Features of the formation of bone regenerate and metabolism of bone formation markers in a patient with type 1 diabetes mellitus and diabetic neuroosteoarthropathy (Charcot foot)
- Authors: Bardiugov P.S.1,2,3, Artemova E.V.1, Parshikov M.V.2, Yarygin N.V.2
-
Affiliations:
- Endocrinology Research Centre
- Russian University of Medicine
- Ilyinskaya Hospital
- Issue: Vol 31, No 3 (2024)
- Pages: 381-394
- Section: Clinical case reports
- Submitted: 27.11.2023
- Accepted: 11.02.2024
- Published: 17.07.2024
- URL: https://journals.eco-vector.com/0869-8678/article/view/623895
- DOI: https://doi.org/10.17816/vto623895
- ID: 623895
Cite item
Full Text
Abstract
Background: Surgical treatment of diabetic neuroosteoarthropathy is a complex area in traumatology — orthopedics not only because of severe biomechanical disorders and gross deformations of the distal segment of the lower limb, but also because these phenomena are accompanied by many disorders of the somatic status. Of particular importance is a pronounced decrease in bone mineral density. This case is intended to illustrate the features of the treatment of this pathology.
Clinical case description: A clinical case of treatment of a 34-year-old young female patient with type 1 diabetes mellitus, development of diabetic neuroosteoarthropathy (Charcot foot), and aseptic necrosis of the talus of the right foot is presented. From 2019–2020 conservative and surgical treatment was carried out aimed at stopping the active stage of Charcot foot, correcting deformity and stabilizing the distal segment of the limb (calcaneotibial arthrodesis). A satisfactory treatment result was achieved, complete activation 8 months after the operation. However, in 2021 The patient suffered a closed low-energy fracture of the distal metaphysis of the right tibia. Regarding this episode, the patient comes in at the stage of consolidation of a displaced fracture and complaints of recurrence of varus deformity, even greater shortening of the limb, and swelling of the ankle joint. The fact of injury is denied, which allows us to regard the existing fracture of the tibia as pathological. In this regard, an operation was performed: osteotomy of the fibula and tibia in the area of consolidation of the pathological fracture in order to correct the deformity and compensate for the existing shortening of the limb due to the formation of a distraction regenerate. During the treatment, malnutrition and delayed formation of bone regenerate were noted, which required prolonged use of an external fixation device and specific drug therapy aimed at stimulating osteogenesis and improving bone mineral density. At the end of the course, there was an increase in the mineral density of the tissue, the density of the regenerate radiologically and laboratory (control of bone formation markers) and a satisfactory functional result.
CONCLUSION: A successful result in this clinical case was achieved by combining orthopedic surgical and conservative treatment with specific drug therapy in a comorbid patient with reduced bone mineral density and a high probability of complications in a multidisciplinary approach.
Full Text
ВВЕДЕНИЕ
Диабетическая нейроостеоартропатия (ДНОАП) является тяжёлым осложнением сахарного диабета и представляет собой прогрессирующее поражение костной ткани, проявляющееся воспалением и резорбцией кости и в ряде случаев приводящее к развитию стойкой деформации дистального сегмента нижней конечности, вызванной периферической нейропатией [1, 2].
Нейрогенная регуляция трофики тканей конечностей осуществляется в основном двумя типами немиелинизированных волокон — симпатическими и сенсорными.
Симпатическая нервная система контролирует скелетный гомеостаз, главным образом через адренергические рецепторы (АР), которые представлены на костных клетках-мишенях — остеобластах и остеокластах [3, 4]. Распределение симпатических нервов в скелете млекопитающих до сих пор плохо описано, присутствие симпатического звена периферической нервной системы определяется на уровне бедренной кости. Симпатические периостальные волокна разветвляются в костном мозге и компактной кости, о чём свидетельствует иммуногистохимическая позитивность тканей в отношении тирозингидроксилазы (ТГ), нейропептида Y. Мелкие ветви периостальных нервных волокон, проходящие через кортикальную кость, связаны с кровеносными сосудами фолькмановского и гаверсова каналов. Некоторые могут проходить через паренхиму костного мозга и заканчиваться на стенках синусоидов, периваскулярных стромальных клетках. TГ-иммунореактивные волокна обычно имеют спиральную морфологию и охватывают кровеносные сосуды, с которыми они связаны. В целом области минерализованной кости, которые подвергаются наибольшему механическому воздействию и нагрузке, имеют самую высокую скорость метаболизма и костного обмена. Они также наиболее васкуляризированы и имеют самую высокую плотность симпатических и сенсорных волокон. И надкостница, и костный мозг получают норадренергические волокна (часто связанные с сосудистой сетью), а также вазоактивные интестинальные полипептид-иммунореактивные (ВИП-иммунореактивные) волокна (часто связанные с паренхимой).
Доказательства роли АР в скелетном метаболизме были получены в ходе исследований на грызунах, где фармакологическая стимуляция β-адренергических сигналов повлияла на костную массу. Значительная потеря минеральной плотности костной ткани (МПКТ) была обнаружена у мышей, получавших изопротеренол (β-адренергический агонист), тогда как лечение пропранололом (неселективным β-адренергическим антагонистом) благотворно влияло на плотность кости [5]. Линии остеобластических клеток и первичные культуры остеобластов в основном экспрессируют подтип β2AР со слабой или неопределяемой экспрессией β1AР и β3AР [6, 7].
β2AР также идентифицируется на поверхности остео-кластов, однако биологическая значимость прямого эффекта стимуляции β2AР на остеокласты требует дальнейшего изучения, хотя сообщалось о прямом эффекте стимуляции βAР на дифференцировку остеокластов; анализы в этом исследовании проводились с клетками костного мозга, которые могут содержать остеобласты, экспрессирующие β2AР. Кроме того, холинергическое влияние способно приводить к увеличению костной массы путём активации никотиновых рецепторов (α2nAChR), экспрессируемых остеокластами, ингибируя резорбцию кости и запуская апоптоз остеокластов [8].
Нокаутные по β1AР мыши имели низкую массу в бедренных костях и минимальный костный анаболический ответ на осевую компрессионную нагрузку. Этот фенотип, по-видимому, доминировал над фенотипом, индуцированным дефицитом β2AР, поскольку мыши с двойным нокаутом β1/2AР также имели фенотип низкой костной массы, связанный со снижением скорости костеобразования и отсутствием ответа на компрессионную нагрузку.
Эти результаты позволяют предположить, что передача сигналов β1AР и β2AР оказывает противоположное воздействие на кости: передача сигналов β1AР оказывает преобладающий анаболический стимул, тогда как передача сигналов β2AР является катаболической [9].
Парасимпатических волокон в конечностях, особенно в дистальных отделах, практически нет, возможны клинически незначимые по числу волокна в проксимальных зонах нижних конечностей, проникающие по сосудам периваскулярно из таза.
Иммуногистохимическое окрашивание дистального метафиза бедренной кости в исследовании на лабораторных мышах выявило везикулярный транспортёр ацетилхолина (VAChT) — положительные нейрональные волокна в медуллярных межтрабекулярных пространствах, главным образом в непосредственной близости от костных балок. Чтобы картировать центральный вегетативный путь, было проведено ретроградное транснейрональное распространение рекомбинантного вируса псевдобешенства, инокулированного в дистальный метафиз бедренной кости. Меченые вирусом антитела были идентифицированы в центральном автономном ядре крестцового сегмента спинного мозга животных, анатомических участках, ограниченных для тел парасимпатических преганглионарных клеток [10].
Более того, активация nAChR специфическими агонистами может индуцировать пролиферацию остеобластов, что также способствует увеличению костной массы [11].
Надкостница и трабекулярные костные отделы богато иннервированы густой сетью сенсорных волокон, чувствительных к механической стимуляции. Хотя функциональная значимость этого физиологического процесса ещё не изучена в достаточной степени, как сенсорные, так и симпатические нервные волокна в конечностях способны прорастать в ответ на воспаление [12, 13].
В нормальной бедренной кости относительная плотность чувствительных нервных волокон кальцитонин-ген-родственного пептида (CGRP+) и нейротрофной рецепторной тирозинкиназы 1, или TrkA (TrkA+), на единицу объёма равна: надкостница > костный мозг > минерализованная кость > хрящ — 100:2:0,1:0 соответственно. Тот факт, что большинство сенсорных нервных волокон, иннервирующих скелет, экспрессируют TrkA+, может частично объяснить, почему методы лечения, блокирующие путь NGF/TrkA, очень эффективны в ослаблении скелетной боли [14].
Механическая деформация, связанная с переломами или дефектами костей, активирует волокна Aδ- или C-типа, которые передают первоначальные болевые стимулы в соответствующие области коры головного мозга, что приводит к эффекторному высвобождению катехоламинов симпатическими нервами [15, 16].
На окончаниях сенсорных нервов имеется широкий спектр рецепторов, которые обнаруживают специфические медиаторы воспаления, и активация этих рецепторов запускает ряд последующих изменений, таких как фосфорилирование и активация ионных каналов (например, Nav1.7, Nav1.8, Nav1.9, TRPV1 и TRPA1), что также приводит к сенсибилизации и дальнейшему высвобождению нейротрансмиттеров [17].
Цитокины (гистамин, TNF, IL-1β, IL-6, IL-17A), липидные медиаторы (простагландин E2 (PGE2), лейкотриен B4) и факторы роста (NGF, нейротрофический фактор головного мозга (NGF) BDNF) продуцируются в основном тучными клетками, нейтрофилами, макрофагами и клетками Th17 или γδT и вносят существенный вклад в сенсибилизацию сенсорных нервов. Например, связывание TNFα и его рецептора (рецептор TNFα1, TNFR1) на окончаниях фосфорилирует каналы Nav1.8, чтобы облегчить открытие каналов. Таким образом, валлеровская дегенерация и воспаление являются первичными реакциями периферических нервов во время перелома кости [18].
Анаболический эффект нейропептидов проявляется за счёт прямого связывания с клетками костного происхождения, а также воздействия на эндотелиальные клетки в ходе неоваскулогенеза [19–21].
Периферическая нервная система играет важную роль в развитии воспалительного ответа в тканях путём регуляции активности местной иммунной системы. По данным литературы (экспериментальные исследования), эфферентное звено парасимпатической нервной системы оказывает противовоспалительное действие путём влияния на различные подтипы рецепторов к ацетилхолину (nAChR), находящиеся на поверхности иммунокомпетентных клеток, тем самым модулируя их активность. Активация α7nAchR подавляет продукцию провоспалительных цитокинов путём снижения транслокации ядерного фактора NF-κB [22–24].
В острой стадии диабетической нейроостеоартропатии патологические изменения затрагивают костный мозг и характеризуются персистирующим отёком и воспалением, затрагивающим также периартикулярные ткани. Некупирующееся воспаление приводит к прогрессированию патологического процесса, деформации и как следствие — к переломам. Про- и противовоспалительные медиаторы участвуют в сложном процессе активации и разрешении воспаления, важную роль в котором играет макрофагальная система. Стали появляться данные об участии макрофагов в остеогенезе. Однако до конца не ясно, какой фенотип макрофагов, M1 или M2 (провоспалительный М1-фенотип, противовоспалительный М2-фенотип), усиливает остеогенную дифференцировку мезенхимальных клеток in vitro. Ряд исследователей сообщают, что M1-макрофаги могут способствовать ранней и средней стадиям остеогенеза, тогда как M2-макрофаги способствуют минерализации матрикса гораздо позже. Соответствующее переключение с фенотипа M1 на фенотип M2 может иметь решающее значение для заживления переломов костей и остеоинтеграции имплантата [21].
К сожалению, накоплено достаточно скудное количество данных о патогенезе ДНОАП, а результаты медикаментозного воздействия на локальный остеопороз не увенчались успехом.
Результаты оперативного лечения костно-суставной патологии (особенно с использованием внутренних или внешних металлоконструкций) во многом зависят от способности костной ткани к репарации, к тому же больные сахарным диабетом с тяжёлым повреждением периферической нервной системы имеют низкий регенераторный потенциал мягкотканных дефектов [25, 26]. Данные обстоятельства обусловливают высокий риск таких осложнений, как замедленная консолидация или несращение переломов, отсутствие или замедленное формирование костного анкилоза (после выполнения артродеза), патологические переломы.
ОПИСАНИЕ КЛИНИЧЕСКОГО СЛУЧАЯ
Пациентка В., 34 лет, с сахарным диабетом 1 типа, длительностью заболевания 29 лет, будучи в декретном отпуске, первый раз обратилась за медицинской помощью в 2019 г. Характер профессиональной деятельности — медицинская сестра. Предъявляла жалобы на отёк, деформацию и укорочение правой нижней конечности, а также умеренные боли в области голеностопного сустава (5 баллов по Визуальной аналоговой шкале (ВАШ)).
Эпизод первый
Вес пациентки на момент первичного обращения составлял 55 кг, рост — 158 см, передвигалась без средств дополнительной опоры. При обследовании выявлена тяжёлая дистальная полинейропатия, число баллов по шкале НДС («Нейропатический дисфункциональный счёт») [27] — 20. Температурная и болевая чувствительность на стопе отсутствовали, что свидетельствовало о грубой патологии тонких немиелинизированных волокон. При исследовании артериального кровотока выявлены признаки медиасклероза, кровоток на задней большеберцовой артерии магистрально-изменённый, линейная скорость кровотока — 45 см/с, на тыльной артерии стопы — магистрально-изменённый, линейная скорость кровотока — 30 см/с. Отмечались умеренный отёк области правого голеностопного сустава (окружность +2 см по сравнению с контралатеральной конечностью), гипертермия кожных покровов (+5 °С по сравнению с контралатеральной конечностью), варусная деформация (пяточно-тибиальный угол без нагрузки 30°, с нагрузкой — 45°), длина бедренного сегмента и голени правой и левой нижних конечностей одинаковы, укорочение правой нижней конечности за счёт дистального сегмента на 2 см (рис. 1).
Рис. 1. Внешний вид конечности.
Fig. 1. Appearance of the limb.
При рентгенологическом обследовании выявлен лизис таранной кости правой стопы на 2/3 от своего объёма (преимущественно тела таранной кости) со слабо выраженными признаками снижения МПКТ: истончение кортикальной пластинки, крупноячеистая трабекулярная микроструктура, усиленная рентгенопрозрачность (рис. 2, 3).
Рис. 2. Рентгенограмма в передне-задней проекции до лечения.
Fig. 2. X-ray image in anterior-posterior projection before treatment.
Рис. 3. Рентгенограмма в боковой проекции до лечения.
Fig. 3. X-ray image before treatment in lateral projection.
Было назначено консервативное лечение: иммобилизация функциональной полимерной повязкой, ограничение нагрузки на больную конечность. В процессе иммобилизации на высоте деформации в проекции наружной лодыжки сформировалась нейропатическая язва размером 1×1 см, Wagner 2, которая зажила после прекращения использования иммобилизации и ежедневных перевязок с 10% раствором бетадина. На фоне консервативного лечения через 4 месяца отмечена слабоположительная динамика: снижение отёчности (+1,5 см) и разницы температуры кожных покровов (до +3°), снижение болевого синдрома (до 3 баллов по ВАШ). Однако степень деформации не уменьшилась, и, учитывая нарушение опороспособности, высокий риск образования нейропатических язв и прогрессирования клинических проявлений, было принято решение о необходимости хирургического лечения.
В феврале 2020 г. выполнен пяточно-большеберцовый артродез в положении коррекции. Под спинальной анестезией и гемостатическим турникетом наружным L-образным доступом с резекцией наружной лодыжки произведены удаление фрагментов лизированной таранной кости, обработка суставных поверхностей пяточной и большеберцовой кости, фиксация с коррекцией варусной деформации в аппарате Илизарова.
В ближайшем послеоперационном периоде проводились антибиотикопрофилактика — цефтриаксон 1,0 мл 2 р/ день в/м, профилактика тромбозов — клексан 0,4 п/к 1 р/день, перевязки со спиртовым раствором хлоргексидина 0,5% до снятия швов (заживление операционной раны первичное). Учитывая высокую вероятность прорезывания тканей спицами и внутрикостными стержнями, развития гнойных осложнений в условиях дистальной нейропатии, рекомендована полная разгрузка оперированной конечности.
Через 5 месяцев после операции отмечались слабо выраженный отёк дистального отдела голени и стопы (+1 см), физиологический пяточно-тибиальный угол (5°). Рентгенологически наблюдались признаки формирования костного пяточно-большеберцового анкилозирования (отсутствие замыкательной пластинки между пяточной и большеберцовой костями, формирование единого кортикального слоя в зоне контакта), однако признаки снижения МПКТ стали более выражены, что, вероятно, дополнительно обусловлено отсутствием нагрузки. Произведён демонтаж аппарата Илизарова, наложена полимерная иммобилизирующая повязка.
Рис. 4. Внешний вид конечности через 8 месяцев после операции.
Fig. 4. Appearance of the limb 8 months after surgery.
Рис. 5. Рентгенограммы через 8 месяцев после операции.
Fig. 5. X-ray image 8 months after surgery.
Разрешена постепенно возрастающая нагрузка в полимерной иммобилизирующей повязке в течение 4 месяцев после демонтажа аппарата Илизарова, по истечении которых рентгенологически определялись увеличение МПКТ до предоперационных значений, ремоделирование костной ткани — перестройка общей трабекулярной текстуры. Был разрешён переход на ортопедическую обувь с компенсацией укорочения конечности (4 см). К этому времени болевой синдром пациентку не беспокоил, патологическая подвижность отсутствовала, однако сохранялся слабо выраженный отёк дистального сегмента конечности (+1,5 см) (рис. 4, 5). В течение данного периоперационного периода лечения осложнений не отмечалось.
Эпизод второй
В марте 2021 г. пациентка обратилась повторно с жалобами на слабые боли (3 балла по ВАШ), укорочение конечности и наличие деформации на уровне нижней трети голени. Со слов больной, деформация развилась постепенно в течение 2 месяцев. Факт получения травмы отрицала, за медицинской помощью не обращалась. Отмечалось увеличение массы тела на 7 кг.
Клинически определялись отёчность (+2,5 см), умеренная гипертермия (+2°) и варусная деформация (30°) дистального отдела голени без подвижности на указанном уровне. Перемещалась свободно, без средств дополнительной опоры (рис. 6).
Рис. 6. Внешний вид конечности (вид сзади).
Fig. 6. Appearance of the limb (posterior view).
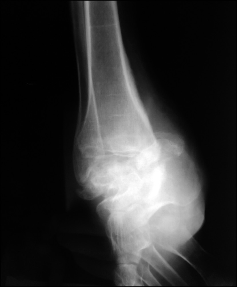
Рентгенологически выявлен спиралевидный перелом метафизарной зоны большеберцовой кости со смещением на стадии консолидации с образованием объёмной костной мозоли. Как и ранее, отмечались признаки снижения МПКТ (рис. 7, 8).
Рис. 7. Рентгенограмма в передне-задней проекции.
Fig. 7. X-ray image in anterior-posterior projection.
На момент повторного поступления в стационар отмечен дефицит 25-OH витамина D — 18 нг/мг (30–100) на фоне хронической болезни почек (ХБП), С3а (скорость клубочковой фильтрации — 49 мл/мин/1,73 м2), нормального уровня кальция, скорректированного на альбумин, фосфора, что сопровождалось гиперпаратиреозом (паратиреоидный гормон — 106,8 пг/мл (15–65)). По результатам двухэнергетической рентгеновской абсорбциометрии (денситометрии) МПКТ в проксимальном отделе бедренной кости выявлена остеопения до -2 SD по Z-score, до -1,7 SD в поясничном отделе позвоночника, остеопороз до -3,0 SD в лучевой кости.
Рис. 8. Рентгенограмма в боковой проекции.
Fig. 8. X-ray image in lateral projection.
При исследовании маркеров костной резорбции и костеобразования выявлено следующее. Остеокальцин — маркер костеобразования (витамин К- и витамин D-зависимый белок, присутствует в костной и зубной ткани, синтезируется остеобластами и одонтобластами, большая часть образующегося остеокальцина откладывается во внеклеточном матриксе кости, подвергается минерализации в процессе формирования новой костной ткани, оставшаяся часть белка (10–40%) поступает в кровоток) — находился в референсном диапазоне 20,53 нг/мл (14–42), С-концевой телопептид коллагена I типа (наиболее значимый продукт деградации коллагена: в процессе резорбции остеокластами телопептиды высвобождаются в кровоток и выводятся почками) у пациентки с переломом составил 0,438 нг/мл (0,1–0,85).
На основании клинико-анамнестических данных сделан вывод о патологическом характере перелома, рекомендовано хирургическое лечение.
Под спинномозговой анестезией без кровоостанавливающего турникета наложен аппарат Илизарова на 4 модулях. Произведена остеотомия малоберцовой кости из наружного доступа 2,0 см и большеберцовой кости из доступа 4,0 см по передне-внутренней поверхности на высоте деформации в зоне имеющейся костной мозоли. Профилактика осложнений, перевязки операционных ран и режим нагрузки были идентичны проводимым ранее. Заживление ран первичное, осложнений в ближайшем послеоперационном периоде не наблюдалось.
Рис. 9. Рентгенограмма в передне-задней проекции после окончания коррекции варусной деформации.
Fig. 9. X-ray image in anterior-posterior projection after correction of varus deformity.
Через 10 дней после операции начата этапная дозированная дистракция в зоне остеотомии на переднезадних стержнях, соответствующих оси большеберцовой кости, 0,75 мм/сут, на медиальном стержне — 1,0 мм/сут. Каждые 2 недели проводилось рентгенографическое исследование для оценки степени коррекции деформации и контроля удлинения. После коррекции углового смещения (рис. 9) скорость дистракции на трёх стержнях была одинаковой — 0,75 мм/сут. Через 8 недель после начала дистракции, когда диастаз между костными фрагментами составлял 40 мм, была достигнута компенсация укорочения и деформации конечности, дистракция была остановлена. К этому времени отмечались начальные признаки формирования костного регенерата, рентгенологические признаки снижения МПКТ оставались на прежнем уровне. Маркеры костного метаболизма не выходили за пределы референса — остеокальцин 34,76 нг/мл (11–43), С-концевой телопептид коллагена I типа — 0,346 нг/мл (0,3–0,57). После коррекции дефицита витамина D (приём колекальциферола 50 000 МЕ еженедельно в течение 8 недель внутрь, далее 2000 МЕ ежедневно внутрь) уровень ПТГ нормализовался и составил 61,7 пг/мл (15–65).
В последующем рентген-контроль осуществлялся ежемесячно. Плотность костного регенерата увеличивалась, однако отмечалась отрицательная динамика МПКТ. Через 4 месяца после операции обнаружены признаки гипотрофии регенерата — его сужение и извитая линия пониженной плотности, расположенная поперечно, ограниченная зоной с повышенной плотностью костной ткани (склероз) на уровне средней части регенерата; это также сопровождалось общими признаками сниженной МПКТ (рис. 10).
Рис. 10. Рентгенограмма в косой проекции с признаками гипотрофии регенерата.
Fig. 10. X-ray image in oblique projection with signs of regenerate malnutrition.
В связи с формированием гипотрофии регенерата на фоне стандартного лечения принято решение о добавлении к терапии терипаратида 20 мкг в день подкожно, длительность лечения составила 6 месяцев. Терипаратид — рекомбинантный человеческий паратиреоидный гормон, который является активным фрагментом эндогенного человеческого паратгормона и физиологическое действие которого заключается в стимуляции формирования костной ткани посредством прямого влияния на остеобласты. Несмотря на риск развития осложнений, связанных со сниженной устойчивостью к механическому воздействию на ткани (как следствие нейропатии), и нагноения, разрешена дозированная нагрузка не более 25% от массы тела.
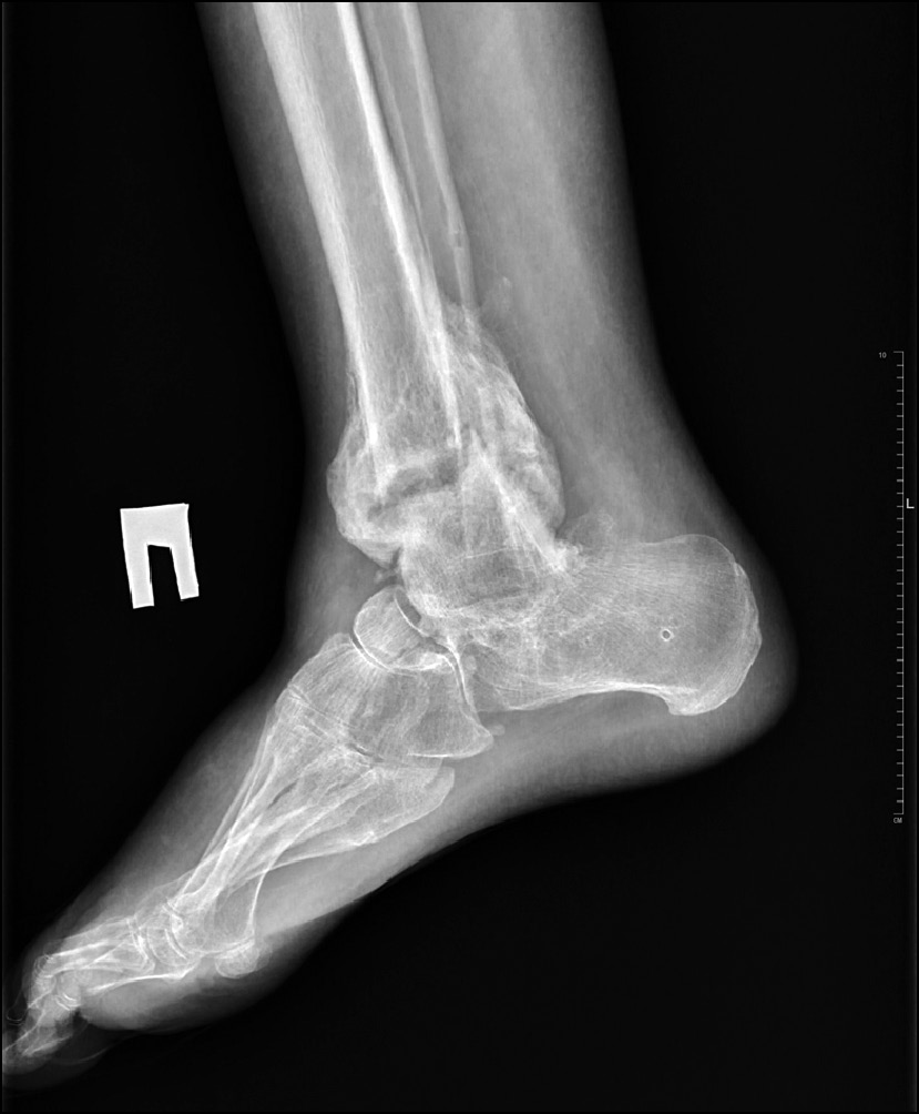
Рис. 11. Рентгенограммы после демонтажа аппарата Илизарова.
Fig. 11. X-ray images after dismantling of Ilizarov device.
Через 4 месяца лечения терипаратидом отмечено четырёхкратное увеличение маркера костеобразования (остеокальцина) — 133,1 нг/мл (11–43). По результатам денситометрии отмечено увеличение МПКТ на 9,7% в лучевой кости и до 5% — в бедренной кости. По рентгенологическим данным выявлена положительная динамика в отношении формирования костного регенерата: увеличение плотности, однородности, снижение проявлений общего снижения МПКТ. Ещё через 2 месяца отмечалось формирование кортикальной пластинки на всём протяжении регенерата, после чего принято решение о демонтаже аппарата Илизарова, общий срок применения которого составил 10 месяцев (рис. 11).
Рис. 12. Внешний вид конечностей через 12 месяцев после операции.
Fig. 12. Appearance of limbs 12 months after surgery.
Дальнейший период реабилитации был аналогичен предыдущему эпизоду: фиксация в полимерной иммобилизирующей повязке на протяжении 4 месяцев с постепенно возрастающей нагрузкой. В последующем, через 12 месяцев после повторной операции, — переход на готовую ортопедическую обувь и стельки без компенсации укорочения, возвращение к полноценной нагрузке (рис. 12).
ОБСУЖДЕНИЕ
В некоторых работах зарубежных авторов описан опыт артродеза заднего отдела стопы и пяточно-большеберцового артродеза при лечении стопы Шарко с удлинением большеберцовой кости за счёт дистракционного остеогенеза [28–31]. Преимуществами данного метода костной пластики являются абсолютная биосовместимость и физиологичность, широкие возможности по восполнению утраченного объёма кости и коррекции деформации, а также низкая себестоимость.
Применяется остеотомия как в проксимальной части большеберцовой кости, так и в дистальной, в том числе с интрамедуллярным ретроградным остеосинтезом по завершении этапа дистракции в аппарате внешней фиксации [31]. Авторы данной работы считают преимуществом этой методики стимуляцию кровообращения на уровне дистального сегмента нижней конечности (в зоне пяточно-большеберцового артродеза) за счёт остеотомии дистальной зоны большеберцовой кости, при этом, однако, указывая на более длительный срок формирования регенерата в нижней трети голени по сравнению с остеотомией в проксимальной метафизарной зоне — приблизительно 10 и 8 мес, соответственно.
Нам представляется, что выбор зоны остеотомии на уровне дистального отдела большеберцовой кости прогностически менее благоприятен и не оказывает значимого положительного влияния на формирование пяточно-большеберцового анкилоза (исходя из известных особенностей патогенеза стопы Шарко). Выполнение остеотомии на этом уровне может быть продиктовано вынужденными обстоятельствами, как и происходило в описанном клиническом случае (формирование патологического перелома со смещением).
К сожалению, ни в одной из работ не описаны особенности костной регенерации в условиях сниженной МПКТ, сопутствующего медикаментозного лечения, направленного на компенсацию остеопороза.
Накоплен опыт назначения препаратов для лечения остеопороза у пациентов с различными стадиями нейроостеоартропатии. Имеются данные рандомизированных исследований по применению препаратов группы бисфосфонатов (памидронат и алендронат), которые используются для лечения системного остеопороза. Как известно, механизм действия бисфосфонатов заключается в ингибировании костной резорбции путём замедления превращения предшественников остеокластов в активные остеокласты, а также подавлении активности зрелых остеокластов. В функциональной активности остеокластов большое значение имеют протоновый насос и биосинтез клеткой металлопротеиназ, подавление которого бисфосфонатами приводит к неспособности клетки к растворению минералов неорганического и органического матрикса — коллагена и неколлагеновых белков [32].
Данные преклинических исследований о влиянии бисфосфонатов на репаративный остеогенез противоречивы, однако исследователи сходятся во мнении, что бисфосфонаты на ранних этапах регенерации способствуют формированию объёмных регенератов, повышению механической прочности кости, но в последующем приводят к замедлению процесса ремоделирования регенерата [33]. В случае реконструктивного хирургического лечения стопы Шарко с применением металлофиксаторов и/или удлинением костей голени за счёт дистракционного остеогенеза изолированное применение бисфосфонатов может привести к неудовлетворительным результатам.
В рандомизированном исследовании у пациентов со стопой Шарко оценивалась эффективность терипаратида на фоне консервативного лечения — иммобилизации конечности при помощи полимерных повязок или туторов. Ежедневное введение препарата не сокращало время лечения по сравнению с контрольной группой, однако отмечалось повышение маркеров костеобразования, что может свидетельствовать о тенденции к повышению прочностных характеристик костной ткани [34, 35]. Эффективность терипаратида в ходе реконструктивных вмешательств на ДНОАП не исследована.
ЗАКЛЮЧЕНИЕ
Лечение стопы Шарко ввиду остеопороза сопряжено с рядом осложнений. Сформировавшаяся гипотрофия костного регенерата, потенциально способная осложниться переломом, свидетельствует о нарушении остеогенеза. Фармакологическое воздействие, стимулирующее процесс костеобразования, является важным аспектом, по всей видимости, увеличивающим вероятность успешного ортопедического лечения диабетической нейроостеоартропатии.
ДОПОЛНИТЕЛЬНО
Вклад авторов. Все авторы подтверждают соответствие своего авторства международным критериям ICMJE (все авторы внесли существенный вклад в разработку концепции, проведение исследования и подготовку статьи, прочли и одобрили финальную версию перед публикацией).
Источник финансирования. Авторы заявляют об отсутствии внешнего финансирования при проведении исследования и подготовке публикации.
Конфликт интересов. Авторы декларируют отсутствие явных и потенциальных конфликтов интересов, связанных с проведённым исследованием и публикацией настоящей статьи.
Информированное согласие. Авторы получили письменное согласие пациентки на публикацию её медицинских данных (17.11.2023 г.).
ADDITIONAL INFO
Autor contribution. All authors confirm that their authorship meets the international ICMJE criteria (all authors have made a significant contribution to the development of the concept, research and preparation of the article, read and approved the final version before publication).
Funding source. The authors state that there is no external funding when conducting the research and preparing the publication.
Competing interests. The authors declare that they have no competing interests.
Consent for publication. The patient gave her written consent for publication of her medical data (Nov 17, 2023).
About the authors
Petr S. Bardiugov
Endocrinology Research Centre; Russian University of Medicine; Ilyinskaya Hospital
Author for correspondence.
Email: petrbardiugov@gmail.com
ORCID iD: 0000-0002-5771-0973
SPIN-code: 7590-0446
MD, Cand. Sci. (Medicine)
Russian Federation, 11 Dm. Ulyanova str., 117292 Moscow; Moscow; KrasnogorskEkaterina V. Artemova
Endocrinology Research Centre
Email: artemova.ekaterina@endocrincentr.ru
ORCID iD: 0000-0002-2232-4765
SPIN-code: 4649-0765
MD
Russian Federation, 11 Dm. Ulyanova str., 117292 MoscowMikhail V. Parshikov
Russian University of Medicine
Email: parshikovmikhail@gmail.com
ORCID iD: 0000-0003-4201-4577
SPIN-code: 5838-4366
MD, Dr. Sci. (Medicine), рrofessor
Russian Federation, MoscowNikolay V. Yarygin
Russian University of Medicine
Email: dom1971@yandex.ru
ORCID iD: 0000-0003-4322-6985
SPIN-code: 3258-4436
MD, Dr. Sci. (Medicine), рrofessor, corresponding member of the Russian Academy of Sciences
Russian Federation, MoscowReferences
- Wukich DK, Schaper NC, Gooday C, et al. Guidelines on the diagnosis and treatment of active Charcot neuro-osteoarthropathy in persons with diabetes mellitus (IWGDF 2023). Diabetes Metab Res Rev. 2024;40(3):e3646. doi: 10.1002/dmrr.3646
- Dedov II, Shestakova MV, Mayorov AYu, et al. Algorithms of specialized medical care for patients with diabetes mellitus. Diabetes mellitus. 2023;26(2S):1–231. (In Russ). doi: 10.14341/DM13042
- Bjurholm A, Kreicbergs A, Brodin E, Schultzberg M. Substance P- and CGRP-immunoreactive nerves in bone. Peptides. 1988;1(9):165–171. doi: 10.1016/0196-9781(88)90023-x
- Bellinger DL, Lorton D, Felten SY, Felten DL. Innervation of lymphoid organs and implications in development, aging, and autoimmunity. International journal of immunopharmacology. 1992;3(14):329–344. doi: 10.1016/0192-0561(92)90162-e
- Takeda S, Elefteriou F, Levasseur R, et al. Leptin regulates bone formation via the sympathetic nervous system. Cell. 2002;111(3):305–317. doi: 10.1016/s0092-8674(02)01049-8
- Moore RE, Smith CK II, Bailey CS, Voelkel EF, Tashjian AH Jr. Characterization of beta-adrenergic receptors on rat and human osteoblast-like cells and demonstration that beta-receptor agonists can stimulate bone resorption in organ culture. Bone Miner. 1993;23(3):301–315. doi: 10.1016/S0169-6009(08)80105-5
- Togari A, Arai M, Mizutani S, et al. Expression of mRNAs for neuropeptide receptors and beta-adrenergic receptors in human osteoblasts and human osteogenic sarcoma cells. Neurosci Lett. 1997;233(2–3):125–128. doi: 10.1016/S0304-3940(97)00649-6
- Bajayo A, Bar A, Denes A, et al. Skeletal parasympathetic innervation communicates central IL-1 signals regulating bone mass accrual. Proceedings of the National Academy of Sciences of the United States of America. 2012;38(109):15455–15460. doi: 10.1073/pnas.1206061109
- Pierroz DD, Bonnet N, Bianchi EN, et al. Deletion of β-adrenergic receptor 1, 2, or both leads to different bone phenotypes and response to mechanical stimulation. J Bone Miner Res. 2012;27(6):1252–1262. doi: 10.1002/jbmr.1594
- Kliemann K, Kneffel M, Bergen I, et al. Quantitative analyses of bone composition in acetylcholine receptor M3R and alpha7 knockout mice. Life Sci. 2012;91(21–22):997–1002. doi: 10.1016/j.lfs.2012.07.024
- Elefteriou F. Impact of the Autonomic Nervous System on the Skeleton. Physiol Rev. 2018;98(3):1083–1112. doi: 10.1152/physrev.00014.2017
- Jimenez-Andrade JM, Mantyh PW. Sensory and sympathetic nerve fibers undergo sprouting and neuroma formation in the painful arthritic joint of geriatric mice. Arthritis Res Ther. 2012;14(3):R101. doi: 10.1186/ar3826
- Ghilardi JR, Freeman KT, Jimenez-Andrade JM, et al. Neuroplasticity of sensory and sympathetic nerve fibers in a mouse model of a painful arthritic joint. Arthritis Rheum. 2012;64(7):2223–2232. doi: 10.1002/art.34385
- Castañeda-Corral G, Jimenez-Andrade JM, Bloom AP, et al. The majority of myelinated and unmyelinated sensory nerve fibers that innervate bone express the tropomyosin receptor kinase A. Neuroscience. 2011;178:196–207. doi: 10.1016/j.neuroscience.2011.01.039
- Nencini S, Ringuet M, Kim D-H, Greenhill C, Ivanusic JJ. GDNF, neurturin, and artemin activate and sensitize bone afferent neurons and contribute to inflammatory bone pain. J Neurosci. 2018;38(21):4899–4911. doi: 10.1523/JNEUROSCI.0421-18.2018
- Ghilardi JR, Freeman KT, Jimenez-Andrade JM, et al. Sustained blockade of neurotrophin receptors TrkA, TrkB and TrkC reduces non-malignant skeletal pain but not the maintenance of sensory and sympathetic nerve fibers. Bone. 2011;48(2):389–398. doi: 10.1016/j.bone.2010.09.019
- McMahon SB, La Russa F, Bennett DLH. Crosstalk between the nociceptive and immune systems in host defence and disease. Nat Rev Neurosci. 2015;16(7):389–402. doi: 10.1038/nrn3946
- Tao R, Mi B, Hu Y, et al. Hallmarks of peripheral nerve function in bone regeneration. Bone Res. 2023;11(1):6. doi: 10.1038/s41413-022-00240-x
- Mi J, Xu J, Yao H, et al. Calcitonin gene-related peptide enhances distraction osteogenesis by increasing angiogenesis. Tissue Eng. 2021;27(1–2):87–102. doi: 10.1089/ten.TEA.2020.0009
- Wang L, Shi X, Zhao R, et al. Calcitonin-gene-related peptide stimulates stromal cell osteogenic differentiation and inhibits RANKL induced NF-kappaB activation, osteoclastogenesis and bone resorption. Bone. 2010;46(5):1369–1379. doi: 10.1016/j.bone.2009.11.029
- Yuan Y, Jiang Y, Wang B, et al. Deficiency of calcitonin gene-related peptide affects macrophage polarization in osseointegration. Front Physiol. 2020;11:733. doi: 10.3389/fphys.2020.00733
- Pongratz G, Straub RH. Role of peripheral nerve fibres in acute and chronic inflammation in arthritis. Nat Rev Rheumatol. 2013;9(2):117–126. doi: 10.1038/nrrheum.2012.181
- Vinik AI, Nevoret M-L, Casellini C, Parson H. Diabetic neuropathy. Endocrinol Metab Clin North Am. 2013;42(4):747–787. doi: 10.1016/j.ecl.2013.06.001
- Van Maanen MA, Vervoordeldonk MJ, Tak PP. The cholinergic anti-inflammatory pathway: towards innovative treatment of rheumatoid arthritis. Nat Rev Rheumatol. 2009;5(4):229–232. doi: 10.1038/nrrheum.2009.31
- Ha J, Hester T, Foley R, et al. Charcot foot reconstruction outcomes: A systematic review. J Clin Orthop Trauma. 2020;11(3):357–368. doi: 10.1016/j.jcot.2020.03.025
- Kwaadu KY. Charcot Reconstruction: Understanding and Treating the Deformed Charcot Neuropathic Arthropathic Foot. Clin Podiatr Med Surg. 2020;37(2):247–261. doi: 10.1016/j.cpm.2019.12.002
- Young RJ. The Organisation of Diabetic Foot Care: Evidence-Based Recommendations. The Foot in Diabetes. John Wiley & Sons, Ltd; 2006. Р. 398–403. doi: 10.1002/0470029374.ch36
- Siddiqui NA, Millonig KJ, Mayer BE, et al. Increased Arthrodesis Rates in Charcot Neuroarthropathy Utilizing Distal Tibial Distraction Osteogenesis Principles. Foot & Ankle Specialist. 2022;15(4):394–408. doi: 10.1177/19386400221087822
- Tellisi N, Fragomen AT, Ilizarov S, Rozbruch SR. Limb Salvage Reconstruction of the Ankle with Fusion and Simultaneous Tibial Lengthening Using the Ilizarov/Taylor Spatial Frame. HSS Journal. 2007;4(1):32–42. doi: 10.1007/s11420-007-9073-0
- Sakurakichi K, Tsuchiya H, Uehara K, et al. Ankle arthrodesis combined with tibial lengthening using the Ilizarov apparatus. Journal of Orthopaedic Science. 2003;8(1):20–25. doi: 10.1007/s007760300003
- Millonig KJ, Siddiqui NA. Tibial Lengthening and Intramedullary Nail Fixation for Hindfoot Charcot Neuroarthropathy. Clin Podiatr Med Surg. 2022;39(4):659–673. doi: 10.1016/j.cpm.2022.05.011
- Galli M, Pitocco D, Ruotolo V, et al. The effect of alendronate in acute charcot neuroarthropathy of the foot could be mediated by the decrease of IGF-1. Orthop Procs. 2009;91-B(suppl.):161–161. doi: 10.1302/0301-620X.91BSUPP_I.0910161c
- Shina Y, Engebretsen L, Iwasa J, et al. Use of bisphosphonates for the treatment of stress fractures in athletes. Knee Surg Sports Traumatol Arthrosc. 2011;17(5):542–550. doi: 10.1007/s00167-008-0673-0
- Rastogi A, Hajela A, Prakash M, et al. Teriparatide (recombinant human parathyroid hormone) increases foot bone remodeling in diabetic chronic Charcot neuroarthropathy: a randomized double-blind placebo-controlled study. J Diabetes. 2019;11(9):703–710. doi: 10.1111/1753-0407.12902
- Petrova NL, Donaldson NK, Bates M, et al. Effect of Recombinant Human Parathyroid Hormone (1-84) on Resolution of Active Charcot Neuro-osteoarthropathy in Diabetes: A Randomized, Double-Blind, Placebo-Controlled Study. Diabetes Care. 2021;44(7):1613–1621. doi: 10.2337/dc21-0008
Supplementary files















