Treatment of an extensive acetabular defect in a patient with aseptic instability of a total hip arthroplasty
- Authors: Aleksanyan H.A.1, Chragyan H.A.1, Kagramanov S.V.1, Zagorodniy N.V.1
-
Affiliations:
- N.N. Priorov National Medical Research Center of Traumatology and Orthopaedics
- Issue: Vol 27, No 3 (2020)
- Pages: 60-66
- Section: Original study articles
- Submitted: 26.08.2020
- Accepted: 26.09.2020
- Published: 26.12.2020
- URL: https://journals.eco-vector.com/0869-8678/article/view/43138
- DOI: https://doi.org/10.17816/vto202027360-66
- ID: 43138
Cite item
Full Text
Abstract
The aim of the study is to demonstrate, using a clinical example, the possibility of treating a patient with a severe acetabular defect by performing a one-stage revision arthroplasty using an individual design.
Materials and methods. A 45-year-old female patient was admitted with complaints of pain, limitation of movement in the right hip joint, and gait disturbance. From anamnesis at the age of 5 years, reconstructive operations of the hip joints were performed. In 1991, CITO performed primary total arthroplasty of the right hip joint with an endoprosthesis from ESKA Implants. In 1998, due to the instability of the acetabular component of the total endoprosthesis of the right hip joint, revision arthroplasty was performed, and the cup was placed with a cement fixation. In 2001, for left-sided dysplastic coxarthrosis, primary total arthroplasty of the left hip joint was performed. In 2012, due to the instability of the total endoprosthesis of the left hip joint, revision arthroplasty was performed using an ESI anti-protrusion ring (ENDOSERVICE) with a cement cup and a Zweimüller-type femoral component; the femur defect was repaired using a fresh frozen cortical graft. In October 2019, instability of the total endoprosthesis of the right hip joint was revealed, for which revision endoprosthetics was performed using an individual acetabular component.
Results. The HHS index before revision arthroplasty was 21 points, after 1 month after surgery — 44 points, after 3 months after surgery — 65, after 6 months — 82. Quality of life was assessed according to the WOMAC scale: before surgery — 73 points, after 1 month after surgery — 54 points, after 3 months — 31, after 6 months — 15 points. At the time of the last consultation, the patient moves with a cane, lameness persists, associated with scar reconstruction and atrophy of the gluteal muscles.
Conclusion. The use of individual structures allows to restore the support ability of the lower limb and the function of the hip joint in the case of an extensive defect of the pelvic bones of the pelvic discontinuity type.
Keywords
Full Text
Введение
С момента внедрения в клиническую практику эндопротезирование зарекомендовало себя как основной метод лечения дегенеративно-дистрофических заболеваний и травматических повреждений тазобедренного сустава. Полученные положительные результаты привели к популяризации выполнения операции на тазобедренном суставе. Ежегодно во всем мире выполняется более миллиона операций по эндопротезированию тазобедренного сустава, а в ближайшие два десятилетия прогнозируется удвоение этого количества, данная тенденция обусловливает неуклонное возрастание количества ревизионных операций [1–5]. Наиболее частой причиной ревизионных операций является нестабильность вертлужного компонента [6–8]. Длительно протекающая нестабильность и неоднократные операции приводят к возникновению тяжелых костных дефектов [9, 10]. Если легкие дефекты с незначительной потерей костной ткани (тип II по классификации Paprosky) обычно не представляют технической сложности, то лечение пациентов с обширными дефектами (тип III, pelvic discontinuity) с отсутствием опоры для вертлужного компонента эндопротеза является серьезной проблемой [11]. При таких обширных дефектах реконструкция вертлужной впадины с использованием стандартных компонентов не всегда приводит к благополучному исходу и процент неудовлетворительных результатов продолжает оставаться высоким [9].
Цель исследования — на клиническом примере показать возможность лечения пациентки с тяжелым дефектом вертлужной впадины путем проведения одноэтапного ревизионного эндопротезирования с использованием индивидуальной конструкции.
Клинический случай
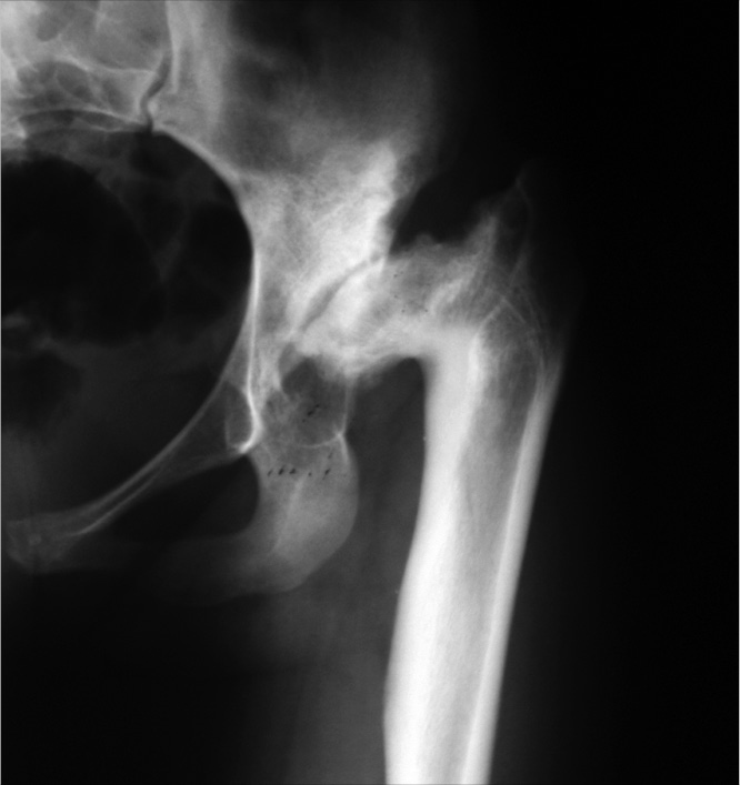
Пациентка в возрасте 45 лет поступила в ФГБУ «Национальный медицинский исследовательский центр травматологии и ортопедии им. Н.Н. Приорова» (ЦИТО) в 2019 г. с жалобами на боли, ограничение движений в области правого тазобедренного сустава и нарушение походки. Из анамнеза известно, что с 3-летнего возраста по поводу врожденного вывиха тазобедренных суставов наблюдалась у ортопеда по месту жительства. В возрасте 5 лет выполнены реконструктивные операции тазобедренных суставов (выписки не представлены). До 16-летнего возраста беспокоили периодические боли в тазобедренных суставах, больше справа. В 1991 г. в ЦИТО выполнено первичное тотальное эндопротезирование правого тазобедренного сустава эндопротезом фирмы ESKA Implants. В послеоперационном периоде без особенностей, рана зажила первичным натяжением. Функцией сустава пациентка была довольна до 1997 г., когда появились и стали прогрессировать боли в области оперированного сустава (рис. 1).
Рис. 1. Рентгенограмма правого тазобедренного сустава на момент поступления в клинику в 1998 г.
В 1998 г. по поводу нестабильности вертлужного компонента тотального эндопротеза правого тазобедренного сустава выполнено ревизионное эндопротезирование, установка чашки цементной фиксации (рис. 2).
Рис. 2. Рентгенограмма правого тазобедренного сустава после ревизионного эндопротезирования, замена вертлужного компонента в 1998 г.
В 2001 г. по поводу левостороннего диспластического коксартроза в условиях 2-го отделения ЦИТО выполнено первичное тотальное эндопротезирование левого тазобедренного сустава (рис. 3, 4).
Рис. 3. Рентгенограмма левого тазобедренного сустава на момент поступления в клинику для первичного эндопротезирования в 2001 г.
Рис. 4. Рентгенограмма левого тазобедренного сустава после первичного эндопротезирования в 2001 г.
До 2007 г. функцией сустава была довольна (рис. 5).
Рис. 5. Рентгенограмма таза при контроле в 2005 г.
В 2007 г. появились резкие боли в области левого тазобедренного сустава, укорочение левой нижней конечности (рис. 6).
Рис. 6. Рентгенограмма таза при поступлении в клинику в 2007 г.
На контрольных рентгенограммах выявлен дефект вертлужной впадины типа IIIA и дефект бедренной кости типа IIIB по классификации W.G. Paprosky. В 2012 г. по поводу нестабильности тотального эндопротеза левого тазобедренного сустава выполнено ревизионное эндопротезирование с использованием антипротрузионного кольца ЭСИ (фирма Эндосервис) с цементной чашкой и бедренного компонента типа Цваймюллера, дефект бедренной кости восстановлен с применением свежезамороженного кортикального трансплантата. (рис. 7 и 8).
Рис. 7. Рентгенограмма таза перед ревизионным эндопротезированием левого тазобедренного сустава в 2012 г.
Рис. 8. Рентгенограмма таза после ревизионного эндопротезирования левого тазобедренного сустава в 2012 г.
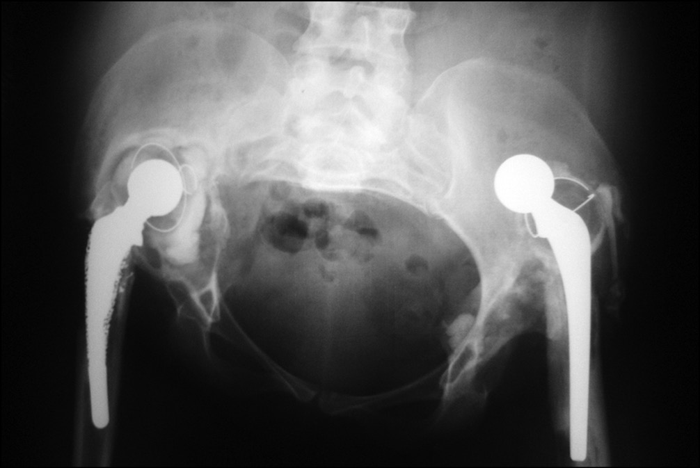
В октябре 2019 г. пациентка обратилась на консультативный прием с жалобами на боли и ощущение нестабильности в правом тазобедренном суставе при незначительной физической нагрузке (рис. 9).
Рис. 9. Рентгенограмма таза при поступлении в клинику для ревизионного эндопротезирования правого тазобедренного сустава в 2019 г.
После выполнения обзорной рентгенографии таза с захватом тазобедренных суставов выявлена нестабильность тотального эндопротеза правого тазобедренного сустава: обширные сегментарные дефекты вокруг вертлужного компонента, миграцию вертлужного компонента медиально и краниально, резорбция костной ткани вокруг бедренного компонента в 1, 2, 6 и 7-й зонах Груена. Рентгенологически дефект вертлужной впадины был оценен как тип IIIB по классификации W.G. Paprosky (рис. 1).
Учитывая выраженность костного дефекта вертлужной впадины, было принято решение об изготовлении индивидуального вертлужного компонента. Во время первой госпитализации пациентке было выполнено мультиспектральное компьютерно-томографическое (КТ) сканирование таза с минимальной толщиной среза, с интервалом 0,5 ± 0,1 мм для оценки потери костной массы. После обследования пациентка была выписана из стационара для повторной госпитализации при готовности имплантата.
Данные КТ были загружены в программу PMEPLanner. Инженером фирмы POLYGONMED, которые профессионально занимаются 3D-модели-рованием и печатью, произведен процесс сегментации, очищения от наводок и мягких тканей и создание цифровой 3D-модели пораженной стороны таза (рис. 10, 11).
Рис. 10. Компьютерно Т-изображение пораженной части таза после обработки и очищения от наводок, мягких тканей
Рис. 11. Вид модели таза с разных сторон. Визуализация дефектов вертлужной впадины с точностью до 1 мм
Далее на созданной цифровой 3D-модели нами были указаны места расположения фланцев, угол инклинации, антеторсия полусферической части и направления винтов.
Согласно указанным ориентирам инженером создавалась цифровая модель имплантата с соблюдением следующих критериев (рис. 12):
Рис. 12. Разработка цифровой модели имплантата: определение ориентации вертлужного компонента и направления винтов, моделирование фланцев
- три фланца с отверстиями под винты для контакта с подвздошной, лонной и седалищной костями;
- оптимальная длина и направление винтов для максимальной фиксации в кости;
- пористое покрытие всех поверхностей имплантата, контактирующих с костью (рис. 3);
- большая полусферическая часть с возможностью использования пары трения большого диаметра или двойной мобильности;
- оптимальная пространственная ориентация полусферической части (отведение 40°, антеверсия 15°).
После согласования была произведена окончательная печать трехфланцевого индивидуального вертлужного компонента на 3D-принтере из титанового порошка по технологии DMLS (рис. 13).
Рис. 13. Вид окончательной модели имплантата с разных сторон
Процесс создания имплантата с момента выполнения КТ до отправки готового изделия в клинику занял 7 рабочих дней. После получения готового имплантата пациентка была повторно госпитализирована. Стерилизация имплантата выполнялась в клинике посредством автоклавирования.
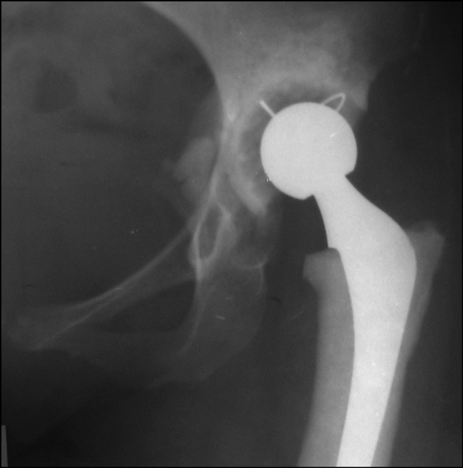
Операцию выполняли в положении больной лежа на здоровом боку с использованием прямого бокового доступа. Удалили рубцово-измененные ткани. При удалении бедренного компонента произошел перелом бедренной кости. Вертлужный компонент с остатками костного цемента удалили без технических трудностей. Выполнили анатомическую установку индивидуальной 3D-конструкции согласно предоперационному планированию и фиксацию 7 винтами.
В полусферическую часть 3D-имплантата установили ацетабулярный компонент цементной фиксации двойной мобильности Novae Stick 45 мм. Проксимальный фрагмент бедренной кости, сломанный при удалении бедренного компонента, фиксировали 5 серкляжными швами и в бедренную кость имплантировали ревизионный бедренный компонент Wagner SL 190/14 (рис. 14).
Рис. 14. Рентгенограмма после операции: достигнута прочная первичная фиксация имплантата в кости, восстановлено анатомическое положение вертлужной впадины
Длительность операции составила 190 мин, кровопотеря — 1500 мл. Продолжительность нахождения пациентки в отделении реанимации — 1 сут. Общая продолжительность стационарного лечения — 14 дней. Послеоперационная рана зажила первичным натяжением. Септических осложнений, вывихов и миграции имплантатов в раннем послеоперационном периоде не было.
До- и послеоперационная оценка функции тазобедренного сустава проводилась по оценочным шкалам Harris Hip Score (HHS) и Western Ontario and McMaster Universities Osteoarthritis Index (WOMAC). Показатель HHS до ревизионного эндопротезирования составил — 21 балл, через 1 мес. после операции — 44 балла, через 3 мес. после операции — 65, через 6 мес. — 82. Качество жизни оценивали по шкале WOMAC: до операции — 73 балла, через 1 мес. после операции — 54 балла, через 3 мес. — 31, через 6 мес. — 15 баллов. На момент последней консультации пациентка передвигается с тростью, сохраняется хромота, связанная с рубцовой перестройкой и атрофией ягодичных мышц.
Обсуждения
Основная цель сообщения — показать на клиническом примере сложность и актуальность ревизионного эндопротезирования при тяжелых дефектах вертлужной впадины.
На сегодняшний день рынок ортопедических имплантатов предлагает широкий выбор конструкции различной сложности для ревизионного эндопротезирования вертлужной впадины. В зависимости от типа костного дефекта, количества и качества оставшейся кости, целостности стенок вертлужной впадины и непрерывности тазовой кости восстановление дефектов вертлужной впадины предполагает различные варианты. Исходя из типа костного дефекта, ее восстановление может быть осуществлено с помощью различных методов, в том числе создания высокого центра ротации тазобедренного сустава [12]: с использованием больших полусферических вертлужных компонентов [13]; классическим вариантом реконструкции с использованием антипротрузионных колец в сочетании с костной пластикой [14]; техники «кольцо в чашке» (cup-cage) [15]; с применением высокопористых компонентов из трабекулярного тантала [16, 17]. При костных дефектах III типа реконструкция вертлужной впадины с использованием вышеописанных методик не всегда приводит к благополучному исходу, и процент неудовлетворительных результатов продолжает оставаться высоким [9].
Имеющийся большой костный дефект вертлужной впадины, поставил нас перед проблемой выбора метода реконструкции вертлужной впадины. Использование классического метода (антипротрузионное кольцо в сочетании с костной пластикой) не позволило бы достичь первичной прочной фиксации и восстановить анатомическое положение вертлужной впадины. Сочетание полусферической чашки с несколькими опорными аугментами, склеенными между собой при помощи костного цемента, не обеспечивало бы достаточную жесткость конструкции, что при осевых нагрузках могло бы привести к разрушению как оставшейся костной ткани, так и самой конструкции, тем самим еще больше усугубив ситуацию. Кроме этого, данная методика с экономической точки зрения получалась гораздо дороже, чем затраты при создании индивидуального компонента. Учитывая вышеупомянутые факторы, выбор выпал в пользу индивидуальной конструкции, которая связывала между собой седалищную, подвздошную и лонные кости и добавляла прочность к оставшейся костной основе вертлужной впадины.
Заключение
Применение индивидуальных конструкций позволяет восстановить опороспособность нижней конечности и функцию тазобедренного сустава в случае обширного дефекта костей таза типа pelvic discontinuity.
Пациентка дала добровольное информированное согласие на публикацию клинического наблюдения.
About the authors
Hovakim A. Aleksanyan
N.N. Priorov National Medical Research Center of Traumatology and Orthopaedics
Author for correspondence.
Email: hovakim1992@mail.ru
ORCID iD: 0000-0002-6909-6624
traumatologist-orthopedist, post-graduate student
Russian Federation, 10, Priorov street, Moscow, 125299Hamlet A. Chragyan
N.N. Priorov National Medical Research Center of Traumatology and Orthopaedics
Email: chragyan@gmail.com
MD, PhD, doctor
Russian Federation, 10, Priorov street, Moscow, 125299Sergey V. Kagramanov
N.N. Priorov National Medical Research Center of Traumatology and Orthopaedics
Email: Kagramanov2001@mail.ru
MD, PhD, Leading Researcher
Russian Federation, 10, Priorov street, Moscow, 125299Nikolay V. Zagorodniy
N.N. Priorov National Medical Research Center of Traumatology and Orthopaedics
Email: zagorodniy51@mail.ru
RAS corresponding member, MD, PhD, professor, head. endoprosthetics department
Russian Federation, 10, Priorov street, Moscow, 125299References
- Gwam СU, Mistry JB, Mohamed NS, et al. Current epidemiology of revision total hip arthroplasty in the United States: National Inpatient Sample 2009 to 2013. J Arthroplasty. 2017;32(7):2088-2092. https://doi.org/10.1016/j.arth.2017.02.046.
- Patel A, Pavlou G, Mújica-Mota RE, Toms AD. The epidemiology of revision total knee and hip arthroplasty in England and Wales: a comparative analysis with projections for the United States. A study using the National Joint Registry dataset. J Bone Joint. 2015;97-B(8):1076-1081. https://doi.org/10.1302/0301-620X.97B8.35170.
- Kowalik TD, DeHart M, Gehling H, et al. The epidemiology of primary and revision total hip arthroplasty in teaching and nonteaching hospitals in the United States. J Am Acad Orthop Surg. 2016;24(6):393-398. https://doi.org/10.5435/ JAAOS-D-15-00596.
- Yoon PW, Lee YK, Ahn J, et al. Epidemiology of hip replacements in Korea from 2007 to 2011. J Korean Med Sci. 2014;29(6):82-858. https://doi.org/10.3346/jkms.2014.29.6.852.
- Pivec R, Johnson AJ, Mears SC, Mont MA. Hip arthroplasty. Lancet. 2012;380(9855):1768-1777. https://doi.org/10.1016/S0140-6736(12)60607-2.
- Sullivan PM, MacKenzie JR, Callaghan JJ, Johnston RC. Total hip arthroplasty with cement in patients who are less than fifty years old. A sixteen to twenty-two-year follow-up study. J Bone Joint Surg Am. 1994;76(6):863-869. https://doi.org/10.2106/00004623-199406000-00010
- Goodman SB, Adler SJ, Fyhrie DP, Schurman DJ. The acetabular teardrop and its relevance to acetabular migration. Clin Orthop Relat Res. 1988;(236):199-204.
- Emerson RH, Head WC, Berklaich FM. Noncemented acetabular revision arthroplasty using allograft bone. Clin Orthop Relat Res. 1989;(249):30-43.
- Загородний Н.В., Чрагян Г.А., Алексанян О.А., и др. Применение 3D-моделирования и прототипирования при первичном и ревизионном эндопротезировании. Вестник травматологии и ортопедии им. Н.Н. Приорова. 2018;25(2):21-29. [Zagorodniy NV, Chragyan GA, Aleksanyan OA, et al. 3D modelling and printing in primary and revision arthroplasty. Vestnik travmatologii i ortopedii im N.N. Priorova. 2018;25(2):21-29. (In Russ.).] https://doi.org/10.32414/0869-8678-2018-2-21-29.
- Коваленко А.Н., Джавадов А.А., Шубняков И.И., и др. Среднесрочные результаты использования индивидуальных конструкций при ревизионном эндопротезировании тазобедренного сустава. Травматология и ортопедия России. 2019;25(3):37-46. [Kovalenko AN, Dzhavadov AA, Shubnyakov II, et al. Medium-term results of using individual structures in revision hip arthroplasty. Travmatologiya i ortopediya Rossii. 2019;25(3):37-46. (In Russ.).] https://doi.org/10.21823/2311-2905-2019-25-3-37-46.
- Paprosky WG, Perona PG, Lawrence JM. Acetabular defect classification and surgical reconstruction in revision arthroplasty: a 6-year follow up evaluation. J Arthroplasty. 1994;9(1):33-44.
- Bozic KJ, Freiberg AA, Harris WH. The high hip center. Clin Orthop Relat Res. 2004;(420):101-105. https://doi.org/10.1097/00003086-200403000-00014.
- Moon JK, Ryu J, Kim Y, et al. Acetabular revision arthroplasty using press-fitted jumbo cups: an average 10-year follow-up study. Arch Orthop Trauma Surg. 2019;139(8):1149-1160. https://doi.org/10.1007/s00402-019-03214-7.
- Gibon E, Kerboull L, Courpied J, Hamadouche M. Acetabular reinforcement rings associated with allograft for severe acetabular defects. Int Orthop. 2019;43(3):561-571. https://doi.org/10.1007/s00264-018-4142-1.
- Hipfl C, Janz V, Löchel J, et al. Cup-cage reconstruction for severe acetabular bone loss and pelvic discontinuity: mid-term results of a consecutive series of 35 cases. Bone Joint J. 2018;100-B(11):1442-1448. https://doi.org/10.1302/0301-620X.100B11.BJJ-2018-0481.R1.
- Загородний Н.В., Алексанян О.А., Чрагян Г.А., и др. Реконструкция вертлужной впадины с использованием компонентов из трабекулярного металла. Вестник травматологии и ортопедии им Н.Н. Приорова. 2019;26(1):5-10. [Zagorodny NV, Alexanyan OA, Cragan GA, et al. Reconstruction of a hip socket using trabecular metal components. Vestnik travmatologii i ortopedii im N.N. Priorova. 2019;26(1):5-10. (In Russ.).] https://doi.org/10.17116/vto20190115.
- Тихилов Р.М., Шубняков И.И., Чиладзе И.Т., и др. Тотальное эндопротезирование тазобедренного сустава с использованием аугментов из трабекулярного металла при последствиях переломов вертлужной впадины. Травматология и ортопедия России. 2011;(1):76-81. [Tikhilov RM, Shubnyakov II, Chiladze IT, et al. Total hip joint endoproshetics using augments from trabecular metal in consequences of fractures of the acetabulum. Travmatologiya i ortopediya Rossii. 2011;(1):76-81. (In Russ.).] https://doi.org/10.21823/2311-2905-2011-0-1-76-81.
Supplementary files






























