammatory diseases of the nervous system, patients with infantile cerebral paralysis, which developed after undergoing intracranial birth trauma, or after prolonged neonatal jaundice, patients with traumatic brain injury, with syringomyelia, hydrocephalus and neurological manifestations of osteochondrosis.
Full Text
Средой, откуда клетка получает питание и в которую выделяет продукты жизнедеятельности, является межклеточная жидкость, циркулирующая в интерстиции. Состав и свойства тканевой жидкости в каждом органе специфичны, так как зависят от особенностей физико-химических процессов, происходящих в клетках. Появляющиеся в интерстиции физико-химические изменения незамедлительно изменяют функциональную активность клетки [21]. Поэтому интерстициальное пространство Ю.М. Левин [9] и Ю.И. Бородин [3] отождествляют с понятиями «внутренняя среда» или «эндоэкологическое пространство организма».
Механизмы, обеспечивающие защитные функции гематоэнцефалического барьера, обусловлены согласованной работой гематотканевого и лимфоликворного (гистолимфатического) барьеров. Утилизацию продуктов жизнедеятельности клеток обеспечивает гистолимфатический барьер. К продуктам жизнедеятельности клетки следует относить не только метаболиты, но и биологически активные вещества, ею секретируемые.
Лимфа, оттекающая от органа, так же, как и тканевая жидкость, имеет строго специфические антигенные свойства, но по мере перемещения по направлению к главным лимфатическим протокам лимфа проходит через биологические фильтры лимфатических узлов, в которых её органоспецифические качества нивелируются, и в венозную систему поступает лимфа, не имеющая органоспецифических различий. С этих позиций лимфатическую систему можно рассматривать как систему, обеспечивающую совместное существование клеток, органов и систем в организме [15]. Лимфатическая система всегда, а при патологии особенно, участвует в очищении и регуляции жидкостно-макромолекулярного равновесия интерстициального пространства [5].
Экспериментальным путем на подопытных животных доказано, что дренаж спинномозговой жидкости из подпаутинного пространства при неотложной патологии центральной нервной системы в венозную систему и лимфатическое русло сохраняется только в течение первых 6 ч от начала заболевания. В последующие 12-16 ч заболевания спинномозговая жидкость дренируется только в регионарные для центральной нервной системы лимфатические узлы шейной и паравертебральной областей, позже этого времени дренаж спинномозговой жидкости нарушается и в лимфатическое русло [2].
У людей инсульт протекает в более легкой форме и с минимальными проявлениями отека мозга, если лечение нарушения мозгового кровообращения начинается в первые 4 ч заболевания (терапевтическое окно) [16]. По-видимому, спустя 4 ч после начала заболевания дренаж спинномозговой жидкости у больных в венозную и лимфатическую системы нарушается.
В мозге, в отличие от других органов, лимфатические капилляры отсутствуют. Дренаж тканевой жидкости из вещества мозга обеспечивает развитая и высокоорганизованная сеть прелимфатических путей:
1-й путь - по периваскулярным пространствам сосудов, залегающих в веществе мозга, тканевая жидкость мозга поступает в подпаутинное пространство, из которого дренируется в венозные синусы и в лимфоузлы шейной и паравертебральной областей [6, 23-24].
2-й путь - по периаксиальным и периневральным пространствам, берущим свое начало непосредственно от нейрона, - в лимфатические узлы шейной и паравертебральной областей [22, 25].
3-й путь - по периваскулярным пространствам сосудов, сопровождающих черепно-мозговые и спинальные нервы, - в субарахноидальное пространство и лимфатические узлы шейной и паравертебральной областей [20].
Контакты мозговой ткани с лимфатическими капиллярами, расположенными в подоболочечном клетчаточном пространстве и зубчатой связке позвоночника через тканевые щели твердой мозговой оболочки обеспечивает спинномозговая жидкость, функционально исполняющая роль лимфоликворного (лимфотканевого) барьера, который, как и гематотканевой, является составляющей гематоэнцефалического барьера. В физиологических условиях гематотканевой (гематоэнцефалический) барьер должен быть закрыт и пропускает в мозг только молекулы воды, несущие для мозга глюкозу. Лимфотканевой - лимфоликворный барьер должен быть постоянно открыт, чтобы своевременно очищать интерстиций нейронов от продуктов метаболизма и токсических веществ, проникших в мозг из сосудистого русла, и поддерживать отток спинномозговой жидкости в венозную и лимфатическую системы. Отток должен предшествовать и соответствовать притоку [15].
При изучении механизмов работы лимфоликворного барьера в эксперименте и клинике установлено, что при острой цереброваскулярной патологии в мозге нарушена секреция тканевой жидкости и жидкости, секретируемой сосудистыми сплетениями. У новорожденных детей, погибших в течение первых суток после рождения от внутричерепных кровоизлияний, количество тканевой жидкости в мозге было на 8,7% меньше, чем у новорожденных детей, умерших в течение первых суток после рождения не от первичной патологии в центральной нервной системе. У детей и взрослых больных, умерших от внутричерепных кровоизлияний, в сосудистых сплетениях обнаружены выраженные деструктивные изменения и отложения солей кальция. У подопытных животных с экспериментальным геморрагическим инсультом нейроны были сморщены, а площадь перицеллюлярных пространств была меньше площади перицеллюлярных пространств у здоровых животных, площадь же внутримозговых сосудов увеличена, и в них наблюдался стаз крови [8].
Не менее важная для клиники закономерность установлена при проведении сравнительного анализа коэффициентов размеров мозга и его желудочковой системы у живых больных детей и взрослых, страдающих хронической патологией мозга [2].
Проведенная прижизненная верификация размеров мозга по данным магнитнорезонансной томографии (МРТ) у взрослых больных, перенесших нарушения мозгового кровообращения, показала, что площадь мозга у них по сравнению с размером у здоровых людей была меньше: при инфаркте мозга - на 8,1%, при геморрагическом инсульте - на 6,4%, при внутримозговой гематоме - на 6,6%.
Общая площадь желудочковой системы у здоровых людей составляла 4% от площади головного мозга. У больных с инфарктом мозга этот показатель был равен 8,4%, у больных с геморрагическим инсультом - 11,9%, а у больных с внутримозговой гематомой травматической этиологии - 7,8%.
Ультразвуковое исследование головного мозга, проведенное детям первого года, показало, что у здоровых детей мозг занимает 88,1% полости черепа. У детей, страдающих перинатальной энцефалопатией, мозг занимал 83,7% полости черепа. 3-й желудочек головного мозга у здоровых детей занимал 0,3% от площади головного мозга, у больных детей - 0,8%. Коэффициент отношения площади 4-го желудочка головного мозга к площади 3-го желудочка головного мозга у здоровых детей составлял 0,79, а у детей, больных перинатальной энцефалопатией, этот коэффициент был равен 0,56.
Таким образом, в эксперименте и клинике получены данные, дающие основание полагать, что: 1) при острой и хронической патологии центральной нервной системы недостаточная секреция спинномозговой жидкости является одной из основных причин нарушения ее оттока из полости черепа; 2) между количеством тканевой жидкости в головном мозге и объемом крови в нем существуют обратные соотношения; 3) уменьшение количества тканевой жидкости приводит к увеличению объема крови в нем и наоборот [2].
При нехватке тканевой жидкости нарушается её ток из интерстиция. Это приводит к тому, что функциональная активность лимфоликворного барьера снижается или прекращается вовсе. Гематотканевой барьер, через который мозг восполняет дефицит жидкости, открывается. В ткани мозга накапливаются белок и форменные элементы крови, билирубин, являющийся дериватом распада гемоглобина. Вязкость ликвора повышается, а текучесть его снижается. Появляется застой жидкости в перивакуслярных, периаксиальных, периневральных пространствах и в субарахноидальной щели, который при чтении томограмм ошибочно расценивают как признак отека мозга за счет увеличения секреции ликвора [15].
Билирубин в ткани мозга и ликворе регистрируется у больных с цереброваскулярной патологией, и сохраняется в ткани мозга до 10 месяцев от момента развития инсульта. Билирубин, накапливается в сером веществе мозга, в особенности в базальных узлах, нарушает синтез натрий-калиевой аденозинтрифосфатазы, усугубляет развитие ишемии, способствует появлению диапедезных кровоизлияний. При значительном его накоплении пораженные клетки и ганглии отмирают, и их место заменяет глиозный рубец. Токсическое влияние билирубина на сосуды, по-видимому, является одной из основных причин геморрагической трансформации инфаркта мозга и повторных нарушений мозгового кровообращения [1, 4]. В.Г. Ионова [7] эти нарушения мозгового кровообращения рассматривает как проявление хронического синдрома диссеминированного внутрисосудистого свертывания.
Эффективность терапевтических мероприятий при острой и хронической патологии мозга будет зависеть от того, как быстро врачу удастся восстановить гомеостаз в интерстиции и возобновить работу физиологических механизмов лимфоликворного и гематотканевого барьеров [12].
Проводимая больным лимфотропная терапия - непрямая стимуляция лимфодренажного механизма (непрямая лимфостимуляция) - должна состоять из двух этапов [2].
1-й этап направлен на восполнение дефицита тканевой воды за счет введения физиологического раствора. Оптимальная терапевтическая доза, необходимая для восстановления жидкости в организме - 15-20 мл на 1 кг веса больного. 60% от расчетной дозы физиологического раствора вводится внутривенно, в равных количествах, 2-3 раза в сутки. Частота введения раствора - 18-20 капель в 1 мин. 40% расчетной дозы жидкости, включая жидкую пищу, дается больному дробно per os в течение суток. Внутривенные вливания физиологического раствора сочетаются с введением контрикала, который хорошо зарекомендовал себя при лечении синдрома диссеменированного внутрисосудистого свертывания, панангина, гепарина по 5000 единиц 1 раз в сутки и препаратов, оказывающих положительное влияние на кровеносную систему, а также патогенетическую и симптоматическую терапию.
На 2-м этапе спустя 1 ч после внутривенных вливаний больным проводится непрямая стимуляция лимфатического дренажа. Непрямая лимфостимуляция выполняется путем введения в межостистые промежутки лекарственной смеси, состоящей из 10-20 мг лидазы, 10-25 мг гидрокортизона и 4-5 мл физиологического раствора. При наличии у больного корешковых болей физиологический раствор можно заменить 0,25-0,5%-ным раствором новокаина. Курс лечения 10-12 дней.
Влияние непрямой стимуляции лимфодренажного механизма центральной нервной системы на механизмы циркуляции спинномозговой жидкости и на течение гипертензионно-гидроцефального синдрома определяется по величине снижения давления ликвора при поясничном проколе. Для этого после выполнения поясничного прокола и измерения давления ликвора пункционная игла закрывается мандреном и остается в спинномозговом канале. Больному проводится непрямая лимфостимуляция, и через 5-7 мин давление ликвора определяется повторно. Величина, на которую снижается ликворное давление, зависит от исходной величины ликворного давления [2].
Я.М. Песин и др. [13], Ю.И. Бородин и др. [4] указывают на то, что при менингитах и менингоэнцефалитах, протекающих без блока ликворных путей, исходная величина давления ликвора в спинномозговом канале достигает 238,37 мм водного столба. Через 5-7 мин после лимфостимуляции давление жидкости в спинномозговом канале понижается на 21,28-22,14% от исходной величины.
При геморрагическом инсульте, продолжают авторы, исходная величина ликворного давления примерно такая же - 235,88 мм водного столба. Через 5-7 мин после лимфостимуляции давление жидкости в спинномозговом канале снижается на 20,4%. На вторые и третьи сутки до выполнения сеанса непрямой лимфостимуляции ликворное давление у больных измеряется повторно по ранее описанной методике. При этом на вторые сутки лечения давление ликвора становится ниже исходного показателя на 20,1%, на третьи сутки - на 39,7%. У больных с инфарктом головного мозга исходное ликворное давление, измеренное при поясничном проколе было значительно ниже и равнялось 184,43 мм водного столба. У этих больных величина ликворного давления через 5-7 мин после сеанса лимфостимуляции снизилась на 5,9%. На вторые и третьи сутки до выполнения больным сеанса лимфостимуляции величина ликворного давления оставалась ниже исходного показателя на 12,1%.
Клинические наблюдения за больными показали, что противоотечный эффект одного сеанса непрямой лимфостимуляции у этой категории больных сохраняется в течение 18-20 ч [15, 11].
С.А. Ким [8] исследовал особенности ликвороциркуляции у детей 1-го года жизни с перинатальной энцефалопатией на фоне проведения им общей дегидратационной и лимфотропной терапии. Автор разделил детей 1-го года жизни, страдающих перинатальной энцефалопатией, на две группы: 1 группа - группа сравнения, 2 группа - основная группа. У всех детей при ультразвуковом исследовании головного мозга была диагностирована внутренняя гидроцефалия. Детям из группы сравнения проводилось лечение диакарбом либо фурасемидом, актовегином, ноотропилом, витаминами группы «В», им также проводилась противосудорожная терапия.
У детей основной группы из схемы лечения исключались фурасемид и диакарб. Вместо дегидратационной терапии детям основной группы проводили непрямую лимфостимуляцию. Техника проведения непрямой лимфостимуляции детям - такая же, как и взрослым больным. Остальная медикаментозная терапия в обеих группах была одинакова, за исключением того, что актовегин детям основной группы растворяли в 15- 40 мл физиологического раствора.
На фоне общей дегидратационной терапии у детей группы сравнения размер головного мозга по сравнению с исходной величиной увеличивается на 7,3%, а коэффициент отношения площади головного мозга к внутренней площади черепа становится равен 0,91 против 0,84 до лечения. Но это увеличение сопровождалось увеличением площади 3-го желудочка головного мозга на 6,32%. Коэффициент отношения площади третьего желудочка головного мозга к площади головного мозга становится равен 0,79 против 0,8 до лечения (у здоровых детей - 0,3). Правый и левый боковые желудочки на фоне мочегонной терапии увеличиваются, соответственно на 3 и 1% по сравнению с показателями до лечения. Площадь 4-го желудочка головного мозга по окончании курса мочегонной терапии и в последующие 6 месяцев остается ниже показателя до лечения на 15,9%, (0,37±0,002 мм2, против 0,44±0,008 мм2). Соответственно снижается и коэффициент отношения между площадями 4-го и 3-го желудочков головного мозга на 10,7% - с 0,56 на 0,5 (у здоровых детей - 0,79). Плохо визуализируется Сильвиев водопровод.
При проведении непрямой лимфостимуляции у больных перинатальной энцефалопатией детей, наблюдается отчетливое восстановление ликвороциркуляции в системе желудочков и спинномозгового канала. Уже через 15-20 мин после применения непрямой лимфостимуляции у всех детей четко визуализируется Сильвиев водопровод, и отмечается значительное уменьшение отека сосудистого сплетения. Наряду с этим, у 15,4% детей, имеющих в веществе головного мозга множественные мелкие кистозные образования или крупные кисты, через 15 мин после проведенной стимуляции оттока ликвора в лимфатическое русло отмечается увеличение размеров боковых желудочков. Контрольное ультразвуковое исследование головного мозга, проведенное через день после сеанса лимфостимуляции, показывает уменьшение размеров кист головного мозга и уменьшение боковых желудочков [8].
После трех курсов лечения с применением непрямой лимфостимуляции и стимуляции секреции ликвора ионами натрия, у детей с перинатальной энцефалопатией 1-го года жизни размер головного мозга увеличивается на 5,3%. Коэффициент отношения площади головного мозга к внутренней площади черепа становится равен 0,89, против 0,84 до лечения (у здоровых детей 0,89). Увеличение размера головного мозга сопровождается уменьшением размеров 3-го и боковых желудочков и увеличением размера 4-го желудочка головного мозга. Третий желудочек головного мозга уменьшается на 6,3%. Коэффициент отношения площади 3-го желудочка головного мозга к площади головного мозга становится равен 0,5 против 0,8 до лечения (у здоровых детей - 0,3). Боковые желудочки головного мозга сокращаются на 20 и 15% соответственно. Площадь 4-го желудочка головного мозга возрастает на 36,6% (от 0,44±0,008 мм2 до лечения до 0,6±0,001 мм2после лечения), р<0,05. Коэффициент отношения площади 4-го желудочка к площади 3-го желудочка головного мозга возрастает на 44,6% - с 0,56 до 0,81 [8].
Саногенные возможности непрямой лимфостимуляции изучены нами [14] по изменениям концентрации билирубина в цереброспинальной жидкости у больных с нарушением мозгового кровообращения. Установлено, что у больных с геморрагическим инсультом на третьи сутки применения непрямой лимфостимуляции количество билирубина в ликворе по сравнению с показателем при поступлении снизилось на 21,2%.
При ишемическом инсульте непрямая лимфостимуляция на третьи сутки сокращает концентрацию билирубина в спинномозговой жидкости по сравнению с показателем при поступлении в 7,8 раза.
Дегидратационная терапия, применяемая больным с гидроцефальным синдромом, развившимся после перенесенного ишемического или геморрагического инсульта, на третьи сутки лечения приводит к увеличению билирубина в ликворе - при инфаркте в 4,32 раза, геморрагическом инсульте - на 65,3%, по сравнению с первоначальной величиной.
А.Ю. Тугунтаева [18], используя реакцию Данн-Томпсона для выявления в биологической ткани железосодержащих веществ, в глубоких шейных лимфатических узлах лабораторных животных с экспериментальным внутричерепным кровоизлиянием обнаружила билирубин. Таким образом, при помощи биологического маркера - билирубина - в очередной раз было подтверждено наличие связей подпаутинного пространства с лимфатической системой.
Методика непрямой лимфостимуляции лимфодренажного механизма нервной системы применялась нами [15] для реабилитации больных с цереброваскулярной патологией, при воспалительных заболеваниях центральной нервной системы, больным детским церебральным параличом, развившимся после перенесенной внутричерепной родовой травмы или после затянувшейся желтухи новорожденных, больным с черепно-мозговой травмой, при сирингомиелии, гидроцефалии. Методика хорошо зарекомендовала себя при лечении больных с неврологическими проявлениями остеохондроза и может применяться в предоперационный период больным с травмой позвоночника для ослабления клинических проявлений диашиза. При проведении непрямой лимфостимуляции следует придерживаться правила, что больным с локализацией процесса в головном мозге процедуры можно проводить ежедневно, а при поражении спинного мозга и при нейропатии - через 2 дня на третий. Стимуляцию секреции ликвора ионами натрия (физиологическим раствором) необходимо проводить ежедневно.
Лимфотропная терапия хорошо интегрируется в общую схему лечения больных, так как по механизмам действия может быть отнесена к патогенетической терапии - санирует околоклеточное пространство нейронов и глиальных клеток мозга. Лимфотропная терапия не исключает применение этиотропной, патогенетической, симптоматической терапии, механо- и физиотерапии, лечебной физкультуры [10, 15, 17].
Ретроспективный анализ наблюдения за 235 больными, которым в течение первых 5 лет после перенесенного инсульта курсами по 10 дней с интервалом 6-8 месяцев проводилась реабилитация с использованием лимфотропной терапии, показал, что 52 больных ведут активный образ жизни. У этих больных очаг поражения мозга после нарушения мозгового кровообращения был малых размеров. У 73 больных на фоне проводимой реабилитационной терапии наблюдалась значительная компенсация нарушенных функций. Эти больные владеют навыками самообслуживания, но находятся в частичной зависимости от окружающих. У 70 больных наблюдалась незначительная компенсация нарушенных функций. Самообслуживание таких больных выражается в самостоятельном приеме пищи, посещении туалета. Одевание и прогулки с посторонней помощью. На магниторезонансной томограмме головного мозга очаг поражения вещества мозга был очень больших размеров. Повторные нарушения мозгового кровообращения развились у 31 больного, из них умерло 26 человек. Всего за 5-летний период наблюдения умерло 17,02% больных, в возрасте от 47 до 72 лет [12, 13]. По данным отделения регистра мозгового инсульта г. Бишкек, летальность от острого нарушения мозгового кровообращения больных, лечившихся по общепризнанным методикам, составила: в 2004 г. - 33,5% из 1942 больных, в 2005 г. - 43,7% из 1630 больных, в 2006 г. - 39,8% из 1570 больных [19].
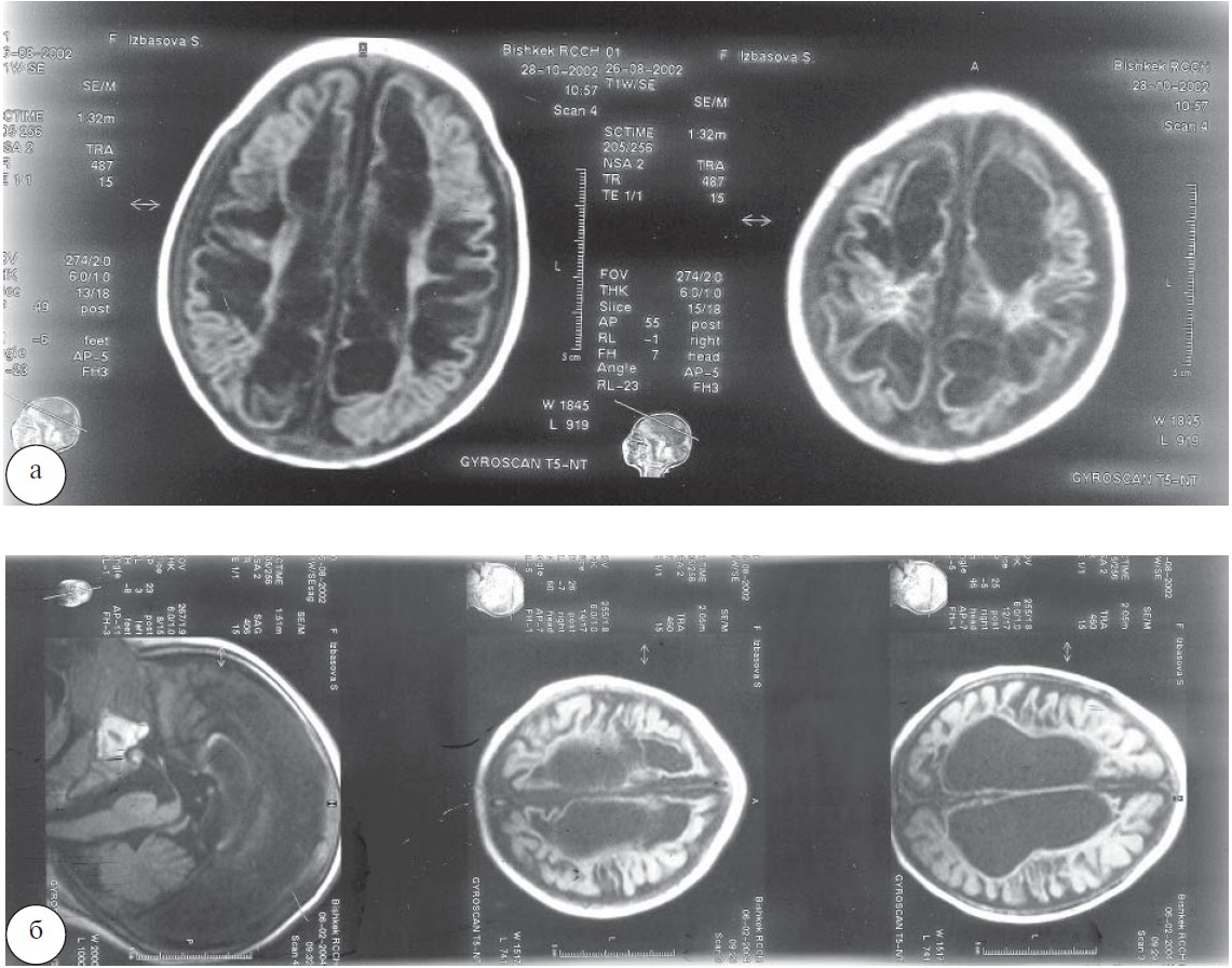
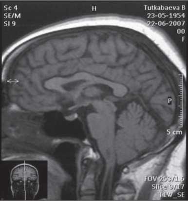
Эффективность лечения воспалительных заболеваний мозга представлена на примере лечения туберкулезного менингита (рис. 1), сирингомиелии (рис. 2, 3), перинатальной энцефалопатии и гидроцефалии (рис. 4), нейропатии лицевого нерва (рис. 5, 6) [12-15, 17].
Рис. 1. Особенности течения туберкулезного процесса в центральной нервной системе: а — больные группы сравнения; б — больные основной группы.
Рис. 2. МРТ головного мозга и шейно-грудного отделов спинного мозга. Больная К., 53 года. Диагноз — сирингомиелия, шейная форма. Просматривается сирингомиелитическая полость на уровне 1 и 2 сегментов спинного мозга. Исследование выполнено до проведения лимфотропной терапии.
Рис. 3. МРТ C1—Th4сегментов спинного мозга спустя 3,5 месяца от начала лечения той же больной. Проведено 2 курса непрямой лимфостимуляции. На уровне 1 и 2 сегментов спинного мозга сирингомиелитическая полость не просматривается.
Рис. 4. МРТ головного мозга ребенка С., возраст 1 год 3 месяца, девочка. Диагноз — перинатальная энцефалопатия, гидроцефалия: а — в течение 6 месяцев лечилась по стандартным схемам, включая мочегонную терапию; б — через 2 месяца после проведения 3 курсов непрямой стимуляции лимфодренажного механизма нервной системы.
Рис. 5. Больная Г., 1952 г. р.: а — до применения лимфотропной терапии. В 1986 г. проведена операция по удалению невриномы VIII пары слева. Послеоперационный период осложнился нейропатией лицевого нерва слева; б — лечение с использованием непрямой лимфостимуляции начато в 1996 г., проведено два 10-дневных курса лечения с 3-недельными перерывами между курсами.
Заключение. Установлено, что лимфатическая система - универсальный регулятор внутренней среды организма. В составе лимфы из интерстиция в кровь уходят естественные и патологические макромолекулы распавшихся тканей, токсинов, метаболитов и патогенных микроорганизмов, тем самым поддерживается гомеостаз в ткани и крови, так необходимый для нормальной жизнедеятельности организма. Лимфотропная терапия нормализует и сохраняет баланс между поступающей в интерстиций и оттекающей из него жидкостью. В центральной нервной системе это приводит к восстановлению физиологических взаимоотношений между гематотканевым и лимфоликворным барьерами - составляющими гематоэнцефалическго барьера.
About the authors
Ya. M. Pesin
Киргизско-Российский Славянский университет
Author for correspondence.
Email: pesin49@yandex.ru
Kyrgyzstan, Бишкек
Yu. I. Borodin
Научно-исследовательский институт клинической и экспериментальной лимфологии
Email: pesin49@yandex.ru
Russian Federation, Новосибирск
References
- Берман, Р.Е., Педиатрия / Р.Е. Берман, В.К. Воган. - М.: Медицина, 1991. - 527 с.
- Бородин, Ю.И. Мозг и жидкие среды организма / Ю.И, Бородин, Я.М. Песин. - Бишкек - Новосибирск: Изд-во КРСУ, 2005. - 183 с.
- Бородин, Ю.И. Внутренняя среда организма и корни лимфатической системы / Ю.И. Бородин // Вестн. лимфологии. - 2010. - № 3. - С. 4-11.
- Бородин, Ю.И. Лимфотропная терапия при реабилитации больных с цереброваскулярной патологией / Ю.И. Бородин [и др.] // Бюл. сиб. мед. научн.-практ. журн. - 2008. - № 5, ч. 1. - С. 68-71.
- Ерофеев, Н.П., Лимфатическая система — необходимый элемент жидкостного гомеостаза организма человека: новый взгляд на старые проблемы (обзор литературы) / Н.П. Ерофеев [и др.] // Вестн. Санкт-Петербургского университета: сер. 11. - 2008. - Вып. 4. - С. 78-86.
- Иванов, Г.Ф. Об анатомических связях подоболочечных пространств головного и спинного мозга с лимфатической системой / Г.Ф. Иванов [и др.] // Рус. арх. А.Г.Э. - 1927. - Т. 6, вып. 2. - С. 217-228.
- Ионова, В.Г. Реологические свойства крови при ишемических нарушениях мозгового кровообращения / В.Г. Ионова [и др.] // Невролог. журн. - 2002. - № 3. -С. 4-8.
- Ким, С.А. Морфофункциональная характеристика краниоцеребральных структур при гипертензионно-гидроцефальном синдроме у детей и взрослых, перенесших внутримозговые кровоизлияния, в условиях применения общей дегидрата- ционной и лимфотропной терапии: автореф. дис. ... канд. мед. наук / С.А. Ким. - Новосибирск: НГМА, 2004. - 20 с.
- Левин, Ю.М. Эндолимфатическая и лимфотропная терапия / Ю.М. Левин // Эндолимфатическая и лимфотропная терапия. - Ташкент: Медицина УзССР, 1987. - 111 с.
- Насыров, В.А. Лимфотропная терапия в комплексном лечении больных с отогенными внутричерепными осложнениями / В.А Насыров [и др.] // Вестн. КРСУ. - 2007. - Т. 7, № 2. - С. 142-147.
- Оморов, Н.К. Анатомо-клиническое обоснование лимфотропной терапии в комплексном лечении геморрагического инсульта: автореф. дис. . канд. мед. наук / Н.К. Оморов. - Новосибирск: НГМА, 2002. - 19 с.
- Песин, Я.М. Клиническая лимфология в неврологической практике / Я.М. Песин [и др.] // Актуальные вопросы неврологии: 10-я Межрегиональная научно-практическая конференция с международным участием. Новосибирск - Томск, 25 - 26 мая 2011 г. - Новосибирск, 2011. - С. 14-23.
- Песин, Я.М. Лимфотропная терапия в комплексном лечении туберкулезного менингита (менингоэнцефалита): метод. указания для врачей, субординаторов и студентов / Я.М. Песин [и др.]. - Бишкек: Изд-во КГМА 2000. - 31 с.
- Песин, Я.М. Определение билирубина в цереброспинальной жидкости как дополнительный дифференциально-диагностический критерий инфаркта мозга с геморрагическим пропитыванием / Я.М. Песин [и др.] // Жур. новые технологии. - Бишкек. - 2001.- № 3. - С. 29-30.
- Песин, Я.М. Водный гомеостаз и лимфотропная терапия / Я.М. Песин, Ю.И. Бородин. - Бишкек: Изд-во КРСУ, 2015. - 228 с.
- Скворцова, В.И. Лечение ишемического инсульта / В.И. Скворцова [и др.] // Трудный пациент. - 2007. - № 6. - С. 7-13.
- Смагин, А.А. Способ лимфотропной терапии неврологических проявлений остеохондроза грудной, поясничной локализации / А.А. Смагин [и др.] // Мат. 3-й Чуйской междунар. научн.-практ. конф. - Бишкек: КГМА, 1997. - С. 58-59.
- Тугунтаева, А.Ю. Анатомо-клиническое обоснование лимфотропной терапии при черепно-мозговой травме у детей: автореф. дис. . канд. мед. наук / А.Ю. Тугунтаева. - Новосибирск: НГМА, 2003. - 21 с.
- Тургумбаев, Д.Д. Острые нарушения мозгового кровообращения в Кыргызстане: проблемы и пути решения / Д.Д. Тургумбаев // Бюлл. ГСВ «Острые нарушения мозгового кровообращения». - Бишкек, 2006. - С. 2-5.
- Чернышева, Е. А. Лимфоликворный барьер и отек мозга / Е.А. Чернышева, Я. М. Песин. - Бишкек: Изд-во КРСУ, 2012. -108 с.
- Штерн, Л.С. Непосредственная питательная среда органов и тканей. Физиологические механизмы, определяющие ее состав и свойства. /Л.С. Штерн // Избр. труды. - М.: Изд-во АН СССР, 1960. - 551 с.
- Bradbury, M. The role of lymphatis system in drainage of cerebrospinal fluidand aqueous humor / M. Bradbury, D. Colo // I. Physiology (London). -1980. -Vol. 229. - Р. 353-365.
- Casley-Smith, I. Limph and lymphatics / I. Casley-Smith // In microcirculation Altura. - Baltimore, London, Tokyo, University Park Press. - 1977. - Vol. 10. - Р. 54-64.
- F ldi, M. The brain and the lymphatyc system / M. F ldi // Limphology. - 1999. - Vol. 32. - Р. 40-44.
- Zervas, N.T Cerebrospinal fluid may nourish cerebral vessels through pathways in the adventitia / N.T. Zervas [et al.] // I. Neurosurg. - 1982. - Vol. 56. - Р. 475-481.
Supplementary files






