利用术前经胸注射亚甲蓝制剂和安装锚标签系统对小直径周围型肺肿瘤进行标记的效果比较
- 作者: Dmitrochenko I.V.1, Fufaev E.Е.1, Dzidzawa I.I.1, Safronova A.A.1, Yasyuchenya D.A.1, Barinov O.V.1, Popov V.A.1, Nechiporuk V.M.1, Grishchenkov A.S.1, Belevich V.L.1
-
隶属关系:
- Kirov Military Medical Academy
- 期: 卷 26, 编号 4 (2024)
- 页面: 617-626
- 栏目: Original Study Article
- ##submission.dateSubmitted##: 01.05.2024
- ##submission.dateAccepted##: 01.10.2024
- ##submission.datePublished##: 20.12.2024
- URL: https://journals.eco-vector.com/1682-7392/article/view/631487
- DOI: https://doi.org/10.17816/brmma631487
- ID: 631487
如何引用文章
详细
比较术前经胸注射1%亚甲蓝水溶液和安装锚标签系统对小直径周围型肺肿瘤进行标记的效果。分析了2020~2023年,在基洛夫军事医学院医院外科诊所,接受检查和治疗的36例肺部结节患者的治疗结果,其中27例男性和9例女性,年龄从52岁到76 岁。研究发现,利用经胸注射1%亚甲蓝水溶液标记小直径周围型肺肿瘤的方法,可以检测到73.3%的病例的病理区,并完成活检。探查术持续时间为30[20~40]分钟。术后并发症未确定。本组患者的平均床位日为8[6;12]天。在95%的病例中,利用安装"锚标签”的方法可以发现和验证肺部病灶。同时,视频胸腔镜活检的持续时间也是30[20~400]分钟。并发症和致命后果未确定。平均床位日为7[5;11]天。与染料注射方法相比,在术前阶段用“锚标签 ”标记周围型肺小结节有许多显著的优势,如缩短病灶绘图时间(p = 0.046)和操作并发症(p = 0.04),以及在微创手术干预中,提高病灶检出率。总体而言,在比较不同的肺部肿块标记方法时发现,利用锚标签系统绘制小直径周围型肺浸润图效率高、更安全,便于术中导航对小直径周围型肺肿瘤进行活检,而且在微创干预、并发症频率和操作持续时间中,发现肺结节的频率指标方面,优于经胸注射1%亚甲蓝水溶液的方法。
全文:
Введение
Раннее выявление рака легких может значительно снизить долю смертности от данного заболевания, поскольку на начальных стадиях оно лучше всего поддается лечению. Патологические очаги в легких, или легочные узлы, встречаются у 25 % обследуемых, проходящих компьютерную томографию (КТ) груди. Биопсия с дальнейшим гистологическим и иммуногистохимическим исследованиями является способом морфологической верификации таких изменений в легких. Она определяет дальнейшую тактику обследования и лечения пациентов, что, в конечном итоге, влияет на прогноз течения заболевания. В случаях выявления посредством КТ груди солитарных легочных узлов — периферических новообразований легких малого диаметра (до 1 см) различные авторы предлагают разные алгоритмы диагностики для их верификации. Окончательная диагностика основывается на морфологическом исследовании, которое позволяет установить природу выявленных изменений в легких [1–6]. Биопсия выполняется при видеоторакоскопии. Интраоперационный поиск внутрилегочных узлов, особенно локализующихся в плащевой и промежуточной зонах, зачастую представляет собой большую сложность, поскольку практически невозможно выявить локальные инфильтраты легочной паренхимы визуальным и/или пальпаторным инструментальным способами, особенно при эндовидеохирургических оперативных вмешательствах [7].
Особенно трудно поиск ведется при минимально инвазивных операциях на легких, которые в настоящее время являются самыми распространенными. На сегодняшний день не существует единого мнения относительно оптимальной методики картирования легочных опухолевых узлов малого размера [8–10]. Используют имплантацию рентгенконтрастных меток, инъекции красителей, масляных рентгенконтрастных веществ [6, 10–13].
В описанных случаях применения красителя метиленового синего зафиксированы факты его быстрого рассасывания, что приводило к сложностям поиска новообразований интраоперационно и, как следствие, служило причиной принятия решения о конверсии доступа или расширения объема резецируемой ткани легкого для биопсии [11]. Недостатками применения «якорных меток» могут считаться болевой синдром, риск развития пневмоторакса, миграция «метки» в процессе транспортировки и укладки пациента перед операцией [14–16]. Применение крючковидной проволоки в 9 из 10 случаев показало более успешные результаты, без миграции маркера, не требовалось дополнительных предоперационных вмешательств для точной верификации периферического новообразования [13, 17, 18]. Одновременная установка сразу нескольких «якорных меток» значительно увеличивает время выполнения процедуры [16]. Указанные технические сложности приводят не только к увеличению продолжительности оперативного вмешательства, но и в ряде случаев диктуют необходимость конверсии доступа, а также могут стать причиной неинформативных биопсий. В этой связи торакальные хирурги применяют различные методики, направленные на облегчение поиска легочных интрапаренхиматозных «узлов» малого размера. Многообразие таких приемов говорит об отсутствии на сегодняшний день одного общепринятого надежного и безопасного способа. Наиболее распространена пункционная маркировка раствором красителя или установкой «якорной метки». Применение системы «якорной метки» для предоперационной маркировки легочных узлов малого размера представляется перспективной методикой и рекомендуется многими авторами [10, 12, 13, 18–20]. Установление преимуществ и недостатков этих методик является актуальной задачей.
Цель исследования — сравнить эффективность методик маркировки периферических новообразований легких малого диаметра посредством предоперационного трансторакального введения 1 % водного раствора метиленового синего и установки системы «якорной метки».
Материалы и методы
Проанализированы результаты лечения 36 пациентов с легочными инфильтратами малого диаметра, из них 27 мужчин и 9 женщин в возрасте от 52 до 76 лет, проходивших обследование и лечение в клинике госпитальной хирургии Военно-медицинской академии им. С.М. Кирова в 2020–2023 гг. 13 (36 %) больных ранее перенесли радикальное оперативное вмешательство по поводу злокачественного онкологического заболевания. Появление у этих больных легочных инфильтратов малого размера могло быть признаком метастазов и прогрессирования онкопатологии. Оперативное вмешательство выполнялось с целью дифференциальной диагностики между прогрессированием онкологического заболевания в виде метастатического поражения легких и другим патологическим процессом. У 23 (64 %) больных изменения, выявленные по результатам КТ груди, были случайной находкой в результате планового обследования. Оперативное вмешательство этим пациентам выполнялось для первичной морфологической диагностики.
Пациенты ретроспективно были разделены на 2 группы в зависимости от способа маркировки периферических легочных инфильтратов малого размера. Группы были сопоставимы по полу, возрасту, лучевым признакам патологического процесса в легких, наличию сопутствующих заболеваний. В 1-й, контрольной группе (КГ) (n = 15) для маркировки применялось предоперационное окрашивание зоны легочного узла путем трансторакального введения 1 % водного раствора метиленового синего. Во 2-й, основной группе (ОГ) (n = 21) маркировку участков патологических изменений легочной паренхимы проводили введением в эту зону иглы «якорной метки». У всех пациентов на этапе обследования выявлены одиночные узлы в легких, причем 5 (33,3 %) больных имели в анамнезе злокачественное онкологическое новообразование, а результаты дооперационной чрезбронхиальной или трансторакальной биопсии оказались неинформативными. Радикальное оперативное вмешательство по поводу злокачественного новообразования в анамнезе имели 8 (38 %) пациентов.
Во всех случаях по данным КТ груди выявлен единичный легочный узел — периферическое новообразование легких диаметром 11 мм, локализующееся в плащевой или промежуточной зонах.
Методика маркировки периферических новообразований легких посредством предоперационного трансторакального введения 1 % водного раствора метиленового синего. Непосредственно перед оперативным вмешательством пациентам выполнялась КТ груди с визуализацией периферического новообразования легкого, лазерной разметкой (рис. 1) для маркировки с последующим окрашиванием очага посредством введения 3 мл 1 % водного раствора метиленового синего в патологический участок легкого иглой для аспирационной биопсии диаметром 22 G, под местной анестезией 20 мл 0,5 % раствора лидокаина. Таким образом происходило окрашивание висцеральной плевры, «раневого канала» от иглы и участка паренхимы легкого с локализующимся в нем новообразованием.
Рис. 1. Предоперационная лазерная разметка под КТ-навигацией
Fig. 1. Preoperative CT-guided laser marking
Сразу после введения красителя в зону «периферического инфильтрата» пациент доставлялся в операционную. Далее, под общей комбинированной анестезией с раздельной интубацией бронхов и искусственной однолегочной аппаратной вентиляцией, в условиях тотального коллапса легкого выполнялось оперативное вмешательство — видеоторакоскопическая атипичная резекция легкого в проекции подкрашенного участка (рис. 2).
Рис. 2. Интраоперационное фото, пациент В., 59 лет. Участки маркировки париетальной и висцеральной плевры 1 % водным раствором метиленового синего (белые стрелки)
Fig. 2. Intraoperative photograph, Patient V, 59 years old. Areas of parietal and visceral pleura marking with 1% aqueous methylene blue (white arrows)
Методика маркировки периферических новообразований легких посредством предоперационной установки системы «якорной метки»1. Непосредственно перед оперативным вмешательством пациентам выполнялась визуализация патологического участка легкого по описанной выше методике (рис. 3) с последующей трансторакальной установкой системы «якорной метки» под местной анестезией 20 мл 0,5 % раствора лидокаина (рис. 4, 5).
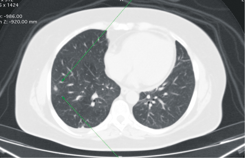
Рис. 3. Компьютерная томограмма груди в аксиальном срезе, пациент И., 44 года. Периферическое новообразование S4 правого легкого по типу «матового стекла» (зеленые стрелки)
Fig. 3. Axial computed tomography scan of the chest, Patient I, 44 years old. Peripheral neoplasm S4 of the right lung with ground-glass opacity (green arrows)
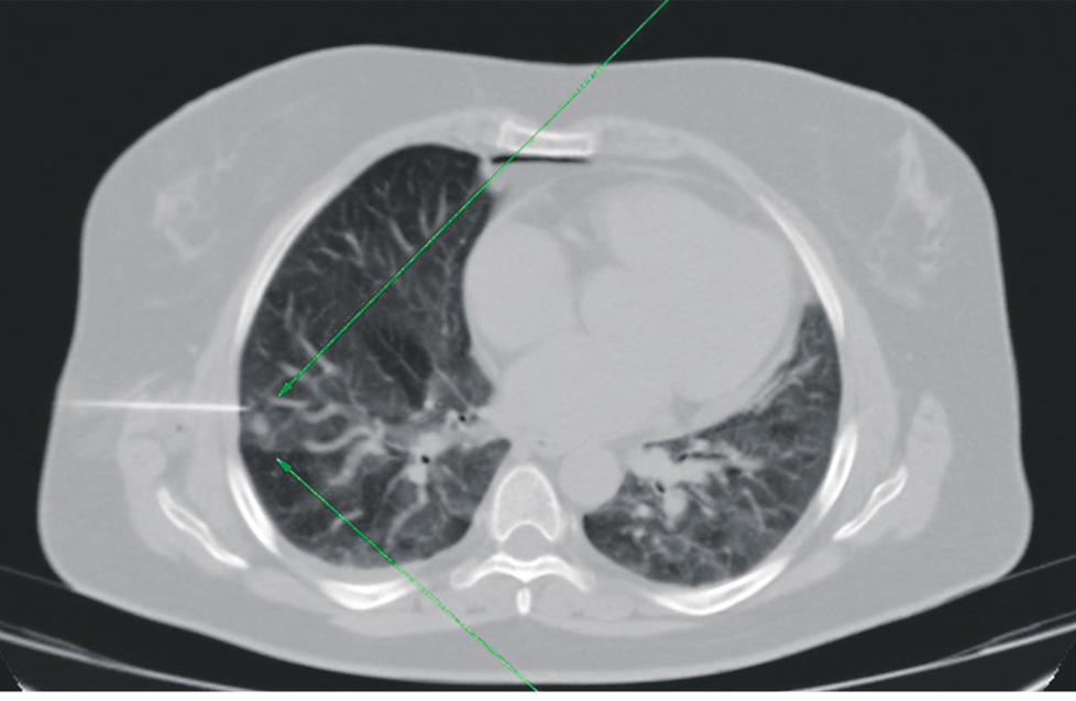
Рис. 4. Компьютерная томограмма груди в аксиальном срезе, пациент И., 44 года. Установка системы «якорной метки» в легочную паренхиму в зону новообразования (зеленые стрелки)
Fig. 4. Axial computed tomography scan of the chest, Patient I, 44 years old. Placement of an anchor marker system into the lung parenchyma in the area of the neoplasm (green arrows)
Рис. 5. Интраоперационное фото, пациентка М., 46 лет. Установлена система «якорной метки» (визуализация на коже)
Fig. 5. Intraoperative photo, Patient M, 46 years old. The installed anchor marker system (skin visualization)
Метка представляет собой металлическую струну с крючком на конце по типу гарпуна, вводимую через пункционную иглу в зону интрапаренхиматозного «легочного узла». Крючок позволяет метке зафиксироваться в месте установки. Струна визуально определяется в зоне фиксации, также может интраоперационно определяться с помощью рентгеноскопии. Нами применялись иглы «Mammorep N» 21G (производитель «Sterylab», Италия) — 15 см (рис. 6).
Рис. 6. Вариант системы «якорной метки» — игла «Mammorep N»
Fig. 6. Anchor marker system varian twith a Mammorep N needle
После установки выполнялось эндовидеохирургическое оперативное вмешательство с атипичной резекцией зоны инфильтрата с установленной «якорной меткой» и срочным или плановым гистологическим исследованием инфильтрата, в зависимости от клинической ситуации (рис. 7–9).
Рис. 7. Интраоперационное фото пациентки М., 46 лет. идеоторакоскопическая атипичная резекция (биопсия) нижней доли левого легкого в проекции установленной «якорной метки»
Fig. 7. Intraoperative photo of Patient M, female, 46 years old. Ideothoracoscopic atypical resection (biopsy) of the lower lobe of the left lung in the projection of the installed anchor marker
Рис. 8. Операционный материал — резецированный участок легкого с предоперационно установленной «якорной меткой»
Fig. 8. A surgical specimen which is a resected section of the lung with a preoperatively installed anchor marker
Рис. 9. Операционный материал — резецированный участок легкого в проекции установленной ранее «якорной метки» (на разрезе)
Fig. 9. A surgical specimen which is a resected section of the lung with a preoperatively installed anchor marker (at incision)
Оценочными критериями эффективности применяемых методик в различных группах выбраны продолжительность методики картирования, частота осложнений, средний койко-день в группе, частота успешного результата — обнаружение легочного узла, его биопсия, верификация изменений.
Недостатками методики считались протекание красителя в свободную плевральную полость, также его элиминация из легочной паренхимы в 1-й группе больных и миграция «якорной метки» при транспортировке и укладке больного во 2-й группе, поскольку эти факторы могли послужить поводом для расширения доступа, изменения объема оперативного вмешательства или стать причиной неинформативного исследования. Продолжительность основного этапа операции (атипичной резекции легкого, сегментэктоми, лобэктомии), объем интраоперационной кровопотери в результате его выполнения, сроки пребывания пациентов в палате интенсивной терапии, продолжительность и выраженность болевого синдрома, продолжительность дренирования плевральных полостей отдельному сравнительному анализу не подвергались, поскольку являлись стандартными для этих типовых оперативных вмешательств и не различались в ОГ и КГ.
Результаты и обсуждение
Результаты применения методики предоперационной маркировки периферических новообразований легких малого диаметра посредством трансторакального введения 1 % водного раствора метиленового синего. Средняя продолжительность маркировки патологического очага составила 28 [19–30] мин. Осложнений манипуляции и летальных исходов не зафиксировано. Побочных эффектов от введения красителя у пациентов также не наблюдалось. Время от маркировки до начала основного оперативного вмешательства составляло 15–20 мин.
По результатам срочного гистологического исследования операционного материала выявлены гамартома, очаговый туберкулез и локальный пневмофиброз — по 2 случая каждого (13,3 %). У этих пациентов выполненный объем оперативного вмешательства оказался достаточным. У 1 из больных контрастный препарат частично излился в свободную плевральную полость и затруднил визуализацию, что потребовало расширения доступа, «открытой» пальпации предполагаемого очага с последующей атипичной резекцией легкого (рис. 10).
Рис. 10. Интраоперационное фото пациента З., 66 лет. Окрашенный раствором метиленового синего участок легкого
Fig. 10. Intraoperative photo of Patient Z, 66 years old. A section of the lung stained with methylene blue
В 6 (40 %) случаях выявлены клетки с признаками атипии, что потребовало выполнения радикально оперативного вмешательства — видеоторакоскопической расширенной лобэктомии — в 4 (26,6 %) случаях. По результатам планового гистологического и иммуногистохимического исследований у этих пациентов морфологически верифицирована аденокарцинома. Еще у 2 (13,3 %) больных, имевших в анамнезе радикальное оперативное вмешательство по поводу злокачественного новообразования (рака молочной железы и рака предстательной железы), обнаруженные изменения в легких послужили основанием для установления факта прогрессирования онкологического заболевания. В данных случаях объем оперативного вмешательства был окончательным.
У 3 (20 %) больных на этапе ревизии плевральной полости установлено, что введенный контрастный препарат элиминировался из области его введения, что затруднило выявление патологического интрапаренхиматозного очага в легком. У этих пациентов предпринято оперативное вмешательство в объеме сегментэктомии. По результатам послеоперационного морфологического исследования в 2 (13,3 %) случаях выявлен локальный пневмофиброз, в 1 (6,5 %) — карциноид. Объем оперативного вмешательства у этих пациентов оказался достаточным.
Исходя из выше представленных данных, методика маркировки периферических новообразований легких малого диаметра посредством трансторакального введения 1 % водного раствора метиленового синего позволила обнаружить патологический участок и выполнить биопсию в 73,3 % случаев. Продолжительность диагностических операций равнялась 30 [20–40] мин. В послеоперационном периоде осложнений не зафиксировано. Средний койко-день в данной группе пациентов составил 8 [6; 12] сут.
Результаты применения методики предоперационной маркировки периферических новообразований легких малого диаметра посредством системы «якорной метки». Средняя продолжительность маркировки патологического очага составила 20 [15–25] мин. Осложнений манипуляции не наблюдалось. Сразу после установки «якорной метки» пациента направляли в операционную.
У 8 (38,1 %) пациентов по данным гистологического исследования операционного материала диагностировано опухолевое поражение. Им были выполнены торакоскопические расширенные лобэктомии в 5 (23,8 %) случаях и в 3 (14,3 %) — атипичные резекции легкого (ввиду расцененных изменений в легком как вторичных). В 6 (28,85%) случаях выявлена гамартома, причем в 1 случае отмечена миграция «якорной метки», что потребовало выполнения мини-торакомии и пальпаторного поиска измененного участка легкого. В 3 (14,8 %) случаях выявлены очаги специфического воспаления (очаговый туберкулез у 2 и туберкулома у 1 больного). Для этих пациентов атипичная резекция легкого являлась достаточным объемом оперативного вмешательства. В 4 (19 %) случаях оперативное вмешательство завершено на диагностическом этапе ввиду верифицированных участков локального пневмофиброза.
Таким образом, обнаружить и верифицировать патологический очаг в легком путем применения методики установки «якорной метки» удалось в 95 % случаев. При этом продолжительность видеоторакоскопических биопсий составила 30 [20–40] мин. Осложнений и летальных исходов не зафиксировано. Средний койко-день — 7 [5; 11] сут.
При анализе результатов эффективности различных методик интраоперационного выявления «легочных узлов» малого размера установлено, что выполнение на предоперационном этапе маркировки патологических очагов легких «якорными метками» (ОГ) имеет ряд существенных преимуществ перед методикой введения метиленового синего (КГ), таких как меньшая продолжительность картирования очага (р = 0,046) и меньшее количество осложнений манипуляции (р = 0,04), а также достоверно более высокая частота успешного выявления и верификации изменений (р = 0,069), таблица.
Таблица. Показатели эффективности сравниваемых методик периферических новообразований легких малого диаметра обследуемых обеих групп
Table. Performance parameters of the compared marking techniques for peripheral small-diameter lung neoplasms in both groups
Показатель | КГ | ОГ | р |
Продолжительность маркировки, мин | 24 [18; 29] | 30 [20;32] | 0,046 |
Частота осложнений методики, абс. (%) | 4 (26,6) | 1 (4,76) | 0,04 |
Средний койко-день, сут. | 8 [6; 12] | 7 [5; 11] | 0,071 |
Частота выявления легочных узлов, % | 73,3 | 95 | 0,069 |
Все эти параметры характеризуют методику предоперационной маркировки внутрилегочных образований малого диаметра посредством установки системы «якорной метки» как более эффективную и малотравматичную методику ранней диагностики периферических образований легкого малого размера.
В целом установлено, что способ картирования легочных очагов «якорными метками» достоверно более надежен, чем методика с введением красителя. «Якорные метки» обеспечили точное указание патологически измененной легочной ткани в 95 % из 21 случая применений, тогда как введение красителя 1 % водного раствора метиленового синего — в 73 % из 15 применений. По результатам морфологического исследования определено, что в общей структуре периферических новообразований легких преобладают опухолевые поражения, причем злокачественные новообразования легких встречаются в 41,7 % (27,8 % — первичные опухоли легких, 13,9 % — метастатическое поражение), а доброкачественные (гамартома) — в 27,2 % случаев. Реже встречаются очаги специфического воспаления и метатуберкулезные изменения — 13,9 %. У части больных (27,2 %) по результатам гистологического исследования изменения в легких трактованы как участки локального пневмофиброза.
Заключение
При оценке методик предоперационной трансторакальной маркировки периферических новообразований легких малого диаметра, применявшихся в исследовании, доказано, что картирование легочных узлов малого размера посредством системы «якорной метки» характеризуется высокой эффективностью, низкой частотой осложнений, облегчает интраоперационную навигацию для выполнения торакоскопической биопсии. Эта методика превосходит методику трансторакального введения 1 % водного раствора метиленового синего по частоте положительных результатов верификации.
Дополнительная информация
Вклад авторов. Все авторы внесли существенный вклад в разработку концепции, проведение исследования и подготовку статьи, прочли и одобрили финальную версию перед публикацией.
Вклад каждого автора. И.В. Дмитроченко — написание статьи, анализ данных; Е.Е. Фуфаев — диагностические исследования, написание статьи; И.И. Дзидзава — разработка общей концепции; А.А. Сафронова — обзор литературы; Д.А. Ясюченя — статистическая обработка; О.В. Баринов — дизайн исследования; В.А. Попов — анализ данных; В.М. Нечипорук — анализ данных; А.С. Грищенков — статистическая обработка; В.Л. Белевич — дизайн исследования.
Конфликт интересов. Авторы декларируют отсутствие явных и потенциальных конфликтов интересов, связанных с публикацией настоящей статьи.
Источник финансирования. Авторы заявляют об отсутствии внешнего финансирования при проведении исследования.
Additional information
Authors’ contribution. Thereby, all authors made a substantial contribution to the conception of the study, acquisition, analysis, interpretation of data for the work, drafting and revising the article, final approval of the version to be published and agree to be accountable for all aspects of the study.
The contribution of each author. I.V. Dmitrochenko — writing an article, data analysis; E.E. Fufaev — diagnostic studies, writing an article; I.I. Dzidzava — development of a general concept; A.A. Safronova — literature review; D.A. Yasyuchenya — statistical processing; O.V. Barinov — research design; V.A. Popov — data analysis; V.M. Nechiporuk — data analysis; A.S. Grishchenkov — statistical processing; V.L. Belevich — research design.
Competing interests. The authors declare that they have no competing interests.
Funding source. This study was not supported by any external sources of funding.
1 Дмитроченко И.В., Фуфаев Е.Е., Дзидзава И.И., и др. Патент на изобретение № 2 811 268 от 20.06.2023. Способ применения «якорных меток» для предоперационной маркировки внутрилегочных периферических новообразований малого диаметра: опубликовано 11.01.2024. Бюллетень № 2 // заявитель Федеральное государственное бюджетное военное образовательное учреждение высшего образования «Военно-медицинская академия имени С.М. Кирова» Министерства обороны Российской Федерации. Режим доступа: https://elibrary.ru/item.asp?id=59922025
作者简介
Ivan V. Dmitrochenko
Kirov Military Medical Academy
Email: vmeda-nio@mil.ru
ORCID iD: 0000-0002-2903-9107
SPIN 代码: 1737-2737
MD, Cand. Sci. (Medicine)
俄罗斯联邦, Saint PetersburgEvgeny Е. Fufaev
Kirov Military Medical Academy
Email: vmeda-nio@mil.ru
ORCID iD: 0000-0003-1786-0560
SPIN 代码: 5758-2364
MD, Cand. Sci. (Medicine)
俄罗斯联邦, Saint PetersburgIlya I. Dzidzawa
Kirov Military Medical Academy
Email: vmeda-nio@mil.ru
ORCID iD: 0000-0002-5860-3053
SPIN 代码: 7336-9643
MD, Dr. Sci. (Medicine)
俄罗斯联邦, Saint PetersburgAnastasia A. Safronova
Kirov Military Medical Academy
编辑信件的主要联系方式.
Email: vmeda-nio@mil.ru
student
俄罗斯联邦, Saint PetersburgDenis A. Yasyuchenya
Kirov Military Medical Academy
Email: vmeda-nio@mil.ru
ORCID iD: 0000-0002-9461-3005
SPIN 代码: 9078-0783
MD, Cand. Sci. (Medicine)
俄罗斯联邦, Saint PetersburgOleg V. Barinov
Kirov Military Medical Academy
Email: vmeda-nio@mil.ru
ORCID iD: 0000-0002-0717-2564
SPIN 代码: 4999-2314
MD, Dr. Sci. (Medicine)
俄罗斯联邦, Saint PetersburgVladimir A. Popov
Kirov Military Medical Academy
Email: vmeda-nio@mil.ru
ORCID iD: 0009-0003-8753-0089
SPIN 代码: 3156-8772
MD, Cand. Sci. (Medicine)
俄罗斯联邦, Saint PetersburgVasily M. Nechiporuk
Kirov Military Medical Academy
Email: vmeda-nio@mil.ru
ORCID iD: 0009-0008-8790-1819
SPIN 代码: 2437-4331
thoracic surgeon
俄罗斯联邦, Saint PetersburgAlexander S. Grishchenkov
Kirov Military Medical Academy
Email: vmeda-nio@mil.ru
ORCID iD: 0000-0003-0910-6904
SPIN 代码: 5654-0112
MD, Cand. Sci. (Medicine)
俄罗斯联邦, Saint PetersburgValery L. Belevich
Kirov Military Medical Academy
Email: vmeda-nio@mil.ru
ORCID iD: 0000-0002-7339-1220
SPIN 代码: 9583-8993
MD. Dr. Sci. (Medicine)
俄罗斯联邦, Saint Petersburg参考
- Dango S, Cucuruz B, Mayer O, et al. Detection of disseminated tumour cells in mediastinoscopic lymph node biopsies and endobronchial ultrasonography-guided transbronchial needle aspiration in patients with suspected lung cancer. Lung Сancer. 2010;68(3):383–388. doi: 10.1016/j.lungcan.2009.08.003
- Dendo S, Kanazawa S, Ando A. Preoperative localization of small pulmonary lesions with a short hook wire and suture system: Experience with 168 procedures. Radiology. 2002;225(2):511–518. doi: 10.1148/radiol.2252011025
- Detterbeck FC, Lewis SZ, Diekemper R. Executive summary: diagnosis and management of lung cancer. 3rd ed: American college of chest physicians evidence-based clinical practice guidelines. Chest. 2013;143(5):7–37. doi: 10.1378/chest.12-2377
- Howington JA, Blum MG, Chang AC. Treatment of stage I and II non-small cell lung cancer: Diagnosis and management of lung cancer. 3rd ed.: American college of chest physicians evidence-based clinical practice guidelines. Chest. 2013;143(5):278–313. doi: 10.1378/chest.12-2359
- Ito M, Miyata Y, Okada M. Management pathways for solitary pulmonary nodules. J Thorac Dis. 2018;10(Suppl 7):S860–S866. doi: 10.21037/jtd.2018.01.07
- Biesalski HK. European consensus statement on lung cancer: risk factors and prevention. Lung Cancer Panel. CA Cancer J Clin. 1998;48(3):167–176. doi: 10.3322/canjclin.48.3.167
- Mets O, Smithuis R. TNM classification 8th edition department of radiology of the academical medical Centre, Amsterdam and the Alrijne hospital, Leiderdorp the Netherlands. Radiology Assistant. 2017; 8(7):709–718.
- MacMahon H, Naidich DP, Goo JM, et al. Guidelines for management of incidental pulmonary nodules detected on CT images: from the Fleischner society 2017. Radiology. 2017;284(1):228–243. doi: 10.1148/radiol.2017161659
- Bisenkov LN. Surgical diseases and injuries of the organs of the chest and mediastinum: textbook in 2 volumes. Vol. 2. Saint Petersburg; 2016. 567 р. (in Russ.)
- Iguchi T, Hiraki T, Gobara H, et al. Simultaneous multiple preoperative localizations of small pulmonary lesions using a short hook wire and suture system. Cardiovasc Intervent Radiol. 2015;38(4):971–976. doi: 10.1007/s00270-014-1028-5
- Park CH, Han K, Hur J, et al. Comparative effectiveness and safety of preoperative lung localization for pulmonary nodules: a systematic review and meta-analysis. Chest. 2017;151(2):316–328. doi: 10.1016/j.chest.2016.09.017
- Iguchi T, Hiraki T, Gobara H, et al. Transfissural route used for preoperative localization of small pulmonary lesions with a short hook wire and suture system. Cardiovasc Intervent Radiol. 2015;38(1):222–226. doi: 10.1007/s00270-014-0862-9
- Yasufuku K, Pierre A, Darling G, et al. A prospective controlled trial of endobronchial ultrasound-guided transbronchial needle aspiration compared with mediastinoscopy for mediastinal lymph node staging of lung cancer. J Thorac Cardiovasc Surg. 2011;142(6):1393–1400. doi: 10.1016/j.jtcvs.2011.08.037
- Baldwin DR. Management of pulmonary nodules according to the 2015 British Thoracic Society guidelines. Key messages for clinical practice. Pol Arch Med Wewn. 2016;126(4)262–274. doi: 10.20452/pamw.3379
- Chen YR, Yeow KM, Lee JY, et al. CT-guided hook wire localization of subpleural lung lesions for video-assisted thoracoscopic surgery (VATS). J Formos Med Assoc. 2007;106(11):911-918. doi: 10.1016/S0929-6646(08)60061-3
- Freund MC, Petersen J, Goder KC. Systemic air embolism during percutaneous core needle biopsy of the lung: Frequency and risk factors. BMC Pulm. Med. 2012;12:2. doi: 10.1186/1471-2466-12-2
- Fei Y, Wang J, Yao J, et al. Reevaluation of the efficacy of preoperative computed tomography-guided hook wire localization: A retrospective analysis. Int J Surg. 2018;51(1):24–30. doi: 10.1016/j.ijsu.2018.01.014
- Li C, Liu B, Jia H, et al. Computed tomography-guided hook wire localization facilitates video-assisted thoracoscopic surgery of pulmonary ground-glass nodules. Thoracic Cancer Open Access. 2018;9(9):1145–1150. doi: 10.1111/1759-7714.12801
- Safronova AA, Dmitrochenko IV. Preoperative mapping of small-diameter peripheral lung neoplasms with “anchor marks”. Proceedings of the Russian Military Medical Academy. 2022;41(S2):374–376. EDN: JJFJQQ
- Hanauer M, Perentes JY, Krueger T, et al. Pre-operative localization of solitary pulmonary nodules with computed tomography-guided hook wire: report of 181 patients. J Cardiothorac Surg. 2016;11:5. doi: 10.1186 / s13019-016-0404-4
补充文件













