Determination of barometric criteria for rupture of atherosclerotic plaques in the brachiocephalic arteries
- Authors: Maistrenko D.N.1, Ivanov A.S.1, Generalov M.I.1, Nikolaev D.N.1, Stanzhevsky A.A.1, Molchanov O.E.1, Oleshuk A.N.1, Kokorin D.M.1, Maystrenko A.D.1, Soloviev A.V.1, Chegemov A.A.2, Stepanov A.A.1, Eshchik S.M.1
-
Affiliations:
- A.M. Granov Russian research center for radiology and surgical technologies
- Vsevolozhsk Inter-District Clinical Hospital
- Issue: Vol 23, No 1 (2021)
- Pages: 143-152
- Section: Experimental trials
- Submitted: 18.03.2021
- Accepted: 18.03.2021
- Published: 12.05.2021
- URL: https://journals.eco-vector.com/1682-7392/article/view/63631
- DOI: https://doi.org/10.17816/brmma63631
- ID: 63631
Cite item
Full Text
Abstract
The sequence of determining determination of the critical value of blood pressure for the occurrence of dissection of atherosclerotic intima of the internal carotid artery according to the experimental study. Atherosclerotic lesion of the brachiocephalic arteries was modeled on a vascular silicone phantom of the carotid arteries, in which the surgical material (intact annular area of atherosclerotic intima with plaque), obtained after eversion endarterectomy in a patient with atherosclerotic lesions, was placed and fixed in the region of the mouth of the internal carotid artery. A total of 30 models were created. To determine the critical values of the pressure on the intima with the plaque, at which it ruptures, balloon catheters were used, controlling the pressure with a manometer. The results were compared with the preoperative data of ultrasound and computed tomography examinations of patients. Dissection of the intima in the area of the plaque occurred in 6 cases at a pressure of 150–180 mm Hg; in 9 cases at 180–200 mm Hg, in 3 cases at a pressure of more than 200 mmHg, in 12 when exposed to more than 300 mm Hg. All patients, whose intima ruptured at a pressure of less than 200 mm Hg, had a fluid component of the plaque on preoperative examination, and in 6 patients, the critical pressure on the plaque was 150 mm Hg., there was also a thinned "cover" of the plaque. In the rest of the cases, the plaques were stable without a liquid component. Dissection of the intima in these cases did not occur when the exposure value was more than 300 mm Hg. The presence of a fluid component in an atherosclerotic plaque of the carotid artery in combination with a thinned «cover» of the plaque indicates the extreme danger of its destruction and embolism during a hypertensive crisis. The degree of stenosis of the carotid artery was found to be a less significant risk factor for unstable plaque rupture than the presence of a fluid component.
Full Text
Введение
Заболевания системы кровообращения являются доминантной причиной смерти в большинстве стран [1]. Атеросклеротическое поражение брахиоцефальных артерий (БЦА) служит наиболее частой причиной ишемического инсульта у пациентов старше 35 лет. Атеросклероз в этом сосудистом бассейне развивается постепенно и имеет длительный бессимптомный период. Часто острое нарушение мозгового кровообращения (ОНМК) служит первым и единственным проявлением атеросклеротического поражения БЦА [2, 3].
Ишемический инсульт представляет собой серьезную угрозу для здоровья и является ведущей причиной длительной нетрудоспособности населения в развитых странах [4–8]. Летальность от инсульта колеблется от 25 до 30%, а у выживших остается высокий риск развития повторного ишемического эпизода, такого как инфаркт миокарда, инсульт и смерть [4, 8]. Последние данные еще более пессимистичны. ОНМК ежегодно регистрируются у 0,2% населения развитых стран, причем одна треть из них заканчивается смертью в течение года, треть заболевших теряет трудоспособность и только треть восстанавливается [9]. По данным мировой статистики, ОНМК занимают второе место среди причин смертности населения. В Российской Федерации ежегодно регистрируется более 400 тысяч инсультов, из которых 35–45% заканчиваются летальным исходом [10].
Таким образом, в настоящее время цереброваскулярные болезни являются одной из основных причин смертности среди населения России [4]. По данным Росстата, заболеваемость составляет около 6000 случаев на 100 000 населения РФ, среди которых в 30% диагностируется инфаркт головного мозга. Каждый четвертый случай инвалидизации среди пациентов старше 18 лет обусловлен ОНМК [11]. В России заболеваемость атеросклерозом сонных артерий среди лиц мужского пола в возрасте 45–64 лет составляет 62%, среди женщин — 37,8% [11, 12]. В подавляющем большинстве регионов соотношение частоты ишемических и геморрагических инсультов колеблется от 5:1 до 4:1. Частота повторных ОНМК в течение первого года после сосудистой катастрофы составляет около 10 % и увеличивается на 5–8 % каждый последующий год [13, 14]. Риск инсульта увеличивается с каждым десятилетием жизни. Атеросклероз является причиной около трети всех инсультов. Следует отметить, что 80% ОНМК могут происходить без предшествующей симптоматики, подчеркивая необходимость обследования пациентов групп риска [15–17].
Крайне важной и в настоящее время нерешенной проблемой здравоохранения является профилактика ишемического инсульта [18, 19]. Среди актуальных на сегодняшний день классификаций атеросклеротических бляшек с использованием современных методов обследования лежит классификация бляшек на стабильные и нестабильные [20]. Она базируется в основном на данных ультразвукового исследования (УЗИ) и компьютерно-томографической ангиографии (КТ АГ). Начало данной классификации положила работа L.M. Reilly et al. [21], основанная на оценке структуры бляшки с учетом эхогенности ее вещества. Исходя из такого подхода, выделяют два вида бляшек — однородные и неоднородные. A.C. Gray-Weale et al. [22] детализировали классификацию L.M. Reilly et al. и выделили основные ультразвуковые характеристики атеросклеротических бляшек. Полученные данные при неивазивном обследовании нашли подтверждение при гистологическом исследовании: однородные бляшки средней и повышенной эхогенности преимущественно заполнены фиброзным компонентом, а неоднородные — характеризуются наличием внутрибляшечных кровоизлияний, изъязвлений, включений холестерина и кальция, некроза и т. д. [12].
В настоящее время неинвазивная оценка однородности бляшек стала еще более объективной ввиду появления КТ. Эмбологенная опасность нестабильных бляшек, особенно асимптомных, послужила причиной необходимости изучить гемодинамические параметры, приводящие к деструкции бляшки во время гипертонического криза [23, 24].
Цель работы — определить критическую величину артериального давления для возникновения диссекции атеросклеротически измененной интимы внутренней сонной артерии.
Материалы и методы
Работа базируется на полученном операционном материале 30 пациентов (23 мужчины и 7 женщин) с поражениями БЦА, прооперированных по поводу атеросклероза БЦА. Средний возраст больных составил 59 + 3 года. Все пациенты имели сопутствующие заболевания. Так, все они страдали гипертонической болезнью, у большинства была ишемическая болезнь сердца (ИБС), таблица 1.
Таблица 1. Сопутствующие заболевания у обследуемых пациентов
Table 1. Concomitant diseases in the examined patients
Сопутствующая патология | Частота встречаемости | |
абс. | % | |
Ишемическая болезнь сердца | 28 | 93,3 |
Гипертоническая болезнь | 30 | 100 |
Облитерирующий атеросклероз сосудов нижних конечностей | 7 | 23,3 |
Язвенная болезнь желудка и двенадцатиперстной кишки | 2 | 6,7 |
Рис. 1. Полученный операционный материал. Кольцевидный участок интимы артерии с бляшкой
Fig. 1. Received operational material. The annular area of the artery intima with plaque
ОНМК до операции имелось у 11 (36,7%) больных, транзиторная ишемическая атака — в 4 (13,3%) наблюдениях. Не имели неврологической симптоматики 15 (50%) пациентов. Всем больным до операции выполняли ультразвуковую доплерографию (УЗДГ) и КТ АГ БЦА.
У 100% пациентов под эндотрахеальным наркозом была выполнена эверсионная эндартерэктомия из внутренней сонной артерии (ВСА). Полученный материал представлял собой неповрежденный кольцевидный участок атеросклеротически измененной интимы с бляшкой (рис. 1).
По результатам КТ АГ БЦА файлы формата DICOM обрабатывались и трансформировались в математический формат STEP, доступный обработке программами математического анализа. После этого на 3D-принтере «ASS1000» (Россия) из двухкомпонентного силикона с характеристиками эластичности, близкими к физическим показателям артерий человека, были отлиты участки бифуркации БЦА (рис. 2).
Рис. 2. Пример фантома бифуркации общей сонной артерии, выполненный по данным компьютерной томограммы конкретного пациента
Fig. 2. An example of a common carotid bifurcation phantom, made according to computed thomography data of a particular patient
Отливка модели артериального русла выполнялась с сохранением особенностей наружного контура сосудов, а также внутреннего рельефа артерий и созданием посадочного места для участка интимы, куда, собственно, и помещался операционный материал этого пациента. Затем полученный на 3D-принтере интересующий сегмент артериального русла включался в собранный стенд для исследования особенностей гемодинамики, представляющий собой контур с перфузионным насосом, обеспечивающий пульсирующий кровоток, — фантом участка бифуркации сонных артерий и симулятор русла оттока (рис. 3, 4).
Рис. 3. Симулятор русла оттока (внутримозговых артерий)
Fig. 3. Outflow channel simulator (intracerebral arteries)
Рис. 4. Собранный для исследований стенд, включающий фантом, симулятор русла оттока и перфузионный насос
Fig. 4. A stand assembled for research, including a phantom, an outflow channel simulator and a perfusion pump
Для определения критических значений давления на интиму с бляшкой, при которых происходит ее разрыв, использовали баллонные катетеры Admiral Xtreme (INVATEC/Medtronic, Соединенные Штаты Америки) диаметром 5–7 мм и длиной 40 мм. Давление контролировали сопряженным с баллоном манометром.
Результаты и их обсуждение
Конечные данные проведенных исследований, на протяжении которых постепенно увеличивали давление на атеросклеротические бляшки, представлены в таблице 2.
Таблица 2. Результаты воздействия давлением на атеросклеротические бляшки сонных артерий
Table 2. The results of the impact of pressure on atherosclerotic plaques of the carotid arteries
Количество исследуемых объектов – участки атеросклеротически измененной интимы внутренней сонной артерии с бляшкой (операционный материал) | Давление, при котором происходил разрыв интимы в области бляшки, мм рт. ст. |
6 | 150–180 |
9 | 180–200 |
3 | > 200 |
12 | > 300 |
Особый интерес вызывают те случаи, когда разрыв интимы возникал при воздействии давления 150–200 мм рт. ст. Эта когорта пациентов, по нашему мнению, находилась в зоне риска, так как гипертонический криз в повседневной практике преимущественно диагностируется именно при артериальном давлении от 160 до 200 мм рт. ст.
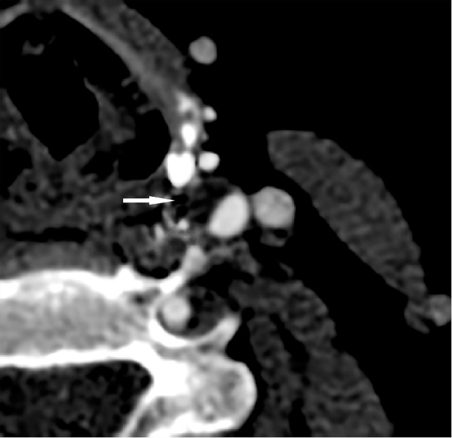
Заметим, что у всех пациентов, интима которых разрывалась при давлении до 200 мм рт. ст., имелся жидкостной компонент бляшки, а у 6 пациентов, критическое давление на бляшку у которых было 150 мм рт. ст., отмечалась еще и истонченная «покрышка» бляшки (рис. 5).
Рис. 5. Компьютерная томограмма пациента с нестабильной атеросклеротической бляшкой. Определяется единая большая полость внутри бляшки с жидкостным компонентом (черная стрелка) и истонченная покрышка (белая стрелка)
Fig. 5. Сomputed thomography of a patient with unstable atherosclerotic plaque. A single large cavity inside the plaque with a liquid component (black arrow) and a thinned «cover» (white arrow)
В остальных случаях бляшки были стабильные без жидкостного компонента. Диссекция интимы в этих случаях произошла при величине воздействия более 300 мм рт. ст.
Представление о степени стеноза ВСА и стабильности атеросклеротической бляшки, ее устойчивости к воздействию избыточного давления были получены на основании данных КТ АГ (рис. 6, 7).
Рис. 6. Компьютерная томограмма пациента с нестабильной атеросклеротической бляшкой. Определяется многокамерная полость внутри атеросклеротической бляшки с жидкостным компонентом (белая стрелка)
Fig. 6. Сomputed thomography scan of a patient with unstable atherosclerotic plaque. A multi-chambered cavity inside an atherosclerotic plaque with a fluid component is determined (white arrow)
Рис. 7. Компьютерная томограмма пациента со стабильной атеросклеротической бляшкой
Fig. 7. Сomputed thomography scan of a patient with a stable atherosclerotic plaque
Степень стеноза ВСА контролировали по данным УЗДС БЦА. Данные о критическом уровне давления для нестабильных бляшек в зависимости от их поперечной величины представлены в таблице 3.
Таблица 3. Критические величины давления для атеросклеротических бляшек сонных артерий в зависимости от их влияния на редукцию просвета сосуда
Table 3.Critical pressure values for atherosclerotic plaques of the carotid arteries, depending on their effect on the reduction of the vessel lumen
Степень стеноза просвета внутренней сонной артерии бляшкой с жидкостным компонентом, % | Давление воздействия от 150 до180 мм рт. ст., при котором происходил разрыв бляшки | Давление воздействия от 180 до 200 мм рт. ст., при котором происходил разрыв бляшки |
50–65 | 4 | 3 |
65–90 | 1 | 6 |
> 90 | 1 | 0 |
Из данных таблицы 3 видно, что в 7 случаях бляшки были гемодинамически малозначимы. Однако критическое давление, приводящее к их деструкции, находилось в пределах от 150 до 180 мм рт. ст., что соответствует гемодинамическим параметрам у пациентов с гипертоническими кризами. В 3 случаях стабильные бляшки выдерживали до разрушения давление > 200 мм рт. ст., а в 12 наблюдениях — 300 мм рт. ст. и более.
Так, после воздействия давлением 150 мм рт. ст. полости внутри бляшки опорожнялись, моделируя эмболию церебральных сосудов (рис. 8). При давлении 300 мм рт. ст. и более участков разрыва интимы и бляшки нет (рис. 9).
Рис. 8. Макропрепарат: нестабильная бляшка со стенозом 65% просвета внутренней сонной артерии. Стрелкой указана полость, где был жидкостной компонент
Fig. 8.Unstable plaque with stenosis of 65% of the lumen of the internal carotid artery. The arrow indicates the cavity where the liquid component was
Рис. 9. Макропрепарат: стабильная бляшка сонной артерии (однородная) со стенозом 65%
Fig. 9. Stable plaque of the carotid artery (homogeneous) with stenosis of 65%
Полученные нами в ходе экспериментов результаты позволяют выделять две группы бляшек: стабильные и нестабильные, что полностью соответствует мнению авторов, занимающихся данной проблемой [20]. Различия между этими видами бляшек определяются величиной давления при воздействии на их поверхность, приводящего к деструкции. Нестабильные бляшки разрушаются при воздействии давления, которое может возникнуть в сосудистой системе организма пациента при гипертоническом кризе, — до 200 мм рт. ст. Стабильные бляшки устойчивы к воздействию высокого давления, которое трудно предположить в реальности (> 300 мм рт. ст.). Полученные данные полностью согласуются с результатами математических расчетов, направленных на выявление критических значений величины артериального давления [23].
Таким образом, важнейшими факторами прогрессии атеросклеротического поражения и структурных изменений атеросклеротических бляшек являются механические факторы: удар пульсовой волны, боковое артериальное давление, завихрение кровотока в окрестности устья артерий [23]. Все эти нарушения тесно связаны с повышением уровня артериального давления. Воздействие сдвиговой деформации на атеросклеротическую бляшку может стимулировать выработку фиброзной ткани во внеклеточном матриксе. Кроме того, «механическая усталость» бляшки на фоне повторных циклов растяжения и отдачи артериальной стенки способствует возникновению микротрещин, надрывов и кровоизлияний, что в свою очередь ведет к замещению поврежденных участков фиброзной тканью [24].
Кроме того, В.Н. Аптуков и Л.Ю. Осоргина [23] в своем исследовании произвели математическое моделирование механического поведения артериальной стенки на разных стадиях атеросклеротического процесса. Проведены различные варианты расчета, представляющие собой сочетание трех уровней внутреннего давления (50, 100 и 200 мм рт. ст.), стадий атеросклероза внутреннего слоя и бляшки.
Результаты расчетов показали, что с ростом патологии сосуда понижается площадь его внутреннего сечения под давлением по сравнению с непораженным сосудом, что оказывает влияние на кровоснабжение. Четвертая стадия атеросклероза характеризуется на 35–45% меньшей пропускной способностью по сравнению с непораженным сосудом. Очевидно, что само наличие бляшки также существенно снижает эффективную площадь сосуда.
Наблюдается локальный скачок величины окружной деформации в окрестности края бляшки при распределении по толщине стенки. Аналогичный рост окружной деформации заметен при приближении к бляшке вдоль внутренней поверхности сосуда. Снижение предельных деформационных свойств стенки сосуда с ростом патологии приводит к повышению опасности возможного нарушения целостности внутреннего слоя (интимы) в месте крепления бляшки [23].
Л.Ю. Осоргина [24], Т.В. Ваховская и др. [25], занимающиеся на основе математического анализа прогнозированием напряжения на стенках БЦА в области атеросклеротического поражения сосудов, полностью подтверждают полученные нами в ходе эксперимента данные. Они утверждают, что нестабильность атеросклеротической бляшки может возникать в результате возникновения сдвиговой деформации, формирующейся на протяжении артериального русла, когда АСБ и прилежащие участки артериальной стенки имеют разные эластические свойства, разную поперечную деформацию (или разное относительное изменение диаметра).
Кроме того, нами установлено, что опасность разрыва нестабильной бляшки не зависит напрямую от ее размера в плане стенозирования просвета сонной артерии. Основной критерий опасности нестабильной бляшки — наличие жидкостного компонента ее ядра на фоне истонченной покрышки. Это наблюдение подтверждается сообщениями авторов, проанализировавших данные КТ и УЗИ пациентов, перенесших ОНМК. Они считают, что разрыв бляшки происходит и при малой степени стеноза, от 40 до 60% [20].
Проведенные исследования, на наш взгляд, важны потому, что подводят базу под необходимость изучения вопроса о показаниях в случаях наличия нестабильных бляшек в БЦА к выполнению стентирования независимо от выраженности степени стеноза ВСА. Это позволит сократить число пациентов, находящихся в отделениях неврологии с признаками ОНМК и транзиторной ишемической атаки при отсутствии гемодинамически значимых поражений БЦА.
Выводы
- Наличие нестабильной атеросклеротической бляшки крайне опасно возможностью диссекции интимы при повышении систолического АД до 150–200 мм рт. ст.
- Наличие жидкостного компонента в атеросклеротической бляшке БЦА на фоне истонченной покрышки свидетельствует о крайней опасности ее деструкции и эмбологенности во время гипертонического криза.
- Степень стеноза сонной артерии — менее значимый фактор риска разрыва нестабильной бляшки, чем наличие жидкостного компонента.
About the authors
Dmitriy N. Maistrenko
A.M. Granov Russian research center for radiology and surgical technologies
Author for correspondence.
Email: dn_maystrenko@rrcrst.ru
ORCID iD: 0000-0001-8174-7461
SPIN-code: 7363-4840
Scopus Author ID: 57193120885
ResearcherId: AAA-9446-2020
doctor of medical sciences, Director
Russian Federation, 197758, Saint Petersburg, Pesochnyi village, Leningradskaya street, 70Alexander S. Ivanov
A.M. Granov Russian research center for radiology and surgical technologies
Email: as_ivanov@rrcrst.ru
ORCID iD: 0000-0003-3357-5022
candidate of medical sciences
Russian Federation, 197758, Saint Petersburg, Pesochnyi village, Leningradskaya street, 70Mikhail I. Generalov
A.M. Granov Russian research center for radiology and surgical technologies
Email: mi_generalov@rrcrst.ru
ORCID iD: 0000-0001-8980-5240
candidate of medical sciences
Russian Federation, 197758, Saint Petersburg, Pesochnyi village, Leningradskaya street, 70Dmitry N. Nikolaev
A.M. Granov Russian research center for radiology and surgical technologies
Email: dn_nikolaev@rrcrst.ru
ORCID iD: 0000-0003-0501-7007
candidate of medical sciences
Russian Federation, 197758, Saint Petersburg, Pesochnyi village, Leningradskaya street, 70Andrey A. Stanzhevsky
A.M. Granov Russian research center for radiology and surgical technologies
Email: aa_stangevsky@rrcrst.ru
ORCID iD: 0000-0002-1630-0564
doctor of medical sciences
Russian Federation, 197758, Saint Petersburg, Pesochnyi village, Leningradskaya street, 70Oleg E. Molchanov
A.M. Granov Russian research center for radiology and surgical technologies
Email: oe_moltchanov@rrcrst.ru
ORCID iD: 0000-0003-3882-1720
doctor of medical science
Russian Federation, 197758, Saint Petersburg, Pesochnyi village, Leningradskaya street, 70Anna N. Oleshuk
A.M. Granov Russian research center for radiology and surgical technologies
Email: an_oleschuk@rrcrst.ru
ORCID iD: 0000-0002-8437-1081
cardiovascular surgeon
Russian Federation, 197758, Saint Petersburg, Pesochnyi village, Leningradskaya street, 70Denis M. Kokorin
A.M. Granov Russian research center for radiology and surgical technologies
Email: dm_kokorin@rrcrst.ru
ORCID iD: 0000-0002-4842-7711
doctor for X-ray endovascular diagnostics and treatment
Russian Federation, 197758, Saint Petersburg, Pesochnyi village, Leningradskaya street, 70Alexey D. Maystrenko
A.M. Granov Russian research center for radiology and surgical technologies
Email: ad_maystrenko@rrcrst.ru
ORCID iD: 0000-0003-0335-4712
candidate of medical sciences
Russian Federation, 197758, Saint Petersburg, Pesochnyi village, Leningradskaya street, 70Aleksey V. Soloviev
A.M. Granov Russian research center for radiology and surgical technologies
Email: av_soloviev@rrcrst.ru
candidate of medical sciences
Russian Federation, 197758, Saint Petersburg, Pesochnyi village, Leningradskaya street, 70Arsen A. Chegemov
Vsevolozhsk Inter-District Clinical Hospital
Email: 4egemov@mail.ru
ORCID iD: 0000-0001-5074-1286
cardiovascular surgeon
Russian Federation, VsevolozhskAleksandr A. Stepanov
A.M. Granov Russian research center for radiology and surgical technologies
Email: aa_stepanov@rrcrst.ru
ORCID iD: 0000-0003-1613-1892
leading engineer
Russian Federation, 197758, Saint Petersburg, Pesochnyi village, Leningradskaya street, 70Semyon M. Eshchik
A.M. Granov Russian research center for radiology and surgical technologies
Email: sm_eschik@rrcrst.ru
ORCID iD: 0000-0003-0945-3383
engineer
Russian Federation, 197758, Saint Petersburg, Pesochnyi village, Leningradskaya street, 70References
- World Health Organization. Research for universal health coverage: World health report Geneva: World Health Organization; 2013. 168 р.
- Dubenko OE. Rol' intrakranial'nogo ateroskleroza v razvitii ishemicheskogo insul'ta: sravnitel'noe sostojanie problemy.Mezhdunarodnyĭ nevrologicheskiĭ zhurnal. 2017;2:25–30. (in Russ.) doi: 10.22141/2224-0713.2.88.2017.100194
- Maksimova MJu, Moskvicheva AS, Chechetkin AO. Faktory riska razvitija ishemicheskogo insul'ta v arterijah karotidnoĭ sistemy u muzhchin i zhenshhin.Annaly klinicheskoi i jeksperimental'noi nevrologii. 2018;12:5–11 (in Russ.)
- Nacional'nye rekomendacii po vedeniju pacientov s zabolevanijami brahiocefal'nyh arterij.Angiologiya i Sosudistaya Khirurgiya.2013;2:13–4. (in Russ.)
- Benjamin EJ, Muntner P, Alonso A, et al. Heart disease and stroke statistics–2019 update: a report from the American Heart Association Statistics Committee and Stroke Statistics Subcommittee.Circulation.2019;139:e56–e528. doi: 10.1161/CIR.0000000000000659
- Sarti C, Rastenyte D, Cepaitis Z, Tuomilehto J. International trends in stroke mortality; 1968 to 1994.Stroke.2000;31:1588–1601. doi: 10.1161/01.str.31.7.1588
- Kleindorfer D, Panagos P, Pancioli A. Incidence and shortterm prognosis of transient ischemic attack in a population-based study.Stroke.2005;36:720–723. doi: 10.1161/01.STR.0000158917.59233.b7
- Mohr JP, Caplan LR, Melski JW. The Harvard Cooperative Stroke Registry: a prospective registry.Neurology.1978;28:754–762.
- Shapovalova AG, Rapovka VG, Sobolevskaya OA, Negoda TN. Reabilitacija pacientov posle ostrogo narushenija mozgovogo krovoobrashhenija na fone gemodinamicheski znachimyh stenozov brahiocefal'nyh arterij.Tihookeanskij medicinskij zhurnal.2020;3:25–34. (in Russ.) doi: 10.34215/1609 1175 2020-3-25-29
- Uteyliev ES, Konysbaeva KK, Zhangalieva DR. Jepidemiologija i profilaktika ishemicheskogo insul'ta (obzornaja stat'ja).Vestnik KazNMU.2017;4:122–127. (in Russ.)
- Shapovalov IN, Nikitina SYu, Ageeva LI, et al. Zdravoohranenie v Rossii 2019. Statisticheskij sbornik.Federal'naja sluzhba gosudarstvennoj statistiki (Rosstat).Moscow; 2019. 170 p. (in Russ.)
- Zaitsev DE, Lepekhina AS, Trufanov GE. Ul'trazvukovaja semiotika priznakov destabilizacii ateroskleroticheskih bljashek sonnyh arterij.Rossijskij kardiologicheskij zhurnal. 2019;24:70–75. (in Russ.) doi: 10.15829/1560-4071-2019-12-70-75
- Machinskiy PA, Plotnikova NA, Ul'yankin VE, Kemaykin SP, Rybakov AG. Sravnitel'naja harakteristika pokazatelei smertnosti i letal'nosti ot ishemicheskogo i gemorragicheskogo insul'tov v Rossii.Izvestiya vysshikh uchebnykh zavedenii. Povolzhskiĭ region. Meditsinskie nauki.2019;3:101–118. (in Russ.) doi: 10.21685/2072-3032-2019-3-10
- Machinskiy PA, Plotnikova NA, Ul'yankin VE, Kemaykin SP, Rybakov AG. Sravnitel'naja harakteristika pokazateleĭ zabolevaemosti ishemicheskim i gemorragicheskim insul'tom v Rossii.Izvestiya vysshikh uchebnykh zavedenii. Povolzhskii region. Meditsinskie nauki.2019;2:112–132. (in Russ) doi: 10.21685/2072-3032-2019-2-11
- Bogousslavsky J, Van MG, Regli F. The Lausanne Stroke Registry: analysis of 1,000 consecutive patients with first stroke.Stroke.1988;19:1083–1092. doi: 10.1161 / 01.str.19.9.1083
- Foulkes MA, Wolf PA, Price TR. The Stroke Data Bank: design, methods, and baseline characteristics.Stroke.1988;19:547–554. doi: 10.1161/01.str.19.5.547
- Inzitari D, Eliasziw M, Gates P, et al. The causes and risk of stroke in patients with asymptomatic internal-carotid-artery stenosis. North American Symptomatic Carotid Endarterectomy Trial Collaborators.N. Engl. J. Med.2000;342:1693–1700. doi: 10.1056/NEJM200006083422302
- Ershova AI, Boytsov SA, Drapkina ОM, Balakhonova ТV. Ul'trazvukovye markery doklinicheskogo ateroskleroza sonnyh i bedrennyh arterij v ocenke serdechno-sosudistogo riska.Rossijskij kardiologicheskij zhurnal.2018;23:92–98. (In Russ.) doi: 10.15829/1560-4071-2018-8-92-98
- Yarikov AV, Lobanov IA, Mukhin AS, et al. Sovremennye instrumental'nye metody diagnostiki ateroskleroticheskogo porazhenija karotidnogo arterial'nogo basseĭna.Izvestija vysshih uchebnyh zavedeniĭ. Povolzhskiĭ region. Medicinskie nauki.2018;3:173–193. (in Russ). doi: 10.21685/2072-3032-2018-3-17
- Tuhbatullin MG, Bajazova NI, Zakirzhanov NR, et al. Primenenie kontrastnogo usilenija pri ul'trazvukovom issledovanii ateroskleroticheskoj bljashki v sonnyh arterijah u pacientov s narusheniem mozgovogo krovoobrashhenija.Prakticheskaja medicina.2017;2:124–129.
- Reilly LM, Lusby RJ, Hughes L, et al. Carotid plaque histology using real-time ultrasonography: clinical and therapeutic implication.Am. J. Surg.1983;188–193. doi:10.1016 / 0002-9610 (83) 90370-7
- Gray-Weale AC, Graham JC, Burnett JR. Carotid artery ateroma: comparison of preoperative B-mode ultrasound appearance with carotid endarterectomy specimen pathologyJ. Cardiovasc. Surg.1988;6:676–681.
- Aptukov VN, Osorgina LJu. Ocenka vlijanija stadij ateroskleroza na naprjazhenno-deformirovannoe sostojanie arterial'nyh sosudov.Rossijskij zhurnalbiomehaniki.2005;4:45–51. (in Russ.)
- Osorgina LJu. Reshenie prostranstvennyh zadach biomehanikiarteriĭ s pomoshh'ju paketa ANSYS.Vestnik Permskogo universiteta. Serija: Matematika. Mehanika. Informatika.2011;2(6):42–47. (in Russ.)
- Vakhovskaya TV, Tripoten MI, Pogorelova OA, et al. Lokal'naja zhestkost' stenki sonnoj arterii v meste formirovanija ateroskleroticheskoj bljashki u bol'nyh arterial'noj gipertoniej.Sistemnye gipertenzii.2014;11(4):49–52. (in Russ.)
Supplementary files












