Genetic polymorphisms of catalase (rs7943316), glutathione peroxidase-1 (rs1050450), and transferrin (rs8177178) in keratoconus on a limited group of Russian patients
- Authors: Solovev A.I.1, Churashov S.V.1, Kulikov A.N.1, Buleev A.V.2, Krutikova A.A.2, Arukov A.R.3, Kravtsov V.Y.1
- 
							Affiliations: 
							- Military medical academy of S.M. Kirov
- All-Russian Research Institute of Genetics and Farm Animal Breeding
- \Military medical academy of S.M. Kirov
 
- Issue: Vol 24, No 1 (2022)
- Pages: 17-24
- Section: Original Study Article
- Submitted: 04.01.2022
- Accepted: 31.01.2022
- Published: 20.04.2022
- URL: https://journals.eco-vector.com/1682-7392/article/view/95944
- DOI: https://doi.org/10.17816/brmma95944
- ID: 95944
Cite item
Abstract
A pilot study of the association of single nucleotide polymorphisms in catalase (rs7943316), glutathione peroxidase-1 (rs1050450), and transferrin (rs8177178) genes with the risk of keratoconus development was conducted in a sample of Russian patients. Genotyping was performed by analyzing the polymorphism of the lengths of restriction fragments using a polymerase chain reaction. Venous blood samples from 25 patients with keratoconus treated at the Ophthalmology Clinic of the Kirov Military medical Academy in 2019 and 2020 were examined. The control group included 20 patients who had no clinical signs of keratoconus. The effect of the single nucleotide polymorphism rs7943316 of the catalase gene on the risk of keratoconus development has not been established. The T allele of the glutathione peroxidase-1 gene containing the rs1050450 polymorphism slightly increases the risk of keratoconus compared with the C allele (odds ratio = 1.91; 95% confidence interval = 0.75–4.85; p = 0.17). A moderate association of the A allele of the transferrin gene containing rs8177178 polymorphism with the occurrence of keratoconus and an increase in the incidence of the disease associated with the AG genotype was revealed (odds ratio = 5.67; 95% confidence interval = 1.07–30; p = 0.12). Thus, when examining a limited sample of Russian patients with keratoconus, it was not possible to identify a link between the disease and single nucleotide polymorphisms of catalase rs7943316 and glutathione peroxidase-1 rs1050450. The relationship between the polymorphism of the transferrin rs8177178 gene (allele A and genotype AG) and the risk of keratoconus development was weak and not significant. Thus, expanding the study sample and further studying the polymorphisms of the transferrin gene that affect the structure of the enzyme and reduce the effectiveness of antioxidant protection of the cornea were recommended.
Full Text
BACKGROUND
Keratoconus (KC) is a genetically determined disease associated with corneal dystrophy, corneal thinning and stretching, followed by a cone-shaped protrusion, clouding, and scarring, which results in a significant decrease in visual acuity and often disability. The incidence ranges from 4 to 600 cases per 100,000 populations, depending on the geographic region [1, 2]. The treatment of KC is long and complicated. Thus, high-tech surgical techniques are used, such as cross-linking, implantation of stromal rings, and keratoplasty in various modifications, which prevent further progression of clinical signs without eliminating the cause [3, 4]. Moreover, the prognosis of the subsequent development of symptoms often remains uncertain [5, 6].
Oxidative stress is considered one of the major mechanisms of KC pathogenesis. This process can develop in the structures of the cornea following a hereditary failure of enzymes to provide antioxidant protection and regulate other mechanisms of natural detoxification. Among genetic factors associated with KC development, single nucleotide polymorphisms (SNPs) of genes such as catalase (CAT), glutathione peroxidase-1 (GPX-1), and transferrin (TF) have been studied [7].
Catalase is a common enzyme contained in cellular peroxisomes. This enzyme is a tetramer with a molecular mass of approximately 240 kDa with four heme groups per tetramer [8, 9]. Catalase deficiency can cause elevated concentrations of hydrogen peroxide and increase the risk of oxidative stress [10]. CAT is located at the locus of chromosome 11p13 and includes 13 exons. The polymorphism rs7943316 (A/T), localized in the promoter region, is the most studied [11].
GPX-1 is a selenium-containing enzyme that is an intracellular antioxidant and protects the body from oxidative damage. GPX-1 is located on chromosome 3p21.3 [12, 13]. The polymorphism rs1050450 (C > T), which changes the amino acid proline (PRO) to leucine (LEU) at position 197, has the most clinically confirmed significance among SNP mutations of this gene. The mutant allele of this gene is associated with a reduced ability to absorb reactive oxygen species (ROS).
TF belongs to antioxidant defense enzymes and is a glycosylated protein that provides iron homeostasis in cells. By removing iron ions beyond the cell wall, TF controls their involvement in the induction of oxidative stress. TF is located in the region of the third chromosome 3q21. Multiple mutations in TF determine the pronounced ethnic polymorphism of the protein it encodes [14]. The rs8177178 (G > A) polymorphism is most associated with KC development in the European population.
To the best of our knowledge, no studies have comprehensively examined the role of polymorphisms of antioxidant defense genes in Russian patients with KC. In this regard, this study aimed to assess the influence of CAT rs7943316 A/T, GPX-1 rs1050450 C/T, and TF rs8177178 (G > A) polymorphisms in patients with KC in a sample of the population in the European part of Russia. These polymorphisms may alter the antioxidant capacity of enzymes, resulting in synergistic effects on KC caused by oxidative damage.
In Central Asians, the AA genotype and A rs7943316 A/T allele in CAT reduce significantly the KC risk. In addition, the GPX-1 rs1050450 C/T T allele is associated with increased KC risk. Genetic variations in antioxidant defenses may reduce antioxidant capacity or increase oxidative stress and alter the risk of KC. SNPs and gene variants suggest a complex etiology or convergence of multiple disease pathways. An increase in oxidative stress from SNPs in specific antioxidant enzymes is possibly associated with the disease [15].
The study aimed to analyze the association of SNPs in CAT (rs7943316), GPX-1 (rs1050450), and TF (rs8177178) with KC risk in a sample of the Russian population.
MATERIALS AND METHODS
This study examined 25 patients diagnosed with KC (23 men and 2 women aged 21–49 years; mean age, 27.76 ± 1.75 years) who were treated at the Ophthalmology Clinic of the S.M. Kirov Military Medical Academy in 2019 and 2020. The control group included 20 healthy individuals without this pathology (6 men and 14 women aged 23–40 years; mean age, 24.9 ± 0.6 years). All patients examined represented a sample of the population of the European part of Russia.
The study was conducted in accordance with Good Clinical Practice standards and the principles of the Declaration of Helsinki [16, 17]. The study protocol was approved by the Ethics Committee of the S.M. Kirov Military Medical Academy. Written informed consent was obtained from all participants before their enrollment in the study. KC was diagnosed based on objective examination data in accordance with generally accepted criteria [18].
Corneal thickness was determined by corneal topography using Pentacam (Oculus, USA). The measurement results were evaluated in the pupil center projection.
The study material was venous blood in test tubes with ethylenediaminetetraacetic acid. Blood samples taken from patients upon their admission for inpatient treatment were used. Deoxyribonucleic acid (DNA) was isolated from blood samples by the standard phenol-chloroform method using Proteinase K. Cellular debris-containing DNA was obtained by centrifuging 2 mL of venous blood (5000 rpm, 15 min). The supernatant was decanted, and 1 mL of N-[tris(hydroxymethyl)methyl]-2-aminoethanesulfonic acid buffer (TES buffer) was added, mixed, and centrifuged again. This procedure was repeated twice. The resulting material was diluted in 1 mL of TES buffer and 10 µL of Proteinase K (20 mg/mL) was added. After resuspension, 25 µL of 10% sodium dodecyl sulfate was added to each sample to a concentration of 0.5% in solution. After incubation at a temperature of 58℃ for 2 h, 0.5 mL of phenol (pH = 8) was added to the samples, mixed on a rotator for 10 min, and centrifuged (10,000 rpm for 10 min). The supernatant was collected into test tubes, each of which was added with 30 µL of NaCl and 1 mL of 96% ethanol, and vigorously mixed. After centrifugation (10,000 rpm for 5 min), the precipitate was used, adding 1 mL of 70% ethanol to it. It was mixed again and centrifuged (10,000 rpm for 5 min). For complete evaporation of alcohol, open test tubes with samples were incubated for 20 min. The precipitate containing the isolated DNA was diluted with TE buffer (50–300 µL of the buffer according to the amount of isolated DNA) and dissolved on a rotator for 24 h. The isolated DNA was qualitatively and quantitatively assessed using a NanoDrop 2000 spectrophotometer by Thermo Fisher Scientific (MA, USA) and subsequently stored at −20°C.
Genotyping was performed by analyzing the restriction fragment length polymorphism. During the amplification, the reaction mixture for the polymerase chain reaction included 6 µL of deionized water, 2 µL of fivefold Taq Red buffer (Evrogen, Russia), 1.2 µL of 2.5 mM dNTPs (Evrogen, (Russia), 0.1 µL of 20 µM forward and reverse primers each (Table 1), 0.2 µL of 1 U Taq-DNA polymerase (SibEnzim, Russia), and 0.4 µL of isolated DNA matrix. In this study, the C1000 amplifier (BioRad, USA) was used. Amplification was performed under 95°C for 5 min for initial denaturation, 95 °C for 20 s for basic denaturation, primer annealing was performed at Tm °С for 20 s, elongation was performed for 20 s at 72 °С, and final elongation was performed at 72 °C for 5 min. Stages 2–4 were repeated cyclically 35 times.
Table 1. Characteristics of the primers used
Таблица 1. Характеристика использованных праймеров
| Gene/polymorphism | Primer (forward/reverse) | Tm* (°C)/amplification product, bp | 
| CAT rs7943316 — A/T | 5-CTTCCAATCTTGGCCTGCCTAG-3 5-CCGCTTTCTAAACGGACCTTCG-3 | 95/312 | 
| GPX-1 rs1050450 — C/T | 5-TTATGACCGACCCCAAGCTC-3 5-GACACCCGGCACTTTATTAGTG-3 | 95/349 | 
| TF-2 rs8177179 — A > G | 5-AGCTGTATGTGTGCATGCTGCTC-3 5- GGGCCAATTCACACATTCAAT-3 | 60,5/472 | 
Note: * — Tm primer annealing temperature; bp — base pair.
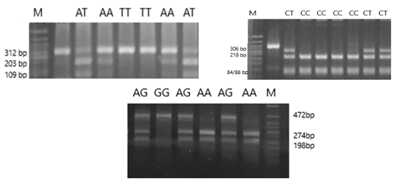
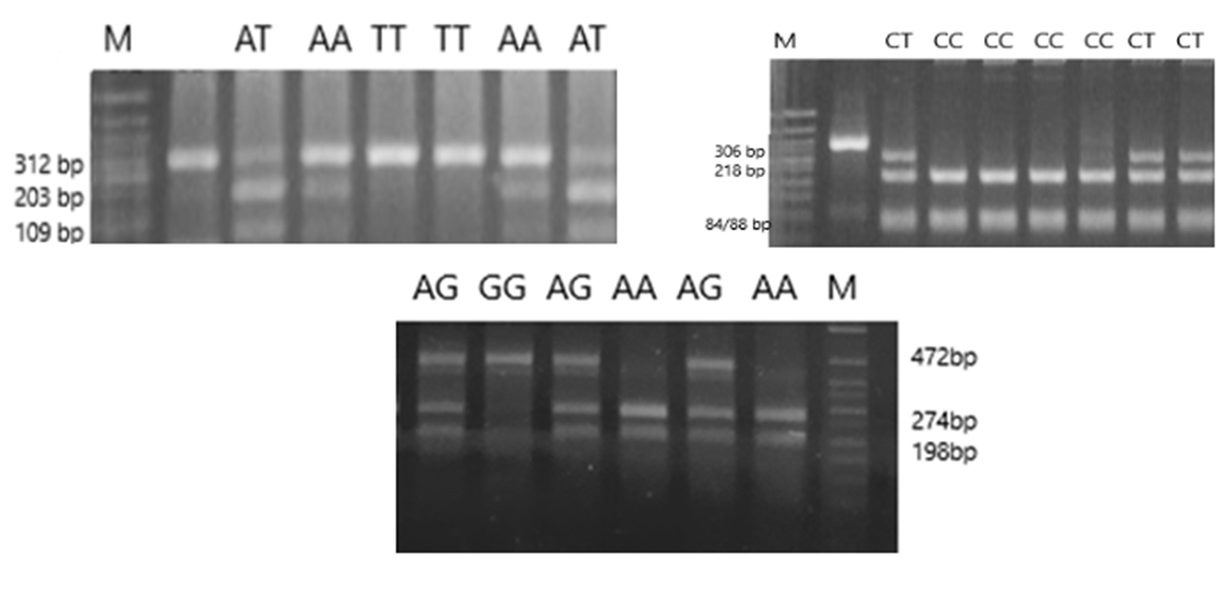
SNP mutations in the material obtained after amplification were detected using restriction endonucleases matched to the nucleotide sequences of mutation points. Moreover, 2–5 units of enzyme activity were added to the samples and incubated. The fragments formed as a result of restriction were separated by electrophoresis on a 2% agarose gel using a Sub-Cell GT electrophoretic chamber from BioRad (USA). We used LE agarose from Thermo Fisher Scientific (USA) diluted in TBS buffer and added with ethidium bromide (biotechnology grade). The size of DNA restriction fragments was assessed using standard DNA length markers (100 bp and 50+ bp DNA ladder). The results of electrophoresis were recorded using an ECX-20M transilluminator (Vilber Lourmat, France). The results were recorded using the gel documentation system (Fig. 1).
Fig. Electrophoresis schemes for SNP detection and genotype identification in CAT, GPX-1, and TF genes: a — CAT rs7943316; AT genotype — 109, 203, and 312 bp bands; AA genotype — 203 and 312 bp bands; AA genotype — 203 and 312 bp bands; TT genotype — 312 bp band; b — GPX-1 rs1050450; CT genotype — 84/88, 218, and 306 bp; CC — 84/88 and 218bp; c — TF rs7943316; AG — 472/274/198 bp; AA — 274/198 bp; GG — 472 bp; М — DNA marker (100 bp). SNP — single nucleotide polymorphism; GPX-1 — glutathione peroxidase-1, CAT — catalase; TF — transferrin
Based on the data obtained (number and size of restriction fragments), the genotype of the examined patients was determined (Table 2).
Table 2. Restriction analysis conditions and interpretation of results
Таблица 2. Условия проведения рестрикционного анализа и интерпретация результатов
| Gene/polymorphism | Endonuclease and incubation conditions, °С/h | Genotype: restriction fragments, bp | 
| CAT rs7943316 — A/T | Hinf I 37/3 | АА: 203, 312; АТ: 109, 203, 312; ТТ: 312 | 
| GPX-1 rs1050450 — C/T | Apa I 37/3 | CС: 84, 88, 218; СТ: 84, 88, 218, 306; ТТ: 84, 306 | 
| TF-2 rs8177179 — A > G | BssТ1 I 60/3 | AA: 274, 198; AG: 472, 274, 198; GG: 472 | 
Comparison of quantitative variants between groups was assessed using Student’s t-test. Allele and genotype frequencies were analyzed using chi-square and Fisher’s exact test. Odds ratios (OR) and 95% confidence intervals (CI) were also evaluated, and p less than 0.05 was considered statistically significant.
RESULTS AND DISCUSSION
The mean values of corneal thickness in patients with KC were significantly lower than those in healthy individuals (470.5 ± 4.9 μm and 533.7 ± 3.6 μm, respectively; p < 0.05).
The frequency distributions of CAT rs7943316 genotypes A/T in patients with KC were 40% of TT, 52% of TA, and 8% of AA, whereas among healthy people, these were 35% of TT, 55% of TA, and 2.7% of AA. A significant association of this SNP with KC development was not found. None of the alleles (A and T) was significant in reducing KC risk (OR = 0.78; 95% CI = 0.33–1.88, p = 0.59) (Table 3).
Table 3. Genotypes and alleles of the CAT, GPX-1, and TF genes among patients with keratoconus and healthy individuals
Таблица 3. Генотипы и аллельное распределение в генах CAT, GPX-1 и TF среди больных кератоконусом и здоровых
| Variant | Patients, n (%) | Control group, n (%) | OR (95% CI) | p* | Bond strength ** | 
| rs7943316, CAT | |||||
| TT | 10 (40) | 7 (35) | 1.78 (0.36–4.18) | 0.73 | Insignificant | 
| TA | 13 (52) | 11 (55) | 0.88 (0.27–2.88) | 0.84 | Insignificant | 
| AA | 2 (8) | 2 (10) | 0.78 (0.10–6.10) | 0.86 | Insignificant | 
| Allele T | 34 (68) | 25 (62.5) | 0.78 (0.33–1.88) | 0.59 | Insignificant | 
| Allele A | 16 (32) | 15 (37.5) | |||
| rs1050450, GPX-1 | |||||
| CC | 14 (56) | 6 (30) | 2.97 (0.86–10.3) | 0.47 | Insignificant | 
| CT | 11 (44) | 14 (70) | |||
| TT | 0 (0) | 0 (0) | – | – | – | 
| Allele C | 39 (78) | 26 (65) | 1.91 (0.75–4.85) | 0.17 | Weak | 
| Allele T | 11 (22) | 14 (35) | |||
| rs8177179, TF | |||||
| АА | 5 (20) | 8 (40) | 0.34 (0.09–1.31) | 0.11 | Medium | 
| AG | 10 (40) | 2 (10) | 5.67 (1.07–30.0) | 0.12 | Medium | 
| GG | 10 (40) | 10 (50) | 0.74 (0.22–2.47) | 0.62 | Insignificant | 
| Allele A | 20 | 24 | 0.44 (0.19–1.04) | 0.06 | Weak | 
| Allele G | 30 | 16 | |||
Note: * — significance level χ2; **— based on the φ-criterion.
Frequency distributions of CC and CT genotypes of GPX-1 rs1050450 C/T polymorphism were 56% and 44% in patients with KC and 30% and 70% in healthy individuals, respectively. The T allele was weakly associated with KC and slightly increased the risk of KC compared with the C allele; however, the reliability of these indicators was insufficient to regard them as significant (OR = 1.91; 95% CI = 0.75–4.85; p = 0.17).
The distribution of genotypes and alleles of TF rs8177179 in patients with KC was 20% of AA, 40% of AG, and 40% of GG, whereas in the control group, these were 40%, 10%, and 50%, respectively. The presence of the A allele in the genotype increased the incidence of KC, whereas the G allele decreased it. The incidence of KC associated with the AG genotype of the rs8177179 polymorphism increased (OR = 5.67, 95% CI = 1.07–30.00; p = 0.12). No correlation was detected between the GG genotype and the incidence of KC (OR = 0.74, 95% CI = 0.22–2.47, p = 0.62).
In general, our results did not reveal an association between KC and any of the genotypes and alleles of CAT rs7943316 A/T. An analysis of the frequency distribution of the genotypes of GPX-1 rs1050450 C/T showed a weak relationship between the T allele and KC, and its presence in the genotype increased the relative risk of occurrence of clinical signs. No significant relationship was found between KC and gene mutations of antioxidant enzymes CAT and GPX-1 because ultraviolet radiation, being the cause of the appearance of ROS, is insignificant in the pathogenesis of KC as an etiological factor in the European part of Russia. However, the small number of cases does not give grounds for making unambiguous statements.
TF can provide antioxidant protection for the structural elements of the cornea. Variations in TF may contribute to an increase in the level of unbound iron, which leads to oxidative damage and KC development [19]. In some European populations, specifically in a sample of the population of Central and Eastern Poland, the A/A genotype and A allele of the g.3296G > A polymorphism of TF were associated with an increase in the incidence of KC [20]. A weak and moderate correlation was found between TF rs8177179 and KC development among the examined patients. An insignificant increase in the incidence of KC was noted in heterozygous patients (AG genotype). The risk of clinical manifestations had a slight upward trend in the presence of the A allele of the rs8177179 polymorphism, however without statistical significance.
CONCLUSION
The results obtained comprise preliminary data on the relationship between KC development and polymorphisms of genes for antioxidant defense enzymes in the Russian population. However, they have certain limitations. For example, only one polymorphism of each KC-associated gene has been considered, and different ethnic groups have not been examined.
Our data suggest that etiological factors in the KC pathogenesis for the Russian population may be more similar to that for the European population than for the Central Asian population. This assumption requires further studies involving representatives of various ethnic groups and nationalities. A more detailed study of TF polymorphisms (particularly rs8177178), which can modulate KC risk by changing iron homeostasis and inducing oxidative stress, is warranted.
About the authors
Alexey I. Solovev
Military medical academy of S.M. Kirov
														Email: solopiter@gmail.com
				                	ORCID iD: 0000-0002-3731-1756
				                	SPIN-code: 2502-8831
																		                								
doctor of medical sciences, professor
Russian Federation, Saint PetersburgSergey V. Churashov
Military medical academy of S.M. Kirov
							Author for correspondence.
							Email: Churashoff@mail.ru
				                	ORCID iD: 0000-0003-1197-9237
				                																			                								
doctor of medical sciences, professor
Russian Federation, Saint PetersburgAlexey N. Kulikov
Military medical academy of S.M. Kirov
														Email: alexey.kulikov@mail.ru
				                	ORCID iD: 0000-0002-5274-6993
				                																			                								
doctor of medical sciences, professor
Russian Federation, Saint PetersburgAdrian V. Buleev
All-Russian Research Institute of Genetics and Farm Animal Breeding
														Email: adlerpro2008@gmail.com
				                					                																			                								
graduate student
Russian Federation, Saint PetersburgAnna A. Krutikova
All-Russian Research Institute of Genetics and Farm Animal Breeding
														Email: anntim2575@mail.ru
				                	ORCID iD: 0000-0003-2561-145X
				                																			                								
candidate of biological sciences, senior researcher
Russian Federation, Saint PetersburgArtem R. Arukov
\Military medical academy of S.M. Kirov
														Email: arukov.artem@yandex.ru
				                	ORCID iD: 0000-0001-8774-5467
				                																			                								
graduate student
Russian Federation, Saint PetersburgViacheslav Y. Kravtsov
Military medical academy of S.M. Kirov
														Email: kvyspb@rambler.ru
				                	ORCID iD: 0000-0003-3910-5160
				                																			                								
doctor of biological sciences, professor
Russian Federation, Saint PetersburgReferences
- Rabinowitz YS. Keratoconus. Surv Ophthalmol. 1998;42(4):297–319. doi: 10.1016/s0039-6257(97)00119-7
- Bikbov MM, Usubov EL, Oganisyan KK, et al. Genetic aspects of keratoconus development. Russian Journal of Genetics. 2017;53(5):517–525. (In Russ.). doi: 10.7868/S0016675817040026
- Skorodumova LO, Belodedova AV, Sharova EI, Malyugin BE. Search for genetic markers for precise diagnostics of keratoconus. Biomeditsinskaya khimiya. 2019;65(1):9–20. (In Russ.). doi: 10.7868/S0016675817040026
- Abu-Amero KK, Al-Muammar AM, Kondkar AA. Genetics of keratoconus: where do we stand? J Ophthalmol. 2014;2014:641708. doi: 10.1155/2014/641708
- Gordon-Shaag A, Millodot M, Shneor E, Liu Y. The genetic and environmental factors for keratoconus. Biomed Res Int. 2015;2015:795738. doi: 10.1155/2015/795738
- Chang H-Y, Chodosh J. The genetics of keratoconus. Semin Ophthalmol. 2013;28(5-6):275–280. doi: 10.3109/08820538.2013.825295
- Solovev AI, Kulicov AN, Churashov SV, et al. Genetic epidemiology of hereditary predisposition to keratoconus. Pacific Medical Journal. 2021;(3):11–16. (In Russ.). doi: 10.34215/1609-1175-2021-3-11-16
- Kirkman HN, Gaetani GF. Catalase: a tetrameric enzyme with four tightly bound molecules of NADPH. Proc Natl Acad Sci USA. 1984;81(14):4343–4347. doi: 10.1073/pnas.81.14.4343
- Sabet EE, Salehi Z, Khodayari S, et al. Polymorphisms of glutathione peroxidase 1 (GPX1 Pro198Leu) and catalase (CAT C-262T) in women with spontaneous abortion. Syst Biol Reprod Med. 2014;60(5):304–307. doi: 10.3109/19396368.2014.892651
- Vitai M, Fátrai S, Rass P, et al. Simple PCR heteroduplex, SSCP mutation screening methods for the detection of novel catalase mutations in Hungarian patients with type 2 diabetes mellitus. Clin Chem Lab Med. 2005;43(12):1346–1350. doi: 10.1515/CCLM.2005.230
- Flekac M, Skrha J, Hilgertova J, et al. Gene polymorphisms of superoxide dismutases and catalase in diabetes mellitus. BMC Med Genet. 2008;2008(9):30. doi: 10.1186/1471-2350-9-30
- Crawford A, Fassett RG, Geraghty DP, et al. Relationships between single nucleotide polymorphisms of antioxidant enzymes and disease. Gene. 2012;501(2):89–103. doi: 10.1016/j.gene.2012.04.011
- Nemoto M, Nishimura R, Sasaki T, et al. Genetic association of glutathione peroxidase-1 with coronary artery calcification in type 2 diabetes: a case control study with multi-slice computed tomography. Cardiovasc Diabetol. 2007;2007(6):23. doi: 10.1186/1475-2840-6-23
- Yang F, Lum JB, McGill JR, et al. Human transferrin: cDNA characterization and chromosomal localization. Proc Natl Acad Sci USA. 1984;81(9):2752–2756. doi: 10.1073/pnas.81.9.2752
- Yari D, Saravani R, Saravani S, et al. Genetic Polymorphisms of Catalase and Glutathione Peroxidase-1 in Keratoconus. Iran J Public Health. 2018;47(10):1567–1574. PMID: 30524988.
- Rickham PP. Human experimentation. Code of ethics of the world medical association. Declaration of Helsinki. Br Med J. 1964;5402(2):177. doi: 10.1136/bmj.2.5402.177
- Kimmelman J, Weijer C, Meslin EM. Helsinki discords: FDA, ethics, and international drug trials. The Lancet. 2009;373(9657):13–14. doi: 10.1016/s0140-6736(08)61936-4
- Saravani R, Hasanian-Langroudi F, Validad MH, et al. Evaluation of possible relationship between COL4A4 gene polymorphisms and risk of keratoconus. Cornea. 2015;34(3):318–322. doi: 10.1097/ICO.0000000000000356
- Baudouin C, Brignole F, Fredj-Reygrobellet D, et al. Transferrin receptor expression by retinal pigment epithelial cells in proliferative vitreoretinopathy. Invest Ophthalmol Vis Sci. 1992;33(10):2822–2829. PMID: 1382045
- Wójcik KA, Synowiec E, Jiménez-García MP, et al. Polymorphism of the transferrin gene in eye diseases: keratoconus and Fuchs endothelial corneal dystrophy. Biomed Res Int. 2013;2013:247438. doi: 10.1155/2013/247438
Supplementary files
 
				
			 
					 
						 
						 
									
 
  
  
  Email this article
			Email this article 



