Surgical treatment of Forestier disease
- 作者: Orlov V.P.1, Idrichan S.M.1, Alekseyev E.D.1, Mirzametov S.D.1
-
隶属关系:
- Kirov Military medical academy
- 期: 卷 21, 编号 4 (2019)
- 页面: 46-50
- 栏目: Articles
- ##submission.dateSubmitted##: 17.02.2020
- ##submission.datePublished##: 15.12.2019
- URL: https://journals.eco-vector.com/1682-7392/article/view/20658
- DOI: https://doi.org/10.17816/brmma20658
- ID: 20658
如何引用文章
全文:
详细
Historical information, epidemiology, risk factors, diagnosis and known methods of treating diffuse idiopathic skeletal hyperostosis – Forestier disease – a rare idiopathic non-inflammatory disease of the musculoskeletal system characterized by ossification of ligaments and tendons, gradually leading to ankylosis, are presented. The differential diagnostic criteria for this disease are listed. The clinical picture of vertebral and extravertebral localization of foci of hyperostosis is described. A clinical case of severe recurrent idiopathic hyperostosis of the cervical spine, manifested by dysphonia, dysphagia and pain, is considered. The peculiarity of this case is gross hyperostosis, which is a recurrence of Forestier disease in the cervical spine 12 years after surgical treatment. The indications and the required volume of the operation, as well as the difficulties of re-surgical treatment of Forestier disease with localization of hyperostosis in the cervical spine, are listed. In general, repeated surgical treatment of Forestier disease is associated with a pronounced scar-adhesive process, which increases the duration of the operation and the amount of blood loss. In case of damage to the cervical spine with severe compression of the pharynx, esophagus and respiratory tract, it is enough to perform a decompressive intervention. A stabilizing benefit is not required, due to the lack of signs of instability of the operated vertebral-motor segment both intraoperatively and in the postoperative period. At the same time, surgical treatment with this nosology is not radical and does not cure patients even at the level of surgical intervention. However, the operation is indicated for severe compression of the neck organs and neurovascular structures.
全文:
Введение. В 1950 г. J. Forestier и J. Rotés-Querol [6] впервые описали особый тип анкилозирующего гиперостоза позвоночника, названный ими старческим анкилозирующим гиперостозом позвоночника, а с 1959 г. этот патологический процесс был обозначен как болезнь Форестье, или фиксирующий лигаментоз [13]. Авторы описывали данное заболевание как окостенение переднего и правого бокового частей позвоночника у пожилых мужчин. Правосторонность поражения объяснялась пульсацией грудной и брюшной аорты, ограничивающей процессы оссификации тканей слева. Чаще поражается грудной отдел позвоночника, затем поясничный и шейный [6]. Позже автор описал экстравертебральные очаги гиперостоза, характерные для данного заболевания [7]. Рентгенологическую картину экстравертебральных очагов гиперостоза в 1975 г. описали D. Resnick, S.R. Shaul, J.M. Robins [16], которые впервые предложили критерии диагностики болезни Форестье. После этого прижился другой синоним болезни Форестье – диффузный идиопатический гиперостоз скелета. Это заболевание настолько редкое, что до сих пор нет точных эпидемиологических данных. Известно, что чаще болеют мужчины старше 40 лет [2]. По данным североамериканских больниц, распространенность болезни Форестье среди мужчин и женщин старше50 лет составила 25 и 15% соответственно, а среди мужчин и женщин старше 70 лет – 35 и 26% соответственно [17]. Аналогичные данные были получены в Будапеште [11]. Самая большая распространенность данной патологии была зарегистрирована в Иерусалиме, достигнув 46% у мужчин старше 80 лет [4]. Самая низкая распространенность была отмечена в Корее, достигнув лишь 9% в старшей возрастной группе [10]. Эти данные позволяют сделать вывод о том, что распространенность заболевания зависит от возраста, пола и географического положения.
Таким образом, болезнь Форестье – это редкое идиопатическое невоспалительное заболевание опорно-двигательной системы, характеризующееся окостенением связок и сухожилий, постепенно приводящее к анкилозу [9].
Этиология и патогенез болезни Форестье не известны. В научных публикациях, посвящённых данной тематике, отображены следующие факторы риска болезни Форестье [14]: сахарный диабет II типа; ожирение; дислипидемия; артериальная гипертензия; гиперурикемия; гиперинсулинемия; повышение уровня инсулиноподобного фактора роста-1 (ИФР-1) и гормона роста; применение ретиноидов; генетическая предрасположенность.
Влияние этих факторов на развитие заболевания находило как подтверждение, так и опровержение у разных исследователей.
Заболевание длительно может иметь бессимптомное течение. Симптоматика зависит от локализации и выраженности патологического процесса. При поражении грудного и поясничного отделов позвоночника первыми признаками могут быть утренняя скованность, боль в нижней части спины, ограничение движений в позвоночнике. При поражении шейного отдела наблюдаются дисфагия, дисфония, стридор, апноэ во сне, аспирационная пневмония, синдром верхней апертуры, трудности интубации трахеи и эндоскопических исследований верхних отделов желудочнокишечного тракта (ЖКТ) и дыхательных путей [1, 14]. Очаги гиперостоза при данной локализации также могут быть причиной экстравазальной компрессии позвоночной артерии, проявляющейся синдромом позвоночной артерии [3]. При экстравертебральной локализации заболевания пациента может беспокоить боль в конечностях с вовлечением крупных и мелких суставов, а также сухожилий, в частности ахиллова, плеча, коленной чашечки, подошвы и олекранона.
Клинические, патоморфологические и рентгенологические особенности заболевания позволили дифференцировать его от других заболеваний позвоночника, включая анкилозирующий спондилит и деформирующий спондилоз.
Диагностическими критериями болезни Форестье являются [14]:
- Протяженное окостенение передней продольной связки вдоль переднебоковой поверхности тел четырёх и более смежных позвонков.
- Сохранение высоты межпозвонкового диска в пораженном позвоночно-двигательном сегменте и отсутствие выраженной дегенерации диска.
- Отсутствие воспалительных и выраженных дегенеративных изменений в крестцово-подвздошном сочленении, дугоотростчатых и других суставах при наличии очагов гиперостоза сухожилий и связок этих суставов.
В диагностике болезни Форестье ведущую роль играют рентгенография, компьютерная (КТ) и магнитно-резонансная томография (МРТ). В оценке выраженности гиперостоза КТ превосходит рентгенографию в чувствительности. Однако рентгенограммы грудной клетки в боковой проекции могут быть инструментом скрининга болезни Форестье с чувствительностью 77% и специфичностью 97% [15]. Для оценки прогрессирования заболевания было предложено определение уровня гормона роста и ИФР-1 в сыворотке [5].
Лечение болезни Форестье направлено на профилактику осложнений и прогрессирования заболевания путем лечения перечисленных факторов риска. Неоднозначные результаты получены в регрессе гетеротопической оссификации при лечении нестероидными противовоспалительными средствами (НПВС), антагонистами витамина К и лучевой терапией [8, 12]. Для профилактики осложнений при поражении шейного отдела позвоночника данную особенность необходимо учитывать при интубации трахеи и при проведении эндоскопических лечебно-диагностических мероприятий на верхних отделах ЖКТ. Пригиперостозе, приводящем к выраженной симптомной компрессии органов и/или сосудисто-невральных структур, требуется хирургическое лечение.
Цель исследования. Рассмотреть клинический случай хирургического лечения болезни Форестье у пациента, страдающего выраженной компрессией глотки и гортани при поражении шейного отдела позвоночника.
Материалы и методы. Обследован пациент В. в возрасте 74 лет, поступивший в клинику нейрохирургии Военно-медицинской академии им. С.М. Кирова 4 июня 2019 г. с диагностированной симптоматикой гиперостозов CIII и CIV позвонков.
Результаты и их обсуждение. Из анамнеза известно, что в 2001 г. у больного внезапно появилась ноющая боль в шее и осиплость голоса. По данным рентгенографии шейного отдела позвоночника был диагностирован шейный остеохондроз, по поводу которого больной длительно лечился консервативно с временным частичным положительным эффектом. Постепенно заболевание прогрессировало, и в 2007 г. к имеющимся симптомам присоединились ограничение движений в шее и невозможность глотания твердой пищи. Тогда впервые пациент был консультирован нейрохирургом. При проведении КТ и МРТ шейного отдела позвоночника был диагностирован гиперостоз передней продольной связки от СIII позвонка, продолжающийся в грудной отдел позвоночника, при этом дугоотростчатые суставы и межпозвонковые диски были интактны. Сопутствующая патология пациента представлена метаболическим синдромом: сахарный диабет II типа, абдоминальное ожирение 1-й степени, артериальная гипертензия 2-й степени, дислипидемия. Учитывая большую выраженность симптомных гиперостозов CIII и СIV позвонков было предложено оперативное лечение на этом уровне.
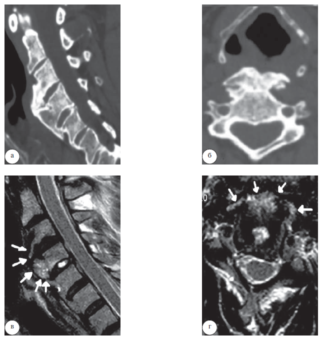
Под общей многокомпонентной интубационной анестезией выполнено микрохирургическое удаление очагов гиперостоза CIII и СIV позвонков и декомпрессия гортани и глотки передним доступом. Длительность операции составила 85 мин, кровопотеря – менее10 мл. Послеоперационный период протекал без осложнений. Дисфагия и дисфония полностью регрессировали через 8 дней после операции. Сохранялась эпизодическая умеренная ноющая боль в области операции. Пациент неоднократно посещал контрольные осмотры вплоть до 2010 г. Отмечалась положительная динамика, и до 2018 г. болезнь не беспокоила пациента. В конце 2018 г. пациент отметил возобновление болевого синдрома в шее и осиплости голоса. Больной был проконсультирован оперировавшим нейрохирургом, который диагностировал рецидив болезни Форестье на ранее оперированном уровне. Диагноз был подтвержден данными КТ и МРТ шейного отдела позвоночника – максимальная выраженность гиперостоза была на уровне СIII–CV позвонков (рис. 1).
Рис. 1. Предоперационные данные КТ (а, б) и МРТ (в, г) шейного отдела позвоночника. Гиперостоз передней продольной связки на уровне СIII, CIV и СV позвонков (указан стрелками)
В течение 3 месяцев пациент лечился консервативно НПВС, но положительного эффекта не было, напротив, симптоматика прогрессировала, и присоединилась невозможность глотания твердой пищи. При рентгеноскопии глотки и пищевода с барием отмечена задержка прохождения контрастного вещества на уровне CIV и СV позвонков (рис. 2).
Рис. 2. Рентгеноскопия глотки и пищевода с барием в боковой (а) и прямой (б) проекциях. Задержка прохождения контрастного вещества на уровне CIV и СV позвонков
Было принято решение выполнить повторнуюоперацию. Под общей многокомпонентной интубационной анестезией выполнена мобилизация гортани и глотки из выраженного рубцово-спаечного конгломерата, скелетирование и микрохирургическое удаление очагов гиперостоза CIII, CIV и CV позвонков, а также декомпрессия гортани и глотки передним доступом.
Длительность операции составила 185 мин, кровопотеря – 150 мл. Послеоперационный период проходил без осложнений. Результаты операции отражены на КТ-реконструкциях, выполненных на следующие сутки после операции (рис. 3). В раннем послеоперационном периоде отмечен регресс дооперационного болевого синдрома, дисфагии и дисфонии.
Рис. 3. Послеоперационная КТ шейного отдела позвоночника. Очаг гиперостоза удален. Компрессия глотки и гортани устранена
Заключение. Повторное хирургическое лечение болезни Форестье сопряжено с выраженным рубцово-спаечным процессом, увеличивающим длительность операции и величину кровопотери. При поражении шейного отдела позвоночника с выраженной компрессией глотки, пищевода и дыхательных путей достаточно выполнить декомпрессивное вмешательство. Стабилизирующее пособие не требуется в связи с отсутствием признаков нестабильности оперируемого позвоночно-двигательного сегмента как интраоперационно, так и в послеоперационном периоде.
В целом хирургическое лечение при данной нозологии не является радикальным и не приводит к излечению пациентов даже на уровне оперативного вмешательства. Тем не менее операция показана при выраженной компрессии органов шеи и сосудистоневральных структур.
作者简介
V. Orlov
Kirov Military medical academy
编辑信件的主要联系方式.
Email: vmeda-nio@mil.ru
俄罗斯联邦, Saint Petersburg
S. Idrichan
Kirov Military medical academy
Email: vmeda-nio@mil.ru
俄罗斯联邦, Saint Petersburg
E. Alekseyev
Kirov Military medical academy
Email: vmeda-nio@mil.ru
俄罗斯联邦, Saint Petersburg
S. Mirzametov
Kirov Military medical academy
Email: vmeda-nio@mil.ru
俄罗斯联邦, Saint Petersburg
参考
- Бобров, В.М. Дисфагия и дисфония, обусловленные болезнью Форестье / В.М. Бобров // Российская оториноларингология. – 2009. – Т. 42, № 5. – С. 164–166.
- Бунчук, Н.В. Диффузный идиопатический гиперостоз скелета/ Н.В. Бунчук, С.Ф. Агабабов // Ревматология. – 1986. – Т.3. – С. 44.
- Сысун, Л.А. Морфологический субстрат синдрома позвоночной артерии / Л.А. Сысун // Междунар. мед. журн. – 2008. – № 3. – С. 100–103.
- Bloom, R.A. The prevalence of ankylosing hyperostosis in a Jerusalem population – with description of a method of grading the extent of the disease // Scandinavian journal of rheumatology. – 1984. – Vol. 13, № 2. – P. 181–189.
- Bobacz, K. Stimulatory effects of distinct members of the bone morphogenetic protein family on ligament fibroblasts / K. Bobacz [et al.] // Annals of the rheumatic diseases. – 2006. – Vol. 65, № 2. – P. 169–177.
- Forestier, J. Senile ankylosing hyperostosis of the spine / J. Forestier, J. Rotés-Querol // Annals of the rheumatic diseases. – 1950. – Vol. 9, № 4. – P. 321–330.
- Forestier, J. Ankylosing hyperostosis of the spine / J. Forestier, R. Lagier // Clinical Orthopaedics and Related Research. – 1971. – Vol. 74. – P. 65–83.
- Guillemin, F. Antivitamin K prevents heterotopic ossification after hip arthroplasty in diffuse idiopathic skeletal hyperostosis: a retrospective study in 67 patients / F. Guillemin [et al.] // Acta Orthopaedica Scandinavica. – 1995. – Vol. 66, № 2. – P. 123–126.
- Holton, K.F. Diffuse idiopathic skeletal hyperostosis and its relation to back pain among older men: the MrOS Study / K.F. Holton [et al.] // Seminars in arthritis and rheumatism. – WB Saunders. – 2011. – Vol. 41, № 2. – P. 131–138.
- Kim, S.K. The prevalence of diffuse idiopathic skeletal hyperostosis in Korea / S.K. Kim [et al.] // The Journal of rheumatology. – 2004. – Vol. 31, № 10. – P. 2032–2035.
- Kiss, C. Prevalence of diffuse idiopathic skeletal hyperostosis in Budapest, Hungary / C. Kiss [et al.] // Rheumatology. – 2002. – Vol. 41, № 11. – P. 1335–1336.
- Knelles, D. Prevention of heterotopic ossification after total hip replacement: a prospective, randomised study using acetylsalicylic acid, indomethacin and fractional or single-dose irradiation / D. Knelles [et al.] // The Journal of bone and joint surgery. British volume. – 1997. – Vol. 79, № 4. – P. 596–602.
- Lackner, J. Die Forestiersche Erkrankung der Wirbelséule / J. Lackner // RéFo-Fortschritte auf dem Gebiet der Réntgenstrahlen und der bildgebenden Verfahren. – Georg Thieme Verlag KG Stuttgart New York. – 1959. – Vol. 91, № 7. – P. 71–76.
- Mader, R. Proliferative bone diseases / R. Mader // Kelley and Firestein’s Textbook of Rheumatology. – Elsevier. – 2017. – P.1751–1763.
- Mata, S. Chest radiographs as a screening test for diffuse idiopathic skeletal hyperostosis / S. Mata [et al.] // The Journal of rheumatology. – 1993. – Vol. 20, № 11. – P. 1905–1910.
- Resnick, D. Diffuse idiopathic skeletal hyperostosis (DISH): Forestier’s disease with extraspinal manifestations / D. Resnick, S.R. Shaul, J.M. Robins // Radiology. – 1975. – Vol. 115, №3. – P. 513–524.
- Weinfeld, R.M. The prevalence of diffuse idiopathic skeletal hyperostosis (DISH) in two large American Midwest metropolitan hospital populations / R.M. Weinfeld [et al.] // Skeletal radiology. – 1997. – Vol. 26, № 4. – P. 222–225.
补充文件





