The use of an external transosseous fixation device for non-united fractures and false joints of long bones after intramedullary osteosynthesis with a pin
- 作者: Oganesyan O.V.1
-
隶属关系:
- Central Institute of Traumatology and Orthopedics. N.N. Priorova
- 期: 卷 9, 编号 4 (2002)
- 页面: 26-32
- 栏目: Articles
- ##submission.dateSubmitted##: 01.02.2022
- ##submission.dateAccepted##: 01.02.2022
- ##submission.datePublished##: 02.02.2022
- URL: https://journals.eco-vector.com/0869-8678/article/view/99983
- DOI: https://doi.org/10.17816/vto99983
- ID: 99983
如何引用文章
全文:
详细
In 40 patients with 44 ununited intramedullar osteosynthesis diaphysial fractures of long bones (humerus, radius, ulna, femur, tibia) the external transosseous fixation device was applied to the bone fragments without removal of rods from bone marrow canal. In that case the rod excluded horizontal and angle mobility of fragments and the device eliminated rotation mobility and created mutual pressure offragments. Consolidation of the fracture and function restoration were achieved in 42 cases. Two patients required bone plasty.
全文:
Известно, что необходимым условием успешного сращения переломов являются точное сопоставление и прочная фиксация костных отломков. При оперативном лечении диафизарных переломов длинных костей с целью фиксации костных фрагментов начиная с XIX века используются интрамедуллярные гвозди разных конструкций [7, 12]. В нашей стране предложен и широко внедрен в практику ряд модификаций интрамедуллярных фиксаторов и разработаны разные методики интрамедуллярного остеосинтеза [1, 2, 4, 10, 11]. Для жесткой фиксации костных отломков некоторые травматологи стали рассверливать костномозговой канал, после чего вводили массивные гвозди [5, 8]. В результате рассверливания канала увеличивается зона контакта между гвоздем и внутренней поверхностью кости, что повышает стабильность остеосинтеза. Вместе с тем при рассверливании происходит эмболизация эндостальных интракортикальных сосудов. Вследствие этого значительно нарушается питание кортикальной пластинки, что может привести к замедленной консолидации перелома, и повышается риск жировой эмболии, тромбоэмболии, инфекции.
Недостатком интрамедуллярной фиксации является ротационная нестабильность костных отломков [6]. Для ее исключения были предложены многочисленные модификации фиксаторов и разные способы их применения. Так, А.В. Каплан [4] производил искусственное сужение просвета костномозгового канала, используя трансплантаты. К.М. Сиваш предложил компрессирующий штифт, В.И. Фишкин сконструировал компрессионный винт с лопастями на конце. С 80-х годов прошлого столетия получила распространение методика блокирования гвоздя винтами. В 1980 г. Ассоциацией остеосинтеза (АО) были разработаны оригинальные гвозди для бедренной и большеберцовой костей с учетом формы их костномозгового канала. Появились сообщения об использовании монолитных блокируемых гвоздей без предварительного рассверливания костномозгового канала [14]. Данный метод нашел применение и в России [6, 8, 9].
Главными недостатками блокирующего интрамедуллярного остеосинтеза при свежих диафизарных переломах длинных костей являются:
- образование диастаза между костными отломками. После перелома на концах отломков имеются мелкие костные осколки. В результате повреждения многочисленных кровеносных сосудов, костной и мягких тканей в области перелома происходит кровоизлияние и формируются участки некроза. В дальнейшем, после рассасывания этих образований, появляется диастаз между отломками, а блокирующий гвоздь в течение длительного времени — пока не удален статический винт — служит распоркой и не обеспечивает плотного контакта костных фрагментов;
- возможность скольжения костных отломков вдоль гвоздя при косых и винтообразных переломах после удаления статического винта, особенно при нагрузке, что может привести к укорочению поврежденной конечности;
- необходимость повторной травматичной операции для удаления конструкции;
- гораздо более высокая стоимость лечения по сравнению с лечением аппаратами чрескостной фиксации. При применении блокирующего интрамедуллярного остеосинтеза требуются ортопедический стол, электронно-оптический преобразователь, дистрактор с репонирующим устройством, инструменты для остеосинтеза и блокирования кости, что малодоступно для районных больниц.
Основными осложнениями при внутрикостном остеосинтезе считаются эмболия, тромбоэмболия, инфекция, шок.
Нередки случаи, когда переломы длинных костей после интрамедуллярного остеосинтеза штифтом не срастаются. При поступлении в клинику таких больных первое, что делает травматолог, — это удаляет штифт и уже потом приступает к лечению несросшегося перелома или ложного сустава одним из известных оперативных способов. Мы располагаем опытом применения в подобных ситуациях иной тактики лечения.
У 40 больных с несросшимися переломами и ложными суставами длинных костей (44 перелома), которым ранее был выполнен интрамедуллярный остеосинтез штифтом, не приведший к консолидации отломков, накладывали аппарат наружной чрескостной фиксации, не удаляя штифта. С переломом плечевой кости было 6 больных, с переломами костей предплечья — 18 (обеих костей предплечья — 4, локтевой кости — 5, лучевой — 9), с переломами бедренной кости — 12 и большеберцовой кости — 4 больных. Возраст пациентов составлял от 18 до 65 лет. Мужчин было 22, женщин — 18.
В начале нашей работы мы фиксировали костные отломки с помощью двух спиц, проведенных выше и ниже места перелома. Концы спиц натягивали и закрепляли в одной скобе. Таким образом исключалась ротационная подвижность отломков и создавалось их взаимное давление. Жесткая фиксация костных фрагментов интрамедуллярным штифтом в сочетании с аппаратом наружной чрескостной фиксацией обеспечивала успешную консолидацию перелома.
Приведем клинические примеры.
Пример 1. Больной Т.,30 лет, получил закрытый перелом левой плечевой кости в средней трети (сбит автомобилем). В одной из московских больниц произведен остеосинтез металлическим штифтом. Сращения отломков не наступило. При обращении в ЦИТО через 8 мес после травмы: мышцы левого плеча атрофичны, рентгенологически определяется ложный сустав плечевой кости. На отломки кости наложена сконструированная нами скоба с цанговыми спиценатягивателями, при помощи которой произведена фиксация отломков с их взаимным давлением (рис. 1, а). Через 4 мес констатировано сращение перелома (рис. 1, б).
В последующем для более жесткой фиксации мы проводили в каждый отломок по одной или две спицы и каждую спицу закрепляли в отдельной скобе (схема 1).
Пример 2. Больная Е., 23 лет, в автомобильной аварии получила закрытый оскольчатый перелом правого бедра в средней трети. В московской больнице вблизи места происшествия произведен остеосинтез металлическим блокируемым гвоздем с шурупами. Консолидации перелома не наступило. При обращении в ЦИТО спустя 6 мес после травмы: мышцы правого бедра резко атрофированы, на рентгенограммах — несросшийся перелом бедренной кости (рис. 2, а). Без удаления штифта наложен аппарат внешней фиксации. Через 4,5 мес клинически и рентгенологически отмечается консолидация перелома (рис. 2, б). Аппарат демонтирован. Штифт удален спустя 8 мес (рис. 2, в).
Рис. 1. Пример 1.Рентгенограммы больного Т.a — ложный сустав плечевой кости через 8 мес после фиксации костных отломков штифтом. Проведены две спицы, натянутые в одной скобе; б — спустя 4 мес: перелом сросся, аппарат снят.
Схема 1. Фиксация костных отломков с помощью интрамедуллярного штифта и двух скоб со спицами.
Рис. 2. Пример 2.Рентгенограммы больной Е.a — несросшийся оскольчатый перелом бедренной кости через 6 мес после остеосинтеза интрамедуллярным штифтом и винтами;б — через 4,5 мес после наложения аппарата наружной фиксации: консолидация перелома;в — после демонтажа аппарата.
Рис. 3. Пример 3.Рентгенограммы больной В.a — несросшийся перелом большеберцовой кости через 4 мес после интрамедуллярного остеосинтеза металлическим штифтом;б — после наложения аппарата наружной фиксации;в — спустя 4,5 мес: перелом сросся, аппарат удален.
Рис. 4. Пример 4.Рентгенограммы больной Б.a — несросшийся перелом плечевой кости через 5 мес после остеосинтеза штифтом;б — после наложения аппарата наружной фиксации;в — спустя 4 мес: перелом сросся, аппарат снят.
Пример 3. Больная В ., 20 лет, получила закрытый оскольчатый перелом диафиза костей левой голени (сбита автомобилем). В больнице по месту жительства произведен остеосинтез отломков большеберцовой кости стержнем. Перелом не сросся. При поступлении в ЦИТО через 4 мес после травмы клинически и рентгенологически определяется несросшийся перелом большеберцовой кости (рис. 3, а). Без удаления штифта наложен облегченный аппарат наружной чрескостной фиксации, состоящий из 4 скоб со спицами, при помощи которого произведена фиксация костных отломков с их взаимным давлением (рис. 3, б). Через 4,5 мес отмечено сращение перелома, аппарат удален (рис. 3, в).
Пример 4. Больная Б., 42 лет. По поводу закрытого перелома правой плечевой кости в одной из московских больниц через 7 дней после травмы произведен остеосинтез металлическим штифтом. Сращения перелома не наступило (рис. 4, а). Через 5 мес в ЦИТО на плечевую кость наложен аппарат из четырех скоб со спицами, произведена фиксация отломков с взаимным давлением. Через 20 дней после наложения аппарата рентгенологически определяется рассасывание рубцовых тканей между отломками, обусловленное их компрессией, сближение отломков до контакта (рис. 4, б). Через 4 мес наступило сращение перелома, аппарат удален (рис. 4, в).
В тех случаях, когда несросшийся перелом или ложный сустав сопровождался контрактурой близлежащего сустава, больным, также не удаляя интрамедуллярный фиксатор, накладывали шарнирно-дистракционный аппарат. Его осевая и замыкающая спицы служили для фиксации костных отломков выше и ниже места перелома, а поворотные спицы (составляющие вместе со скобами поворотную часть аппарата) проводились в другой суставной конец. Это позволяло эффективно осуществлять разработку движений в суставе.
Рис. 5. Пример 5.Рентгенограммы больного Д.a — ложный сустав бедренной кости, контрактура коленного сустава через 8 мес после интрамедуллярного остеосинтеза штифтом;б — после наложения шарнирнодистракционного аппарата;в — спустя 8 мес: достигнуто сращение перелома и восстановление функции коленного сустава.
Пример 5. Больной Д., 45 лет, сбит автомобилем, получил закрытый перелом левой бедренной кости в средней трети. В лечебном учреждении вблизи места аварии произведен остеосинтез металлическим гвоздем. Перелом не сросся. Через 8 мес госпитализирован в ЦИТО для повторной операции. При поступлении: мышцы бедра атрофированы, движения в коленном суставе ограничены. Рентгенологически определяется ложный сустав бедренной кости (рис. 5, а). Без удаления гвоздя больному наложен шарнирно-дистракционный аппарат, произведена фиксация отломков с их взаимным давлением (рис. 5, б). Осуществлялась разработка движений в коленном суставе. Через 8 мес достигнуто сращение перелома и восстановление движений в коленном суставе (рис. 5, в).
Пример 6. Больной К., 52 лет, упал на руку, получил закрытый перелом правой плечевой кости. В больнице по месту жительства через 5 дней произведен остеосинтез металлическим штифтом. Штифт сломался, сращения перелома не наступило. При обращении в ЦИТО через 11 мес после травмы: мышцы правого плеча атрофированы, по наружной поверхности плеча имеются рубцы, на рентгенограммах — ложный сустав плечевой кости (рис. 6, а). Учитывая сложность ложного сустава, после удаления сломанного штифта в костномозговой канал плечевой кости вновь введен штифт и наложен шарнирно-дистракционный аппарат, при помощи которого осуществлялась фиксация костных отломков с взаимным давлением (рис. 6, б) с одновременной разработкой движений в локтевом суставе. Через 5 мес клинически и рентгенологически отмечено сращение перелома и восстановление движений в локтевом суставе. Аппарат удален (рис. 6, в).
Особый интерес представляет проведенная нами совместно с С.В. Иванниковым работа по комбинированному остеосинтезу при
несросшихся переломах костей предплечья, включающему интрамедуллярный остеосинтез тонкими металлическими стержнями и наложение аппарата наружной фиксации [3]. По анатомическому строению предплечье является сложным сегментом, в котором две кости, мышцы и сосудистонервные пучки расположены близко друг к другу. При повреждении одной из костей другая выступает в роли распорки; при повреждении обеих костей за счет разнонаправленной тяги мышц происходят значительные смещения с выраженной деформацией предплечья, а так как сосудистонервные пучки идут по ходу костей, то нейроциркуляторные расстройства носят выраженный характер. Все это определяет сложность лечения несросшихся переломов и ложных суставов диафиза костей предплечья. Предлагаемый нами метод позволяет и в этом случае добиться успеха.
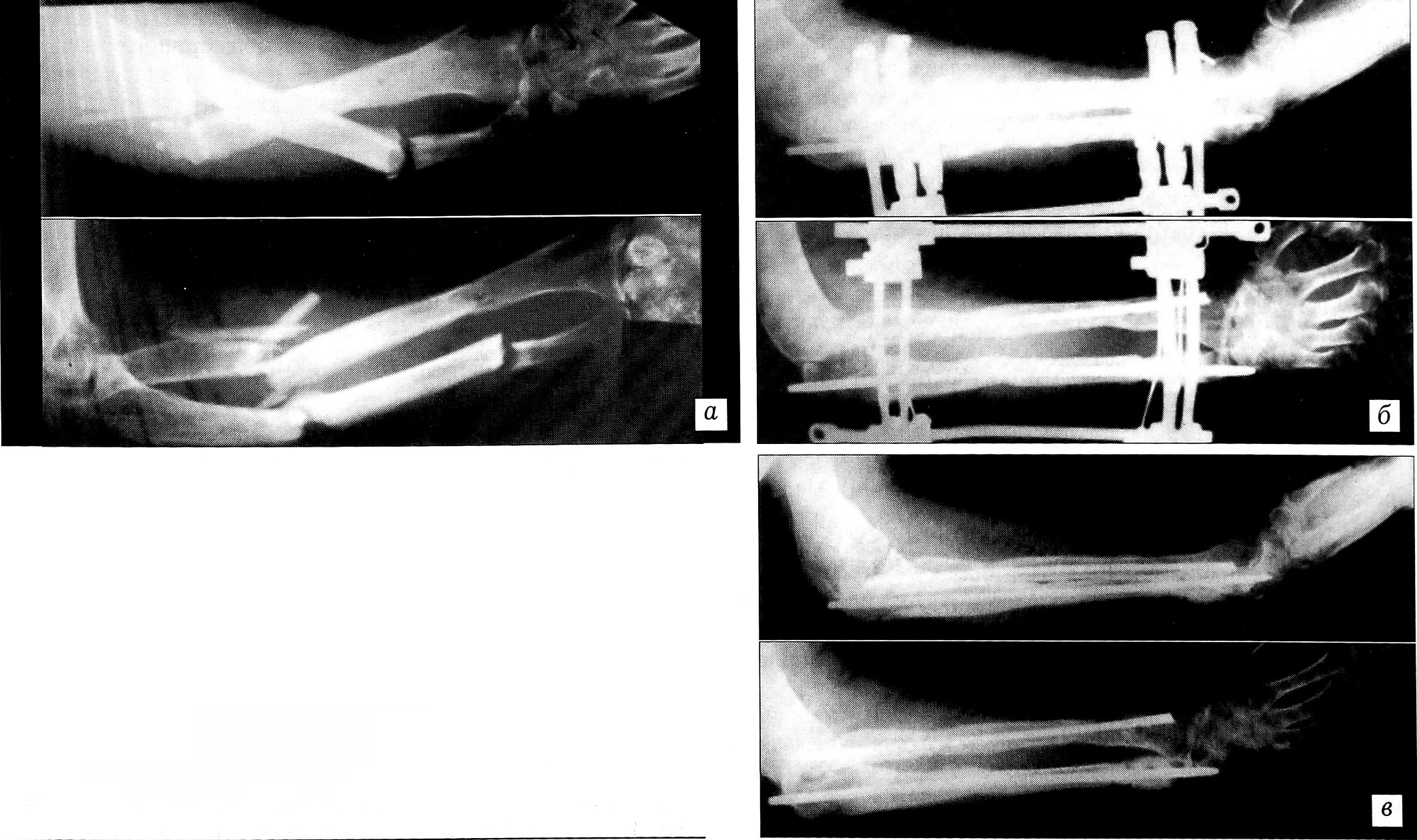
Пример 7. Больной П ., 29 лет, поступил в ЦИТО по поводу застарелых двойных переломов лучевой и локтевой костей (рис. 7, а). По месту жительства пациенту через 2 нед после травмы был произведен интрамедуллярный остеосинтез обеих костей предплечья штифтами Богданова — переломы не срослись. Наложен облегченный аппарат чрескостной фиксации, состоящий из четырех спиц и скоб (рис. 7, б). Через 3 мес клинически и рентгенологически констатирована консолидация обоих переломов (рис. 7, в).
Рис. 6. Пример 6.Больной К., ложный сустав плечевой кости через 11 мес после интрамедуллярного остеосинтеза штифтом, перелом штифта и смещение костных отломков.а — при поступлении в ЦИТО; б — произведены повторный остеосинтез штифтом, костная пластика, наложен аппарат наружной фиксации; в — через 5 мес: перелом сросся, функция локтевого сустава восстановлена.
Рис. 7. Пример 7.Рентгенограммы больного П.a — двойные переломы лучевой и локтевой костей;б — несросшиеся переломы обеих костей после интрамедуллярного остеосинтеза. Наложен аппарат чрескостной фиксации;в — через 3 мес: переломы срослись, аппарат снят.
При наложении аппаратов мы старались проводить спицы вне биологически активных зон, для чего осуществляли предварительную разметку этих зон или каналов. Кроме нагноения мягких тканей вокруг спиц у 8 больных, которое удалось ликвидировать, осложнений не наблюдалось. В 42 (95,5%) случаях было достигнуто сращение переломов и восстановление функции поврежденной конечности. В 2 случаях потребовалась костная пластика.
作者简介
O. Oganesyan
Central Institute of Traumatology and Orthopedics. N.N. Priorova
编辑信件的主要联系方式.
Email: info@eco-vector.com
俄罗斯联邦, Moscow
参考
补充文件
