Characteristics of the psoas minor muscle in modeling lateral interbody spondylodesis of the lumbar spine
- Authors: Filimonova G.N.1, Diuriagina O.V.1, Antonov N.I.1, Ryabykh S.O.2
-
Affiliations:
- Russian Ilisarov Medical Research Center for Traumatology and Orthopedics
- N.N. Priorov Russian Scientific Research Institute of Traumatology and Orthopedics
- Issue: Vol 29, No 1 (2022)
- Pages: 47-56
- Section: Original study articles
- Submitted: 08.02.2022
- Accepted: 21.04.2022
- Published: 15.03.2022
- URL: https://journals.eco-vector.com/0869-8678/article/view/90775
- DOI: https://doi.org/10.17816/vto90775
- ID: 90775
Cite item
Full Text
Abstract
ВACKGROUND: For the treatment of degenerative diseases of the spine, various deformities, a minimally invasive technique of lateral lumbar interbody fusion is used, which minimizes the risks of spinal cord injury. In the development of these pathologies, the most important role is assigned to the paraspinal muscles, the histological features of which are insufficiently elucidated in the relevant literature when modeling spondylodesis.
АIM: To investigate the effect of lateral interbody vertebral fusion (spondylodesis) when introducing titanium implants on the histostructure of the psoas minor muscle.
МATERIALS AND METHODS: Experiments were performed in 14 mongrel dogs, 3 individuals — the control group (norm). The аnimals underwent discectomy at the level of L4–5, L5–6 vertebrae through the lateral approach on the right, and interbody titanium implants were installed. The lumbar spine was stabilized with an external fixator for 30 days. Paraffin muscle sections were stained with hematoxylin-eosin, according to Masson.
RESULTS: During the experiment, an increased variety of myosymplast diameters, loss of polygonality of their profiles, fibrosis of the interstitial space, and sclerotization of the vascular membranes were observed in the psoas minor muscle. The volume density of endomysium in both muscles increased 1.5 times relative to the norm after 6 months Other parameters decreased: the volume of myosymplasts was 95%, that of microvessels — 73% on the left, 83% on the right. On the other hand, the degree of fatty infiltration increased, amounting to 276% on the left and 394% — on the right of the normal parameters. After 18 months, the bulk density of muscle fibers on the left was restored to the value in the control, on the right it was only 95%. The degree of sclerotization in the muscle on the left is 133%, on the right — 161% of the norm; the index of fatty infiltration was 146% on the left and 339% on the right of the normal parameter.
CONCLUSION: pathohistological changes in the psoas minor during lateral interbody fusion are more pronounced on the side of the operative approach, which necessitates minimizing trauma to the paravertebral muscles during operations in order to prevent sclerotization and fatty involution of muscle tissue.
Full Text
АКТУАЛЬНОСТЬ
Академик Н.А. Бернштейн (1926) сравнил спину человека с конструкцией цепочной мачты: позвоночный столб — центральная ось, а мышцы вокруг позвоночника подобны растяжкам этой мачты. Сагиттальный дисбаланс — широко признанная проблема, в механизме которого важная роль отведена параспинальной мускулатуре [1–3]. Баланс позвоночника нарушается в связи с уменьшением площади поперечного сечения мышц спины при поясничном стенозе, дегенеративном спондилолистезе [4].
Атрофию мышц связывают со сколиозом, остеохондрозом, фасеточной артропатией, дегенеративным кифозом, хронической и острой болью в пояснице [5–8]. При этом характерна высокая степень жировой инфильтрации в мышцах спины [9, 10]; коэффициент жировой дегенерации является одним из главных факторов, который принимается во внимание перед операцией [11].
Для лечения дегенеративных заболеваний позвоночника, деформаций, инфекционной, опухолевой, травматической грудопоясничной патологии используется методика бокового поясничного межтелового спондилодеза (Lumbar Lateral Interbody Fusion, LLIF) [12, 13]. Метод позволяет получить доступ к поясничному отделу позвоночника от L1–2 до L4–5 для размещения межтеловых устройств при коррекции корональной деформации, восстановлении высоты диска и непрямой декомпрессии корешков спинномозговых нервов [14–16]. Операции LLIF сопровождаются небольшой кровопотерей, минимальными рисками интраоперационного повреждения оболочки спинного мозга, сокращением времени на хирургическое вмешательство при этих сложных операциях [15].
Из обзора следует, что оперативный доступ, способ стабилизации, особенности мышц спины и осложнения при патологии позвоночника являются предметом обсуждений [13, 16, 17]. Гистологические особенности параспинальных мышц в условиях моделирования бокового межтелового спондилодеза в релевантной литературе не найдены, что обусловило целесообразность проведения данной работы.
Цель исследования — выявить влияние техники бокового межтелового спондилодеза нижнепоясничного отдела позвоночника с внедрением титановых имплантатов на гистоструктурные характеристики малой поясничной мышцы.
МАТЕРИАЛЫ И МЕТОДЫ
Проведены эксперименты на 14 беспородных собаках в возрасте 2–3 лет, массой 13±4 кг, 3 особи составили контрольную группу. Животным выполняли боковой межтеловой спондилодез поясничного отдела позвоночника на уровне позвонков L4–5 и L5–6 титановыми имплантатами. Стабилизацию поясничного отдела осуществляли спицевым аппаратом внешней фиксации в течение 30 сут. Срок наблюдений составил 6 (n=5), 12 (n=6) и 18 мес (n=3).
Исследование было одобрено Комитетом по этике ФГБУ «НМИЦ ТО имени академика Г.А. Илизарова» (протокол от 17.05.2018 № 2/57).
Все животные находились в стандартных условиях содержания и кормления, манипуляции проводились в соответствии с требованиями межгосударственных стандартов и санитарно-эпидемиологических требований Российской Федерации [24–27]. Для премедикации использовали растворы димедрола 1% (0,02 мг/кг), атропина сульфата 0,1% (0,02 мг/кг), дроперидола 1% (0,5 мг/кг) и рометара 2% (1 мг/кг). Для наркоза медленное введение раствора тиопентала натрия 5% в дозе 10 мг/кг веса. Эвтаназию выполняли после премедикации раствором димедрола 1% (0,02 мг/кг) и рометара 2% (1 мг/кг) с последующим введением летальной дозы барбитуратов.
Модель эксперимента. Оперативный доступ осуществляли справа на уровне вершин поперечных отростков поясничных позвонков в проекции межпозвоночных дисков позвонков L4–6. Для доступа к межпозвоночным дискам тупым способом отслаивали межпоперечные, большую и малую поясничные мышцы от поперечных отростков позвонков L5 и L6, после чего отростки полностью удаляли. Для доступа к межпозвоночному диску и одновременно защиты мягких тканей вентральный корешок спинномозговых нервов совместно с сосудами дислоцировали дорсо-каудально, а поясничное нервное сплетение в комплексе с сегментарными сосудами, большой и малой поясничными мышцами смещали вентрально. Выполняли выборку тканей межпозвоночного диска, формируя костное ложе для имплантата. Кейдж устанавливали методом вколачивания до полного заглубления в межтеловое пространство (рис. 1). После манипуляций операционную рану послойно ушивали. Для предупреждения подвижности в комплексе «имплантат — материнская кость» и миграции межпозвоночных кейджей поясничный отдел позвоночника фиксировали аппаратом Г.А. Илизарова в течение 30 сут [18]. В послеоперационном периоде наблюдали за общим состоянием животных, оценивали функцию тазовых конечностей.
Рис. 1. Операционное поле. Вид имплантата после установки в межтеловое пространство.
Гистологическое исследование малой поясничной мышцы (m. psoas minor) осуществляли через 6, 12, 18 мес эксперимента. Фрагменты мышц с левой и правой сторон от позвоночника иссекали в проекции внедрения имплантатов в межтеловое пространство и фиксировали в смеси равных объемов 2% глутарового и 2% параформальдегида. После гистологической проводки материал заливали в парафин, срезы окрашивали гематоксилином-эозином, по Ван-Гизону, трихромным методом по Массону. Изучали посредством стереомикроскопа AxioScope. A1 и встроенной цифровой фотокамеры AxioCam (Carl Zeiss MicroImaging GmbH, Германия). Изображения использовали для проведения стереологического анализа. Рассчитывали объемную плотность (мм3/мм3) мышечных волокон (VVmf), микрососудов (VVmv), эндомизия (VVend), ядерного компонента мышечной ткани (VVn); численную плотность (мм-2) миосимпластов и микрососудов (NAmf; NAmv). Рассчитывали индекс васкуляризации мышцы (Ivasc), оценивающий косвенно ее оксигенацию, NAmv/ NAmf — видовая константа.
Статистический анализ. Рассчитывали среднее арифметическое значение показателей (M) и стандартную ошибку средней (m). Достоверность различий оценивали на основании непараметрического критерия Вилкоксона для независимых выборок, различия считали значимыми при р <0,05, обработку цифрового материала осуществляли в программе AtteStat версии 10.8.8, встроенной в Microsoft Excel (Microsoft Corp., США) [19].
РЕЗУЛЬТАТЫ
В 1-е сутки после операции все животные имели состояние средней тяжести, температуру тела 39–39,5 °С, отмечался неврологический дефицит 3 степени (наличие чувствительности с отсутствием ходьбы) [20]. В области оперативного вмешательства выявлен умеренный по-слеоперационный отек мягких тканей. На 2-е и 3-и сутки наблюдалось более активное поведение животных, постепенное восстановление опорной и двигательной функций тазовых конечностей, нормализация аппетита и температуры (38,5–39,0 °С). Неврологический дефицит 3 степени сохранялся у 21,4% собак, у остальных наблюдался дефицит 1–2 степени в виде снижения коленного рефлекса справа. Отек тканей в области раны уменьшался. К 7-м суткам у 50% подопытных рефлексы восстанавливались, двигательная и опорная функции тазовых конечностей соответствовали норме, у 14,2% рефлексы восстановились на 10-е и 30-е сутки. Общее состояние собак до конца опыта удовлетворительное, нарушений двигательных рефлексов не отмечалось.
При макроскопическом осмотре m. psoas minor слева и справа от позвоночника обе мышцы лентовидной формы, темно-красного цвета, с перистым строением, брюшки располагались латерально от тел позвонков. Кровоизлияний, видимых дефектов, рубцовых разрастаний не отмечалось. Однако было выявлено, что мышца со стороны оперативного вмешательства (справа) имела меньший объем брюшка, она была не так широко распластана, как левая. Ее сухожильные тяжи располагались параллельно друг другу, а не веерно, как слева, мышца в сухожильной части не имела точек прикрепления к позвоночнику (рис. 2).
Рис. 2. Внешний вид вентральной поверхности поясничной области собаки через 6 мес после операции. Пр — m. psoas minor справа, Лев — мышца слева; L4–5, L5–6 — уровень установки межтеловых имплантатов.
Посредством микроскопического анализа было установлено, что в контрольной группе гистоструктура m. psoas minor характеризовалась полигональными единообразными профилями мышечных волокон, минимумом эндомизия и отсутствием фиброза оболочек в перимизиальных сосудах (рис. 3, а). Встречались мышечные волокна с признаками обратимых контрактур, нервно-мышечные веретена и внутримышечные нервные стволики без патологии (рис. 3, b).
Рис. 3. Гистоструктура m. psoas minor в контроле: а — полигональные профили волокон, минимум эндомизия; b — нервный стволик без патологии. Фрагменты парафиновых срезов, окраска гематоксилином-эозином, увеличение: а — ×400; b — ×200.
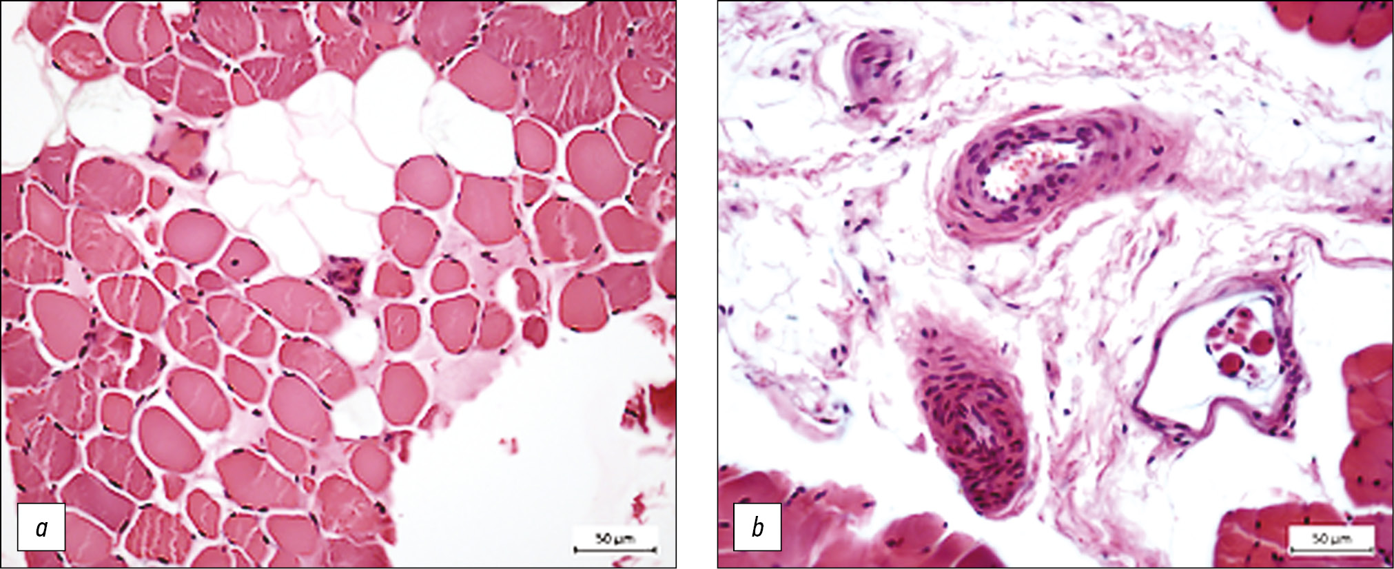
Через 6 мес после операции для m. psoas minor были характерны признаки структурной реорганизации с обеих сторон от позвоночника. Повышалось разнообразие диаметров мышечных волокон, контуры их утрачивали полигональность, возрастала доля эндомизия в обеих мышцах, наблюдались скопления липоцитов внутри мышечных пучков и в увеличенном интертициальном пространстве (рис. 4, а). В сосудах артериального звена идентифицировались признаки адвентициального фиброза, в составе утолщенной средней оболочки гладкомышечные клетки (ГМК) с нарушенной циркулярной ориентацией, просветы зачастую облитерированы (рис. 4, b).
Рис. 4. Гистоструктура малой поясничной мышцы через 6 мес эксперимента слева (а) и справа (b): а — разнообразные профили и диаметры миосимпластов; b — сосуд артериального звена с признаками адвентициального фиброза и утолщенной t. media, гладкомышечные клетки дезориентированы. Фрагменты парафиновых срезов, окраска гематоксилином-эозином, увеличение — ×400.
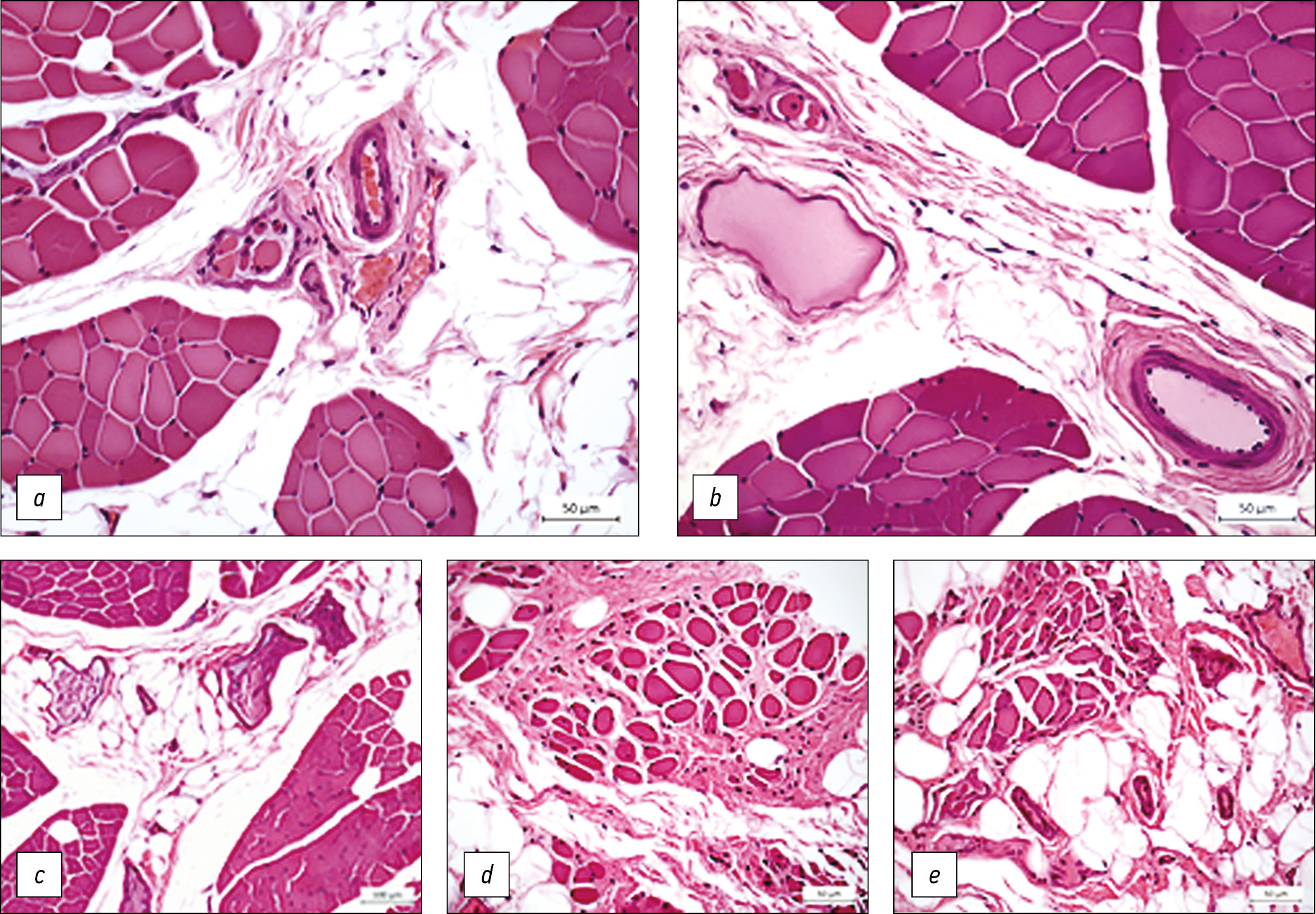
Через 12 мес эксперимента в исследуемой мышце с обеих сторон от позвоночника сохранялось повышенное разнообразие диаметров миосимпластов и некоторый фиброз эндомизия (рис. 5, а), перимизиальные сосуды, внутримышечные нервные проводники и нервно-мышечные веретена, как правило, без патологии (рис. 5, b).
К 18 мес в m. psoas minor слева преобладали полигональные профили миосимпластов, диаметры которых варьировали, отмечались единичные адипоциты в пучках мышечных волокон; для увеличенного перимизиального пространства были характерны скопления адипоцитов (рис. 5, c). В мышце справа наряду с нормоструктурой нередко идентифицировались фрагменты существенного фиброза мышечной ткани с миосимпластами различных профилей и диаметров, включая мелкие ангулярные (рис. 5, d). Наблюдались спазмированные сосуды, погруженные в скоп- ления адипоцитов, заместивших мышечные волокна (5, e).
Рис. 5. Гистоструктура m. psoas minor через 12 мес (a, b) и 18 мес (c–e) эксперимента слева (а, c) и справа (b, d, e) от позвоночника: а, b — полигональные профили мышечных волокон, нормоструктура сосудов и нервно-мышечных веретен, скопления адипоцитов в перимизиальном пространстве; c — фиброз эндомизия, единичные адипоциты в пучках миосимпластов, в увеличенном перимизии скопления жировых клеток; d — фрагмент фиброза мышечной ткани с миоцитами различных профилей; e — спазмированные сосуды погружены в скопления адипоцитов, заместивших мышечные волокна. Фрагменты парафиновых срезов, окраска гематоксилином-эозином, увеличение: ×400; c — ×200.
По данным стереометрии, через 6 мес в m. psoas minor наблюдалось увеличение объемной плотности эндомизия в 1,5 раза слева и в 1,4 раза справа (р <0,05) по сравнению с нормой (табл. 1). При этом уменьшалась доля объема миосимпластов до 95% от нормы в обеих мышцах и, соответственно, ядерного компонента, который слева составил 90%, справа 70% от нормы (р <0,05). Объемная плотность микрососудов — 73% и 83% (р <0,05) от нормы, индекс васкуляризации слева 87%, справа — не изменялся.
Таблица 1. Данные стереологического анализа малой поясничной мышцы
Table 1. Stereological analysis of the psoas minor muscle
Параметры (мм3) | m. psoas minor слева | m. psoas minor справа | Контрольная группа | ||||
Срок эксперимента, мес | |||||||
6 | 12 | 18 | 6 | 12 | 18 | ||
Vvmf | 0,7903±0,0062* | 0,7896±0,0079* | 0,8323±0,007 | 0,7971±0,0108* | 0,7315±0,0091* | 0,7901±0,009* | 0,8299±0,0042 |
Vvmv | 0,0204±0,0031* | 0,0257±0,0031 | 0,0113±0,0027* | 0,0232±0,003* | 0,0283±0,0034 | 0,0175±0,0043* | 0,0281±0,0025 |
Vvend | 0,1587±0,0038* | 0,1564±0,007* | 0,1409±0,0042* | 0,1539±0,0096* | 0,2181±0,0077* | 0,1697±0,0076* | 0,1057±0,0038 |
Vvn | 0,0312±0,0037 | 0,0288±0,0031 | 0,0185±0,0036* | 0,0238±0,0029* | 0,0216±0,0027* | 0,0195±0,0046* | 0,0347±0,0026 |
Ivasc | 0,6895 | 0,8109 | 1,0092 | 0,7872 | 0,9408 | 0,9043 | 0,7877 |
Примечание: * — различия достоверны для опытных групп и контроля, р <0,05. Vvmf — объемная плотность мышечных волокон; Vvmv — объемная плотность микрососудов; Vvend — объемная плотность эндомизия, Vvn — объемная плотность ядерного компонента мышечной ткани; Ivasc — индекс васкуляризации.
Footnote: * — differences are significant for the experimental groups and controls, p <0.05. Vvmf — the bulk density of muscle fibers; Vvmv — the volumetric density of microvessels; Vvend — the bulk density of the endomysium, Vvn — the bulk density of the nuclear component of muscle tissue; Ivasc — vascularization index.
Степень жировой инфильтрации в мышце слева составляла 276%, справа — 394% от нормы (табл. 2).
Таблица 2. Жировая инфильтрация малой поясничной мышцы
Table 2. Fatty infiltration of the psoas minor muscle
Показатель | m. psoas minor слева | m. psoas minor справа | Контрольная группа | ||||
Срок эксперимента, мес | |||||||
6 | 12 | 18 | 6 | 12 | 18 | ||
Доля адипоцитов, % | 19,6 | 14,7 | 10,4 | 28,0 | 16,1 | 24,1 | 7,1 |
Через 12 мес объем эндомизия слева 148%, справа — 206% от нормы (р <0,05). Относительный объем мышечных волокон слева и справа составил соответственно 95 и 98%, микрососудов — 91 и 101%, ядерного компонента — 83 и 62%, индекс васкуляризации — 103 и 119% от нормы. Степень жировой инфильтрации уменьшалась относительно предыдущего периода и составляла 207% слева, 227% справа по сравнению с контрольной группой. Спустя 18 мес слева объемная плотность миосимпластов восстанавливалась, превысив (недостоверно) значение в контроле, в мышце справа — лишь 95% от нормы (р <0,05); доля ядерного компонента составила 53% слева и 56% справа от нормы (р <0,05), объемная плотность микрососудов слева 40%, справа 62% от нормы (р <0,05). Индекс васкуляризации возрастал относительно предыдущего периода, превысив контрольный параметр как слева (128%), так и справа (115%), что было обусловлено снижением численной плотности мышечных волокон при несущественном уменьшении числа микрососудов. Степень склеротизации мышечной ткани снижалась по сравнению с предыдущим периодом опыта, составив 133% слева и 161% справа от контроля (р <0,05); показатель жировой инфильтрации слева уменьшался, справа — возрастал относительно предыдущего периода, составив соответственно 146 и 339% слева и справа от параметра в норме.
ОБСУЖДЕНИЕ
В отдаленном периоде эксперимента в мышце слева преобладала нормоструктура, отмечался менее существенный фиброз эндомизия и жировой инволюции, чем в мышце справа. Справа нередки патогистологические картины, индекс жировой инфильтрации превышал контрольный параметр в 3,4 раза. Доля объема, занимаемая ядерным компонентом, через 6 мес была максимальна. Увеличенные многочисленные ядра, наряду с повышенным разнообразием диаметров волокон, являлись свидетельством структурной адаптации мышечной ткани к оперативному вмешательству. Через 12 мес объемная плотность ядер уменьшалась одновременно со снижением объемной доли миосимпластов, при этом доля объема соединительнотканного компонента возрастала, как и степень жировой инволюции, более существенно в мышце справа. Через 18 мес объем ядерного компонента был почти в 2 раза меньше контрольного параметра в обеих мышцах, на фоне восстановления объема миосимпластов слева. В мышце справа объемная плотность мышечных волокон не восстанавливалась при достоверно большем объеме эндомизия. Уменьшение объемной плотности ядер в отдаленные периоды опыта объясняется увеличением возраста подопытных животных [21], а также их гиподинамией ввиду содержания в клетках.
Полученные данные по уменьшению объемной плотности миосимпластов, склеротизации и жировой инфильтрации мышц находят свое отражение в клинических исследованиях. Установлено уменьшение объема мышц, которое коррелирует с кифотической деформацией при анкилозирующем спондилите даже после многофакторной корректировки [22]. Иллюстрируется связь между болью в пояснице и уменьшением площади поперечного сечения мышц, а также увеличением инфильтрации жира в параспинальной мускулатуре [5]. Выявлена повышенная экспрессия фиброгенных генов без существенных различий в атрофических, миогенных путях, что предполагает необходимость мер для предотвращения или обращения вспять фиброгенеза [7]. Сохранность поясничной мышцы влияет и на сагиттальный баланс. Подтверждена взаимосвязь между величиной грудного кифоза, поясничного лордоза, наклона таза, наклона крестца, угла падения таза с числом мышечных волокон и коэффициентом жировой дегенерации [2]. Так, при поясничной радикулопатии, дегенеративной деформации имеет место высокая степень жировой инфильтрации в многораздельных мышцах [9]. Жировая инволюция является одним из главных факторов, который учитывается при планировании хирургического вмешательства: через 2 года пациенты с меньшей долей жира в многораздельных мышцах до операции после устранения моносегментарного стеноза получили лучшие клинические результаты [11]. Объем параспинальных мышц влияет на скорость консолидации, функциональную активность и частоту осложнений [23].
Таким образом, боковой межтеловой спондилодез оказывает негативное воздействие на малую поясничную мышцу, что проявляется через 6 мес в повышенном разнообразии диаметров миосимпластов, утрате полигональности их профилей, фиброзировании интерстициального пространства, склеротизации оболочек сосудов, жировой инволюции. Через 12 мес фиброз мышечной ткани слева в 1,5 раза, справа более чем в 2 раза превышает контрольный параметр, индекс жировой инфильтрации уменьшается в обеих мышцах. К 18-му месяцу слева степень фиброза превышает в 1,3, справа — в 1,6 раза параметр в норме; индекс жировой инволюции слева почти в 1,5 раза и более чем в 3 раза справа превышает параметр в контрольной группе.
ЗАКЛЮЧЕНИЕ
Выявленные патогистологические изменения малой поясничной мышцы при боковом межтеловом спондилодезе обуславливают необходимость щадящего оперативного воздействия, минимизирующего травматизацию мышц при осуществлении доступа к позвоночнику и установке имплантатов. Полученные результаты экспериментального исследования могут быть полезны в плане выбора технологии доступа и прогноза отдаленного результата при выполнении межтелового спондилодеза.
ДОПОЛНИТЕЛЬНАЯ ИНФОРМАЦИЯ / ADDITIONAL INFO
Вклад авторов. Все авторы подтверждают соответствие своего авторства международным критериям ICMJE (все авторы внесли существенный вклад в разработку концепции, проведение исследования и подготовку статьи, прочли и одобрили финальную версию перед публикацией).
Author contribution. Thereby, all authors made a substantial contribution to the conception of the work, acquisition, analysis, interpretation of data for the work, drafting and revising the work, final approval of the version to be published and agree to be accountable for all aspects of the work.
Источник финансирования. Не указан.
Funding source. Not specified.
Конфликт интересов. Авторы декларируют отсутствие явных и потенциальных конфликтов интересов, связанных с публикацией настоящей статьи.
Competing interests. The authors declare that they have no competing interests.
About the authors
Galina N. Filimonova
Russian Ilisarov Medical Research Center for Traumatology and Orthopedics
Author for correspondence.
Email: galnik.kurgan@yandex.ru
ORCID iD: 0000-0002-8929-8784
SPIN-code: 3007-1309
Scopus Author ID: 57196004532
Cand. Sci. (Biol.), senior researcher
Russian Federation, KurganOlga V. Diuriagina
Russian Ilisarov Medical Research Center for Traumatology and Orthopedics
Email: diuriagina@mail.ru
ORCID iD: 0000-0001-9974-2204
SPIN-code: 8301-1475
Cand. Sci. (Vet.), head of the experimental laboratory
Russian Federation, KurganNikolai I. Antonov
Russian Ilisarov Medical Research Center for Traumatology and Orthopedics
Email: aniv-niko@mail.ru
ORCID iD: 0000-0002-8627-2749
SPIN-code: 3754-7508
Scopus Author ID: 55207639900
Cand. Sci. (Biol.), researcher
Russian Federation, KurganSergei O. Ryabykh
N.N. Priorov Russian Scientific Research Institute of Traumatology and Orthopedics
Email: ryabykhco@cito-priorov.ru
ORCID iD: 0000-0002-8293-0521
SPIN-code: 6382-1107
Scopus Author ID: 54941390600
MD, Dr. Sci. (Med.), traumatologist-ortopedist, pediatric and spinal surgeon
Russian Federation, MoscowReferences
- Liang C, Sun J, Cui X, et al. Spinal sagittal imbalance in patients with lumbar disc herniation: its spinopelvic characteristics, strength changes of the spinal musculature and natural history after lumbar discectomy. BMC Musculoskelet Disord. 2016;17:305. doi: 10.1186/s12891-016-1164-y
- Jun HS, Kim JH, Ahn JH, et al. The effect of lumbar spinal muscle on spinal sagittal alignment: evaluating muscle quantity and quality. Neurosurgery. 2016;79(6):847–855. doi: 10.1227/NEU.0000000000001269
- Hori Y, Hoshino M, Inage K, et al. Clinical importance of trunk muscle mass for low back pain, spinal balance, and quality of life– a multicenter cross-sectional study. Eur Spine J. 2019;28(5):914–921. doi: 10.1007/s00586-019-05904-7
- Hiyama A, Katoh H, Sakai D, et al. The correlation analysis between sagittal alignment and cross-sectional area of paraspinal muscle in patients with lumbar spinal stenosis and degenerative spondylolisthesis. BMC Musculoskelet Disord. 2019;20(1):352. doi: 10.1186/s12891-019-2733-7
- He K, Head J, Mouchtouris N, et al. The implications of paraspinal muscle atrophy in low back pain, thoracolumbar pathology, and clinical outcomes after spine surgery: a review of the literature. Global Spine J. 2020;10(5):657–666. doi: 10.1177/2192568219879087
- Shchurova EN, Filimonova GN, Ryabykh SO. Magnitude of thoracic spine deformity affecting morphological characteristics of paraspinal muscles in patients with severe idiopathic scoliosis. Genij ortopedii. 2021;27(1):68–73. (In Russ). doi: 10.18019/1028-4427-2021-27-1-68-73
- Shahidi B, Fisch KM, Gibbons MC, Ward SR. Increased fibrogenic gene expression in multifidus muscles of patients with chronic versus acute lumbar spine pathology. Spine (Phila Pa 1976). 2020;45(4):E189–E195. doi: 10.1097/BRS.0000000000003243
- Xia W, Fu H, Zhu Z, et al. Association between back muscle degeneration and spinal-pelvic parameters in patients with degenerative spinal kyphosis. BMC Musculoskelet Disord. 2019;20(1):454. doi: 10.1186/s12891-019-2837-0
- Park MS, Moon SH, Kim TH, et al. Paraspinal muscles of patients with lumbar diseases. J Neurol Surg A Cent Eur Neurosurg. 2018;79(4):323–329. doi: 10.1055/s-0038-1639332
- Lee JC, Cha JG, Kim Y, et al. Quantitative analysis of back muscle degeneration in the patients with the degenerative lumbar flat back using a digital image analysis: comparison with the normal controls. Spine (Phila Pa 1976). 2008;33(3):318–325. doi: 10.1097/BRS.0b013e318162458f
- Storheim K, Berg L, Hellum C, et al. Fat in the lumbar multifidus muscles - predictive value and change following disc prosthesis surgery and multidisciplinary rehabilitation in patients with chronic low back pain and degenerative disc: 2-year follow-up of a randomized trial. BMC Musculoskelet Disord. 2017;18(1):145. doi: 10.1186/s12891-017-1505-5
- Baykov ES, Verner NYu. Key points of interbody fusion following surgical decompression and stabilization of the lumbosacral spine: literature review. Genij ortopedii. 2020;26(3):426–431. (In Russ). doi: 10.18019/1028-4427-2020-26-3-426-431
- Klimov VS, Vasilenko II, Evsyukov AV, et al. The use of LLIF technology in adult patients with degenerative scoliosis: retrospective cohort analysis and literature review. Genij ortopedii. 2018;24(3):393–403. (In Russ). doi: 10.18019/1028-4427-2018-24-3-393-403
- Taba HA, Williams SK. Lateral lumbar interbody fusion. Neurosurg Clin N Am. 2020;31(1):33–42. doi: 10.1016/j.nec.2019.08.004
- Shihata S. Indirect decompression of the neural elements utilizing direct lateral interbody fusion procedure. Med Arch. 2020;74(2):126–130. doi: 10.5455/medarh.2020.74.126-130
- Shimizu T, Fujibayashi S, Otsuki B, et al. Indirect decompression with lateral interbody fusion for severe degenerative lumbar spinal stenosis: minimum 1-year MRI follow-up. J Neurosurg Spine. 2020;1–8. doi: 10.3171/2020.1.SPINE191412
- Pourtaheri S, Issa K, Lord E, et al. Paraspinal muscle atrophy after lumbar spine surgery. Orthopedics. 2016;39(2):e209–e214. doi: 10.3928/01477447-20160129-07
- Kirsanov KP, Timofeev VN, Menshchikova IA. Methods and technical means for external fixation of the lumbar spine. Veterinariia. 2001;(8):36–40. (In Russ).
- Gaidyshev IP. Modelirovanie stokhasticheskikh i determinirovannykh sistem. Rukovodstvo pol’zovatelya programmy AtteStat. Kurgan; 2015. 484 p. (In Russ).
- Scott HW, McKee WM. Laminectomy for 34 dogs with thoracolumbar intervertebral disc disease and loss of deep pain perception. J Small Anim Pract. 1999;40(9):417–422. doi: 10.1111/j.1748-5827.1999.tb03114.x
- Sousa-Victor P, Gutarra S, García-Prat L, et al. Geriatric muscle stem cells switch reversible quiescence into senescence. Nature. 2014;506(7488):316–321. doi: 10.1038/nature13013
- Bok DH, Kim J, Kim TH. Comparison of MRI-defined back muscles volume between patients with ankylosing spondylitis and control patients with chronic back pain: age and spinopelvic alignment matched study. Eur Spine J. 2017;26(2):528–537. doi: 10.1007/s00586-016-4889-2
- Khan AB, Weiss EH, Khan AW, et al. Back muscle morphometry: effects on outcomes of spine surgery. World Neurosurg. 2017;103:174–179. doi: 10.1016/j.wneu.2017.03.097
- Russian National Standard (GOST) R 33044-2014 No. 71-P. “Principles of Good Laboratory Practice” dated October 20, 2014. Available from: https://docs.cntd.ru/document/1200115791 (In Russ).
- Russian National Standard (GOST) 33215-2014 No. 73-P “Guidelines for the maintenance and care of laboratory animals. Rules for equipping premises and organizing procedures” dated December 22, 2014. Available from: https://docs.cntd.ru/document/1200127789 (In Russ).
- Russian National Standard (GOST) 33217-2014 No. 73-P “Guidelines for the maintenance and care of laboratory animals. Rules for the maintenance and care of laboratory predatory mammals” dated December 22, 2014. Available from: https://docs.cntd.ru/document/1200127290 (In Russ).
- Sanitary Rules 2.2.1.3218-14 No. 34547 “Sanitary and epidemiological requirements for the arrangement, equipment and maintenance of experimental biological clinics (vivariums)” dated October 31, 2014. Available from: https://docs.cntd.ru/document/420219460 (In Russ).
Supplementary files







