The first experience of using the biocomposite material "Osteomatrix" in the clinic of bone pathology
- Authors: Lekshivili M.V.1, Balberkin A.V.1, Vasiliev M.G.1, Kolondaev A.F.1, Baranetsky A.L.1, Buklemishev Y.V.1
 - 
							Affiliations: 
							
- Central Institute of Traumatology and Orthopedics. N.N. Priorova
 
 - Issue: Vol 9, No 4 (2002)
 - Pages: 80-84
 - Section: Articles
 - Submitted: 01.02.2022
 - Accepted: 01.02.2022
 - Published: 02.02.2022
 - URL: https://journals.eco-vector.com/0869-8678/article/view/99996
 - DOI: https://doi.org/10.17816/vto99996
 - ID: 99996
 
Cite item
Full Text
Abstract
At CITO Clinic of bone pathology new biocomposite material «Osteomatrix» was used in 15 patients (mainly with tumors and tumor-like diseases) for the plasty of post-resection bone defects. «Osteomatrix» is composed of bone collagen, hydroxyapatite and sulfated glycosaminoglycanes. «Osteomatrix» is produced at CITO together with «Conectbiopharm Ltd.» in the form of granules and blocks. Observation in dynamics with roentgenologic control showed good tolerance of «Osteomatrix» by patients and distinct accelerated bone regeneration in the zone of bone plasty.
Full Text
Одним из эффективных способов замещения пострезекционных дефектов у больных с опухолями и опухолеподобными заболеваниями скелета является пластика трансплантатами или имплантатами. В качестве пластического материала применяются ауто-, аллоили ксеноткани, а также комбинации из биологических и/или синтетических компонентов [10, 17]. Однако использование аутотканей сопряжено с рядом негативных моментов, к числу которых относятся риск инфицирования этих тканей во время забора, нередко недостаточный объем материала для заполнения дефекта, нанесение больному дополнительной травмы. Поиск альтернативы этому методу привел к разработке биоматериалов, способных перестраиваться и обладающих остеокондуктивными и остеоиндуктивными свойствами [11, 12]. Такие материалы чаще всего состоят из нескольких компонентов и могут содержать как остеогенные клетки-предшественники, так и остеокондуктивные и остеоиндуктивные компоненты костного матрикса. Экспериментальные и клинические исследования по использованию такого рода биокомпозиционных материалов подтвердили их конкурентоспособность с аутокостью [14, 15].
Известно, что в процессах остеогенеза активное участие принимают основные компоненты межклеточного матрикса, такие как протеогликаны, гликопротеиды и коллаген, а также другие факторы роста. Протеогликаны представляют собой белки, связанные со сложными полисахаридами, главным образом с сульфатированными гликозаминогликанами (сГАГ), которые и определяют основные функциональные характеристики этих соединений. В кости сГАГ представлены хондроитин-, дерматани кератансульфатами. Доказано, что сГАГ способны модулировать обмен клеток соединительной ткани и влиять на их дифференцировку [6, 9, 13]. В литературе имеются отдельные сообщения о влиянии сГАГ на репарацию костной ткани [1], однако их роль в процессах ее восстановления изучена крайне недостаточно.
В ЦИТО им. Н.Н. Приорова совместно с фирмой ООО «Конектбиофарм» на основе костного аллоколлагена, костных алло-сГАГ и гидроксиапатита разработан биопластический материал нового поколения «Остеоматрикс» [2]. Как показали доклинические и клинические испытания, этот материал характеризуется хорошей биоинтеграцией, обладает устойчивостью к биодеградации, высокой биосовместимостью (практически полное отсутствие иммунных реакций у реципиента), способностью выполнять остеокондуктивную функцию и имеет выраженные остеогенные потенции.
Целью настоящей работы было изучение пластических свойств «Остеоматрикса» при применении его у больных с различными видами костной патологии.
МАТЕРИАЛ И МЕТОДЫ
В исследование включено 15 больных, оперированных в клинике костной патологии взрослых ЦИТО с мая по ноябрь 2001 г. Возраст больных составлял от 20 до 73 лет. Обследование пациентов проводилось с использованием клинического, рентгенологического, компьютерно-томографического и гистологического методов. Как видно из представленной таблицы, локализация поражений и их нозологическая форма имели достаточно широкий диапазон. Преобладали опухолевые поражения, диагностированные у 7 больных. У 4 пациентов были различные кистозные образования, у 3 — хронический воспалительный процесс и у 1 больного — ложный сустав. Патологический процесс чаще локализовался в бедренной и большеберцовой костях.
Характеристика группы больных, подвергнутых хирургическому лечению с использованием «Остеоматрикса»
№ п/п  | Дата операции  | Пол  | Возраст, годы  | Локализация поражения  | Нозологическая форма  | 
1  | 14.05.01  | М  | 25  | Плечевая кость  | Солитарная киста  | 
2  | 22.05.01  | м  | 51  | III пястная кость  | Хондрома  | 
3 *  | 24.05.01  | ж  | 24  | Бедренная кость  | Неврогенная опухоль  | 
4 **  | 24.05.01  | м  | 21  | Большеберцовая кость  | Гигантоклеточная опухоль  | 
5  | 01.06.01  | м  | 20  | Фаланга I пальца стопы  | Хронический воспалительный процесс  | 
6  | 04.06.01  | м  | 39  | Таранная кость  | Гигантоклеточная опухоль  | 
7  | 09.06.01  | ж  | 41  | Бедренная кость  | Хронический воспалительный процесс  | 
8  | 14.06.01  | Zrt  | 24  | IV пястная кость  | Хондрома  | 
9  | 18.06.01  | м  | 21  | Бодьшеберцовая кость  | Остеохондрома  | 
10 *  | 25.06.01  | /tv  | 21  | Плечевая кость  | Гигантоклеточная опухоль  | 
11  | 26.06.01  | м  | 73  | V-VII грудинореберное сочленение  | Ложный сустав  | 
12  | 12.09.01  | м  | 54  | Пяточная кость  | Дегенеративная киста  | 
13  | 26.09.01  | м  | 51  | Большеберцовая кость  | Хронический воспалительный процесс  | 
14 **  | 04.10.01  | м  | 24  | Бедренная кость  | Аневризмальная киста  | 
15  | 05.10.01  | м  | 23  | Плечевая кость  | Аневризмальная киста  | 
* «Остеоматрикс» применен в сочетании с замороженными кортикальными имплантатами.** «Остеоматрикс» применен в сочетании с деминерализованными имплантатами «Перфоост».
Для замещения костных дефектов использовали «Остеоматрикс» в виде гранул размером 0,20,3 см3, расфасованный во флаконы по 1-2 см3. После выполнения краевой резекции или секвестрнекрэктомии образовавшиеся дефекты размером до 10 см3 в ненагружаемых отделах кости неплотно заполнялись гранулами «Остеоматрикса». При наличии воспалительного процесса рану дренировали.
При дефектах большего размера или локализации их в нагружаемом отделе иногда вместе с гранулами «Остеоматрикса» использовали уже известный материал «Перфоост» — поверхностно-деминерализованный кортикальный имплантат или кортикальные замороженные имплантаты с высокими механическими характеристиками [3]. У больного с ложным суставом грудинореберного сочленения применение «Остеоматрикса» сочеталось с остеосинтезом скобами из никелида титана с памятью формы.
РЕЗУЛЬТАТЫ И ОБСУЖДЕНИЕ
После полного заживления раны больных выписывали из клиники, реабилитация проводилась по общепринятой схеме с учетом локализации патологического процесса и объема оперативного вмешательства. Рентгенологическое исследование области пластики выполняли сразу после операции и затем через 1, 3 и 6 мес. К моменту анализа результатов срок наблюдения составлял не менее полугода.
В раннем послеоперационном периоде нагноений или формирования гематом не отмечалось. Во всех случаях раны зажили в обычные сроки первичным натяжением. Инфекционных осложнений и рецидивов заболевания на протяжении всего периода наблюдения не выявлено.
Анализ рентгенограмм показал, что через 1 мес после хирургических вмешательств картина неоднородной «глыбчатой» структуры в местах заполнения дефектов «Остеоматриксом» или в пространствах между его гранулами и аллоимплантатами, выявлявшаяся сразу после операции, полностью исчезала. Рентгеновская тень была практически однородной и имела умеренную плотность (рис. 1). Через 3 мес в большинстве случаев (66%), а через 6 мес у всех больных места, куда помещался «Остеоматрикс», по плотности рентгеновского изображения были неотличимы от окружающей губчатой костной ткани (рис. 2). Признаки перестройки замороженных кортикальных аллоимплантатов, применявшихся совместно с гранулами «Остеоматрикса», во все сроки наблюдения были минимальными (рис. 3), тогда как поверхностно-деминерализованные кортикальные аллотрансплантаты к 6-му месяцу частично инкорпорировались в материнское костное ложе (рис. 4).
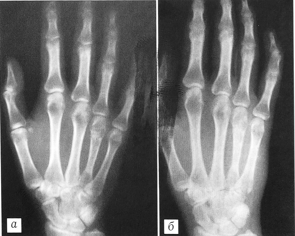
Рис. 1. Рентгенограммы больной П. 24 лет. Диагноз: хондрома IV пястной кости.a — после операции с пластикой дефекта «Остеоматриксом»; б — через 1 мес.
Клинический пример. Больная К., 51 года, поступила в отделение костной патологии ЦИТО 21.05.01 с жалобами на боли в области III пястно-фалангового сустава правой кисти, усиливающиеся при физической нагрузке. При клинико-рентгенологическом обследовании выявлен очаг патологической деструкции в головке III пястной кости (рис. 5, а). Диагноз: хондрома III пястной кости. 22.05.01 произведена операция: краевая резекция III пястной кости, удаление патологической ткани с последующей электрокоагуляцией стенок полости и пластикой дефекта «Остеоматриксом» (рис. 5, б). Послеоперационное течение без осложнений. Рентгенологическая картина через 1 и 5 мес после операции свидетельствует о постепенной биодеградации пластического материала и замещении его собственной костной тканью (рис. 5, в, г).
Результаты проведенного исследования свидетельствуют о том, что биокомпозиционный материал «Остеоматрикс» при помещении его в костный дефект активно влияет на построение костной ткани на месте бывшего очага поражения у больных с разными видами костной патологии. Формирование рентгенологически плотной субстанции происходит в достаточно короткие сроки, начинаясь с первого месяца после трансплантации и завершаясь к 6-му месяцу построением губчатой кости. При этом каких-либо воспалительных реакций организма на внесенный материал не наблюдается, что указывает на его низкую антигенность и высокую степень биоинтеграции в ткани реципиента.
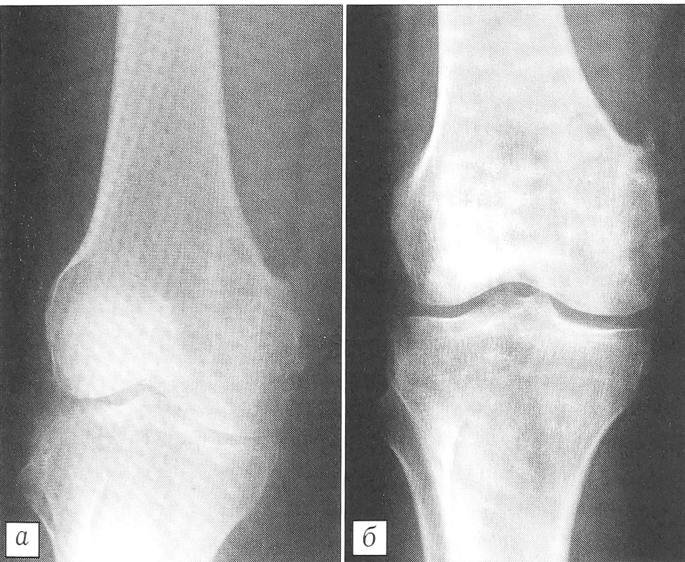
Рис. 2. Рентгенограммы больной Т. 41 года. Диагноз: воспалительный процесс в области внутреннего надмыщелка правой бедренной кости.а — после открытой биопсии; б — через 3 мес после операции с пластикой дефекта «Остеоматриксом».
Рис. 3. Рентгенограмма больной Б. 21 года. Диагноз: рецидив гигантоклеточной опухоли плечевой кости. Через 9 мес после операции с пластикой дефекта «Остеоматриксом» в сочетании с замороженными кортикальными аллоимплантатами.
Рис. 4. Рентгенограммы больной С. 21 года. Диагноз: гигантоклеточная опухоль большеберцовой кости.a — до операции; б — через 5 мес после операции с пластикой дефекта «Остеоматриксом» и «Перфоостом».
«Остеоматрикс» в виде гранул может успешно использоваться для заполнения небольших — до 10 см3 костных дефектов. Следует отметить, что изначально данный вид материала был разработан для стоматологии и челюстно-лицевой хирургии, где объем поражения кости, как правило, не очень велик. Сегодня он достаточно широко используется в этих областях медицины. В травматологии и ортопедии это первый опыт применения «Остеоматрикса». Учитывая, что объем поражения кости у больных с травмами и различными видами костной патологии всегда значителен и для замещения дефектов требуется большое количество пластического материала, в настоящее время в клиниках ЦИТО приступили к использованию «Остеоматрикса» в форме блоков объемом 6~8 см3. Скорее всего, при этом удастся решить вопрос не только заполнения и возмещения достаточно больших дефектов костной ткани, но и создания в ней устойчивой поддерживающей структуры, столь необходимой в нагружаемых участках пораженной кости. В этом плане перспективным является также использование «Остеоматрикса» совместно с другими видами материалов, о чем свидетельствует наш первый опыт одновременного применения этого биокомпозита с замороженными или поверхностно-деминерализованными кортикальными аллоимплантатами «Перфоост». Последние, помимо остеогенных качеств [16], имеют достаточно высокие прочностные показатели [3] и в настоящее время уже нашли применение при пластике обширных костных дефектов [4], а также при хирургическом лечении посттравматических ложных суставов [5].
Рис. 5. Рентгенограммы больной К. 51 года. Диагноз: хондрома III пястной кости.а — до операции; б — после операции с пластикой дефекта «Остеоматриксом»; в — через 1 мес; г — через 5 мес.
Использование у 2 наших больных поверхностно-деминерализованных кортикальных имплантатов вместе с «Остеоматриксом» оказалось абсолютно оправданным. Известно, что деминерализованная кость обладает остеоиндуктивным эффектом и может запускать процесс костеобразования у реципиента [18— 20]. Изготовленные по технологии ЦИТО частично деминерализованные аллоимплантаты «Перфоост» [7] имеют как необходимые пластические свойства, так и достаточно высокие биомеханические характеристики. Пластика больших дефектов в нагружаемых отделах костей нижних конечностей должна выполняться с применением имплантатов, обладающих хорошими прочностными свойствами.
Таким образом, «Остеоматрикс» является перспективным биокомпозиционным материалом, способным стимулировать репарацию костной ткани, обеспечивая ее быстрое восстановление. Возможность применения его в виде гранул в качестве самостоятельного пластического материала или в сочетании с препаратом «Перфоост» расширяет для клиницистов выбор способа лечения и типа пластики после резекции кости у больных с опухолями и опухолеподобными заболеваниями скелета. На основании полученных результатов представляется целесообразным расширить область клинического применения и ассортимент форм выпуска «Остеоматрикса».
About the authors
M. V. Lekshivili
Central Institute of Traumatology and Orthopedics. N.N. Priorova
							Author for correspondence.
							Email: info@eco-vector.com
				                					                																			                												                	Russian Federation, 							Moscow						
A. V. Balberkin
Central Institute of Traumatology and Orthopedics. N.N. Priorova
														Email: info@eco-vector.com
				                					                																			                												                	Russian Federation, 							Moscow						
M. G. Vasiliev
Central Institute of Traumatology and Orthopedics. N.N. Priorova
														Email: info@eco-vector.com
				                					                																			                												                	Russian Federation, 							Moscow						
A. F. Kolondaev
Central Institute of Traumatology and Orthopedics. N.N. Priorova
														Email: info@eco-vector.com
				                					                																			                												                	Russian Federation, 							Moscow						
A. L. Baranetsky
Central Institute of Traumatology and Orthopedics. N.N. Priorova
														Email: info@eco-vector.com
				                					                																			                												                	Russian Federation, 							Moscow						
Yu. V. Buklemishev
Central Institute of Traumatology and Orthopedics. N.N. Priorova
														Email: info@eco-vector.com
				                					                																			                												                	Russian Federation, 							Moscow						
References
Supplementary files
				
			
					
						
						
									






