Бактериостатические эффекты лиофилизатов бесклеточных матрикса и гидрогеля из пуповины человека
- Авторы: Кондратенко А.А.1,2, Чернов В.Е.1, Товпеко Д.В.1, Волов Д.А.1, Белый Н.В.1, Земляной Д.А.2, Калюжная Л.И.1
-
Учреждения:
- Военно-медицинская академия имени С.М. Кирова
- Санкт-Петербургский государственный педиатрический медицинский университет
- Выпуск: Том 26, № 3 (2024)
- Страницы: 361-372
- Раздел: Оригинальное исследование
- Статья получена: 15.03.2024
- Статья одобрена: 06.06.2024
- Статья опубликована: 06.09.2024
- URL: https://journals.eco-vector.com/1682-7392/article/view/629139
- DOI: https://doi.org/10.17816/brmma629139
- ID: 629139
Цитировать
Аннотация
Исследованы бактериостатические эффекты матриксов и гидрогелей из пуповины человека. Известно, что использование биомиметиков на основе внеклеточного матрикса внеэмбриональных органов, в том числе пуповины человека, перспективно для нужд регенеративной медицины и тканевой инженерии. Бесклеточные продукты из внеклеточного матрикса разных органов и тканей человека устойчивы к преднамеренному бактериальному заражению. Два бесклеточных матрикса, изготовленных с использованием разных протоколов децеллюляризации пуповины человека, и два гидрогеля на их основе были оценены на предмет наличия бактериостатических свойств. Описаны два клинических случая применения лиофилизатов гидрогеля из пуповины. Исследован состав бесклеточных матриксов и гидрогелей из пуповины человека с помощью биохимических методик анализа. Чувствительность Staphylococcus aureus и Escherichia coli к матриксам и гидрогелям из пуповины оценивали, используя культуральные методики, также исследована метаболическая активность бактерий. Заметим, что бесклеточные матриксы и гидрогели из пуповины человека состоят из коллагенов и содержат белки и гликозаминогликаны. Обнаружено достоверное бактериостатическое действие гидрогелей в отношении Escherichia coli в течение первых 16 ч инкубации, независимо от вида детергента, использованного для их приготовления. Матриксы не показали бактериостатического эффекта, что позволяет предположить, что именно гидролиз структурных компонентов способствует высвобождению веществ с бактериостатической активностью. Эффект обусловлен, предположительно, влиянием на уровень метаболической активности микроорганизмов. Применение порошкообразного лиофилизата гидрогеля из пуповины человека в качестве дополнения к аутодермотрансплантату при лечении инфицированных глубоких ран у двух пациентов-добровольцев способствовало заживлению без инфицирования. В целом применение лиофилизатов гидрогеля из бесклеточной пуповины человека в качестве дополнительного лечения позволяет обеспечить приживление кожных аутотрансплантатов и создает условия для заживления обширных глубоких, склонных к инфицированию, ран.
Полный текст
ВВЕДЕНИЕ
Одной из главных задач тканевой инженерии является конструирование биоэквивалентов с использованием внеклеточного вещества, клеток и факторов роста, предназначенных для замены утраченных в результате болезней, опухолей и травм тканей и органов. Продукты из децеллюляризованных нативных тканей способствуют созданию оптимального микроокружения для клеток реципиента, биоактивны и биодеградируемы [1]. Они являются источником факторов роста и биологически активных молекул и могут быть использованы в качестве основы для заселения клетками in vitro или собственными клетками реципиента в очаге повреждения [1, 2]. Использование внеклеточного матрикса пуповинного канатика для нужд тканевой инженерии и регенеративной медицины имеет особые преимущества благодаря составу, гомологичному происхождению и отсутствию нежелательных иммунных реакций при имплантации реципиенту [1–3].
Пуповина содержит значительное количество таких компонентов внеклеточного матрикса, как коллагены I, III, IV и V типов, гиалуроновая кислота, сульфатированные гликозаминогликаны [1, 2–4]. В составе Вартонова студня идентифицированы кислый и основной факторы роста фибробластов (aFGF, bFGF), инсулиноподобный фактор роста I (IGF-I), тромбоцитарный фактор роста (PDGF), эпидермальный фактор роста (EGF), трансформирующие факторы роста (TGF) и др. [2, 3, 5]. Биологические характеристики внеклеточного матрикса, неинвазивная процедура получения пуповины без этических ограничений определяют целесообразность использования пуповины человека для изготовления природного трехмерного изделия, не только способного механически заполнять обширные дефекты, но и обладающего способностью стимулировать регенерацию поврежденных тканей [1, 6].
Опубликованы обнадеживающие результаты лечения инфицированных ран с использованием биоматериалов внеэмбриональных органов, в том числе и пуповины [2, 6–8]. Одним из определяющих свойств медицинского изделия для лечения ран является его взаимодействие с эндогенной и экзогенной микрофлорой и эффективность его бактериостатического действия [9, 10]. Природа этого явления и конкретные кандидаты на роль противомикробных агентов недостаточно изучены. Предполагают участие нескольких одновременно действующих механизмов. Феномен бактерицидного и бактериостатического действия тканеинженерных продуктов был изучен в отношении бактерий, микроскопических грибов, инфицированных клеточных линий, в лабораторных экспериментах in vitro и in vivo [11].
Цель исследования — определение бактериостатической активности изготовленных из децеллюляризованной пуповины матриксов и гидрогелей, определение влияния ферментативного гидролиза бесклеточного матрикса на проявление бактериостатического эффекта.
МАТЕРИАЛЫ И МЕТОДЫ
Все исследования проведены в научно-исследовательском центре Военно-медицинской академии имени С.М. Кирова (ВМА) в период 2020–2023 гг. с соблюдением принципов, утвержденных этическим комитетом ВМА (протокол № 230 от 17.12.2019), а также после получения заключения этической экспертизы о возможности проведения клинического исследования совета по этике центра клинических исследований «Медицинские технологии» (протокол инициальной этической экспертизы от 06.06.2022). Критериями соответствия считали статистическую значимость различий количественных показателей бактериостатического действия в эксперименте.
Изготовление бесклеточных матриксов и гидрогелей из пуповины человека. Ранее нами [12], с применением методики децеллюляризации и дополнительной ферментативной обработки, были изготовлены бесклеточные продукты. Изделия из бесклеточного Вартонова студня пуповины человека в этом исследовании использованы в лиофилизированной форме. Образцы пуповины человека получены от здоровых доношенных новорожденных с информированного согласия матерей. После удаления сосудов в стерильных условиях пуповины измельчали блендером фирмы «Bosch» (Германия) и гомогенизировали автоматической станцией гомогенизации тканей (gentleMACS™ Dissociator) фирмы «Miltenyi Biotec» (Германия). Децеллюляризацию ткани пуповины проводили в термостатируемом орбитальном шейкере «ES-20/60» фирмы «Biosan» (Латвия) со скоростью 180 об/мин при температуре 25 °С двумя способами: 1) в 0,05 % растворе додецилсульфата натрия (sodium dodecyl sulfate — SDS) производства «Биолот» (Россия) или 2) в 0,1 Н растворе гидроксида натрия — NaOH (24 ч) и промывали. При использовании NaOH проводили нейтрализацию 0,1 М раствором соляной кислоты (HCl) до значения рН 7,4. Таким образом получали бесклеточный матрикс двух видов: «Матрикс SDS» и «Матрикс NaOH» — которые были лиофильно высушены с помощью лабораторной сублимационной сушки «VaCo 5 II», фирмы «Zirbus technology» (Германия).
Для приготовления гидрогелей матриксы подвергали ферментативной обработке пепсином в кислой среде в соотношении 10 мг матрикса на 1 мл раствора пепсина. Один миллиграмм пепсина (P/1120/46) фирмы «Thermo Fisher Scientific» (Германия) растворяли в 1 мл 0,01 Н HCl, pH 2,0. Ферментацию проводили в течение 72 ч при комнатной температуре со скоростью 180 об/мин. Действие пепсина останавливали, доводя кислотность раствора до pH 7,4 с помощью 0,1 Н NaOH. Продукты лиофилизировали. Таким образом изготовили два вида гидрогелей: «Гидрогель SDS» и «Гидрогель NaOH» (рис. 1).
Рис. 1. Схема изготовления и внешний вид матриксов и гидрогелей из пуповины человека
Все продукты хранили герметично упакованными при температуре –20 ℃ и перед использованием стерилизовали в боксе микробиологической безопасности «Ламинар-С» фирмы «Lamsystems» (Россия) в течение 15 мин.
Электрофорез в геле агарозы. Из образцов матриксов, гидрогелей и пуповины (n = 15 по 0,002 г) дезоксирибонуклеиновую кислоту (ДНК) извлекали с использованием набора ДНК-DU-250 производства «Биолабмикс» (Россия). Размер фрагментов остаточной ДНК анализировали окрашиванием бромистым этидием. Для этого 10 мкл экстрагированной ДНК и стандарта молекулярных весов (от 100 до 1500 пар нуклеотидов) общества с ограниченной ответственностью «СибЭнзайм» (Россия) загружали в лунки 1 % агарозного геля фирмы «Sigma-Aldrich» (Соединенные Штаты Америки — США) с 5 мкл глицерина производства «Экос» (Россия). Электрофорез проводили в горизонтальной камере 7 × 7 см «Mini-Sub Cell GT» фирмы «Bio-Rad» (США) в однократном трис-ацетатном буфере при 70 В в течение 1 ч. Для регистрации результатов использовали систему визуализации гелей с программным обеспечением «ChemiDoc XRS+» фирмы «Bio-Rad» (США).
Определение концентрации белка. Лиофилизированные образцы матриксов, гидрогелей и нативной пуповины (n = 9) растворяли в 8 М мочевине производства «Биолот» (Россия). Колориметрический анализ содержания белка проводили по методу Лоури с использованием набора «КлиниТест-БЛ» производства «ЭКОсервис» (Россия) и по методу Брэдфорда с использованием набора «Servicebio» (Китай). Измерения оптической плотности проводили в 96-луночных планшетах производства «Росмедбио» (Россия) на спектрофотометре «FlexA-200» фирмы «Allsheng» (Китай) при длинах волн, указанных в инструкциях.
Электрофорез белков в полиакриламидном геле (100 × 80 мм, толщиной 1 мм) проводили в установке «Mini-PROTEAN Tetra Vertical Electrophoresis Cell» фирмы «Bio-Rad» (США). Растворы для приготовления нижнего и верхнего гелей готовили согласно прописям: вода дистиллированная 5,9 и 3,4 мл; 30 % акриламид/бисакриламид фирмы «Bio-Rad» (Китай) 5 и 0,83 мл; 1,5 М Трис (pH 8,8 и 6,8) 3,8 и 0,63 мл; 10 % SDS 0,15 и 0,05 мл; 10 % персульфат аммония фирмы «Central Drug House» (США) 0,15 и 0,05 мл; для полимеризации использовали tetramethylethylenediamine (TEMED) фирмы «Bio-Rad» (США) 0,006 и 0,05 мл соответственно. Образцы матриксов, гидрогелей и пуповины растворяли в 6 М мочевине, смешивали с буфером для нанесения фирмы «Servicebio» (Китай) в соотношении 1:1, инкубировали при 100 °С в течение 3 мин. По 15 мкл подготовленных образцов помещали в лунки геля. В качестве эталонных образцов молекулярного веса использовали неокрашенные стандарты белка Precision Plus Protein фирмы «Bio-Rad» (США). Электрофорез проводили из расчета напряжения 8 В на 1 см2 геля. После миграции образцов в нижний гель напряжение увеличивали до 15 В/см2. После извлечения гель окрашивали 1 ч в растворе красителя Кумасси R-250 производства «Диаэм» (Россия) с последующим отмыванием в растворе, содержащем 10 % этанола и 5 % ледяной уксусной кислоты. Учет результатов проводили, используя систему визуализации геля «ChemiDoc XRS+» фирмы «Bio-Rad» (США).
Количество сульфатированных форм гликозаминогликанов определяли с использованием 0,5 % раствора альцианового синего 8GX производства «Ленреактив» (Россия) в 0,1 М HCl (pH 1,5). К 200 мкл раствора красителя добавляли 20 мкл исследуемого образца и инкубировали в течение ночи. После центрифугирования с помощью микроцентрифуги «Mini» фирмы «Gyrozen» (Китай) удаляли надосадочную жидкость. Оптическую плотность экстрагированного 250 мкл 6 М HCl определяли на спектрофотометре «FlexA-200» фирмы «Allsheng» (Китай) при длине волны 620 нм в 96-луночном планшете. Концентрации гликозаминогликанов определяли по калибровочной кривой, построенной по известным концентрациям хондроитина сульфата фирмы «Sigma-Aldrich» (США).
Количество коллагена в матриксах, гидрогелях и нативной пуповине определяли спектрофотометрически окислением гидроксипролина после гидролиза (10 мг образца на 2 мл 6 M HCl; 110 °С 48–72 ч; n = 9). Концентрации определяли по калибровочной кривой, построенной по известным концентрациям гидроксипролина фирмы «AppliChem» (Германия). Окисление гидроксипролина проводили добавлением 1 мл хлорамина Т производства «Диаэм» (Россия). Далее добавляли 1 мл 3,15 М хлорной кислоты (HClO4) производства «Ленреактив» (Россия), взбалтывали. Далее добавляли 1 мл 20 % пара-диметиламинобензальдегида производства «Диаэм» (Россия) при 60 °С на 20 мин с последующим охлаждением и добавлением 5 мл этилцеллозольва производства «Ленреактив» (Россия). Оптическую плотность измеряли при длине волны 550 нм спектрофотометром «UV-1800» фирмы «Shimadzu» (Япония). Содержание коллагена в образце вычисляли путем преобразования измеренного содержания гидроксипролина, используя коэффициент 0,135 [13].
Исследование методом инфракрасной спектроскопии с Фурье-преобразованием. Спектры поглощения лиофилизированных образцов матриксов, гидрогелей и пуповины (n = 15) регистрировали на спектрометре «Alpha» фирмы «Bruker» (Германия) со спектральным разрешением 2 см–1 по 45 сканов, на разных участках лиофилизированных образцов. Измерения проводились при 21 ± 1 °С в кондиционируемом помещении.
Микробиологические объекты. Staphylococcus aureus, В-6646 (ATCC 6538P) и Escherichia coli K-12 В-3254 (KS-507) были получены из Национального биоресурсного центра, Всероссийской коллекции промышленных микроорганизмов Научно-исследовательского центра Курчатовский институт — Государственный научно-исследовательский институт генетики и селекции промышленных микроорганизмов. Cреду лизогенный бульон (Lysogeny broth — LB) по Миллеру производства «Росмедбио» (Россия) готовили в соответствии с инструкциями производителя. Для получения культур микроорганизмов в логарифмической фазе роста проводили культивирование в течение 16–18 ч в LB при 37 ℃ в суховоздушном термостате «ТС-1/20» (Россия). Затем 500 мкл суспензии переносили в 15 мл LB и культивировали еще 2–3 ч, оптическая плотность при этом составляла 0,49 ± 0,05 и 0,37 ± 0,04 для Staphylococcus aureus и Escherichia coli соответственно. Перед началом эксперимента 50 ± 10 мг лиофилизированных стерильных образцов всех четырех продуктов регидратировали в 500 мкл стерильной деионизированной воды.
В 15 мл стерильной жидкой среды LB вносили по 500 мг гидратированного образца и добавляли по 500 мкл бактериальной суспензии микроорганизмов логарифмической фазы роста (n = 8). Для контроля роста бактерий в пробирки не вносили образец, а для контроля стерильности продуктов не вносили микроорганизмы. Учет роста бактериальной суспензии проводили через 16, 24 и 40 ч от времени инокуляции. Нефелометрические измерения оптической плотности суспензии стафилококка (570 нм) и кишечной палочки (600 нм) проводили на спектрофотометре «UV-1800» фирмы «Shimadzu» (Япония).
Для определения количества микроорганизмов в каждой временной точке исследований пользовались методикой серийных разведений. Для этого готовили разведения бактериальных суспензий в соотношениях 1:2, 1:10, 1:100 и 1:1000 в стерильной питательной среде LB. По 1 мл соответствующей бактериальной суспензии высевали на чашку Петри с плотным стерильным агаром (концентрация агара 10 г/л) и спустя сутки проводили подсчет числа колоний и пересчитывали содержание колониеобразующих единиц (КОЕ) в 1 мл.
Для оценки влияния бесклеточных матриксов и гидрогелей из пуповины человека на метаболическую активность микроорганизмов был использован резазурин. В присутствии активно метаболизирующих живых объектов происходит восстановление синего резазурина в розовый и флуоресцирующий резоруфин. В процессе анализа использовали бактерии в стационарной фазе роста. Для этого суспензию микроорганизмов после 16–18 ч культивирования охлаждали до 4 ℃. Kультивирование проводили в стерильных стеклянных пробирках в аналогичных соотношениях LB, гидратированного образца и бактериальной суспензии микроорганизмов стационарной фазы роста (n = 8), как описано выше. Спустя 16, 24 и 40 ч от инокуляции в лунки 96-луночного плоскодонного планшета производства «Росмедбио» (Россия) вносили по 300 мкл из каждой пробирки и добавляли по 20 мкл раствора резазурина производства «Биокомпас-С» (Россия) на фосфатном буфере в концентрации 600 мкМ. Через 30 мин инкубации при 37 ℃ со скоростью встряхивания 300 об/мин на планшетном термошейкере «PST-60» фирмы «Biosan» (Латвия) измеряли интенсивность флуоресценции на многофункциональном планшетном анализаторе «Victor X5» фирмы «Perkin Elme» (США) при длине волны 595 нм с возбуждением на 560 нм.
Статистическую обработку данных в виде дисперсионного анализа (Anova) с апостериорным анализом Бонферрони проводили в программе Statistica 7.0. Количественные данные представлены в виде среднего (M) и стандартного отклонения (SD). Различия считали статистически значимыми при p < 0,05.
РЕЗУЛЬТАТЫ И ИХ ОБСУЖДЕНИЕ
Лиофилизаты матриксов и гидрогелей из пуповины человека представляют собой пористые губки, которые можно измельчить при необходимости (см. рис. 1).
Матриксы и гидрогели, изготовленные по разным технологиям, являются бесклеточными, что подтверждено электрофорезом в геле агарозы (рис. 2). Визуализируется большое количество ДНК в препарате нативной пуповины (рис. 2, е). Матриксы и гидрогели, изготовленные с использованием разных детергентов, продемонстрировали приемлемый уровень удаления клеток и ДНК (рис. 2, b, с, f, g).
Рис. 2. Электрофорез в геле агарозы: a, d, h — ДНК-маркер молекулярного веса; b — матрикс SDS; c — матрикс NaOH; e — нативная пуповина; f — гидрогель SDS; g — гидрогель NaOH
Лиофилизаты бесклеточных матриксов и гидрогелей, а также биоматериал нативной пуповины были исследованы путем инфракрасной спектроскопии с Фурье-преобразованием. Показано, что продукты состоят главным образом из коллагена и содержат гликозаминогликаны (рис. 3).
Рис. 3. Спектры инфракрасной спектроскопии с Фурье-преобразованием лиофилизатов нативной пуповины, а также матриксов и гидрогелей, изготовленных по разным технологиям
Спектры инфракрасной спектроскопии с Фурье-преобразованием децеллюляризированных матриксов и гидрогелей выявили основные пики в областях спектров 1685 и 1570 см–1 (амиды I и II), присущие коллагену [3]. Качественное удаление клеток и ДНК не только не повлияло на структуру коллагена, но и позволило сохранить в составе матриксов и гидрогелей гликозаминогликаны. Спектры демонстрируют полосы поглощения между 1170 и 800 см–1, присущие поглощению (С-О) и (С-О-С) групп углеводных фрагментов коллагена и гликозаминогликанов [3]. Для более детальной оценки состава матриксов и гидрогелей были проведены биохимические исследования содержания в них белков, коллагенов и гликозаминогликанов, в сравнении с нативной пуповиной человека (табл.).
Таблица. Количественные показатели состава пуповины человека и продуктов из бесклеточной пуповины, изготовленных по разным технологиям
Table. Quantitative indicators of the composition of the human umbilical cord and products made of cell-free umbilical cord using various technologies
Образец | Содержание белка | Суммарное содержание коллагенов, мг/100 мг | Содержание сульфатированных форм гликозаминогликанов, мг/100 мг | КОЕ/мл | |
метод Лоури, мг/100 мг | метод Брэдфорд, мг/100 мг | ||||
Пуповина человека | 35,11 ± 3,72 | 24,54 ± 2,32 | 19,36 ± 2,09 | 2,53 ± 0,43 | 0 |
Матрикс SDS | 22,75 ± 4,28 | 16,56 ± 3,86 | 46,03 ± 3,21 | 3,68 ± 0,88 | 0 |
Матрикс NaOH | 9,83 ± 2,35 | 5,96 ± 4,21 | 50,10 ± 4,29 | 3,87 ± 0,76 | 0 |
Гидрогель SDS | 32,54 ± 4,56 | 12,08 ± 1,25 | 39,21 ± 4,67 | 2,08 ± 0,85 | 0 |
Гидрогель NaOH | 35,50 ± 4,32 | 9,66 ± 3,56 | 37,63 ± 6,35 | 1,80 ± 0,38 | 0 |
Поскольку бесклеточные матриксы и гидрогели содержат белки, обладающие различными составом и свойствами, их определяли двумя способами. Основную массу матриксов и гидрогелей составляют коллагены (см. табл.). В связи с тем, что для изготовления матриксов применяли удаление клеток из Вартонова студня, содержание коллагена в них значительно больше по сравнению с нативной пуповиной. Вследствие гидролиза коллагена пепсином при изготовлении гидрогелей его содержание снижено по сравнению с матриксами.
Пуповина содержит наибольшее количество гликозаминогликанов, по сравнению со всеми органами и тканями человеческого организма [2, 3]. Отличительной особенностью пуповины также является содержание в ней большого количества сульфатированных форм гликозаминогликанов [14]. Выявлено, что сульфатированные формы гликозаминогликанов сохраняются и даже несколько увеличивается их количество после децеллюляризации пуповины (см. табл.) [2, 3]. В процессе изготовления гидрогелей наблюдается некоторое их снижение по сравнению с материалом матриксов.
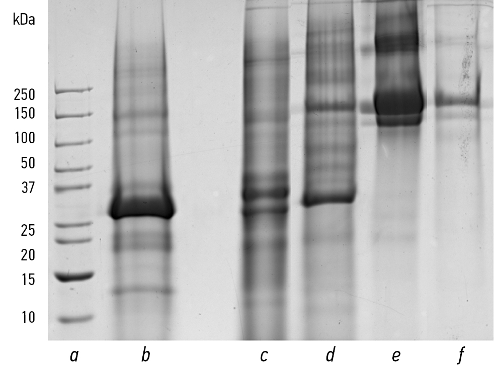
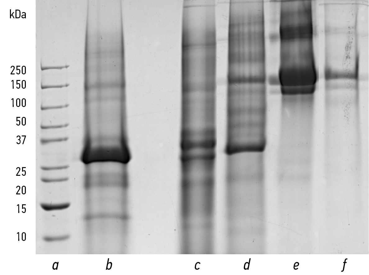
Основным волокнистым белком является коллаген I типа, а также содержатся в пуповине коллагены III, IV, V и VI типов, фибронектин и факторы роста [3]. Результаты разделения смесей белков, полученных при растворении матриксов и гидрогелей, а также нативной пуповины, в соответствии с их электрофоретической подвижностью в полиакриламидном геле с последующей окраской Кумасси, представлены на рисунке 4.
Рис. 4. Электрофорез образцов в полиакриламидном геле: a — маркер молекулярного веса белка; b — нативная пуповина; c — матрикс SDS; d — матрикс NaOH; e — гидрогель SDS; f — гидрогель NaOH
Таким образом, бесклеточные матриксы и гидрогели из пуповины человека, изготовленные с применением разных протоколов децеллюляризации, при достаточном удалении клеток и ДНК состоят из коллагенов, сохраняют в своем составе гликозаминогликаны, в тои числе сульфатированные, а также различные виды растворимых и нерастворимых белков.
Для оценки бактериостатических свойств использовали стерильные образцы матриксов и гидрогелей из пуповины человека (см. табл.). В результате изменений оптической плотности питательных сред, содержащих взвеси бактерий и образцы разных бесклеточных матриксов и гидрогелей, показано, что матриксы, изготовленные по обеим технологиям, не задерживают рост бактерий, в то время как гидрогели обладает некоторым бактериостатическим действием в отношении Escherichia coli в течение первых 16 ч инкубирования (рис. 5).
Рис. 5. Динамика культивирования Escherichia coli КS-507 в присутствие бесклеточных матриксов и гидрогелей из пуповины человека и в контроле (M ± SD)
Оптическая плотность суспензий, культивированных в присутствии «Гидрогеля SDS», была меньше по сравнению с контрольной суспензией, но различия не были статистически значимы (p = 0,514). Различия в значениях оптической плотности суспензий, культивированных в присутствии «Гидрогеля NaOH» и контроля, также была меньше, но статистически не значимо (p = 0,077). Оптическая плотность суспензий Staphylococcus aureus, культивированных в присутствии бесклеточных матриксов и гидрогелей из пуповины и без них, на всех этапах исследования не проявляла различий (рис. 6).
Рис. 6. Динамика культивирования Staphylococcus aureus в присутствии бесклеточных матриксов и гидрогелей из пуповины человека и в контроле (M ± SD)
Подсчет количества КОЕ/мл суспензий также показал уменьшение данного показателя при инкубации Escherichia coli КS-507 с образцами «Гидрогеля SDS», но статистически не значимо (p = 0,304), в то время как снижение числа КОЕ/мл суспензий, инкубированных в присутствии «Гидрогеля NaOH», показало статистически значимые различия (p = 0,024). Различия этого показателя наблюдали также только в течение первых 16 ч инкубирования (см. рис. 5). Подсчет количества КОЕ/мл суспензий Staphylococcus aureus при инкубации с образцами бесклеточных матриксов и гидрогелей из пуповины по сравнению с контролем не показал различий (см. рис. 6).
M. Dubus et al. [2], T.Ž. Ramuta, L. Tratnjek et al. [6] показали наличие в матриксах из децеллюляризованных внеэмбриональных органов и тканей веществ пептидной природы, обладающих бактериостатическим действием. Предположительно, данное явление осуществляется посредством влияния таких пептидов на поверхностные структуры микробов. Нарушение целостности поверхностных структур микроорганизма неизбежно имеет отражение в уровне его метаболической активности. В связи с этим измерение интенсивности флюоресценции, отражающей уровень метаболической активности бактериальной культуры, может быть применимо. Исследования уровней флюоресценции резоруфина бактериальных суспензий показали статистически значимое (p = 0,000001) влияние гидрогелей, приготовленных по обеим технологиям, на активность Escherichia coli К-12 в течение первых 16 ч (см. рис. 5). В отношении культур Staphylococcus aureus данного влияния бесклеточных матриксов и гидрогелей из пуповины не обнаружено (см. рис. 6).
Лиофилизированная форма гидрогеля, изготовленного с применением для децеллюляризации пуповины 0,05 % раствора SDS, была применена в качестве дополнительного лечения обширных глубоких повреждений мягких тканей у двух добровольцев, представленного в клинических случаях 1 и 2.
Клинический случай 1. Пациент Х1 (33 года). Диагноз: осколочное слепое ранение верхней трети голени с обширным дефектом мягких тканей и переломом нижнего полюса надколенника, внутрисуставным переломом проксимального метаэпифиза левой большеберцовой кости со смещением отломков и дефектом костной ткани (рис. 7, а).
Рис. 7. Внешний вид осколочного слепого ранения верхней трети голени с обширным дефектом мягких тканей и переломами: а — 16-е сутки после ранения; b — мышечно-кожная пластика и бесклеточный матрикс из пуповины человека в ране на 30-е сутки после ранения; с — внешний вид дефекта спустя два месяца после ранения с установкой аппарата Илизарова; d — внешний вид дефекта спустя 15 месяцев после ранения
После хирургических обработок с иссечением нежизнеспособных тканей сделана комбинированная мышечно-кожная пластика огнестрельной раны голени несвободным перфорантным мышечным лоскутом из медиальной головки икроножной мышцы и свободным расщепленным дерматомом. Пациент получил курс антибактериальной терапии в связи с выявлением возбудителей (Pseudomonas aeruginosa, Staphylococcus aureus, метициллин-резистентный Staphylococcus aureus, Escherichia coli, Acinetobacter baumannii). Несмотря на продолжающуюся антибактериальную терапию, которая была основана на анализе чувствительности колоний выявленных бактерий к доступным антибиотикам, заживление дефекта осложнилось развитием инфекционного процесса. С целью повышения концентрации биологически активных факторов, стимулирующих коллагенообразование, рекрутинг стволовых клеток к месту повреждения, васкуляризацию и сосудистую перестройку, применен лиофилизированный порошкообразный бесклеточный гидрогель из пуповины человека (рис. 7, b). В 1-е сутки после применения гидрогеля из пуповины человека отмечали образование струпа на площади до двух третей раны. На 10-е сутки экссудат приобрел серозный характер (рис. 7, c).
Таким образом, применение гидрогеля из пуповины человека способствовало уменьшению экссудации и формированию струпа. В условиях массивного инфекционного поражения удалось обеспечить выживаемость свободного кожного трансплантата и создать условия для заживления дефекта тканей (рис. 7, d).
Клинический случай 2. Пациент Х2 (46 лет). Диагноз: ранение правой голени и стопы с дефектом мягких тканей нижней трети голени и оскольчатыми переломами (рис. 8).
Рис. 8. Ранение правой голени и стопы с дефектом мягких тканей нижней трети голени и оскольчатыми переломами: а — внешний вид раны (20 × 8 см) нижней трети правой голени после хирургических обработок; b — 25-е сутки после ранения, суральный лоскут на сосудистой ножке фиксирован к зоне дефекта; с — 38-е сутки после ранения, повторная аутопластика свободными расщепленными кожными трансплантатами. Поверх трансплантатов применен измельченный лиофилизированный гидрогель из бесклеточной пуповины человека; d — внешний вид зоны дефекта на 80-е сутки после ранения
Пациенту выполнены хирургические обработки с иссечением нежизнеспособных мягких тканей. На 25-е сутки после ранения пациенту выполнена кожная пластика дефекта передне-медиальной поверхности нижней трети правой голени несвободным суральным лоскутом (рис. 8, b). На 5-е сутки после операции отмечено появление патологического отделяемого зеленоватого оттенка с неприятным запахом из краев раны, нарастающий цианоз и плотная консистенция лоскута. На 9-е сутки выполнена субтотальная некроэктомия инфицированного сурального лоскута правой голени. Результаты бактериологического исследования выявили рост бактерий Pseudomonas aeruginosa, метициллин-резистентный Staphylococcus aureus, Klebsiella pneumoniae. На протяжении следующих трех недель пациенту выполняли хирургические обработки с иссечением некротизированных тканей, антибиотикотерапией. После контрольного микробиологического исследования выполнена вторая операция по закрытию мягкотканного дефекта нижней трети правой голени с помощью двух расщепленных кожных аутотрансплантатов. Рана укрыта асептической повязкой, придавлена марлевыми тампонами. На 3-и сутки после повторной аутотрансплантации на область дефекта применен лиофилизированный порошкообразный бесклеточный гидрогель из пуповины человека (рис. 8, c). Уже на 1-е сутки после его применения отек стопы значительно уменьшился, частично сформирован струп раневой поверхности, патологическое отделяемое значительно уменьшилось. На 50-е сутки после остеосинтеза костей голени аппаратом Илизарова рану повторно присыпали бесклеточным лиофилизированным гидрогелем. Через месяц после остеосинтеза отмечено удовлетворительное состояние дефекта (рис. 8, d).
Данное клиническое наблюдение демонстрирует, что применение бесклеточного лиофилизированного гидрогеля в качестве дополнительного лечения при аутодермопластике обширных, глубоких и склонных к инфицированию дефектов мягких тканей способствует созданию оптимальных условий для приживления трансплантата.
Известно, что антибактериальная активность может быть неотъемлемым свойством нативных тканей млекопитающих, особенно тех, которые регулярно подвергаются воздействию бактериальных популяций, таких как кожа, полость рта и кишечник. Процессы эволюции и онтогенеза протекают в тесной взаимосвязи между развивающимся макроорганизмом со своим микробиотом и многообразием микромира в целом. Этот тип естественного защитного механизма позволяет хозяину сдерживать или избегать микробного роста вскоре после контакта с различными бактериями раньше мобилизации иммунной системы. Существует предположение, что пептиды с антибактериальной активностью могут непосредственно взаимодействовать с бактериальной мембраной, диффундировать в цитоплазму и препятствовать синтезу белка [9].
Поскольку бесклеточные матриксы, изготовленные из тканей человека и животных, являются стромой с инкорпорированными биоактивными молекулами, постольку фрагментация молекул коллагена и появление пептидов с антимикробной активностью могут обуславливать бактериостатический эффект при их клиническом использовании [10, 15]. E.P. Brennan et al. [9] показали, что белки, высвобождаемые при расщеплении бесклеточного матрикса, изготовленного из подслизистого слоя кишечника и стромы печени свиньи, обладают переменной антибактериальной активностью в отношении Staphylococcus aureus и Escherichia coli. В продуктах, изготовленных из внеэмбриональных тканей, в том числе и пуповины, разными авторами [2, 6, 11] были идентифицированы кандидаты на роль антимикробных агентов. Предположительно, эти агенты ингибировали рост грамположительных и грамотрицательных бактерий в микромолярных концентрациях, а также снижали активность эндотоксина за счет связывания с липополисахаридом [11]. M. Dubus et al. [2] с помощью масс-спектрометрического анализа показали высвобождение антимикробных молекул из децеллюляризированного материала Вартонова студня пуповины человека, участвующих во врожденном иммунном ответе, а также некоторых молекул, участвующих в бактериальной агглютинации.
В нашем исследовании мы использовали три методики определения чувствительности бактериальных суспензий к действию бесклеточных матриксов и гидрогелей из пуповины в разные периоды роста микробных культур. Спектрофотометрическая методика и подсчет КОЕ выявили бактериостатическое действие гидрогелей, приготовленных по двум технологиям, в отношении Escherichia coli. Наш результат, полученный в отношении гидрогелей, может быть следствием большей фрагментации молекул коллагена в процессе изготовления продукта. Примененная нами методика с использованием резазурина позволила выявить влияние гидрогелей на метаболическую активность микроорганизмов. Тот факт, что матриксы не показали бактериостатического эффекта, в отличие от гидрогелей, позволяет предположить, что именно гидролиз структурных компонентов in vitro под влиянием пепсина способствует высвобождению действующих агентов. В условиях in vivo имплантированный матрикс подвергается действию пептидаз, обеспечивающих его биодеградацию. В связи с этим предположение об отсроченном высвобождении антимикробных агентов из матрикса, помещенного в раневое ложе, не лишено оснований [9].
Примененные рядом исследователей более сложные модели для анализа противомикробной активности бесклеточных матриксов позволяют оценить также их противоадгезионный эффект [6, 7, 11]. Обнаруженная в нашем исследовании сохранность гликозаминогликанов в бесклеточных продуктах из пуповины косвенно подтверждает предположение о возможном снижении бактериальной адгезии [2].
ЗАКЛЮЧЕНИЕ
В эксперименте in vitro показано бактериостатическое действие гидрогелей из бесклеточной пуповины человека в отношении штамма KS-507 Escherichia coli в течение первых 16 ч. Бактериостатическое действие гидрогелей не зависит от вида детергента, использованного для их приготовления. Эффект обусловлен, предположительно, влиянием на уровень метаболической активности микроорганизмов. Применение лиофилизированной порошкообразной формы гидрогеля из бесклеточной пуповины человека в качестве дополнительного лечения у двух пациентов-добровольцев позволило обеспечить приживаемость кожных аутотрансплантатов и создать условия для заживления обширных глубоких склонных к инфицированию ран.
Авторы выражают огромную благодарность руководству отдела медико-биологических исследований научно-исследовательского центра ВМА, а также руководству научно-исследовательского центра ВМА за возможность проведения исследований.
ДОПОЛНИТЕЛЬНАЯ ИНФОРМАЦИЯ
Вклад авторов. Все авторы внесли существенный вклад в разработку концепции, проведение исследования и подготовку статьи, прочли и одобрили финальную версию перед публикацией.
Вклад каждого автора. А.А. Кондратенко — исследование бесклеточности, состава и бактериостатических свойств продуктов из пуповины, статистическая обработка результатов, написание статьи; В.Е. Чернов — исследование бактериостатических свойств продуктов из пуповины, написание статьи; Д.В. Товпеко — изготовление и исследование состава продуктов из пуповины человека, написание статьи; Д.А. Волов — клинические исследования, написание статьи; Н.В. Белый — исследование бактериостатических свойств продуктов из пуповины, написание статьи; Д.А. Земляной — статистическая обработка результатов, материальное обеспечение экспериментов, написание статьи; Л.И. Калюжная — разработка общей концепции, дизайн исследования, материальное обеспечение экспериментов, написание статьи.
Конфликт интересов. Авторы декларируют отсутствие явных и потенциальных конфликтов интересов, связанных с публикацией настоящей статьи.
Источник финансирования. Авторы заявляют об отсутствии внешнего финансирования при проведении исследования.
Об авторах
Альбина Александровна Кондратенко
Военно-медицинская академия имени С.М. Кирова; Санкт-Петербургский государственный педиатрический медицинский университет
Автор, ответственный за переписку.
Email: vmeda-nio@mil.ru
ORCID iD: 0000-0002-8511-5864
SPIN-код: 1668-3497
канд. биол. наук
Россия, Санкт-Петербург; Санкт-ПетербургВладимир Евгеньевич Чернов
Военно-медицинская академия имени С.М. Кирова
Email: vmeda-nio@mil.ru
ORCID iD: 0000-0002-2440-3782
SPIN-код: 8315-1161
канд. биол. наук
Россия, Санкт-ПетербургДмитрий Викторович Товпеко
Военно-медицинская академия имени С.М. Кирова
Email: vmeda-nio@mil.ru
ORCID iD: 0000-0003-0286-3056
SPIN-код: 3698-4656
младший научный сотрудник
Россия, Санкт-ПетербургДаниил Александрович Волов
Военно-медицинская академия имени С.М. Кирова
Email: vmeda-nio@mil.ru
ORCID iD: 0000-0003-1493-7622
SPIN-код: 1797-6654
врач-травматолог
Россия, Санкт-ПетербургНиколай Викторович Белый
Военно-медицинская академия имени С.М. Кирова
Email: vmeda-nio@mil.ru
ORCID iD: 0000-0002-9370-8678
SPIN-код: 8676-3186
младший научный сотрудник
Россия, Санкт-ПетербургДмитрий Алексеевич Земляной
Санкт-Петербургский государственный педиатрический медицинский университет
Email: vmeda-nio@mil.ru
ORCID iD: 0000-0003-4716-809X
SPIN-код: 3871-7531
канд. мед. наук
Россия, Санкт-ПетербургЛидия Ивановна Калюжная
Военно-медицинская академия имени С.М. Кирова
Email: vmeda-nio@mil.ru
ORCID iD: 0000-0001-6698-4872
SPIN-код: 1348-3306
д-р мед. наук, доцент
Россия, Санкт-ПетербургСписок литературы
- Басок Ю.Б., Кондратенко А.А., Калюжная Л.И., и др. Децеллюляризованная строма пуповины в тканевой инженерии и регенеративной медицине: систематический обзор // Вестник трансплантологии и искусственных органов. 2023. Т. 25, № 2. С. 82–98. EDN: NBDKJU doi: 10.15825/1995-1191-2023-2-82-98
- Dubus M., Scomazzon L., Chevrier J., et al. Antibacterial and immunomodulatory properties of acellular Wharton’s Jelly matrix // Biomedicines. 2022. Vol. 10, N 2. Р. 227. doi: 10.3390/biomedicines10020227
- Dubus M., Scomazzon L., Chevrier J., et al. Decellularization of Wharton’s jelly increases its bioactivity and antibacterial properties // Front Bioeng Biotechnol. 2022. Vol. 10. Р. 828424. doi: 10.3389/fbioe.2022.828424
- Ramzan F., Ekram S., Frazier T., et al. Decellularized human umbilical tissue derived hydrogels promote proliferation and chondrogenic differentiation of mesenchymal stem cells // Bioengineering. 2022. Vol. 9, N 6. Р. 239. doi: 10.3390/bioengineering9060239
- Gupta A., El-Amin S.F., Levy H.J., et al. Umbilical cord-derived Wharton’s jelly for regenerative medicine applications // J Orthop Surg Res. 2020. Vol. 15, N 1. Р. 49. doi: 10.1186/s13018-020-1553-7
- Ramuta T.Ž., Tratnjek L., Janev A., et al. The antibacterial activity of human amniotic membrane against multidrug-resistant bacteria associated with urinary tract infections: new insights from normal and cancerous urothelial models // Biomedicines. 2021. Vol. 9, N 2. Р. 218. doi: 10.3390/biomedicines9020218
- Yadav M.K., Go Y.Y., Kim S.H., et al. Antimicrobial and antibiofilm effects of human amniotic/chorionic membrane extract on Streptococcus pneumonia // Front Microbiol. 2017. Vol. 8. Р. 1948. doi: 10.3389/fmicb.2017.01948
- Mao Y., Singh-Varma A., Hoffman T., et al. The effect of cryopreserved human placental tissues on biofilm formation of wound-associated pathogens // J Funct Biomater. 2018. Vol. 9, N 1. Р. 3. doi: 10.3390/jfb9010003
- Brennan E.P., Reing J., Chew D., et al. Antibacterial activity within degradation products of biological scaffolds composed of extracellular matrix // Tissue Eng. 2006. Vol. 12, N 10. Р. 2949–2955. doi: 10.1089/ten.2006.12.2949
- Sarikaya A., Record R., Wu C.C., et al. Antimicrobial activity associated with extracellular matrices // Tissue Eng. 2002. Vol. 8, N 1. Р. 63–71. doi: 10.1089/107632702753503063
- Silini A.R., Ramuta T.Ž., Pires A.S., et al. Methods and criteria for validating the multimodal functions of perinatal derivatives when used in oncological and antimicrobial applications // Front Bioeng Biotechnol. 2022. Vol. 10. Р. 958669. doi: 10.3389/fbioe.2022.958669
- Товпеко Д.В., Кондратенко А.А., Калюжная Л.И., и др. Биотехнологический бесклеточный неиммуногенный продукт сохраняет основные регенеративные структурные компоненты пуповины человека // Биотехнология. 2023. Т. 39, № 1. С. 49–59. EDN: PVPMQO doi: 10.56304/S0234275823010118
- Capella-Monsonis H., Coentro J., Graceffa V., et al. An experimental toolbox for characterization of mammalian collagen type I in biological specimens // Nat Prot. 2018. Vol. 13, N 3. P. 507–529. doi: 10.1038/nprot.2017.117
- Wang C., Li G., Cui K., et al. Sulfated glycosaminoglycans in decellularized placenta matrix as critical regulators for cutaneous wound healing // Acta Biomater. 2021. Vol. 22. P. 199–210. doi: 10.1016/j.actbio.2020.12.055
- Ersanli C. Tzora A., Skoufos I., et al. Recent advances in collagen antimicrobial biomaterials for tissue engineering applications: a review // Int J Mol Sci. 2023. Vol. 24, N 9. Р. 7808. doi: 10.3390/ijms24097808
Дополнительные файлы











