Surgical treatment strategy in patients suffering from post-traumatic coccygodynia
- Authors: Khominets V.V.1, Nagorny E.B.1, Nadulich K.A.1, Teremshonok A.V.1, Kudyashev A.L.1, Strelba A.A.1
-
Affiliations:
- Military Medical Academy named after S.M. Kirov of the Ministry of Defense of the Russian Federation
- Issue: Vol 23, No 4 (2021)
- Pages: 161-170
- Section: Clinical Trials
- Submitted: 21.10.2021
- Accepted: 16.11.2021
- Published: 15.12.2021
- URL: https://journals.eco-vector.com/1682-7392/article/view/83512
- DOI: https://doi.org/10.17816/brmma83512
- ID: 83512
Cite item
Full Text
Abstract
Clinical effectiveness of coccus removal in post-traumatic coccigodinia is evaluated. The study included 34 patients with diagnosed post-traumatic coccigodinia who underwent surgical treatment in resection or coccyx removal volume. A long history of trauma-related pain syndrome and ineffective conservative treatment were noted in all patients. The exclusion criteria were: inflammatory or oncological process, chronic urogenital diseases, previously undergoing operations on the lumbosacral spine, complicated by the course of the hernia of the intervertebral disc with root syndrome and neurological disorders. Before the operation, patients underwent manual examination, radiography (in direct and lateral projections) and computed tomography of the sacrum and coccyx, examination of the gynecologist (for women) and urologist (for men), examination of the proctologist, according to the indications — magnetic resonance imaging of the spine in order to exclude hernia of the intervertebral disc with neural compression and dermoid cysts of the copcystic. Evaluation of treatment results was performed using a visual analogue pain scale and a verbal 5-point operation satisfaction scale. The observation period was from 1 year to 4 years. Cupping of pain syndrome after surgery was noted in 28 (82.4%) cases, in 6 (17.6%) patients there was a decrease in the intensity of pain syndrome with discomfort only after a prolonged sitting position. 5 (14.7%) patients were "satisfied" with surgery, 28 (82.4%) patients were "completely satisfied", in one (2.9%) case there was "doubtful satisfaction" with surgery. Thus, surgical treatment of coccigodinia in the volume of partial or complete coccyx removal is indicated in cases of ineffectiveness of conservative treatment in its post-traumatic instability. Surgical intervention leads to the cessation of pain syndrome and allows patients to return to their previous physical activity.
Full Text
ВВЕДЕНИЕ
Кокцигодиния (или кокцидиния) — это патологическое состояние, проявляющееся хронической или часто повторяющейся болью в области копчика, которое вызывает ограничение физической активности, повседневной деятельности и значительно ухудшает качество жизни пациентов [1].
По этиологическому фактору выделяют два основных типа болевого синдрома в области копчика: I тип — это кокцигодиния, встречающаяся наиболее часто и связанная с травмой; II тип — идиопатическая кокцигодиния, возникновение которой связывают со спазмом мышц тазового дна, воспалением копчиковой сумки, а также остеоартритом крестцово-копчикового сустава [2]. Эта форма встречается с частотой менее 1% среди всех заболеваний позвоночника нетравматического генеза [3]. Внешняя травма обычно происходит из-за падения на ягодицы, что приводит к ушибу, вывиху или перелому копчика. Хроническая незначительная внешняя травма, которая может возникать из-за повторяющегося длительного сидения на жесткой, узкой или неудобной поверхности, также может быть причиной боли в области копчика. Примером таких микротравм является длительная езда на велосипеде или мотоцикле. Анатомическое положение копчика делает его особенно восприимчивым к травматизации во время родов (внутренняя травма), особенно во время трудных родов с инструментальным пособием [4]. Среди более редких причин развития заболевания выделяют быструю потерю массы тела. В таких случаях боль в области копчика связывают со снижением амортизационных свойств ягодичной области в положении сидя [4, 5]. P.L. Olemoko [6] установил, что наиболее типичным пациентом с идиопатической кокцигодинией является женщина с худощавым телосложением. В немногочисленных исследованиях [7] приводятся данные о случаях хронической боли в области копчика смешанного генеза, когда у пациентов выявляют признаки как посттравматической, так и идиопатической кокцигодинии.
При боли в области копчика для его визуализации выполняют стандартную и динамическую рентгенографию. Стандартное рентгеновское исследование позволяет проводить морфологическую оценку копчика, а также классифицировать его форму в соответствии с классификацией J. Maigne [8] и F. Postacchini [9]. Динамическая рентгенография (или «стресс-рентгенография») позволяет количественно оценить степень смещения копчика в положения пациента стоя и сидя. Выполняют две рентгенограммы копчика в боковой проекции — в положении стоя, затем сидя в наиболее болезненном положении. В некоторых случаях рентгенограмму в положении стоя выполняют через 10 мин вертикального положения, а для контроля вторую рентгенограмму выполняют после 1 мин сидения на твердом стуле, слегка переразогнув спину [3, 10]. У пациентов, страдающих кокцидинией, на боковых функциональных рентгенограммах оценивают смещение копчика, его подвижность (сгибание > 5°) или гипермобильность (сгибание > 25°). Считается, что подвывих, гипермобильность копчика в сагиттальной, аксиальной и горизонтальной плоскостях могут приводить к формированию кокцидинии [8, 11–13].
Несмотря на то, что кокцигодиния достаточно известное заболевание, на сегодняшний день остаются разногласия относительно подходов к лечению этого патологического состояния. Это обусловлено в основном низкой частотой встречаемости, отсутствием стандартных протоколов обследования и лечения, многофакторностью причин развития данной патологии, а также осознанием непредсказуемости результатов лечения, в том числе хирургического [2, 4, 9].
В литературе описаны методики консервативного лечения кокцигодинии, которые могут быть рекомендованы при первичном обращении и начальных стадиях заболевания. Они включают в себя механическую защиту от прямого давления на копчик (использование специальных подушек), прием нестероидных противовоспалительных средств (НПВС), паравертебральные блокады, блокаду непарного ганглия, физиотерапевтические процедуры, экстракорпоральную ударно-волновую терапию, различные мануальные манипуляции с копчиком и остеопатические техники, невральную стимуляцию, радиочастотную терапию и денервацию. Несмотря на многообразие, эффективность указанных методик варьирует в широких пределах от 16 до 90%, а отдаленные результаты лечения изучены недостаточно [1, 2, 14]. Осложнениями блокады непарного ганглия могут быть появление стойкого выраженного дискомфорта, дисцит, поломка инъекционной иглы в ходе манипуляции. Существует высокий риск перфорации прямой кишки и непреднамеренного введения в нее нейролитического агента [15].
А. Galhom et al. [3] указывают на то, что некоторые пациенты хорошо реагируют на консервативное лечение, значительное их число продолжает испытывать боль и нарушения жизнедеятельности. В случаях, когда все возможности консервативного лечения исчерпаны, а стойкий болевой синдром и жалобы сохраняются, пациенту может быть предложено хирургическое вмешательство [11, 13]. Однако результаты операций с резекцией копчика по поводу посттравматической кокцигодинии описаны лишь в единичных публикациях, а среди хирургов и ортопедов сохраняется достаточно высокий уровень скептицизма в отношении эффективности выполнения данной процедуры [2]. В то же время хирургическое удаление копчика — эффективный вариант лечения пациентов с рефрактерными к консервативному лечению симптомами кокцигодинии с частотой благоприятных исходов от 80 до 90% [2, 3].
Показаниями к выполнению кокцигэктомии являются выраженная (изнуряющая) кокцигодиния, в том числе с рентгенологически подтвержденным подвывихом или нестабильностью копчика, а также наличие «спикулы» (остеофита) на кончике неподвижного копчика. Кокцигэктомия может быть выполнена и пациентам с нормальной копчиковой подвижностью при неэффективности консервативных методик лечения, однако результаты при этом менее предсказуемы, чем у пациентов с нестабильностью или гипермобильностью копчика [12].
Цель исследования — оценить клиническую эффективность удаления копчика при посттравматической кокцигодинии и сравнить результаты оперативного вмешательства с данными современной научной литературы.
МАТЕРИАЛЫ И МЕТОДЫ
В исследование были включены 34 пациента, которым было выполнено хирургическое лечение по поводу стойкой посттравматической кокцигодинии в период с 2013 по 2020 г. Критериями исключения являлись наличие воспалительного или онкологического процесса, хронических урогенитальных заболеваний, перенесенные ранее операции на пояснично-крестцовом отделе позвоночника, осложненное течение остеохондроза в виде грыжи межпозвонкового диска с корешковым синдромом и неврологическими расстройствами, идиопатический характер кокцигодинии. Средний возраст пациентов составил 39,8 лет. Преобладали лица женского пола — 28 (80%). Все пациенты перед операцией получали курс консервативного лечения, которое включало: режим, физиотерапевтические процедуры, НПВС и прегабалин, а в ряде случаев — наркотические анальгетики и блокады крестцово-копчиковой области 1 мл лидокаина в комбинации с 1 мл триамцинолона (40 мг) в течение минимум 6 месяцев. Все пациенты не могли сидеть без использования специальной ортопедической подушки. Длительность болевого синдрома составляла от 6 месяцев до 2 лет (в среднем — 7,5 месяцев). У всех пациентов в анамнезе имелась травма копчика.
Предоперационное обследование включало стандартную рентгенографию (в переднезадней и боковой проекциях) и компьютерную томографию крестца и копчика, осмотр гинеколога (для женщин) и уролога (для мужчин), осмотр проктолога, по показаниям — магнитно-резонансную томографию позвоночника с целью исключения грыж межпозвонковых дисков с корешковым синдромом и дермоидных кист копчика. В клинике перед операцией во всех случаях выполняли мануальное исследование, в ходе которого определяли зону наибольшей болезненности при пальпации копчика, а также его подвижность.
Оценку результатов лечения проводили с использованием визуальной аналоговой шкалы боли (ВАШ), вербальной шкалы удовлетворенности операцией и клинического обследования. Удовлетворенность оценивали по 5-балльной шкале: «абсолютно не удовлетворен» — 1 балл, «не удовлетворен» — 2 балла, «сомнительная удовлетворенность» — 3 балла, «удовлетворен» — 4 балла и «полностью удовлетворен» — 5 баллов. Срок наблюдения составил от 1 года до 4 лет, при этом в течение первого года после операции интервал наблюдения составлял 3 месяца. Помимо этого, в каждом случае регистрировали следующие данные: индекс массы тела (ИМТ), продолжительность боли (в месяцах), боль при дефекации, возникновение или усиление интенсивности боли в положении сидя или стоя, а также максимальное время безболезненного сидения (в минутах). При оценке интенсивности болевого синдрома по ВАШ средний показатель до операции составлял 8,5 балла. ИМТ в среднем составил 28,5 кг/м2 (19,6–42,2 кг/м2); у 5 (14,3%) пациентов выявлено ожирение III степени. Неэффективность предшествующего консервативного лечения была отмечена у всех пациентов, при этом 25 (71%) больным выполняли местные блокады с анестетиком и стероидными противовоспалительными препаратами, 10 (29%) — получали до операции опиоидные анальгетики.
Период между дебютом болевого синдрома и операцией варьировался в пределах от 7 до 26 месяцев (в среднем 12,5 месяцев). У 20 пациентов боль возникала через 3–4 мин в положении сидя, у 5 больных боль носила постоянный характер, в том числе ночью. В 6 случаях болевой синдром возникал при переходе из положения сидя в положение стоя, у 4 пациентов — при ходьбе. Более чем у половины (19 пациентов) боль возникала или усиливалась при дефекации.
Показанием к хирургическому лечению являлось сочетание стойкого болевого синдрома в области копчика с его нестабильностью или гипермобильностью; болезненными ощущениями при дефекации при неэффективности консервативного лечения на протяжении нескольких месяцев. Противопоказанием служили значительные отклонения от нормы в психиатрическом статусе, в том числе депрессивные расстройства [12].
Предоперационная подготовка к кокцигэктомии включала ограничения в диете за несколько дней перед операцией, накануне назначали очистительную клизму. Положение пациента на операционном столе — лежа на животе на валиках или на раме Вильсона с согнутыми бедрами и коленями, при этом операционный стол изгибали на уровне талии пациента. В некоторых случаях ягодицы разводили жесткой липкой лентой. Для определения местоположения крестцово-копчикового перехода при необходимости выполняли прицельную рентгенограмму в боковой проекции. Производили срединный продольный разрез, начинающийся несколько выше крестцово-копчикового сустава и доходящий до верхушки копчика с последующим рассечением тканей непосредственно до кости. Далее движениями распатора постепенно производили поднадкостничное выделение копчика. Крестцово-копчиковый диск удаляли или, в случае синостоза при неправильно сросшихся переломах, производили остеотомию на этом уровне. Под прямым визуальным контролем удаляли все нестабильные сегменты копчика. Ложе раны осматривали и тщательно пальпировали для выявления оставшихся фрагментов кости. Конец крестца сглаживали кусачками или фрезой. Производили тщательный гемостаз, плотное послойное ушивание раны для предотвращения формирования полости. По показаниям на сутки устанавливали пассивный дренаж.
РЕЗУЛЬТАТЫ И ИХ ОБСУЖДЕНИЕ
Удаление копчика было выполнено 31 пациенту, в 3 случаях произведена резекция нестабильных фрагментов копчика. Резекцию копчика осуществляли только в случае явной его неподвижности на уровне крестцово-копчикового сочленения.
В послеоперационном периоде в течение 2–3 дней пациенты получали анальгетики и антибактериальные препараты широкого спектра. Продолжительность пребывания в стационаре в среднем составила 5 дней. На всех сроках наблюдения интенсивности болевого синдрома достоверно снижалась. Купирование боли отмечено в 28 (82,4%) случаях, у 6 (17,6%) пациентов зарегистрировано значимое снижение интенсивности болевого синдрома, их беспокоил лишь незначительный дискомфорт после длительного положения сидя. Индекс ВАШ значительно снизился по сравнению с предоперационным показателем (p < 0,001), табл. 1.
Таблица 1. Значения индекса ВАШ в разные сроки после операции, балл
Table 1. Index VAS at different times after the operation, mark
Показатель | Перед операцией | Через 1 месяц | Через 3 месяца | Через 6 месяцев | Результат через год |
Медиана | 6 | 2 | 1 | 1 | 1 |
Интервал | 5–8 | 0–5 | 0–3 | 0–3 | 0–3 |
р | < 0,001 | ||||
В соответствии с вербальной 5-балльной шкалой удовлетворенности 5 (14,7%) пациентов были «удовлетворены» операцией, 28 (82,4%) — «полностью удовлетворены», в одном (2,9%) случае отмечена «сомнительная удовлетворенность» хирургическим вмешательством (табл. 2).
Таблица 2. Результаты удовлетворенности операцией (вербальная 5-балльная шкала)
Table 2. Results of satisfaction from the operation (verbal 5-point scale)
Показатель | Количество пациентов (абс.) | % |
«Абсолютно не удовлетворен» | 0 | 0 |
«Не удовлетворен» | 0 | 0 |
«Сомнительная удовлетворенность» | 1 | 2,9 |
«Удовлетворен» | 5 | 14,7 |
«Полностью удовлетворен» | 28 | 82,4 |
Всего | 34 | 100,0 |
У одной пациентки с избыточной массой тела произошло расхождение краев хирургической раны, что потребовало наложения вторичных швов. Данное осложнение не повлияло на положительную динамику интенсивности болевого синдрома, но удовлетворенность операцией была отмечена, как «сомнительная».
Всем пациентам после операции рекомендовано не сидеть в течение 3 недель, избегать напряжений и натуживаний в течение месяца. Время восстановления нормальной физической активности составило от 21 до 29 дней (24,68 ± 4,32 дня). Все пациенты вернулись к прежней работе в течение 1–1,5 месяцев.
В качестве иллюстрации тактики лечения больных приводим два клинических наблюдения.
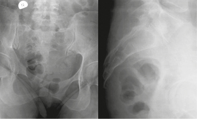
Первое клиническое наблюдение. Пациентка М., 40 лет, находилась на лечении в клинике военной травматологии и ортопедии Военно-медицинской академии им. С.М. Кирова в феврале 2016 г. Анамнез: в октябре 2015 г. получила травму копчика при падении на ягодицы; находилась на стационарном лечении в травматологическом отделении многопрофильной больницы по поводу закрытого оскольчатого перелома копчика, получала консервативную терапию; далее в течение 7 месяцев получала амбулаторное лечение по месту жительства (обезболивающие препараты, физиотерапевтическое лечение) без эффекта. В клинике у больной был выявлен несросшийся неосложненный оскольчатый перелом пятого крестцового (S5) позвонка, первого копчикового сегмента (Co1) с подвывихом копчика и болевым синдромом (рис. 1, 2). Индекс ВАШ — 8 баллов. В связи с длительно сохраняющимся болевым синдромом и неэффективностью консервативного лечения выполнена операция: резекция S5 позвонка, удаление копчика (рис. 3). Послеоперационное течение без осложнений. Пациентка выписана на 5-е сутки после операции. Значения индекса ВАШ составили через 1 месяц 2 балла, в дальнейшем — 1 балл. По шкале удовлетворенности операцией — «полностью удовлетворена».
Рис. 1. Рентгенография крестца и копчика пациентки М. до операции
Fig. 1. X-ray of the sacrum and coccyx of patient M. before surgery
Рис. 2. Компьютерная томография крестца и копчика пациентки М. до операции
Fig. 2. CT of the sacrum and coccyx of patient M. before surgery
Рис. 3. Рентгенография крестца и копчика пациентки М. после операции
Fig. 3. X-ray of the sacrum and coccyx of patient M. after a surgery
Второе клиническое наблюдение. Пациентка Б., 39 лет, находилась на лечении в клинике военной травматологии и ортопедии Военно-медицинской академии им. С.М. Кирова в июне 2019 г. Травму копчика получила 16 месяцев назад, катаясь на «ватрушке». Получала длительное консервативное лечение по поводу кокцигодинии (физиотерапия, анальгетики, блокады) с временным эффектом. По данным лучевого исследования выявлен застарелый подвывих копчика кзади и наличие костной «спикулы», спонтанный «костный блок» на уровне крестцово-копчикового сочленения (рис. 4). При ректальном исследовании обнаружена значительная подвижность копчика, сопровождающаяся выраженной болью. В клинике больной выполнена резекция копчика, послеоперационное течение без осложнений (рис. 5–8). Пациентка выписана на 4-е сутки после операции. Индекс ВАШ через 1 месяц после операции составил 2 балла, а при дальнейшем наблюдении — 1 балл. По шкале удовлетворенности операцией — «полностью удовлетворена».
Рис. 4. Компьютерная томография крестца и копчика пациентки Б. до операции
Fig. 4. CT of the sacrum and coccyx of patient B. before surgery
Рис. 5. Вид операционной раны пациентки Б. перед резекцией копчика
Fig. 5. Intraoperative photograph of the patient B. before resection of coccyx
Рис. 6. Удаленные нестабильные копчиковые сегменты
Fig. 6. Unstable segment of the coccyx after a surgical resection
Рис. 7. Вид операционной раны пациентки Б. после резекции копчика
Fig. 7. Intraoperative photograph of the patient B. after resection of coccyx
Рис.8. Рентгенография крестца и копчика пациентки Б. после операции
Fig. 8. X-ray of the sacrum and coccyx of patient B. after a surgery
Таким образом, кокцигэктомия является эффективной методикой лечения пациентов со стойкой посттравматической кокцигодинией, рефрактерной к консервативному лечению, а полученные результаты сопоставимы с данными большинства публикаций, посвященных хирургическому лечению боли в области копчика [7, 11, 16–18].
Заметим, что в историческом аспекте кокцигодиния впервые описана Дж. Симпсоном в 1859 г. как боль (дискомфорт) в области копчика, усиливающаяся преимущественно в положении сидя [19]. В литературе также часто встречается термин tailbone pain, то есть «боль в копчике».
F. Postacchini и M. Massobrio [9] в зависимости от формы предложили выделять несколько типов копчика (рис. 9): тип I — копчик слегка выгнут вперед, вершина направлена вниз и каудально; тип II — копчик с более выраженной кривизной и обращенной кпереди вершиной; тип III — копчик с очень резким наклоном кпереди; и тип IV — копчик с подвывихом в области крестцово-копчикового сустава или на уровне копкочиковых сегментов.
Рис. 9. Классификация типов копчика по F. Postacchini и M. Massobrio [21]
Fig. 9. Types of coccyx according to F. Postacchini and M. Massobrio [21]
Авторы установили, что в популяции людей преобладают тип I (68%) и тип II (17%). В своем исследовании они также выявили, что у здоровых людей и пациентов, страдающих кокцигодинией, в 83–95% случаев копчик состоял из двух или трех сегментов. Данная классификация больше применима при определении тактики лечения пациентов, страдающих идиопатической кокцигодинией, поскольку травма может значительно изменить взаимоотношения сегментов копчика между собой и крестцом.
Для практикующих хирургов более актуальной является классификация J. Maigne et al. [8], в которой представлены 3 типа патологических изменений в области копчика и крестцово-копчикового сочленения. I тип — это переднее искривление более 25°. II тип — гипермобильный или, вывихнутый, копчик, а III тип — наличие копчиковой «спикулы», небольшого костного выступа (остеофита) на задней поверхности дистального отдела копчика, который может быть четко визуализирован при рентгенологическом исследовании и компьютерной томографии. При II и III типах в большинстве случаев предпочтение отдают хирургическому лечению [8]. В нашем исследовании у пациентов с посттравматической кокцигодинией наиболее часто (85% наблюдений) встретился II тип копчика по J. Maigne.
На сегодняшний день частота кокцигодинии не установлена. Известно, что среди пациентов, страдающих болью в нижней части спины, она выявляется менее чем в 1% случаев [20]. К факторам, связанным с увеличением риска развития кокцигодинии, относят ожирение и травмы [4]. Заболевание встречается у женщин в 5 раз чаще, чем у мужчин, преимущественно в молодом и среднем возрасте [21].
Болевой синдром при посттравматической кокцигодинии большинство авторов связывают с хронической сегментарной нестабильностью копчика, раздражением прямой кишки смещенными фрагментами, организацией гематомы с включением в рубцовый процесс околокопчиковых нервных сплетений, деформирующими изменениями сочленений копчика, в том числе с формированием костных остеофитов [16, 18].
Копчиковая «спикула» (небольшой остеофит на задней поверхности копчика) считается рентгенологическим признаком, служащим дополнительным показанием к хирургическому вмешательству при стойкой кокцигодинии [22].
На сегодняшний день из-за скудной освещенности в литературе ни одну из описанных методик консервативного лечения кокцидинии нельзя рекомендовать, как наиболее эффективную [1]. P.D. Howard et al. [23] в систематическом обзоре литературы за десятилетний период, с июня 2002 по июль 2012 г., обнаружили 7 работ (в том числе 2 рандомизированных исследования), в которых авторы на основании анализа значительного числа клинических случаев (260) не смогли определить однозначную тактику лечения кокцигодинии и рекомендовали продолжить исследования.
S.S. Emerson et al. [5] причиной развития кокцидинии считали поясничную радикулопатию и соматическую дисфункцию поясничных и крестцовых позвонков. Хороший результат лечения авторы отметили после проведения курса эпидуральных инъекций и манипуляций с копчиком под анестезией в сочетании с остеопатической мобилизацией пояснично-крестцового отдела позвоночника. В исследовании R. Mitra [24] был произведен анализ результатов копчиковых блокад триамцинолона ацетата и 1% лидокаина (80 мг и 2 мг соответственно) под рентгеноскопическим контролем 14 пациентам. Было установлено, что после выполнения блокады только у 50% пациентов наблюдалось снижение интенсивности боли на срок до 6 месяцев.
В достаточно большом числе публикаций последнего времени показано, что хирургическое лечение является эффективным у пациентов со стойкой кокцигодинией, рефрактерной к консервативному лечению [11, 17, 18].
Считается, что первым кокцигэктомию выполнил Пети (Jean Louise Petit) в 1726 г. [7]. На сегодняшний день в литературе описаны две основные методики оперативных вмешательств при удалении копчика. Наиболее популярной из них является процедура, описанная Кей в 1937 г. [25], при которой копчик удаляется последовательно в каудальном направлении, начиная от крестцово-копчикового сочленения. R.C. Gardner [26] предложил с целью кокцигэктомии выполнять мобилизацию прямой кишки с выделением копчика, после чего его резекцию осуществлять в противоположном (каудо-краниальном) направлении (ретроградно). На сегодняшний день установлено, что при выполнении кокцигэктомии по методике Кей, частота благоприятных исходов выше [7, 17, 27].
В 2006 г. L.M. Dean et al. [28] сообщили о хороших результатах лечения кокцигодинии после переломо-вывихов копчика по методике, аналогичной вертебропластике или сакропластике. Процедура, которую авторы назвали кокцигеопластикой, обспечивает купирование болевого синдрома и заключается в введении костного цемента внутрь крестца и тела сломанного копчикового позвонка [27–29].
Альтернативой кокцигэктомии при хирургическом лечении кокцигодинии является резекция копчика. F. Postacchini [9] не выявил разницы в исходах лечения после применения обеих методик. Тем не менее A. Antoniadis, N.H. Ulrich, H. Senyurt [16] продемонстрировали лучшие послеоперационные результаты после кокцигэктомии. A. Ramieri et al. [7]. также потвердили, что удаление копчика обладает преимуществами по сравнению с резекцией, которую следует выполнять только в исключительных случаях.
ВЫВОДЫ
- Диагностика кокцигодинии, помимо клинического обследования, должна включать лучевые методики исследования — стандартную и динамическую рентгенографию, компьютерную томографию крестца и копчика, а также, по показаниям, магнитно-резонансную томографию.
- Хирургическое лечение при кокцигодинии показано пациентам с выраженным болевым синдромом при гипермобильности/нестабильности или подвывихе копчика. В случаях, когда стоит выбор: выполнять полное или частичное удаление копчика, — предпочтение следует отдавать коцигэктомии.
- У пациентов со стойкой посттравматической кокцигодинией удаление копчика позволяет в большинстве (95%) случаев достигнуть благоприятного исхода лечения, включающего купирование болевого синдрома, удовлетворенность пациента результатом операции и его возвращение к прежней физической активности.
About the authors
Vladimir V. Khominets
Military Medical Academy named after S.M. Kirov of the Ministry of Defense of the Russian Federation
Email: khominetz_62@mail.ru
ORCID iD: 0000-0001-9391-3316
SPIN-code: 5174-4433
Scopus Author ID: 6504618617
doctor of medical sciences, professor
Russian Federation, Saint PetersburgEvgeniy B. Nagorny
Military Medical Academy named after S.M. Kirov of the Ministry of Defense of the Russian Federation
Email: polartravma@rambler.ru
ORCID iD: 0000-0003-2132-4429
SPIN-code: 8732-8180
candidate of medical sciences
Russian Federation, Saint PetersburgKonstantin A. Nadulich
Military Medical Academy named after S.M. Kirov of the Ministry of Defense of the Russian Federation
Email: knadulich@rambler.ru
SPIN-code: 3785-5104
candidate of medical sciences
Russian Federation, Saint PetersburgAndrey V. Teremshonok
Military Medical Academy named after S.M. Kirov of the Ministry of Defense of the Russian Federation
Author for correspondence.
Email: teremshonok@rambler.ru
ORCID iD: 0000-0001-6252-0114
SPIN-code: 8354-7674
candidate of medical sciences, associate professor
Russian Federation, Saint PetersburgAlexey L. Kudyashev
Military Medical Academy named after S.M. Kirov of the Ministry of Defense of the Russian Federation
Email: a.kudyashev@gmail.com
ORCID iD: 0000-0002-8561-2289
SPIN-code: 6138-0950
doctor of medical sciences, associate professor
Russian Federation, Saint PetersburgAlexander A. Strelba
Military Medical Academy named after S.M. Kirov of the Ministry of Defense of the Russian Federation
Email: alexstrelba@gmail.com
SPIN-code: 5911-1960
Russian Federation, Saint Petersburg
References
- Dharmshaktu GS, Adhikari N, Singh B. Coccydynia: A lean topical review of recent updates on physical therapy and surgical treatment in the last 15 years. J Orthop Dis Traumatol. 2019;2(3):44–48. doi: 10.4103/JODP.JODP_18_19
- Kleimeyer JP, Wood KB, Lønne G, et al. Surgery for Refractory Coccygodynia: Operative Versus Nonoperative Treatment. Spine (Phila Pa 1976). 2017;42(16):1214–1219. doi: 10.1097/BRS.0000000000002053
- Galhom A, Al-Shatouri M, El-Fadl S. Evaluation and management of chronic coccygodynia: Fluoroscopic guided injection, local injection, conservative therapy and surgery in non-oncological pain. The Egyptian Journal of Radiology and Nuclear Medicine. 2015;46(4):1049–1055. doi: 10.1016/j.ejrnm.2015.08.010
- Lirette LS, Chaiban G, Tolba R, Eissa H. Coccydynia: an overview of the anatomy, etiology, and treatment of coccyx pain. Ochsner J. 2014 Spring;14(1):84–87.
- Emerson SS, Speece AJ3rd. Manipulation of the coccyx with anesthesia for the management of coccydynia. J Am Osteopath Assoc. 2012;112(12):805–807.
- Olemoko PL, Mulbah R. Coccygectomy for chronic, symptomatic coccygeal dislocation: case report. East African Orthopaedic Journal. 2017;11(2):73–76.
- Ramieri A, Domenicucci M, Cellocco P, et al. Acute traumatic instability of the coccyx: Results in 28 consecutive coccygectomies. Eur Spine J. 2013;22(6):S939–S944. doi: 10.1007/s00586-013-3010-3
- Maigne JY, Tamalet B. Standardized radiologic protocol for the study of common coccygodynia and characteristics of the lesions observed in the sitting position. Clinical elements differentiating luxation, hypermobility, and normal mobility. Spine. 1996;21(22):2588–2593. doi: 10.1097/00007632-199611150-00008.
- Postacchini F, Massobrio M. Idiopathic coccygodynia: analysis of fifty-one operative cases and a radiographic study of the normal coccyx. J Bone Joint Surg Am. 1983;65(8):1116–1124. doi: 10.2106/00004623-198365080-00011
- Shams A, Gamal O, Mesregah MK. Sacrococcygeal Morphologic and Morphometric Risk Factors for Idiopathic Coccydynia: A Magnetic Resonance Imaging Study. Global Spine J. 2021:2192568221993791. doi: 10.1177/2192568221993791
- Dave BR, Bang PB, Degulmadi D, et al. A clinical and radiological study of nontraumatic coccygodynia in Indian population. Indian Spine J. 2019;2(2):128–133. doi: 10.4103/isj.isj_15_18
- Fogel GR, Cunningham PY3rd, Esses SI. Coccygodynia: evaluation and management. J Am Acad Orthop Surg. 2004;12(1):49–54. doi: 10.5435/00124635-200401000-00007
- Ozkal B, Avnioglu S, Candan B. Morphometric evaluation of coccyx in patients with coccydynia and classification. Acta Med Alanya. 2020;4(1):61–67. doi: 10.30565/medalanya.636497
- Gunduz OH, Sencan S, Kenis-Coskun O. Pain relief due to transsacrococcygeal ganglion impar block in chronic coccygodynia: a pilot study. Pain Med. 2015;16:1278–1281. doi: 10.1111/pme.12752
- Gonnade N, Mehta N, Khera PS, et al. Ganglion impar block in patients with chronic coccydynia. Indian J Radiol Imaging. 2017;27:324–328. doi: 10.4103/ijri.IJRI_294_16
- Antoniadis A, Ulrich NH, Senyurt H. Coccygectomy as a surgical option in the treatment of chronic traumatic coccygodynia: a single-center experience and literature review. Asian Spine J. 2014;8(6):705–710. doi: 10.4184/asj.2014.8.6.705
- Sarmast AH, Kirmani AR, Bhat AR. Coccygectomy for Coccygodynia: A Single Center Experience Over 5 Years. Asian J Neurosurg. 2018;13(2):277–282. doi: 10.4103/1793-5482.228568
- Soliman AY, Abou El-Nagaa BF. Coccygectomy for refractory coccydynia: A single-center experience. Interdisciplinary Neurosurgery. 2020;21:100735. doi: 10.1016/j.inat.2020.100735
- Simpson J. Clinical lectures on the diseases of women. Lecture XVII: coccydynia and diseases and deformities of the coccyx. Med Times Gaz. 1859;40:1–7.
- Hofstetter CP, Brecker C, Wang MY. Cocygectomy: current views and controversies. Contemp Spine Surg. 2015;16:1–8. doi: 10.1097/01.CSS.0000462791.73066.41
- Patel R, Anoop A, Peter GW. Coccydynia. Curr Review Musculoskel Med. 2008;1(3–4):223–226. doi: 10.1007/s12178-008-9028-1
- Maigne Y, Pigeau I, Roger B. Magnetic resonance imagingfindings in the painfuladult coccyx. Eur Spine J. 2012;21(10):2097–2104. doi: 10.1007/s00586-012-2202-6
- Howard PD, Dolan AN, Falco AN, et al. A comparison of conservative interventions and their effectiveness for coccydynia: A systematic review. J Man Manip Ther. 2013;21:213–219. doi: 10.1179/2042618613Y.0000000040
- Mitra R, Cheung L, Perry P. Efficacy of fluoroscopically guided steroid injections in the management of coccydynia. Pain Physician. 2007;10:775–778. doi: 10.36076/ppj.2007/10/775
- Key A. Operative treatment of coccygodynia. J Bone Joint Surg. 1937;19:759–764.
- Gardner RC. An improved technique of coccygectomy. Clin Orthop. 1972;85:143–145. doi: 10.1097/00003086-197206000-00025
- Akar E, Koban O, Öğrenci A, et al. Polymethylmetacrylate Cement Augmentation of the Coccyx (Coccygeoplasty) for Fracture: A Case Report. Balkan Med J. 2020;37(6):348–350. doi: 10.4274/balkanmedj.galenos.2020.2020.4.68
- Dean LM, Syed MI, Jan SA, et al. Coccygeoplasty: Treatment for fractures of the coccyx. J Vasc Interv Radiol. 2006;17:909–912. doi: 10.1097/01.RVI.0000217953.74013.87
- Mahmood B, Pasternack J, Razi A, Saleh A. Safety and efficacy of percutaneous sacroplasty for treatment of sacral insufficiency fractures: a systematic review. J Spine Surg. 2019;5:365–371. doi: 10.21037/jss.2019.06.05
Supplementary files











