Dynamics of aquaporin content in the aero-hematic barrier during the latent phase of toxic pulmonary edema
- Authors: Sizova D.T.1, Tolkach P.G.1, Bardin A.A.2, Babakov V.N.2,3, Vengerovich N.G.4, Chepur S.V.5, Basharin V.A.1
-
Affiliations:
- Kirov Military Medical Academy
- Scientific Research Institute of Hygiene, Occupational Pathology and Human Ecology
- Saint Petersburg State Pediatric Medical University
- State Research and Testing Institute of Military Medicine
- State Scientific-Research Test Institute of Military Medicine
- Issue: Vol 26, No 4 (2024)
- Pages: 541-550
- Section: Original Study Article
- Submitted: 17.07.2024
- Accepted: 01.10.2024
- Published: 19.12.2024
- URL: https://journals.eco-vector.com/1682-7392/article/view/634392
- DOI: https://doi.org/10.17816/brmma634392
- ID: 634392
Cite item
Abstract
The study evaluates the dynamics of aquaporin (aquaporin-1, aquaporin-5, and epithelial sodium channel) content in the aero-hematic barrier during the latent phase of rat intoxication with carbonyl chloride (phosgene), thermal decomposition products of fluoroplast containing perfluoroisobutylene, and nitrogen dioxide. Rat intoxication was modeled using average lethal concentrations of these toxic substances. At 30 and 60 minutes post-exposure, pulmonary coefficient was measured and histological and immunohistochemical studies were performed. Western blot analysis was used to determine the aquaporin-5 content in rat lung tissues exposed to the thermal decomposition products of fluoroplast. It was found that rat intoxication with phosgene and thermal decomposition products of fluoroplast containing perfluoroisobutylene led to an increase in the relative content of aquaporin-5 and epithelial sodium channel-positive cells in lung tissues as early as 30 minutes post-exposure. At 60 minutes post-exposure, there were signs of the interstitial phase of toxic pulmonary edema and an increase in the pulmonary coefficient. Exposure to nitrogen dioxide resulted in an increase in the pulmonary coefficient and the relative content of aquaporin-5-positive cells, as well as pronounced signs of the interstitial phase of edema 30 minutes post-exposure. Western blot analysis using anti-aquaporin-5 antibodies revealed an increase in the staining intensity of complexes with molecular weights of 25 and 50 kDa, suggesting the formation of aquaporin-5 tetramers and their likely translocation from the intracellular compartment to the plasma membrane of alveolar cells. These findings indicate that aquaporin-5 plays an important role in the pathogenesis of toxic pulmonary edema induced by the studied pneumotoxicants. Targeting these molecules may be a promising approach for pathogenetic therapy of poisoning.
Full Text
Introduction
Water channels in the aero-hematic barrier, including aquaporin (AQP)-1, AQP-5, and the epithelial sodium channel (ENaC), play a critical role in the physiological transport of fluid across the aero-hematic barrier. However, their role in the pathogenesis of toxic pulmonary edema induced by classical pneumotoxicants has not been adequately described in the available literature.
The spectrum of substances with pneumotoxic effects is diverse, and classical pneumotoxicants include substances that disrupt the respiratory system’s structure and function upon inhalation. Based on their mechanism of action, pneumotoxicants can be classified into acylating agents, such as carbonyl chloride (COCl2) and perfluoroisobutylene (PFIB), and substances that trigger protein coagulation and free radical oxidation processes in the aero-hematic barrier, such as nitrogen dioxide (NO2). Acylating agent intoxication can occur due to accidents at chemical hazard sites, combustion of fluoroplast in fires, or the use of chemical weapons. NO2 is a component of propellant and explosive gases, and exposure to it can occur in poorly ventilated shooting ranges and during the detonation of munitions [1–4].
Intoxication with pneumotoxicants leads to the development of toxic pulmonary edema. The process that occurs during the overt phase of intoxication has been well studied, whereas there is little data on the pathogenic cascades functioning during the latent phase of intoxication.
To date, pharmacological approaches to correct toxic pulmonary edema are limited. This may be due to an incomplete understanding of the primary mechanisms involved in its development, particularly in cases of acylating agent intoxication [1, 3, 5]. The movement of water from systemic circulation into the lung tissue can occur both paracellularly and transcellularly via water channels of the aero-hematic barrier [6]. Transcellular transport through endothelial cells is mediated by AQP-1 activation, whereas transport through type I alveolar cells is mediated by AQP-5 [6, 7]. The transcellular movement of water from the alveolar space into the interstitium (i.e., alveolar clearance) occurs via the amiloride-sensitive ENaCs [8]. Water channels in the aero-hematic barrier play a vital role in maintaining fluid balance in the lungs but may also be involved in pathological water shifts, such as in the development of toxic pulmonary edema [5, 9]. Disruption of the aero-hematic barrier integrity due to exposure to corrosive substances (e.g., caustic acids and alkalis), inflammation, or the activation of free radical oxidation reactions can impair these water channel functions [10, 11].
Available literature data on the role of aero-hematic barrier water channels in toxic pulmonary edema pathogenesis are contradictory. A study by B. Hasan et al. [12] demonstrated that AQP-5 expression was significantly reduced at 12 and 24 h following toxic pulmonary edema induction by lipopolysaccharide intoxication. Conversely, a study by A. Ohinata et al. [10] found that murine lung epithelial cell lines exposed to lipopolysaccharide led to an increase in AQP-5 content on the plasma membrane within 0.5–2 h postexposure, along with increased osmotic water permeability through the plasma membrane. Thus, the role of aquaporin in the development of toxic pulmonary edema remains unclear. Moreover, no experimental data were found in the available literature on the role of aquaporin and ENaC in toxic pulmonary edema caused by classical pneumotoxicants, such as COCl2, PFIB, and NO2.
The STUDY AIMED to assess the dynamics of the water channel (AQP-1, AQP-5, and ENaC) content in the aero-hematic barrier of rats during the latent phase intoxication with carbonyl chloride and the thermal degradation fluoroplastic products containing PFIB and NO2.
Materials and methods
The study was performed on 54 male rats that were divided into four groups of six animals each: control group (CG), PFIB group, COCl2 group, and NO2 group. The animals in the CG group breathed ambient air in an inhalation chamber for 15 min. The PFIB group underwent static inhalation intoxication with thermal degradation products of fluoroplast containing PFIB at a concentration corresponding to the median lethal concentration (HLC50). The COCl2 group was exposed to static inhalation intoxication with chemically synthesized COCl2 at a concentration corresponding to the median lethal concentration (LC50). The NO2 group was subjected to static inhalation intoxication with chemically synthesized NO2 at a concentration corresponding to the LC50. in all experiments, the exposure duration was 15 min. For immunohistochemical analysis, a separate control group was formed for each intoxication group (CG-1, CG-2, and CG-3).
The PFIB content in the gas-air mixture was determined using gas-liquid chromatography with mass spectrometric detection on an Agilent 7890B gas chromatograph with an Agilent 240 ms mass-selective detector (Agilent, USA). The concentrations of COCl2 and NO2 in the inhalation chamber were measured using the PortaSens II gas analyzer (ATI, USA).
The animals were euthanized 30 and 60 min after exposure using a tiletamine + zolazepam solution at appropriate doses. The lungs were then extracted, and the pulmonary coefficient was determined. Histological analysis of the lung tissue was performed to assess pathological changes. Serial lung sections were obtained using a PFM Slide 2003 microtome (PFM Medical GmbH, Germany), stained with hematoxylin and eosin, and examined under a Leica DM2000 light microscope (Leica Microsystems, Germany), and photodocumentation was performed.
For immunohistochemical analysis, 4-μm-thick sections of paraffin-embedded lung tissue samples were prepared using a rotary microtome and mounted on poly-L-lysine-treated slides. After high-temperature treatment (98 °C for 20 min in citrate buffer, pH 6), immunohistochemical staining was performed using rabbit polyclonal anti-AQP5 (1:400, Affinity Biosciences LTD, China), anti-α₁-ENaC (1:400, Atagenix Laboratories, China), and anti-AQP1 (1:400, Cloud-Clone Corp., China) antibodies. Immunohistochemical staining was performed using the UltraVision Quanto universal visualization system (Thermo, USA) and an Autostainer A360 automatic immunostainer (Thermo) according to the manufacturer’s recommendations. The sandwich method was used for immunocomplex detection with secondary peroxidase-labeled antibodies against rabbit immunoglobulins, and diaminobenzidine was used as the chromogen.
The relative content of the AQP5–antibody, AQP1–antibody, and ENaC–antibody complexes in the immunohistochemical preparations was quantified using the H-score histological scoring method [13]. The percentage of positive cells was assessed in a ×100 objective field across at least 10 fields of view.
Lung tissue sample preparation for western blot analysis was performed according to standard protocols. After polyacrylamide gel electrophoresis (PAGE), proteins were transferred using a semidry transfer system onto a polyvinylidene fluoride (PVDF) membrane (Trans-Blot Turbo Midi PVDF, Bio-Rad, USA). The membrane was sequentially incubated in IBind buffer (Thermo Fisher Scientific, USA) with rabbit polyclonal anti-AQP5 antibodies (1:2000, Affinity Biosciences LTD, China) and horseradish peroxidase-labeled anti-rabbit secondary antibodies (1:10,000, Sigma, USA). Protein bands were visualized using the Clarity Western ECL chemiluminescence system (Bio-Rad) with the ChemiDoc MP gel documentation system (Bio-Rad). The staining intensity in the molecular weight region of 25–75 kDa was quantified.
Experimental data are presented as the median, first, and third quartiles (Me [Q1; Q3]). The Kruskal–Wallis test was used to compare two or more independent groups, and the Newman–Keuls test was applied for multiple pairwise comparisons. Differences were considered significant at p < 0.05.
The study was reviewed and approved by the Local Independent Ethics Committee of the Kirov Military Medical Academy (protocol No. 288, dated February 20, 2024). All experiments complied with the regulatory guidelines on laboratory animal research, including humane treatment protocols.
Results and discussion
During the first hour postexposure to the studied pneumotoxicants, no external signs of intoxication were observed in the rats. Histological examination of the lung tissue in rats exposed to acylating agents (PFIB and COCl2 groups) revealed the initial signs of the interstitial phase of toxic pulmonary edema and an increase in the pulmonary coefficient, but only at 60 min postexposure. Conversely, in the NO2 group, NO2 intoxication led to a significant increase in the pulmonary coefficient as early as 30 min postexposure, accompanied by pronounced signs of interstitial edema (Fig. 1).
Overall, the pulmonary coefficient dynamics correlated with the histological changes in the lung tissue. At 30 min postexposure, normal lung tissue histoarchitecture was observed in rats exposed to COCl2 and PFIB thermal degradation products. However, at 60 min postexposure, thickening of the interalveolar septa, erythrocyte stasis in the blood vessels, and the presence of thin fibrin-like strands in the alveolar lumen were detected. in contrast, at 30 min postexposure to NO2, the lung tissues of rats exhibited thickened interalveolar septa infiltrated with erythrocytes and neutrophils, vascular congestion, and a moderate amount of homogeneous fluid in the alveolar lumen (Fig. 2).
Fig. 1. Dynamics of the pulmonary coefficient in rats exposed to thermal decomposition products of fluoroplast at different times
Рис. 1. Динамика легочного коэффициента крыс в различные сроки после воздействия продуктов термодеструкции фторопласта
Fig. 2. Dynamics of pulmonary interstitial edema in rats from the perfluoroisobutylene, COCl2, and NO2 groups exposed to thermal decomposition products of fluoroplast at different times. Hematoxylin/eosin staining; magnification: ×50 ocular
Рис. 2. Динамика отека интерстиция легких крыс групп ПФИБ, COCl2 и NO2 в различные сроки после воздействия продуктов термодеструкции фторопласта. Окраска гематоксилином и эозином, ув. об. ×50
Immunohistochemical analysis demonstrated a significant (p < 0.05) increase in AQP-5-positive cells at 30 and 60 minutes postexposure to all studied toxicants compared with CG-1, CG-2, and CG-3. The highest accumulation of AQP-5-positive cells and extravascular fluid was observed in the lung tissues of the PFIB-exposed rats at 60 minutes postexposure to the PFIB thermal degradation products (Fig. 3 and 4).
Notably, at 30 min postexposure, no significant changes in the pulmonary coefficient were detected in the rats exposed to the acylating agents. This might be attributed to enhanced alveolar clearance via ENaC, as a significant increase in ENaC expression on alveolocytes was evident at 30 minutes postexposure. Y. Berthiaume et al. [5] demonstrated in lung injury models associated with alveolar fluid accumulation that increased alveolar clearance occurs due to elevated ENaC expression in alveolocytes.
Paracellular water movement from the interstitium to the alveolar space does not occur because of the aero-hematic barrier function [14]. Thus, in the absence of barrier damage, water transport into the alveolar space can only occur via AQP-5. However, a previous electron microscopy study of the latent phase of toxic pulmonary edema induced by PFIB exposure in rats revealed the widening of the epithelium intercellular spaces, flattening of adjacent cellular surfaces, exposure of the basal membrane because of the detachment of cellular projections, and alveolocyte dystrophic changes [15]. Therefore, the increase in the pulmonary coefficient and accumulation of edematous fluid in the alveoli, along with fibrin precipitation at 60 min postexposure to acylating agents, were most likely associated primarily with enhanced transcellular water transport via AQP-5.
Fig. 3. Lung content of aquaporin-5-positive cells in rats from the perfluoroisobutylene, COCl2, and NO2 groups exposed to thermal decomposition products of fluoroplast at different times
Рис. 3. Содержание AQP-5-позитивных клеток в легких крыс групп ПФИБ, COCl2 и NO2 в различные сроки после воздействия продуктов термодеструкции фторопласта
Fig. 4. Accumulation of aquaporin-5-associated immune complexes with peroxidase stained with diaminobenzidine in lung tissues of rats from the perfluoroisobutylene, COCl2, and NO2 groups exposed to thermal decomposition products of fluoroplast at different times. Magnification: ×100 ocular
Рис. 4. Накопление AQP-5-ассоциированных иммунных комплексов с пероксидазой, окрашенных диаминобензидином, в тканях легких крыс групп ПФИБ, COCl2 и NO2 в различные сроки после
In animals exposed to NO2, the increase in the relative content of AQP-5-positive cells was associated with an increase in the pulmonary coefficient as early as 30 min postexposure. Given that NO₂ exposure in lung tissue triggers protein coagulation and induces inflammatory responses with the activation of free radical oxidation [16], this exposure likely mediates the disruption of the aero-hematic barrier integrity. The increase in the pulmonary coefficient at 30 min postexposure was likely due to both water penetration into the alveolar space via AQP-5 and paracellular leakage through the disrupted intercellular junctions.
No significant changes in the number of AQP-1-positive cells in rat lung tissue were observed at 30 or 60 min postexposure to the studied toxicants compared with that in the CG-1, CG-2, and CG-3 groups (Fig. 5). This suggests that in the case of intoxication with the studied pulmonary toxicants, pathological fluid movement from the systemic circulation, as evident in histological specimens as edema and swelling of the interalveolar septa, was primarily driven by paracellular transport or channel-independent pathways, such as pinocytosis–exocytosis and endothelial fenestration.
In lung tissues collected at 60 min postexposure to COCl2 and PFIB, there was a significant (p < 0.05) increase in ENaC-positive cells compared with that in the CG-1 and CG-2 groups. However, in the NO2 group, no increase in the ENaC density was observed compared to that of the CG-3 group (Fig. 6).
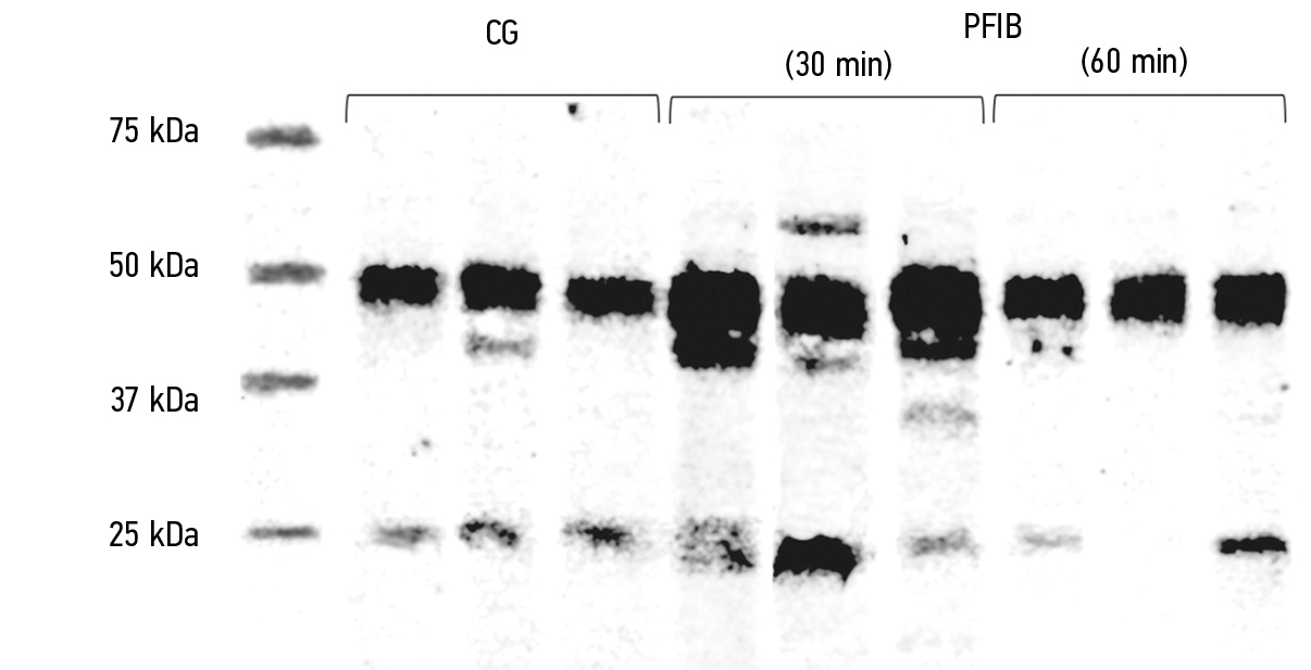
As the most pronounced increase in AQP-5-positive cells during 60 min postintoxication was observed in PFIB-exposed rats, western blot analysis was performed as a separate series of experiments to determine the relative content of AQP-5 at 30 and 60 min postexposure to PFIB in animals of this group.
In the control animals, western blot analysis revealed intense staining at 25 and 50 kDa in the lung tissues after exposure to the PFIB. At 30 min postexposure, rats in the PFIB group exhibited a visually observable broadening of the staining band at 25 and 50 kDa. However, by 60 min postexposure, the staining intensity at 25 kDa decreased, whereas the intensity at 50 kDa remained unchanged compared to the controls (Fig. 7).
Fig. 5. Lung content of aquaporin-1-positive cells in rats from the perfluoroisobutylene, COCl2, and NO2 groups exposed to thermal decomposition products of fluoroplast at different times
Рис. 5. Содержание AQP-1-позитивных клеток в тканях легких крыс групп ПФИБ, COCl2 и NO2 в различные сроки после воздействия продуктов термодеструкции фторопласта
Fig. 6. Lung content of ENaC-positive cells in rats from the perfluoroisobutylene, COCl2, and NO2 groups exposed to thermal decomposition products of fluoroplast at different times
Рис. 6. Содержание ENaC-позитивных клеток в легких крыс групп ПФИБ, COCl2 и NO2 в различные сроки после воздействия продуктов термодеструкции фторопласта
Fig. 7. Western blot analysis of aquaporin-5 content in homogenized lung tissues of rats from the perfluoroisobutylene group obtained 30 and 60 minutes post-exposure to thermal decomposition products of fluoroplast
Рис. 7. Вестерн-блот-анализ содержания AQP-5 в гомогенатах тканей легких крыс группы ПФИБ, полученных через 30 и 60 мин после воздействия продуктов термодеструкции фторопласта
The molecular weight of a single AQP-5 subunit is approximately 28 kDa. Each AQP-5 subunit can function independently; however, when it is assembled into a tetramer, the complex becomes more stable [17, 18]. The results of the western blot analysis indicate that AQP-5 exists in a polymeric subunit form within the cells.
Dimeric forms of aquaporin are more resistant to denaturation than the tetrameric forms. For example, J.G. Sorbo et al. [19] demonstrated that the exposure of AQP-4 to detergents (including those used in western blot sample preparation) resulted in its conversion to the dimeric form. Thus, it can be hypothesized that the AQP-5 dimers detected in this study were the products of the incomplete dissociation of tetramers during the denaturing sample preparation for immunoblotting.
According to Alam et al. [20], intracellular AQP-5 translocates from the cytoplasm to the apical membrane of type I alveolocytes in response to intracellular calcium concentration changes. The role of AQP-5 translocation from the subcellular compartment to the plasma membrane in the pathogenesis of toxic pulmonary edema remains unclear [10]. Our western blot analysis demonstrated that intoxication in animals led to increased staining intensity in the region corresponding to a molecular weight of 50 kDa. AQP-5 subunits undergo aggregation in response to exposure to PFIB, and the elevated dimer content detected via immunoblotting indirectly indicates the in vivo tetramer accumulation in response to toxic exposure. Its transfer to the plasma membrane likely promotes pathological fluid transport, which results in extravascular water accumulation in the lungs and the manifestation of toxic pulmonary edema.
A key limitation of this study is the methodology used for the immunohistochemical analysis. Due to technical constraints, we were only able to assess the overall content of the aero-hematic barrier water channels and the number of cells expressing these channels.
Conclusion
The progression of pathogenetic processes in lung tissue in response to acylating agents and NO2 exposure begins during the latent phase of intoxication (30 min postexposure). These changes are associated with an increase in the AQP-5 content, which appears to be due to the assembly of protein dimers into tetramers, leading to enhanced water permeability. Targeting AQP-5 may be a promising approach for the correction of toxic pulmonary edema induced by exposure to pneumotoxic agents.
Additional information
Authors’ contribution. Thereby, all authors made a substantial contribution to the conception of the study, acquisition, analysis, interpretation of data for the work, drafting and revising the article, final approval of the version to be published and agree to be accountable for all aspects of the study.
The contribution of each author. D.T. Sizova — research design, data analysis, writing an article; P.G. Tolkach — data analysis; A.A. Bardin — experimental research; V.N. Babakov — experimental research; N.G. Vengerovich — data analysis; S.V. Chepur — development of a general concept, data analysis; V.A. Basharin — research design, data analysis.
Competing interests. The authors declare that they have no competing interests.
Funding source. This study was not supported by any external sources of funding.
Дополнительная информация
Вклад авторов. Все авторы внесли существенный вклад в разработку концепции, проведение исследования и подготовку статьи, прочли и одобрили финальную версию перед публикацией.
Вклад каждого автора. В.П. Орлов — разработка общей концепции; написание статьи; Ю.А. Нащекина — определение токсичности осколков, анализ данных; А.В. Нащекин — оценка состава ранящих снарядов, анализ данных; С.Д. Мирзаметов — удаление осколков, анализ данных; С.М. Идричан — удаление осколков; М.Н. Кравцов — удаление осколков; Д.В. Свистов — дизайн исследования, анализ данных.
Конфликт интересов. Авторы декларируют отсутствие явных и потенциальных конфликтов интересов, связанных с публикацией настоящей статьи.
Источник финансирования. Авторы заявляют об отсутствии внешнего финансирования при проведении исследования.
About the authors
Daria T. Sizova
Kirov Military Medical Academy
Email: vmeda-nio@mil.ru
ORCID iD: 0000-0001-7426-1746
SPIN-code: 2769-5930
applicant
Russian Federation, Saint PetersburgPavel G. Tolkach
Kirov Military Medical Academy
Email: vmeda-nio@mil.ru
ORCID iD: 0000-0001-5013-2923
SPIN-code: 4304-1890
MD, Dr. Sci. (Medicine)
Russian Federation, Saint PetersburgAlexander A. Bardin
Scientific Research Institute of Hygiene, Occupational Pathology and Human Ecology
Author for correspondence.
Email: vmeda-nio@mil.ru
ORCID iD: 0000-0002-5551-1815
SPIN-code: 9987-7872
researcherRussian Federation, Kuzmolovskoye
Vladimir N. Babakov
Scientific Research Institute of Hygiene, Occupational Pathology and Human Ecology; Saint Petersburg State Pediatric Medical University
Email: vmeda-nio@mil.ru
ORCID iD: 0000-0002-8824-8929
Scopus Author ID: 6602180814
Cand. Sci. (Biology)
Russian Federation, Kuzmolovskoye; Saint PetersburgNikolay G. Vengerovich
State Research and Testing Institute of Military Medicine
Email: gniiiivm_5@mil.ru
ORCID iD: 0000-0003-3219-341X
SPIN-code: 6690-9649
Scopus Author ID: 55639823300
MD, Dr. Sci. (Medicine), associate professor
Russian Federation, Saint-PetersburgSergey V. Chepur
State Scientific-Research Test Institute of Military Medicine
Email: gniiiivm_5@mil.ru
ORCID iD: 0000-0002-5324-512X
SPIN-code: 3828-6730
MD, Dr. Sci. (Medicine), professor
Russian Federation, Saint PetersburgVadim A. Basharin
Kirov Military Medical Academy
Email: vmeda-nio@mil.ru
ORCID iD: 0000-0001-8548-6836
SPIN-code: 4671-8386
MD, Dr. Sci. (Med.), professor
Russian Federation, Saint PetersburgReferences
- Basharin VA, Chepur SV, Shchegolev AV, et al. The role and place of respiratory support in the treatment regimens for acute pulmonary edema caused by inhalation of toxic substances. Military Medical Journal. 2019;340(11):26–32. (In Russ.) EDN: JPJONV
- Shapovalov ID, Yaroshenko DM; Tolkach PG, et al. Experimental evaluation of the effectiveness of oxygen and prednisolone for the correction of toxic pulmonary edema caused by intoxication by thermal-destruction products of nitrocellulose. Medline.ru. 2024;25(1):205–219. EDN: BWCVDB
- Patocka J. Perfluoroisobutene: poisonous choking gas. Mil Med Sci Lett. 2019;88(3):98–105. doi: 10.31482/mmsl.2019.006
- Jugg BJ. Toxicology and treatment of phosgene induced lung injury. In: Chemical Warfare Toxicology. Fundamental Aspects. Edition: 1. Chapter: 4. Publisher: RSC. Worek F, Jener J, Thiermann H, eds. 2016;1:117–153. doi: 10.1039/9781782622413-00117
- Berthiaume Y, Folkesson HG, Matthay MA. Lung edema clearance: 20 years of progress: invited review: alveolar edema fluid clearance in the injured lung. J Appl Physiol (1985). 2002;93(6):2207–2213. doi: 10.1152/japplphysiol.01201.2001
- Skowronska A, Tanski D, Jaskiewicz L, Skowronski MT. Modulation by steroid hormones and other factors on the expression of aquaporin-1 and aquaporin-5. Vitam Horm. 2020;112;209–242. doi: 10.1016/bs.vh.2019.08.006
- Zeuthen T. General models for water transport across leaky epithelia. Int Rev Cytol. 2002;215;285–317. doi: 10.1016/s0074-7696(02)15013-3
- Berthiaume Y, Matthay MA. Alveolar edema fluid clearance and acute lung injury. Respir Physiol Neurobiol. 2007;159(3):350–359. doi: 10.1016/j.resp.2007.05.010
- King L, Agre P. Pathophysiology of the aquaporin water channels. Annu Rev Phpiol. 1996;58:619–648. doi: 10.1146/annurev.ph.58.030196.003155
- Ohinata A, Nagai K, Nomura J, et al. Lipopolysaccharide changes the subcellular distribution of aquaporin 5 and increases plasma membrane water permeability in mouse lung epithelial cells. Biochem Biophys Res Commun. 2005;326(3):521–526. doi: 10.1016/j.bbrc.2004.10.216
- Sugita M, Ferraro P, Dagenais A, et al. Alveolar liquid clearance and sodium channel expression are decreased in transplanted canine lungs. Am J Respir Crit Care Med. 2003;167(10):1440–1450. doi: 10.1164/rccm.200204-312OC
- Hasan B, Li FS, Siyit A, et al. Expression of aquaporins in the lungs of mice with acute injury caused by LPS treatment. Respir Physiol Neurobiol. 2014;200:40–45. doi: 10.1016/j.resp.2014.05.008
- Ishibashi H, Suzuki S, Moriya T, et al. Sex steroid hormone receptors in human thymoma. J Clin Endocrinol Metab. 2003:88(5):2309–2317. doi: 10.1210/jc.2002-021353
- Cai-Zhi S, Hua Sh, Xiao-Wei H, et al. Effect of dobutamine on lung aquaporin 5 in endotoxine shockinduced acute lung injury rabbit. J Thorac Dis. 2015;7(8):1467–1477. doi: 10.3978/j.issn.2072-1439.2015.08.22
- Tolkach PG, Basharin VA, Chepur SV, et al. Ultrastructural changes in the air-blood barrier of rats in acute intoxication with furoplast pyrolysis products. Bulletin of Experimental Biology and Medicine. 2020;169(2):235–241. (In Russ.) EDN: USZBXQ doi: 10.1007/s10517-020-04866-x
- Tiunov LA, Golovenko NYa, Galkin BN, Barinov VA. Biochemical mechanisms of toxicity of nitrogen oxides. Biology Bulletin Reviews. 1991;111(5):738–750. (In Russ.) doi: 10.1007/s10540-005-2577-2
- Agre P. Aquaporin water channels (Nobel Lecture). Angew Chem Int Ed. 2004;43(33):4278–4290. doi: 10.1007/s10540-005-2577-2
- Agre P. The aquaporin water channels. Proc Am Thorac Soc. 2006;3:5–13. doi: 10.1513/pats.200510-109JH
- Sorbo JG, Moe SE, Holen T. Early upregulation in nasal epithelium and strong expression in olfactory bulb glomeruli suggest a role for Aquaporin-4 in olfaction. FEBS Lett. 2007;581(25):4884–4890. doi: 10.1016/j.febslet.2007.09.018
- Alam J, Jeon S, Choi Y. Determination of Anti-aquaporin 5 autoantibodies by immunofluorescence cytochemistry. Methods Mol Biol. 2019;1901:79–87. doi: 10.1007/978-1-4939-8949-2_6
Supplementary files

















